肝硬変でなくても肝臓がんになることはあるのか?
肝硬変でなくても肝臓がんになることはあるのか?
確かに可能性はある。多くの肝がん(原発性肝がんのこと)は肝硬変が先行しますが、すべての肝がんが必ずしも肝硬変が先行するわけではなく、肝硬変でない人も同じように肝がんになる可能性があります。
肝癌の典型的な発生パターンは、肝炎(主にウイルス性肝炎、B型肝炎、C型肝炎、その他アルコール性肝炎、寄生虫感染など)、肝硬変、そして最終的に肝癌となる。肝炎が必ず肝硬変に発展するとは限らず、肝硬変が必ず肝癌に発展するとは限らない。
肝硬変でない人は、もちろん肝臓がんになる確率は低いが、肝臓がんにならないとは言い切れない。もちろん、この肝臓がんが突然発生するわけではなく、がんの発生は長いプロセスを経なければならないが、この種の肝臓がんは、肝臓がんの伝統的な古典的な3段階(肝炎、肝硬変、肝臓がん)のようなものを経ないということだけである。
また、肝がんの多くは肝細胞がんを指すが、胆管細胞がんや混合型肝がん(肝細胞がんと胆管細胞がんの混合型)も含まれる。肝内胆管癌は、肝内胆管の上皮から発生する肝細胞癌の大部分とは異なり、本質的には肝外胆管癌と同じであり、臨床的特徴の点では肝細胞性肝細胞癌とは異なり、通常、肝疾患の基礎もなく、B型肝炎の基礎もなく、通常、α-フェト蛋白の上昇もない(もちろん、肝細胞性肝細胞癌も常にα-フェト蛋白の上昇を認めるわけではない)。その代わり、CA199(CEAも含む)の上昇が主で、胆膵系全身がんと同じカテゴリーである。
私は画像診断医のリトル・シャドーです。B型慢性肝炎-肝硬変-肝臓がんについていろいろ書いてきましたが、肝臓がん患者の大半はB型慢性肝炎です。しかし、B型肝炎でないからといって肝硬変にならないわけではないし、肝硬変でないからといって肝臓がんにならないわけでもない。B型肝炎でなくても肝臓がんになる可能性はあるのです。
肝硬変でなくても肝臓がんになることはある。
中国では肝硬変の最も重要な原因はB型慢性肝炎である。中国はまだまだB型肝炎大国です。また、長い間アルコールに依存している人は、アルコール性肝硬変を引き起こす可能性があります。
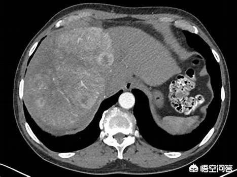
B型肝炎-肝硬変-肝癌という肝臓癌の三部作は、ほとんどの患者さんのパターンです。画像診断で、肝臓に結節を見た場合、B型肝炎で肝硬変であれば、その結節は肝細胞癌である可能性が高い。肝硬変の存在は、結節の性質を非常に示唆します。
この症例は55歳の慢性B型肝炎患者である。健康診断の超音波検査で肝占有、AFP上昇、画像検査でごく典型的な肝癌を認めた。B型肝炎に罹患している場合は、定期的な検診を受けることが重要です!
しかし、肝硬変の段階を経ないで、そのまま肝臓がんを成長させる人もいる。B型肝炎があり、肝臓の組織がまだ組織のリモデリングや偽小葉の形成を受けておらず、画像診断で肝硬変がまだ確認できない場合、肝細胞はB型肝炎ウイルスの作用ですでに癌化している。これがB型肝炎を伴うが肝硬変を伴わない肝細胞癌である。
また、B型肝炎や肝硬変でなくても肝臓がんができる場合もあります。B型肝炎がないからといって、肝臓をほったらかして安心していいというわけではありません。B型肝炎を伴わない肝臓がんは比較的まれです。
肝臓がんは画像診断でどのように診断されますか?
