肝臓がんを「かわいそうながん」と呼ぶ人がいるのはなぜか?
肝臓がんを「かわいそうながん」と呼ぶ人がいるのはなぜか?
最初、この質問を読んだとき、なぜ肝臓がんは貧乏人のがんと言う人がいるのだろうと少し不思議にも思った。金持ちは肝臓がんにならないのか?しかし、肝がんの臨床例を見ると、貧乏人も金持ちも肝がんに罹ることがわかる。しかも、肝臓がんは高度に知的な病気ではない。
しかし、よく考えてみると、肝臓がんは貧乏人のがんであるという言葉には真実味がある。なぜそう言えるのか?ここで、レフティがこのことについて話してくれる。

I. この質問に答える前に、まず肝臓がんを誘発する危険因子を理解しよう。
肝臓癌はわが国に多い悪性腫瘍の一つであり、その死亡率はすべての悪性腫瘍の中でトップ3に入り、わが国では毎年多くの人が肝臓癌に罹患し、また多くの人が肝臓癌で死亡している。そして、肝臓癌の発生は以下の危険因子と関係がある:
:まず、肝臓がんの発症とウイルス性肝炎には密接な関係があります。
我が国がかつてB型肝炎大国であったことは周知の通りである。ここ10~20年、肝炎の有病率を低下させるために、肝炎予防のための積極的な措置がいくつか取られたとはいえ、依然として多くの肝炎患者が存在する。ちょうど2020年の世界肝炎デーに、中国はまだ約7000万人のB型肝炎ウイルス感染症例があり、そのうち90%近くが治療を受けておらず、さらにC型肝炎の患者もいることから、この肝炎患者の数は非常に膨大であると言える。
さらに、原発性肝癌患者の約3分の1が慢性肝炎、特にB型肝炎とC型肝炎の既往歴があり、肝炎から肝硬変、肝硬変から肝細胞癌へと発展する傾向が多いというデータもある。したがって、ウイルス性肝炎が肝癌発症の主な発癌因子であると言える。
第二に、アフラトキシンと肝臓がんの発生には密接な関係がある。
カビの生えた食品、例えばカビの生えたトウモロコシ、ピーナッツ、ナッツなどや、これらのカビの生えた食品から作られた植物油、例えばピーナッツ油、大豆油などをよく食べる場合、これらのカビの生えた食品にはアフラトキシンが多く含まれている。アフラトキシンが肝臓で解毒・代謝されると、第1種発がん物質のアフラトキシンが生成され、肝臓組織に持続的なダメージを与え、このダメージは不可逆的で、がん化した肝細胞を誘発しやすく、肝臓がんの発生につながりやすい。
第三に、長期にわたるアルコール乱用と肝臓がんの発症には密接な関係がある。
長期のアルコール乱用も肝臓がんの危険因子である。白ワインをたくさん飲むと、白ワインに含まれるエタノールが肝臓で解毒・代謝されるが、肝臓によるアルコールの解毒・代謝には限界があり、肝臓によるアルコールの代謝限界を超えると、肝細胞にダメージを与え、特にエタノールの中間代謝産物であるアセトアルデヒドは肝臓組織にダメージを与え、肝細胞のがん化を引き起こしやすく、その結果、容易に肝臓がんの発生を誘発する。
第四に、飲料水の汚染と肝臓がんの発症には関係がある。
私たちの生活は水と切り離すことはできないが、もし水資源が汚染されていれば、健康に影響を与えるだけでなく、ガンの発生を誘発する。特にアオコ、有機塩素系農薬、重金属などが含まれる飲料水を厳重に濾過、消毒、浄化しなければ、これらの物質が肝細胞にダメージを与え、肝臓がんの発生を容易に誘発する。
第五に、漬け物や焼肉も肝臓がんの発生に関係している。
例えば、漬け物は亜硝酸塩を生成し、バーベキューは一種のベンゾピレン物質を生成し、肝臓の代謝でこれらの物質が肝細胞に損傷を与え続け、肝細胞の癌変化を誘発しやすい。

第二に、ではなぜ肝臓がんは貧弱ながんと言われるのか、それには一定の正当性がある。
以上の分析から、肝臓がんの発生は上記の危険因子と密接な関係があることがわかるが、これは肝臓がんと貧富の差が関係することを示すものではないし、貧乏人だけが肝臓がんにかかり、金持ちは肝臓がんにかからないことを示すものでもない。もっと注意深く考えれば、肝臓がんの危険因子は同じでも、貧乏人と金持ちでは生活習慣や知識、物事に対する考え方が異なり、それが肝臓がんのリスクに直結しているわけではないことがわかるはずである。
まず、食習慣が違う。貧乏人にとっては、生活が十分豊かでないため、通常はより経済的で、彼らは時々、いくつかの質の悪い食品や油を買うために安く貪欲になり、いくつかのカビや腐敗した食品は、洗浄または切断の部分の劣化がまだ取り続ける限り、捨てることをいとわない。さらに、ザワークラウト、ピクルス、燻製肉などの漬け物もよく一緒に食べるので、これらのカビや腐敗した食品を長時間食べ続けると、肝臓へのダメージが非常に大きくなり、肝臓がんの発生を誘発する可能性も高くなる。金持ちは違う、経済的に豊かなので、食生活がよく、油や食品は一番いいものを買って、食品は一番新鮮で、飲料水は飲む前にろ過して、食品に接触する発がん性物質が少ないので、当然、肝臓がんの発生を誘発しにくい。
第二に、病気に対する考え方が違う。同じ人が肝炎にかかったとしても、貧しい人にとって一番怖いのは病気になることである。 お金持ちではないし、病気になれば多額の出費が必要になるからだ。 肝炎や肝硬変だとわかっても、積極的に治療しようとしないので、肝組織の悪化、ひいては癌の発生につながりやすい。毎年健康診断を受けるどころか、数年に一度も病院に行かない人もいる。一方、お金持ちはお金の心配がない分、自分の命や健康に関心が高く、年に一度の健康診断で自分の体調を把握するだけでなく、肝炎や肝硬変などの病気が残っていても積極的に治療を受ける。したがって、このような態度の違いが、肝がんのがん化の高低をおのずと左右する。
最後に、生活態度が異なる。貧乏人にとって、生活費を稼ぐために毎日走り回るだけでなく、生活が良くない、お金がない、しばしば落ち込む、落ち込むだけでなく、しばしば肝臓の停滞を引き起こしやすいだけでなく、同じ飲酒や喫煙はまた、肝臓がんの発生を誘発しやすいだけでなく、悲しみを和らげるために飲む、喫煙などでしょう。お金持ちの人は、豊かな生活のために、お金の心配をする必要はありません、自然な気分はあまりにも多くのうつ病になることはありません、自分の健康のためにも、より多くの自分の健康を懸念している、アルコールを乱用することはあまりありません、自然に肝臓癌の危険因子を減らすことができます。
一般的に、肝臓がんは、貧富の区別がない、彼らは自分の健康に注意を払っていない場合は、多くの場合、肝臓に損傷を与えるためにいくつかのことを行うには、肝臓がんのリスクを増加させ、この肝臓がんは、実際には同じです、あなたは貧しいか豊かであるかどうか、また、肝臓がんに苦しむだろう、肝臓がんの発生を減らすように、肝臓がんを誘発する危険因子から離れて滞在するだけです。

