秋から冬にかけて "脳出血 "が多発するが、脳出血が起こることを示す体に現れる異常とは?
秋から冬にかけて "脳出血 "が多発するが、脳出血が起こることを示す体に現れる異常とは?
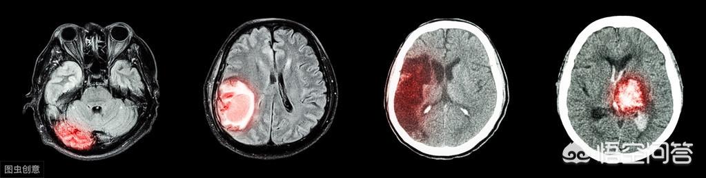
脳出血脳出血とも呼ばれ、脳実質内の血管が非外傷性で破裂し、出血を起こすものである。
統計によると、脳出血による死者は毎年約230万人で、「最速の殺人者」と呼ばれている。
脳出血は「発症が早い」ことで知られ、中高年の死因の第1位である!

秋から冬にかけては気温の変化が大きく、脳出血に十分注意する必要がある
秋から冬にかけては気温が下がり、寒暖の差が大きくなるため、血管収縮や痙攣が起こりやすく、血圧の上昇や血管のもろさが増す。
同時に、秋から冬にかけては人々の活動量も著しく低下するため、血液の粘度が高まり、血管が破裂して脳出血を引き起こす可能性も高くなる。
そのため、寒さが厳しくなる秋から冬にかけては、脳出血の予防に細心の注意を払う必要がある。

秋と冬、脳出血の予防は、体が4つの異常が現れ、タイムリーな検査は、無視しないでください。
1.突然の激しい頭痛
頭痛の症状は、通常、発症して数分しか続かず、やがて消失するため、脳出血が起こればいつでも注意を喚起することができる。
一般に、前兆症状が現れてから2ヵ月以内のリスクは特に高い。

2.体の片側のしびれ
脳出血の多くは、発症前に顔、腕、指、特に薬指のしびれを伴う!
右半身と左半身にしびれを感じることが多い場合は、脳の細い血管に問題がないかを考える必要がある。
しびれだけでなく、上肢や下肢に脱力感があれば、状況はさらに深刻になる。

3突然の失語
他人と話しているとき、突然声が出なくなったり、言葉が不明瞭になったり、相手の言っていることが理解できなかったり、時には自分の言葉と心が一致しない、つまり自分の言いたいことと自分の言っていることが一致しないことがある。あるいは、口がゆがむ、よだれが出るなど。
この時点で、脳出血に厳重に警戒することが重要であり、直ちに医師の診察を受けることが最善である。

4、流鼻血
通常の鼻血であれば怖くはないが、高血圧を伴い、頻繁に鼻血が出るようであれば注意が必要である。
鼻血が頻繁に出る高血圧患者は、6ヵ月以内に脳出血を起こす危険性が高い。
しかし、もしあなたの家族が上記のような状態であれば、できるだけ早く病院で検査と治療を受けるべきです。

秋と冬、脳出血になりたくなかったら、3つのことを控えよう。
1.喫煙を減らす
喫煙は血管を機能不全に陥れる元凶の一つである。
ニコチンは血管を刺激してもろくし、血管内皮を傷つけて血液の粘度を高め、脳出血を引き起こしやすくする。

2、夜更かしを減らす
夜更かしが多い人は、体がストレス状態にある時間が長く、アドレナリンなどのホルモンが常に分泌されているため、血管収縮が異常に起こり、血管の圧力が非常に高くなり、これに感情的なものが加わると脳出血になりやすい。

3、少喝酒
アルコールは血管壁を直接刺激し、血管の弾力性を失わせ、動脈硬化を促進し、脳血栓を形成しやすく、脳出血を誘発する。
脳出血の予防には、この2つをしっかり行うこと
最初の作品:血液をサラサラにするためにコップ3杯の水を飲む
研究によると、1日にコップ6~7杯の水を飲むほうが、コップ2~3杯の水を飲むよりも心臓血管系の事故につながる可能性が低い。
このように、水をたくさん飲むことは血管の健康にとって非常に有益である。
以下の3つのコップから水を飲む:

杯目:朝起きたらコップ1杯のぬるま湯
早朝6:00-10:00、この時間帯は心血管疾患として知られる "悪魔の時間 "である。
この時間帯に発生する心血管事故と脳血管事故は、1日全体の60%以上を占める。
一晩寝て休むと、身体は脱水状態になり、血液が濃くなりやすくなる。
この時点で、35~40℃くらいの温かい熱湯をコップ1杯(200ml)飲む。
水分を補給して血液をサラサラにするだけでなく、血栓の形成も抑える。
だから、早起きしたら、喉が渇いていようがいまいが、コップ一杯の温かい熱湯を飲むこと。

杯目:食事の合間に一杯のお茶
日中は、積極的に水を飲む習慣を身につけるだけでなく、食事の間に、お茶を一杯入れるだけでなく、脂肪解毒、抗血液凝固。
バクディン・ロータスリーフ・ティー水に入れて飲むと、血液がサラサラになり、血栓ができにくくなり、心血管系疾患が減少する。
白グルテン、蓮の葉、小葉のビターを使い、それらを合わせて水を淹れ、お茶の代わりに飲む。

ホワイトシリアルバターは、水の中で、血清トリアシルグリセロールを低下させ、HDLを効果的に上昇させることができる。
現代の研究では、ハスの葉に含まれるフラボノイドとアルカロイドは、血清総コレステロールとトリグリセリドを減少させることができると同時に、全血の比粘度、赤血球圧を低下させることができるため、血液粘度の状態を改善し、明らかな脂質低下効果があることが示されている。
小葉ビタースイートには、高コレステロールによる血中TL、TC、LPO値の上昇を抑える効果があり、動脈硬化斑の面積を著しく減少させることが研究で示されている。
この3つが組み合わさって、体の解毒を促進し、脂質を低下させ、血液をサラサラにし、血管の健康を守るお茶の代わりになる!