肝臓に問題があるかどうかを調べるには、まず画像検査である超音波検査、CT、MRIを受ける必要がある。超音波検査は、肝臓センサスの手段として、最も一般的に肝臓の病変を見つけます。超音波検査で肝臓に増殖が見つかったら、基本的にはCTかMRIの検査が必要になります。
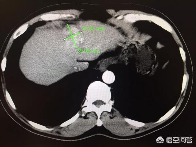
CTでは、典型的な肝細胞癌が写っている。速いイン、速いアウトその顕在化を見るには、強化検査をしなければならない。このような結節を見れば、肝がんと診断する自信はある。また、肝細胞癌は病理学的に確定診断がなくても治療が可能な唯一の疾患であり、画像診断での典型性とB型肝炎の既往に基づいて診断される。
画像診断で非定型の場合、上記のような'fast in, fast out'はなく、非定型とはいえB型肝炎があれば肝細胞癌の可能性を考慮しなければならないし、B型肝炎がなければ複数のシークエンスを組み合わせて判断する必要がある。良性非定型肝血管腫、巣状結節性過形成(FNH)、腺腫、非定型肝細胞癌の鑑別は時に困難であり、このような場合は複数の医師に相談する必要があり、複数の医師の意見が異なることは普通である。診断をはっきりさせるために穿刺生検を行うことができる。
私はそうだ。ドクター・シャドウ医療についてもっと知りたい方は、ぜひフォローしてください。
肝臓に発生する腫瘍は原発性肝がん、略して「肝がん」と呼ばれ、悪性腫瘍の代表的なものです。肝がんの危険因子としては、B型肝炎、C型肝炎、脂肪肝、肝硬変などの各種肝臓疾患、糖尿病、肥満などの代謝異常、アルコール依存症、喫煙、カビの生えた食べ物の摂取などの生活習慣の乱れなどが挙げられます。したがって、肝硬変は肝がんの原因のひとつに過ぎず、肝硬変がなくても他の危険因子が存在すればがんのリスクはある。
肝硬変と肝臓がんは密接に関連した2つの病気である。第一に、肝硬変は肝がんのリスクが高く、将来肝がんになる可能性が比較的高い。 すべての肝硬変患者は定期的に肝がん検診を受け、早期発見、早期治療を受けるべきである。第二に、肝硬変の原因も肝がんの原因になる可能性がある。例えば、B型肝炎、C型肝炎、非アルコール性脂肪性肝疾患(NALFLD)、アルコール性脂肪性肝疾患(AFLD)などである。B型肝炎やC型肝炎などの肝疾患は、肝炎→肝硬変→肝がんという大筋で進行するため、肝硬変にさえならなければ肝がんにならないと誤解している友人もいる。実際、ウイルス性肝炎は肝臓がんのリスクの高い原因であり、肝硬変でなくても、将来肝臓がんになるリスクは低くないので、積極的な治療が必要である。肝硬変が進行した場合、がんのリスクは肝硬変でない患者よりかなり高くなる。
肝細胞癌は徐々に進行し、初期には大きな占有作用がないため、初期の肝細胞癌には特異的な症状がなく、発見が困難である。しかし、悪性腫瘍は進行が速く、比較的短期間に腫瘍が大きく成長することがあります。 腫瘍が大きくなると、肝臓の周囲が緊張し、主に鈍痛や膨張痛を伴う肝臓部の痛みが生じます。 肝臓部の痛みが持続する場合は注意が必要ですが、肝臓がんによる痛みは持続的なものと断続的なものがあり、断続的な痛みの患者は症状を無視しやすいため、病状が遅れやすくなります。さらに、肝臓がんは吐き気、嘔吐、腹部膨満、下痢などの消化器症状を呈することもあり、患者によっては疲労、やせ、発熱に悩まされることもある。症状のある肝臓がん患者のほとんどは、診断されたときにはすでに中期・後期へと進行しており、腫瘍がすでに転移している可能性もあるため、妥当な治療を行ったとしても、後期には再発する危険性が高い。したがって、肝がんの早期発見には、肝超音波検査やα-フェトプロテイン、必要に応じてα-フェトプロテイン・アイソフォームL3を併用するなどの補助検査が依然として重要であり、高リスク群は6ヵ月ごとに再検査を受けることが推奨されている。もちろん、肝臓がんの予防は、リスクの高い原因を治療することと、悪い生活習慣を改めることに重点を置いている。
結論として、肝がんの原因はたくさんあり、肝硬変は肝がんの原因の一つに過ぎない。肝硬変がなくても、B型肝炎、C型肝炎、脂肪肝、糖尿病、肥満、アルコール中毒、喫煙、カビの生えた食べ物の摂取など、肝がんのリスクが高い原因がある場合は、肝がんのリスクも高くなります。 このような患者さんには、原疾患の治療をしながら、早期発見・早期治療のために、半年に一度はαフェトプロテインと肝臓超音波の再検査を受けることをお勧めします。
読んでくれてありがとう!