著者注:私は皆のために健康関連の知識を普及させるために非常に満足している、私は専門的な医療知識を普及させるためにあなたのための簡単な言葉で毎日、医療を言うために左利きだ、コードワードは簡単ではありません、あなたは私の記事のような場合は、賞賛を指すように私を助ける!あなたはまだ質問がある場合は、コメント欄にメッセージを残すことができ、前方に注意を払うことを歓迎し、あなたのサポートに感謝します!
肝臓がんはまさに貧乏がんの一種であり、肝臓がんが貧乏がんと言われるのは主にこのためである。
貧しい癌とは何か?
がんが「貧しいがん」と「豊かながん」に分類されるのは、がんの発生には遺伝子以外に環境要因も非常に重要であり、貧しい人と豊かな人では生活習慣や食生活、環境に大きな違いがあるため、がんの発生率が異なることが主な理由である。
例えば、肝臓がんと胃がんは典型的な貧困層のがんで、この2つのがんの罹患率は中国の都市部よりも農村部で高い。

平たく言えば、貧乏がんとは貧乏人がなりやすいがんのことで、私自身の臨床観察でも、肝臓がん患者の多くは比較的生活水準が低く、それが肝臓がん患者の5年生存率を比較的低くしているのも事実である。
つまり、金持ちは肝臓がんにならないのではなく、金持ちは肝臓がんになりにくいのだ。
肝臓がんはなぜ悪いがんなのか?
肝臓がんが貧弱ながんであるというのは、肝臓がんのいくつかの原因と密接な関係がある:
- B型肝炎:中国における肝臓癌の最も一般的な原因はB型肝炎ですが、B型肝炎はコントロール可能です。今一番問題なのは、多くの患者が自分がB型肝炎であることを知らず、経済的な理由で治療のために病院に行きたがらない患者もいることです。B型肝炎の患者さんには、定期的に病院に行って治療を受けてほしいと思います。
- アフラトキシン:アフラトキシンは主にカビの生えた食品に含まれており、これが貧乏人が肝臓がんになりやすい理由である。 カビが生えていても捨てられないという以前に、カビの生えた食品は肝臓がんになる確率が高いが、金持ちはカビの生えた食品を食べない。
- C型肝炎中国ではC型肝炎の感染率は高くないが、時折、C型肝炎が原因の肝臓がんを見かけることがある。現在、C型肝炎のほとんどは完治できるが、高額な抗ウイルス薬が必要であり、一部の人々はまだそれを買う余裕がない。ほとんどの人がC型肝炎に感染しているのは、注射器を共有したり、血液を売ったりしていたからです。正直なところ、お金があれば誰が血を売るだろう。
- アルコール依存症:正直なところ、裕福な人ほど自制心が強く、アルコール依存症になりにくい傾向があるというのは、あまり聞きたくない話かもしれない。アルコール依存症の患者に多いのは、地方に住む独身男性や離婚した男性であり、アルコール依存症による肝臓がんの発症率はどんどん高くなっているのを私は見てきた、アルコールは良いものではない。
これらの原因から、肝臓がんがなぜ貧乏人と呼ばれるのか、確かに貧乏人は肝臓がんになりやすいことも理解できるだろう。

肝臓がんを予防するために何をすべきか
肝臓がんを予防することは、肝臓がんの原因に目を向けることでもある:
- まず間違いなくB型肝炎でしょう。B型肝炎は避けて通れないテーマですから。 B型肝炎の患者さんには、次の2つのことを心がけてほしいと思います。 1.抗ウイルス薬が必要なら、拒否しないこと。 現在、抗ウイルス薬の適応はどんどん低くなっています。その主な理由は、抗ウイルス薬に効果があること、抗ウイルス薬は副作用が少ないこと、現在では価格が非常に安いことなどが、多くの研究によって証明されているからです。肝臓超音波検査、エラストグラフィー、AFP、肝機能、B型肝炎、HBVDNAを定期的に検査する必要があります。
- 新鮮なものを食べる:食品が新鮮である限り、基本的にアフラトキシンの摂取はなく、肝臓癌の原因を減らすのに役立つ。正直なところ、冷蔵庫が普及し、食品が新鮮であるべきだと誰もが知っているため、現在、あまりにも多くの患者による肝臓癌のアフラトキシン摂取は少なくなっている。
- アルコールは飲まないこと:ランセット誌はかつて、アルコールに安全な量はない、と言っていた。

