高齢女性に膝痛が多いのはなぜ?それを取り除く最善の方法は?
高齢女性に膝痛が多いのはなぜ?それを取り除く最善の方法は?
この質問は間違ってはいない。私たちの現実の生活の中で、確かに多くの高齢の女性が非常に膝の痛みになりやすく、医師の仕事の中で、我々はまた、そのような感覚を持っている、つまり、関節痛、特に膝の痛みを持つ女性の患者が特に高いですが、なぜそうなのでしょうか?

女性が膝痛になりやすい理由はとても複雑ですが、今日はその理由について詳しくお話ししましょう。
女性の身体解剖学的構造は男性とは本質的に異なる。
女性は生殖の役割を担っているので、女性の骨盤は比較的男性の骨盤よりも広く、それはまた、膝関節の力線につながる、また、特定の異常を持っている、我々は通常、女性の骨盤は、男性の骨盤よりも広いです。膝蓋骨の中点から脛骨結節までの線が、大腿四頭筋の引きつけの立位線と交差する角度をq角という。正常なq角は男性で10~15°、女性で12~18°である。 q角が大きいほど、膝蓋骨は横方向に動く傾向がある。女性の場合、座屈角度が大きいほど、スクワット時の膝蓋骨と大腿骨後面との摩擦が大きくなるため、多くの女性が膝蓋大腿部外側に痛みを感じやすくなります。

女性のq角の角度は男性より3°大きいだけと誰もが思うかもしれないが、デリケートな膝関節にとってこの3°の異常は、女性が膝痛を起こしやすいことを知るには十分である。人工膝関節置換術における1°のズレは、取り返しのつかない結果をもたらす可能性がある。

女性の妊娠は膝痛を引き起こしやすい原因である。
妊娠中の女性体重の変化は顕著だろう。ホルモンは大きく変化し、体重が1キロ増えるごとに膝関節にかかる負担は4キロ増えるため、妊娠中に体重が増えると関節にある程度の炎症が起こりやすくなる。そして妊娠中、女性のホルモンレベルは大きく変化する。陣痛中はホルモンの影響が大きくなる。 ホルモンの作用で靭帯や腱が緩み、陣痛に有利になる。 関節については、腱や靭帯が緩むと関節が不安定になり、不安定な関節は痛みが出やすくなる。

更年期障害は骨と関節に大きな影響を与える
女性にとって更年期は大きなハードルであり、整形外科の観点から言えば、ホルモンレベルの急激な低下により、骨は以前よりも強度が低下し、骨粗鬆症と呼ばれる状態になります。更年期の骨粗鬆症。女性患者の痛みにつながることもある。筋肉と骨はひとつの家族であることを知る。骨が弱くなり、筋肉も自然に弱くなる.骨量の約10%が失われると、患者は骨に痛みを感じるようになる。筋肉が萎縮したり弱くなったりすると、関節も安定しなくなり、これも痛みにつながる。

加齢はそれ自体、関節に痛みを引き起こす傾向がある。
男性も女性も、年齢を重ねるにつれて骨や関節が変性しやすくなる。骨関節炎,変形性関節症は男性よりも女性の方が発症しやすく、その割合は1.6:1である。。

女性の身体的特徴
女性と男性では生理的な解剖学的構造が異なるため、女性はトイレに行くときにしゃがむが、膝関節にも一定の影響がある。しゃがむと、膝関節には体重の5.6倍の圧力がかかる。。

オーバーワーク
わが国の現在の社会パターンでは、女性は働く責任を負わなければならないだけではない。家に帰ったら、洗濯、料理、育児、家事を担当する。これらによって、女性の仕事量は常に増えている。特に、清潔好きな女性の中には、毎日、次のような仕事をこなさなければならない。膝をついて床を磨くか、しゃがんで床を磨く。長い目で見れば、関節への負担は必ず大きくなり、女性は骨や関節に問題を抱えやすくなる。
これらは、女性が膝痛になりやすい、一般的な原因の一部です。では、一般的な問題にはどのように対処すればよいのでしょうか?詳しくお話ししましょう。
骨粗鬆症による膝の痛み