杯目:夜寝る前に温かい沸騰したお湯をコップ1杯
夜、体が眠っているときは血流が悪くなり、血液の粘度も上下する。
寝る前に、200ml以下の温かい沸騰したお湯をコップ1杯飲めば十分だ。
夜間の血液の粘度を下げ、呼吸器に潤いを与え、睡眠を助ける。

枚目:適切な運動と座りがちな行動
また、長時間座っていて急に立ち上がることも、脳出血につながる可能性が高く、生命と健康を損なう恐れがある。
したがって、血管の健康の保護のために、非常に有益な運動の適切な増加を、座っていない、注意を払うことが重要です。
長時間の座りっぱなしは血流を悪くし、血栓(特に深部静脈血栓症)の形成につながる危険性がある。

ウォーキングは最も簡単で効果的な運動のひとつである。
臨床経験から、1日1万歩は慢性疾患の安定とリハビリに役立ち、血液循環を改善し、血中の代謝物を減らし、血管の健康に役立つことが分かっている。
ウォーキングは、3+7がより効果的であることを念頭に置き、1日3,000歩を30分程度かけて連続して歩き、残りの7,000歩を1日中散発的に積み重ねることを意味する。

ネットワークからの写真は、任意の侵害があれば、削除するには、ご連絡ください、ありがとうございました!
どのような身体的異常が脳出血の兆候を示すのか?
1.突然のめまい
めまいは脳血栓症の前駆症状として非常によくみられる症状であり、脳血管障害の前であればいつでも起こりうる。
特に早朝の起床時に多く発生する。また、疲労や入浴後にも起こる。
特に高血圧患者の場合、めまいが1~2日の間に5回以上繰り返されると、脳出血や脳梗塞の危険性が高まるので、家族は特に注意を払う必要がある。

2.手足のしびれ
脳出血の多くは、顔、腕、指、特に薬指のしびれが先行します!右半身や左半身にしびれを感じることが多い場合は、脳の細い血管に問題があるかどうかを考える必要があります。
これは医学的には「片麻痺」と呼ばれ、脳血管障害の一般的な症状である。その程度は軽度から重度まであり、不完全麻痺から完全麻痺まである。

3.口の中の異常
臨床的証拠によれば、脳出血患者の80%以上が嘔吐に苦しんでおり、そのほとんどが投射性嘔吐である。中には、正体不明の嘔吐物を伴う消化管出血を伴うことさえある。
脳内の出血は神経を圧迫し、正常な言語中枢に影響を与えるため、不明瞭な話し方や硬くなった舌につながります。

4.頻繁なあくび
脳出血発症の5〜10日前に、患者は頻繁にあくびをする傾向があり、その値は80%にも達することがわかった!
これは、脳動脈硬化、脳内腔の狭窄、脳虚血と低酸素症の漸増によるものである。

脳出血になりたくなかったら、3つのことを減らしなさい!
1、朝の運動は早すぎてはいけない
一方では、朝早すぎる運動は空気の質が悪く、健康によくない。
一方、高血圧患者の場合、血圧には朝のピークがあり、心血管イベントが最も起こりやすい毎朝(午前7~9時頃)に血圧が最も上昇しやすい。
したがって、高血圧の人は、高血圧性脳症や脳卒中を避けるために、朝の運動はあまり早すぎないほうがよい。
高血圧の人は、できれば午後5時以降に、30分から1時間程度の運動が望ましい。

2、感情的にならないこと
食後は消化器系が働き、体内の血流が促進され、体内の組織や器官が動き、身体が興奮状態になる。
この時、感情的になっていると、副腎皮質ホルモンの分泌が盛んになり、血圧が急上昇し、脳出血を起こしやすくなる。

3.喫煙と飲酒をやめる
禁煙や禁酒が難しい人もいるが、摂取量をコントロールすることは重要だ。
喫煙は血管の健康を損ない、血管の閉塞を促進する。
30ミリリットル以上のアルコールを摂取すると、神経の緊張と血管攣縮が高まり、血圧が急上昇する。

脳出血を科学的に予防するには、「4つの言葉」を覚えておこう。
I:食べる
1.α-リノレン酸の補給。
α-リノレン酸は血中のLDLコレステロールとトリグリセリドを低下させ、HDLコレステロールを増加させることが研究で示されている。
α-リノレン酸はまた、血液の粘度を下げ、血液の酸素運搬能力を高め、トリグリセリドの合成を抑制し、体内の様々な脂質の排泄を増加させることができる。血中脂質を低下させ、動脈硬化を予防する効果がある。
中国栄養学会(2013年版)は、1日に1,600~1,800mgのα-リノレン酸の摂取を推奨している。
α-リノレン酸の主な補給源は以下の通りである。イエローセージシードオイル、クルミオイルなど特にイエローセージシードオイルは、α-リノレン酸が約67パーセントと豊富で、「陸上の深海魚の油」として知られている。1日5mlのイエローセージシードオイルを摂取するか、ヨーグルトに混ぜて食べる。

2.食物繊維の補足。
便秘で腸に負担がかかると脳出血を誘発するので、平時から腸管の潤滑に役立つ食物繊維を補う必要がある。
食料源ほうれん草、ドラゴンフルーツ、大麦若葉など。

II: パス
運動は心臓のエネルギーを高めると同時に、脳に酸素を供給し、脳組織への血液の循環と代謝を促進する。
そして、科学的に根拠のある運動は、動脈弾性係数を効果的に低下させ、動脈硬化の発症を予防し、そのリスクを軽減することが、多くの研究で明らかになっている。
また、定期的な運動は、体内の有害物質の代謝を促進し、血管内のコレステロールやトリグリセリドなどの有害物質の残留を減らすことができる。

