疑われる患者の症状とは?
疑われる患者の症状とは?
最近、この新型コロナウイルスは傲慢で、ここで疑われる患者は新型コロナウイルス肺炎の疑い患者を指すべきである。では、新型コロナウイルスの疑い患者の臨床症状はどのようなものだろうか?次に呉医師がお話しします。
I. 臨床症状
この新型コロナウイルスの初期症状は風邪の症状と似ており、発熱、倦怠感、乾いた咳が主な症状で、鼻づまり、鼻水、喉の痛み、下痢などの症状もある。これらの症状はすべて風邪や発熱と似ている。重症の場合は、呼吸困難などの症状が現れることもある。
II.定期血液検査
発熱や咳のある患者さんの場合、ウイルス感染か細菌感染かを見分けるために、最も一般的な検査はルーチンの血液検査です。 細菌感染であれば、白血球や好中球が上昇することが多く、ウイルス感染であれば、白血球や好中球は上昇しないことが多いです。ウイルス感染の場合、白血球や好中球は上昇しないことが多く、新型コロナウイルス感染の場合、血液検査で白血球やリンパ球は正常か減少することが多い。
III.イメージング
胸部レントゲン写真や肺のCT画像では、肺の外側の帯状に認められる斑状の影や、重症例では肺の固い影が認められることがある。
比較的特殊な感染症であるため、上記の症状だけでは疑い例と診断するには不十分であり、疫学的な既往歴も必要であることがポイントである。例えば、最近(14日以内)の武漢および武漢周辺地域からの来訪者との接触、症例が報告された地域での発熱・咳症状のある患者との接触、新型コロナウイルス肺炎患者との接触などである。疫学的既往歴+上記3点のうち2点があれば、疑い例と診断できる。
わかりやすい言葉を使って、みんなに健康知識を広める総合診療医です。フォローすれば、かかりつけ医ができます。役に立つと思ったら、必要としているお友達に転送してください!
疑い患者とは、suspectedという名称からもわかるように、患者の徴候、症状、曝露歴から特定の疾患が強く疑われるが、病因論的証拠を得ることによって確定診断がまだなされていない患者である。

疑われる患者の兆候とは?
1.発熱、喀痰を伴わない、あるいは喀痰が比較的少ない乾性咳嗽、倦怠感がみられる。
2.鼻水、鼻づまり、のどの痛み、下痢を伴う発熱、空咳、脱力感。
3.呼吸促進、息切れ、呼吸困難、あるいは呼吸困難、過敏性、胸部圧迫感、息切れ、眠気、嗜眠、あるいは昏睡、あるいは治療不可能な呼吸困難、アシドーシス、ショック。
これらの症状に加えて、渡航歴や末梢歴、ハイリスク接触歴、感染地域への渡航歴、確定患者の集まる場所への渡航歴があるか、あるいは渡航歴がなくハイリスク接触歴もないが、血液検査や胸部X線検査で新型コロナウイルス肺炎と非常に類似しており、疑い患者と非常によく似ている。

最終的な診断には病原性核酸の検査が必要で、核酸検査が陽性であれば、診断は疑いではなく、確定となる。
新型コロナウイルス感染は、疑われる患者の呼吸器病原体の核酸検査が1日おきに2回連続して陰性であれば除外できる。
多くの人々が忙しいことに慣れている、この春祭りは突然アイドル、すべての間違った、多くの人々が喉のかゆみ、胸の締め付け感を感じ、37.2度に体温を取る神経質であり、疑わしい症状の出現を心配している。
疑われる患者の症状とは?
