唇の乾燥、ひび割れ、皮むけの原因は?
唇の乾燥、ひび割れ、皮むけの原因は?
秋と冬の季節には、乾燥し、ひび割れた唇は非常に一般的であり、私たちの部門では、多くの場合、特に多くの言葉のために医師を参照してください、乾燥し、ひび割れた唇の水分を補充する時間ではありません。
実際、唇が乾燥してひび割れるのには2つの理由がある。一方は、体が極度に脱水していること、もう一方は、体にビタミンが不足していることである:
1日にコップ8杯の水を飲めますか?毎日300グラム、500グラムの野菜を食べることができますか?粗い穀物や雑穀を毎日食べていますか?実は、これらが唇の乾燥や皮むけに直接影響しているのです。
十分な水を飲む。
特に秋と冬は空気が乾燥するため、肌の表面から水分が奪われ、この季節になると顔の皮がむける人がいる!あなたがよく水和されている場合は、2000ミリリットルに飲む、あなたはゆっくりと唇が乾燥してひび割れされていないことがわかります。
食べ物は十分にある。
私たちの日常生活の中で、食生活の違いのために、多くの人々は、ビタミンの不足につながる緑の葉野菜を食べるのが好きではない、ビタミンのいくつかは、多くの場合、皮膚に関連付けられている、直接的な関係があるので、私たちが食べるものにこだわらない、贔屓しないでください、緑黄色野菜は300〜500グラムかそこらに食べるべきである、あなたはより多くすることができますが、少なくすることはできません、野菜の調理方法は、それはあなたが蒸し煮や煮込みを選択することをお勧めしますが、フライをお勧めしません!調理やフライはお勧めしません。
豊富な食用作物
ここであなたと一緒に強調するために、小さなクールを食べる、我々は毎日白米、白いパンを食べる必要はありませんので、単一の、あなたはいくつかの粗い穀物や穀物を食べることができ、粗い穀物や穀物と言った、多くの人々が考えるだろう、コーンミールの口ひげやコーンケーキああを食べることではありませんか?もちろん、ソバ、オート麦、小豆、緑豆など多くのラがあり、これらは粗い穀物である。
これらのポイントをすべて実行することで、良い食生活を取り入れることと合わせて、唇の乾燥やひび割れは完全に解決すると断言できる。
著者プロフィール:ガオ・シュアン
病院外来栄養士
国家登録栄養士(DRT)
中国栄養学会会員
国家2級公衆栄養士
国家3級衛生管理者
本日のヘッドライン・ヘルスQ&A』のサイン入り著者
本日のヘッドライン「リワード・プログラム」第8期受賞者

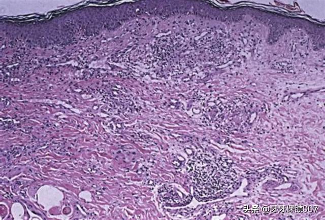
唇の乾燥、ひび割れ、皮むけは、口腔疾患のひとつである。口腔医学では口唇炎とも呼ばれる。
脂肪炎とは?
乾燥ひび割れ唇、剥離皮膚、粘膜感染の潰瘍の主な症状は、急性と慢性の2種類があります。初期の一般的にしばしば乾燥し、ひび割れた唇、剥離、流水、重度の脂肪炎は、しばしば再発、潰瘍、口を開くことが困難になる脂肪炎は、改善することは容易ではありません。

脂肪炎の主な原因は?
現在までのところ、脂肪炎の原因はあまり明確ではないが、日光暴露、乾燥気候、局所刺激、スパイシーな刺激、化粧品アレルギー、薬物反応、ウイルス感染、精神医学的要因などが広く関係している。
迷路炎の分類によると、基本的な原因は以下の通りである。
1.慢性脂肪炎。
これは主に小児や青年に多く、乾燥した気候、日差しや風、喫煙や飲酒、熱い食べ物が好き、舌で唇を舐めたり噛んだりするなどの温度的、化学的、機械的要因による刺激が長期間持続すること、その他の悪い習慣や行動と関連している。不安、抑うつ、過敏などの精神医学的要因に関連するものもある。