睡眠
過度な運動や夜更かしなどは、身体を過度に緊張させストレス状態にするため、血圧の過度の変動を招きやすく、脳梗塞を誘発しやすい。
それだけでなく、長時間の過労や夜更かしは、心臓やその他の臓器にかなりの負荷とダメージを与える。
したがって、オフィスワーカーにとっては、規則正しい生活習慣を身につけ、夜更かしや遅寝の機会を減らす必要がある。

IV: チェック
仰向けに寝て足を45度の角度まで上げ、2分間キープした後、両足を見る。
片方の脚が青白く、あるいは少し蝋のようで、脚の皮膚が少し透けているように感じる;
足を下ろして通常の座位に戻すと、この足にわずかに赤みが生じ、足が血液不足であることを示す。
この時点で、血管の詰まりに注意すること。

ネットワークからの写真は、任意の侵害があれば、削除するには、ご連絡ください、ありがとうございました!
私は医学博士、研修医、人間の健康の利益のために医学知識の普及を専門としています、あなたが詳細をお知りになりたい場合は、私に注意を払ってください、質問がメッセージを残すことができる、応答します!
秋から冬にかけて、脳出血の発症率が高いが、脳出血が起こることを示す体の異常とは?

脳出血は医学用語で脳梗塞とともに脳卒中と呼ばれる脳出血のことで、比較的重い病気です。皆さんの中にも脳出血にかかったことのある人は多いでしょうし、皆さんの村にも、病気で歩いたり話したりできない人の中には、脳出血にかかったことのある人がいるかもしれません。
脳出血の発症率は特別高いわけではないが、その存在は社会や家族に大きな負担を強いる。発症時の治療費だけでなく、脳出血患者の退院後のケアも非常に心配である。脳出血患者の多くは退院後のケアが自分でできないので、そのケアが必要なのである。秋から冬にかけては脳出血の多い季節ですが,その主な理由は,気候が寒くなり,エアコンを持っている家庭が多く,暑さと寒さの交互作用によって血管拡張や血管収縮の回数が増え,脳血管破裂の危険性が高まるからです。脳出血をよりよく予防・管理するために、関連する医学知識を紹介しよう。
1.脳出血の原因は?
高血圧の最も一般的な原因は、高血圧と脳血管のアテローム性動脈硬化症との合併であり、次いで脳血管の奇形、血液疾患(白血病、血友病、鎌状赤血球症など)、経口抗凝固薬の過剰投与が挙げられる。
2.脳出血が起こったときの症状は?
- 吐き気と嘔吐:脳出血患者のほとんどは吐き気や嘔吐に悩まされるが、これは主に脳の容積が変化しないためで、脳出血が起こると脳から流れ出た血液が、体の司令塔である脳内の周囲の脳組織を圧迫し、脳内の組織は非常に重要で壊れやすくなる。手を怪我すると24時間以内に水腫が起こるのも事実であり、脳出血後はその損傷した組織も水腫化し、頭蓋骨内の圧力が高まり、吐き気や嘔吐を引き起こす。吐き気・嘔吐は胃腸障害で起こる不特定な症状ですが、脳出血による吐き気・嘔吐と胃腸障害による吐き気・嘔吐の違いは、胃腸障害による吐き気・嘔吐は腹痛、腹部膨満感、下痢などのうち1つ以上を伴うことが多いことです。
- 話せない:脳出血患者の多くは、突然言葉が不明瞭になったり、話せなくなったりするが、これは言語中枢が侵され、異常な発語となっている可能性がある。

- 手足の脱力感としびれ:脳は私たちの運動と感覚の中枢であり、病気になると脳組織が損傷し、手足の脱力感やしびれ、あるいは歩けなくなることがある。

- 頭痛がする:実際には、脳組織の水腫によって頭蓋内圧が上昇し、頭痛が起こることもある。しかし、脳内出血の量が比較的少ないためか、頭痛のない患者さんもいます。また、脳出血を起こした高齢者の多くは、ある程度の脳萎縮があるため、明らかな頭痛を感じないことがあります。出血によって脳の容積は大きくなっていますが、脳萎縮によってクッションとなる空間が広くなっているため、頭蓋内圧に明らかな変化はなく、当然明らかな頭痛もありません。
3.脳出血を防ぐには?
脳出血の最も一般的な原因は、高血圧と脳血管の動脈硬化であり、予防対策はこの2点から始めなければならない。
- 血圧のコントロール:脳出血の患者さんの多くは高血圧の既往があるので、血圧をコントロールすることが特に重要です。私たちの血管は風船に似ていて、血圧は風船に吹き込む気体に等しく、気体を吹き込みすぎると風船は破裂しやすくなりますが、脳血管もこれと同じで、血圧を130/80mmHg未満にコントロールするようにします。
- 脳の血管の動脈硬化を防ぐ:通常、低塩、低脂肪、低糖、低エネルギーの食事、毎日食べる塩の量< 6g、揚げ物や動物の内臓や他の脂っこい食べ物を食べないようにしようとすることに注意を払う、お菓子やキャンディーを食べない、8分フル缶を食べる。また、野菜や果物を多く食べると、ビタミンや抗酸化物質が含まれているため、効果的に血管を保護することができます。動脈硬化の危険因子が高い場合は、アスピリンとスタチンを長期間服用する必要があります。
- 暖かくして:冬場は屋外よりも屋内の方が気温が高く、急に外出すると血管が収縮して血圧が上昇し、脳出血を誘発しやすいので、なるべく外出しないようにしましょう。また、血管の収縮と拡張を繰り返すと、脳出血の危険性が高まる。これは、血管の伸縮が鉄線の曲げ伸ばしの繰り返しに似ていて、簡単に切れてしまうからである。
- 良いマインドセットを保つこと:持病があると機嫌が悪くなり、体を動かしていないと怒りっぽくなる人が多いが、これも脳出血のリスクを高めることを知らない。怒ると体内の交感神経が興奮して血圧が上昇し、脳出血のリスクが高まるからだ。
- その他一貫した運動+規則正しい生活+BMI<24を維持、など。
最終まとめ:脳出血が近づいてくると、吐き気や嘔吐、しゃべれない、手足の脱力感、頭痛などが起こることがある。
純粋に手入力で、それは簡単ではありません、あなたは文章が賞賛を報いることができると感じた場合は、懸念を指摘し、ご質問がある場合は、以下のメッセージを残すことができます......
脳出血脳血管障害の一種で、その発症の早さと死亡率の高さから「最速の殺人者」として知られている。
気温が低く寒暖の差が大きい秋から冬にかけては、脳出血の発生率が高い時期である。
脳出血が "最速の殺人者 "であったとしても、発症前に体は何らかの "シグナル "を発している!

