なぜ糖尿病患者は手が乾燥するのか?
なぜ糖尿病患者は手が乾燥するのか?
糖尿病患者の多くは、特に秋から冬にかけて皮膚の乾燥を感じる:
1、糖尿病性自律神経失調症が原因で乾燥肌、病気の進行に伴い、多くの患者が糖尿病性自律神経失調症になり、患者の一部が発汗の減少として現れ、乾燥肌になりやすい。
2、糖尿病患者は、慢性的な高血糖状態が原因で、細胞の水分喪失につながりやすく、その結果、皮膚の発汗が少なくなり、乾燥肌が現れ、特に乾燥した季節には、乾燥肌の症状が悪化する。
乾燥肌の糖尿病患者は、かゆみの症状が出やすく、皮膚がかゆく感じたら、手で掻かないのが一番である。
糖尿病患者が乾燥肌を予防・緩和するために必要なこと:
1、入浴後、足洗浄、手洗いは、特に足のスキンケアの良い仕事をするために、非常にワセリン保湿クリームなどの保湿ローションを適用することに注意を払う必要があり、定期的に足が乾燥してひび割れ現象であるかどうかを確認します。
2.手洗いや洗顔にアルカリ性石鹸の使用は避ける。アルカリ性石鹸は皮膚を乾燥させる。
3、通常、より多くの水を飲むことに注意を払う、体が脱水状態にある場合、それは乾燥肌の症状を悪化させるだろう、大人は一日あたりの水の量は1500〜1700ミリリットル、平均1600ミリリットルであるべきであることをお勧めします、あなたは200ミリリットルのカップを使用する場合、あなたは一日あたり少なくとも8杯の水を飲む必要があります。
糖尿病患者は、乾燥肌を持っているでしょう、主な理由はまだ高血糖であり、血糖コントロールを通じて、効果的に乾燥肌の症状を緩和することができます。また、糖尿病患者は積極的に糖尿病性神経障害を予防または制御する必要があり、自律神経障害も乾燥肌につながる可能性があります。血糖コントロールは薬だけに頼るのではなく、食事、運動などの面からもコントロールすることができます。
糖尿病患者が手を乾燥させるのは普通のことである。もちろん、手だけが乾燥しているわけではなく、皮膚の他の部分も比較的乾燥している可能性があり、この現象は一般的に保湿効果のある保湿剤を塗ることで改善することができます。しかし、糖尿病が原因で手がこわばることはよくあり、糖尿病性こわばり症候群または糖尿病性関節症として知られている状態です。この症状はまれで、指の動きが悪くなり、手が厚くなり、蝋のように見えるのが特徴です。この症状は通常1型糖尿病で見られ、2型糖尿病のケースは少数です。

糖尿病性関節症は罹病期間と関連する
糖尿病の罹病期間が長いほど、また糖尿病のコントロール能力が低いほど、糖尿病性関節症を発症する可能性が高くなります。糖尿病性手指のこわばり症候群の一般的な症状には、関節をあまり動かすことができず、手の機能が制限されることがあります。多くの場合、こわばりは手の最も細い指から始まり、最終的にはすべての指が侵されるように進行します。最も重篤なケースでは、手指硬直症候群の患者は、手をまったく握ることができず、指はまっすぐで、どのような力をかけても物を持つことができません。皮膚も影響を受け、手の甲に蝋のような外観の厚く硬い皮膚ができます。これはしばしばドライハンドと呼ばれる。
糖尿病性肩こり症候群の原因には様々なものが考えられます。専門家の中には、グルコースレベルが高くなると、手の結合組織の一部を形成する手のコラーゲンにグルコースが結合して問題が生じると考える人もいます。いくつかの研究では、糖尿病性手指硬化症候群の人のコラーゲンは正常な人のそれとは異なることが示されています。糖尿病性手指硬直症候群は、両手を祈りの姿勢にすることで診断できます。手を合わせたときに手のひらと指の関節の間に隙間があれば、関節が硬くなっており、手指硬直症候群の可能性があります。
まず、手の乾燥が季節性、手指消毒剤、手洗いの頻度、全身性疾患(腎臓病、肝臓病、甲状腺機能低下症や甲状腺機能亢進症、鉄欠乏性貧血)、リンパ系の悪性腫瘍(皮膚T細胞リンパ腫など)によるものかを除外する必要がある。
糖尿病患者の手の乾燥のほとんどは、血糖コントロール不良が神経障害につながり、皮膚は神経の栄養を失い、乾燥が現れ、また全身の皮膚の乾燥、かゆみなどにつながることがあります。