概要
確かに肝臓がんは罹患率の低いがんですが、だからといってお金持ちが肝臓がんにならないわけではなく、確率の問題なので、皆さんには肝臓を大切にしてほしいと思います。
同じような質問をしよう。それに答えられるなら、この質問にも答えられるはずだ。なぜ上海は裕福な地域と呼ばれるのか?そこには貧しい人はいないのか?上海が裕福な地域と呼ばれるのは、経済が発展し、生活水準が比較的高いからですが、だからといって上海に貧しい人がいないわけではありません。上海の一般的な生活水準は概して高いですが、それでも貧しい人はいるということです。
同様に、肝臓がんが貧乏がんと呼ばれるのは、肝臓がんが貧乏人にだけ見つかって金持ちには見つからないという意味ではない。金持ちも肝臓がんになるし、貧乏人が肝臓がんになるとは限らない。しかし、確率的には貧乏人の方が肝臓がんになりやすいし、肝臓がんは貧乏人に多く発生する。それでも「あの有名人は大金持ちだが、彼らも肝臓がんになったのではないか」と例を挙げる人がいるだろう。ほら、まだ個別事例の話をしているじゃないか、さっき言わなかったか?金持ちも肝臓がんになる。 集団という視点から問題を見なければならないし、実際、集団という視点から問題を見ることはできない。なぜなら、自分が見たり聞いたりした肝臓がんのケースで判断するのではなく、関連する統計を理解する必要があるからだ。 10人の金持ちが肝臓がんになり、たった1人の貧乏人が肝臓がんになったとしても、肝臓がんになりやすいのは金持ちだと考えることはできない。すべて10:1だと言うかもしれない。これは、あなたが統計学と確率論の基本的な知識を持っていないことを示している。
では、なぜ貧しい人ほど肝臓がんになりやすいのだろうか?B型肝炎の感染率の高さ、B型肝炎ワクチンの接種率の低さ、栄養状態の悪さ、不潔な食事、腐敗した期限切れの食品、カビの生えた食品などを食べる確率の高さなどである。などなど、これらはすべて肝臓がんのリスクを高める。
以下の肝臓癌の発癌因子から、興味深い現象を見出すことができる。貧しく後進的な土地に住む人々のほとんどが、これらの発ガン因子に頻繁にさらされているのである。当然、これらの発がん因子にさらされればさらされるほど、肝臓がんになる可能性は高くなる。したがって、肝臓がんが貧困層のがんと呼ばれるのは、それなりの正当性がある!
科学的研究によると、肝臓癌の一般的な発癌因子は以下の通りであることが確認されている:
- ウイルス性肝炎、HBV感染は中国における肝癌患者の主な原因であり、HCV感染は欧米諸国では一般的である。
- アフラトキシンは、主にカビの生えた食品やカビの生えた食品を食べた動物から発生する。
- 肝硬変は、主に肝炎、アルコール性肝疾患、脂肪性肝疾患で発症する。
- Schistosoma haematobiumまたはTreponema pallidum感染。
- 塩化ビニル、ニトロソアミン、アゾマスタード、フェノール、有機塩素系農薬化学物質への長期暴露。
- 汚染された水、異常な藻類が発生した河川や側溝の水を長期間摂取すること。
- タバコに含まれるPAHs、ニトロソアミン、ニコチン。
以上のような肝臓癌の発癌要因を分析すると、やはり貧しい後進国の人々が肝臓癌になりやすい理由がある。肝臓がんを貧乏がんと呼ぶのは、おそらくこのためであろう。
金持ちも肝臓がんにかかるが、もっと少ない。
例えば、お金持ちはお金を持っているし、その親は母子保健をしっかりやっているので、子どもは当然肝炎になりにくい。お金持ちは健康管理に気を配っているので、太った人が少なくなっている。もちろん、お金持ちは寄生虫や汚染水、化学発がん物質に接触する機会がさらに少ないので、当然、これらの要因による発がんの可能性は基本的になくなっている。
とはいえ、すべての金持ちがこの悪習を避けられるわけではない。たとえば、喫煙や飲酒も多くの金持ちの大好物である。長期にわたる喫煙や飲酒は、当然ながら肝臓がんの発症につながる。したがって、金持ちも肝臓がんになる可能性がある。
要するに、肝臓癌の発癌因子は、貧乏人には長い間さらされることが多く、金持ちにはさらされることが少ないので、肝臓癌は貧乏人の癌であり、金持ちには患者が少ないと言われているのである。科学的な根拠はまだある。
私たちの医師は、甲状腺がんは「怠け者のがん」だとよく言いますが、それは実際、ほとんどの場合、甲状腺がんの悪性度は比較的低く、予後も比較的良いため、私たちの医師は、甲状腺がんは通常「怠け者のがん」と呼ばれ、悪性度があまり高くなく、治せる方法があるため、「幸せながん」とも呼ばれています。したがって、甲状腺がんは悪性度がそれほど高くなく、治癒可能な方法があるため、医師は通常「怠惰ながん」または「幸せながん」と呼ぶことが多い。
では、なぜ医師は肝臓がんを「かわいそうながん」と呼ぶことがあるのだろうか?今日はこのテーマについてお話しします!

では、肝臓がんはどうなのか?
肝細胞癌は、厳密に言えば、癌は悪性腫瘍である。しかし、悪性腫瘍は「がん」だけではなく、肉腫という別の種類の悪性腫瘍もあり、これも積極的な治療が必要である。
肝臓から発生するがんは肝臓がんと呼ばれるが、肝臓がんは次のように分類される。原発性肝がん和転移性肝がん。
原発性肝癌とは、癌そのものが肝臓そのものから発生することを意味し、転移性肝癌とは、よく理解されているように、癌病巣のことである。早くてもダメだ。肝臓の上では、胃がん、乳がん、肺がんなど、他の場所から肝臓に転移するんだ。

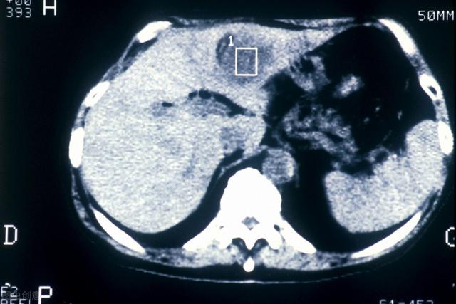
(転移性肝がん)
そして、この転移性肝がんは、臨床ではまだ比較的よく見られるものである。血液は非常に豊富である。消化管からの血液を含め、体内の血液はほとんどすべて肝臓で濾過され、栄養素の多くは肝臓で代謝される。,したがって、多くの局所がんは肝転移を起こしやすく、転移性肝がんを形成する。