秋と冬、体は10の異常なパフォーマンスが現れ、警告脳出血が来ている!
1:突然舌の硬さ舌が腫れて声が出なかったり、ろれつが回らなかったりする場合は、脳出血に注意しなければならない。
2:めまいは明らかだ。突然、空が回転しているのを感じたり、不安定さを感じたり、足を上げるのに苦労したり、あるいは地面に倒れこんだりしたら、厳重な警戒が必要だ。
3:笛を吹かなかったこと。言葉を正しく発音することができず、重症になると、口が曲がったり、顔面が麻痺したりする。

4:激しい頭痛。明らかな誘因のない断続的な頭痛が、後に持続的な頭痛に変わり、吐き気や耳鳴りを伴うこともある。
5:"氷と炎の掌 "の出現右手は平熱だったが、左手は武侠小説に出てくる「氷火掌」のように冷たく、めまいを感じ、疲れると症状が悪化した。

6: 片側のしびれしびれが上肢や下肢の脱力を伴っている場合は、状況はさらに深刻である。
7:目の前が真っ暗になる。突然、目の前が一過性に暗くなったり、片方の目が不鮮明に見えたり、視界がぼやけて見えたり、あるいは二重に見えたりすることがあるが、このときも油断は禁物である。

8: 頻繁な窒息と咳。水を飲んだり、食事をしたり、その最中に不可解に窒息したりした場合も、脳出血に厳重な警戒が必要だ。
9: あくびあくびの症状は、時間や場所に関係なく、通常1週間前から現れるので、特に用心する必要がある。
10: 頻繁な鼻血高血圧で鼻血が頻繁に出る人は、脳出血に注意しなければならない。

突然の脳出血の応急処置は?
そもそも通常、発症から5分以内が最も重要な時期である。
したがって、患者が気を失う前に120番通報して助けを求めることが重要である。
それからだ。患者を比較的平らで安全な姿勢にし、首輪をはずし、横向きに寝かせ、頭を片側に傾けて、気道が開いていることを確認する。
暑い日であれば、冷たいタオルか氷のようなものを探してしばらく頭に当てると、患者の血管が収縮して出血が抑えられる。
究極もう一つの重要な点は、高血圧の場合、降圧剤を投与することである。

脳出血の発生には、3つの "悪魔の時間 "があり、特に警戒する必要がある。
時間1:午前
目を覚ますと、人はまだ半休眠状態にあり、もし起き上がると、血圧、心拍数などが瞬間的に変換され、脳への血液供給が不足し、めまい、吐き気などの症状を引き起こしやすく、脳出血を誘発しやすい。立ち上がるのは「むしろゆっくり3分、1秒を争わない」という原則に従うのがベストだ。

時間 2:ベンド
屈むスピードが速すぎたり、激しく屈んだりすると、脳の血圧が激しく変化し、脳出血を誘発する。屈んだり起き上がったりするとき、急ぎすぎてはいけない。なぜなら、急ぎすぎるとめまいを起こし、血液が十分に供給されない状況になるからである。

時間 3:攪拌
しかし、感情の起伏が激しいと、血管が突然激しく収縮し、脳出血を引き起こしやすくなる。

人生において、脳出血を予防するためには、「4つのポイント」を忘れてはならない!
一、お茶を少し飲む
高血圧の人は、よくお茶の代わりに飲むが、脂肪と血圧を減らし、血管の健康を維持するのに役立つ。
白いシリアル 蓮の葉茶脂肪と血圧を下げ、血栓を防ぎ、血管の健康を守る。
白グルテン、蓮の葉、小葉のビターズを一緒に使い、茶飲料の代わりに水を淹れることもできる。
ホワイトシリアルには、トリグリセリドを低下させ、HDLを上昇させる効果があります。つまり、血液中の「善玉」コレステロールのレベルを上げることができるため、血液中の脂肪酸のバランスが整い、高脂血症などの病気を予防することができます。

蓮の葉はフラボノイドとアルカロイドと他の成分を含み、総コレステロールと生トリグリセリドを減らすことができ、全血の比粘度、赤血球圧の蓄積を減らし、このように血液粘度を改善し、脂質と血圧を下げる。
小葉のビターは、心筋への血液供給を増やし、動脈硬化を予防し、熱や風を取り除き、血圧を下げるので、高血圧の人に非常に有益である。
茶を飲むために水を淹れること、脂質を下げること、血圧を下げること、血液の粘度を改善すること、血圧を安定させること、血管の健康を守ること、の3つは非常に有益である。
第二に、不機嫌にならないこと。

人生において、多くの人は気性が荒く、特に怒るのが好きだが、高血圧の人にとって、短気であることは深刻な結果をもたらす可能性がある。
人は怒るとアドレナリンの分泌が増加し、血圧が急激に上昇するため、脳出血のリスクが高まる。
悲しみ、怒り、苛立ちといった感情はもっと避けるべきだ。
第三に、もっと眠る

