冠動脈性心疾患、心筋梗塞、心筋虚血を発見するためにはどのような検査をするのですか?
冠動脈性心疾患、心筋梗塞、心筋虚血を発見するためにはどのような検査をするのですか?
胸のつかえ、胸の痛み、息苦しさの原因が何であれ、いつもジタバタする。映画やテレビで、胸をかばって倒れている登場人物をあまりにも多く見てきたからだ。
最も一般的な循環器科の検査についてお話ししましょう。
1.心電図:
心臓からの電気信号は、体表にある収集装置を通して波形パターンに変換され、これが心電図として見られるものである。電話と同じで、通常の電磁波信号を受信した後、相手の言っていることがわかるように音声に変換される。心電図は、心臓のリズムの問題であれ、血液供給の問題であれ、すべての循環器系疾患の基本検査のひとつであり、なくてはならないものである。もし心電図を見ずに心筋虚血だと言って薬を処方する医者に出会ったら、面と向かってこう尋ねてみるといい!あなたは自分が心電図の機械だと思っているのですか!」。
心電図の欠点は、検査ベッドに横たわっている数分間しか、心臓に起こっていることを反映しないことです。 心電図をとるときに具合が悪くなければ、心電図は正常な表示かもしれませんが、それ以外の時間に起こっていることを反映できるわけがありません。次の検査は、心電図のアップグレード版です。
2.外来心電図:
医師があなたの心電図に目を光らせるために24時間は非常に現実的ではない場合、虎は昼寝の時間を持っていますが、24時間心電図は、24時間は、忠実な医師は、あなたの心電図の変化の完全な記録は、医師に物事を伝えたい心臓を記録し、イライラすることはありませんようなものです。この検査は、心臓の鼓動が定期的にああ24時間を目指している、虚血やその他の問題がない、あなたが同時に24時間動的心電図をバックアップする場合は、登山運動を行うことができ、彼はまた、心筋の血液供給の後にあなたの活動を評価するための運動負荷試験として使用することができます。心臓のリズムが速いか遅いかの自覚症状、夜間の胸部圧迫感、息苦しさによる目覚め、活動後の胸部圧迫感や胸痛がある場合、胸骨前庭部の脱落感、バクバク感、自己意識、夜間の胸部圧迫感、息苦しさによる目覚め、活動後の胸部圧迫感や胸痛がある場合。この24時間心電図は、診断を確定するために不可欠なツールです。
もちろん、外来心電図検査が確実なわけではなく、もし発作的な心前不安があり、外来心電図検査当日に発作がなければ、外来心電図検査はあなたの問題を反映することができず、発作時の心電図の変化をとらえるためには、過去に何度も何度も外来心電図検査に改良を加えなければならない。この制限をなくし、いつでも心臓の状態をチェックするにはどうすればよいかというと、それは次のような検査である。
3.冠動脈CT検査:
64列CTの誕生と動的追跡技術の開発により、非侵襲的な方法で心臓の血管を検査し、冠動脈の狭窄の有無と程度を特定することができるようになった。この技術は、針や手術室を怖がる胸部圧迫感や胸痛のある多くの患者に役立っている。この検査の主な原理は、造影剤を静脈内に注射し、造影剤で満たされた冠動脈をCTでらせん状にスキャンすることです。 その後、冠動脈の各スキャンスライスを画像結合技術で結合して冠動脈の画像を形成します。
この検査は非侵襲的で安全ですが、いくつかの欠点があります、①リズムコントロール64列CTは心拍数を60拍/分以下にコントロールする必要があり、より速い128列とデュアルソースCTも心拍数を70拍/分以下に可能な限りコントロールする必要があります。この文章を覚えて、もし冠状動脈CT検査で冠状動脈性心臓病ではないと言われたら、この文章の信憑性は99%に高いが、もし冠状動脈CT検査で冠状動脈性心臓病と言われたら、この文章の信憑性は70%しかない。
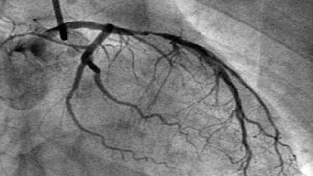
4.冠動脈造影:
いよいよ心臓血管検査の王様についてお話ししましょう。冠動脈造影は私よりずっと古く,1959年にアメリカのクリーブランド・メディカル・センターのSones博士が最初の冠動脈造影を完成させてから,56年近い歴史がある。開始以来、冠動脈造影はその直感的で客観的な特徴から、冠動脈疾患のゴールドスタンダードとなっています。
冠動脈疾患の診断におけるゴールドインデックスの意義は、イエスかノーかという皇帝の遺言のようなものである。冠動脈についてどのような検査が行われたかにかかわらず、冠動脈造影が行われた以上、すべては冠動脈造影の結果に左右される。冠動脈造影検査とは、大腿動脈または橈骨動脈からボールペンの芯のような太いカテーテルを挿入し、冠動脈の開口部に入れ、造影剤を注入して画像を現像する方法で、造影剤下で冠動脈血管の配列、数、変形を観察し、冠動脈病変の有無、重症度、範囲を評価し、冠動脈の攣縮、側枝循環の有無など冠動脈の機能的変化を評価し、同時に冠動脈の左側も考慮して、冠動脈の機能的変化を評価することです。冠動脈の攣縮や側枝循環を含む冠動脈の機能的変化を評価し、同時に左心機能の評価も考慮することができる。この検査は基本的に電気生理学的検査を除くすべての心臓関連検査を網羅していると言える。
冠動脈造影のリスクは,(1)穿刺時に動脈プラークが侵入し,冠動脈プラークの脱落や冠動脈けいれんを引き起こす可能性があること,(2)穿刺部位の術後血腫,(3)造影剤が腎機能に及ぼす影響,に焦点を当てている。これらのリスクは存在するものの、術前の血管評価、術後の止血のための十分な圧迫、および十分な水分補給によって回避できることに留意すべきである。
結論として,経験豊富なインターベンショニストとチームによって行われるのであれば,冠動脈造影の安全性は非常に保証されており,過度に心配する必要はない。冠動脈造影の利点は,冠動脈疾患患者の診断上の有用性と比較した場合,その欠点を上回る。
さて、ここでは冠動脈疾患検査の診断に最も重要な4つの検査を紹介する。この4つの検査では、基本的に冠動脈血管の病変は何も隠すことはない。
だから、親愛なる友人たちよ、もしあなたが胸が締め付けられるような発作や胸の痛み、そして百度で見つけたあらゆる種類の心臓病の疑いがあるのなら、忙しすぎずに医師に尋ねてほしい。
これらの検査の裏付けがなければ、西洋医学の責任ある循環器専門医は、決して盲目的に自分の判断をあなたに伝えることはないだろう。
いったん冠動脈性心疾患と診断されれば、生涯投薬にかかる費用は、こうした決定的な冠動脈性心疾患の検査費用の数え切れないほどかかるからである。
最后,对于那些实在觉得医开检查就是在骗钱的亲们,我啰嗦最后一句:知己彼百战不殆,工欲善其事必先利其器,战略上藐要视对手战术上要重视手,目的正要比跑的快更重要......!。
医療に対する違った見方を与えてくれる!
質問のお誘いをありがとう!

