海綿状脳梗塞があっても、自分では何も感じない人もいるのだから、治療の必要はないのでは?なぜしないのですか?
海綿状脳梗塞があっても、自分では何も感じない人もいるのだから、治療の必要はないのでは?なぜしないのですか?
海綿状梗塞は脳梗塞である」という発言は、時折、頭部のCTやMRIで単発または多発の海綿状梗塞が見つかるため、アスピリンやスタチンなどを投与されている多くの人々を恐怖に陥れている。わずか数ミリの大きさの梗塞巣に対処することが本当に必要なのだろうか?
1.ラクナ梗塞の病態について、これまで世界中の医師が、動脈終末の老化、血液の "ゴミ"("ゴミ "とはどういう意味か)詰まり、血液粘度の高さ、細動脈の攣縮などの仮説を立てて、さまざまな示唆を与えてきた。動脈終末の老化、血液の "ゴミ "詰まり("ゴミ "とはどういう意味か)、血液粘度の高さ、細動脈の痙攣などといった説。例えるなら、内頸動脈は木の幹であり、木の葉は脳細胞群であり、内腔梗塞は葉と葉をつなぐ幹(細小血管)が閉塞して葉が枯れることである。葉が人の目につくところに生えている(機能的な脳細胞群)という例えでは、さまざまな機能領域がめまい、唾液分泌、不明瞭な発語などの一過性の症状を出すが、すぐに消えてしまう。枯れ葉が人の目に触れない場所、つまり非機能的な領域にあれば、症状はまったく出ないし、もちろんそのことに気づくこともない。
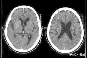
2.海綿状梗塞の割合は年齢と密接な関係があり、60歳以上の人がCTを受けると50%以上の人に海綿状梗塞巣(低密度の影)が見つかり、70歳以上の人の80%以上に海綿状梗塞巣が見つかり、時には複数の海綿状梗塞巣が見つかり、80歳以上の人の大部分には複数の海綿状梗塞巣があります。したがって、脳血栓症がなければ、脳梗塞(小さな動脈プラーク破裂血栓症、梗塞の大きさは海綿体梗塞よりはるかに大きい)は脳動脈終末の老化によるものと考えることができる。一方、30〜50歳の若年層では、海綿体梗塞の割合が高いことが判明している。そのほとんどは、感情的なストレスによって小さな脳動脈が痙攣し、わずか4〜6分で脳細胞が不可逆的に死滅することに関係している。
3.空洞性梗塞は年齢に正比例する。答えは「ある」である!長期高血圧末梢小動脈の高圧と血管内皮弾性線維、コラーゲン線維の弾力性の早期喪失、リング平滑筋増殖の中間層や他の要因は、下流の微小動脈虚血、より速く老化させ、高血糖と高脂血症も末梢小動脈と後退への損傷を悪化させる。もちろん、病的に拡大した心房細動の左心房では、左耳介が血栓粒子によって外れることがあり、これも末梢細動脈を閉塞させることがある。喫煙によって血液中に吸収された数十種類の有害物質も末梢の細動脈を損傷する。脳梗塞は神様のお心遣いである。三度のハイエンドコントロールと過度の喫煙のために、中・小動脈にプラーク破裂が起これば、大小さまざまな脳梗塞を引き起こし、それは悲惨なことになる。片麻痺、失語症、言語障害、嚥下障害、身の回りのことができないなど、生活の質が悪くなるだけでなく、長期の寝たきりの後遺症による合併症が起こることは何とも言えない。
高血圧、高脂血症、糖尿病を有し、心血管イベントや脳血管イベントを起こしたことがある、ステント留置によるPCIを受けたことがある、400年(1日の喫煙本数×年数)以上の喫煙歴がある、血管超音波検査やCT検査で多発プラーク、特にソフトプラークが認められる空洞梗塞患者には、プラークが破裂して脳梗塞や心筋梗塞を形成する新たな血栓が生じるのを予防し、空洞梗塞の発生を抑制するために、アスピリンやスタチンによる治療が必要である。多発。たとえ3つの高いが、通常は良好なコントロール、空洞梗塞患者の上記の状況がない空洞梗塞を防ぐために、アスピリンやスタチン系薬剤を服用する必要はありませんが、より重要なのは、食事、体重、適切な運動を制御し、自分の感情を制御することであり、そうでなければ興奮し、怒って血中アドレナリンの増加は、空洞梗塞の小動脈で発生し、動脈けいれんを引き起こすだろう、より大きいソフトプラーク動脈がある脳梗塞が発生し、時には感情を制御することがより困難である、心臓は知っているが、そうすることは困難である。コントロールは、心臓は、それが困難であることを理解し、その後、Qを学び、空は重要ではありません。
2018.9.7
無症候性ラクナ脳梗塞の患者は、神が親切な警告を与えてくれたことに感謝すべきである。
ラクナ型脳梗塞は脳梗塞の最も軽い型である。
しかし、ラクナ脳梗塞の場合は、患者さんの脳、あるいは体の血管に問題が生じたということであり、この場合は、幸いにも重要でない小さな血管が詰まっただけで、重篤な症状には至っていない。しかし、この患者の血管はすでに大きな問題を抱えており、何も注意を払わなければ、将来深刻な脳梗塞に発展する可能性がある。
したがって、ラクナ脳梗塞が存在する場合は、以下のことを直ちに行う必要がある。
1.血中脂質、血液ルーチン、肝臓と腎臓の機能をチェックし、頸動脈超音波検査、血圧と血糖値を測定する。
血中脂質検査は高脂血症の有無を調べるもので、高脂血症があれば、脂質低下薬を服用するかどうかを検討する必要がある。
頸動脈超音波検査は、頸動脈のプラークや狭窄を調べるために行われる。
血圧を測定し、脳梗塞の主な原因である高血圧かどうかを確認する。
糖尿病を除外するために血糖値を測定する。
肝機能と腎機能は、一方では肝臓、腎臓、凝固がどのように機能しているかを見るために、また他方では将来の薬物療法を評価するために用いることができる。
2.アスピリンや脂質低下剤の服用を開始する必要があるかどうか、医師に相談する。高血圧、高血糖、高血中コレステロールの方は、関連疾患の薬物療法の進め方についても医師にご相談ください。
3.運動を強化する、重量を失う、脂肪を失う
4.脂っこいものをあまり食べない、糖分の多いものをあまり食べない、ミルクティーやコーラなどの飲み物をあまり飲まない、お茶を飲むことができる。
ラードの代わりにオリーブオイルを使う。
5.病院での定期的なレビュー
血管にすでに異常があるため、次に閉塞が起こるのを遅らせるようにすることが重要である。もし次に閉塞が再発したら、本当に深刻な脳梗塞になる可能性があるからだ
多くの高齢者は、病院でCTを撮った後、診断書に「脳梗塞」と書かれているのを目にする。脳梗塞」という文字を見た途端、恐怖を感じずにはいられなくなり、慌てて医師に尋ねる。私は脳梗塞なのでしょうか?

