甲状腺がんで本当に何年生きられるのか?
甲状腺がんで本当に何年生きられるのか?
甲状腺がん
甲状腺は、「甲状軟骨」と呼ばれる部分の下、気管の前方および周囲に位置している。甲状腺は左葉、右葉、中央の峡部からなり、蝶が羽を広げたような形をしている。甲状腺の背後には「反回喉頭神経」があり、声を出すのに非常に重要である。
甲状腺はヨウ素を吸収すると同時に、甲状腺ホルモンを産生、貯蔵、分泌する。甲状腺ホルモンは、基礎代謝亢進、脳と骨の成長、脂質と糖の代謝を促進する。これに加えて、カルシトニンというホルモンが分泌され、血液中のカルシウム濃度の調節に関係している。
通常、甲状腺癌の人はしこり(結節)以外の症状はほとんどありません。
若い女性に比較的多く、20代から30代の女性の主ながんのひとつである。
甲状腺がんは、がんの種類や進行度(病期)、患者の身体状態に応じて治療が行われる。
全国がん(成人病)センター協議会の共通生存率調査による5年生存率は以下の通り。
第1段階:100.0
フェーズII:99.0パーセント
フェーズIII:98.6
フェーズIV:73.2パーセント
以前、当院の人間ドックで甲状腺結節が見つかった患者さんがいたのですが、その時は結節が大きくなかったので、主治医から半年後の受診を勧められたのですが、仕事の関係でなかなか時間が取れず、結果的に3年後の受診となりました。
しかし、すでに甲状腺癌の中でも悪性度の高い甲状腺髄様癌の可能性があり、転移も起こっていた。
どうしてですか?
私はその時、患者自身の仕事の忙しさや時間のなさとは別に、甲状腺がんと真剣に向き合わないもう一つの非常に重要な理由があることを理解した。甲状腺がんは "なまけものがん "といわれ、経過が長く、発育が遅く、症状も軽いので怖くありません。実際、甲状腺がんが「なまけもの」かどうか、かかってからどれくらい生きられるかは、甲状腺そのものの病型と密接な関係があり、同じ種類の甲状腺がんであっても、発見が早いか遅いか、患者さん自身の経済状態や治療計画を立てるか立てないかなども生存率に関係してきます。では、甲状腺と本当に付き合っていけるのはいつまでなのか?私たちはそれをどのように正しく見るべきなのでしょうか、今日はそれについて皆さんと楽しくお話ししましょう。

甲状腺がん、甲状腺悪性腫瘍、甲状腺結節を区別することが重要です!
まず第一に、甲状腺がんであれ、甲状腺悪性腫瘍であれ、甲状腺結節であれ、切り離すことができないのは、これらはすべて私たちの体の甲状腺、つまり、甲状腺に発生するということです。これは、一般的に腫瘍に由来する組織によって名前をつけるからである。従って、この3つのすべてが存在するのが甲状腺なのである。
第二に、甲状腺はいわば私たちの体の非常に重要な内分泌器官である。甲状腺は「エンジン」のようなもので、私たちの体の全身の代謝は基本的に甲状腺に関係している。
気管の両側についている "蝶 "のようなもので、2つの葉に分かれており、右側を右葉、左側を左葉と呼ぶ。でも、左葉か右葉かは関係ない。顕微鏡で見ると、ほとんどすべてが甲状腺濾胞である。また、神経内分泌細胞だけでなく、リンパ管、血管、神経、その他の間葉系成分の一部からも構成されている。