冠動脈性心疾患と心筋梗塞、心筋虚血には強い関連性がある。冠動脈疾患と心筋梗塞は病名であり、前者は動脈硬化によって心臓に血液を送る血管が狭くなり、心筋への血液供給が不足することで、胸のつかえや胸痛などの症状が現れる。一方、心筋梗塞は重症の心筋虚血で、最終的に心筋細胞が壊死する。この2つの過程から、心筋虚血は病気というよりむしろ状態を指していることがわかる。疾患分類の観点からは、この3つはすべて冠動脈性心疾患に分類される。冠動脈性心疾患の検査には多くのものがあるが、次のElf博士はその中でも重要なものをいくつか紹介している:

1、心電図(ECG):心筋虚血または心筋壊死が発生する時、ECGはよくある変化を見ることができ、動的な変化を示し、さらに、異なる導線の異常によって、心臓のどの壁に虚血または梗塞が発生するかを判断することができ、さらに、どの血管が虚血の可能性があるかを推論する;この検査は最も便利で安いと言えるが、欠点の美点は、ECGは直接血管の状態を観察することができないので、冠状動脈性心臓病の診断の黄金指標ではないということである;この検査は最も便利で安いと言える。しかし、欠点は心電図は血管の状態を直接観察できないので、冠状動脈性心臓病の診断の黄金指標にはならない;

2、冠状動脈造影検査:これは侵襲的な検査で、動脈穿刺を通して、カテーテルを冠状動脈の開口部に入れ、造影剤を注入し、X線の下で血管内の充満状況と血流速度を観察します。このような検査は直接血管内の状況を見ることができるので、冠状動脈性心臓病の診断の黄金指標ですが、欠点はこのような検査は侵襲的な検査であるということです;

3、冠動脈CT:表在静脈から造影剤を注入し、CT撮影を行うので、直接動脈造影より安全性が高いが、画像を合成するため、心臓のリズムに一定の条件があり、診断能力は冠動脈造影より弱い;
4、プレートテスト:このテストは、心電図の変化を観察するために、異なる運動量を介して、トレッドミルの上を歩くことに多少似ていますが、通常の心電図との違いは、それは積極的に仕事をするために、心臓の負荷の下で虚血のパフォーマンスを観察することができることです;

5、心臓超音波検査:心臓超音波検査は、心臓の筋肉と検査の内部解剖学を見て、それは直接冠状動脈を見ることはできませんが、心筋虚血や壊死がある場合、それは間接的に心臓の血液供給の状況に対応するように、心筋の動きに影響を与えます;
以上、一般によく使われる冠状動脈性心臓病の検査法をいくつか紹介したが、一般の人はどのような検査をすればよいのか、結局は専門医のアドバイスを聞くのが一番である。
お招きありがとうございます!この質問は何度かされたことがあるのですが、トピックがあまりにも大きいので、簡単な概要しか説明できません。
冠状動脈性心臓病とは、冠動脈性動脈硬化性心臓病の略称で、もちろん冠動脈への血液供給不足や心筋梗塞が原因ですが、冠動脈の動脈硬化だけでなく、他の原因もありますが、最も重要で、最も一般的なのは、95%以上が冠動脈の動脈硬化、狭窄によるものです。したがって、冠動脈性心疾患といえば、冠動脈アテローム性動脈硬化性心疾患を意味します。

冠動脈疾患は、血液供給が不十分であれば心筋虚血を引き起こし、虚血が重度であるか、完全に遮断され、心筋虚血壊死が生じれば心筋梗塞となる。したがって、心筋虚血も心筋梗塞も冠動脈疾患が原因であるが、その程度は異なる。
一般的に使用されているスクリーニング方法を紹介。
1.心電図.心筋虚血は、狭心症の発作がない限り、心電図が虚血時に変化し、虚血後に回復するため、検出率は比較的低い(通常50%以下)。心筋梗塞は検出率が高いが、検査のタイミングを誤ること(擬似改善期)があり、見逃されることがある。

2.外来心電図..心電図検査とは,24時間あるいはそれ以上にわたって心電図を検査・記録することである。こうすることで、心筋虚血エピソード中の心電図変化を記録し、一般心電図の不足を補い、痛みのない(無症状の)心筋虚血患者を発見することができる。

3.運動(負荷)テスト.平地(ランニング)やペダル(サイクリング)の方法があり、最新のものは呼吸機能も同時にモニターする。運動は最大以下のレベル(年齢、代謝値の基準に基づいた心拍数レベル)で行うべきである。なぜなら、冠動脈がある程度(75%以上)狭くなると、代償能力(血液供給を確保するために血液供給の要求が高まると拡張する能力)が著しく低下し、運動によって心臓への負荷が高まり、血液供給の増加が必要になると心筋虚血が起こり、それに応じて心電図も変化するからである。この方法では、おそらく約70%の患者を検出することができる。

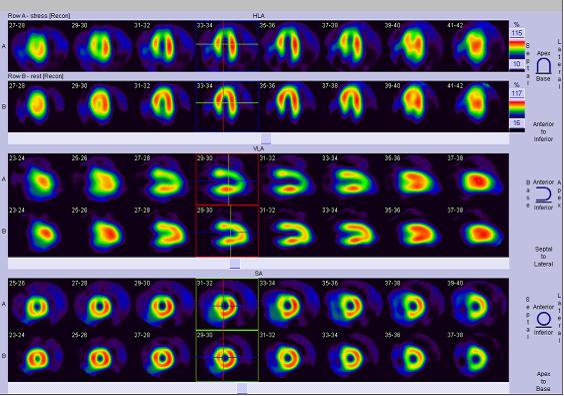
4.運動負荷心筋灌流イメージングこれは運動負荷試験と核医学的心筋血流イメージングの組み合わせである。これは運動負荷試験と放射性核種心筋灌流イメージングを組み合わせたものである。これは、心筋細胞に取り込まれる放射性核種(アイソトープ)を静脈注射し、これを血管を通して心臓に送り、心筋細胞に取り込ませることで行われる。血液供給がなければ、心筋は放射性核種を取り込むことができない。血液が供給されなければ心筋は放射性核種を取り込むことができない。このように、血液供給は心筋にどれだけの放射性核種があるか(集中しているか、まばらにあるか)によって決定される。そして、運動によって虚血や梗塞を同定する。運動中に核種の灌流が減少し、静穏時には正常であれば虚血や梗塞はない。運動中も静穏時も灌流がなければ、血液を供給する血管が閉塞していることを意味する。