2.光および化学的誘発性脂肪炎。
このタイプの脂肪炎は、口腔衛生、刺激性の食物、歯磨き粉、口紅、外傷、過度の喫煙に関係している可能性があり、紫外線暴露にも直接関係している。
3.アレルギー性脂肪炎。
魚介類(魚、エビ)、卵、牛乳にアレルギーを起こす子供がいるように、アレルギーを起こす物質に触れること。口紅、細菌感染、サルファ剤など、刺激性はないがアレルギーを引き起こす物質に対するアレルギー。

4.他の病気によるもの
一部の口唇感染症は、糖尿病などの内分泌疾患、口唇血管腫、義歯、遺伝的要因と関連していることが判明している。
脂肪炎になった場合、日常生活で気をつけることはありますか?
1、まず口腔衛生に注意し、毎日食前と食後に口をすすぎ、口腔内を清潔に保ち、衛生的にして感染を避ける。

2、特にアレルギー、喫煙やアルコールを禁止し、魚介類などの外国産タンパク質との接触が少ない、いくつかの不審な食品、口紅や薬の使用を最小限に抑えるために毎日の注意。

3、子供は唇を舐めたり噛んだりする悪い習慣を改めるべきである。普段から野菜や果物を多く摂り、ビタミンを補い、辛いものや刺激の強いものは控える。

4、日光、風や冷たい刺激、冬の気候乾燥と寒さを避けるために、保湿ケアの唇に注意を払う。
秋から冬にかけて、唇の乾燥、ひび割れ、皮むけなどの現象がよく見られますが、現代医学の研究では、マルチビタミンの不足が原因とされています。ここでは、唇の乾燥、ひび割れ、皮むけの原因を中医学の観点から分析する。
1.脾臓関連
中医学では、脾臓は "口の中に開き、その華は唇にある"、つまり、唇と最大の内臓の関係は脾臓である。唇は外部の脾臓のようなもので、人の輸送機能が良好であることを見て、直接彼の唇を見ることができます知ることができます。これも漢方の「見・嗅・問・切」である。脾陰が不足すると、脾から出る体液が不足し、水をたくさん飲んでも体液に吸収されない。さらに脾気が不足すると、生化学的な体液が体のすみずみまでうまく行き渡らなくなり、唇の乾燥も起こります。同時にこのような状態では、体内の湿も重くなります。治療は主に脾臓を強化することである。ここでは、脾陰を養い、脾気を補うことができる山芋という良い薬草を紹介します(山芋の働きについては、前回の記事で詳しく説明していますので、参考にしてください)。
2.胃・大腸関連
胃や大腸との関係は、人間の経絡の中で胃の経絡と大腸の経絡の両方が唇を通っているという事実に主に現れている。胃と大腸の経絡はともに陽明経の一部であり、中医学の主要な「乾燥」の経絡である。つまり、この2つの経絡は乾燥しやすく、経絡が乾燥すれば、当然その経絡が通る唇も乾燥する。
3.肺関連
漢方では、肺は「水の源」であり、全身に水を運ぶ。同時に、「肺は皮膚と髪をつかさどる」とされ、唇の表皮も皮膚の一部である。肺の機能が正常でないと、皮膚に水分を運ぶことができず、真っ先に影響を受けるのが唇なのだ。加えて、毎年秋、天候はもともと乾燥している、肺が乾燥ひび割れの剥離の唇につながるジン化学乾燥を傷つけさせやすい。この現象は、より一般的である、主に表示されるか、または秋に深刻になる、この時点で、あなたは治療を飲むために水を浸すために桑の葉を使用することができます。
以上、唇の乾燥、ひび割れ、皮むけに関する漢方医学的見解をまとめた。同時に、日常生活で水分を正常に保つこと、野菜や果物を多く摂ることにも注意したい。
乾燥ひび割れ唇の剥離といえば、多くの人がこの分野で経験を持っている、特に唇のようなパージ、歯でそれをかむと、特に快適に感じるが、あなたはすぐに噛んだ後、持っているでしょう、そして、いくつかの長い深い涙はかなり痛いか、あるいは出血。だから、この乾燥したひび割れた唇は、それが原因で、最終的に皮膚を剥離?そして、どのようにそれを解決するには?ここでは、私の意見についてお話します。