長時間の夜更かしや睡眠不足は、脳出血を加速させる危険因子である。
夜更かしをすると人体がストレス状態になり、アドレナリンなどのホルモンが大量に分泌され、血管が異常に収縮して血流が悪くなり、脳血管障害のリスクが高まるからだ。
また、長期の夜更かしは脳卒中を直接誘発する可能性があるため、脳出血の予防には夜更かしを避け、毎日7時間以上の睡眠を確保することが適切である。
第四に、もっと熱心に運動する

生活の中での有酸素運動に加えて、指をもっと動かしてもいい。
手指は大脳皮質と密接に結びついているため、より多くの手指が大脳皮質を刺激し、脳の感受性を高め、脳血管障害の予防や患者の修復を助ける効果がある。
朝、昼、晩の1日3回、右手と左手でそれぞれ50回ずつ、手ぶらで握る動作をするように心がける。
これは脳の血管壁を鍛え、血管がもろくなって破裂するのを防ぐ。
脳出血の予防だけでなく、この2つのコントロールをしっかり行うこと。
1.感情のコントロール
突然の脳出血は、感情の起伏が激しいときに起こりやすい。
興奮すると体内のアドレナリンが増えるため、心拍が速くなり、血管が破裂しやすくなる。

2.血圧コントロール
脳出血の主な原因は高血圧である。
高血圧や脳動脈硬化の上に発生し、血圧が急に上昇すると微小動脈瘤が破裂して出血することがある。
高血圧の患者さんでは、毎日の血圧測定に力を入れることが重要で、140/80mmHgが脳血管障害の予防に理想的な血圧値かもしれません。
記事中の画像はすべてインターネット上のものです!
脳出血脳出血とも呼ばれる。
急速に発症し、非常に攻撃的な病態で、死亡率も非常に高い。
の急性脳血管障害である。最も重い一種の。
現在の中高年向け死に至る病

秋と冬、脳出血の予防は、体が4つの異常が現れ、タイムリーな検査は、無視しないでください。
1.突然の激しい頭痛
頭痛の症状は、通常、発症して数分しか続かず、やがて消失するため、脳出血が起こればいつでも注意を喚起することができる。
一般に、前兆症状が現れてから2ヵ月以内のリスクは特に高い。

2.体の片側のしびれ
脳出血の多くは、発症前に顔、腕、指、特に薬指のしびれを伴う!
右半身と左半身にしびれを感じることが多い場合は、脳の細い血管に問題がないかを考える必要がある。
しびれだけでなく、上肢や下肢に脱力感があれば、状況はさらに深刻になる。
3.口の中の異常
臨床的証拠によれば、脳出血患者の80%以上が嘔吐に苦しんでおり、そのほとんどが投射性嘔吐である。中には、正体不明の嘔吐物を伴う消化管出血を伴うことさえある。
脳内の出血は神経を圧迫し、正常な言語中枢に影響を与えるため、不明瞭な話し方や硬くなった舌につながります。

4.頻繁なあくび
脳出血発症の5〜10日前に、患者は頻繁にあくびをする傾向があり、その値は80%にも達することがわかった!
これは、脳動脈硬化、脳内腔の狭窄、脳虚血と低酸素症の漸増によるものである。
5、流鼻血
通常の鼻血であれば怖くはないが、高血圧を伴い、頻繁に鼻血が出るようであれば注意が必要である。
鼻血が頻繁に出る高血圧患者は、6ヵ月以内に脳出血を起こす危険性が高い。
しかし、もしあなたの家族が上記のような状態であれば、できるだけ早く病院で検査と治療を受けるべきです。

有名な心血管疾患の専門家である李偉偉は、「脳出血を予防するためには、『3は食後にしてはいけない、2は寝る前にしてはいけない』ということを肝に銘じてください」と強調した。
食後にやってはいけない3つのこと
1、食後は風呂に入らない
食後は風呂に入らず、酒を飲んだ後は脳を洗わず」という民間諺があるが、これはおそらく、食べても飲んでもすぐに風呂に入らず、特に熱い風呂に入ることで、体が刺激されやすくなり、その結果病気になりやすいという意味だろう。
食後すぐは消化器系の働きがピークを迎える時期で、大量の血液が胃に集まり、この時に風呂やサウナに入ると体が高温になり、血圧の急上昇につながりやすい。
特に高齢者にとっては、高血圧や低血圧は心臓発作や脳出血を引き起こしやすい。

2、食後は禁煙
昔の愛煙家の口癖は「食後の一服、不死身のように颯爽と」。
食後の喫煙は体にとって二重の害となる。胃腸が活発な状態にあり、消化吸収能力が強くなっているからだ。
この時喫煙して、タバコの有害物質が早く吸収されて、血管壁がタバコの有害物質ニコチンの損害を受けて、血管壁の異常収縮、冠状動脈性心臓病、脳出血などの心臓脳血管の病気になる。

3、食後に怒らない
臨床データは、気分の変化が脳血管の健康に大きく影響することを示している。
人が怒るとアドレナリンが大量に分泌され、血圧が急激に上昇するため、血管の圧力が高まり、特に高血圧や心臓病を長く患っている人は、脳出血や脳梗塞などの病気を誘発しやすくなる。
脳出血を防ぐには、「4つのポイント」を覚えておくこと!
1、喫煙と飲酒を控える
アルコールとタバコは、血管の健康にとって最大の敵であることは間違いない。
高血圧患者が薬を服用しながら白ワインを大量に飲むと、アルコールが体内に入り込んで血圧が上昇し、降圧剤の効き目が弱まって病状が悪化するからだ。また、長期間の飲酒は血管の損傷を招き、脳出血の発症率を高める。
一方、タバコには3,000種類以上の有害な化学物質が含まれており、血管収縮を悪化させ、血圧が上昇し始める。タバコを長期間大量に吸い続けると、血管疾患の発生を増加させる。
したがって、タバコとアルコールが血管の健康に及ぼす影響は非常に大きく、できるだけ早くやめるのがベストである。