特に更年期のこの時期に膝の痛みを感じる女性は、病院で専門の内分泌専門医に相談し、以下のような検査を受けるべきである。骨粗鬆症の有無を明確にするための二重エネルギーX線検査この検査は骨粗鬆症のゴールドスタンダードである。この検査は骨粗鬆症のゴールド・スタンダードであり、骨粗鬆症が存在することを明確にして初めて、骨粗鬆症への対処について話すことができる。

二重エネルギーX線の検査に基づき、次のようなt値が得られる。このt値は-2.5より有意に低く、骨粗鬆症の診断を裏付けるものである。。
また、女性の骨粗鬆症には、次のような治療が推奨されている。骨代謝検査。この検査によって、骨形成の低下による骨粗鬆症なのか、骨破壊の亢進による骨粗鬆症なのかをはっきりさせることができる。また、女性の多くは更年期にビタミンDが著しく不足するので、骨代謝検査によってビタミンDがどのような状況にあるのかもはっきりさせることができる。

●食事の調整。骨粗鬆症であることが明らかになったら、女性は毎日一定量の骨粗鬆症を摂取するよう主張すべきである。ナッツヘーゼルナッツとビターアーモンドの量は多すぎず、ほんの一握りでも全く問題ない。卵、牛乳屋も深海魚サーモンなど特定の種類の魚の摂取は、週2回100gで十分であると推奨されている。野菜の摂取量を適切に増やすことが重要であり、特に以下のことが重要である。葉物野菜その量は1日500gを下回らないようにする。豆類の摂取量を増やすことは、カルシウムの摂取量を補う良い方法でもある。
適切で一貫した運動。骨の健康を促進する運動は、体重を支える運動である。,ジョギング、早歩き、適切なダンベルリフティング、ダンス、高齢者向けのエアロビクス、太極拳。しかし、水泳は水の浮力を利用した非加重運動であるため、ほとんど意味がない。
必ず太陽に向かってください。毎日の日焼けは約20~30分でコントロールできる。日差しが強ければ時間を短くし、日差しが弱ければ時間を長くすればよいが、あまり長時間日光浴をしたり、直射日光の下で日光浴をしたりすると、日焼けをしやすくなる。皮膚がんさらに、ガラス越しに日光浴をしないことも重要だ。ガラスは骨の健康に最も重要な紫外線を吸収してしまうからだ。
骨粗鬆症がより深刻で、それに対抗したい場合は、次のような骨破壊を抑制する適切な薬を経口投与することが可能である。ビスフォスフォネート薬を飲んでもいい。骨カルシウム沈着を促進する薬剤例えば、オステオトリオールやα-オステオールは、専門医の指導のもとで服用しなければならないが、これらの薬にはしばしば特別な服用方法や注意を払わなければならない特別な詳細があるため、例えば、オステオトリオールを服用した後、定期的に血中カルシウム、血中リンを再検査し、薬の投与量を適時に調整しなければならない。
●適切なカルシウムのサプリメントを摂取する。この原料を補充するためにカルシウム錠剤を経口摂取することは、やはり理にかなっており、通常、経口カルシウムの摂取量は1日600~1000mgに抑えることを推奨している。

●骨粗鬆症患者に適したいくつかのリハビリ運動.骨粗鬆症の女性の友人のためのこれらの演習は良いですが、骨の健康のためにそれを遵守し、次のように、適切な選択を行うには、各アクションを行う必要はありませんが、自分の行動のためにいくつかの適切な、それを遵守するメリットがあります。








変形性膝関節症による膝の痛み!
すでに述べたように、女性は変形性膝関節症にかかりやすく、変形性手関節症も女性にとって大きな問題である。
初期の変形性関節症患者は、しばしば以下のような症状を示す。膝裏の張り。であったろう。関節の弱さ特に、次の試合がある場合は。弱った足を叩くこの病気の症状として、しゃがんだ時に明らかに関節がポキポキと鳴り、痛みを伴う患者もいる。病状が重くなるにつれて、患者さんの症状はより重くなり、一部の患者さんでは徐々に階段の上り下りや平地を歩くときに関節が痛む。さらに重症になると、安静時にも関節痛が出現し、著しい痛みを伴うこともある。関節可動域障害および関節の変形。
変形性膝関節症の場合、女性には膝関節のレントゲン検査や膝関節の磁気検査をして、関節腔の軟骨がどのような状態なのか、最終的にどの程度の骨棘が形成されているのかを明らかにすることをお勧めします。その方が、患者さんが科学的な治療を行うのに役立つと思います。