唇の微細構造を見てみよう。
実は、唇と口の皮膚はかなり特殊で、主に「内部の筋肉」で構成されている。外側は通常の顔の皮膚で、内側は口腔粘膜である。顔の皮膚と口腔粘膜の間には明らかな境界線はなく、この接合部分が私たちの赤唇部分である。よく口唇、特に口唇赤色部と呼ばれるのはこの部分である。身体の他の部位の皮膚と比べると唇の赤い部分にはキューティクルが薄く、毛根、皮脂腺、汗腺などの付属器官もなく、基本的な保護因子である油分もない。
考えてみれば、爪は剥がれやすく、ささくれができやすいと思いませんか?実は、その周りの皮膚も関係しているのです。皮脂が分泌されないからです。話を戻すと、唇の赤い部分の皮膚にはいくつかの特徴がある。次に、皮膚の下に豊富な血管があるため、赤く見える。呼吸困難や命にかかわるような状況に陥ったとき、「唇がチアノーゼを起こしている」と言われるのはなぜか?血液が豊富に供給されているからである。3番目は非常に敏感である。角質層が薄く、バリア機能が弱いため、キウイやマンゴー、パイナップルを食べた後に不快感を感じやすい人がいるように。通常、私たちの唇は赤みを帯びてつやがあり、あざや蒼白さはありません。乾燥や皮むけ、ひび割れがなく、なめらかでしっとりしている。外部からの刺激に過敏に反応しない。

唇の乾燥、ひび割れ、皮むけの原因分析
実際、唇のひび割れの直接的な原因は、皮膚から水分が過剰に失われることにある。多くの人は、かなり多くの水不足、その後、私はより多くの水を飲むだろう、どのようにまだ改善されていないと思いますか?今回は、水溶性ビタミンの一種である「ビタミンB2(リボフラビン)」について考えてみたい。私たちの体内では、このビタミンB2の主な生理的機能は、補酵素の形で生物学的酸化酵素の触媒プロセスに参加することです。さらに、リボフラビンには抗菌作用があり、次のような効果があります。微生物病原体の抑制を助ける効果がある。そのため、リボフラビンが不足すると生体の酸化に影響を与え、舌炎、結膜炎、角膜炎、脂漏性皮膚炎などの病気にかかりやすくなる。
しかし、女性用避妊具の長期使用、菜食主義者、糖質(炭水化物)の多量摂取などは、ビタミンB2欠乏の可能性が高いので、このような場合はサプリメントを利用するとよいでしょう。ここで、ちょっとした誤解があるのですが、唇が乾燥してひび割れたり皮がむけたりすると、唾液で濡らしたり舐めたりする人がいますが、実はこれはよくありません。これは、唾液が唇の表面で蒸発する際に、唇自体の水分も奪ってしまうためで、唇は舐めれば舐めるほど乾燥し、より深刻な乾燥、ひび割れ、皮むけにつながる。

このような小さなトラブルは、一般的に医者に行くのを嫌がり、面倒に感じるので、積極的な水分補給、リップクリーム、ビタミンBの補給だけでなく、悪い習慣(唇をなめる、角質をかむなど)を改善しても、まだ明らかな改善は見られない。このような場合、病院に行くのが面倒だと思っても、病気かもしれないのだから行くしかない。慢性口唇炎」は、唇が赤くなる一般的な炎症性疾患で、原因不明で再発しやすく、臨床的には治療が難しい病気です。現代医学では、主に精神異常、ウイルス感染、口腔衛生、微量栄養素の欠乏、義歯の装着などに関連すると考えられている。
慢性脂肪炎は肉眼で診断でき、急性期には滲出、痂皮、うっ血、水腫を伴う、乾燥した、はれぼったい唇として臨床的に現れる。患者は痒み、灼熱感、アリなどの不快感を自覚する。この症状に対する特別な治療法はない。一般に、局所症状を軽減し、患者のQOLを改善するためには、明らかな誘因を取り除いたり、全身疾患(ドライ症候群など)を治療した後に、対症療法を行う必要がある。具体的には、コルチコステロイド外用剤(デヌードクリームなど)、免疫抑制剤、局所ホルモン注射、微量栄養素の補充、精神療法などが治療に用いられる。

