危険な肺結節の大きさは?
危険な肺結節の大きさは?
肺結節とは、肺にできる3cm以下の球状の病変のことで、胸部CTが健康診断に普及したことで、肺結節の発見率はどんどん高くなっており、違和感なく肺結節の検査を受けている人も多く、ネット上では「肺がんが怖い」と言われていますが、では結節の大きさはどれくらいなのでしょうか?
結節は固形結節とすりガラス結節に分類される。
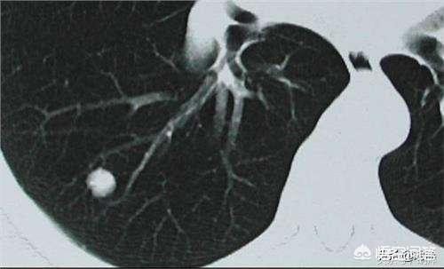
肺結節はその密度によって種類分けされ、胸部CTで白い点として写る密度の高い結節は固結と呼ばれ、地中硝子結節は密度が薄くガラスに水蒸気が付着したように見える。地中ガラス結節、特に純粋な地中ガラス結節は悪性度が高い傾向がある。
結節の危険性は、結節が変化することの方が重要である。
もちろん、短期的には結節が大きいほど変化の可能性は高く、短期的には結節が小さくても大きくなる可能性は比較的小さい。すりガラス状の結節であろうと、固い結節であろうと、経過観察中に直径の変化が見つかったら、適時に病院に行って検査を受け、必要であれば外科的に切除する必要がある。
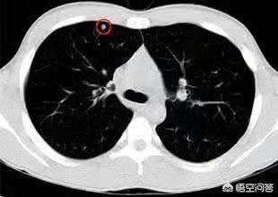
一般的に言って、6mm以下ではあまり心配する必要はない。
一般的に6mm以下の結節は良性側に多いと言われています。 悪性腫瘍は1mmから少しずつ大きくなることはないとおっしゃる方もいますが、これは確率の問題です。これは確率的な問題で、一般に良性病変は小さくて安定しており、そのほとんどが6mm以下で止まっているため、ごく小さいうちに発見される可能性が高く、悪性腫瘍、特に悪性度の高い肺がんは増殖が早いため、大きくなってから発見されやすいのです。 6mm以下の結節は、発見当初は胸部CTの再検査で注意深く経過観察し、将来的には再検査の間隔を少しずつ長くしていくことができます。変化がなければ、1年に1回にすることもできる。
直径1cm以上の結節は、さらに詳しく検査する必要がある
直径1cm以上の結節は、直径8mm以下の結節に比べて悪性である可能性が高く、病院での検査が必要である。 一方、結節が小さすぎるため、その内部性状や細胞活動が周囲の細胞と明確に区別できず、PETCTなどの非侵襲的な検査では識別できず、他方、結節が小さすぎるため、気管支鏡検査や肺穿刺などの侵襲的な検査では正確に検体を採取できない。一方、結節が小さすぎるため、気管支鏡や肺穿刺などの侵襲的な検査では正確な検体が得られないため、1cm以上の結節に限って対処することがほとんどですが、1cm未満の結節を無視してよいというわけではありません。 一般的には、6mm以上1cm未満の結節であれば、経過観察をしっかり行うか、結節が肥大している場合には手術で摘出することになり、それ以外に結節の性質を見分ける方法はありません。結節の性質を効果的に見分ける方法は他にない。
結節の手術後の治癒率はどのくらいですか?
肺結節の治癒率、特に1cm以下の結節の治癒率は非常に高く、100%に近く、ほとんどの症例では外科的切除後に化学療法すら必要としない。 結節の治癒率は結節が大きくなるにつれて低下し、3cm以上の腫瘤の治癒率は30%以下に低下し、ほとんどの症例では術後に化学療法が必要となる。
ありがとうございます!一般的には、肺結節が3センチ程度以上になると、より危険だと言われていますが、実際の状況に応じて判断する必要があります。 3センチというのはあくまで体積の値であり、測定条件によって長径や短径も異なります。
実際、肺結節は誰にでもあるというのが定説で、それは間違いない。