最前線の感染症・呼吸器内科医からのフィードバックによると、最も一般的な新型冠肺炎は以下の通りである。初期症状には発熱(体温37.4度以上)、倦怠感、乾いた咳がある。鼻づまり、鼻水、のどの痛み、下痢を伴う患者も少なからずいる。
今はインフルエンザのハイシーズンであり、多くの人がマイコプラズマ肺炎、小児肺炎などを引き起こしている。
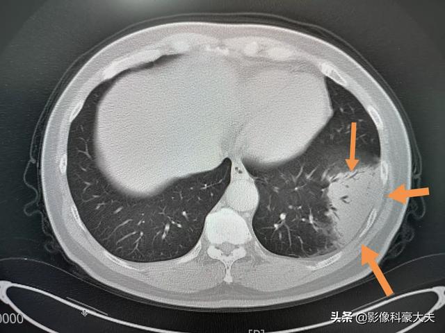
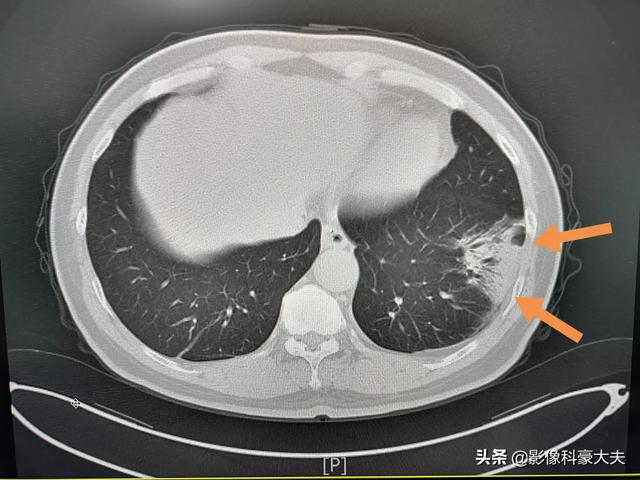
この中年男性は、3日間の咳と発熱があり、CTで左下肺炎が認められ、亜分節に沿って分布し、比較的高密度であった(地硝子影ではない)。肺門側に気管支気腹徴候が認められ、血球数の増加を伴っていたため、コロナウイルスではなく、一般的な肺炎であった。
抗生物質で治療し、9日後にはかなり吸収され、現在は退院している:
新型コロナウイルスは感染力が強く、隔離が最も効果的な予防法
コロナウイルスは、接触、空気中の飛沫、エアロゾルによって感染することが示されており、マスクの着用とこまめな手洗いで効果的に予防することができる。
エアロゾル感染はやや問題が多く、ウイルスを含むエアロゾルを空気中に飛散させ、ウイルスを窒息させないよう、外出を最小限に抑える必要がある。人体から出たウイルスは長くは生き残れない。
画像診断のドクター・ハウです!
I. 疑われる患者とは?
現在流行している新型コロナウイルス感染症では、タイトルにある疑い患者は新型コロナウイルス感染症の疑い患者を指すべきだと思う。いわゆる疑いや疑いは確定患者に対するものである。一般に、これらの患者は疫学的特徴、臨床像、画像診断などが確定患者と酷似しているが、病原体診断を受けていないという違いがある。感染症には必ず病原体が存在するので、感染症の診断を確定するためには病原体診断が必要である。したがって、病原体診断がつくまでは疑い例としか考えられない。例えば、今現在、26,359人の疑い患者がいる⬇️⬇️⬇️。お気づきだろうか?このセクションにはたくさんの患者がいて、しかも毎日増えている!例えば、今日は4,833人増えている。ですから、疑わしい患者の判断はとても重要なのです!
