高齢者はなぜ脚が痛くなるのか?
高齢者はなぜ脚が痛くなるのか?
高齢になると、立ったりしゃがんだりすることが困難になるが、これは主に膝関節や股関節、腰椎の病変が原因である。
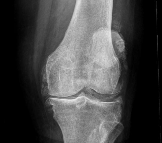
1/.膝関節:高齢者のしゃがむ&立っている困難で、多くの原因は、膝の変性、関節炎、滑膜炎、靭帯だけでなく、半月板の損傷によって引き起こされる。膝関節の変性では、冷たさの一定の年数の初期に現れ、階段を上る二重膝の弱さ、歩行が柔らかく再生され、後に現れた痛み、膨張、しゃがむ難しさの症状では、膝の脛骨プラットフォームであるため、顆間骨棘とギャップが広く、不均一に狭く、骨水腫、無菌性骨膜(滑膜炎)、半月板の摩耗や断裂、大腿四頭筋などの筋肉の緊張、靭帯損傷など。診断と鑑別は、血液検査、リウマチ4項目、抗環状シトルリン化ペプチド抗体検査、核磁気検査などで確認する。
2/.関節炎;膝関節の痛み、腫れ、または両方の灼熱皮膚の赤い症状の主な症状。リウマチ性関節炎は膝関節に現れ、複数の関節が痛み、または腫れ、歩行困難、雨や雪の日が悪化してさまようなど。敗血症性関節炎は悪寒と発熱を伴い、膝関節が赤く腫れ、熱く痛み、関節の変動感を押す。結核性関節炎は、結核の病歴があり、膝関節が腫れて変形し、歩行困難で、発熱を伴う。上記の関節炎は、胸部DRフィルム、リウマチ四項目、生化学、ツベルクリン検査、核磁気検査で調べることができる。
3/.腰椎変性症、腰椎椎間板ヘルニア。腰痛や下肢痛(坐骨神経痛)、間欠性跛行、しゃがんだり立ったりすることが困難、血中尿酸値のチェック、CT、MRIなどの症状が現れる。
4/.股関節の滑膜炎は、無菌性の外傷性炎症で、片側発症が多く、外傷歴があり、屈曲・伸展時、外旋・外転時の痛みの増大、挙脚テスト陽性で現れる。
5/.大腿骨頭壊死症で、外傷歴または股関節痛の続発歴があり、歩行により増悪し、しゃがんだり立ったりすることが困難。核磁気およびDRフィルム検査。
6/.股関節周囲炎、主に片側の股関節痛を呈し、大腿および膝痛、股関節外側および臀部痛を伴う、立位で増悪し、座位では快適。核磁気検査などを行う。
年をとると、なぜ人はいつも全身に痛みを感じるのだろうか。高齢者が「足が雨風にあたる」と言うのをよく耳にするが、特定の気象条件下ではいつも痛みが増すという。
特に地面での作業が多い高齢者にとっては、重い荷物を背負ってしゃがむと立ち上がるのが大変で、気をつけないと地面で半身不随になってしまう。
また、腰をかがめて力仕事をすることが多い出稼ぎ労働者は、いつかは立ち上がれなくなる可能性がある。

基本的に、身体が強い痛みを感じるときは、身体の器官のどこかに異常があるはずで、他の症状とは異なり、この種の痛みは多くの場合、蓄積されたプロセスの結果である。
一方では、年齢を重ねるにつれて、体内の臓器であるベンの機能や回復能力が低下し、肉体労働をすることが多い人は、これらの臓器の関節に、その合理的な許容範囲を超えて長い間負担をかけることになるからだ。

臓器の回復能力が制限されると、人々は身体のこれらの部分がもはや自分の自由に使えないと感じるようになる。そして、このような痛みは、自分の長期的な痛みを伴うが、違いは、痛みの程度が異なっているだけであり、長い時間の仕事が突然停止すると、より多くの痛みを伴うでしょう、あまりにも重いと速すぎる仕事もより多くの痛みを伴うでしょう。
建設現場で働く出稼ぎ労働者が突然立てなくなるのは、実は腰椎椎間板ヘルニアが神経を圧迫していることが原因であることが多い。