まず第一に、肺結節がどのように形成されるかを理解しなければならない。肺結節は、呼吸の継続的な過程で、人体が煤煙や微粒子、さらには乾燥した痰を吸い込む可能性があり、その痂皮が、継続的な異常物質のパッケージの過程で形成されるからである。もちろん、癌細胞も存在し、徐々に増殖して肺結節を形成することもあります。
つまり、肺結節の発生メカニズムが分かれば、喫煙者や粉塵を扱う仕事をしている人が、なぜ肺結節ができやすく、それが後になってがんに発展するのかが理解できる。それから、結節が後期にどのように成長するかも明らかである。もし結節がリスクの高い仕事に就いていたり、節度なく喫煙を続けていたりすれば、後期には間違いなく結節はどんどん大きくなり、最終的には本物のがん組織に発展する。
ひとつは、煙や塵など、さまざまな危険性の高い物質にさらされることであり、もうひとつは、自分自身の腫瘍組織が増殖と分化を続けることである。最終的にはどんどん大きくなる。
最後に、あるレベルに達すると、良性病変から悪性病変に変わる可能性が高いこと、あるいはすでに悪性であった病変があるレベルまで増大する可能性があることは明らかである。理論的には3センチですが、臨床では2センチでも悪性化する可能性があり、無視できません。また、その理由を理解する必要がありますが、彼のレベルは、撮影効果のレベルだけで、ナイフで肉を切るように、真ん中に間隔があり、その水平方向の直径と垂直方向の直径が完全に不一致であることがあります。そのため、これは最終的に診断を確認するために、総合的な判断に基づいて、後の段階で数回見直す必要があります。
そして、程度は要因の一側面に過ぎず、それを決定する他の側面もいくつかあり、彼は悪性である可能性もあることを認識しなければならない。
例えば、バリ状であったり、あまり規則的な円形や楕円形でなかったりします。例えば、胸膜と癒着している可能性があり、特に硬結の兆候がある場合は、悪性腫瘍である可能性があります。
従って、診療所では、1つの指標だけに頼って状態を評価するのではなく、状況のあらゆる側面を組み合わせて評価し、より明確な治療計画と状況の変化を持たなければならない。評価は専門医に任せることをお勧めします。
皆が健康であることを願っている!
肺に見つかる結節は、一般に結節が小さいほど悪性である可能性は低くなります。
肺結節の定義について、中国医学ガイドラインは次のように述べている:画像診断(胸部CT)により、直径3cm以下の限局性、円形状、密度増加した固形または亜固形の肺影が認められ、孤立性または多発性の可能性があり、肺無気肺、肺門リンパ節腫大、胸水を伴わない。
一般に、肺にできる直径3cm以下の密度増加影を肺結節と呼びますが、その危険度は大きさだけでなく、結節の形態、密度、増殖速度も合わせて判断する必要があります。
一般に、直径8mm以上の結節は細心の注意が必要であり、特に、形が不規則であったり、あるいはバリ状のパターンを伴っていたり、実像と虚像が混在していたり、胸膜に隣接していたり、胸膜陥凹が出現していたりする場合は、悪性腫瘍の可能性を強く警戒する必要がある。必要に応じて穿刺生検や直接切除を行う。
8mm未満の結節、特に6mm未満の結節については、綿密な観察と検討が必要である。次のような状態のほとんどは良性である:結節の性質が短期間に著しく変化し、縁が滑らかになるかぼやけ、小葉化がない;結節の密度が均一か薄くなる;結節の密度が増加することなく縮小または消失する。
結節性病変が縮小しているにもかかわらず、結節性病変に固形成分が存在する、あるいは固形成分が増加している場合などである。
結論として、結節の良性・悪性を判断する上で大きさは重要な因子であるが、他の画像的特徴に基づいて判断する必要もある。