総括
唇がひび割れる原因は、天候、空気中の湿度、食生活、日常生活習慣などさまざまです。総合的に考える必要があり、治らない場合は適時に病院で治療する必要がある。この回答は治療のアドバイスや医療指導を意味するものではなく、あくまでも健康科学を目的としたものです。この記事は、コラムに加わるものではなく、無償で、誰もが自由に読めるものです。噂に惑わされている人、医学的知識のない人、集団の医療概念に惑わされている人の役に立ちますように。.ヘッドラインはオープンプラットフォームであり、誰もが互いに学ぶことができ、互いに議論し、異なる視点がある場合は、独自の見解について話をするコメントエリアにすることができます。あなたが助けることを学んだと感じたら、ケチケチしないで、愛を提供し、賞賛を指し、より多くの人々を助けるために前進し、サポートに感謝します。
秋から冬にかけては乾燥の季節。ケア不足で唇が乾燥してひび割れたり、皮がむけたりする人も多く、ひどい場合は出血したりしみることもあります。そこで今日は、唇の乾燥、ひび割れ、皮むけの原因についてお話ししましょう。唇がひび割れたり、皮がむけたりしたら、どうすればいいのでしょうか?小康がこの記事でお答えします!

唇の乾燥、ひび割れ、皮むけの原因は?
1.十分な水分補給の不足
唇の古い皮、口角の白い分泌物、唇の乾燥はすべて体内の水分不足のサインで、唇が乾燥してカサカサになります。同時に、季節の変わり目の天候にも影響され、天候が涼しくなると、空気中の水分が不足し、相対的に、人体も水分が不足し、唇が乾燥します。
2.体内のカルシウム不足
これは人体に不可欠な微量元素であるため、これらの微量元素の不足は、人体のマイクロバランスを破壊すると同時に、これらの微量元素と私たちの口の皮膚は密接に乾燥した唇が簡単に剥離につながる現象に関連しているので、人間の体は、ビタミンBとビタミンCの不足はまた、乾燥した唇の剥離につながることは容易である。
3.アレルギーによる脂肪炎
一般に、脂肪炎は生活の中でめったに耳にすることはないが、そのような病気がないわけではなく、体質が弱く、アレルギーを引き起こしやすい人がいて、それが脂肪炎の発生につながった。

唇が乾燥しやすく、皮がむけやすい場合はどうすればよいですか?
1.十分な水分補給、ビタミン補給
体内の水分不足は、唇が乾燥しやすく、皮がむけやすくなる重要な原因の一つであるため、水分を補給することが最も重要であり、水を飲むことはもちろん不可欠であるが、水分を補給する直接的な方法でもある;
2.日々の食事への配慮
唇が乾燥しやすい肌の同胞は、毎日の食事にも注意を払う必要があります。あなたは、より多くの野菜、果物を食べることができ、体のビタミンを補充するのに役立ちます。唇の皮膚は非常に敏感で非常に壊れやすいので、スパイシーな食べ物を食べないようにしてみてください、乾燥した唇の剥離の場合には、スパイシーな食べ物を食べる唇の皮膚を刺激し、赤みがあるでしょうが、また、死んだ皮膚の修復に資するものではありません;
3.唇を舐めない、リップクリームを賢く使う
唾液を含んだ舌が乾燥した唇をしっとりさせるからと、唇が乾くと舌で唇を舐める人が多いが、このやり方は正しくない。唇の乾燥やカサカサを防ぐには、リップクリームを賢く使うことをお勧めする。

唇のひび割れや皮むけは些細なことで、生活には影響しないので、唇がひび割れや皮むけになりやすい同胞は、水とビタミンを補給すればこの問題は解決するので安心してほしい!