一般的に、顔のように体の器官は老化のパターンがはっきりしているが、遺伝子や生活環境、人生観が人それぞれ違うため、老化には非常に典型的な個人差がある。
30歳になっても40代と変わらない人もいれば、80歳になっても鍬を持って畑仕事ができる人もいれば、50歳になっても一人暮らしが難しい人もいるのはそのためだ。

高齢になると、腰椎と膝関節に問題が生じることが多い。膝関節は、脛骨の上端、大腿骨の下端、膝蓋骨で構成され、人体で最も複雑な関節として知られており、この関節の安定性は、関節包が薄いため、関節の補強を達成するために周囲の靭帯に依存しています。
紛れもなく、多くの中高年が障害を負う主な原因は変形性膝関節症であり、人工膝関節置換術の約85%を占めている。

私たち健常人にはそれぞれ5つの腰椎があり、それらは腎臓のような形に並んでいます。いわゆる腰椎椎間板ヘルニアは、実際には腰椎椎間板の変性病変であり、そしてそれに隣接する脊髄神経根が圧迫され、圧迫され、刺激される。これが、腰椎の問題で人が立てなくなることを理解できない人がいる根本的な理由である。
さらに、腰椎の問題はもはや高齢者だけに多く見られるものではなく、急性の怪我が腰椎の退行性変化を引き起こすこともある。 そのため、建設現場で数年働いただけで、腰椎の深刻な椎間板ヘルニアになる若者もいる。

一言で言えば、私たちの体は他の機械と同じで、体内で活動するすべての臓器にも寿命の限界があり、膝関節のような臓器は通常60年、70年は普通に使える。
膝や腰椎に重大な問題が発生する年齢でもないのに、さらにその激痛が生活の質に深刻な影響を及ぼす人がいるのは、それ以前の年齢でこれらの臓器の使用強度が許容範囲を超えていることが主な原因である。

私たちが認識している普通の生命体であれ、地球や太陽系、あるいは宇宙のような特殊な生命体であれ、実は私たちは皆、さまざまな段階を経て独自のライフサイクルを確立している。
不老不死は古来より人類が追い求めてきたことであり、人類の平均寿命もかつての40歳程度から、現在では70~80歳まで延びている。しかし、現在の私たちにできることは、何らかの手段で老化の進行を遅らせることだけであり、老化の発生と継続を根本的に止めることはできない。

老化の終わりは死であり、死の反対側には新しい命がある。老化の長いようで短いプロセスは、人間がまだ受精卵であるときから始まっている。地上での生活には、毎週毎週、誕生と死がつきまとうが、人はみな一度きりの人生であり、今述べたような身体器官の問題はどれも治すことはできず、治療による緩和の程度よりも予防の効果の方がはるかに大きい。
だから、年をとることは避けられないが、いつかそのときが来るために、私たちは自分の体の器官を賢く使わなければならない。
「年寄りは足より先に年を取る」、それは悪いことではない!

日常生活の中で、歩く、走る、散歩する、日々の仕事など、足を使わない動作はどこにあるのだろうか?結局のところ、私たちは死すべき肉体であって、鋼鉄の肉体ではないのだから何年も使っているのに、経年劣化でジョイントが摩耗しないなんてことがあるんですか?スチール製のベアリングだって、使っているうちに砂穴が開いてくるでしょう?
加齢に伴い、関節にどのような問題が生じる可能性があるのか?
実際、年齢を重ねるにつれて、関節には次のような問題が生じやすくなる。関節内軟骨の摩耗と損傷関節の表面は、ヒアリン軟骨で形成された関節軟骨という非常に重要な層で覆われています。この関節軟骨の層は弾力性に富み、表面は特に滑らかで、摩擦係数が非常に低く、滑らかで弾力性に富んだ関節軟骨は、私たちの関節を保護する上で非常に重要な役割を果たしています。その存在によって、私たちは走り、ジャンプし、関節の屈曲と伸展の過程で力の衝撃を和らげ、摩擦を減らし、運動の過程で骨と骨が直接ぶつかるのを防ぐことができる。。
しかし、長時間使用するため、加齢とともに関節軟骨がすり減り、損傷する可能性が高くなる。禁忌という可能性もある。過労と酷使。あるいは、それが原因かもしれない。体重だけでなく遺伝的要因も関節軟骨の磨耗と損傷には、様々な要因が関与している。