:: 用症状は比較的軽い検査を受け、変形性関節症であることが確認された女性は、以下の通りである。体重を適切にコントロールし、関節への負担を減らす。長時間のスクワット、膝立ち、プランク、山登り、階段の上り下りなど、関節への負担を増やす動作は最小限に。なぜなら変形性関節症の病理学的基盤は、関節内の軟骨の損傷である。変形性関節症の症状を抑えるために、経口アンモニアや独自の医薬品を服用することができる。

症状がより重い患者には、関節内注射を試みる。硝酸ナトリウムまたは多血小板血漿因子関節軟骨の損傷の修復を促進し、関節軟骨の弾力性を高め、関節内の潤滑性を高めることで、必要に応じて症状を緩和する。関節鏡手術痛みを軽減するために、自分で症状を管理する。

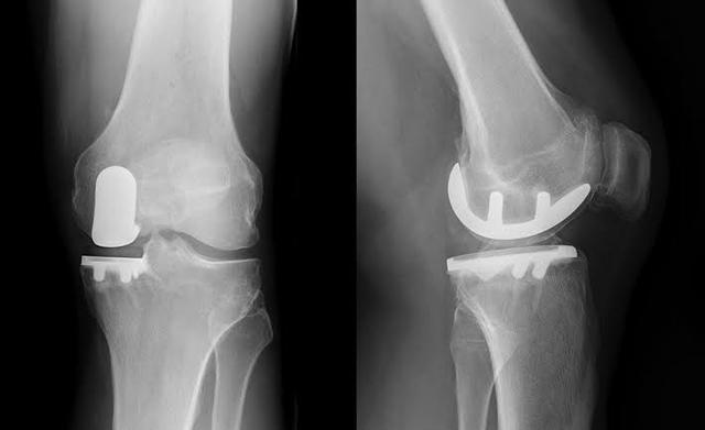
関節の症状が特に重く、患者さんが明らかな関節の変形普通に歩くことができず、500メートル以上歩くと関節に著しい痛みがあり、安静時や睡眠時の痛みがひどい場合は、人工関節置換術の適応となります。人工膝関節置換術が、患者を完全に救う唯一の方法かもしれない。。

●リハビリ運動..女性の友人の変形性膝関節症の痛みのために、問題があることを考えないでください、無動は、関節の摩耗や損傷を軽減することができます。関節軟骨の保護のために、代わりに適切な運動が有益である、歩くために一日あたりのステップ数は6000を制御することをお勧めします〜8000ステップは全く問題ありませんが、原則を習得するために、斜面を歩かないようにしてください:その坂道ではなく平坦な道を歩けること、階段ではなくエレベーターを利用できることがすべてだ。。
また、以下のようなものもある。下肢の血液循環を促進し、関節の柔軟性を維持し、関節周囲の筋力を高めるためのリハビリ運動。以下は、症状が出たその日から行うべきリハビリ体操のリストである。すべての動作を行う必要はなく、関節の保護にこだわる限り、自分に適したものを選んでリハビリ体操に臨むようにすると、その効果が期待できる。