脳梗塞とラクナ脳梗塞の違い
1.脳梗塞:脳梗塞」とは、動脈硬化や血栓によって、脳に血液を供給する大・中サイズの血管の血流が途絶え、その結果、該当する部位の脳組織が虚血や壊死を起こし、麻痺やさらに深刻な事態を患者にもたらす可能性があるものを指す。
2.空洞性脳梗塞:長年の高血圧、糖尿病、高脂血症などを基盤として、脳の小動脈が加齢とともに血管壁に病変を生じ、内腔が閉塞して小さな梗塞巣が形成される疾患である。
簡単に言えば、脳梗塞は中・大動脈の閉塞の結果であり、ラクナ脳梗塞は非常に小さな動脈の閉塞の結果である。

ラクナ脳梗塞の症状
ラクナ脳梗塞で閉塞する血管は非常に細いため、脳組織の損傷はほとんどなく、臨床症状も非常に軽いことが多い。ほとんどの患者には臨床症状がなく、めまい、頭痛、手足のしびれ、めまい、記憶障害、反応速度の低下、認知症などの症状がみられるのはごく少数である。発症率からみると、年齢が高くなるにつれて、ほとんどすべての高齢者がラクナ脳梗塞を発症するようになる。
ラクナ脳梗塞は治療が必要か?
一般に、海綿状脳梗塞の予後はほとんどが良好で、障害率は低く、患者は普通に生活し働くことができる。一部の症状のある患者に対しては、血液循環を活性化し、血液のうっ滞を取り除く薬剤の短期点滴による症状の緩和が考慮される。明らかな症状がない場合、ラクナ脳梗塞そのものに対する特別な治療は必要ないが、ラクナ脳梗塞や巨大脳梗塞の再発リスクを減らすために、患者の危険因子に対して的を絞った介入を行う必要がある。