第二に、疑われる患者の症状とは何か。
発熱、倦怠感、乾いた咳は、この新型コロナウイルス肺炎によく見られる3つの症状である。さらに、のどの痛みや鼻水といったインフルエンザに似た症状を示す患者もいれば、下痢をする患者もいるが、これはウイルス感染症の一般的な症状である。重症の場合、これらの症状が現れてから数日以内(通常は1週間以内)に、患者はますます呼吸困難に陥ることが多い。この時点で重症であり、迅速な蘇生が必要である。なぜなら、これらの患者は通常、両肺に病変があり、肺実質が侵され、呼吸機能が制限されているからである。
III.特別な注意事項
ここで特に注意しなければならないのは、患者によっては軽い微熱のみ、あるいは発熱がなく、他の臨床徴候もあまり目立たないということである!したがって、疫学的な病歴が特に重要である!例えば、飛行機や電車、バスに患者が乗っていなかったか?例えば、湖北の方角から帰ってきたのか、などなど。この時点で、正直に自分を隔離しなければならない。今のところ症状は出ていないかもしれないが、目に見えない感染(明らかな臨床症状がないにもかかわらず、体内にウイルスを持っている)をしている可能性は否定できない。
要するに、疑わしい症状があれば、軽症の場合はまず隔離し、重症の場合は医者に駆け込むということだ!普通の人は、以上の4点を続けてください👆🏻👆🏻👆🏻
疑い患者とは、その名の通り、まだ新型コロナウイルス肺炎の明白な臨床症状を発症しておらず、感染の疑いが強い患者を指す。このグループに感染者の大半が含まれている可能性があるため、疑い患者に注意を払うことが重要である。
新型コロナウイルス感染による肺炎の診断と治療に関するプロトコールの第5版では、無症状の感染者も感染源となりうることが指摘されている。このため、新型コロナウイルスのスクリーニングが難しくなり、感染の見逃しが増加している。
発熱や風邪症状などの疑い患者なのか、武漢の職員との接触歴などなのか、具体的に何をもって疑い患者とするのか、疑問に思う人も多いだろう。
こうした疑問については、実は「新型コロナウイルス肺炎の診断と治療プログラム(試行第5版)」に明記されている。以下、それを分析してみよう:
I.疑われる患者の臨床症状とは?

1.発熱または呼吸器症状:これは、新型コロナウイルス感染症患者の初期段階において最も顕著な臨床症状であり、通常、微熱、倦怠感、咳などの呼吸器症状を伴う。患者がこのような症状を呈する場合、病気の原因を明らかにするためにさらなる検査が必要である。
核酸検査がない場合、風邪と新型コロナウイルス肺炎を早期に区別するのは容易ではないため、草の根では発熱、咳、鼻水がある人を隔離する理由が採用されている。
2.肺炎の画像的特徴を有する:肺に炎症性変化があることを意味し、肺の外側の帯状に明らかな複数の小さな斑状影や間質性変化、さらには両肺に複数の地中影や浸潤影などの変化を示します。ウイルスが肺に侵入した後、肺にうっ血や水腫が生じ、X線やCTで高密度の影が観察されるからです。
3.新型コロナウイルス感染症患者の血球数の初期徴候である総白血球数の正常または減少、またはリンパ球数の減少:一般に、他の炎症性疾患を有する患者の呼吸器感染症のルーチンの血液検査結果では、白血球の総数が上昇するのが普通である。 これらの臨床徴候の存在も、疑われる患者を診断するためには疫学的な病歴との組み合わせが必要である。
疑いのある患者の診断基準は、治療プログラムに示されている:
(1)疫学的既往歴のいずれか1つ、および臨床症状のいずれか2つ。
(ii)明確な疫学的病歴がない場合、臨床症状のうち3つを満たす。
II.疫学史とは何か?
1.発症前14日以内に、武漢およびその周辺地域、または症例が報告されているその他の地域に渡航または居住した既往歴がある。
2.発症前14日以内に新型コロナウイルス感染者(核酸検査陽性者)との接触歴がある。
3.発症前14日以内に、武漢およびその周辺地域、または症例報告のある地域の発熱または呼吸器症状のある患者と接触した場合。
4.総合的な罹患率:したがって、疑われる患者は臨床症状だけでなく、疫学的な病歴も合わせて総合的に分析する必要がある。
最終まとめ:感染の有無が疑われる患者に対しては、最終的に呼吸器検体または血液検体のリアルタイム蛍光RT-PCRで新規コロナウイルス核酸を検出する必要がある。検査が陽性であれば患者は確定診断され、陰性であれば感染は除外され、一般的な疾患として治療される。
純粋に手入力で、それは簡単ではありません、あなたは文章が賞賛に報いることができると思う場合は、懸念を指摘し、ご質問がある場合は、以下のメッセージを残すことができます...
こんにちは、私は内科医です、国家衛生委員会が毎日発表する伝染病データによると、主に次の指標が含まれています、確定症例、疑い症例、退院症例、いくつかのカテゴリの死亡、それは一般市民や医療関係者であるかどうかにかかわらず、疑いのある患者については、細心の注意を払う必要があり、その後、どのようにそれを識別するのですか?