手の肌をケアする4つの秘訣:
(1) 皮膚を清潔に保つことを推奨する。
(2) 肌の乾燥を防ぐ。乾燥した皮膚やかゆみのある皮膚を掻くと、皮膚を傷つけ、バクテリアや微生物への扉を開いてしまう。手を洗った後、保湿効果のあるハンドクリーム(アロエベラジェルなど)を使うことをお勧めする。
(3)医師の指示がない限り、大量の水を飲むことが推奨される。
(4)切り傷の手当て:小さな切り傷の場合は、石鹸、水、過酸化水素水で傷口を洗浄する。赤ポチ、ヨウ素、エタノールなどの消毒薬は皮膚を刺激するので使用しないこと。
もちろん、良好な血糖コントロールが最優先であることに変わりはない。
何か質問があれば、コメント欄に書いていただければ、見かけたときにお答えします。
上記の回答は、微糖の管理栄養士、宋明月さんによるものです。

糖尿病患者の手は乾燥し、正常で、身体は真剣に水分を蓄えなくなり、のどが渇き、頻尿になる。その他にもいくつかの症状があります。
糖尿病は、皮膚を含む体の多くの部分に影響を及ぼします。糖尿病が皮膚に影響を及ぼす場合、通常は血糖値(グルコース)が高すぎることを示しています。これは次のことを意味します:
- 未診断の糖尿病、または糖尿病予備軍の方
- 糖尿病治療の調整が必要
皮膚に次のような兆候を感じたら、今こそ医師に相談する時です。
リピドーシス:この女性は皮膚科を受診し、脚にこのような赤く腫れ上がった硬い斑点があることを発見し、糖尿病であることを知った。
この皮膚疾患は通常、ニキビのような小さく盛り上がった固いぶつぶつから始まる。進行すると、これらの隆起は腫れて硬くなった皮膚の斑点に変化する。ブツブツの色は黄色、赤色、褐色などがある。また、以下のような症状もみられる:
- 周囲の皮膚は光沢のある磁器のように見える。
- 血管が見えるだろう。
- 皮膚のかゆみと痛み
- 皮膚病は、活発、不活発、そしてまた活発というサイクルを繰り返す。
この病気医学的な病名は脂質異常症(ネック)。キューに入れる(お姉さんリーポイディーカ)。
行動を起こす
- 診断を受けていないなら、糖尿病検査を受けよう
- 糖尿病をよりよく管理するために医師と協力する。
- 皮膚については皮膚科医に診てもらいましょう。脂質異常症は無害ですが、合併症を引き起こす可能性があります。
黒色表皮腫(AN):多くの場合、首のしわに黒ずみを生じ、ANは糖尿病であることを示す最初の徴候となる。
首、脇の下、鼠径部、背中などにビロードのような皮膚の層ができるのは、血液中のインスリンが多すぎることを意味するかもしれません。この皮膚疾患の医学的名称は、黒色表皮腫(ay-can-THOE-sis NIE-gri-cans)です。
行動を起こす糖尿病の検査を受けましょう。
3.硬く厚くなった皮膚
手指、足指、またはその両方に起こる場合、医学的には次のように呼ばれる。デジタル硬化症(強膜肋骨)。
手では、手の甲の皮膚が硬くなり、蝋のようになります。指は硬くなり、動かしにくくなります。糖尿病のコントロールが長年悪いと、指先に小石がついたように感じることもあります。
前腕や上腕に現れる硬く厚く腫れた皮膚は、広がっていくことがある。背中の上部、肩、首にもできることがある。時には、厚くなった皮膚が顔、肩、胸に広がることもある。
まれに、膝、足首、肘の皮膚が厚くなり、足をまっすぐに伸ばしたり、足を向けたり、腕を曲げたりすることが困難になることもある。どこの部位であれ、肥厚した皮膚は通常オレンジの皮のような質感をしている。
この皮膚トラブルは通常、糖尿病や糖尿病による治療困難な合併症を持つ人に起こる。
行動を起こす
- 皮膚が厚くなっていることを医師に伝えましょう。糖尿病のコントロールを改善することで、症状を緩和することができます。
- 理学療法が必要な場合もあります。手指や足指、その他の関節部分に肥厚した皮膚ができた場合、理学療法を受けることで、関節を曲げたり伸ばしたりする能力を維持することができます。
水疱:糖尿病患者の皮膚には、このような大きな水疱ができることがある。
4.水泡