5.冠動脈CTA(CT冠動脈造影)ヨード造影剤を血管内に注入する方法である。血管内にヨード造影剤を注入し、CT(コンピュータ断層撮影)で冠動脈を見て、奇形や心筋のブリッジ、冠動脈のプラークや狭窄の有無を確認するものです。この方法の利点は「非侵襲的」であり、冠動脈にカテーテルを挿入する必要がないことである。しかし、X線なので石灰化を見るには良いのですが、狭窄を見るには限界があり、あまり正確ではありませんし(機器や検査者の技量に関係します)、さらに心拍が速かったり、不整脈があると撮影効果にも影響します。したがって、この方法は冠動脈疾患の除外に最適であり、狭窄の診断には正確性に欠ける。また、検査中は80~100mlのヨード造影剤を静脈注射する。第一にアレルギーの可能性があること(皮膚テストで検出されないことがある)、第二に造影剤は腎臓から排泄される必要があり、腎臓へのダメージが大きく、腎障害や腎不全を伴う「造影剤腎症」(造影剤腎症)を発症する患者も少なからずいるため、検査前後に「水分補給」の処置が必要となる。したがって、検査前後の「水分補給」は必要である。

6.冠動脈造影(経皮経動脈的冠動脈造影法)手順動脈穿刺(手首の橈骨動脈または太ももの付け根の大腿動脈)で冠動脈の開口部にカテーテルを送り、ヨード造影剤を注入して冠動脈の形態と血流を観察し、一般に50%以上の狭窄があれば冠動脈疾患と診断する。この方法は現在、冠動脈疾患を診断するための "ゴールド・スタンダード "である。その利点は、正確であること(もちろん、投影の角度や医師の経験、血管の変形などにより、不正確な場合もある)、問題が発見された直後にバルーン拡張術やステント留置術(その他の手技も含む)により冠動脈を開いて血液供給を改善し、問題の発見と治療を同時に行えることである。この方法は低侵襲で、確かな技術と優れた安全性を備えた手技である。しかし、手技である以上、傷害やリスク、造影剤と同じ問題がある。

冠動脈造影を行う場合は、次のような方法もある。血管内超音波動脈硬化プラークを判定する検査

7.心エコー検査心臓の構造と機能を見る非侵襲的な検査です。これは心臓の構造と機能を見る非侵襲的な検査です。 虚血か梗塞かは心室壁の動きや厚さなどを見ることで判断します。虚血の場合、心室壁の動きは弱くなり、協調性がなくなり、梗塞した心筋は薄くなり、あるいは動かない(収縮しない)、あるいは逆に動く(収縮する)ようになり、医学的には「心室壁腫瘍」と呼ばれ、「付着壁血栓」ができることもある。大きな梗塞のある患者では、超音波で測定した心機能が低下することがある。

8. 心筋酵素(CK-MB)と心筋傷害マーカー(TnI、トロポニン)、血中トロポニンは心筋虚血傷害で上昇することがあり、心筋梗塞ではトロポニンと心筋酵素の両方が上昇することがある。

これらは心筋虚血や心筋梗塞の補助的なスクリーニング法である。実際狭心症、心筋虚血時の心筋梗塞是それぞれの臨床症状やパターンがあるその外科医要病歴に基づく患者の初期判断を下し、実施すべき検査を決定するための症状や徴候そして診断と管理を決定するために、臨床状態と検査状態を統合する。.したがって、臨床的エピソードの症状、エピソードのパターン、緩和の様式、薬物療法に対する反応などは、医師の診断に役立つものであり、無視できない重要なものである。


(画像はウェブより)
こんにちは、ドクター・ノウルズ・ブルーです。
まず、答えですが、冠状動脈性心臓病の正式名称は冠状動脈性動脈硬化性心臓病と呼ばれ、病気の進行に伴い、安定狭心症、不安定狭心症、心筋梗塞など、さまざまな病態がありますが、冠状動脈性心臓病の診断と治療には、一般的に心電図、心臓超音波検査、冠動脈CTA、冠動脈造影検査、血液検査(心筋酵素、トロポニン)などが用いられ、それぞれに特徴があります。これらの検査にはそれぞれ特徴と役割があり、お互いを補完し確認することはできても、取って代わることはできません。これらの検査について見てみよう。

心電図は心臓の電気を測定する電気ペンのようなもので、心筋の状態を判断する。
心臓が拍動を維持できるのは、心臓内部の生体電気に依存しており、心筋に虚血が生じると、これらの生体電気にも特異的な変化が生じる。 心電図(ECG)は、これらの生体電気の統合されたベクトルを描くことで、電気ペンのような役割を果たす。現在、一般的に使用されている心電図には、通常の心電図、24時間外来心電図、運動着と心電図の3種類がある。
- 一般的な心電図:手足と胸に電極を貼ったベッドに横たわり、数秒で検査が終わり、心電図波形のプリントアウトが作成される。この種の検査は、非常に便利で、迅速で、比較的安価で、通常20~30ドルしかかからない。冠動脈性心疾患で心筋虚血が起こったときに見られるが、虚血がないときには見られない。.しかし、冠動脈狭窄が75パーセントに達し、冠動脈疾患と診断されても、活動性がなく、心筋の血液酸素がまだ十分であれば、それを見る方法はない。心筋梗塞の場合、心電図は病的なQ波である "瘢痕 "に似た変化を示す。

- 24時間外来心電図:24時間外来心電図の利点は、24時間にわたって患者の心臓の変化をモニターできることにある。検査後24時間以内に心筋虚血のエピソードがあれば、虚血心電図を撮影することができる。。

- 運動負荷心電図実際、24時間外来心電図を装着していた24時間の間に激しい運動がなければ、その24時間の間に虚血エピソードがなかった可能性があり、運動負荷心電図と呼ばれる別の心電図検査でそれを補うことができます。患者にトレッドミルのような機械の上に立ってもらい、心電図をモニターしながら走る。運動が一定の強度に達すると虚血発作を誘発することがあり、その時点で虚血の心電図をトレースすることができ、心筋虚血の診断も可能である。もちろん、このような運動負荷心電図には一定のリスクが伴うため、経験豊富な医師の保護のもとでのみ実施すべきである。