そして我々は甲状腺がんは、一般的に甲状腺から発生する濾胞上皮と内分泌細胞を指し、甲状腺の悪性腫瘍には、がん以外に甲状腺肉腫、リンパ腫、甲状腺に転移する悪性腫瘍もある。ですから、甲状腺癌は甲状腺の悪性腫瘍とは違います。
そして最後に私たちは言う。甲状腺結節とは何ですか?これは私たちの臨床診断のひとつで、簡単に言うと、甲状腺に不可解な増殖があり、それが丸かったり不規則だったりすることを意味します。主なものは、炎症性症状であったり、小さな嚢胞であったり、もちろん腫瘍であったり、悪性腫瘍であったりすることで、幅広い疾患が含まれる特にここ数年は、頸部超音波検査を受けた人の約7割に甲状腺結節が見つかる可能性があることが分かっており、皆さんの健康生活に密接に関わっていると言えますので、注意が必要です。
でも、あなたを怖がらせるためにここにいるわけでもないし、一般的には心配しすぎない方がいい。実際、甲状腺結節のうち甲状腺がんになるのは5〜15%で、甲状腺結節と甲状腺がんには直接的な相関関係はありません。,なぜなら、甲状腺癌である可能性はまだ残っており、最も重要な点は、すべてのタイプの甲状腺癌が不活性で発育が遅いわけではないということです!

甲状腺がんが "悪 "であるかどうかは別として、これらを信頼できるものとして見なければならない!
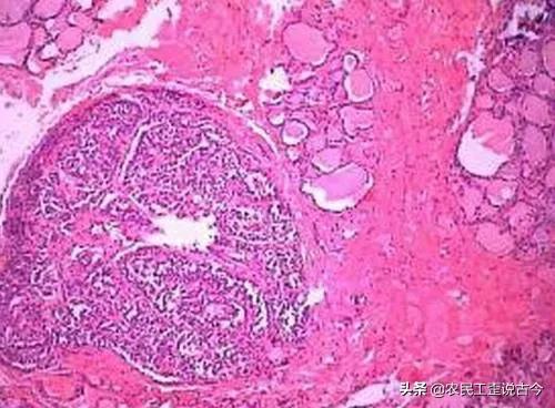
まず、甲状腺がんは1つのがん種を指すのではなく、当院では全部で4つのがん種に分類しています。乳頭がん、濾胞がん、髄様がん和未分化がん。
例えば甲状腺の濾胞細胞に発生するものは、通常、甲状腺乳頭がんと甲状腺濾胞がんである;しかし、これが副甲状腺細胞で起こっている場合は、甲状腺髄様癌と呼ぶ;また、甲状腺のリンパ組織に発生した場合は、甲状腺リンパ腫と呼ばれます!

つまり、甲状腺がんはみんなが思っているほど単純なものではないのです。私たちが通常知っているのは、甲状腺に発生するがんを甲状腺がんと呼ぶということだけで、この甲状腺がんは通常、甲状腺乳頭がんと呼ばれる。その特徴はリンパ節転移を起こしやすいが、全体的に悪性度は低い甲状腺がんは、そのほとんどが存在することから「怠け者のがん」とも呼ばれている。

次に、濾胞性甲状腺がんです。このタイプの濾胞癌は、私たちの乳頭癌とは異なり、血液転移を起こしやすく、全体的に乳頭癌よりも悪性度が高いが、それほど悪性度は高くない!
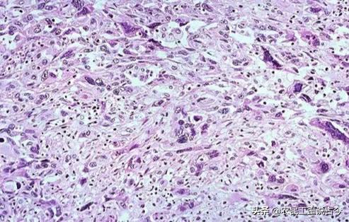
しかし、甲状腺髄様癌の3番目のタイプであれば、もっと悪性度が高い。ただ、発症率は非常に低い。。
そして甲状腺がんの中でも。最も悪性度が高いのは甲状腺未分化癌である多くの患者は1年半も生きられない。患者の余命は基本的に「月」で測られる。

では、甲状腺癌でどのくらい生きられるかについてお話ししましょうか。
どうしても切り離せないものが2つある:
1つ目は、甲状腺がんの病理学的タイプである;
もうひとつは、患者の年齢である。
例えば、ある人が甲状腺乳頭癌で、別の人が甲状腺髄様癌だとしたら、それは確かに同じではありません。甲状腺髄様癌は乳頭癌よりも明らかに悪性度が高い。。