まれにですが、糖尿病患者の皮膚に水疱ができることがあります。1つの大きな水ぶくれ、複数の水ぶくれ、またはその両方が見られます。水疱は手、足、脚、前腕にできやすく、ひどいやけどの後にできる水疱に似ています。火傷の後にできる水疱とは異なり、これらの水疱は痛みを伴いません。
この病気の医学的名称は喧喧囂囂(ブルローシス)Diabetricorum.と呼ばれることもある。糖尿病性小胞(bull-lie)。
行動を起こす
- 水疱があることを医師に伝えましょう。感染予防のための措置が必要です。
- 糖尿病をよりよく管理する方法について医師に相談する。
最後に使用してから1年以上、毎年数回イースト菌感染症にかかったことがありますか?糖尿病または糖尿病予備軍の可能性があります。
糖尿病の人は皮膚感染症にかかりやすい。皮膚感染症にかかると、次のような症状が1つ以上見られます:
- 皮膚のほてり、腫れ、痛み
- かゆみを伴う発疹、時には小さな水疱、乾燥したうろこ状の皮膚、チーズのような白い分泌物。
皮膚感染症は、足の指の間や爪の周り、頭皮など、体のどこにでも起こる可能性があります。
行動を起こす
- 感染症の治療を直ちに受ける。
- 頻繁に皮膚感染症を起こす場合は、医師に伝えてください。糖尿病と診断されていない可能性があります。
- 糖尿病と診断された場合、より適切な管理が必要かもしれません。
糖尿病を患っている場合は、潰瘍や開放創がないか毎日足をチェックする必要がある。
高血糖(グルコース)が長く続くと、血行不良や神経障害を引き起こす可能性があります。コントロールされていない(またはコントロール不良の)糖尿病を長く患っている場合、これらの薬を発症している可能性があります。
血行不良や神経損傷があると、体の傷が治りにくくなることがある。これは特に足に当てはまる。このような開放創は糖尿病性潰瘍。
行動を起こす
- 直ちに医師の手当てを受け、傷口を開く。
- 糖尿病をよりよく管理するために医師と協力する。
糖尿病性皮膚症:この55歳の男性は長年糖尿病を患っている。
この皮膚疾患は、皮膚にほとんど目立たない窪みをもたらすシミ(時には線)を引き起こす。糖尿病患者に多い。医学的名称は糖尿病性皮膚疾患(der-mop-ah-thē)。通常は下腿にできる。まれに、腕や太もも、胴体などにできることもある。
これらのシミは通常褐色で、何の症状も引き起こさない。このような理由から、多くの人が加齢によるシミと勘違いしています。加齢によるシミとは異なり、これらのシミやシワは通常18~24ヵ月後に薄くなり始めます。また、糖尿病性皮膚疾患はいつまでも皮膚に残ることがあります。
行動を起こす
- このような場所について医師に伝えてください。
- 糖尿病をよりよく管理するために医師と協力する。
- 糖尿病と診断されていない人は、ぜひ試してみてほしい。
突発性黄色腫症:このしこりは、糖尿病がうまくコントロールされているときに突然出現する。
これらの隆起が現れると、通常はニキビのように見える。にきびとは異なり、すぐに黄色っぽくなります。このぶつぶつは通常、お尻や太もも、肘の曲げ伸ばし、膝の裏などにできます。どこにでもできる可能性があります。
どこにできても、通常は柔らかく、かゆみを伴う。この皮膚症状の医学的名称は毛髪スクレイピー(zan-tho-ma-toe-sis)。
行動を起こす
- 糖尿病がコントロールされていない場合、このような皮膚症状が現れることがあるため、ぶつぶつについて医師に伝えてください。
- 糖尿病をよりよく管理する方法について医師に相談する。
環状肉芽腫:この皮膚疾患は、肌色、赤色、ピンク色、青紫色の隆起や斑を生じる。
この皮膚症状が糖尿病と関係があるかどうかは議論の余地がある。糖尿病患者のほとんどが肉芽腫性糖尿病の人はいない。
しかし、いくつかの研究で糖尿病患者がこのような皮膚状態にあることが判明している。そのうちの1つの研究では、糖尿病の人は皮膚の広い範囲に環状肉芽腫を持つ可能性が最も高く、しこりは現れたり消えたりすることがわかった。別の研究では、環状肉芽腫のある人は糖尿病の検査を受けるべきだと結論づけている。
行動を起こす
- 上記のようなぶつぶつがある場合、特にぶつぶつが出たり消えたりする場合は、医師に知らせてください。