間違っていたら訂正してください!遠慮なくコメント欄で質問し、共有してください!
注:本文の内容は、健康科学としてのみ使用されることを意図したものであり、医学的なアドバイスや意見を意図したものではなく、医学的な指導には該当しない。
肝硬変でなくても肝臓がんになることはある。
楊医師が詳しく答えてくれた。肝臓がんには、主に肝細胞がん、胆管細胞がんなどがあります。
1.私たちはしばしば肝臓がんを肝細胞がん、略してHCCと呼ぶ。
この種の肝がんの80%は慢性肝疾患による肝硬変と関連しており、わが国では主にB型肝炎が原因となっている。
残りの20%の肝細胞癌は肝疾患のない患者に発生する。このグループのHCCの発生は、肝硬変のHCCがRN、DNなどの過程を経てHCCに進展するのに対して、前者のグループでは最初からHCCとして顕在化するのとは異なる。
この患者では、肝疾患の既往がないため、発症はより検出されないことが多い。通常、肝臓に空間を占める病変があり、動脈相に豊富な血液供給があり、それが血管腫やFNHなどの良性病変でない場合、B型肝炎の肝硬変であれば、これを最初に肝細胞癌と診断する人と考えるのが普通である。 しかし、肝疾患の既往がない場合、考慮すべき他の病態が多数存在するため、問題は複雑になる。
このような患者は早期に発見されれば、肝硬変の患者よりも予後が良いという利点がある。

2.肝内胆管がん。この種の癌は肝細胞癌とは正反対であるが、肝硬変を伴わない正常肝に発生しやすい。肝細胞癌ではAFPが上昇することがあるが、胆管癌ではCA199が上昇することがある。CTやMRの所見も肝細胞癌とは異なり、時に膿瘍や結核などと誤診されやすく、診断に至るには経験が必要である。また、非常に若年でリンパ節転移を起こすという特徴を持つものもある。
肝硬変のない人が肝細胞がんになる割合は少なく、胆管細胞がんになる割合は多い。肝細胞がんと胆管細胞がんは、どちらも肝細胞がんと呼ばれる。
肝硬変でなくても肝臓がんになる可能性はある。
肝硬変になると肝臓がんになると考える人が多いだろう。 肝炎→肝硬変→肝臓がん、これは肝臓の病気が治療されずに発症する軌跡であり、初期の肝炎から肝硬変になり、治療が効かなくなり、最終的に病気が進行して肝臓がんになる。肝がんの原因はこれだけではありません。
肝硬変は効果的な治療を行わないと肝臓がんに発展する可能性があるしかし、肝硬変が肝がんに発展するとは限らないし、肝がんが肝硬変から変化する必要はなく、あくまで可能性が大きいだけで、すべてではない。
肝がんの発症には多くの誘因がある。
肝がんの原因はさまざまで、単純な肝硬変のほかに、ウイルス感染や大量のアルコール摂取による肝機能異常がある。カビの生えた食品、特にアフラトキシンを含むカビの生えた食品は、肝臓癌を誘発する原因の一つである。また、通常の生活習慣もあり、夜更かしを避けることが多く、夜更かしをすると肝臓の代謝が修復され、長期的に夜更かしをすると内分泌系にダメージを与え、その結果、肝臓の負担が増加し、肝機能にダメージを与える。