2020年1月27日に国民健康会議が発表した「新型コロナウイルスによる肺炎の診断と治療プログラム」によると、疑わしい症例の診断条件は以下の通りである。
1.疫学的観点
①発症前2週間以内に、武漢地域またはその他の地域感染者が持続的に伝播している地域への渡航歴または滞在歴がある。
占めるつまり、この人が「新型コロナウイルス感染症」の疑い患者である可能性を考慮する場合、この時点から14日前に遡って、武漢、湖北、その他の感染地域への渡航歴、居住歴、出張歴の有無などを予測する。
②発症前2週間以内に、武漢またはその他の地域からの発熱または呼吸器症状を呈する患者と接触する。
占める新型コロナウイルス感染症」の疑い患者である可能性を考慮し、14日前にさかのぼって、感染地域(武漢市、湖北省など)で発熱、咳、のどの痛みなどの症状があった人と接触したか?
③集団罹患者または新型コロナウイルス感染者の疫学的関連。
占める: 累積罹患率とは、大げさに言えば、トランプやおしゃべりなどグループで集まっているときに、感染地域の人が発熱などの症状が出て「新型コロナウイルス」感染と診断されたり、数人が相次いで発熱や筋肉痛などの症状が出て診断が確定したりすることです。
2.臨床的特徴
①発熱、空咳、疲労感、筋肉痛などの不快症状があり、鼻づまり、鼻水、下痢などの非典型的な症状が見られることもある。
②胸部CTを撮影すると、初期には多発性の斑状陰影や間質性変化を示唆することがあり、肺外帯に明らかで、その後の検討で両肺に多発性の地中影や浸潤影が生じ、重症例では固形肺病変が出現する。
③病気の初期段階では、白血球のルーチンの血液検査は通常正常か減少しており、リンパ球数は減少している。
3.まとめ
前述した疫学では、コロナウイルス感染の疑い患者として診断される2つのうち、どれか1つでも+αの臨床症状を満たす限り、コロナウイルス感染の疑い患者として診断されると述べたので、疑い患者の症状とは何か、言い換えれば、高度に疑われるべきであれば、前述したいくつかのポイントがある!
肺炎が深刻な状況になっている今、一般人は身を守るために何ができるだろうか?
①発生率の高い地域を避け、閉鎖的で空気の悪い公共の場には近づかない。
②咳やくしゃみをした後、患者の世話をした後、食事の前、トイレに行った後、動物と接触した後、動物の糞便を扱った後など、手を洗わなければならない。
③何かの用事で外出しなければならない場合は、マスクをきちんと定期的に着用し、適切に交換するように気をつけること。
④また、肉や卵、鶏肉を家庭で調理する場合は、必ずよく加熱すること。味は劣るかもしれないが、安全であることは間違いない。
概要
伝染病には容赦がなく、特にこの厳しい状況では、普通の人々は、誰もがうまくやっていくために、自分自身に迷惑をかけず、他の人に迷惑をかけないことは言うまでもない。
新型コロナウイルスは「新型」であるため、新型コロナウイルスの発見時期が非常に短く、その解明と治療はまだ観察中であり、モデル化中であるため、流行以来、国家衛生委員会は5種類の「新型コロナウイルス」を発表した。新型コロナウイルスは "新型 "であるため、発見された時間が非常に短く、その理解と治療はまだ観察中であり、モデル化中であり、発生以来、国家衛生委員会は5つのバージョンの "新型コロナウイルス感染肺炎診断と治療計画 "を発表し、私たちは5番目、つまり、大衆科学の基礎の最新版を取る。
1.以下の臨床症状のうち、いずれか2つが認められる。
発熱または呼吸器症状、あるいはその両方を伴う。
フィーバーだ。腋窩体温を標準とする。≥37.3℃これは発熱であり、発熱クリニックを受診して除外しなければならない。一般市民では、電子額体温計による検査も37.3℃で標準化されている。現在中山市では、すべての発熱患者は新型コロナウイルス核酸検査のために100%咽頭ぬぐい液を採取しなければならない。咽頭ぬぐい液は検査のために咽頭分泌物を採取する長いぬぐい液で、専門の医師が操作する。