そして、仮にあなたが同じような甲状腺乳頭がんは、私たちの年齢とも関係している。。
仮にこの患者が55歳になる前に手に入れたんだ。これは基本的に早期で、最終的に肺転移が見つかっても、せいぜいステージ2です。一方、55歳までに甲状腺乳頭がんにかかる患者のほとんどは、ほとんどステージ1であり、その多くは治すことができます。
しかし、もしあなたが55歳以降の甲状腺乳頭癌肺転移があればステージ4で、予後が比較的悪いのは確かですが、だからといって長生きできないわけではなく、余命が確実に影響されるだけです。
しかし、ステージ4の未分化がんなら話は別だ。ほとんどの人は時間を数えることしかできないし、多くの人は2年も生きられない。そして、発見されるとすぐにステージ4だ。つまり、甲状腺がんがすべてであり、どのくらい長生きできるかは、甲状腺がんの病歴の種類に大きく関係しているのです!
甲状腺とヨウ素の関係である。
ヨウ素が高くても低くても、甲状腺にとって安全ではないことに注意してください!
甲状腺がんは「ヨウ素が多い」地域に多いという話をよく聞きますが、実はそうではありません。甲状腺は甲状腺ホルモンを合成するためにヨウ素の摂取を必要とするので、甲状腺がんはヨウ素と関係がある。.その中で高ヨウ素は主に甲状腺乳頭癌の発生に関連し、低ヨウ素は主に濾胞癌と未分化癌に関連する。.だから、ヨウ素が多すぎても少なすぎても、甲状腺にとって絶対に安全というわけではない。

だから、私たち医師が提唱するのは、ヨウ素を多く含む食事ではないし、ヨウ素をあまり摂らないということでもない。その代わり、バランスの取れた食事だ。ヨウ素補給やヨウ素低減は地域によって行われる。例えば、広東省や福建省のような沿岸部では、ヨウ素補給が行われている。本土と同じ量のヨウ素を摂取すればいいというわけではなく、その土地の状況に合わせなければならない。!

同時に、私たちは甲状腺がん検診を強化する必要がある。甲状腺がんは、ほとんどのがんと同様、病気の初期には明らかな徴候がないのが普通である。しかし、甲状腺がん患者の一部に嗄声などの徴候が見られるのは、通常、進行の中期から後期である。特に甲状腺癌の家族歴がある人は、1~2年に一度は甲状腺検査を受けることをお勧めします。
に対して甲状腺がんもしまだ質問があれば、下にメッセージを残すことができます。私は、あなたに最高で、最も包括的で、最も実用的な健康科学と技術をもたらすために、コーディングの最も原始的な方法で、私たちが理解できる言葉を使用することにこだわります。もし気分がよければ、"医療探偵"と言って、あなたの周りのより多くの人に転送してください!
医師から甲状腺がんと診断されたら、きっと全身が逃げ出すのではないでしょうか?でも心配しないでください、甲状腺がんはとても軽いがんで、一般的には治るものです。

近年、中国における甲状腺癌の有病率は著しく上昇しており、2012年の全人口罹患率2.8/100,000から100/100,000以上となり、増加率は男性よりも女子の方が大きく、甲状腺癌は一般的な癌となっている(全身の腫瘍の約1%を占める)。
不幸にして甲状腺がんにかかったとしても、心配する必要はありません。甲状腺がんは一種の「良い」がんで、予後が最も良いがんの一つであり、甲状腺がんの5年生存率は90%以上に達します(肺がんは20%)。多くの患者は10年、20年と生き延びることができ、この病気にかかっていない人の平均余命にも匹敵する。
現在、甲状腺がんは発見後、外科的切除が基本で、放射線治療を必要とせず、甲状腺ホルモンを補充し、後期補充療法を行うだけでよいのが、甲状腺がん治療の良いところです。
しかし、上記は最も理想的な状況に過ぎず、甲状腺がんの種類によって生存期間は異なる。
甲状腺がんには、乳頭がん、濾胞細胞がん、髄様がん、未分化がんの4種類がある。乳頭がんは甲状腺がん全体の90%以上を占め、乳頭がんの治癒率は95%以上です。最も悪性度が高いのは未分化がんで、甲状腺がん全体の約5%を占めますが、未分化がんは高齢者に多く、進行が速く、通常は6カ月以内に死亡します。
したがって、ボボ医師は、腫瘍治療の予後と発見時期には大きな関係があるため、早期発見、早期診断、早期治療のために、年に一度は甲状腺超音波検査を行う検診に力を入れるべきだと提案している。
要約すると、甲状腺がんは比較的軽いがんであり、基本的に発見後に治すことができる。
(注目、いいね、リツイートを歓迎します。)
甲状腺がんは、病理組織型によって5年生存率に大きな差がある。最も一般的な甲状腺乳頭癌の5年生存率は90%以上です!最も一般的な甲状腺乳頭がんでは、5年生存率は90パーセント以上に達することもあり、微小乳頭がんはほぼ100パーセントに近く、「人を殺さないがん」とさえ呼ばれています。しかし、甲状腺未分化がんの5年生存率は非常に低く、生存期間の中央値はわずか7~10カ月です。髄様がんは頸部のリンパ系に浸潤して血行転移を起こすことがあり、その予後は乳頭がんほど良好ではなく、5年生存率は乳頭がんと未分化がんの中間である。つまり、甲状腺がんの5年生存率は、病理組織学的分類と密接な関係があるのです。甲状腺がんで何年生きられるか、と聞いただけでは誰もわかりません!世界をリードする一般外科医や病理医も、それに答えることはできません。