関節の軟骨がすり減る程度が少なければ、患者は何も感じないが、軟骨のすり減りが深刻になるにつれて、すり減る範囲がどんどん大きくなり、すり減る厚みがどんどん大きくなり、関節が屈曲、伸展、活動する過程で、骨と骨の間の圧力が大きくなり、私たちの体は、骨と骨の間の関節にかかる圧力をよりよく軽減するために骨棘が現れ始め、骨が肥大化する。比較的小さな時間の誕生は、任意の症状を生成しませんが、より多くの大規模な、より多くの場合、患者の関節の機能に影響を与え、その結果、患者がしゃがむしゃがむしゃがむダウンすることはできませんしたい、脚を曲げたい正常な位置に曲げることはできません、一部の患者はまた、高齢者の上記の状況は非常に一般的である、我々は障害物をまっすぐ表示されます呼び出す変形性関節症は、65歳以上の50%に見られる。。

軟骨のすり減りがひどくなると、軟骨の表面は非常にざらざらした状態になり、場所によってはひび割れさえ生じる。ちょうど家の壁紙が水に浸かると剥がれてしまうように、関節の屈伸運動時に摩擦が生じるようになるのだ。重症の場合、真夜中に関節を曲げ伸ばしすると摩擦音が聞こえる。。

さらに、関節の軟骨がすり減ると、関節の滑膜の炎症も起こる。多くの患者が関節に痛みを感じ、関節に水がたまる。。
では、なぜ高齢者はしゃがめないのか、しゃがんでも立ち上がれないのか?これは主に、しゃがむ過程で膝関節が非常に緊張するためです。これは主に、私たちの膝関節がしゃがむ過程で、全体の筋肉が非常に緊張しているため、関節が負担する圧力も大幅に増加し、痛みは自然にますます明らかになり、多くの高齢者は、関節痛に苦しむ長年のためです。筋萎縮が著しいしゃがんだ後に再び立ち上がろうとすると、痛みに耐えなければならないだけでなく、脱力してしゃがんだ状態から立ち上がることも難しくなる。

では、このような状況に陥ったとき、高齢者はどうすればいいのだろうか?
このような状態にある高齢者は、まずそれなりの検査を受ける必要がある。確定診断を下す一般的に、シニアの方々には次のようなことをお勧めする。臨床検査例えば、痛風性関節炎、リウマチ、関節リウマチを除外するためのリウマチ学的検査。その後、老人のさまざまな関節の状態、深刻な変形の有無などに応じて、X線検査や核磁気検査を行うことを検討する:
- X線検査の主な目的は、関節腔が著しく狭くなっているかどうかを判断することである。狭くなっている主な理由は、軟骨がかなり薄くなり、自然な関節空間が狭くなっているからです。また、高齢者の関節はレントゲンでよく判断できます。骨の形成が多いかどうか(骨棘)それが体のどの部分に特異的に形成されるのか、高齢者ではどのような機能に影響を及ぼすのか、また、高齢者ではどのような機能が低下するのか。オステオイドの形成と関節腔の狭小化は、変形性関節症における最も典型的な変化である。。