空咳、鼻づまり、鼻水、のどの痛みなどの呼吸器症状。これらの呼吸器症状は特異的ではなく、風邪と見分けがつかないことが多く、確定診断にはやはり複合的な要因が必要である。
その他の症状としては、脱力感や下痢がある。
②.肺炎の画像的特徴が胸部に認められる。
初期には複数の小さな斑状影と間質性変化を呈し、両肺に多発する地硝子影や浸潤影へと進行し、重症例では肺に固形変化が生じ、一般に「白い肺」と呼ばれる状態になることもある。
(iii)血液検査:総白血球数が正常または減少、またはリンパ球が減少。
2.上記の症状のいずれか2つ+以下の疫学的既往歴のいずれか1つ=症例疑い。
発症前14日以内に、武漢およびその周辺地域、または症例が報告されているその他の地域へ旅行または滞在した履歴がある。
(ii) 発症前14日以内に、武漢およびその周辺地域、または症例報告のある地域の発熱または呼吸器症状を呈する患者と接触したことがある。
(iii) 累計罹患率。
新型コロナウイルス個体との接触歴。
結論:一般の人にとって、血液検査や胸部CTの結果は、すべて病院到着後に医師が行うものであり、新型コロナウイルスを疑う既往歴、発熱、倦怠感、乾いた咳、咽頭痛、鼻水、鼻づまりなどの症状がある限り、適時治療を行うのが正しい。


最近、ナンシャン・チャンのチームが新冠肺炎の発生以来初の論文を発表した。
この論文では、新コロニー炎性肺炎における発熱の問題に触れており、1,099例を調査した結果、初期の新コロニー炎患者には発熱はわずかであった。半分以下の人が発熱しているが、入院後に発熱した人はまだ発熱していない。90%近い。つまり、新型肺炎の主症状は依然として発熱が中心で、発熱の初期症状のみである。大きな割合ではない。
発熱と咳も同様に、疑われる症例を評価する際の主な判断材料として用いられている。これは約76パーセント新型肺炎患者のうち、咳をしている患者の割合が高い。
したがって、疑われる症例は次の2つの症状に注目する。摂氏37.3度以上咳痰主に。
以上が概要だが、疑われる症例の症状について具体的に説明しよう:
1.発熱、倦怠感、乾いた咳。これらは新型肺炎のより典型的な症状であり、発症した際には考慮する必要があるが、慌てないでほしい。
2.鼻水、鼻づまり、のどの痛み、下痢。これらは非典型的な症状であり、80%か90%は風邪か胃腸障害である。
3.呼吸困難と低酸素症。これは重症の症状で、ほとんどが高齢者である。
4.採血。白血球は正常か減少、リンパ球は減少。
上記の症状が疑われるか、確認されるかの違いをどう見分けるか?
以下の点が重要である:
1.暴露歴武漢とその周辺に居住、武漢とその周辺の人々との接触、核酸陽性者との接触、家族や友人の集まりの後に多くの症例が発生。
2.肺のCTで、地硝子影または浸潤影(CTフィルム上の肺の白い影)を認める。
3.新型コロナウイルスの核酸検査陽性または遺伝子検査陽性。
この中には肺CT、核酸検査、遺伝子検査新冠肺炎を診断する鍵である。検査は次第に難しくなる。
要約すると、症状がある場合、被曝歴の聴取が必要であり、被曝歴がある場合は疑われる。次にCT、さらに検討のために核酸検査。遺伝子はあまり使われない。
# 新型肺炎に注目し、認識を広める
疑われる患者は、検体(呼吸器または血液)が新型コロナウイルスの核酸に対して陽性であるか、検体のウイルス遺伝子配列決定が新型コロナウイルスと高い類似性と相同性を示した場合に確定される。言い換えれば、検査後に疑い患者が確定患者となる場合もあれば、除外される、あるいは疑い患者のままとなる場合もある。

では、疑われる患者とはどのような状態なのだろうか?を取る疫学的既往歴(4)+臨床症状(3)を判断する。
I. 疫学