まず、医療用語の肺結節の出現は、いわゆる医療用画像の出現は、科学技術の発展と医療機器の発明と一緒にあり、人体の検査を通じて、これらの検査機器の使用は、最終的に私たちの目は、通信を容易にするために、これらの "影 "や "のような "プリントアウトのような私たちの体の内部構造を見ることができます "影 "や "のような "として一般的に知られている。"または "のような "コミュニケーションを容易にするために、"影 "または "のような "プリントアウト、つまり、一般的に "フィルム "として知られている庶民。「フィルム」。

実際、これらのフィルムはそのような画像の担体であり、人々が携帯するのに便利であり、また診察中の医師と医師とのコミュニケーションも円滑にする。そのため、最初はX線フィルムであり、その後、医療技術の発展により、CT、超音波、内視鏡、核磁気共鳴、PET-CTなどの検査機器も登場し、さまざまな検査画像が登場している。様々な画像機器は、それぞれの異なる長所と短所を持って、肺のために、今はっきりと肺の内部微細構造を見て、CTは、CT機器は、また、社会科学技術の進歩に伴い、アップグレードとアップグレードされ、64行、128行、256行が登場している、より高度な技術、短いスキャン時間、スキャン範囲、より薄いの厚さをスキャンし、より多くの情報を得る量は、微妙な病変をチェックアウトするだけでなく、より高度な技術、スキャン時間、スキャン範囲、より薄いの厚さをスキャンし、より多くの情報をチェックアウトすることができます。技術が進歩すればするほど、走査時間が短くなり、走査範囲が広くなり、走査厚さが薄くなり、得られる情報が多くなり、より微細な病変を発見することができる。そのため、X線フィルムでは発見できなくても、CTでは発見できる微妙な病変がたくさんあります。

このことを知れば、肺結節が病院の診療科内の画像診断科で最初に出てくる言葉であることは明らかである。その影や写真をもとに、病院の医師は自分の経験(教科書や臨床例の追跡)から、その影の原因は何か、同じような影が現れる病気は何かを推測する。警察が事件を解決するのと同じで、殺人事件があり、現場に現れた足跡から誰が犯人である可能性が高いかを分析する。

私たちはこの病気の診断の考え方を知っており、それから頭に戻って肺結節の話をする。肺結節とは、肺にできる直径3cm以下の円形または不規則な病変のことで、画像上では密度が増加した陰影として現れ、均質または不均一、単発または多発、境界が明瞭または不明瞭である。

私たちは、庶民のメンタリティががんに言及することを恐れていることを知っている。 だから「がん」という言葉があるのだ。 がんも小さな病気から大きな病気まである。私たちは皆、ゆりかごの中の危険を最小限の時点で殺したいと思っている。私たちと同じように、もしこの子が社会にとって危険な存在、殺人犯やトライアドの一員に育つとわかっていたら、産まないほうがましだ。あるいは、ある老人が言うように、「おまえがこうなるとわかっていたら、絞め殺したほうがよかったかもしれない」。産まないほうがいい。"こんなふうになるとわかっていたら、絞め殺したほうがよかった "と言う年寄りもいる。問題は、子供が若ければ若いほど、将来の可能性が多様になることであり、だからこそ社会にはいろいろな人がいるのである。質問者の意味によれば、流用すれば、子供がどれだけ大きく成長すれば社会にとって危険な存在になるか、と解釈できるのだろうか。実は同じことなのだ。

子供たちの成長過程では、小さな時間は良いことですが、社会に害を与えるために成長することができ、いくつかの子供たちは小さな時間はいたずらすることができますが、地域社会に有用であるように成長し、大学に行くためにいくつかの時間や人々は良い子を参照してくださいが、卒業は、覚醒剤やコミュニティへの他の害を作成するために化学の研究の知識の使用の前のレポートのように、コミュニティに害を与えるために物事を作成するために自分の学んだ職業を利用するために、多くの要因によるものであってもよい。社会のために。だから、彼らが何歳で最も危険な存在に成長するかは一概には言えない。しかし、一般の人々の間では「3歳になればわかる」という言い伝えがある。つまり、これは経験であり、ほとんどの子どもはまだ、何からわかるのか?子どもの行動、子どもの習慣だ。子供が小さいと、もはや悪いといたずら、その後いたずら、彼の害も非常に小さいですが、成長年齢とともに、州法は14歳、16歳、成人18歳を持って、法的責任の規定は同じではありません。

同様に、肺結節についても、8mm以下の結節は比較的害が少ないため、一般に動的経過観察が推奨される。しかし、悪性腫瘍の徴候が出てきた場合、例えば結節の成長速度が四方八方で異なる場合、小葉化した場合、周囲にバリが出現した場合(ルールを守る子が突然ミスを繰り返し、暴走する)など、一概には言えない。

あるいは周辺胸膜への浸潤(周辺住民の利益を損なう)、短期間に非常に速く成長する(頻繁に犯罪、窃盗、強盗を犯す泥棒のような)など、これらはすべて悪性変化を示唆するものである。この8ミリというのは、反抗的な子供の年齢と同じであると同時に、しつけが最も難しい時期でもあるので、親は思春期の子供に細心の注意を払い、8ミリの大きさの結節に対しては、より多くのコミュニケーションをとるだけでなく、より多くの経過観察、経過観察をする必要がある。