また、胃がんや直腸がんなどの他のがんから転移した二次性肝がんもあり、これらは肝硬変によって変化するのではなく、体の免疫機能に深刻なダメージを与える他の原発性腫瘍が引き金となることもあり、必ずしも肝硬変の過程を経るとは限らない。
だから、ここでみんなに思い出させるために、通常は夜更かしを避け、仕事と休息に注意を払い、多くのアルコールを飲まないで、定期的な健康診断(腹部超音波検査+肝機能)、肝臓領域に不快感がある場合は、タイムリーに病院の肝胆膵外科に行かなければならない、健康は最も重要なものです。
ウィル私はB型肝炎から直接肝臓がんになった患者をたくさん見てきました。もちろん、多くの場合、まずB型肝炎になり、5~10年後に肝硬変になり、最後に肝臓がんになりました。
B型慢性肝炎患者にとって、最大の恐怖は肝硬変と肝臓がんである。しかし、恐れる前に、すべてのB型肝炎患者はいくつかの概念を理解する必要がある:
1.B型肝炎:B型肝炎とは、B型肝炎キャリア、B型慢性肝炎、B型肝硬変など、B型肝炎ウイルスに慢性的に感染している人を指す広い用語である。
2.B型肝炎キャリア:この中には大三陽のキャリアもいれば、小三陽のキャリアもいるが、皆のアミノトランスフェラーゼは正常で、肝臓に炎症はなく、肝細胞に明らかな損傷もなく、病状は非常に軽いので、今のところ、当分の間は放置しておいてもよいと考えられるが、キャリアの中にはB型慢性肝炎に進行する人もいるので、定期的に観察する必要がある。現在、わが国には約8000万人のB型肝炎キャリアがいるといわれている。
3.慢性B型肝炎;この中にはⅢ型肝炎の人もいればⅢ型肝炎の人もいる。いずれにせよ、この部分の患者は治療が必要であり、抗ウイルス治療が必要であり、これが本当のB型肝炎患者であり、このような患者は約2000万人います。
一般に、B型慢性肝炎→肝硬変→肝がんと三部作のように考えられていますが、実際には肝炎が必ずしも肝硬変になるわけではなく、肝硬変が必ずしも肝がんになるわけでもありません。現在、B型慢性肝炎患者の約5%が毎年肝硬変に移行するといわれているが、抗ウイルス治療を継続的に行えば、この確率を下げることができる。肝硬変患者では、毎年約3~6%が肝臓がんに進行する。例えば、2000万人のB型慢性肝炎患者がいるとして、毎年約100万人(5%)が肝硬変に進行し、その100万人の肝硬変患者のうち、毎年約5万人(5%、3%~6%の中間をとる)が肝がんに進行するとします。抗ウイルス療法を受けず、アルコールを飲み続けている場合、肝硬変や肝臓がんになる確率がかなり高くなることは間違いない。
肝硬変でないB型慢性肝炎患者が肝臓がんになることはありますか?はい、可能です。2015年のB型肝炎ガイドラインでは、慢性B型肝炎患者のおよそ1%が毎年肝がんに移行するとされています。大きくない?でも、B型肝炎の患者数はとても多く、そのベースはとても大きいので、1%という数字はとても大きいのです。
なぜB型慢性肝炎患者がそのまま肝癌に進行するのでしょうか?主に肝炎の活動性が原因です。ですから、最も重要なのはやはり抗ウイルス治療です。慢性B型肝炎であろうと肝硬変であろうと、B型肝炎の患者はすべて抗ウイルス治療を守るべきです。なぜなら、継続的かつ効果的な抗ウイルス治療は、肝臓におけるB型肝炎ウイルスの活動を抑制し、肝臓の炎症を抑え、肝臓の線維化を抑制し、肝臓がんの発生率を低下させることができるからです。
