今日、風邪をひいて咳が出て熱がある場合、病院に行ってもいいですか?
今日、風邪をひいて咳が出て熱がある場合、病院に行ってもいいですか?
風邪、咳、発熱がある場合、病院に行くべきですか?現在、全国的な流行はまだ非常に深刻で、風邪のこの時期に、一般社会も隔離が必要で、薬を服用し、状況を観察することをお勧めします。新型肺炎は風邪と見分けがつかないからだ。新型肺炎の潜伏期間は通常3〜7日である。
風邪は、咳、鼻づまり、くしゃみなどの症状を示す自己限定性の疾患であり、通常、合併症を引き起こすことはなく、5~7日で治癒し、肺炎や心筋炎などの合併症を引き起こすことは通常ない。
新型コロナウイルス感染症では、感冒症状に加え、呼吸困難、持続する発熱など、これまでの症状と同様の症状が現れることがあり、病院での胸部CTや核酸検査による診断が必要です。重症例では、急性呼吸不全、急性呼吸窮迫症候群、凝固障害などの全身臓器不全を起こすこともある。
新型コロナウイルス感染と診断されると、隔離と治療のために指定病院に送られる。
風邪やインフルエンザの患者さんであれば、自分で薬を買って帰って治療することができますが、今は外出しない方が良いので、治療のために病院に駆け込むことはお勧めしません。
この記事をお読みいただきありがとうございました。もし記事中の意見にご賛同いただけましたら、「いいね!」を押していただき、山王製糖をフォローしてください!
今日、風邪をひいて咳が出て熱がある場合、病院に行ってもいいですか?
私たちは皆、今が全国的な疫病対策の特別な期間であることを知っているが、同時に私たちも見なければならない、今は冬と春ですが、風邪やインフルエンザの季節の発生率も高かった、この時点で、万が一あなたが少年の "チェーンオフ危機的状況 "であるが、今回の風邪、咳や発熱は、少し良い精神も、彼らは風邪やインフルエンザであることを知っている、悪い精神かもしれません!良い精神はまだ彼らが風邪を持っていることを知っているが、悪い精神はすでに "新冠肺炎 "と自分自身を診断している可能性があります!
だから問題は、病院に行けるかどうかだ。
しかし、この特別な期間を考慮し、治療できない病気は病院に行かないことをお勧めします!風邪は自然治癒する病気であり、通常1週間程度で治るので、薬局で一般的に使われているOTC風邪薬を買い、水を多めに飲み、休養に気をつければ、一般的な風邪は十分に対処できる。しかし、いくつかの重い風邪のために、高齢者、基本的な病気の人は、風邪の症状が顕著である場合、この時点で我慢できない、病院に行くか、行く必要があります。
新冠肺炎と風邪を自分で見分けられる?
発熱、倦怠感、鼻づまり、鼻水、咳、めまい、頭痛などは多くの人が経験する症状であり、風邪なのか新型コロナウイルス感染症なのかは最近よく聞かれる質問の一つである。実際、症状から両者を区別するのは難しいこともあり、この際「暴露歴」を重視したい。一日中家にいて、新型コロナウイルスの患者や被疑者と接触していなければ、基本的には普通の風邪であり、外出が多かったり、新型コロナウイルスの患者とも接触していたり、外出時に十分な防御をしていなかったりして、発熱、倦怠感、鼻づまり、咳などがあれば、隔離して経過観察する必要があり、この時は病院へ行くのが最良の選択である!