2.セレンをもう少し補う
セレンは脳血管疾患に大きな影響を及ぼし、脳血管疾患患者にセレンを補給することで、体の免疫機能を効果的に調整し、患者の脳血管疾患に対する抵抗力を向上させ、合併症を予防することができる。セレンは過酸化脂質を除去し、動脈血管壁の細胞膜の完全性を保護し、動脈硬化を予防し、血栓症を減少させ、脳梗塞を予防する役割を果たすことができます。セレンが豊富な紫陽の土地で育つため、セレン含有量も比較的豊富である。

3.もっと寝る
長引く夜更かしは、翌日も早起きして仕事に行かなければならないことと相まって、深刻な睡眠不足と精神的な落ち込みを招き、脳内出血の原因のひとつとなる。
生活の中で、泊まり込みで働いた翌朝早くに急死したというニュースを目にすることは少なくないので、早寝早起きをして十分な睡眠をとることは、循環器の健康を維持するために必要なことです。したがって、脳出血を予防するためには、夜更かしを避け、一晩7時間以上の睡眠を確保することが適切である。

4.もっと運動する
(1) 手を動かす
指と大脳皮質は密接な関係にあり、両手の指を定期的に動かすことで大脳皮質を刺激し、脳の感受性を高めることができる。
1日3回、1回50セットずつ、右手と左手を回転させる空手把持運動を守る。この動作を定期的に行うことで、脳の血管の弾力性を鍛えることができ、血管壁が「もろい」ために破裂するのを防ぐことができる。

(2) 頭を振る運動
毎日、頭を前後にゆっくり回転させることで、圧力に対する血管の抵抗力が増し、脳梗塞の予防につながる。頭を振る前に首の筋肉をほぐすことに注意し、1回につき10周の運動を行う。
頭を振るときは、めまいを避けるため、頭を回転させるスピードを控えめにすることを忘れずに。
脳出血は通常、脳実質の自然出血であり、外傷が原因ではない。
脳出血は通常、活動の最中、感情の高ぶり、天候の急変の最中、そして少数の症例では静かな状態で起こる。

脳出血の最も多い原因は高血圧で、高血圧が長く続くと小動脈が硬化し、血管壁の弾力性が著しく低下するため、血圧が急に上がったりジェットコースターのように大きく変動したりすると、硬化した小動脈が破裂して出血する。
したがって、脳出血は通常40歳以上で発症し、特に50歳以降に多く、脳出血患者の多くは高血圧の既往がある。
脳出血の前兆はあるのか?
通常、脳出血の患者には前兆は見られない。
しかし、脳出血が起こる前に、めまい、ふらつき、頭痛、手足の脱力などを経験する患者は少数であり、これらの症状は見過ごされやすい。

脳出血が起こると、どのような身体的異常が起こるのですか?
(1)血圧が正常値よりも著しく上昇し、収縮期血圧が200mmHgを超え、拡張期血圧が120mmHgを超えることが多い。
(ii) めまい、目のかすみ、頭痛、視界の回転、吐き気と嘔吐があり、これは食べたものの場合もあれば、褐色でコーヒーのようなものの場合もあり、急性胃腸出血を示す。
(iii) 片麻痺:手足の片側が動かない、または動かすことができない。
痛覚過敏、疼痛過敏、あるいは感覚喪失によって示される、片方の手足の感覚の異常。
口や舌が曲がる、言葉が不明瞭になる、発音が難しくなる、さらには失語症になるなどの顔面神経麻痺が現れる。
(vi)精神的な性格の変化、無関心、反応の鈍さ、記憶力、計算能力、重度の患者は昏睡状態に陥り失禁する、中枢性高熱、血圧低下、呼吸困難、不整脈や無秩序な心拍を示す者もいる。
(vii) 痙攣を起こす患者もおり、痙攣は発作、口から泡を吹く、手足や全身の痙攣によって現れる。

(これは情報提供のみを目的としています)。
「脳出血が多発した場合の体内の異常とは?
1.手足の硬化

初期には手足のしびれ、かゆみなどの症状が現れ、片側がより重篤になる。
そして病気が進行すると、痛みやこわばりが生じ、足を引きずって歩くようになる。
あるいは、手に持っていた箸やカミソリなどを突然落としてしまうこともある。
2.異常な発話

脳出血が発症する前は、舌が硬く、飲み込めなかったり、しゃべれなかったりすることがある。
この症状は通常、数分から10分程度続き、その後短時間で消えるが、その後に脳出血に直結する可能性があるため、特に注意が必要である。
口笛を吹いてみて、きちんと発音でき、口が曲がっていなければ大丈夫です。
3.めまいと頭痛

脳出血が起こると、患者は著しいめまい、周囲の景色の回転、ふらつき、あるいは失神を経験する。
これらの症状は一度だけ起こることもあれば、再発したり、徐々に悪化したりすることもあり、これらはすべて脳の血管に問題があることを示している。
特に高血圧の人は、頻繁なめまいや頭痛に注意が必要だ。
4.目のかすみ

視力低下は非常に一般的なことなので、多くの人は深刻に考えていません。
しかし、頻繁に目の前が真っ暗になったり、片目がかすんだり、二重に見えたりする。
この時点で、自分の視力の問題を除外した上で、脳出血が原因かどうかを意識することが重要である。
5.眠気

脳血管の異常、血流の低下、脳が虚血状態、酸素不足など。
その後、あくびが頻繁に出たり、眠気の兆候が見られたりする。
臨床的には、多くの人が脳出血が起こる前の5日間に眠気や睡魔を経験する。
秋から冬にかけて、脳血管を傷つけたくないなら、3つのことをコントロールしよう!
1.血圧コントロール