ラクナ脳梗塞の再発や脳梗塞の発症を防ぐにはどうしたらよいですか?
1.感情を安定させ、適度に運動する:ラクナ脳梗塞が発見されても神経質になりすぎず、前向きで楽観的な考え方を維持することが、心血管疾患や脳血管疾患の予防に重要な要素であるだけでなく、長寿を実現する鍵であり秘訣でもある。同時に、疲労を感じない程度に、個人の体調に合わせて適切で適度な運動や身体活動を行う必要がある。早足や山登りなどの激しい運動は好ましくないが、ジョギングやウォーキング、太極拳などの有酸素運動は行ってもよい。
2.良い食習慣を身につける:ラクナ脳梗塞の患者は、禁煙、禁酒、軽食を心がけ、新鮮な野菜や果物を多く摂るようにする。
3.危険因子を取り除く:高血圧、糖尿病、高脂血症、動脈硬化、高血液粘度、喫煙、飲酒などは、すべて空洞梗塞の危険因子と考えられている。したがって、血圧、血糖、血中脂質を積極的にコントロールし、喫煙、飲酒を控える必要がある。抗血小板薬(アスピリンなど)やプラーク安定化薬(アトルバスタチンカルシウムカプセルなど)の服用も必要である。

4.定期検査定期的な検診は、問題の早期発見と早期介入を可能にする。
この回答が役に立ったら、「いいね!」を押して応援してください!
海綿状脳梗塞に関する質問は、クリニックで最もよく聞かれる質問の一つです。 検査機器の進歩や健康診断の普及に伴い、頭部CTを撮影することがごく一般的になり、その結果、海綿状脳梗塞であることが判明する人が増えていると言えます。では、私たちはどのように海綿状脳梗塞と向き合えばよいのだろうか。
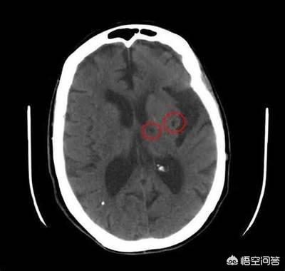
厳密に言えば、ラクナ脳梗塞とは、大脳半球や脳幹の深部にある細い貫通動脈が、長期にわたる様々な危険因子の関与、特に高血圧の影響によって血管内腔の閉塞を起こし、小さな梗塞巣を形成したものである。例えるなら、脳を白い紙とすると、ラクナ脳梗塞は白い紙の上に撒かれたゴマで、非常に小さいがすでに存在している。
海綿状脳梗塞の治療が必要かどうかについては、多くの場合、患者さんの具体的な状況によるというべきで、喫煙や飲酒、肥満、高血圧、糖尿病、高脂血症などの危険因子が多い場合は、アスピリンやスタチンの内服などの治療が必要になる可能性が高い。しかし、ラクナ脳梗塞が発見されただけで、他に危険因子がない場合は、まず生活習慣を改善し、特に血圧、血中脂質、血糖を注意深く観察し、必要に応じて薬物療法を行うことも可能である。
要するに、海綿状脳梗塞がどのような治療を受けるかは、患者の具体的な状況次第であり、すべての人が同じではなく、個々の状況に応じて、ケース・バイ・ケースで分析しなければならない。
ラクナ脳梗塞とは?
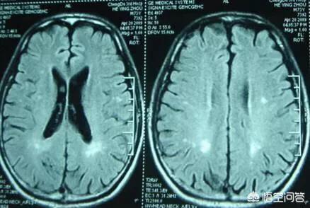
空洞性脳梗塞は、大脳半球および脳幹の深部白質に発生する虚血性微小脳梗塞である。梗塞巣は不規則な円形、卵形、または細長い形をしており、その直径は数ミリである。以前は、この現象はヒトの脳の病理解剖時にのみ検出されていた。CTやMRIが普及し、技術が進歩するにつれて、ラクナ脳梗塞が発見される確率が高くなった。