- 而MRIの主な目的は、高齢者の関節の軟骨がどの程度すり減っているか、関節内に液体があるかどうか、液体の量、関節の半月板のすり減りや断裂があるかどうかを調べることである。この検査は医師が行うことが多い。症状が特に重くなく、関節の変形が特に目立たない高齢者がこの検査に適していることが多いが、もちろん可能な人は両方の検査を受けるべきである。
どのように扱われるべきか?
加齢に伴う変形性関節症の治療に。治療には段階的アプローチを用いる傾向があるつまり、高齢者の状態をコントロールするために、簡単で、費用もかからず、外傷も少ない方法から始め、簡単な方法で問題が解決できない場合は、徐々に治療手段を増やし、高齢者の関節の問題を可能な限り解決できるようにするのであり、このはしごは次のようなものである:
- 心理的適応とライフスタイルのコントロール多くの人々にとって、高齢者、変形性関節症の変化や症状は非常に正常であるが、一部の高齢者は、心理的に耐えることができないに適応していない、一部の高齢者であっても、うつ病のパフォーマンスに現れたが、これは必要ではありません、老化は非常に正常であり、我々はそれに適応することを学ぶ、それに対処するために、それと戦うためにそれを行うには、すでに病気のために高齢者の異常の心臓の側面に現れた場合は、することができます示唆された。カウンセラーに相談し、心を整える。加えて高齢者の中には、変形性関節症になったら運動をしてはいけないと思っている人がいる。この病気は一度発症するとゆっくりと進行する傾向があり、適切な運動は高齢者が関節周囲の筋肉を強化し、関節を安定させ、運動能力を向上させるのに役立つ。ウォーキング、水泳、ステーショナリー・バイクが良い加齢に伴う変形性関節症の人に適した運動である。

- 局所用非ステロイド性抗炎症・鎮痛軟膏変形性膝関節症やその他の表在関節炎を持つ高齢者にとっては、外用非ステロイド性抗炎症鎮痛薬がより良い選択であり、外用鎮痛薬は長期的には経口薬と同じ効果があることが研究で示されている。さらに、長期内服薬が高齢者にもたらす可能性のある心血管リスクや胃粘膜障害を避けることができる。
- 理学療法と母国医療初期および中期の変形性関節症患者に対する理学療法には、痛みの緩和や症状のコントロールに役立つものもある。マイクロ波治療例えば経皮的電気神経刺激など。鍼治療や漢方薬も高齢者の症状緩和に役立つ。
- 経口アンモニアグルコサミンが高齢者の関節に効くかどうかについては、ある国のガイドラインでは推奨されておらず、ある国では推奨されているという論争がある。個人的には、グルコサミンの経口投与を試してみることをお勧めする。,3ヶ月くらいはね。患者さんの症状をコントロールし、痛みを軽減することができるのであれば、効果がなければ服用を継続し、そのうちに中止すればいいのです。診療所では、高齢の方がアンモニア糖の経口摂取で症状がかなり緩和された後に、試してみることもあります。
- 硝酸ナトリウムの関節内注射、prp..硝酸ナトリウムは別名ヒアルロン酸ナトリウムとも呼ばれ、私たちの膝関節にもともと存在する物質で、私たち自身の体内で生成される内因性のものと、補充される外因性のものに分けられます。加齢とともに関節軟骨がすり減り、ヒアルロン酸ナトリウムを分泌する能力が著しく低下した場合、外因性の補給によって治療を行うことができる。この薬剤は、機械的潤滑剤として作用するだけでなく、炎症を抑える作用もある。筋骨格系の損傷だけでなく、軟骨の修復も促進する。この治療は週1回、4~5回の治療コースで行われ、初期だけでなく中期の変形性関節症患者も8カ月から1カ月の結果をコントロールすることができる。.また、近年登場した治療法である多血小板血漿因子(prp)の関節内注射を検討することも可能である。

- 外科的治療以前は、より重度の進行性変形性関節症の患者さんには、通常、手術を行っていました。全膝(股関節)表面置換術つまり、すり減った軟骨の表面を金属の表面に置き換えるのですが、これは義歯を歯列矯正に置き換えるプロセスと似ています。この方法は比較的侵襲が大きく、患者さんによっては関節の片側の軟骨のすり減りが多い傾向があり、例えば内側や外側のすり減りがひどい場合、すり減りがひどくない部分を人工膝関節全置換術で置き換えるのは非常に心苦しいものです。 そこで現在では、より重度の患者さんの問題解決を図るために、骨切り術や整形外科的治療、あるいは単一コンパートメント置換術による膝関節温存治療も提唱しています。骨切り術や整形外科的治療、単一コンパートメント置換術によって問題を解決することができます。もちろん、特に重度の進行した変形性関節症の患者さんには、人工関節全置換術が必要です。