B型慢性肝炎患者が抗ウイルス治療を守り、飲酒をしなければ、肝硬変や肝がんになる可能性は非常に非常に低く、肝硬変や肝がんの大部分は遅発性である。したがって、肝がんになるかならないかは、主導権は私たちにあり、友人、抗ウイルス治療を覚えて、それを心に留めてはいけません。
もちろん、抗ウイルス治療を受けても肝臓がんになるB型慢性肝炎患者はごく少数であり、これは宿命である(遺伝的、免疫的側面は変えがたい)。
B型肝炎はそんなに怖いものではありません。抗ウイルス治療を守ることで、良い結果が得られます。恐れることはない。
リウ・ユビン博士、肝胆膵:
肝硬変は、1つまたは複数の病因因子の長期的または反復的な作用によって形成される、びまん性肝障害を伴う一般的な臨床的慢性進行性肝疾患である。
肝硬変の初期には、肝臓の代償機能が強いために明らかな症状がないこともあるが、末期には肝機能障害と門脈圧亢進が主な症状で、多臓器に病変があり、上部消化管出血、肝性脳症、二次感染、脾機能亢進、腹水、癌などの合併症を起こすことが多い。
肝硬変と肝臓がんは密接な関係があるわけですが、肝硬変がなくても肝臓がんは発生するのでしょうか?
肝臓がんは原発性肝がんと続発性肝がんに分けられ、原発性肝がんの発生機序は解明されておらず、さまざまな要因が関係しているため、肝硬変でなくても肝がんが発生する可能性があるからだ。
二次性肝硬変の場合、原発巣が肝臓にないため、肝硬変を伴わずに肝癌を発症する可能性も同様にある。
より権威のある肝胆膵医学については、肝胆膵の劉玉斌先生に注目してください。詳しくは広東省人民病院肝胆膵外科(本院外来棟3階)毎週火曜日と金曜日午前9時から12時まで。
肝硬変と肝臓がんはある程度直結していますが、肝硬変になれば必ず肝臓がんになるというわけではありませんし、肝硬変にならないと肝臓がんにならないというわけでもありません。しかし、それに比べれば肝硬変の人は肝臓がんになる確率が高いわけで、つまりは巡り合わせの問題でしかない。つまり、あくまでも偶然の問題であって、その人に起これば100%、起こらなければ0%なのだから、比較することに意味はないのである。
肝硬変とはどのような病気なのでしょうか?

I. 肝硬変について、これだけは知っておいてほしい!
肝硬変は、大量の正常な肝組織が機能しない瘢痕組織に置き換わる不可逆的な疾患である。肝硬変は、肝臓の損傷と肝再生の失敗に基づいて発症する。
1.肝硬変の最も一般的な原因はアルコール中毒と肝炎である。
2.症状は、食欲不振、体重減少、脱力感、吐き気、疲労感など。
3.多くの深刻な合併症が起こる可能性があり、それが他の問題につながることもある。
4.診断は、症状、身体診察、血液検査、一部の画像検査または生検に基づいて行われる。
5.禁酒は最も重要な方法である。
6.放っておくと、さらに合併症が進み、肝硬変になることもある。
肝硬変はどのようにして起こるのか?