概要
女性の膝痛の原因は数多く、複雑であり、患者ごとに原因が異なると言ってよい。
高齢女性に多い膝痛の原因は、骨粗鬆症と変形性膝関節症である。あなたがまだ他の疑問を持っている場合は、記事の中で、いくつかの詳細を与えているに対処する方法であるべきである、あなたはもちろん、以下のようなメッセージを残すことができます。関節リウマチ。像半月板他の要因もまた、高齢女性が痛みを経験する傾向に寄与している。これは、具体的な問題の具体的な分析が必要ですが、記事では、我々はそんなに詳細については話すことはできません、謝博士はまた、多くの人気のある科学の記事を書いている、あなたは助けを求めるために謝博士の過去の人気のある科学の記事で、謝博士をフォローすることができます。
私は謝新輝は、病気の知識の複雑さを説明するために簡単な言葉に付着している、コードワードは簡単ではありません、あなたは私の意見に同意する場合は、懸念を指摘したり、それを好きなようにクリックしてください、あなたやあなたの家族や友人はまた、トラブルのこの分野で関節痛を持っている場合は、彼らのそれの必要性にこの記事を転送してください、ありがとうございました!
膝が痛い?ウォン教授のコメントを見てみよう。
高齢者の膝の痛みは、特に男性よりも女性に多いようで、ほとんど解決不可能な謎です。 多くの人は、軟骨のすり減り、半月板の変性、靭帯の機能不全、骨棘など、痛みを発症した後に起こる構造的な変化ばかりに注目しています。残念ながら、これらの構造は、私たちの体にもともと備わっている最も貴重な贈り物であり、長く使えば使うほど劣化し、すり減るばかりです。薬やクリーム、鍼治療、リハビリテーション、人工関節置換術でさえ、どんなに努力しても、膝を工場出荷時の設定に戻すことはできません。どんなに努力しても、投薬、絆創膏、鍼治療、リハビリテーション、人工関節置換術でさえ、その結果、膝を元の設定に戻すことはできない。今日は、ウォン教授が遺伝学を通して膝関節の過去と現在についてお話します。

人はなぜ直立歩行するのか?
私たちの祖先が爬虫類から4本足の哺乳類に進化した約300万年前は、獰猛な動物や鳥類がたくさんいる平らな草原での生活は非常に困難で危険だったため、実際にはほとんどの時間を木の上で暮らしていた。しかし、環境が進化し、森林の数が減るにつれて、私たちの祖先は獣と生存競争をするために木から降りなければならなくなり、自然淘汰の挑戦に従って、私たちの祖先は四足歩行から二足歩行へと徐々に進化していった。

しかし、ご存じだろうか?この進化の過程は、私たち人間の構造に非常に大きな変化と挑戦をもたらしました。頭の位置は中央に置かれ、もはや前傾姿勢ではなくなり、背骨は直立し、骨盤は小さく大きくなり、下肢は体の全体重を負担するようになりました。ですから、私たちが生き残るために両足で歩き始めることにしたとき、膝関節に大きな負担がかかる運命にあったことがわかります。高齢者の膝関連の病変や痛みの発生は、当然のことのように思えるかもしれません。高齢者の膝関連の病変や痛みは、当然のことのように思えるかもしれない。

男女の構造は大きく異なる
私たちの祖先は集団で生活するようになり、労働を分担し始めた。男性は狩りをたくさんする必要があったため、背の高い体、強い脚、強い腕を発達させた。この時期の男女の違いは、生存の目的の違いによって大きくなった。

時間の進化とともに、女性ホルモン、更年期、出産、家事、不活動、体の使用率が急速に低下し、我々は一つのことを理解する必要があります、私たち人類の進化は、性別に関係なく、この体の構造は、過去の考古学者が提示した証拠によると、私たちの祖先は、一日で生き残るために、31キロの距離を歩かなければならない、それは逃亡、移動、狩猟動物などを含むことがあります。これは実際に、私たちの体の遺伝子は、私たちの体に比べて、我々は非常に走るのが得意ですが、私たちの体の遺伝子は、私たちの体に比べて、我々は非常に走るのが得意ですが、私たちの体の遺伝子は、私たちの体に比べて、我々は非常に走るのが得意ですが、私たちの体の遺伝子は、私たちの体に比べて、我々は非常に走るのが得意ですが、私たちの体の遺伝子は、私たちの体に比べて、我々は非常に走るのが得意ですが、私たちの体の遺伝子は、私たちの体に比べて、我々は非常に走るのが得意ですが、私たちの体の遺伝子は、私たちの体に比べて、我々は非常に走るのが得意ですが、私たちの体の遺伝子は、私たちの体に比べて、我々は非常に走るのが得意ですが、私たちの体の遺伝子は、私たちの体に比べて、我々は非常に走るのが得意ですが、私たちの体の遺伝子は、私たちの体に比べて、我々は非常に走るのが得意です。考古学的証拠によると、私たちの祖先は生き残るために1日に31キロの距離を歩かなければならなかったが、これには逃亡、移住、動物の狩猟などが含まれる可能性があり、実際に私たちの体の遺伝子が走るのが非常に得意であることを示しているが、今日の私たちの生活パターンと比較すると、平均的な人は1日に約0.5キロを歩き、座りっぱなしの仕事やライフスタイルは、現在、変形性膝関節症の最も恐ろしい殺人者であるああ!