1.発症14日前に武漢または他の症例報告地域周辺への渡航歴または居住歴がある。
2.発病の14日前に確定患者と接触した既往歴がある。
3. 発症の14日前にさらされた。武漢、あるいは近隣の、あるいは症例が報告されている地域。
4.集計された罹患率。
臨床症状
1.発熱および/または呼吸器症状がある。
2.新たな肺炎症状を呈する肺の画像化。
3.血中白血球が正常、または減少している、またはリンパ球が減少している。
1つの疫学的徴候と2つの臨床的徴候がある場合、または疫学的徴候はないが3つの臨床的徴候がすべて存在する場合、患者は疑われる。疑われる患者の臨床症状は主に発熱と呼吸器症状であり、画像所見と血液検査は基本的に補助的な検査の結果であることを見るのは難しくない。

高温になる新型コロナウイルス肺炎の最も重要な症状で、患者の約90%が発熱し、そのほとんどが39℃前後の高熱が持続し、なかなか解熱しないが、一般の風邪の発熱はもっと低く、通常2~3日続き、その後自然に解熱する。新型肺炎のスクリーニングが検温で行われるのもこのためである。
呼吸器症状とは咳、痰、息切れ、胸部圧迫感、呼吸困難、低酸素血症息切れや呼吸困難などの症状はより深刻であり、状況にかかわらず治療が必要である。

患者の半数以上は咳を伴うが、多くは痰を伴わないか、痰が少ない。これは、ウイルス攻撃部位が細胞内であり、肺の深部に病巣があり、CTフィルムで末梢肺を示唆することと関係があるかもしれない。また同時感染がある場合は喀痰がみられる。
他にもある。鼻づまり、鼻水、のどの痛みこれは上気道によく見られる症状で、風邪と似ているが、新型肺炎は発熱など全身症状が強い、疲労。
予防策と管理策を講じ、個人防護を徹底すれば、流行病との戦いに勝利できるだろう!お読みいただきありがとうございます!
新型コロナウイルスが猛威を振るっている今、質問者は「新型コロナウイルス感染が疑われる人の通常の症状は何か?そうすることで、自己監視や判断がしやすくなる。
現状を踏まえて。
1.新型コロナウイルス感染症の最も顕著な症状は、発熱、倦怠感、乾いた咳である。
2.鼻づまり、鼻水、のどの痛み、下痢の不快感を訴える患者が少数いた。
3.重症患者は、感染後に呼吸困難および/または低酸素血症を発症する可能性がある。
4.軽症の場合は、単に微熱と軽い疲労があるだけで、肺の炎症の異常徴候はない。
上記の症状からわかるように、新型クラウン感染症には特別な症状はなく、通常のウイルス性の風邪に似ている。
したがって、新型コロナウイルス感染を判断する上で重要なのは、症状に加えて「曝露歴」である。
1.発症前14日間に武漢およびその周辺地域、または症例が報告されている地域に渡航または居住した者;
2.上記地域で発熱や呼吸器症状のある患者と接触したかどうか;
3.確定(新型クラウン核酸検査陽性)患者と接触したかどうか。
したがって、暴露歴があり、上記の症状がある場合は病院を受診する必要があり、暴露歴がなく、上記の症状がある場合は、新冠咽頭炎である可能性は低い。
医師にとっては、症状や被曝歴に加えて、血液検査、肺CT、新型冠動脈核酸検査、遺伝子シークエンシングなどを組み合わせる必要がある。
白血球の総数は正常か減少しており、リンパ球数は減少している。
CTで肺炎が認められる。
発熱・呼吸器症状を伴う暴露歴のある人、総白血球数が正常または減少している人、リンパ球数が減少している人、肺の変化を示唆するCTを有する人、この3つのうち2つを満たした場合に疑われる。
被爆歴のない人が上記の3つの基準をすべて満たす場合、その人が疑われる。
診断の確定には、ネオグアナの核酸検査陽性、またはネオグアナと相同性の高い遺伝子配列が必要である。
以上の回答がお役に立てば幸いです!
この質問と回答はサイト利用者のものであり、サイトの立場を代表するものではありません、侵害など、削除するには管理者に連絡してください。