また、当然のことながら原発性肝癌では、血流を介して他の標的臓器への転移も容易に起こる。というのも、転移性肝がんも原発性肝がんも、ご覧のように特に転移しやすく、これは悪性度が高いことを意味し、中期や後期に多いからです。従って、悪性腫瘍という観点から見れば、肝臓がんは "貧乏がん "とは呼べないし、ましてや "怠け者がん "とも呼べない。。
もちろん、混合型肝がんと呼ばれる、腫瘍内に2つの細胞成分を持つ患者もいる。
近年の肝臓がんの罹患率は?罹患率は「悪い」のか?低いのか?
実際、肝がんの発生率はまちまちで、原発性肝がんは年々減少している!
なぜですか?
というのも、わが国で原発性肝癌を引き起こす非常に重要な因子が肝炎であり、わが国はB型肝炎大国である。原発性肝細胞癌、その多くは肝炎、肝硬変、肝細胞癌の三徴候を有する。。

しかし、B型肝炎の予防接種が普及するにつれ予防接種プログラムへのB型肝炎ワクチン接種の組み入れまた、医療レベルの向上や治療法の改善により、多くの患者の生存期間が延長しているため、原発性肝がんの罹患率や死亡率は低下しているが、肝がんの罹患率は依然として比較的高いことも無視できない。

肝がんの発生率は、C型肝炎、アルコール性肝炎、脂肪肝などの他の原因によって、依然として増加している。。
したがって、肝臓がんは、全体的な罹患率や死亡率から見て、"劣悪ながん "と見なすことはできない!
では、なぜ肝臓がんが「かわいそうながん」と呼ばれるのかを見てみよう。
実際、この「貧しい」。"リッチ "とは対照的だ。.正確にはさて、貧乏から脱したから貧乏人というわけにはいかない。 むしろ私たち一般人は、豊かで条件の良い人たちよりも肝臓がんになりやすいのであり、実はこれが「貧乏がん」と呼ばれる肝臓がんの本当の意味なのである!
なぜか?なぜ比較的「貧しい人」ほど肝臓がんになりやすいのか?金持ちは肝臓がんにならないのか?
もちろん、そんなことはない。最近亡くなった「呉孟達」、CCTVの元司会者「李勇」、有名な俳優「傅彪」などはみな肝臓がんで亡くなっているが、「貧しい」わけではない。つまり、貧乏人は金持ちよりも肝臓がんになる確率が相対的に高いのであって、貧乏人だけが肝臓がんになり、金持ちはならない、ということではないのだ!

では、なぜ貧乏人は金持ちに比べて肝臓がんになりやすいのか?
次に、肝臓がんの4大原因について見てみよう:
1つ目は、B型肝炎ウイルス感染です。B型肝炎は、わが国における原発性肝細胞癌の第一の原因であり、症例の85%以上を占め、原発性肝癌の85%以上が臨床的にB型肝炎ウイルス感染またはキャリッジと関連している。
そして、B型肝炎ウイルス感染を拡大させる最も重要な方法は何か?
血を媒介する。例えば、過去に輸血の不正、血液の売買、薬物使用のための注射器の共有などがあったとき、こう考えてみよう。"貧困層 "は血液の売買をしやすいのか?モノの共有?

2つ目はアルコール依存症だ。もちろん、李丹のような酒好きの金持ちはたくさんいるが、酒を飲む金持ちと酒を飲む貧乏人にはもっと大きな違いがある。貧乏人は偽物の低価格の酒を飲みがちだが、金持ちはより純度の高い、より良いワインを飲む傾向がある。タバコと同じで、金持ちは貧乏人より高価で害の少ないタバコを吸う。つまり、偽アルコールの最大の危険性は、エタノールよりも発がん性の高いメタノールが含まれていることなのだ;

3つ目は肥満で、非アルコール性脂肪性肝疾患もまた、肝臓癌の発生率を高めている重要な現代的要因である。
というのも、富裕層は裕福で、より良い食事をし、より太っている可能性が高いからである!
実際、そうではないかもしれない!実際、人々は人生の中で次のことに気づくだろう。健康的なライフスタイルを求め、ウェルネスを重視する人々は、明らかに富裕層である。というのも、健康的な生活パターンを構築するための設備が整っているからだ。貧乏人は逆に過食に走りやすく、一日中働くよりも良い習慣や生活条件がある。

4つ目の要因は重要な食品要因で、ここでの主なものはカビの生えた食品である。特に私たちの南部では毎年恒例の雨季が、広東省は、今年はまだ現れていない、雨季は私たちが加工食品を保存しなかったようにする可能性が最も高いです、穀物は、アフラトキシンの種類を生成します。一方、アスペルギルス・フラバスは耐熱性があり、現在では肝臓がんの発がん物質として明確に定義されている毒素を産生する。また、肝臓がんの発生に寄与する食品要因として、カビの生えたトウモロコシ、ピーナッツ、サトウキビなどがあるが、貧しい人々はこれらを食べる傾向が強いのだろうか?

もちろん、労働環境、環境汚染物質、水質要因、大気汚染など、肝臓ガンの原因となる毒素もあり、やはり貧困層は生計を立てるためにこれらに接触し、こうした環境で働き、生活する可能性が高い!
したがって、これらの原因の中で、肝臓がんは "貧弱ながん "と見なすことができ、それはまた、この病気の発生率の地理的な違い、病気の地域分布、そして人間の違いを反映している。
最後に、貧乏人は金持ちに比べて、肝臓がんの発がん因子にさらされる可能性が高いので、庶民である私たちは何にもっと注意を払うべきか、と述べた。どうすれば肝臓がんを予防できるのか?
腫瘍といえば、やはり一番気になるのは予防の問題だが、どの腫瘍であっても、発生する要因は実はたくさんある。例えば、遺伝的な要因など、コントロールできない要因もある。
次に、肝臓がんについて、その主な原因因子についても触れ、具体的にどのように予防するか、つまり予防の目標について話す!
B型肝炎ウイルス感染を未然に防ぐ抗体を持っている場合は、血液感染を減らし、母子感染を阻止し、生活の中で薬物を使用しないようにする必要がある。
第二に、個人の食生活の衛生に注意を払い、喫煙と飲酒、特に飲酒の問題をやめることである。アルコール性肝臓と多量のアルコール摂取は、間違いなく肝臓へのダメージにつながるので厳禁である;
もちろん、人生も非常に重要であるカビの生えた食品を食べることはありませんが、どのような食品を食べて、私のクラスメートのカビの生えた習慣を最初に見て開発しなければならないとうもろこし、ピーナッツなど、最も一般的なものは、一度カビが生えると肝臓がんの発がん性が明らかなアフラトキシンを生成するため、注目することがより重要である!
もちろん、私はトウモロコシがアフラトキシンをカビさせやすいと言ったので、私たちはしませんが、ピーナッツ油も食べる勇気がない、実際には、ピーナッツ油は、我々は安心することができます。すべてのピーナッツオイルは、定期的に生産される限り、無害化され、脱アフラトキシン処理されている。
最後に、良い習慣、運動、体重管理も必要である。脂肪肝も危険因子のひとつであるため、運動や食事に気を配り、肥満になりすぎないようにすることも重要である。