ラクナ脳梗塞の原因は?
ラクナ脳梗塞の原因は特に明らかではないが、高血圧や糖尿病などの要因により小動脈や細動脈が変性し、血管が閉塞することに関係するという説が有力である。
ラクナ脳梗塞の症状は?
ラクナ脳梗塞の症状は多彩で、脳梗塞の部位によって運動異常、感覚異常、運動失調、構音障害などが現れる。しかし、全体的な特徴としては、症状が比較的軽い、徴候が単一である、予後が良好である、頭痛、頭蓋内圧亢進、意識障害などがない、などである。梗塞がたまたま重要でない部位に起こった場合、患者自身は非常に軽い症状で、それを気にしないか、あるいはまったく何も感じない可能性が非常に高い。
ラクナ脳梗塞は治療が必要か?
脳梁性梗塞は中高年に多く、女性よりも男性に多い。
また、明らかな症状がなく偶然発見される場合もあり、病変がすでに古く、梗塞が起こってから時間が経っている可能性が高い。このような脳梗塞そのものは、もはや治療の必要はないが、私たちに強い警告信号を発している:
脳血管の状況が非常に悪くなっている可能性が高い。
大きな木の無数の小さな枝のようなもので、いくつかの枝が不可解に枯れ始めたら、他の枝がうまくいっていないという事実に注意しなければならない。

予期せずラクナ脳梗塞を発見した場合、どうすればよいのでしょうか?
1 血圧が正常かどうかを確認する。すでに高血圧の既往歴がある場合は、普段から血圧がうまくコントロールされているかどうかも振り返っておきましょう。
2 血糖値が正常かチェックするすでに糖尿病であればなおさら、普段から定期的に血糖値をチェックしているかどうかを振り返ることが大切です。
3 血中脂質に異常がないかチェックする。
4 心臓超音波検査、頸動脈超音波検査、脳血管超音波検査で、血管に血栓やプラークがないか調べる。
5 喫煙と飲酒をやめ、規則正しい生活を送り、十分な休息をとり、夜更かしをしない。
6 コンスタントに運動し、体重をコントロールする。
7 十分な医学的評価を行った上で、脳梗塞の再発を予防するために必要であれば、医師の管理下でアスピリン、スタチン、その他の薬を服用する。
Dr. Cheng's Bacchusのフォローを歓迎します。
お気軽にコメントを残してください。
ラクナ脳梗塞は梗塞の大きさが小さく、その多くが脳の機能しない部分に発生するため、ほとんどの患者は無症状である。症状があっても軽症であることが多く、予後は良好です。しかし、自覚症状があろうとなかろうと、ラクナ梗塞は重く受け止める必要がある。
ほとんどの場合、ラクナ梗塞そのものに対する特別な治療法はないが、重要な問題は、ラクナ梗塞の再発や巨大梗塞のリスクを減らすために、この病気の原因を理解し、患者の危険因子に介入することである。
高血圧はラクナ脳梗塞の主な原因です。 高血圧の方は、血圧を慎重にコントロールし、140/90mmHgを超えないようにしなければなりません。
同時に、他の脳血管疾患の予防と同様に、減塩・低脂肪食を守り、適度な運動、健康的な生活習慣の維持、禁煙・飲酒の制限、屋外での運動量の増加、体重のコントロール、情緒の安定、血糖値や血中脂質のコントロールなどを行い、身体を最適な状態に調整することも必要である。同時に、スタチンやアスピリン療法の必要性についても、医師の指導のもと、ケースバイケースで判断する必要がある。
脳梗塞とは、脳血液循環障害や虚血・低酸素症によって脳組織が限定的に虚血軟化または壊死することをいう。ラクナ型脳梗塞は大脳基底核や脳橋の小貫通枝にある小さなラクナ病巣が主な原因で、病巣のほとんどは15mm以下の小さな範囲である。小動脈硬化、閉塞、アテローム性動脈硬化症、心臓塞栓症は脳梗塞の最も重要な危険因子である。
中高年の高血圧患者に多く、高血圧、糖尿病、高脂血症などの慢性疾患の既往を伴うことが多い。ラクナ型脳梗塞に先行して一過性脳虚血発作を起こす症例もあり、これは急性あるいは亜急性に静穏時に発症することがある。ラクナ型脳梗塞の症状は軽く、自力で軽快することもありますが、ほとんどの人が高血圧、高脂血症、糖尿病などの脂質異常症を合併しているため、病気が進行しやすく、血栓症や大きな梗塞を起こしやすくなります。したがって、ラクナ脳梗塞を発症していても何も感じない人がいたとしても、早期の介入が必要である。
一次血糖と脂質のコントロールには積極的な病因学的介入が必要であり、血圧は130/80mmHg未満、高齢者では140-150/90mmHg未満にコントロールすることが要求される。グリコシル化ヘモグロビンは6.5%未満、非空腹時血糖は8.0〜10mmol/L、空腹時血糖は7.0mmol/L未満にコントロールすることが要求された。低用量アスピリン腸溶錠による抗血小板療法を同時に必要とする。生活習慣を改善し、減塩、低脂肪、軽食、定期的な運動、禁煙、アルコール制限、眼底検査を定期的に行う。漢方薬の田七人参、サルビア、イチョウ葉も治療に役立つ。ラクナ脳梗塞の予後は一般的に良好で、ほとんどが回復あるいはそれに近いレベルまで回復します。 死亡率や後遺障害率は低いですが、再発予防のために血圧、血中脂質、血糖値を目標範囲に積極的にコントロールし、注意する必要があります。
薬事ウェブサイトの権威ある解釈を無断で複製することは禁じられており、盗用は告訴される。
ラクナ脳梗塞があっても、自分では何も感じない人もいるが、治療が必要ではないのか?
実際、小さな海綿状脳梗塞が起こっても、ほとんどの人は何も感じず、健康診断や頭痛で病院に行って初めて自分が海綿状脳梗塞であることを知る。