肝障害が繰り返されたり、持続したりすると肝硬変になることがある。
肝硬変の最も一般的な原因はアルコール依存症であり、長期にわたる過度の飲酒の継続である。
また、ウイルス性肝炎も非常に一般的な原因である。
脂肪肝や鉄過剰症などの代謝性疾患も肝硬変の発症の一因となる。
肝硬変は、45~65歳では心臓病、がんに次いで3番目に多い死因である。肝硬変は大した問題ではないと思っている人が多いが、肝硬変が引き起こす合併症は数多く、非常に深刻である。
肝硬変を適時適切な方法で治療しなければ、肝硬変は腹水や肝がんの発生につながり、患者の生命を直接脅かすことになる。

C. 肝硬変でなくても肝臓がんになることはありますか?
その答えはイエスだ。
まず、肝硬変が必ずしも肝臓がんになるとは限りません。肝硬変は不可逆的ではあるが、効果的な治療を行えば、病状が悪化・進展し続けないようにコントロールすることができる。したがって、肝硬変が必ずしも肝臓がんになるとは限らない。
第二に、肝硬変がないからといって肝臓がんにならないわけではない。多くの人は、脂肪肝や肝硬変といった肝臓の病気が起こることだけが肝臓がんにつながると考えている。これは間違った一方的な理解です。肝硬変だけが肝臓がんになるわけではなく、肝硬変がなければ肝臓がんにならないわけでもありません。
そしてまた、肝臓がんの発症には一定の道筋があり、通常はウイルス性肝炎などの肝炎から肝硬変、そして肝臓がんとなる。
首都医科大学復興病院外科部長の羅晨雨です!
私と一緒に健康科学に集中しませんか?

肝硬変や肝がんの発症はウイルス性肝炎と大きく関係しており、肝硬変や肝がんの患者のほとんどは肝炎ウイルス感染の既往歴がある。
では、肝硬変でなくても肝臓がんになることはあるのだろうか?
肝硬変でなくても肝臓癌になる可能性はあり、肝臓癌の発生は多因子性である。現在のところ、B型肝炎→肝硬変→肝がんという経路は完全には解明されておらず、仮説の一つに過ぎません。また、肝炎に罹患していないにもかかわらず、直接肝臓癌を発症した患者も多く存在する。B型肝炎、肝硬変、肝がんの患者もいれば、B型肝炎、直接肝がんの患者もいる。
第二に、肝臓がんになりやすい原因は以下の通りである:
1、肥満の人:肥満の人が人口の大部分を占め、肥満の人が脂肪肝になる確率が非常に高いため、肝臓に脂肪が蓄積すると、肝臓がますます多くの問題を操作できるようになり、その結果、肝臓は栄養を吸収する手段を持たなくなり、長期的には肝炎になる。肝炎は治療が遅れると肝硬変になる。
2、アルコール:飲酒はしばしば酒の状態であり、アルコール中のエタノールの含有量は非常に高い。この物質は体内に入った後、酸化してアセトアルデヒドになりやすく、この物質にはある程度の発がん性があるため、飲めば飲むほど肝臓がんになる確率が高くなる。
3、不潔な食事:肝臓の問題はアフラトキシンと一定の関係がある。アフラトキシンは人体に入ると肝臓を傷つけ、肝細胞のガンにつながる。したがって、カビの生えた食べ物は避けなければならず、そうでなければ肝臓がんを誘発する。
4、B型肝炎:中国は肝炎の国で、特にB型肝炎が現れやすく、B型肝炎から肝臓がんになる割合は90%に達する。肝炎患者にとって、病気は完治していない前に注意を払う必要があり、一般的に肝炎から肝臓がんへのプロセスは20年の時間を通過する必要があります。したがって、危険を無視するのは簡単です。
また、B型肝炎は感染力が強く、血液やX活動などを通じて感染する可能性があるため、B型肝炎患者はこの点にも注意する必要がある。
また、肝臓がんの予防は、こうした生活習慣から始まる:
B型肝炎の予防接種:肝臓癌のほとんどはB型肝炎が原因で転化しているため、B型肝炎の予防をしっかり行うことは肝臓癌の発生を予防する役割に相当し、B型肝炎の予防接種のほか、カミソリや歯ブラシを他の人と共有しないなど、生活にも気を配る必要がある。
第二に、カビの生えた食べ物から離れる:カビの生えた食べ物はアフラトキシンを含んでいるので、カビの生えた食べ物は、それが調理された食べ物であろうと食べ物であろうと、離れて食べるべきではありません。
第三に、良い生活習慣:ニトロソアミンは人体内で発ガン性物質に変化するので、そのような物質を含む食品を減らし、燻製や塩漬け食品の摂取を減らし、さらに禁煙と禁酒、早寝早起きを心がけ、肝臓の解毒機能を保護する必要がある。
定期的な検診:家族の中に肝臓がんを患った人がいる場合、この種の人は注意しなければならない。3つの予防策に加えて、定期的な検診の習慣を身につける必要がある。
結論として、肝硬変や肝細胞癌を避けたいのであれば、ウイルス性肝炎の進行を抑え、生活や環境における危険因子を避けることが重要である。 肝硬変を直接発症する患者は少なく、多くの場合、肝臓を損傷する基礎疾患があり、肝細胞癌は定期的な健康診断によって発見し、早期に治療することが可能である。
ページ下部の[さらに詳しく]をクリックすると、さらに詳しい回答が表示されたり、医師に無料で質問することができます!
ファミリードクターオンライン "ヘッドライン番号に従ってください、より多くの健康Q&Aを簡単に見ることができます~~~~~~~~~~~~~~~~~~~~~~~~~~~~~。
B型肝炎患者の多くは、肝硬変を伴わずに肝癌を発症することもある。
B型肝炎による肝硬変と肝がんの間にあるのは事実である。ある種の関連性がある.肝硬変になると、肝臓の構造が非常に不規則になり、しこりやこぶ、硬くなった結節でいっぱいになるからである。この場合、肝硬変の結節に圧迫されて肝臓内の血管が不透過性になり、多くの肝細胞に有効な血液が供給されなくなります。長期的には、多くの肝細胞が異常をきたし、その一部が癌化し、最終的には肝臓癌になる可能性があります。
但すべての肝硬変患者が肝臓がんになるわけではない結局のところ、がんの発生率はまだ非常に低い。しかし、肝硬変が出現した後、B型肝炎患者は、肝性腹水、上部消化管出血、肝性脳症など、より一般的な合併症にも悩まされることになり、これらの合併症も、効果的な治療を行わなければ、5~10年以内にB型肝炎患者を死に至らしめる可能性がある。したがって、肝がんの可能性にかかわらず、B型肝炎肝硬変患者は定期的な検査と積極的な治療が必要である。
最後に、最初の質問に戻ろう。B型肝炎患者の多くは、肝硬変を伴わずに肝癌を発症することもある。..つまり、他の慢性肝疾患(アルコール性肝疾患、脂肪肝、C型肝炎など)では肝がんになる前に肝硬変になる必要があるが、B型肝炎患者では肝がんになる前に肝硬変になる必要はない。これは、B型肝炎ウイルスのDNAが、ウイルスの生殖・複製中に肝細胞のヒトDNAに組み込まれ、がん遺伝子を開始したり、がん遺伝子を不活性化したりする可能性があるためである。これもB型肝炎ウイルス特有の肝癌発生メカニズムである。この発癌メカニズムは肝硬変の有無とは無関係である。
したがって、肝硬変の有無にかかわらず、B型肝炎表面抗原陽性の成人は、肝臓超音波検査とα-フェトプロテインを定期的に見直す必要がある。これは、肝臓がんをモニターするための最も一般的な身体検査である。
この質問と回答はサイト利用者のものであり、サイトの立場を代表するものではありません、侵害など、削除するには管理者に連絡してください。