膝の変性に男女差はない
中年女性の方が膝関節痛の発生率が高いようですが、男性の活動レベルが高いことや、サッカーやバスケットボールなど膝関節に大きな負担をかけるエキサイティングなスポーツを好むことなどから、巨視的に見ると、膝関節の使い過ぎと膝関節損傷の可能性との間には、非常に微妙な関係があるとされてきました。臨床症状によると、中高年の女性は軟骨のすり減りや半月板の損傷、骨棘ができやすいのに対し、男性は靭帯の損傷や半月板の損傷が多く、骨棘ができにくい。これは、一般的に男性の骨が女性よりも硬いためと考えられる。

さらに、ウォン教授は興味深い現象を発見した。それは、中年女性は倹約の美徳を実践する傾向が強いということである。通常、毎食の食べ残しがある場合、母親は常に胃の内側に送る方法を見つけようとする。たとえすでに満腹であったとしても、それでも無駄にするわけにはいかないのだ。母乳で育て、出産し、次の世代を再生産するために脂肪を蓄える、これはああ、そのような神聖な原因ですが、それは私たちの祖先は、プライミングを考えたことがないことは残念です今、影響は非常に大きく、おそらく我々はそれが不完全で進化の時代であると考えることができます。

病気を治療するのではなく、病気を予防するのだ。
実際、ウォン教授が言おうとしているのは、リハビリテーション医学や膝関節問題の進化の歴史から見ると、現代医学の観点は、症状に基づいて、対症療法、薬物療法、運動指導、あるいは不治の病であれば手術や人工膝関節置換術を行うというもので、非常に残念なことだと思います。そのため、予防と保護という概念を持たなければならない。

1,1日10,000歩(約8,000メートル)歩き続ける。
2.座りっぱなしの生活や仕事の習慣を減らす
3.自分の能力に合わせて、筋持久力、特に体幹の筋肉を向上させる。
4、バランスのとれた栄養、十分な日光浴。
5.膝をついたり、這ったり、階段の上り下りなど、膝関節の不必要な消耗を減らす。
6.骨粗鬆症の状態を定期的にモニターする

概要
中高年の女性は、遺伝的に男性よりも変形性膝関節症になりやすいという宿命がありますが、この分野の知識を深め、科学的な方法に従って膝関節のメンテナンスや運動を行えば、この呪縛を解くことができるはずです。ウォン教授は、膝関節には寿命があると何度も言っていたが、膝関節の健康寿命をいかに延ばすかは、一人一人の積極的な参加にかかっている。 健康食品を摂ったり、養生法をしたりすれば、膝関節が良い状態を保てるなどと決して思わないでほしい。リハビリテーション医学ウォン教授

ただ、歩行は問題なく、右足の膝を無理に曲げずに2階へ上がることを経験した。マッサージや理学療法はあまり役に立たず、とても悩んでいた。そんな時、友人がスクワットの練習を勧めてくれた。その後、本当に選択の余地はなく、ただ試しに練習してみたが、本当に何らかの効果を感じられるとは思っていなかった。
原則は、太ももの筋肉を行使することであるため、膝を保護する役割を果たす。しかし、また、膝がつま先を超えることができないときに運動に注意を払うために固執することに加えて、そのような脚の強さとして、壁スクワットから始まり、壁や加重運動から離れて、徐々にする。
体重を減らして膝に負担をかけないようにすることも非常に重要だ!
このように、1回増やして1回減らすことで、膝を効果的に守ることができる。
第三のポイントは、カルシウムとDサプリメントを摂取することである。
高齢者の膝痛、ほとんどの症例で変性関節炎を認める
変性関節炎は閉経後の女性に多い
疫学調査によると、45歳から64歳の女性は男性よりも関節炎になる可能性が3倍高い。

そして、1952年には早くも、エストロゲンの減少が関節炎の発症と進行に重要な役割を果たすという研究結果が示されている。
さらに、ヒトの関節軟骨には2つのエストロゲン受容体が存在することが証明されており、関節軟骨がエストロゲンの標的組織の一つであることが示唆されている。
エストロゲンは、変形性関節症に伴う関節軟骨、軟骨下骨、滑膜の病理学的変化を改善し、変形性関節症の予防と治療に役割を果たすことができる。