脳梁性脳梗塞とは、大脳半球や脳幹に存在する小さな穿通動脈の内腔が、様々な原因による血管壁の病変によって閉塞することによって生じる小さな梗塞病巣である。
これらの小深動脈は脳動脈の終末枝であり、血液供給が限られているため、虚血による壊死の範囲も限られており、通常は15mm程度の小さな病変にとどまる。そのため、ほとんどの場合、症状はなく、壊死した部分だけが吸収され、小さな嚢腔が残ることがある。
しかし、だからといって無視するわけにはいかない。
まずチェックしなければならないのは、高血圧、高血糖、高脂血症があるかどうかです。これらの基礎疾患はすべて、虫歯梗塞の発症につながります。小さな虫歯梗塞を見つけたからといって油断は禁物で、実はこれは体からの早期警告信号なのです!

三高』とそれらの問題を除外するのであれば、習慣と食事に注意を払う必要がある。
一般的に40歳から50歳の間に、体はすでに下り坂にある。あなたは自分自身を甘やかすことができない、口、それらの揚げ物、バーベキュー、大きな魚や肉、喫煙や飲酒を制御し、これらの口と胃の欲望も節度を持っている必要があります。これらは心血管疾患の高い発生率につながるトリガーであり、あなたは誘惑に耐えることを学ばなければならない。
身体は下降線をたどっているとはいえ、人生のこの時期のほとんどはまだ上り坂だろう? 出世の上り坂、あらゆる面でのプレッシャー、夜更かしや残業の必死の努力、徹底的な計画性。申し訳ないが、これらも梗塞の原因なのだ。
私は家族のために方法がないことを知っている、その後、より多くの屋外スポーツに参加する必要があります、あなたが仕事をするときは、毎日立ち上がる時間を取ることができますし、筋肉を動かし、数分間心を休ませ、あなたも仕事の効率を向上させることができます。ジョギングや早歩きでもいいので、毎日30分程度の有酸素運動を心がけるのがベストだ。
徹夜することはできません、徹夜しないでください、これは本当に心からの言葉です。特に残業するために遅くまで起きて、これは単に爆弾を押すために体であり、それが爆発するときにわからない。