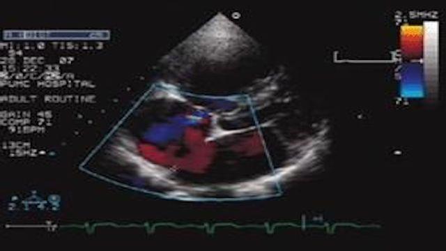
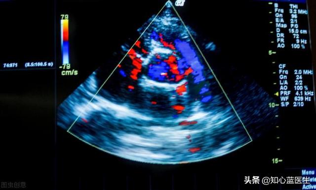
心臓超音波検査は、心臓の大きさ、可動性、収縮力を測定する定規のようなものである。
- 心臓超音波は音波の原理に基づいている。心臓から反射された音波を受信し、心臓超音波検査装置で画像に変換することで、心臓の個々の心房と心室の大きさ、心臓の収縮力、弁の状態、心臓の活動を直接測定することができる。しかし、心臓超音波検査では通常、冠動脈の狭窄や閉塞を直接見ることはできない。

- より軽症の心筋虚血や冠動脈疾患では、通常、心臓の大きさの変化、心臓の収縮力の変化、心臓の活動の変化はみられない。したがって、心臓超音波検査が正常または基本的に正常であることを示唆しても、心筋虚血や冠動脈疾患がないことの証明にはならない。

- 重度の心筋虚血冠動脈疾患、あるいは比較的大きな心筋梗塞は、心臓超音波検査で心収縮力の変化としてはっきりと確認することができる。心筋活動の変化、さらには心臓弁の機能異常も見られる。このようにして、心筋が重度の虚血に陥っていることが間接的に推測できる。

冠動脈CTAと冠動脈造影は、配管を検査して修理できる配管工のようなものだ
冠動脈は心臓そのものに血液を供給するためのもので、家の中に水を供給する配管のようなものである。冠動脈CTAと冠動脈造影は、冠動脈を直接見ることができる配管工である。
- 冠パルスCTAはジュニア配管工冠動脈CTAは実際にはCT検査の一種で、この種のCTを行う際には、手の静脈から一種の薬剤を注入します。この一種の薬剤が造影剤で、造影剤が冠動脈に流れ込むと、この冠動脈の影が映し出され、冠動脈の閉塞や狭窄の有無を判断することができます。冠動脈の主幹といくつかの太い枝はより明瞭に見えるが、細い枝はあまりよく見えない。

- 冠動脈造影は高度な配管工事である。冠動脈造影の原理は冠動脈CTAと似ているが、冠動脈造影は侵襲的な検査で、手や大腿の動脈から心臓の冠動脈まで管を送り、冠動脈に直接造影剤を注入し、冠動脈の形態をフィルムカメラで見る(DSA)。この検査は冠動脈疾患の診断のゴールドスタンダードであり、冠動脈の主幹や太い枝だけでなく、細い枝の一部も見ることができる。冠動脈疾患の診断手段としてだけでなく、冠動脈インターベンション治療と呼ばれる、このカテーテルを通してバルーンやステントなどを送り込んで治療する手段としても使用できるため、何よりも高度な配管工と言われている。

血液検査(心筋酵素、トロポニン)は、心筋虚血製品を発見する鋭い嗅覚を持つ番犬のような働きをする。
冠動脈性心疾患の診断に用いられる血液学的検査には、主に心筋酵素やトロポニンなどがあるが、これらはもともと正常な心筋細胞内に存在し、血液中に流れ出ることはない。 しかし、心筋に重度の虚血が起こり心筋梗塞が起こると、心筋細胞が壊死し、これらの物質が心筋細胞から血液中に流れ出てしまう。静脈から血液を採取してこれらの物質を検出し、この時点で心筋が深刻な損傷を受けているか壊死していることを間接的に推測することができる。

要約すると、冠動脈疾患はこの疾患の総称であり、心筋虚血はこの疾患の病態生理学的変化であり、安定狭心症、不安定狭心症、心筋梗塞はこの疾患の虚血状態の異なる重症度である。心電図、心臓超音波、血液検査はすべて、心筋が虚血や壊死を起こしているかどうかを推測する間接的な手段である。冠動脈CTAと冠動脈造影はどちらも造影剤を用いて冠動脈病変を直接観察するものである。 冠動脈CTAは非侵襲的で、簡便で、比較的安価で、太い冠動脈とその枝を観察することができる。冠動脈造影は侵襲的で、比較的高価で、冠動脈の様々な太い枝や細い枝を観察することができ、冠動脈疾患の診断のゴールドスタンダードであり、重症の冠動脈疾患の場合にはバルーン拡張術やステント植え込み術などの冠動脈インターベンション治療を行うことができる。冠動脈疾患を診断するためのゴールド・スタンダードであり、重度の冠動脈疾患に対してはバルーン拡張術やステント留置術を行うことができる。
ドクター・ノウ・ユア・ハート・ブルーをフォローし、心臓についてさらに学びましょう。
この疑問に答えるためには、まず冠動脈性心疾患、心臓発作、心筋虚血という3つの概念の違いと重複部分を明確にする必要がある。
冠状動脈性心臓病は、冠状動脈性動脈硬化症に基づいて、50%以上の冠状動脈の狭窄の程度を指し、一連の心血管疾患を総称して、安定狭心症の問題を伴う慢性冠状動脈性心臓病は、冠状動脈性心臓病と呼ばれ、急性冠症候群によって引き起こされる冠状動脈の狭窄や閉塞のために、また、冠状動脈性心臓病に属し、したがって、病気の範囲から、急性梗塞が発生した場合、冠状動脈性心臓病の範疇に含まれています。冠状動脈性心臓病患者は、どのように突然の急性梗塞のリスクを識別するかは、非常に重要なことです。

心筋虚血については、誤解が多く、よく胸のつかえ、動悸などの不快な症状が現れる友人がいて、心筋虚血になったと思っているようだが、実際には、心筋への血液供給は主に冠動脈を通じて行われ、冠動脈は一般に狭窄の程度が50%以下であれば狭窄しており、基本的に心筋の血液供給に影響はなく、心筋虚血はないため、通常は冠動脈疾患が確認された患者のみが心筋虚血になる可能性がある。したがって、通常、冠状動脈性心臓病が確認された患者だけが心筋虚血になる可能性があり、心筋虚血のほかに、胸の締め付け感、動悸などの不快感がある場合は、更年期症候群、植物性神経障害などに起因する可能性があるため、必ず同定に注意すること。