しかし、いずれにしても甲状腺癌は比較的軽症の悪性腫瘍である。病理組織学的分類では乳頭癌が甲状腺癌患者の大部分を占め、甲状腺癌の中では最も軽症で予後も良好です。通常、適切な関連治療を行えば、死亡率は非常に低くなります。私の師匠が、"私は何十年も病理をやっているが、甲状腺乳頭癌で死んでいく患者をあまり見たことがない!"と言ったことがある。このことからも、甲状腺乳頭癌の死亡率はかなり低いことがわかります。

もちろん、これは幸運なケースに過ぎませんが、不幸にして他のタイプの甲状腺がん、特に未分化がんを発症した場合、予後はもっと悪くなります。.どのくらい生きられるかは、基本的には運と神の慈悲にかかっている。しかし、どんな言い方をしようとも、積極的治療は無治療よりましであり、最も低い悪性腫瘍の5年生存率でさえ0ではない、積極的治療はパーセント記号の前の数字と格闘することである!たとえ5年生存率が1%だとしても、あなたが1だったらどうでしょう?積極的治療をしなければ、0にしかならない。

最後に言っておかなければならないことがある。年生存率は5年だけではない。これは私たちが考えなければならないことだ。いわゆる5年生存率とは、悪性腫瘍患者のうち5年以上生存する患者の割合を指す医学統計学的概念である。悪性腫瘍患者が積極的治療後5年以上生存した場合、「臨床的に治癒した」とみなされる。悪性腫瘍患者が積極的治療後5年以上生存した場合、その人は「臨床的に治癒した」とみなされる。しかし、5年しか生きられないわけではなく、もしかしたら100歳まで生きられるかもしれない......6年目に亡くなっても、5年生存率にカウントされる。しかし、これはあくまで少数例であり、5年以上経って悪性腫瘍が再発する可能性はずっと低くなります。

本題に戻りましょう。 甲状腺癌で本当に何年生きられるのでしょうか?確かめる方法はありません!これは腫瘍の特定の病理組織型と臨床病期、外科的治療と経過観察の結果によります。甲状腺乳頭癌の患者が80歳代や90歳代まで生きることは珍しくありませんし、甲状腺未分化癌の患者が緩和治療や外科的治療の後、数ヶ月から1年ほどで亡くなることも珍しくありません・・・。がんというのは、ある特定のがんがどのくらい生きられるかということが、一対一で明確に対応するような「標準化」されたものではありません。癌の組織学的分化にも予後にも大きな差がある!臨床病期分類の違いも、外科的治療や予後に大きな影響を与えます。例えば、I期とIV期で同じ予後ということはありえません.だから、質問者のこの質問には答えられない.