妊娠準備、湿邪、腎虚、体重減少、高血圧、高血中コレステロール、糖尿病、肝臓病、皮膚病などを調整する最も効果的な方法は?
もっと詳しく知りたい方は、記事上部の赤い「フォローする」ボタンをクリックしてフォローしてください!
姜愛陀は毎日様々な専門的で興味深い健康知識を提供し、あなたが健康上の噂を打破し、薬の誤解を解くのを助ける!
より詳細な健康情報については、以下の「さらに詳しく」をクリックしてください。
あなたの舌でなめてはいけない、あなたの手で破ってはいけない、あなたの口が乾燥しているかどうかに関係なく、あなたの唇をなめるためにあなたの舌を使用するように、つまり、悪い癖を持っているために使用され、唇は、乾燥した、乾燥した唇になめられるようにハード乾燥していない、より多くのあなたがより多くの乾燥した、そして最後に私のこの悪い癖を変更するために2人の親友の周りに、スーパーマーケットに超大型カップを購入するために毎日水の完全な私に取るように与えることを余儀なくされ、喉が渇いているかどうかに関係なく、飲むためにいつでも喉が渇いていない場合は、もちろん、最も冷酷!トリックは、それらの両方がすぐに彼らは口の中で私を打つために私の唇をなめる見るということです!一ヶ月が到着しませんでしたが、この悪い習慣が変更されましたが、また、いつでも水を飲む習慣を開発した。今ではどこに行くにもコップを持ち歩くのが習慣になっている。さらに、毎日のケアも行う必要があります、寝る前にいくつかのリップクリームを適用することができ、口紅を着用している場合も、ベースを作るために口紅を使用することができ、特別な唇と口のメイクアップリムーバーで化粧を落とす。
寒くなり、エアコンの効いた室内で過ごすことが多くなると、唇が乾燥してひび割れたり、皮がむけたりして、血が滲んだり、痛みを伴う不快感を感じる方もいらっしゃるでしょう。歯科医としての私の答えは乾燥し、ひび割れ、皮がむける唇は、ほとんどが慢性脂肪炎、または慢性落屑性脂肪炎として知られるもので、口腔内の悪習慣、細菌感染、環境要因など、より多くの理由によって引き起こされる。

乾燥し、ひび割れ、皮がむける唇の何が問題なのか?
乾燥したひび割れた唇と剥離皮膚、それは主に乾燥した唇で、時には白い剥離皮膚に起因している可能性が非常に高いですが、一瞬は大きな部分を引き裂くことができ、外傷は真っ赤で、明らかな痛みを伴う。時には唇が乾燥してひび割れ、血がにじみ、新しく形成された組織がすぐに再び形成された後、皮膚をはがす。このような症状が顕著になると、毎日の食事や開口にも影響を及ぼし、小さな問題が大きなトラブルを引き起こすこともある。

慢性脂肪炎の一般的な原因は?
慢性迷路炎にはさまざまな原因があるが、最も一般的な臨床的要因は次のようなものである。
- 乾燥した寒い気候で、長時間日光にさらされる。
- 唇をよくすぼめたり、手で口の皮膚を裂くなどの悪い口腔習慣。
- 細菌感染
- 上下の前歯は鋭い切り株を形成し、唇を何度も刺激する傾向があります。また、悪い修復物や凸型の入れ歯は、唇に同様の障害をもたらします。

慢性脂肪炎の一般的な治療法は?
慢性口唇炎は、それぞれの原因に応じて治療されるが、まず、口の中の状態をチェックし、悪い修復物や尖った歯を取り除き、悪い口腔習慣を正すことが大切である。グリセリンやワセリンを含む口紅を唇に塗ることもできる。
さらに、症状が明らかな場合は、抗生物質とグルココルチコイドの併用が必要である。