女性のエストロゲンが減少すると、エストロゲンの保護作用は低下する。
加齢に伴い、膝関節の腱や靭帯は退行性変化を起こし始め、関節腔内の滑液の産生は減少する;
関節の骨表面は長期的な摩擦状態関節軟骨の変性が徐々に起こり、さまざまな問題が生じる。

1995年、国際変形性関節症シンポジウムは、変形性関節症は実際には機械的要因と生物学的要因が組み合わさった結果であると提唱した。
- つまり、日常的な活動パターンを調整する必要があるということだ。
炎症のために、特に癒着が起こりやすく、高齢者はしばしば膝関節のこわばりを感じ、体を動かすとポキポキと音がしたり、摩擦音がしたりする。

だからこそ、痛みがあるときから変形性関節症の発症と進行を予防することが重要なのです
- 脚の筋肉を適度に動かすが、その際、負荷をかけすぎないこと!
早足、走り幅跳び、走り高跳び、フルスクワット、膝立ちなどは避ける必要がある。あまり長く歩かず、膝に違和感を感じたら、しばらく立ち止まって休む必要がある;

- 体重を減らすことで膝への負担を軽減
肥満は、年齢とともに基礎代謝が低下するため、中高年に多くみられる。
- 膝を温めておく。
通常は、お灸や温湿布を使ったり、膝関節周辺の筋肉組織を圧迫したりします。
- 良いトレーナーを選ぶ
運動中の膝への衝撃や負担を軽減するため、歩きやすい姿勢を保つ。(足の裏を地面にこすりつけないように注意する)。

- 栄養補助食品を加える
氨糖人体内でコラーゲンとヒアルロン酸を合成し、病気の滑膜を修復し、新しい滑液を作り出し、滑膜の機能を回復させることができる。
コラーゲンコラーゲンは軟骨を構成する主成分であり、多くの高齢者では軟骨が変性するため、コラーゲンを補う必要がある。
カルシウム結合型ビタミンD。骨粗鬆症の予防

健康についての詳細はこちら。
お気軽にコメント欄にメッセージをどうぞ~。
数年前、私はしばしば右膝の痛みはカンカンに歩くだろう、数日間の痛みは、よく医者にかかりませんでした。その後、痛みは良いことではありませんが、病院に行かなければならなかった、医師はギャップが狭くなっているフィルムを撮った、もっと休むように言われ、薬を服用したが、半年以上、オフとオンには良いことではありません。ある日、私はテレビ「健康道」を見て、腰と膝のリハビリ訓練を教え、私は学んだ。ベッドに横たわり、あぶくを空け、脚を持ち上げ、鉤爪を伸ばし、1日30分を守る。それは私にとってかなり効果的であり、痛みがなくなった後、1〜2ヶ月、そして今、数年以上それは起こりませんでした。🌷🌷🌷🌷🌷🌷
男性であれ女性であれ、高齢になれば多くの人が膝の痛みを経験することになるが、特に高齢の女性に多い。では、なぜ女性は膝が痛くなりやすいのだろうか?女性の膝痛を引き起こす要因はたくさんあり、ウー先生もそのすべてをここで挙げることはできないので、一般的な要因をいくつか挙げるにとどめます。

1.体重要因:私たちの膝関節は、体重の大部分を支えるだけでなく、歩く、走る、登るなどの一連の動作に大きな負担がかかっている。体重が増えれば増えるほど、膝関節にかかる負担は大きくなります。 すでに太っている女性も多く、妊娠中の体重増加も重なると、女性の膝関節は負担がかかりやすくなります。
2.行動要因:女性の日常生活動作は男性とは異なる。トイレに行くことを例にとると、男性は立って排尿すればいいが、女性はしゃがまなければならない。単純にしゃがむだけで、膝関節はより多くの圧力に耐えなければならず、数十年の蓄積により、膝関節はより負担がかかりやすくなる。
3.ホルモンレベル:閉経後、女性の体内のエストロゲンのレベルが急に低下し、骨量の減少が進み、骨や関節の痛みを伴って何度も全身に起こる骨粗しょう症などの症状が出やすくなる。
4.関節の変性:膝関節も同様で、ある一定の年齢を過ぎると軟骨の退行性変化が起こるとされている。
膝に痛みがある場合、どうするのがベストか?
変形性膝関節症は、変形性膝関節症の最も一般的な原因であり、60歳以上の有病率は50%と、実に一般的です。この最も一般的な変形性膝関節症の治療法について簡単にお話ししましょう。