一部の子供たちは、肺結節の動的な観察のように、あまり変化することなく、思春期を平穏に過ごすだろうが、一部の子供たちは、思春期のイデオロギーの変化、および友人の周りに、環境が大きく変化している、肺結節はまたである、肺結節が環境に位置している場合、免疫系の環境は低く、乾燥した環境であるため、伝統的な中国医学、"陰平陽の秘密、治療の精神は、悪性の変化を起こしやすくなります!「肺は湿った邪悪な乾燥を好む"、"悲しい肺"、睡眠を改善するように、肯定的で幸せな感情、自己満足を養う、感情を養う、または他の人と、"群衆の喜び!"、悲しみから離れて肺のための最高の報酬である;喫煙しないでください、火と煙は、湿度の高い環境は、気管や気管支のために、乾燥になることができ、維持するために繊毛スイング機能を作ることができ、肺の痰や代謝産物だけでなく、外国の汚染物質の排出を助長している、離れてほこりから、離れて大気汚染から、レンジフードを開くには時間を揚げることは非常に必要な措置である。

8mm以上の結節もすべて同様で、短期的に悪性腫瘍の徴候が出現しないか動態観察し、出現すれば手術などの早期の対応が必要である。変化がなければ経過観察でよい。これはあくまで一般的な経験ですが、悪性の徴候に見えても良性であることもあれば、良性に見えても悪性であることもあります。ある人が長い熾烈に直面しているが、決して他人を危険にさらすことなく、社会を危険にさらすことなく、多くの良いことをするように、ある人は非常に良いように見えるが、ひそかに社会を危険にさらすようなことをする、例えば、ある人の腐敗をたたき落とし、自転車に乗って通勤し、誰が数億の横領を知っている、言うのはよくない。

だから、肺結節も同じで、上に述べたことは確率的なものなのです。良い環境は人を変え、悪い環境は人に影響を与える。だから、悪い習慣を避け、タバコを吸わないことは間違いなく正しい。
CT検査以前は、肺結節が発見される確率は0.2%以下であり、発見される結節の大きさは基本的に1cm以上であったが、CT検査の普及に伴い、肺結節が発見される確率は飛躍的に上昇したが、どの程度の大きさの肺結節であれば、あるいはどのような肺結節であれば、より危険なのかが、現在特に関心の高いテーマである。
以下では、肺結節の大きさと良性・悪性のリスクの関係を見分ける方法を紹介する!
第一に、肺結節の区分については、現在、8mm以上3cm以下の肺結節を典型的な肺結節と呼び、8mm未満の肺結節のみを小結節と呼んでいる!
現在、スパイラルCTの継続的な応用により、1cm未満の肺結節が多く発見されるようになったというが、このような小さな結節の診断には限界があり、現在の診断手段では良悪性の鑑別が困難であり、その変化を定期的に観察する画像診断手段を主治療として臨床に用いることで、典型的な肺結節に比べ、当院では、より積極的な治療が行われることになる!
第二に、肺結節の大きさと良性・悪性のリスクの程度には相関関係がある!一般的に、5mm未満の肺結節が悪性である確率は0~1%、5~10mmが悪性である確率は6~28%、20mm以上が悪性である確率はかなり高く、ほぼ60%以上と考えられており、これはすりガラス状の肺結節の悪性の程度と同様である!
もちろん、肺結節の良性・悪性を判断する方法はたくさんある!
まず形態学的に、結節の縁にバリや小葉があるようであれば、悪性度が高い;
第二に、成長速度の時間、一般的な結節は1年以上観察され、明らかな増殖現象はなく、良性の可能性があるが、すりガラス状の結節を除き、2年以上経過観察する必要がある;
第三に、もちろん、例えばPET-CTだけでなく、ダイナミックエンハンストCTを使った画像診断もあるが、やはり小さな結節の診断には盲点がある!
とりあえず、ひとつだけ覚えておこう:肺結節が悪性である確率は、肺結節の大きさだけでなく、私たち自身の年齢、喫煙歴、結節内のバリの有無、結節の特定の位置に関係する。
現在、結節性悪性腫瘍の確率を算出するための臨床的なコンセンサス式は存在しない:
<3%未満は可能性が低く、画像観察が主体である。3〜68%ではさらなる検査が必要であり、68%以上では生検が望ましい!
最後に、小さな肺結節(通常、肺がんの他の危険因子がないものを指す)をいかにうまく見直すかについては、肺結節の悪化を防ぐことが非常に重要であり、見直しの間隔や頻度は通常、肺結節の大きさに応じて決められ、低線量スパイラルCTを使用することを選択するのが最善である!
- <4mmであれば審査はできないが、不安であれば2-3mm後に審査を受けることができる;
- 4~6mmで、1年後の見直しで変化がなければ終了となる;
- 6~8mm、半年後と1年後に1回ずつ見直し、2年連続で見直し、異常がなければ終了;
注意:肺小結節のある人に肺がんの他の危険因子がある場合は、フォローアップの頻度を上記の時間間隔より増やすべきである!
早期の肺がんは治る可能性があり、進行した段階では多くの治療法が満足のいくものではないため、肺結節の検診は重要である。しかし、健常人の肺結節の発見率は非常に高い!中国での研究によると、健常人の約20%に肺結節があり、そのほとんどは以下のような良性の結節である。炎症性結節、じん肺粒子、肺内リンパ節、良性腫瘍など。.だからこそ、肺結節の良性か悪性かを見極めることが重要なのです!過剰な投薬はいけないし、危険な結節を放っておくこともできない。科学的な方法は?
まずガイドラインに従い、リスクの高い肺結節をスクリーニングする。

