肺結節は薬を飲めば治りますか?
肺結節は薬を飲めば治りますか?
多発性肺結節と孤立性肺結節があり、多発性肺結節は結核やじん肺に続発することが多く、いずれも典型的な病歴や左葉の病歴で診断しやすい。我々が一般的に論じる結節は孤立性肺結節を指す。

肺結節は病名ではない
肺結節は病理学的な性質が判断しにくいため、病名ではなく、形態学的に統一して肺結節と総称している。
肺結節の大きさを表す用語があり、直径3cm以下のものを結節、3cm以上のものを腫瘤と呼び、結節の直径が大きいほど悪性腫瘍のリスクが高くなる。

肺結節を取り除くために薬を飲むことはできますか?
そのため、初診時に肺結節が見つかっても、後日検査を受けると結節が消えていることがある。
結節が古い炎症性、先天性のもの、腫瘍性のものであれば、薬物療法は効かない。
ですから、肺結節の場合、通常は薬物療法は考えず、経過観察とします。結節に変化がなければ、それはめでたいことです。結節が成長し続けるようであれば、画像診断と臨床徴候を考慮して、外科的介入が必要かどうかを検討する時期です。
肺結節が薬で消せるかどうかは別として、結節の性質、固い結節なのかすりガラス状の結節なのか、また結節の大きさをはっきりさせる必要があり、大きすぎるとやはり心配になる。
結節の多くは炎症によって生じるか、古い病変であるため、結節の性質にもよる。
症状を治療する前に、具体的な対応を弁別する必要がある。
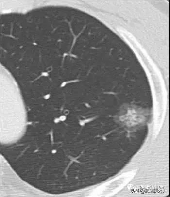
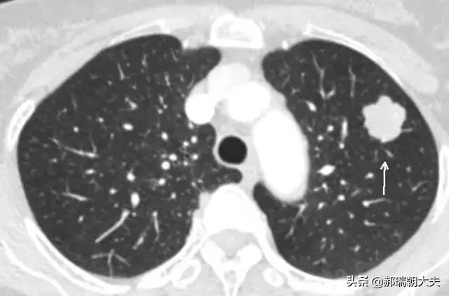
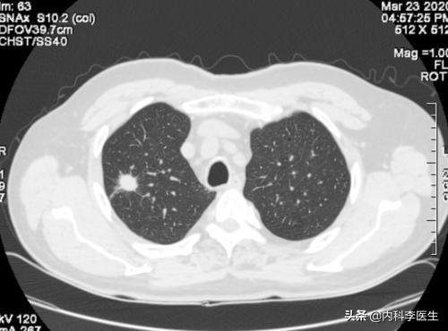
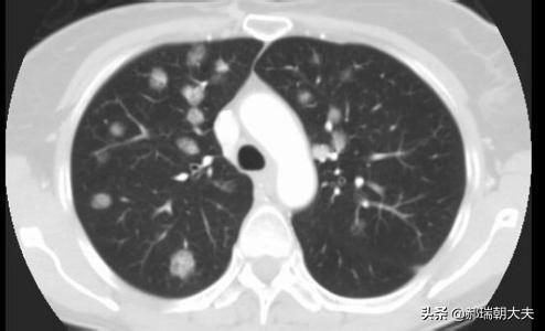
健康診断への意識が高まるにつれ、肺結節が発見される人が増えている。肺結節とは画像診断の用語で、肺結節の画像上の定義は、肺実質に完全に囲まれた、境界明瞭な小さな病変(直径≤30mm).結節の形態は、固結または亜固結に分類される。亜固結はさらに、純粋なすりガラス結節と部分的な固結に分類される。直径30mmを超える病変は結節ではなく腫瘤であり、悪性の可能性が高い。

肺結節の約99%は良性病変である。一般的な原因としては、感染性肉芽腫や良性腫瘍(肺悪性腫瘍など)、時には血管や炎症性病変が挙げられる。肺結節の約1%が悪性である。悪性肺結節の一般的な原因としては、原発性肺癌、肺転移およびカルチノイド腫瘍が挙げられる。
結節の直径は悪性腫瘍の独立した予測因子であることが研究で示されている。結節の直径が大きいほど悪性腫瘍のリスクは高く、以下の確率がある:結節の直径<5mm:<1%;结节直径为5-9mm:2%-6%;结节直径为8-20mm:18%;结节直径>20mm:>50%。
ほとんどの肺結節は薬を飲んでも治らない経口抗炎症薬で吸収できる炎症性結節はごくわずかである。肺結節の臨床管理は結節の形状と大きさに基づいて行われ、さまざまな管理計画が立てられる。 一般に、ほとんどの結節は3ヵ月、6ヵ月、9ヵ月、1年(結節の形状と大きさによる)の定期的な経過観察が推奨される。ごく少数の結節で、明らかな悪性の特徴を有するものは、外科的切除が考慮される。
ライフロード公衆衛生では、このような一般化は良くないと考えている。孤立性肺結節といわれるものは、境界が明瞭で、像の混濁があり、直径が3cm以下で、肺結節性病変に囲まれた含気肺組織で囲まれ、肺無気肺、肺門拡大、胸水貯留の症状がないものを指す。孤立性肺結節はよくみられ、その原因としては腫瘍、感染性肉芽腫、先天性病変などが一般的である。良性結節は無症状で放置しておいても問題ないが、悪性結節の主な治療法は外科的切除または放射線治療であり、良性結節の予後は良好であるが、悪性結節の予後はやや不良である。
自覚症状はなく、小さな肺結節は定期的な検診で放っておいても大丈夫です。それ以外の場合は積極的に治療する必要がある。悪性の場合は、直ちに手術し、従来の腫瘍の治療法に準じて治療しなければならないことは言うまでもない。一般に、肺結節は良性であり、漢方薬を服用して見分け、治療することができますし、漢方薬を使用して肺結節が小さくなったという報告も多くあります。
これは通常、適切な暖かさと寒さに注意を払い、風邪をひかないように注意することである。
医者に診てもらうことを勧めるよ。
この質問と回答はサイト利用者のものであり、サイトの立場を代表するものではありません、侵害など、削除するには管理者に連絡してください。