そして何よりも、それは変形性関節症患者のためのステップセラピー入門患者さんの症状をコントロールするためには、まず簡単で費用のかからない方法をとり、次に比較的外傷の多い方法を選択しなければならないことが多い。それでも緩和されない場合は、問題を解決するために、最終的には外科手術で治療しなければならないこともある。
概要
変形性関節症の患者さんにとって重要なことは、症状が進行した場合、この病気は完全に治る可能性があること、つまり人工関節置換術が患者さんの問題を完全に解決するのに役立つことを理解することです。
しかし結局のところ、この治療法にはある程度のリスクが伴い、手術の費用や外傷も比較的高額になるため、多くの患者はこの治療法を選択しないことが多い。
また、変形性関節症の人は、手術をして問題を解決することで、それを避けようとする。関節に症状が出たらすぐに医師に相談し、できるだけ早く医師の助けを求めることが大切です。治療が早ければ早いほど、より良い結果が得られ、問題を食い止め、病気が進行しないようにするためには、より簡単で費用もかからず、外傷も少なくて済む。
もし他に疑問があれば、下にコメントを残して議論することができる。
私は複雑な病気の知識を簡単な言葉を使って説明することを主張している謝新輝です、それはコードを書くのは簡単ではありません、あなたは私の意見に同意する場合は、懸念を指摘したり、それを好きなようにクリックしてください、あなたやあなたの家族や友人もこのことで悩んでいる場合は、それらの必要性にこの記事を転送してください、ありがとうございました!