1.体重コントロール肥満は変形性膝関節症発症の最も重要な要因の一つである。 変形性膝関節症患者は体重を減らし、膝関節への負担を減らすことで、膝関節の変性を遅らせ、膝の痛みを軽減させるという重要な役割を果たす。
2.膝関節を痛める動作を減らす:例えば、重い荷物の持ち運びを減らす、長時間の登山を避ける、頻繁にしゃがむことを避けるなどである。
3.合理的な運動適度な運動は膝関節周囲の靭帯筋を強化し、膝関節を安定させるので、膝関節の変性を遅らせ、膝の痛みを軽減するのに役立ちます。ただし、運動は激しすぎず、運動時間も長すぎず、ある運動で痛みが増すようであれば、速やかに中止しなければなりません。もちろん、医師の指導のもとで無理のないリハビリ運動を行うのが一番です。
4.理学療法鍼治療や指圧などの理学療法も、痛みの症状を軽減するのに大いに役立つ。
5.消炎鎮痛剤:まず、呉医師が注意しなければならないのは、イブプロフェン、ジクロフェナクナトリウムなどの非ステロイド性消炎鎮痛剤は、症状を和らげるだけで、対症療法しかできないので、急性期の使用は間違っていないが、長期的に使用すると、胃粘膜のびらん、胃潰瘍、さらには胃出血などの可能性が高い場合は、非ステロイド性消炎鎮痛剤の使用は、出血の危険性について、患者が警戒しなければならないということである。
6.グルコサミンこれは貝殻に含まれるキチン質から抽出される天然のアミノ糖で、変形性関節症の治療に効果がある。
7.関節内投与:ヒアルロン酸ゲルの関節内注射は関節痛の軽減に効果があるが、これは永久的な解決策ではない。
8.外科的治療:膝の損傷がひどい場合は、関節鏡手術で修復することもできる。

9.人工膝関節置換術変形性膝関節症が明らかに関節の変形を引き起こし、患者の生活に深刻な影響を及ぼすようであれば、人工膝関節置換術によって患者の問題を完全に解決しなければなりません。

もちろん、膝の痛みの原因は他にもたくさんあり、リウマチ性疾患や痛風性関節炎など、原因が違えば治療法も異なります。
純粋に手打ちで、簡単ではない。もし私が筋が通っていると思うなら、「いいね!」で報いてほしい。
私の母は今年90歳ですが、最近突然膝が赤く腫れ痛みが歩くことができない、兄弟はこのペーストをたくさん買ったが、また、動作しません、私は灸ストリップのボックスを購入するために戻ってきた、1日2回お灸治療のコースは、腫れを軽減されており、今ではクラッチにゆっくりと歩くことができる。私の家族は、私たちの古代中国文化のおかげで、お灸のおかげで、非常に素晴らしい感じています!

高齢女性に膝痛が多いのはなぜ?それを取り除く最善の方法は?
関節痛は年をとればごく普通のことだから、自分で薬用オイルを買うか、せいぜい乗り切ればいいと思っている人が多い、
薬用ワインの揉み薬あまりの痛みに耐えかねて病院に行くと、人工関節を交換しなければならないと言われる人もいる。実は、変形性関節症は病期特異性があり、早期に発見して治療すればするほど治りやすい病気なのだ。
変形性関節症の原因は何ですか?加齢に伴い、骨や関節は長期間の磨耗や損傷によって退行性病変が生じ、それが痛みの原因となり、65歳以上の有病率は60%を超える。
しかし、この変性疾患のプロセスを加速させる要因もいくつかある。例えば膝への不均等なストレス。脚の形がアンバランスで、膝にかかる力が均等に分散されず、外側か内側に力が集中する。また、同じ姿勢を頻繁に維持する(例えば、長時間スクワットを続ける)ことも、膝に過度の負担をかけることになる。小さな外傷(ボールの衝突など)が頻発すると、膝頭がずれ、力のバランスが崩れる。湿度や寒さといった天候の変化も罹患率の原因となる。