私の身近で実際にあった2つのケースを紹介しよう。
同僚1、2017年の健康診断で甲状腺がんが見つかり、手術後、今のところまだかなり元気で、他の異常は感じない、今年5年目
もう一人の同僚の妹は、この腫瘍が早い時期に見つかり、手術の後、もうすぐ10年になります
甲状腺がん、手術後の予後は良好な可能性が高い
甲状腺癌の生存期間は、甲状腺癌の病理型と甲状腺癌の治療法に関係します。 一般的に、病理型の比較的良い甲状腺癌の場合、根治手術ができれば、5年生存率は一般的に95%以上に達します。病理型が悪い未分化癌の場合、この種の腫瘍は悪性度が最も高く、生存期間は非常に短く、甲状腺癌が発見されてから最終的に亡くなるまで、半年から8ヶ月程度になることもあります。 したがって、最も重要なことは、甲状腺癌を早期に発見し、適時に手術を行い、術後にさまざまな総合治療を行うことで、生存期間を延ばすことができます。
こんにちは、穎子です。 この質問にお答えしましょう;
がんというと、その死亡率の高さから誰もが特に怖がるが、がんの種類の中には、人の寿命に影響を与えないものがある。

私も甲状腺がん患者ですが、昨年末に手術を受けたばかりで、最初は特に緊張していました。毎回の診察で、いつも医師に注意すべき点を尋ねていましたが、医師はいつもこう答えていました。"気持ちをリラックスさせて、普通の生活を送り、気にする必要はない"。
甲状腺がんの患者をフォローするスタッフは亡くなったが、彼がフォローする甲状腺がん患者はまだ健在かもしれない。一般的に甲状腺がんは平均余命に影響を与えないと想像できますが、甲状腺がんが平均余命に影響を与えないとは絶対に言えませんし、未治療であったり標準的な治療を受けていなかったりすれば、やはり平均余命に影響を与えます。ですから、がんになったら計画的な治療を受け、精神面の調整や適度な運動にも気を配る必要があります。

。
以上が私の答えです!

甲状腺癌の平均余命は、腫瘍の種類によって大きく異なる。甲状腺がんのほとんどは、乳頭がんや濾胞がんなどの分化型腫瘍です。 これらの分化型腫瘍は増殖が遅く、病気の経過も長いため、標準的な治療を行った後の生存期間は比較的長く、たとえ後期に再発したとしても、さらに外科的治療を行うことで非常に良好な結果が得られます。
しかし、これらの分化型腫瘍の中には、依然として浸潤性の高い亜型もあり、一般にこれらの浸潤性の高い亜型の分化型腫瘍は、手術後に再発しやすく、再発後の治療効果も特に優れているわけではありません。甲状腺の未分化がんは最も悪性度が高く、急速に増殖し、生命予後に大きな影響を与える。 この病気の自然経過は通常3~7カ月しかなく、現在のところ良い治療法はない。
髄様癌は分化型癌と未分化型癌の中間であり、髄様癌の術後再発の治療はあまり有効ではない。現在の臨床文献を調査すると、乳頭癌や濾胞癌などの分化型腫瘍の5年生存率は94%、10年生存率は86%であるのに対し、髄様癌や濾胞癌の患者の5年生存率はそれぞれ約68%、16%である。
私が社会人になったのは2005年で、当時23歳くらいの高校の同級生が甲状腺がんになり、手術とヨウ素131治療を受け、普通の人と同じように15年が経ちました!私の周りにも、義理の姉をはじめ、このことが原因で手術を受けた人が結構いますが、基本的には生活に影響はないと思います!
私の前のディレクターは、10年前に甲状腺癌の手術を受けたが、その前にも1度手術を受けている。
彼女は少なくとも20年以上、2回続けて手術を受けている。
それに、私の友人の義理の両親の母親は、10年以上にわたって甲状腺がんで2度の手術を受けたが、元気にしている。
回目の手術を受けたときは、孫がまだ1歳で、自分の人生ももう終わりかといろいろな寂しさを感じたが、今は孫も小学校を卒業し、元気に過ごしている。
昨年、私は嫁に「まだ体力的に可能だから、もし2人目ができたら、あなたのために育てます」と説得して、2人目を産んだ。
がんワクチンができたらどんなにいいだろう。
この質問と回答はサイト利用者のものであり、サイトの立場を代表するものではありません、侵害など、削除するには管理者に連絡してください。