冠動脈性心疾患、心臓発作、心筋虚血はどのようにして判断するのでしょうか?多くの場合、以下の検査が不可欠である。
心電図
心電図(ECG)は心筋虚血の重要な検査であり、非侵襲的で簡単に行え、直接読むことができる。一般に、冠動脈疾患の患者で、胸部圧迫感や狭心症の症状がなくても、心筋への血液供給が不十分であれば、心電図で十分に特徴を把握することができる。 突然の心筋梗塞が疑われる患者に対しては、受診後10分以内に標準的な12誘導心電図検査を終了し、心筋梗塞かどうか、後壁梗塞の有無などを心電図で初期判断することができる。心電図が正常でも胸痛が緩和されずに持続する場合は、梗塞の問題を除外できないので、5~10分間隔をあけて再度心電図を見直す必要がある。

心電図検査の欠点は、主に検査時間中の心電図状況を反映することで、もし心筋に虚血がなく、心臓の性能の他のすべての側面が正常である時に検査を受けると、潜在的な心血管疾患の問題が正確に反映されないことがあります。このような検査は、一種の予備的な判断ですが、一定の限界もあります。
心筋損傷マーカースクリーニング
心筋に虚血性障害が発生した場合、長期的な影響や短期的な重篤な影響(急性梗塞の影響など)により、心筋に慢性または急性の障害が生じる可能性があり、心筋に障害がある場合には、心筋障害を特徴づけるいくつかの特徴的な検査がある。

心筋トロポニンは急性梗塞や不安定狭心症における心筋傷害のマーカーであり、検査結果が陰性であれば、ほとんどの梗塞を除外することができるが、このような検査がない場合は、クレアチンキナーゼアイソフォームによる心筋傷害の代替マーカーとしても用いることができ、検査初期に心筋トロポニンが陰性の胸痛患者では、4~6時間の間隔をおいて検査を繰り返し、それでも陰性であれば、初期段階で梗塞を除外することができる。梗塞は除外できるが、虚血性胸痛を呈する患者や心電図変化を呈する患者に対しては、マーカー検査の結果を待つために治療を遅らせてはならないことに注意すべきである。
心臓負荷試験検査
先に述べたように、心電図は検査時の心臓の健康状態を反映することができるだけで、一定の労作後の心臓の虚血状態を反映することはできない。心臓負荷試験は、安定冠動脈性心疾患心筋虚血問題のスクリーニングに追加して有用である。心臓負荷試験には、プレート運動負荷試験、負荷心エコー、負荷心筋核血流画像法、負荷磁気共鳴画像法などがあり、虚血性胸痛の発見に有用である。
冠動脈CTA

冠動脈CTAは血管造影と組み合わせて冠動脈をCT検査する手段で、これによって冠動脈疾患を診断することができ、冠動脈プラークの位置、特に石灰化プラークの程度を検査・判断することができる。 また、冠動脈CTAはステントを留置した冠動脈疾患患者のステント部位で血流がスムーズかどうかを評価することができ、同時に胸痛を訴える患者に対して、冠動脈CTA検査によって大動脈、肺、気胸などの問題を発見することができる。胸痛のある患者に対して、冠動脈CTAは大動脈、肺、気胸の問題をスクリーニングするために使用できるが、急性梗塞の問題が強く疑われる患者には推奨されない。
冠動脈造影
冠動脈造影は、造影剤の使用や侵襲的なインターベンション手技を必要とするという欠点があるが、冠動脈疾患の臨床診断のゴールドスタンダードであることに変わりはない。 冠動脈狭窄の程度を評価するために、冠動脈造影は冠動脈の攣縮や側副血行の有無など冠動脈の機能的変化を評価することができ、同時に左心機能などの評価も加味することができる。 また、突然の胸痛や急性梗塞が強く疑われる患者に対しては、禁忌であればできるだけ早期にステントを留置すべきである。また、突然発症した胸痛で急性梗塞が強く疑われる患者に対しては、禁忌がなければできるだけ早期に冠動脈造影を行い、梗塞部にステントを留置して血流を再建できることが確認されれば、そのままステントを留置してできるだけ早期に血流を開放し、急性梗塞がもたらす心筋障害を最小限にとどめるべきである。
冠状動脈性心臓病、心筋梗塞、心筋虚血、これらの概念は誰にとっても非常に身近なものである。しかし、注意深い友人は、しばしばこのような状況に遭遇することがわかります:医師は、心電図の結果を得るために、 "心筋虚血のパフォーマンスがある "と読んだ後、しかし、あなたが医師に尋ねたとき、これは冠状動脈性心臓病ではありません、医師は言うだろう "冠状動脈性心臓病ではありません、決定することはできません!"......

ここから、心筋虚血、冠動脈性心疾患、心筋梗塞は実は異なる臨床概念であり、診断の基準や必要とされる臨床技術も異なることがわかる。
最も診断閾値が低く、最も一般的な心筋虚血
上記の3つの概念を臨床的有病率によって分類するならば、診断閾値が最も低い心筋虚血が最も一般的であろう。ルーチンの12誘導心電図のみによる「心筋虚血」の結論。