(高齢者の関節の症状につながる)多くの疾患であり、変形性関節症は、スペースに限られた最も一般的な、博士謝だけ変形性関節症は、詳細な紹介のために、高齢者の特定の問題が、また、病院に専門医の助けを求めるために、この記事は、科学のためだけであり、診断や治療の価値を持っていない、画像の一部は、著作権侵害のネットワークからです削除)。
医学的には、この現象は変性であり、コラーゲンの喪失と骨カルシウムの血中への放出によって引き起こされる一連の症状が、この現象の最も初期の現れであると私は考えている。
なぜ高齢者は脚が痛くなるのか?高齢者が痛むのは脚だけではない。体のあらゆる部分に病変や不快感が生じる。自然の法則だ。旧社会から改革開放の時代にかけて、田舎の農民の間で有名な言葉があった。「人は60歳まで生きる。五年七日六月八時。人はある年齢まで生きると、自然に死ぬものだ。そして事故死。これは人の意志によるものではない。したがって、成長は死の始まりであり、死は成長の終わりである。死は自然法則の勝利である。現在、中国人の平均寿命が7歳を超えたというニュースがある。これは生活水準の向上と肉体労働の軽減の結果である。また、社会主義体制と科学技術の発展の賜物でもある。人間の身体はコンピューターや機械のようなものだ。脳は指揮官であり、目は斥候である。手と足は輸送車である。血管は四方八方に伸びる線路である。仕事の時間だ。空腹の消化器系は司令部に報告する。司令部は斥候に指示を出す。食料を探す。スカウトはそれを見つけ、司令部に報告し、司令部は足と手に食べ物を取ってきて口で食べるように指示する。指揮官は歯や臓器に仕事をさせるよう命じない。最後に、下痢である。どの臓器や部門に問題があっても、全身の健康に影響を及ぼす。年老いた人はほとんど夕焼けのように赤くなり、あるいはすでに夕焼けのように赤くなり、体の部位は確かに小さいものから大きいものまで、軽いものから重いものまで、病変や状態が変化する。そして最後には死に至る。
ありがとう!多くの高齢者が背中や脚の痛みに苦しんでいる。これは非常に一般的な現象で、その原因は主に退行性変化である。
私たちは理解しなければならない、実際には、人間の体と機械は、時間の期間の後に機械の動作に非常に類似しているも老化が失敗するでしょう、同じ人間の体はまた、私たちの骨のように、そのような変更になりますが、通常、我々はそれがどのように特別な存在を持っているとは思わないが、我々は毎日歩く、行動、すべての時間の摩耗や骨の損傷で、我々は少し深く言えば、つまり、すべての時間の摩耗や半月板や椎間板などの軟部組織の損傷である。例えば、半月板や椎間板だ。
若いうちは、私たちの身体は修復する能力が非常に高いか、あるいは補う能力が非常に高く、少々の軽い損傷は、事実とは思わずに、少々の重い損傷も回復させることができるが、年をとれば、身体の修復能力や補う能力は著しく低下する。
この場合、若い頃と同じ強度の労働を続ければ、必然的に骨や軟骨に深刻なダメージを与えることになる。そして、慢性的な無菌性炎症の形成を促し、最終的には痛みを引き起こすことになる。
また、軟骨は再生できないという概念を理解する必要がある。現在、軟骨栄養軟骨を修復できるという概念が多いが、実はこれには科学的根拠がない。
だから、日常生活で注意しなければならないのは、自分の軟骨や骨を守ることであり、決して勝手に破壊しないことだ。
姿勢にも気を配ること。
皆さんの健康を祈っています!
質問がある場合は、個人のホームページをクリックして、一番下にあるアドバイスを求めることができます。いいね!、コメント、転送、注目、脳神経外科(脳外科)の本当の世界を理解するためにあなたを取る歓迎します。 (合理的で合法的な病気の治療については、正規のチャンネルを選択してください)
年齢は老いていくべきだが、身体はあちこち痛むものではないはずだ。それはすべて人為的な怪我だ。労作、労働、質素な生活、病気などの結果だ。
上の世代は、牛や馬の力として働き、豚や犬の餌を食べ、飢饉から逃れ、食料を乞い、奴隷として働き、老後は病弱で、まるで何歳にもなったかのような日々を過ごしていた。
脚の関節は高齢になると長時間風にさらされ、動かなくなる。
関節はひどく摩耗しており、通常の健康管理では保護されていない。
朝の運動は、多くは太陽の外に出ていないという知識によると、体を行使し始めた。専門家によると、朝の運動は太陽が昇るまで待つ必要があり、その後、人間の体の体温と太陽が気候と人間の体温の温度を減らすために出てくるので、運動するために外出するのが最適です近い。
この時が一番いい。だから、年をとったらやみくもに運動するのではなく、「程度」というものがあって、ある一定の「程度」を保つことが、関節の損失を抑えて関節を維持することになる。
「高齢者はまず足腰を失う」。若者は脚のメンテナンス、スポーツや運動の傷害、摩耗や膝軟骨の損傷を増加させるの良い仕事をしていない、これらは高齢者が脚の痛みの理由になることによって引き起こされる体の器官の年齢は徐々に老化、これは自然の法則である、なぜ人間の体は非常に多くの臓器、足と足の賛成で、最初にそれを老化?(注:以下の内容は筆者の個人的見解に過ぎず、あくまで参考として、専門的な健康上の疑問がある場合は、関連する専門家や医師にご相談ください。)

こんにちは、私はスポーツを愛する白、通常、バドミントンやランニングをするのが好きですが、また、中年や老人を再生するバドミントンの多くに会っただけでなく、足や足がしびれ、ボールを再生するだけでなく、虎である、まったく誇張されていません。「足腰の衰えは自然の摂理とはいえ、適度な運動とメンテナンスによって、老化のスピードを大幅に遅らせることができる。50代、60代でバドミントンをしている人をあちこちで見かける。なぜ高齢者は脚が痛くなるのか、という疑問について私の意見を述べたい。

高齢者はなぜ脚が痛くなるのか?主な理由はいくつかあると思う。
基礎疾患による足腰の痛み
高齢者が足腰の痛みを感じる理由の大部分は、痛風による手足の関節痛や糖尿病による糖尿病性足関節炎など、高齢者自身の基礎疾患によるものである。これらの基礎疾患は、食事療法や運動療法に力を入れず、不規則な生活が長く続くことによって引き起こされる。


このような基礎疾患を持つ人は、年を取るにつれて大なり小なり脚に何らかの問題を抱えるようになる。

膝関節の摩耗と損傷
膝関節は人体の中でも特殊で複雑な器官のひとつである。 膝の軟骨は、歩いたり走ったりするときの潤滑油やクッションの役割を担っているが、膝の軟骨の強度はそれほど高くない。軟骨がすり減ったら、元には戻りません。膝関節のすり減りは、実際には膝の軟骨のすり減りである。