をフォローするCritical Illness Walker - Fengさんに関する詳細な健康情報。
新型コロナウイルス肺炎が流行している今、自分の健康は自分で守る、家族の健康は家族で守るという原則のもと、積極的に医療機関を受診し、明確な診断と的確な治療を行うことをお勧めします。
私たちが通常風邪と呼んでいるのは感冒のことで、多くの場合、風邪、疲れなどの免疫力の低下で、症状は一般的に軽く、鼻水、くしゃみ、閉塞感、のどの痛みなどの局所症状がほとんどで、まれに発熱、筋肉痛、疲労感などの全身症状があり、感冒の経過は自己限定的で、通常5~7日で緩和することができ、一般的な治療では、明らかな人の症状は、非常に迅速に症状を緩和することができます。症状は、一般的な対症療法後すぐに緩和することができます。
新型コロナウイルス肺炎の患者にとって、軽症の場合の肺感染症状は明らかではなく、風邪の症状として現れることもあり、深刻に受け止める必要がある。風邪と比較すると、この病気は感染力が強く、国民は一般的に一般的な症状にかかりやすく、一般的な症状には主に発熱、乾いた咳、疲労感、少数の患者は鼻づまり、のどの痛み、鼻水、下痢などの症状を伴うことがあります。
風邪に加え、新型コロナウイルス肺炎は、インフルエンザウイルスによって引き起こされ、高熱、咳、頭痛、筋肉痛などの症状を呈するが、胸部画像では肺炎の徴候を示さないインフルエンザとの鑑別が必要である。従って、発熱や咳のある人、特に湖北省武漢市などの感染地域に最近渡航した人、感染地域の人と接触した人、周辺に患者が確認された人は、適時に病院へ行き、明確な診断をしてから適切な治療を行うこと、感冒は対症療法ですぐに改善すること、新型コロナウイルス肺炎が疑われる人は、積極的に核酸検査や遺伝子シークエンシングを行い、指定病院に隔離して治療することなどが必要である。指定病院に隔離して治療すべきである。
この記事はGPスイープスによって書かれました。本記事はあくまで参考であり、医学的なアドバイスを目的としたものではありません。
あなたが熱の中にあるので、病院に行かなければならない、あなたが心を置くことができる前にチェックするために病院に行く、今非常に期間、存在することはできません、そのような精神上の待っている、見ているなど、そうでなければ、それは空であり、自分自身、自分の家族、組織に申し訳ありません!
風邪なのか、新型コロナウイルス感染症なのか、区別がつかないからだ。平常時であれば、風邪や発熱のたびに病院に行くのは得策ではない。新型コロナウイルスの疑いがある患者を特定するため、当局は薬局に解熱鎮痛薬や咳止め薬の販売中止を要請している。新型肺炎の一部の患者は、発熱や咳、解熱剤や咳止め薬を服用し、徐々に救済を持っている可能性があり、病院に行って医師の診察を受けず、関連部門に報告しない、検査の省略の潜在的なキャリアになるために、感染症の非常に危険なベクトルである人口の間で感染を拡散し続け、全体の流行を制御することは困難である原因となります。したがって、発熱や咳がある場合は、自分自身、あなたの家族と社会のための責任がある相談と検査のために病院に行く必要があります。
昨年10月に風邪で咳が止まらず、3ヶ月間市民病院で注射と薬をもらっていた!今年に入り、大きな病院に行って精密検査を受けようと思っていたところ、武漢肺炎問題に遭遇し、パニックになっている人が多く、大きな病院に行く勇気がない(病院で必ずCTや血液検査をすると言われている)!医師は、あなたが行くことができない場合は、病院に行かないように言った!武漢の肺炎を持っていない人は、病院に行くことを恐れている感染する可能性があります!
単純な風邪(一般的な風邪)は自然治癒し、特別な治療をしなくても通常5〜7日で元に戻る。しかし、現在は新型コロナウイルス肺炎の多発期であり、新型コロナウイルス肺炎の一般的な症状としては、発熱、空咳、倦怠感が主で、鼻づまり、鼻水、咽頭痛、下痢などを伴う患者も少なくありません。
したがって、発熱、咳があり、適切な風邪やインフルエンザの薬を使用していた場合、数日後、症状が明白な関節ではない、または積極的に医師の診察を受けなければならない、特に湖北地域は、感染地域の歴史と接触している人々に旅行の歴史を持っている場合、より多くの注意が払われるべきである。
もちろん、病院は患者数が多く、新型コロナウイルス肺炎の感染者と接触する可能性が高くなることを懸念する人は多い。 しかし、適切な予防措置を講じ、マスクを着用し、入院期間を短縮すれば、感染の発生を最小限に抑えることができるとともに、明確な診断を下し、的を射た治療を行うことで、症状を速やかに改善し、生活の質を高め、予後を改善することができる。
ご質問があれば、記事の最後にコメントを残して議論してください。著者をフォローして、健康に関する知識を毎日更新しましょう。
コロナウイルスの流行はまだ完全には鎮火しておらず、病院には目に見えない感染リスクがあるのではないかと多くの人が不安に思い、たとえ風邪をひいていても、熱が出ていても、心の中で怯えながら、あえて病院には行かないようにしている。どうすればいいのだろうか?