内科の教科書にある冠動脈性心疾患の定義によると、冠動脈性心疾患とは、心筋組織に血液を供給する冠動脈(冠状動脈)の動脈硬化性狭窄または閉塞により、心筋虚血、低酸素症、壊死をきたす心疾患である。厳密には心筋虚血は冠動脈疾患の一般的な症状であり、冠動脈疾患患者は一般に心筋虚血を有することが確実である。しかし、心筋虚血の症状を有するすべての人が冠動脈疾患の診断基準を満たすのに十分であるとは限らない。
心筋虚血の概念は、一般的な心電図変化として診断の教科書に初めて登場した。心筋の一部に虚血が生じると、心臓の電気的再分極に影響を及ぼし、その結果、心筋に虚血が発生する。対応するリードにおけるST上昇抑制またはT波逆転これが臨床医が心筋虚血を判断する最も基本的な根拠である。
心筋虚血について知っておくべきことがいくつかある:
- 心筋虚血は必ずしも冠動脈疾患によって引き起こされるとは限らない。冠動脈の痙攣も心筋虚血の症状を引き起こすことがある;
- 心筋虚血は常に持続するわけではなく、心筋虚血の心電図所見が断続的に現れる患者も少なくない;
- 心筋虚血は必ずしも胸痛や胸部圧迫感などの明らかな症状を呈するとは限らず、無症候性心筋虚血が一般的である。
冠状動脈性心臓病--この "帽子 "をかぶるのは簡単ではない!
冠状動脈性心臓病、正式名称は冠状動脈性アテローム性動脈硬化性心臓病、ほとんどの人は冠状動脈性心臓病は病気だと思っているが、実際には、冠状動脈性心臓病は多くの種類の病気から構成される大きなクラスの病気である。冠動脈疾患の種類によって、治療の原則、治療の緊急度などが異なる!
1979年、世界保健機構(WHO)は、冠動脈疾患を、潜因性冠動脈疾患、狭心症、心筋梗塞、虚血性心筋症、突然死の5つに分類した。この分類は古典的なものであるが、徐々に発展し、冠動脈性心疾患を大きく2つに分けることを提唱する専門家も増えている:
- 慢性冠動脈疾患:安定狭心症、虚血性心筋症、insidious coronary artery diseaseに分類される;
- 急性冠症候群(ACS):不安定狭心症(UA)、非ST上昇型心筋梗塞(NSTEMI)、ST上昇型心筋梗塞(STEMI)を含む。
以前は安定冠動脈疾患の方が多いという印象が強かったが、臨床的には急性冠症候群の方が多くなってきている。
冠動脈疾患の診断と分類は、多くの場合、臨床症状の特徴、危険因子の評価、心電図、臨床検査、画像診断の組み合わせに基づいている。しかしすべての検査の中で、血管疾患の直接的な証拠を得ることができるのは冠動脈造影検査であり、そのため冠動脈性心疾患の診断のための "ゴールドスタンダード "として知られている。。

重症の冠動脈疾患が疑われるほとんどの患者に対して、医師は冠動脈狭窄の程度を詳細に評価するために冠動脈造影を勧め、これに基づいて冠動脈疾患を冠動脈ステント留置術で直接治療することができる。
しかし、冠動脈疾患のリスクが高くない一部の人々に対しては、医師は冠動脈CTA技術を用いた冠動脈狭窄のスクリーニングを推奨することがある。冠動脈CTAの精度は冠動脈造影検査にはまだ及ばないが、冠動脈疾患が否定された患者を除外するには十分である。

心筋梗塞 - 底辺への競争
心筋梗塞は冠動脈の急性閉塞により、血液を供給する下流の心筋組織が急性壊死を起こす致死的な疾患である。心筋梗塞は急性期の致死率が高く、緊急の蘇生が必要な疾患である。

救急外来で。突然の激しい胸痛を訴える患者はすべて、心筋梗塞のスクリーニングを受ける必要があり、最も一般的に用いられる手段は心電図検査と心筋酵素プロファイリングである。一般に心筋梗塞患者では、心筋酵素スペクトル関連指標が有意に上昇し、心電図で典型的なST上昇を認める場合はST上昇型心筋梗塞であり、ST上昇がない場合は非ST上昇型心筋梗塞であることが多い。
基本的に心筋梗塞の診断は、救急部で時間との戦いの中で行われる必要があるものである。 診断後、急性心筋梗塞の患者は、条件が整った病院であれば、すぐに冠動脈造影のためにカテーテル検査室に送られる。この時点での血管造影の主な目的は、病気の診断を確定することではなく、血管内治療のために閉塞した血管を速やかに開くことにある。
では、"一家の名医 "趙先生に従って、この医学知識を必要としている友人たちに教えてあげてください!
冠動脈疾患、心筋梗塞、心筋虚血の関係は?冠動脈性心疾患と心筋梗塞はどちらも病気であり、心筋虚血は病気の状態であり、3つとも冠動脈性心疾患に分類されます。
冠状動脈性心臓病とは、心臓の血管の動脈硬化によって血管が狭くなり、さらに心筋への血液供給が不足することで、胸が締め付けられるような痛みや胸痛を生じる病気である。
冠動脈が完全に閉塞し、血管から供給される心筋に栄養が行き渡らず壊死した状態を心筋梗塞という。 一般に、心筋梗塞は重度の心筋虚血によって引き起こされ、最終的に心筋細胞が壊死する。したがって、心筋虚血は心筋梗塞の発生と密接に関係する疾患状態である。

要約すると、冠動脈性心疾患は非常に大きなカテゴリーであり、心筋虚血は疾患状態であり、心筋梗塞は冠動脈性心疾患の最も深刻な結果である。
冠動脈性心疾患、心筋梗塞、心筋虚血を発見するためにはどのような検査をするのですか?
1.身体検査
一般に、医師は患者の予診を行い、座って呼吸しているか、チアノーゼ、頸静脈の怒張、浮腫などがないかなど、患者の基本的な状態を把握する。また、心臓の先端に異常がないか、毛細血管の拍動、脈拍の異常な変化などを触診で観察する。最後に聴診器で心音の異常な変化、心雑音や心膜摩擦音、心拍数の異常の有無を観察する。
2.ラボテスト
臨床検査には、ルーチンの血液検査、ルーチンの尿検査、心筋梗塞の判定に必要な血中トロポニン、ミオグロビン、心筋酵素の測定を含むさまざまな生化学検査が含まれる。
3.心電図
心電図は非侵襲的で安価かつ実用的な検査であり、不整脈の診断や、発生するさまざまな不整脈の原因や性質を特定するのに適している。
心電図のもう一つの重要な臨床機能は、心筋虚血の診断である。 心筋虚血が起こると、心電図に傷害心電図の変化が現れるので、心電図は心筋虚血の部位や領域の予備的判断、診断の局在や病態の判断など急性心筋梗塞の診断に非常に重要である!
さらに、心電図は電解質代謝異常の診断にも役立つ。 低カリウム血症、高カリウム血症、低カルシウム血症は心電図で特異的に変化するため、医師は電解質異常の有無を判断できる。

4.外来心電図
外来心電図(ECG):ホルター検査とも呼ばれ、ECG信号を24~72時間連続記録することができ、非持続性不整脈、特に一過性不整脈や一過性虚血エピソードの検出を向上させ、各種不整脈の診断、失神の原因、ペースメーカーの機能把握、突然死予防対策に重要である。
5.心臓超音波
心臓超音波検査は心臓の構造の変化を反映するもので、心臓の収縮・拡張機能が正常かどうか、駆出率が正常かどうかに加えて、心房や心室の壁の破損や肥厚の有無、心房や心室の肥大の有無、心臓の弁の狭窄や閉鎖不全の有無などを反映することができます。
6.冠動脈造影
冠動脈造影検査は現在、冠動脈疾患の診断における "ゴールドスタンダード "である。冠動脈の開口部にカテーテルを挿入し、少量の造影剤を注入して冠動脈の血流を示し、冠動脈の血流と解剖学的状況を動的に観察し、冠動脈病変の性質、位置、範囲、程度を把握し、冠動脈の奇形、石灰化、側副血行の形成を観察する。