ガイドラインによると、肺結節には2つのタイプがあり、1回目の発見時に注意する必要がある:
1.直径1.5cm以上または8~15mmの固形結節で、悪性腫瘍の徴候があるもの;
2.直径8mmを超える亜固形肺結節(混在性粉砕結節)。

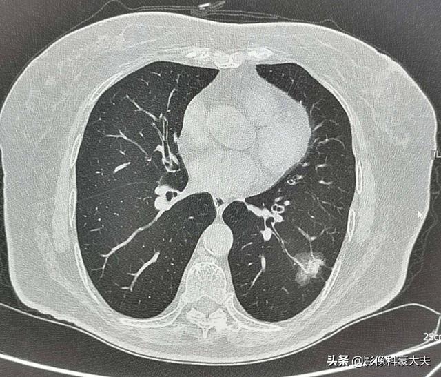
例えば、左下肺に2.2cmの混合膜ガラス結節があるこの中年女性は、リスクの高い結節であり、実際、肺腺癌の典型的な徴候を有している。血管の進入と肥厚を伴う明瞭な地硝子影、気管支気腹徴候、遠位胸膜浸潤、浸潤性肺腺癌の外科的病理所見このような病変は経過観察には勧められないので、転移や治療の遅れを避けるために、さらに詳しく調べてはっきりさせる必要がある。
しかし、すべての高リスク結節が肺癌であるわけではなく、上記の高リスク基準より小さい結節も肺癌である可能性があることも認識する必要がある!ガイドラインは、私たちのために輪になっているだけです。
肺結節の大きさは重要な参考指標である。