に対して肝臓がんもしまだ質問があれば、下にメッセージを残すことができます。私は、あなたに最高で、最も包括的で、最も実用的な健康科学と技術をもたらすために、コーディングの最も原始的な方法で、私たちが理解できる言葉を使用することにこだわります。もし気分がよければ、"医療探偵"と言って、あなたの周りのより多くの人に転送してください!
というのも、数日前、肝臓がんに関するポピュラー・サイエンスの記事を書いたところ、友人から以下のようなコメントをもらったからだ。私の力ではどうすることもできないので、どう返事をしたらいいのかわからなかった。
癌は貧困と富によって区別される。しかし、貧乏人ほど肝臓がんになりやすいと言わざるを得ない。その原因は食生活や健康管理など様々である。肝臓がんを貧乏人のがんと言う人もいるが、金持ちも同じように肝臓がんになりやすい。そして罹患率は増加傾向にあると思う。肝臓がんがなぜ貧乏がんと呼ばれるのか、お金持ちは肝臓がんになるのかについては、またお話しします。

臨床の現場では、肝臓がん患者の多くは農村部に住んでおり、農業に従事したり、生活のために出稼ぎに出たりしているため、生活が貧しいことが多く、このような側面からの影響を受けて、人々は肝臓がんを単に貧乏がんと呼んでいる。
では、なぜ貧しい人ほど肝臓がんになりやすいのか?
- まず第一に、私は貧しい人々の生活の重要性を強調したい。飲酒習慣の要因家庭が貧しいため、不注意になりやすい。カビが生えかけている、またはカビが生えた食品を食べるこれは珍しいことではなく、多くの家庭では一夜漬けの食事を取り、食べ終わる前にきれいに食べる習慣があるからだ。特に夏場はカビが生えている可能性が高いが、発見されることはなく、このような食品を食べることで肝臓がんの発生率が高まる。

- では、なぜこれらの食品を食べると肝臓がんの発生率が高まるのだろうか?それは、これらのカビの生えた食品やカビに近い食品には、次のようなものが含まれている可能性があるからだ。その他のアスペルギルス・フラバスもその他の金型これらの物質は強力な発がん性物質であり、定期的な摂取は肝臓がんのリスクを著しく高める。それだけでなく、肝がんの発生とアフラトキシンの摂取量には正の相関関係があることが研究で確認されている。アフラトキシンはトウモロコシやピーナッツなどのカビの生えた作物にも含まれている。

- 臨床的に証明されている肝癌患者の約70%に肝硬変の既往がある肝硬変は肝臓がんを発症させやすい病気であることは事実であり、それは肝硬変の治療とケアに大きく関係している。これは肝硬変の治療やケアと大きく関係しており、肝硬変を患う貧しい人々にとって、定期的な治療や検査を受けられる患者は非常に少ない。そのため肝硬変が進行しやすく、時間の経過とともに肝がんの発生を誘発することになる。それだけでなく、多くの貧しい人々は、肝硬変の後に肝臓がんになったことを知らずに亡くなる可能性がある。

加えてまた、肝臓がんの発症と飲料水には強い関係がある。特に水質が悪い地域に住んでいる人は肝臓がんのリスクが比較的高く、飲料水の衛生処理システムが完全でない貧困地域に住んでいる人は状況を悪化させる。また、肝臓がんの発生は体内の元素の不足とも関係があり、セレンなどは主に動物の肉や魚介類に多く含まれるが、貧困層はこのような食事が比較的少ないため、セレンが不足し、肝臓がんになりやすいと考えられる。

金持ちも肝臓がんになる。
- 実は、お金持ちも肝臓がんになる可能性があるのですが、近年、お金持ちに肝臓がんが見つかるケースはあまりないと感じます。理由はいくつかありそうだ。
- まず、金持ちの中には悪い習慣を持っている者もいる。よく食べ、よく飲む友人知っておく必要がある。アルコール摂取も肝臓がん発症の重要な引き金となる.長期の飲酒は肝臓のさまざまな慢性疾患を誘発し、アルコール性肝硬変を深刻にし、肝硬変はすべて肝臓がんに進行する可能性がある。したがって、このような暴飲暴食の生活もよくない。
- 飲酒以外はね。多くの人が焼肉や揚げ物を好んで食べる。食品には、以下のような様々な種類が含まれている可能性がある。発がん性のあるニトロソアミン。長期間食べ続けると、肝臓がんの発生を誘発する可能性がある。また、日常生活で高脂肪食を頻繁に食べると脂肪肝になり、進行すると肝硬変になり、肝硬変から肝臓がんになることもある。