概要
冬の到来とともに、唇はしばしば冷たい空気にさらされ、さらに多くの刺激物にさらされるため、慢性的な唇の感染症が形成されやすくなる。このタイプの疾患は比較的一般的で、小さな問題ではあるが、生活にいくつかの問題を追加し、さらに他の感染症を伴う明らかな痛みになります。慢性口唇炎の場合、日常的な保護に加えて、症状が明らかな場合には抗生物質やグルココルチコイドを使用して治癒を促進することができる。
生活の中で多くの人が乾燥ひび割れ剥離問題が表示されます、一度唇乾燥ひび割れ剥離時間が特に困難になる、唇が熱い熱い痛みだけでなく、非常に不快になります。タイムリーな救済することができるように乾燥ひび割れ唇の剥離症状に直面しているだけでなく、詳細にそれを理解する必要があります。
唇の乾燥、ひび割れ、皮むけは非常に一般的な症状で、多くの人がこの問題に苦しんでいる。唇のひび割れの一般的な原因は、ビタミンの不足です。特に冬は寒冷な気候のため、人々はフルーツを食べることを好まず、その結果、体内のビタミンが不足し、唇のひび割れの問題が発生しやすくなります。
小さな子供も乾燥ひび割れ唇の剥離の可能性が高くなります、主に偏食から、乾燥ひび割れ唇の剥離現象の発見では、つまり、唇も非常に乾燥している、この時間は、唇のジュースが正常に復元できるように、水で補充する必要があります、唇はきれいになることができます。
唇のひび割れや皮むけは、冬や春によく遭遇する病気の症状で、このような問題が発生すると、唇は特に不快に見えるでしょう。この問題を解決するために、唇が正常な状態に戻ることができるように、病気の原因を把握する必要があり、乾燥ひび割れ唇の皮は何の病気?
実際、唇の乾燥、ひび割れ、皮むけは口唇炎と考えられ、適時に対処しなければ、慢性口唇炎などの病気に発展しやすい。慢性口唇炎は再発しやすく、温度、湿度、化学物質、アルコール、タバコなどの影響を受けやすいため、唇を舐める習慣がある場合などは、唇の乾燥、ひび割れ、皮むけの問題を悪化させる。
もちろん、脂肪炎だけが慢性脂肪炎ではなく、腺性脂肪炎、良性リンパ増殖性脂肪炎、形質細胞性脂肪炎、肉芽腫性脂肪炎、光線性脂肪炎、アレルギー性脂肪炎などがあり、いずれも唇の乾燥、ひび割れ、皮むけなどの症状をもたらす可能性がある。唇の乾燥、ひび割れ、皮むけがどのような病気で起こっているのかわからない場合は、病院で詳しい検査を受け、診断を確定することができます。
唇の皮がむけるとき、人は無意識のうちに手で皮を破ってしまうが、一度皮がむけると、唇から出血する可能性があり、非常に難しい。唇の皮がむける症状に直面した場合、人はその場で問題を解決しなければならないが、そうでなければ唇の炎症につながり、ますます深刻になる可能性がある。では、唇の皮がむけるのはどうなのだろう?
1、蜂蜜を塗る。唇が乾燥し、剥離時間は、いくつかの天然蜂蜜でコーティングされた唇を浸した綿棒を使用することができ、蜂蜜は、皮膚を修復する役割を持っているだけでなく、唇の上の細菌を抑制することができ、唇が壊れ、感染症の問題を避けるために。しかし、高血糖の場合は、蜂蜜を塗ることをお勧めしませんが、オリーブオイルや植物油を適用することを選択することができます。
2、マスクを着用する。あなたがマスクを持参する必要がある場合は、多くの場合、マスクを介して冷たい風、ほこりなどをブロックするために、唇が乾燥、剥離問題の悪化の欠如を避けるために、湿度、温度を維持するように外出。
3、唇をマッサージする。毎晩寝る前に、唇の横の血液が循環するように、手で唇をマッサージすることを忘れないでください。
唇の皮がむけることで、唇が熱くなったり痛くなったり、さまざまな不調を感じる女性もいる。唇の皮むけの悩みを解消するためには、食べ物で補う必要がある。では、唇の皮むけには何を食べればいいのだろうか?
1.キャベツ。秋と冬の季節のキャベツは非常に多く、それはまた、唇の修復のためのビタミンCは良い役割を持っているので、より多くのキャベツを食べることができ、ビタミンCの含有量が比較的高く、豊富です。