変形性関節症の段階はより顕著です。病期によって症状はどのように違うのでしょうか?正しい医学的管理はどうあるべきか?
病気の初期:保温と予防に注意を払う
中高年になると、多くの人が関節の痛みを感じるようになるが、これは関節の老化が始まっていることを示唆する症状である。この段階では予防が第一で、特に気温が下がってきたら関節の保温に注意する。また、長時間同じ姿勢をとらないこと、しゃがんだり立ったりする姿勢が続くと関節への負担が増えるので注意が必要だ。
関節痛というと、多くの人が、より活発に運動すれば痛みが和らぐと誤解する。
実はそうではなく、痛みは関節の炎症反応のサインであり、運動はかえって関節の摩耗や損傷を悪化させるので、この時期は安静に注意することが大切である。適切な運動は水泳で、山登りでは段差を避け、代わりに坂道を登るようにすれば、関節への負担を減らすことができる。
中高年の方でもレントゲン撮影が可能な方であれば、この段階で関節のレントゲン写真を撮影しておくと、将来の医師による診断の手がかりになりますし、病気の進行スピードも知ることができます。
中期:患脚の関節への負担を緩めることに注意
関節痛の頻度の増加、関節の腫れ、歩行に影響を及ぼすほどの腫れは、この病気の中間段階を示唆する症状です。最も重要なことは、関節リウマチや関節腫瘍など、より深刻な他の病気を除外することです。病気の重症度に応じて、医師は投薬や注射などさまざまな治療を行います。関節の半月板が損傷している場合は、半月板を切り取ったり縫い縮めたりする小手術が必要になります。関節内に液体がある場合は、それを抜き取り、潤滑油や関節に不可欠な成分を注射する必要がある。この段階で最も危険なのは、関節内に遊離体が存在することである。遊離体は関節内を転がり回っており、万が一関節の一部分に詰まってしまうと危険な状態になる。

この段階では、片足に問題がある場合、松葉杖や柄の長い傘で患側の足を支えることが勧められ、患側の足の関節の負担を大幅に軽減でき、病気の進行を遅らせるのに役立つ。
遅発性:激しい痛みを和らげるための人工関節
病気の後期になると、患者の軟骨はほとんどすり減ります。軟骨のクッションがなければ、骨と骨が直接こすれ合うことになる。この段階では、人工関節に置き換えるか、関節固定術を行うかしか選択肢はありませんが、術後の患者の運動能力に深刻な影響を及ぼす可能性があるため、ほとんど行われません。
私は黄志燕医師です。複雑な病気の知識を平易な言葉で説明し、皆様の身体管理のお役に立てるよう努力しています。皆様からのお褒めの言葉が私の最大のモチベーションです!また、ご家族に膝痛でお悩みの方がいらっしゃいましたら、ぜひこの記事をお伝えください!
この問題を専門に研究している整形外科の専門家はいるのだろうか。また、最近の高齢者の大半が、男女を問わず、脚の変性や腰椎の痛みや変形につながる膝の痛みに苦しんでいるのはなぜなのだろうか。このような腰痛や下肢痛は、高齢者の健康と老後の生活の質に深刻な影響を及ぼす病気である。私も膝の痛みに悩まされているが、どこを探しても治療法は見つからず、中には金儲けのためだけの広告もあり、効果のない薬に騙されている。私は、慈悲深い医師たちが特別な薬を開発することを楽しみにしている。なんという善行だろう!
この問題を解決するには、多くの側面に注意を払う必要がある。第一に、性交渉の節度、過度の欲望に耽らない。第二に、食事の節度、スナックを制御し、少ないアルコール、スパイシーな、甘い塩辛い、飲み物などを食べる。第三に、明確な心はより少ないもの、より確実な心を保存します。第四に、夕食後30分以上歩くと、体の熱、微汗が良いですが、同時にに寒さを防ぐために注意を払うまで。第五に、通常、多くの場合、そのような瞑想で休息し、疲れて歩くなど、足に注意を払う。
この質問と回答はサイト利用者のものであり、サイトの立場を代表するものではありません、侵害など、削除するには管理者に連絡してください。