肝臓がん患者の通常の徴候とは
- 最初の、そして最も一般的な臨床症状は腹部の痛み痛みは通常、右上腹部であるが、右上腹部に限定されず、上腹部中腹部にも存在することがある。痛みの性質は一般に鋭くなく、ぼんやりとした鈍い痛みであることが多い。夜間や労作後に痛みが増す.さらに、この痛みは、背中だけでなく、右肩にも痛みが現れるなど、末梢に放散することもある。
- 肝がん患者はまた、以下のような症状も示すことがある。膨満感の症状肝臓が徐々に大きくなることで、周囲の組織や臓器が圧迫され、このような腹部膨満が生じるからである。それだけでなく、肝臓がん患者に明らかな腹水や肝機能の低下がある場合、腹水自体が腹腔内圧の上昇を引き起こし、肝機能の低下が消化機能障害を引き起こし、腹部膨満を引き起こすため、明らかな腹部膨満を引き起こしやすくなります。この腹部膨満感の悪化は通常、食後に起こる。

- 加えて、肝がん患者は発熱の症状.しかし、初期の段階では、しばしば次のような症状が現れる。微熱が続き、体温はほとんどが38度以下である。これは、肝臓がん組織が成長過程で局所的な欠乏と代謝産生の増加を示し、体内で発熱を起こすためで、いわゆるがんフィーバー.しかし、感染症に罹患している場合は、発熱が上昇することがある。
- 肝臓の患者もまた、次のような経過をたどる。下痢の症状肝臓は消化管の消化吸収機能に関与しているため、肝臓に機能障害があれば消化管の機能障害につながり、下痢を引き起こす。信じられないことに、腹部は患者の症状が最も早く現れる場所でもある。下痢の程度は症状によって異なる。しかし、通常は膿や血便を伴うことはなく、炎症による下痢とは異なり、抗生物質による治療は行わない。

- そして、ボディが現れる衰弱とやせ肝臓がんは、成長・代謝の過程で体内の栄養素を大量に消費し、肝臓も体の消化・吸収機能に機能障害を起こすため、食べる量も減るが、体の消費量は増え、やせるとともに筋力も低下するため、中期・末期の肝臓がんの主な症状である。
肝がん検診の選択肢は?
- まず、肝がんのスクリーニングには、超音波検査で1cm以上の肝腫瘍をはっきり検出できることと、肝がんの腫瘍マーカーであるα-フェトプロテインが肝がんの診断精度を強力に高めることから、超音波検査とα-フェトプロテインを組み合わせた検査をお勧めします。 この2つの検査の組み合わせは、精度も高く、費用も抑えられるので、費用対効果は非常に高いです。

- 肝臓の超音波検査で肝臓に腫瘍が見つからない場合、または腫瘍の性質が判断できない場合、αフェト蛋白の上昇は肝細胞癌の可能性を強く疑わせる。さらに肝臓のCTを行うこともある。強化CTは肝臓腫瘍の特定に比較的優れているので、すぐに肝臓の強化CTをお勧めします。
- スクリーニングの頻度について。肝がんの危険因子がない人は、年に1回検査を受けるだけでいいと思う。しかし、肝炎や肝硬変の既往がある人、肝臓がんの家族歴がある人、特に40歳以上の中高年には、年2回の検診をお勧めします。

- 肝臓の強化CTは肝臓癌の診断に一定の利点があるが、対応する放射線の存在により身体に一定の害をもたらすので、苦手な人は放射線の害がなく、肝臓の病変を明瞭に見ることができる肝臓の核磁気検査を受けることができる。
概要
富裕層に比べ、貧困層は肝臓がんになりやすい。 これは、一夜漬けやカビの生えたものを食べるなど、日常生活の食生活と密接な関係がある。 また、治療やケアが遅れたために、貧困層の肝硬変患者がより良い治療を受けられず、肝臓がんに発展することもある。もちろん、お金持ちも肝臓がんになる可能性がある。近年、少なからぬお金持ちが肝臓がんにかかっていることがわかったが、これはアルコールや肉類を頻繁に摂取していることが関係している。アルコールを飲んだり、脂肪分の多い食べ物を食べたりすると、間接的に肝臓がんの罹患率が高まるからだ。患者は通常、腹痛、腹部膨満感、倦怠感などの症状を示すが、初期症状は目立たないため、発見時にはすでに進行期に入っている患者が多い。肝がん検診は、肝超音波検査とα-フェトプロテイン検査を組み合わせることで行うことができ、比較的精度が高く、一般市民にも比較的安価で購入しやすい。
肝臓がんは、世界で最も死亡率の高いがんのひとつである。毎年70万人以上がこの病気で亡くなっていると推定されている。また、肝臓がんの罹患率は過去30年間で3倍に増加し、肝臓がんで死亡する人の数も同じ期間に2倍に増加している。このことは肝臓がんと診断された人を落胆させるが、生存率は様々な要因によって様々な傾向を示す。ともあれ、適切な治療を受けることで、私たちは人生を全うし、寿命を延ばすことができる。
実生活では、肝臓がんを「貧乏がん」、つまり、貧しい家庭の人がかかるがんと呼ぶ人が多いと常々聞いている。実際、肝臓がんの罹患傾向を見ると、いわゆる「貧乏」の特徴はない。むしろ、貧富の差に関係なく、すべての人が肝臓がんにかかる可能性がある。それなのに、なぜ肝臓がんを「貧乏がん」と呼ぶ人がいるのか。ひとつひとつ説明していこう。

肝臓がんの徴候や症状は?
厳密に言えば、ほとんどすべてのがんは初期段階では症状がなく、症状があってもほとんどが非特異的なもので、つまり、さまざまな病気で特定の症状が現れる可能性がある。病気が進行するにつれて症状が現れ始め、早急な検査が必要となる。 多くの場合、病状はすでに進行している。
実際、ほとんどの人は常に耐え難い経験をする。右上腹部の痛みと不快感または右肩甲骨の痛み。これは腹圧の上昇と肝腫瘍からの転移によるものです。もし肝腫大肝臓の縁が触知できることもある。時には、右側の胸郭の下に非常に硬いしこりや腫れを感じることがある。通常、しこりに痛みはありません。 肝臓がんは時に脾腫その結果、腰の左側に痛みやしこりが生じる。

加えて黄疸肝臓がんの症状の一つでもある。黄疸は、皮膚や目の白い部分が黄色く見える症状です。通常、胆汁酸塩が皮膚に蓄積することで起こります。皮膚に胆汁酸塩が蓄積すると黄疸を引き起こし、さらに以下のような症状を引き起こすこともあります。瘙痒.加えて、肝臓がんに罹患した友人のほとんどは、次のような問題を抱えている。腹水最初は胃が腫れたように感じる徴候。時間が経つにつれて、腹部にたまった水分が肺を押し上げ、肺の中の水分が肺を圧迫するようになります。息切れ。