この写真は山東癌病院の黄教授の要約である:
1.非喫煙者で、腫瘍や慢性閉塞性肺疾患、線維症の既往がなく、職場環境に汚染がなく、身体検査で5mm以下の固形結節が確認され、基本的に良性である女性。
2.30歳未満の3cm未満の固形結節は、圧倒的に良性であり、結核球が最も多い。
上記の2つの方法でスクリーニングを行うことで、良性の肺結節を最初に理解することができるはずです。
読者の中には、今は腫瘍の発生率が高い時代であり、肺がんは若年層では珍しくなく、0.5cm以下の肺腺がんもあることから、どのような注意を払うべきかと質問する人もいるかもしれない。
若年者の顕微鏡的肺癌はまれな疾患であり、小さな病変では低分化の成分を持つことはまれで、経過観察と観察が安全である。経過観察中に病変が大きくなったり密度が高くなったりしても、手術には遅すぎることはない。
この文献は、6年前から成長し、進行性に増大したground glass noduleの症例であり、外科的病理結果はin situ腺癌であった。
一般に、高度な診断機器と技術を必要とする、非常に小さな顕微鏡的肺癌の場合は、次のような方法が必要である。洗練された建設後の詳細観察低線量スパイラルCTではこのような精度は得られない。
近年、肺結節の早期研究が盛んである!例えば、上海華東病院、浙江省舟山病院、山東省燕泰山病院、山東省聊城第二病院、湖南省平江県第一人民病院には肺結節専門グループがあり、優れた研究成果を上げている。
画像診断のDr.ハウです。 読んでくれてありがとう!
まず第一に、肺結節のほとんどは良性であることを確認しておかなければならない。肺結節のリスクについての質問は、おそらく肺結節の悪性リスクを評価したものであろう。以下は私見である。
まず、肺結節の形状を観察する必要がある。 結節が丸みを帯び、境界が明瞭であれば良性の傾向があり、一方、結節の縁にバリがあり、縁が不規則であれば、大きさにかかわらず悪性と考えるべきである。
もちろん、結節の大きさも重要な要素です。一般的に、結節が8MMより大きい場合、特に結節が短期間で急速に大きくなっている場合、喫煙や肺がんの家族歴がある場合は、すぐに医師の診察を受けるべきです。
8MM未満の肺の小さな結節については、約6ヵ月間経過観察するのがセオリーである。
最後に、以下のデータは肺結節の悪性腫瘍のリスクについて最初の考えを与えてくれるであろう:1CMの結節の悪性腫瘍確率は約15%、5MMの結節の悪性腫瘍確率はわずか0.4%である。
以上が私の答えです。ようこそ、私の見出し-江蘇省癌病院李鳳に従ってください。
まず数字を見てみよう!ある中央病院の検診センターの対象者8,200人のうち、肺結節のある男性は約1,500人で、発見率は16%、肺結節のある女性は約1,700人で、発見率は21%であった。
胸部画像は、肺結節を見つけることができるだけでなく、結節の位置、大きさ、形、特徴を明確に示すことができ、肺結節が肺に位置し、蓄積して形成されたものであることを示唆する。これは、中国医学の「肺気滞」、「気滞」、「痰核」の病名と一致し、漢方医学における病名鑑別の根拠となる。中国医学の「肺瘀」「痰瘀」「痰核」という病名と一致しており、漢方医学における肺結節の鑑別の根拠となる。
結核
結節性疾患の特徴的な臨床症状 結節性疾患患者の30〜50%が呼吸器症状を呈し、18〜51%が呼吸困難を呈する。結節性疾患患者の大部分は亜急性または慢性症状を呈するが、少数例では発熱や筋肉痛を伴う両側肺門リンパ節腫大、関節炎および結節性紅斑を呈する急性症状を呈する。

高度の結節性の徴候には、狼瘡、ぶどう膜炎、視神経炎、結節性紅斑が含まれる。結節性の診断の可能性を示唆する徴候には、赤紫色の皮膚病変、皮下結節、強膜炎、網膜炎、涙腺の腫脹、喉頭鏡による直接生検での肉芽腫性病変、耳下腺の対称性腫大、および肝脾腫が含まれる。
結節の大きさによって5mm未満、5~10mm、10mm以上に分類され、位置によって胸膜に連なる結節、末梢結節、肺門結節、中枢結節に分類される。良性病変には、炎症、肉芽腫、水腫、局所出血、線維性結節などがあり、最も多い悪性病変は肺腺癌である。
最も危険な肺腺がん
肺腺がんは現在、扁平上皮型肺がんを抜いて肺悪性腫瘍の最も一般的なタイプとなっており、女性に多く、若年層の患者が増加している。
肺腺がんは急速に増殖し、いたるところに転移する。肺胞に限局した過形成は密度を増し、大きさは通常5mm以下で、10mmを超えるものは少数である。
結節がそのまま進行してin situ癌になる患者もいれば、それ以上進行せずそのままになる患者もいる。結節がさらに進行するとがん化しますが、がん細胞はすべて歯槽腔内にとどまっており、凝集することはありません。通常は5mm以上の大きさで、密度も少し高くなっています。