冠動脈性心疾患、心筋梗塞、心筋虚血は、一般に上記の検査でよりよく判断できる。 心臓病の発見は非常に複雑な問題なので、心臓に何らかの問題があると思われる場合は、病院に行って診断を確認する必要がある!
複雑で難しい病気の知識を平易な言葉で説明し、皆様の身体管理のお役に立てるよう日々精進している王薬剤師です。皆様からのお褒めの言葉が私の最大のモチベーションです!また、もしあなたのご家族も関連する悩みをお持ちでしたら、ぜひこの記事を伝えてあげてください!
冠状動脈性心疾患冠状動脈性心疾患(CHD)は、冠状動脈のアテローム性動脈硬化性病変によって引き起こされる冠状動脈性心疾患と呼ばれ、ほとんどの場合、また、冠状動脈のけいれん、上記の要因のいずれか、または一緒に2つによって引き起こされる可能性があり、その結果、冠状動脈の内腔狭窄または閉塞、心筋虚血をもたらし、心臓病による低酸素症は、冠状動脈性心疾患、また虚血性心疾患(IHD)として知られています。
心筋虚血や低酸素症を引き起こす病因としては、冠動脈硬化のほか、炎症(リウマチ性、梅毒性、川崎病、血管閉塞性血管炎など)、塞栓症、痙攣、結合組織障害、外傷、先天異常などがある。
冠動脈硬化が主な原因であるため、冠動脈疾患は冠動脈アテローム性動脈硬化性心疾患の臨床的代替疾患として一般的に使用されている。
原因と危険因子
冠動脈アテローム性動脈硬化症の原因は不明であるが、以下の危険因子との関連が強いことは一般に認められている。
1.脂質異常症:低比重リポ蛋白コレステロール(LDL)とアポリポ蛋白(a)の上昇は動脈硬化の原因となる。
2、高血圧:40~70歳で血圧が115/75mmHg~185/115mmHgの場合、収縮期血圧が20mmHg、拡張期血圧が10mmHg上昇すると、冠動脈性心疾患のリスクが2倍になる。
糖尿病(DM):アテローム性動脈硬化症はDM患者ではより早く発症し、より一般的である。
4.喫煙:1日平均10本の喫煙は、冠動脈性心疾患の死亡率を男性で18%、女性で31%増加させる。
5.遺伝的因子:例えば、早期発症の心血管疾患の家族歴(50歳未満での発症)。
6.年齢:男性50歳以上、女性55歳以上
7.その他:運動不足、夜更かし、過度の精神的ストレス、肥満、A型性格など、生活習慣が悪い。
臨床型
1.1979年のWHO分類によると、冠動脈疾患は以下のタイプに分けられる:
無症候性心筋虚血(insidious type):虚血性変化を示唆する心電図など心筋虚血の客観的証拠はあるが、症状はない。
虚血性心筋症:長期にわたる慢性心筋虚血または心筋梗塞の後、心筋線維化、徐々に拡大する心臓、心不全、不整脈。
狭心症:心筋壊死を伴わないepisodic retrosternal pain。安定狭心症と不安定狭心症を含む。 心筋梗塞:非ST上昇型心筋梗塞および非ST上昇型心筋梗塞を含む、心筋壊死を伴う重度かつ持続性の後胸骨痛。
突然死:急性症状発現後1時間以内の心疾患による死亡。これは主に重度の心室性不整脈によるものである。
2、心筋虚血の発生機序によるタイピング
慢性心筋虚血症候群:心原性心筋症、虚血性心筋症、安定狭心症を含む。主な病態は酸素要求量の増加による心筋虚血である。
急性冠症候群(ACS):不安定狭心症(unstable angina:UA)、非ST上昇型心筋梗塞(non-STegment elevation myocardial infarction:NSTEMI)、ST上昇型心筋梗塞(STegment elevation myocardial infarction:STEMI)を含む。近年では、前2者を総称して非ST上昇型ACSと呼び、約3/4を占め、後者をST上昇型ACS(ごく一部の変型狭心症を含む)と呼び、約1/4を占める。 共通の病態生理的基盤は、冠動脈の動脈硬化に基づき、プラークの破裂、ヴェシキュレーション、潰瘍化、およびそれに伴う血栓症、血管収縮、微小血管塞栓症などにより、急性または亜急性の心筋酸素供給量の低下をもたらすことである。酸素供給の低下。主な病態は酸素供給低下を伴う心筋虚血である。
冠動脈疾患は以下の方法で検査される。
1、心電図負荷試験:主に薬物試験(イソプロテレノール試験、パンセンチン試験など)と運動負荷試験を含む。心筋虚血の臨床観察に最もよく用いられる簡便な方法は心電図である。狭心症発作が起こると、心電図は心筋虚血の異常な心電図症状を記録することができる。しかし、多くの冠動脈疾患患者では、冠動脈拡張の最大予備能が低下しているにもかかわらず、心筋虚血の徴候はなく、心電図は全く正常であることがあり、冠動脈血流は通常安静時には正常に保たれている。血流が比較的固定されているか減少していることを明らかにするために、狭心症の存在を他の方法または心臓に負荷をかけ心筋虚血を誘発する運動によって確認することができる。運動負荷試験は虚血性心筋梗塞や不整脈後の心機能評価にも不可欠である。
2.外来心電図(ECG):活動時および静穏時の心臓の心電図の変化を長期にわたって連続的に記録し、集計・分析する方法。この手法は1947年にホルターが電気活動のモニタリングに初めて用いたことから、ホルター・モニタリングとも呼ばれる。従来の心電図検査では、安静状態では数十心周期の波形しか記録できないが、外来心電図検査では24時間にわたって最大10万心電図信号を連続記録できるため、非持続性異所性リズム、特に一過性の心筋虚血エピソードや一過性不整脈の検出率が向上し、心電図検査の臨床応用の幅が広がり、発生時刻を患者の活動や症状と相関させることができる。発症時刻は患者の活動や症状に対応する。
3.心電図(ECG):冠状動脈性心臓病の診断において、最も一般的に使用され、基本的で最も早い診断方法は心電図である。心電図は他の診断法と比べて、使い勝手がよく、普及しやすく、患者の状態が変化したとき、その変化を時間的にとらえることができ、連続的かつ動的に観察することができ、あらゆる種類の負荷試験を実施することができるため、診断感度を向上させることができる。心筋梗塞でも狭心症でも、心電図には典型的な変化があり、特に不整脈の診断には臨床的価値が高いが、もちろん限界もある。
4.冠動脈造影:冠動脈疾患診断の "ゴールドスタンダード "である。冠動脈の狭窄の有無、狭窄の程度、範囲、位置などを明らかにし、さらに治療の指針を得ることができる。同時に、左心室造影は心臓の機能を評価することができる。
冠動脈造影の主な適応は、1)狭心症と診断できない狭心症に似た胸痛がある場合、2)内科的治療にもかかわらず重症の狭心症があり、バイパス移植手術を検討するために動脈の病態を明らかにする場合、である。
5.超音波検査と血管内超音波検査:心臓超音波検査は、心臓の心室壁の動き、左心室の機能と形態を調べることができ、この方法は現在最も一般的に使用されている検査手段の一つである。乳頭筋機能、心破裂、腔内血栓、心室壁腫瘍などの診断に重要な価値を持つ。血管内超音波検査は、冠動脈内の狭窄の程度や壁の形態を明らかにすることができ、これは有望な新技術である。
6.核種心筋イメージング:この検査は、病歴から心電図検査で狭心症が否定できない場合に行われる。核種心筋イメージングは虚血領域を示し、虚血の位置と範囲を明確にすることができる。運動負荷試験と画像診断を併用することで、発見率を向上させることができる。
7.心臓血液プールイメージング:心室壁運動と心機能を決定するための重要な基準値、心室壁の収縮期と拡張期の動的画像を観察するために使用することができる。
8、心筋酵素検査:臨床的に、特定のアイソザイムの確実な酵素の変化と血清酵素濃度の上昇の配列の変化によると、明らかに急性心筋梗塞と診断することができます。これは急性心筋梗塞の鑑別診断の重要な手段の一つである。
循環器医師にとって、冠動脈性心疾患、心筋梗塞、心筋虚血の診断は、両手を使って箸を使って食べるのと同じくらい簡単なことである。しかし、本物の冠動脈性心疾患を見逃さないように、また偽の冠動脈性心疾患を誤って告発しないように、注意深く慎重にならなければならないので、食事とは異なる。