原因不明の体重減少は、ほとんどすべての癌の予後徴候であるが、これは食事や運動を変えていないという事実に基づいている。例えば、体重60kgの人が、生活習慣を変えることなく、半年間で突然5kg体重が減少する。一方、肝臓がんでは、脂肪分の多い食べ物を拒食しがちで、食欲があまりなく、異常な疲労感を感じることもある。そしてもちろん、次のようなこともある。発熱、貧血、低血糖でさえ女性化乳房などなど。

肝臓がんを「かわいそうながん」と呼ぶ人がいるのはなぜか?
ここでひとつ触れておきたいのは、江蘇省の契東市はかつて江蘇省の県であり、現在は市になっているということだ。一時期、契東市はデルタ地帯が新たに堆積し、米を生産していなかった。当時、トウモロコシが契東の人々の主食となった。1971年、打ち上げのトウモロコシはアフラトキシンの主要なキャリアー食品であった。その結果、その時期、契東は中国で肝臓ガンの多発地帯となった。B型肝炎ウイルス感染和食餌性アフラトキシンその結果

このようにB型肝炎ウイルスによる肝炎と食事性アフラトキシンが相乗的に肝臓癌の発生に関与しているという側面がある。当時の開始地域は経済的に貧しく、カビの生えたトウモロコシによくさらされていたため、肝臓がんの発生率が高かった。肝がんの発生率が低下したのは、その後、国がB型肝炎ウイルスの予防接種を開始し、食餌性アフラトキシンを減少させてからである。

以上のことから、肝臓がんは「貧乏人のがん」であるように思われるが、それは事実である。しかし、いわゆる「金持ち」は肝臓がんにならないと言えるだろうか?明らかにそうではない。例えば、少し前に有名な俳優の呉孟達氏が肝臓がんで亡くなったが、彼は「貧乏」だったと言えるだろうか?彼は「貧乏」だったと言えるだろうか?肝臓がんの発生は「貧乏人」にも「金持ち」にも有利に傾いておらず、「貧乏がん」と「金持ちがん」の区別はない。貧乏がん」と「金持ちがん」の区別はない。.それよりも、肝炎ウイルスの適切な治療と自己管理が重要なのだ。肝炎に罹患していることを知りながら、肝炎の治療を行わず、生活習慣や生活習慣の改善に注意を払わなければ、肝がんの "魔の手 "にさらされることになる。

今日に至るまで、肝臓がんの正確な原因はわかっていないが、危険因子としては、過度の飲酒、喫煙、カビの生えた食品、B型肝炎やC型肝炎などの肝臓感染症が挙げられる。また、家族に肝臓がんの人がいると、肝臓がんを発症するリスクが高くなります。それでも、肝臓がんの危険因子があるからといって、必ず肝臓がんになるわけではありません。私たちがすべきことは、「肝臓がんを遠ざける」ために、変えられる危険因子を避ける努力をすることです。

肝がんの相対的な予後は?
肝臓癌の全体的な予後は、肝臓癌の病期、つまり、最初の場所から肝臓や他の臓器に転移しているかどうかによって決まります。病期分類は、すべての肝臓がん患者の生存率を計算する上で大きな役割を果たします。一方、肝臓がんは人それぞれ個性があるため、人によって異なる影響を及ぼす可能性がありますが、それにもかかわらず、肝臓がんの治療法は非常に類似している傾向があります。
肝臓がんはステージ1からステージ4まである。数値が低いほど、がんの広がりが少ないことを意味します。がんの経験は人それぞれですが、同じような病期のがんは同じような予後をたどる傾向があり、一般的にほぼ同じように治療されます。臨床の現場では、病期を決定する基準として最も一般的に用いられているのがTNM病期分類であり、Tは腫瘍の範囲と大きさ、Nは近傍のリンパ節への転移の有無、Mは肝臓がんが骨や肺など肝臓以外に転移しているかどうかを表しています。

過去数十年の間に、新たな実験によって肝臓癌の遺伝子異常が特定され、異常な発見によって新たな治療法も特定されたにもかかわらず、肝臓癌のあらゆる側面に関する医学的知識と理解は大きく向上した。それにもかかわらず、肝がんの全体的な予後は楽観できるものではない。5年相対生存率はほとんどの国で10〜20%しかない。生存率はあくまで推定値であり、一般的には特定の癌に罹患した多数の人々から得られた事前の結果に基づいている。
一般的に、がんを摘出する手術を受けられる患者さんの生存率は、病期に関係なく高くなります。例えば、腫瘍が小さく切除可能で、肝硬変やその他の深刻な健康問題がない人は、腫瘍を摘出すればよくなる可能性があることが研究で示されている。肝移植を受けた早期の肝臓がん患者の5年生存率は、60〜70パーセントの範囲にある。このような観点から、肝臓癌を予防する方法を知り、肝臓癌の早期発見ができれば、発見が遅れるよりも予後はずっと良くなります。

結論
肝臓がんと診断されることはとても不幸なことです。ともあれ、最初の辛さや受け入れ難さを乗り越えて、大局的な視野に立ち、肝臓がんについて、その予後について、治療を受けながら気持ちよく過ごすためにできることなど、できることをひとつずつ学んでいくことが大切です。そしてもちろん、健康な人にとっては、肝臓がんを予防することは真剣に取り組む価値のあることである。
上医連佳は、数万人の認定中医学者の上に立ち、その疑問にお答えします。
香港のスター、ン・マンタットが肝臓がんで亡くなった。中国現代詩人王国珍、名優フー・ビャオ、太っちょ沈殿霞、有名作家ウェイ・ウェイなども肝臓がんで亡くなっている。 この人たちはかわいそうな人たちなのだろうか?