さらに進行すると、腫瘍細胞はさらに増殖し、肺胞腔を突き破り、微小浸潤腺がんと呼ばれるようになる。腺癌の完全体は腫瘍の完全な構造を持っているが、間質と血管の浸潤は5mm以下である。この時期の切除では、生存率も100%に近い。
さらに進行して、直径5mm以上の濾胞状、乳頭状、微小乳頭状の構造を形成すると、浸潤性腺がん、または肺腺がんと呼ばれる。これが危険な状態です!
複雑で難しい病気の知識を平易な言葉で説明し、皆様の身体管理のお手伝いをする薬剤師リーです。皆様からのお褒めの言葉が私の最大のモチベーションです!また、ご家族の方で、関連するトラブルに悩まされている方がいらっしゃいましたら、ぜひこの記事をお伝えください!
ライフロード公衆衛生は、この肺結節の危険性と大きさの関係を考えていますが、単一の大きさで基準の危険性を判断するのではなく、1cm以上の一般的な肺結節は手術を考慮することができる、それは可能性の危険性があると言われていますが、1cm未満であっても、小葉、バリ、または血管の肺結節がねじれたり、固体の成分を持っている結節があります。結節も手術が必要です。悪性の可能性もあり、危険もあるとだけ言っておこう。3ヵ月後、6ヵ月後、1年後とダイナミックな経過観察が必要です。結節の質感の変化、形の変化、成長速度の変化があれば、やはり手術が勧められる。
肺結節とは、肺にできる3cm以下の球状の病変のことで、胸部CTによる検診の普及により、肺結節の発見率はますます高くなり、多くの人が肺結節の検査を受け、発育や悪性化を恐れて警戒しています。 肺結節の大きさが1cm以上であれば、定期的な検診に注意する必要がありますが、成長速度が遅かったり、形が滑らかであれば、心配する必要はありませんし、気にする必要もありません。結節のほとんどは良性なので、結節の推移を見ることがより重要です。
生活道路公衆衛生アドバイス、これと普段の食事ああ環境が大いに関係がある。普段から薄味の食事に注意し、辛いもの、脂っこいもの、甘いものは食べない。適温に注意し、風邪をひかないようにし、喫煙やアルコールもやめる。
肺結節の大きさは?絶対的な数値はありませんが、一般的に肺結節の悪性腫瘍の可能性はその大きさに正比例します。さらに、肺結節の悪性の可能性は結節の大きさだけでなく、結節の形状、密度、辺縁、隣接する組織構造にも関係します。

まず、肺結節の定義を理解することが重要である。肺結節の診断と管理に関する最新の中国専門家コンセンサスによると、肺結節とは、肺に限局した、丸みを帯びた、高密度の、固形または亜固形(すりガラス状)の3cm以下の肺陰影で、肺無気肺、肺門リンパ節腫大、胸水を伴わないものと定義されている。肺結節は孤立性または多発性である。病変が3cm以上の場合は結節とは呼ばず腫瘤と呼び、腫瘤のほとんどは肺癌である。また、肺がんの病期分類は大きさにも関係し、腫瘍が大きいほど病期分類は遅くなり、結節が大きいほど悪性の確率が高いことも示しています。

肺結節の悪性腫瘍の確率は一般に大きさに比例し、顕微鏡的結節の悪性腫瘍の確率は比較的低く、全米総合がんネットワーク(NCCN)やフライシュナー学会は、4mm~6mm未満の結節の大部分は良性、特に4mm未満は良性であるとし、経過観察を勧めていない。
肺結節の性質は、大きさ、形態、密度、辺縁、隣接組織の変化、増強などの因子の組み合わせによって決定される。
良性結節は通常、丸みを帯びた形、滑らかな縁取り、炎症の場合は縁取りがぼやけるなどの規則的な形をしており、良性病変の中には、悪性である可能性がゼロではない、このような特徴的な特徴を持つものもある。例えば、典型的な肺の悪性腫瘍では、結節内に石灰化や脂肪がみられ、典型的な肺内リンパ節では、通常、胸膜下に小さな三角形の形で存在し、典型的なサルコイドーシスでは、滑らかな縁と中心部に石灰化を伴う固い結節である。

結節が悪性であれば、通常、不規則な形、小葉状(腫瘍細胞があらゆる方向に不規則に増殖する)であり、空胞症状、辺縁バリ徴候、腫瘍に供給する血管の徴候、隣接する胸膜の陥凹の徴候、経過観察による地塊結節や固形成分の増大などが認められる。瘢痕がんでは、場合によっては明らかな三日月シャベル徴候も認められるが、悪性の地塊結節では、典型的なフリルエッグ徴候が認められるものもある。

最近、ますます多くの肺結節が発見されていますが、研究統計によると結節の大部分は良性であり、悪性はごくわずかな割合に過ぎないので、偶然発見された肺結節の大部分を心配する必要はありません。
私は@ShadowMedicineChoで、関連する医療についてもっと知るためにフォローすることができます。
この質問と回答はサイト利用者のものであり、サイトの立場を代表するものではありません、侵害など、削除するには管理者に連絡してください。