最後は感情的な問題で、感情が興奮しない、長期的なストレスが血管の痙攣につながる血管梗塞を引き起こしやすくなります。だから毎日仕事の後に、より多くのことができ、家族、友人チャット、いくつかのことを言うために、吐き出すと、はるかに簡単に感じるだろう。
もちろん、空洞梗塞の場合は医師の診察を受け、検査を受け、必要であれば予防薬を服用するのがベストである。めまい、頭痛、吐き気や嘔吐を伴うもの、口や目の片側が斜めになるもの、唾液が出るもの、片側または両側の下肢、脱力感、一過性の錯乱などの症状がある場合は、一刻も早く病院へ行き、治療を保存する必要があります。
リハビリテーション科の李です。 右上の角をクリックしてフォローしてください。
招待してくれてありがとう!
ドクター・リーをフォローし、健康について語り、より実践的な健康知識をお届けします!
確かにラクナ脳梗塞の方の中には、全く具合が悪くなく、脳梗塞の症状があったことも覚えていない方もいらっしゃいますが、通常、ラクナ脳梗塞の病変は、他の理由でCTやMRを撮って初めて脳内に発見されます。この場合、神経内科では「無症候性脳梗塞」と呼んでいます。これは、画像で検出されたものの臨床的に症状のない梗塞は、たいていサイズが小さかったり、機能に影響する部位になかったりすることを意味する。この現象は高齢者では珍しくない。
この偶発的に発見されたラクナ脳梗塞を消失させる方法はないので、この観点からすると、このラクナ脳梗塞は治療する必要はない。
しかし、"無症候性梗塞 "は臨床的意義がないという意味ではない。ラクナ梗塞の原因は通常、症候性梗塞と同様である。また、高血圧、糖尿病、高脂血症、喫煙、多量のアルコール摂取、肥満、心臓病、血管疾患などの危険因子も含まれる。したがって、無症候性脳梗塞が意図せずに発見されることは、実は脳血管障害の予防を真剣に始めるための警鐘なのである!
したがって、今回発症した無症候性ラクナ梗塞を治療することはないが、例えば、血圧、血糖、血中脂質のコントロール、禁煙・禁酒、毎日の運動、体重管理、心疾患などの治療、適応があればアスピリンやスタチンの内服などにより、起こりうる症候性脳梗塞の予防を開始することが重要である。
また、無症状のラクナ脳梗塞が1~2個あっても、現時点では健康への影響はほとんどないことも重要である。しかし、ラクナ脳梗塞が多発すると、片麻痺や失語症などの典型的な症状がなくても、記憶障害や反応速度の低下などの認知障害を起こすことがあります。したがって、無症候性ラクナ脳梗塞が発見された場合には、より重篤な結果を避けるために、自分の危険因子を注意深く検索し、厳格に管理する必要がある。

日常生活の中で、突然失神する人、半身不随になる人、言語障害や知的障害を持つ人に出会うことがあるが、これらの多くは脳梗塞が原因である。脳梗塞とは、脳への血液供給障害による虚血や低酸素によって、脳組織が限定的に虚血性壊死を起こしたり、軟化したりすることをいう。
脳梗塞の怖さがお分かりいただけたと思いますが、何も感じない脳梗塞、すなわち空洞性脳梗塞と呼ばれる脳梗塞もあり、脳梗塞の一種です。海綿状脳梗塞は一般的に15mm以下の脳梗塞を指し、海綿状脳梗塞の原因は明らかな症状を伴う脳梗塞の原因と似ています。また、高血圧、糖尿病、高コレステロール血症、喫煙、多量飲酒、肥満、心臓病、血管病などの危険因子も含まれます。脳梁性脳梗塞は頭蓋大脳毛細血管病変に属し、大血管はまだ開いており、脳細胞は正常に働くことができ、臨床症状は軽く、ほとんどの患者は無症状である。
海綿状脳梗塞は、病変が軽度であっても無視できないが、それには2つの理由がある:
まず、ラクナ脳梗塞が脳深部のような重要でない部位に発症した場合、自覚症状がないこともあるが、内被殻や脳幹のような重要な部位に発症した場合は、深刻な事態を招く可能性がある。例えば、体の片側が麻痺して動かせなくなるなどである。脳幹に発生した場合は、さらに多くの問題が発生し、命にかかわることさえある。
第二に、ラクナ脳梗塞が多巣性の場合、片麻痺や失語症などの典型的な症状がなくても、記憶障害や反応速度の低下などの認知障害を引き起こすことがある。したがって、無症候性ラクナ脳梗塞が発見された場合には、より重篤な結果を避けるために、自分の危険因子を注意深く検索し、それらを厳格に管理する必要がある。
したがって、海綿状脳梗塞も真剣に対処する必要があり、通常は血圧、血糖値、血中脂肪をコントロールし、禁煙、アルコール、毎日の運動、体重管理、心臓病などの治療、適応症がある場合は、経口アスピリンとスタチンを使用する必要があります。

ページ下部の[さらに詳しく]をクリックすると、さらに詳しい回答が表示されたり、医師に無料で質問することができます!
ファミリードクターオンライン "ヘッドライン番号に従ってください、より多くの健康Q&Aを簡単に見ることができます~~~~~~~~~~~~~~~~~~~~~~~~~~~~~。
この質問と回答はサイト利用者のものであり、サイトの立場を代表するものではありません、侵害など、削除するには管理者に連絡してください。