2.緑豆もやし。緑豆もやしは火を消す効果があり、食物繊維やビタミンが豊富で、水分も多く、唇の皮むきに最も適している。
3.山芋。山芋はポリフェノールオキシダーゼ、遊離アミノ酸物質で体に栄養を与える効果は非常に良いですが、唇の剥離時間は、体が弱すぎるためである可能性があり、次にそれを補うために使用することをお勧めします。
4.キウイキウイフルーツにはビタミンCとビタミンEが多く含まれている。強力な抗酸化作用で肌を修復し、唇の状態を良くして潤いとツヤを与えてくれる。
唇の皮がむけるのは、対処が非常に難しく、出血や炎症を引き起こす可能性がある。唇の皮がむけるのを防げば、唇は常に健康な状態を保つことができる。唇の皮むけを防ぐには?
まず、唇を舐めないこと。唇をよくなめると、唇の炎症や皮むけにつながりやすい。私たちの唾液には多くの細菌、消化酵素が含まれており、これらの成分が唇に炎症を起こし、皮がむけたり、ひび割れたりするなどの症状を引き起こします。
第二に、ビタミンの補給。唇の皮がむけないようにする最も理想的な方法のひとつは、ビタミンCを多めに摂ること。ビタミンCを十分に補給すれば、肌はより美しく、潤いと輝きを取り戻し、皮がむける問題を回避できる。野菜や果物など、ビタミンの豊富な食品をたくさん摂りましょう。梨、リンゴ、スイカ、キウイ、大根、馬鈴薯など、水分の多い野菜や果物は積極的に摂りたい食品です。また、ビタミンを豊富に含むハチミツもあり、水だけでなく外用でも補うことができる。
唇の乾燥、ひび割れ、皮むけが気になるときは、舌であまり舐めないこと。
ビタミン欠乏症、特にビタミンB群の欠乏は、主に乾燥した気候や火事の影響で、唇がひび割れたり、皮がむけたりしやすい。
お待たせしました。美容を愛する多くの女性にとって、一番嫌いな季節は何かと尋ねると、「冬くらい」と答える人が多いのではないだろうか。なぜか?冬は寒いだけでなく、乾燥もするし、スキンケアにも手間がかかる。男性にとっては、それほど複雑なものではなく、他の季節と変わりなく扱われることが多い。しかし、冬になると、唇の乾燥、ひび割れ、皮むけ、さらには亀裂や腫れ、痛みなどが他の季節よりも起こりやすくなる人が多いことに気づくだろう。では、唇の乾燥やひび割れ、皮むけの原因は何なのでしょうか?
実際、「乾燥によるひび割れ」を見てみると、主な原因は水不足にあることがわかる。人体の水不足であれ、秋冬の乾燥した気候のせいであれ、結局は水不足なのだ。秋冬に入ると、気候が涼しくなり、空気の乾燥と相まって、適時に水を飲まないと、唇が乾燥してひび割れたり、皮がむけたりしやすくなる。水分の不足に加えて、非常に重要な理由は、体内のビタミンが不足する可能性があるということです。ビタミンB2、ビタミンAの不足と唇のひび割れは直接的な関係があり、冬だけでなく、どの季節でも唇のひび割れを引き起こす可能性があります。つまり、唇の乾燥とひび割れの主な原因は、脱水とビタミンの不足なのである。
唇の乾燥、ひび割れ、皮むけを防ぐのは簡単です。まず、水分補給が大切で、1日に1,500~2,000mlの水を飲めば、脱水症状を防ぐことができる。もちろん、唇の局所的な脱水は、リップクリームを使うことで潤いを保つことができる。もう一つの方法は、ビタミンの補給に注意を払うことで、新鮮な果物や野菜をたくさん食べれば、1日に必要なビタミンを補うことができ、特に大豆もやし、キャベツ、大根などを多く食べれば、唇の乾燥によるひび割れに特別な効果がある。もちろん、ダイエットはまた、光の食事に注意を払う必要があります良いですが、スパイシーな食べ物を食べることは避けてください。また、多くの場合、ああ唇を舐めに行くことはありません、唇を舐めると、 "ソーセージの口 "の出現を誘発し、乾燥ひび割れ唇を悪化させ、水分の蒸発を加速させる。
By:裤裤
この質問と回答はサイト利用者のものであり、サイトの立場を代表するものではありません、侵害など、削除するには管理者に連絡してください。