普通に歩いたり、走ったり、階段を昇り降りしたり、運動したりすることは、すべて軟骨をすり減らしたり、傷つけたりする原因になるが、運動の方法によって、すり減らしたり、傷つけたりする程度が違うだけだ。軟骨は、時間の経過と加齢によって、常に磨耗と損傷の状態にある。軟骨がすり減ると、膝関節は潤滑性とクッション性を失い、体重の負荷やストレスが大きくなります。

膝関節の正常な摩耗や損傷はゆっくりとしたプロセスですが、年齢とともに摩耗や損傷も少しずつ増加し、自然なプロセスですが、あなたが年を取るにつれて脚に痛みを引き起こすポイントに膝の軟骨の摩耗や損傷を悪化させることができるいくつかの条件があります、どのような条件が軟骨の摩耗を悪化させることができますか?
- オーバーウエート

- 長時間の運動不足は、膝関節の栄養吸収を妨げる。

- 激しい運動(オーバーエクササイズ)
- 脚の筋力を重視しない

体の関節が老化するにつれて、脚が最初に老化するのは自然の法則だ。
年を取ると、まず足が老ける」ということわざがある。これは自然の法則であると同時に、人体の自然な老化のプロセスでもある。なぜ人は年を取ると、足が最初に老化するのだろうか?理由はいくつかあると思う:
- 足は心臓の血液供給や酸素供給から最も遠い臓器であり、加齢とともに心臓の血液供給能力が低下し、まず足腰に影響が出る。
- 加齢による骨粗鬆症、骨カルシウムの減少、骨密度の低下
- 一般的に足腰のメンテナンスが不足している。

年齢を重ねるにつれて脚が痛くなるのを防ぐために、どのようなケアをしていますか?
年をとったらまず足腰が老化することがわかっている以上、老化を遅らせ、足腰の痛みを防ぐために、普段から足腰のケアをしっかりする必要がある。
- 適切な運動:
運動は最高のメンテナンス製品であり、人体の関節は機械のようなものであり、長い間運動しないと「錆」になり、関節が栄養を吸収できなくなり、その結果、関節炎、膝の痛みなどの問題が生じます。お勧めの運動は、ジョギング、ウォーキング、乗馬などである。

- 膝、脚、足部ケアの:
脚と足の裏の経絡は、全身の臓器にマッピングすることができますので、通常、いくつかの足と足のマッサージ、足浸漬を行うことができます。膝関節は、通常、いくつかの深いスクワットを行うことができます、膝関節液の分泌を促進するために壁に向かってしゃがんで、膝の潤滑と栄養の役割を果たすことができます。


- 適切な栄養補助食品:
高齢になると、体内のカルシウムが徐々に失われ、骨粗しょう症や骨密度の低下などの問題が出てきます。牛乳、卵、新鮮な果物や野菜など、普段の食事にカルシウムをプラスして、バランスのとれた食生活を心がけましょう。カルシウムの錠剤やコンドロイチンなどの維持食品を摂るのもよい。


要約すると、若いうちは常に足腰に重点を置く!
"千里の道も一歩から" 世界はとても広い。若くて仕事が忙しく、人生を謳歌し始めるのは定年退職後である。老いた足腰が先」という考えが、私たちの進歩の妨げにならないように。若いうちは自分のメンテナンス、特に足腰のメンテナンスに気を配るべきだ。人生とは動くことだ。適切な運動、食事、規則正しいスケジュールは、あなたが健康を維持し、あなたの人生の残りの部分に老後の良い、健康な体を持っているものです。私はXiaobai、共有スポーツ、幸せな生活と肯定的なコンテンツは、それを共有するために注意が好きです!(テキスト内の画像は、ネットワーク、浸食や削除から来ている)

著者:文武両道
脚は全身に体重を運ぶ役割を担っており、日常的に体重を支えるため、摩耗や損傷、老化が起こりやすい。
この質問と回答はサイト利用者のものであり、サイトの立場を代表するものではありません、侵害など、削除するには管理者に連絡してください。