肝臓がんはなぜ貧弱がんと呼ばれるのか?
一方では、肝臓がんは発展途上国、特に中国で高い有病率だから、多くの人が"中国癌"、私たち特有の食卓酒文化と猛威を振るうB型肝炎が原因なのだ。
一方、肝臓がんは長期の慢性感染症に関連したがんで、経済的に発展していない地域に多く発生する。厳しい自然環境、栄養不良、低衛生、悪い生活習慣その結果、この種の癌になりやすい。
例えば、B型肝炎ウイルスに感染すると、急性および慢性の炎症を経て肝硬変に進展し、少数の患者では最終的に肝臓がんに至ることもある。
肝臓に最もダメージを与える行動とは?
- 長引く夜更かしと睡眠不足
- 喫煙、アルコール乱用、頻繁な過度の飲酒
- 過食と不規則な食生活
- 高脂肪、高カロリーの食事で、栄養過多になりがちである。

春の肝臓ケア
ことわざの通りだ。春の気を乱してはならない。"、中国医学に基づく適時健康に留意する原則的に、春は木に属し、木は肝臓に対応する。
(1) 緑黄色野菜をもっと食べる
春の食事は酸味を抑えて甘みを増やし、緑黄色野菜を増やすべきだ。なぜなら"緑は肝臓の経絡に入る「緑黄色野菜をたくさん食べれば、肝臓をいたわることができる。
(2)手のひらをこすり合わせて肝臓と血液に栄養を与える。
手のひらには、血液のツボである心包経の老宮がある。手のひらをこすり合わせて温めることで、血液を活性化させる効果がある。
方法:両手をまっすぐ伸ばし、手のひらを向かい合わせ、上下にさすり、前後にこね、そして両手で「陰を包む陽」(右手を左手で包む)の動作を行う。
1日1回、朝と昼(11時から13時)に行うことをお勧めする。
肝臓は痛みを伴わない臓器であるため、その健康を軽視せず、小さな心に栄養を与える良い習慣を身につけることがより重要なのだ!
この回答は、上田仁嘉の認定医から照合したものです。上田仁嘉は専門の漢方薬インターネット健康管理プラットフォームであり、より多くの質問がある場合は、上田仁嘉に注目し、背景にメッセージを残して相談してください。
私たちの村では以前、肝臓がんで亡くなった人がかなりいた!
私は叔母と祖父が肝臓がんで死亡している、誰もが過去の生活のためにあまりにもハードであると言われ、彼らは山東省出身で、人々の上に、冬の東北には食べる新鮮な食べ物がない、秋には、漬物の塊のいくつかのタンクに漬けられ、ザワークラウトの大きなタンクは、10月から翌年の6月まで食べられています。
大きな饅頭を何個も食べる食事は、漬物を食べ、饅頭を蒸す釜の水を飲むことである。さらにアルコールの消費量も特に多く、一食のアルコールで半キャティか2杯は飲める。このような高塩分生活が何十年も続くのだから、肝臓に良くないのは間違いない。だから当時は肝臓ガンが多かったのだ。
今は生活環境も良くなり、冬でも新鮮な野菜や果物を食べることができるが、それでも肝臓がんになる人は多い!生活環境が良すぎて、食事はテレビを見たり、携帯電話を使ったり、ゲームをしたり、運動もせず、体型は太っている。特に脂肪肝になると、深刻な肝硬変になり、最後には肝臓がんになる。
だから、貧乏だろうが金持ちだろうが、健康に気をつけなければ肝臓がんになる可能性はある。
I. 肝臓がんとは?
肝臓がんは、原発性肝がんと続発性肝がんに分けられる。原発性肝がんとは、肝細胞がんや胆管上皮細胞がんなど、肝臓そのものががん化したもので、二次性肝がんとは、体の他の部分、他の組織でがん化し、血液転移などを経て肝臓にもがん化したものです。
次に、肝臓がんの原因は何か。
ここでいう肝臓がんとは、原発性肝がんのことである!現在のところ、肝臓がん全般の原因はあまりはっきりしていないようですが、以下のような原因が肝臓がんに関係しているので注意が必要です!
1、ウイルス感染、特にB型肝炎ウイルスとC型肝炎ウイルス。これは中国における肝臓癌の発生率の「特殊性」である!近年、B型肝炎のワクチン接種が普及したため、慢性B型肝炎患者は少なくなったが、ここ数年、中国のB型肝炎患者数は実に数億人とも言えるほど非常に多かった。研究報告によると、肝臓癌患者の90%以上がB型肝炎を患っており、B型肝炎、肝硬変、肝臓癌の三段階を経ることが多い。
2、食事要因。まず、アフラトキシンなどの不潔な食事が基準を超えている!アフラトキシンは発がん性物質の一種であり、がん遺伝子を破壊し、細胞のがん化につながる。次にアルコール。アルコールそのものが細胞の突然変異を増加させる可能性がある。また、長期的なアルコール摂取は肝硬変を引き起こす可能性があり、肝硬変は肝臓がんの高リスク因子とされている。第三に、微量元素の不足、ニトロソアミン食品の過剰摂取などである。
3、遺伝と性別。男性は女性よりも原発性肝癌を発症しやすいと報告されているが、その理由は不明であり、おそらくホルモンレベルに関係しているものと思われる。
第三に、肝臓がんは本当に貧乏人のがんなのか?金持ちがなるのか?
上記の「肝臓がんの原因」の2点目から、所得水準は原因の1つではないことがわかるはずである。もちろん、貧乏人がB型肝炎に罹患して治療費がない一方で、別の金持ちが抗ウイルス薬や肝庇護薬の治療費を持っていれば、金持ちの方が貧乏人よりも「B型肝炎→肝硬変→肝がん」という展開になりにくいかもしれない。しかし、このルートとは別に、肝臓がんの危険因子は他にも高いものがあるので、肝臓がんが貧乏人のがんであるという証拠はない!彼らは貧しいのか?いいえ!それでも不運から逃れるのは難しい。
四、肝臓がんを予防するには?
上記の2番目の「肝がんの原因」を避けることに加え、40歳以上の人は、腹部超音波検査⏫とα-フェトプロテインの値を定期的にチェックする必要がある。
この質問と回答はサイト利用者のものであり、サイトの立場を代表するものではありません、侵害など、削除するには管理者に連絡してください。