たった一度の診断ミスが、不当な死につながりかねないのだ;
たった一件の冤罪事件によって、患者は長期にわたる投薬に悩まされ、薬による副作用を経験することさえある。
したがって、冠動脈疾患や心筋梗塞の診断は、慎重かつ綿密に行われなければならない!
詳しくは複雑で、症状、病歴、危険因子、スクリーニング検査などを組み合わせて総合的に分析する必要がある。
今日は、診断のためにどのような補助検査が行われるかを簡単に述べるにとどめる。
まず、急性心筋梗塞である。
冠動脈疾患の中で最も重篤なタイプで、血管が完全に閉塞しているか、ほぼ完全に閉塞している。
1、ST上昇型心筋梗塞。
通常は基本的に症状+心電図で診断を確定し、次のステップは血栓溶解かステント留置かをできるだけ早く決めることです。
急性心筋梗塞の診断を容易にする典型的な心電図変化。
発症が長引くと心筋酵素やトロポニンも上昇する。
画像診断によって診断の妥当性をさらに確認することができる。
2、非ST上昇型心筋梗塞
心電図は有意な上昇を示さず、むしろ抑制を示すので、症状と心酵素の結果を組み合わせる必要がある。
リスク層別化に基づいて、画像診断のタイミングが決定された。
第二に、冠動脈性心疾患である。
実際、冠動脈疾患自体には心筋梗塞も含まれる。
冠動脈疾患の診断
1.心電図。感度は非常に高く、心電図による虚血症状を発症するとすぐに捕らえることができる。しかし、難しいのは、心電図をとったときにはもはや困難であることが多いことである。しかし、心電図の動的な変化が検出されれば、冠動脈疾患の診断に非常に有用です。
2. 外来心電図と運動負荷試験。24時間心電図の変化をとらえることができ、たまたま発症があれば心電図を記録する。運動負荷試験:運動耐容能の変化と運動後の心電図から心筋虚血の有無を判定する。
3.冠動脈CTA心電図や臨床症状から冠動脈疾患の証明や除外ができない場合、冠動脈CTAを用いて冠動脈狭窄の存在をより視覚的に確認することができる。
4.冠動脈造影重篤な冠動脈疾患が疑われる場合、あるいは診断できない場合は、冠動脈造影検査が必要である。
5.微小血管病変冠動脈造影は正常であるが、患者は典型的な狭心症である。冠動脈造影は比較的大きな血管しか観察できないため、小さな血管は見ることができず、臨床症状と特殊な薬物スクリーニング検査の総合的な判断に基づくしかない。
実際、冠動脈疾患や心筋梗塞の診断には、臨床症状が非常に重要である。
冠動脈性心疾患を見逃さないために、また冠動脈性心疾患を誤って告発しないために、この2つの方法を完璧に組み合わせる必要があるのだ!
これは良い問答であり、一見したところ、一般の人々にとっては気になる問題である。今日はこの問題について張医師がお話しします。まず、冠動脈性心疾患、心筋梗塞、心筋虚血の関係についてお話ししましょう。冠動脈性心疾患とは冠動脈性動脈硬化性心疾患の略称で、心筋梗塞は冠動脈性心疾患の中で最も重篤な病態ですが、冠動脈性心疾患には心筋梗塞だけでなく、不安定狭心症、安定狭心症など他の病態も含まれます。心筋虚血はすべての冠動脈性心疾患に存在する病態であり、その病態学的基盤を表すのに用いられる。
患者が冠状動脈性心臓病であるかどうかを調べるのは難しいことではない。 心筋梗塞を起こした患者であれば、患者自身の症状、心電図、心筋酵素によって診断することができ、これは非常に簡単で、一般的な病院でも診断することができる。他の冠状動脈性心臓病、例えば狭心症が疑われるだけであれば、今回は診断をはっきりさせるために、通常、病気の発作時に心電図をチェックすることができます。しかし、狭心症の発作時に心電図をとらえることができない場合、どうすればいいのでしょうか?この時、まず冠動脈CTA検査をスクリーニングすることができ、通常、冠動脈狭窄が存在するかどうかを明らかにすることもできます。心筋虚血をどのように明らかにするかについては、難しいことではなく、心筋虚血発作時の心電図や運動負荷試験で虚血の有無を明らかにすることができます。
今日、張医師は、これらは非常に一般的であるが、現実に実行可能であると述べた。

この質問と回答はサイト利用者のものであり、サイトの立場を代表するものではありません、侵害など、削除するには管理者に連絡してください。