脳出血の主な原因は高血圧ですから、脳出血を予防するためには血圧をコントロールすることが第一です。
特に冬は、高血圧やその他の心血管疾患のピークシーズンでもある。
血圧をコントロールする主なポイントは、24時間以内の血圧の「山」と「谷」が互いに近くなるように滑らかにすることで、血圧の変動が血管壁に与えるダメージを避けることができる。
2.体重コントロール

寒くなるにつれ、サプリメントを摂り始める人が増えているが、賢明な体重コントロールで健康管理をすることが大切だ。
過度の肥満は血液の粘度を高め、血圧や心臓に大きな負担をかける。
研究によると、太り過ぎの人が脳出血を発症する確率は、標準体重の人の3倍から5倍である。
そのため、私たちは通常、体重を無理のない範囲でコントロールしなければならない。
3.タバコとアルコールの管理

アルコールは血圧を上昇させ、降圧剤の効果を引き起こすことによって、この症状を悪化させる可能性がある。
また、長期間の飲酒は血管を肥厚させる傾向があり、血管の弱い部分で急に血圧が上がると脳出血を起こしやすい。
煙には3,000種類以上の有害な化学物質が含まれており、血管収縮を悪化させ、血圧を上昇させ、脳出血を引き起こす可能性がある。
脳出血を予防するには、必ず4つのものを補うこと!
1.水分補給

秋と冬は気候が乾燥するため、適切な水分補給がより重要になる。
体内の脱水は体内の血液の粘度を高め、血管の老化を早める。
したがって、水分補給全般に気を配ることは、血管のケアや心血管疾患の予防にも非常に役立つ。
朝起きたときか、夜寝る30分前に水分補給をする。

α-リノレン酸は血液をきれいにし、α-リノレン酸は人々が深刻に不足している栄養素の一つであり、食品から摂取しなければならない。
α-リノレン酸がエンドセリンを減少させ、高血圧患者の血管内皮拡張機能にさらに影響を与えることが研究で示されている。
さらに、ヒト脂肪組織中のα-リノレン酸レベルの絶対値が1%増加すると、収縮期血圧、拡張期血圧、平均動脈圧が約666.10Pa低下することが示された。

α-リノレン酸は、軽度および中等度の高血圧患者の血糖値と血中脂質を低下させ、動脈硬化性疾患の予防に明らかな効果がある。
しかし、α-リノレン酸を豊富に含む食品はそれほど多くなく、しそ核油やオリーブ油などの植物油が中心で、中でもしそ核油はα-リノレン酸が66.7%以上と豊富である。
3.補完医療

高血圧などの心血管疾患と診断されたら、医師のアドバイスに従い、薬を正しく使用することが大切です。
いったん血圧のコントロールが難しくなり、急に血圧が上がると、脳の血管が浮き出て脳梗塞を引き起こし、間にあわなければ突然死に至る可能性が高くなります。
だから、病気を先延ばしにしたり、抱え込んだりすることはできず、積極的に医師の診察を受けるのが正しい方法なのだ。
4.補助スポーツ