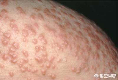
10.極度の乾燥肌
糖尿病を患っていると、肌が乾燥しやすくなる。高血糖(グルコース)が原因となる。皮膚感染症や血行不良がある場合も、皮膚の乾燥やかゆみにつながることがある。
行動を起こす
- 極度の乾燥肌であることを医師に伝える。糖尿病のコントロールを改善することで、乾燥を軽減することができます。
- 糖尿病のコントロールが良くなっても乾燥肌が続く場合は、皮膚科医に相談するとよい。
11.まぶたやまわりの黄色っぽい鱗屑
これは、血液中の脂肪が多すぎる場合に起こります。また、糖尿病のコントロールが十分でないことを示している場合もあります。この症状の医学的名称は黄色腫(Likes-LAS-MA)。
行動を起こす
- 目の周りに黄色い鱗があることを医師に伝えてください。
- 糖尿病をコントロールする方法について、医師に相談しましょう。糖尿病をコントロールすることで、スケーリングをクリアにすることができます。
腋窩部位のスキンタッグ:まぶた、首、脇の下、鼠径部に最もよく発生する。 12.スキンタッグ
多くの人がスキンタグ(茎から垂れ下がる皮膚の成長物)を持っています。無害ですが、スキンタッグがたくさんあるということは、血液中のインスリンが多すぎるか、2型糖尿病である可能性があります。
行動を起こす
- 糖尿病の検査を受けるべきかどうか、医師に尋ねてください。
- 糖尿病を患っている場合は、糖尿病のコントロールを改善する必要があるかどうかを医師に尋ねてください。
糖尿病は皮膚の血液循環に影響を与えるため、皮膚の水分が不足し、手が乾燥する現象が起こる。 普段からスキンケア用品を購入し、手をこするなどして、水分が不足しすぎてひび割れを起こさないようにすることをお勧めする!では次に、糖尿病患者の注意点を見てみよう。

1、食事構造を調整する:肥満の人はしばしば間違った食習慣によって引き起こされ、肥満の患者は糖尿病になりやすい。
2、よく運動する:運動は体の免疫システムを改善し、内分泌系の機能を向上させ、脂肪の代謝を促進することができ、それによって体重を減らし、肥満を抑制する。
3、上機嫌を保つ:人の感情の良し悪しは体調に影響する。幸せでリラックスした気分を維持し、過度に不安、心配しないでください。物事が落ち着いている、彼らの体はまた、大きな利点があるでしょう。しばしば怒っている人は、速く老化する。

4、良い習慣を身につける:定期的な健康診断、健康診断の利点は、定期的に自分の身体の状態を知ることができ、早期予防です。定期的に病院に行き、体の状態をチェックし、血糖値、尿糖検査を行う。耐糖能が低下している場合は、積極的に予防すべきである。
日常生活で糖尿病を予防する方法を読んだ後は、ジューサーたちがどのようにジュースを糖尿病対策に活用しているのかを見てみよう!事例を見てみよう!
(1)私は13年以上糖尿病を患っており、インスリンを打つ前にジュースを飲まず、朝晩16単位、血糖コントロールは8時9時、時々高く、翌日ジュースを飲むと血糖値の底に現れ、朝のインスリンは9単位に減らしたが、夜は変わらなかった。一ヶ月後、血糖検査は7点以上に下がり、その後、一ヶ月ごとに検査は徐々に下がり、現在、検査結果は4.47で、現在、インスリンは夜14単位に減らした。

(2)総コレステロール、高濃度脂肪、低濃度脂肪コレステロールは以前は高かったが、今はそうではない。
(3) 何年も続いていた副鼻腔炎も治った。
(4)以前はよく眠れなかったが、今はだいぶよくなった。
(5)便はもう苦労しない。
(6)体重は以前は50キロだったが、今は40キロで、1Oキロ減った。今、気分は特に良いですが、これは良い妹の健康の木のおかげであり、王はジュースを飲むために私を導入しただけでなく、ジュースの健康コンセプトの新進先生に感謝する。
要約:上記の紹介を読んだ後、あなたはまだ詳細を知りたい場合は、この見出しで私をフォローすることができ、プライベートメッセージを送って、私はあなたに返信する時間があります〜!~
この質問と回答はサイト利用者のものであり、サイトの立場を代表するものではありません、侵害など、削除するには管理者に連絡してください。