まず第一に、レイクランド以外で過度に神経質になる必要はない。
この流行は総合的な注目を集め、全国の防疫部門や病院は消毒・滅菌対策を強化し、多くの場所でウイルスを死滅させるための屋外消毒まで実施している。
その効果は絶大で、湖北省以外での新規感染者は12回連続で減少している。多くの医師は、コロナウイルスの毒性が弱まり、軽症の割合が増えていることに気づいている。
病院の診察室にも紫外線ランプや消毒液が備え付けられており、疑いのある患者がいれば即座に滅菌される。
コロナウイルスは体外に排出されると生存力が弱くなる。
風邪や発熱の症状は遅らせてはならない
この季節はインフルエンザや一般的な肺炎が多発する時期で、例年、特にマイコプラズマ肺炎で病院が混雑することが多かった。
数日前、北人民病院はガオ・リー教授オンライン講座では、最近、全国的にマイコプラズマ肺炎の患者が多く、ウイルス性肺炎と似ているため、神経質になってカウンセリングを受ける人が多いとのことだった。

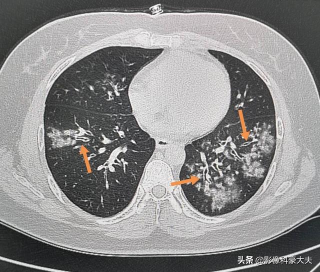
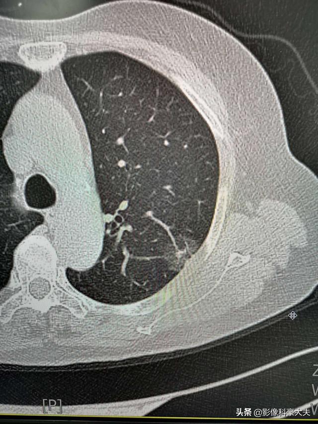
この若い女性のように、咳と発熱があり、痰はほとんど出ず、風邪薬やインフルエンザの薬を飲んでもよくなかった。CTを撮ったところ複数の小さな気道壁肥厚を伴う両肺の斑状炎症と気道内の病巣の中心分布は、新生肺炎ではなくマイコプラズマ肺炎と一致する。
マイコプラズマ肺炎には感受性の高い薬があるので、患者は対症療法的な抗生物質で治療され、すぐに退院した。

この老人も比較的幸運なことに、胸のつかえ、咳、微熱のために検査を受けた結果、左側に早期の肺腺がんが見つかった。
この初期の腺がんは治癒可能で、5年生存率は100%に近い。
発見が間に合ったから、進行がんになることはなかった。
非日常を慎重に旅する
今回のコロナウイルスは少し悪質で、潜伏期間中に感染する可能性がある。外出時のマスク着用、定期的な手洗い、汚れた手で口や鼻を拭かない、帰宅後の洗髪やシャワー、アウターをベランダに出して乾かすなど、理にかなった対策が必要だ。
画像診断のドクター・ハウです!
アドバイスとしては、まず自己隔離をすることです。熱が出てもすぐに病院に駆け込まないことです。今時病院とは何でしょう。ウイルスが潜在的にいる可能性が最も高い場所です。もしかしたら肺炎ではなく、病院に行ってから感染したのかもしれません。このリスクはまだあります。そのような場合、病院を受診することをお勧めします,モンクレール ダウン 激安。
今、あなたは風邪をひいて、病院に行かないで、まず第一に、病院内のウイルスが急速に広がって、広い範囲、簡単に交差感染して、行かないでくださいとアドバイスして、もしただの風邪なら、家で薬を飲んで、もっと水を飲んで休んで、もっと野菜や果物を食べて、完全に自己治癒することができます。しかし、もしあなたがすでにウイルスに感染し、新型クラウンウイルスの疑いがある場合、電話で病院と連絡を取り、ベッドがあるかどうかを確認し、良い消毒対策と隔離対策は、病院に行って検査や治療を受けると同時に、緊張を恐れず、幸せな気分を維持し、前向きな考え方を持って、ウイルスは確かに敗北する!自分の安全を守ることは、他人の安全と健康を守ることでもある!決して悪意を持って悪いエネルギーを撒き散らさないでください。
この特別な時期に少しでも慰めになればと思うし、私たちにできることは一緒に応援することだけだ!


この質問と回答はサイト利用者のものであり、サイトの立場を代表するものではありません、侵害など、削除するには管理者に連絡してください。