自分に合った運動を選び、継続すること。
もちろん、運動中は激しい運動や過度の疲労は避けるべきだ。そうでなければ、損失は利益に見合わない!
注意すべきは「3、5、7」の原則である:
"3 "とは、毎日3000メートル以上歩くこと、30分を確保することを意味し、一定、程度、激しすぎる運動をすることを守る。
「5回」とは、週に5回以上運動すること。
「7」は運動後の心拍数+年齢=170。
脳出血は脳溢血とも呼ばれ、喫煙、飲酒、高血圧など様々な原因で脳血管が破裂して起こる脳出血である。脳出血は火山のようなもので、発作が起こる前は穏やかで静かですが、いったん発作が起こると死亡率は極めて高く、生存者の多くはさまざまな程度の運動障害、認知障害、言語障害、嚥下障害などの後遺症を残します。脳出血は非常に怖いので、どのような異常な身体症状で脳出血が迫っているか判断できるのでしょうか?
1.鼻血前述のように脳出血は血管の破裂によって起こるが、脳出血で最初に破裂するのは細い血管のはずである。この破裂した血管の血液が鼻から流れ出るので、鼻をほじったり、火事などで鼻血が出たと勘違いする人が多いのです。したがって、鼻血が長引くときは、脳出血の可能性を警戒する必要がある。
2.頭痛とめまい脳出血に伴う症状には、めまい、頭痛、目のかすみ、耳鳴り、吐き気、嘔吐などがあります。これは、脳血管の破裂によって脳への血液と酸素の供給が不足し、他の組織や臓器が正常に機能しなくなるためです。
3.手足のしびれ脳出血発症前の最も典型的な症状で、手足のしびれがあり、左右半身がしびれる人もいれば、手足が弱く、立ち上がるのもつらい、物を持つのもつらいという人もいます。
脳出血も例外ではなく、どのような病気が現れても、体に関連する症状が現れます。上記の3つの症状が脳出血の発生を警戒する必要があるとき、私たちの注意を引き付けるために、さらに脳出血の存在を除外するために関連する検査を改善するために病院に行くのが最善です。
Dr.ヤオをフォロー&「いいね!」して、科学の知識を届け、あなたの健康を守りましょう!
回答への招待にまず感謝する!
秋から冬にかけては、心血管疾患や脳血管疾患の最も多い季節である。冬の急激な気温の低下と寒さが血管の収縮を悪化させ、「脳出血」の発症率を高める。そのため、誰もが冬を過ごすために両親を暖かい場所に連れて行くのである。
脳出血は、実際には脳内出血であり、血管の硬化や閉塞により脳内の血管が破裂して起こる病気で、その死亡率は極めて高い。ひとたび脳出血を起こすと、半身不随など身体に大きなダメージを与え、昏睡状態に陥り死に至ることもある。
どんな病気でも、発症する前には初期症状があり、その初期症状の中には非常に秘密めいたものもあり、人が気づくのは容易ではない。死亡率が非常に高い脳出血の初期症状でさえ、人々は無視しやすい!
脳出血の初期症状とは?
脳出血の発症前に眠気を経験する人もおり、日中元気なときでも眠気が顕著で、とても疲れているのに十分な睡眠がとれていないように感じる。
これらの頭痛には明らかな誘因はなく、最初は短時間の頭痛で、時間の経過とともに持続的な頭痛に変化します。また、人それぞれ状態が異なるため、症状の持続期間も異なる。高血圧の人が突然、嘔吐を伴う激しい頭痛とめまいを発症した場合、脳血管障害を強く疑う必要がある。この時はすぐに血圧を測定する必要があります。
脳出血の多くは、顔、腕、指、特に薬指のしびれが先行します!左右どちらかの半身にしびれを感じることが多い場合は、脳の細い血管に問題があるかどうかを考える必要があります。しびれに上肢や下肢の脱力が伴う場合は、医師の診察を受けることが大切です。
脳出血が起こると、中枢神経系に病変が生じ、全身の筋肉の働きに影響を及ぼします。脳出血後、顔の筋肉のコントロールが変化し、しわが急に薄くなることがありますので、顔のしわが薄くなることは必ずしも良いこととは限りません!
舌のこわばり、口角のよだれ。
突然、舌の根元にこわばりを感じ、舌がふくらみ、言葉が不明瞭になる。舌まで痛くなり、飲み込みにくくなる。口の片隅から突然よだれが出る、言葉が出ない、不明瞭になる。
そのとき以上の5つの症状が出たら、用心してすぐに病院に行くことです。心血管疾患や脳血管疾患は低年齢化が進んでおり、若いうちから予防が必要です。
日常的に、循環器疾患を予防するために何をすべきでしょうか?
今の社会は、"夜更かし "は別の美しい風景になっている。生活の圧力、仕事の圧力は、多くの人々が遅くまで実行するように促したが、圧力が大きいですが、十分な睡眠を確保するために覚えておく必要があり、大脳皮質の過度の興奮を防ぐために、睡眠に影響を与える。
血圧を日頃の生活に合わせて調整することで、脳出血のリスクを約30%減らすことができる。人体の血圧には2つのピークがある。最初の血圧のピークは午前10時頃、もう一つのピークは午後4時頃です。脳出血を起こしやすいのは午後の高血圧のピークです。そのため、昼食後に15~30分の仮眠をとることで、脳出血のリスクを減らすことができる。
3.保温に気を配る。
寒い冬は脳卒中になりやすい季節で、血管が収縮し血圧が上昇しやすいので、暖かくして気候の変化に体を適応させることが大切です。
"脳出血 "は人の命を脅かす病気です。 若い人であれば、「自分はまだ若いから大丈夫」と思ってはいけません。現在、心血管疾患や脳血管疾患の低年齢化が進んでおり、脳出血の予防は若いうちから始めるべきです!
"脳出血 "は "脳溢血 "とも呼ばれ、季節的な刺激によって引き起こされ、特に秋から冬にかけて多い。
脳出血はなぜ秋と冬に多く起こるのか?
秋冬の寒冷な気候と昼夜の寒暖差の大きさは、血圧の変動を大きくし、血管の拡張収縮の振幅を大きくする。
脳出血が起こると、身体はどうなるのか?
1.頭痛:頭痛は脳出血の一般的な症状であり、多くの場合、出血している側の頭部に起こる。頭蓋内圧が上昇すると、痛みは頭部全体に及ぶことがあり、くも膜下出血の場合は、頭が破裂するかのような激痛が走る。
2.めまい:めまいの症状も一般的で、特に小脳領域での出血では、歩くと綿を踏んでいるような感覚になる。
3.嘔吐:脳出血は頭蓋内圧の上昇を引き起こし、その結果、投射性嘔吐を引き起こす。また、嘔吐はめまいや髄膜の炎症を伴う。
4.精神状態の変化。出血の部位や量に関係し、軽症の場合は無反応や眠気、重症の場合は意識障害まで現れる。
5.片麻痺:大脳基底核付近の出血は、対側四肢の片麻痺を引き起こすことがある。
6.不明瞭な発話:脳出血は脳の言語中枢に影響を及ぼし、言語機能に影響を及ぼし、不明瞭な発話の原因となります。
7.発作:てんかん」とも呼ばれ、脳出血の刺激による脳の異常放電が主な原因である。
秋冬の脳出血を防ぐには?
1.血圧をスムーズにコントロールする:血圧の変動は脳出血の重要な誘因です。 普段から血圧が高い方は、降圧剤を定期的に服用し、定期的に血圧を測定して、それに応じて治療計画を調整し、長期的に血圧を安定させる必要があります。
2.寒さに注意し、暖かくする:気温の変化は血圧の変動や血管の痙攣につながるので、寒さから身を守り、気候の変化には暖かくすることが大切だ。
3.血糖値と血中脂質のコントロール:高血糖や血中脂質は脳血管を傷つけ、脳血管の硬化を招き、硬化した脳血管は破裂や出血を起こしやすい。
4.喫煙を避ける:喫煙は一方では脳血管攣縮を引き起こし、他方では長期間の喫煙は血管の硬化を招き、脳出血のリスクを高める。
5.定期的な運動:一方では、血圧、血糖値、脂質レベルのコントロールに役立ち、他方では、運動は血管の弾力性を回復させるが、自分の能力の範囲内にとどめ、過度の疲労を避けるように注意する。
6.規則正しく仕事と休息をし、夜更かしは避ける:夜更かしは血圧を変動させ、脳出血発作を引き起こす可能性がある。
私は総合診療医として、わかりやすい言葉で健康知識をみんなに広めています。もし役に立つと思ったら、必要としている友人に転送してください!
この質問と回答はサイト利用者のものであり、サイトの立場を代表するものではありません、侵害など、削除するには管理者に連絡してください。