高齢者はなぜ脚が痛くなるのか?
高齢者はなぜ脚が痛くなるのか?
高齢になると、立ったりしゃがんだりすることが困難になるが、これは主に膝関節や股関節、腰椎の病変が原因である。
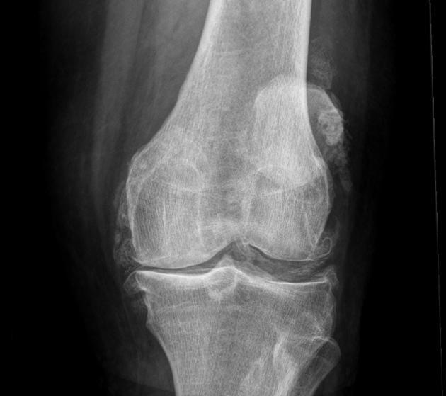
1/.膝関節:高齢者のしゃがむ&立っている困難で、多くの原因は、膝の変性、関節炎、滑膜炎、靭帯だけでなく、半月板の損傷によって引き起こされる。膝関節の変性では、冷たさの一定の年数の初期に現れ、階段を上る二重膝の弱さ、歩行が柔らかく再生され、後に現れた痛み、膨張、しゃがむ難しさの症状では、膝の脛骨プラットフォームであるため、顆間骨棘とギャップが広く、不均一に狭く、骨水腫、無菌性骨膜(滑膜炎)、半月板の摩耗や断裂、大腿四頭筋などの筋肉の緊張、靭帯損傷など。診断と鑑別は、血液検査、リウマチ4項目、抗環状シトルリン化ペプチド抗体検査、核磁気検査などで確認する。
2/.関節炎;膝関節の痛み、腫れ、または両方の灼熱皮膚の赤い症状の主な症状。リウマチ性関節炎は膝関節に現れ、複数の関節が痛み、または腫れ、歩行困難、雨や雪の日が悪化してさまようなど。敗血症性関節炎は悪寒と発熱を伴い、膝関節が赤く腫れ、熱く痛み、関節の変動感を押す。結核性関節炎は、結核の病歴があり、膝関節が腫れて変形し、歩行困難で、発熱を伴う。上記の関節炎は、胸部DRフィルム、リウマチ四項目、生化学、ツベルクリン検査、核磁気検査で調べることができる。
3/.腰椎変性症、腰椎椎間板ヘルニア。腰痛や下肢痛(坐骨神経痛)、間欠性跛行、しゃがんだり立ったりすることが困難、血中尿酸値のチェック、CT、MRIなどの症状が現れる。
4/.股関節の滑膜炎は、無菌性の外傷性炎症で、片側発症が多く、外傷歴があり、屈曲・伸展時、外旋・外転時の痛みの増大、挙脚テスト陽性で現れる。
5/.大腿骨頭壊死症で、外傷歴または股関節痛の続発歴があり、歩行により増悪し、しゃがんだり立ったりすることが困難。核磁気およびDRフィルム検査。
6/.股関節周囲炎、主に片側の股関節痛を呈し、大腿および膝痛、股関節外側および臀部痛を伴う、立位で増悪し、座位では快適。核磁気検査などを行う。
年をとると、なぜ人はいつも全身に痛みを感じるのだろうか。高齢者が「足が雨風にあたる」と言うのをよく耳にするが、特定の気象条件下ではいつも痛みが増すという。
特に地面での作業が多い高齢者にとっては、重い荷物を背負ってしゃがむと立ち上がるのが大変で、気をつけないと地面で半身不随になってしまう。
また、腰をかがめて力仕事をすることが多い出稼ぎ労働者は、いつかは立ち上がれなくなる可能性がある。

基本的に、身体が強い痛みを感じるときは、身体の器官のどこかに異常があるはずで、他の症状とは異なり、この種の痛みは多くの場合、蓄積されたプロセスの結果である。
一方では、年齢を重ねるにつれて、体内の臓器であるベンの機能や回復能力が低下し、肉体労働をすることが多い人は、これらの臓器の関節に、その合理的な許容範囲を超えて長い間負担をかけることになるからだ。

臓器の回復能力が制限されると、人々は身体のこれらの部分がもはや自分の自由に使えないと感じるようになる。そして、このような痛みは、自分の長期的な痛みを伴うが、違いは、痛みの程度が異なっているだけであり、長い時間の仕事が突然停止すると、より多くの痛みを伴うでしょう、あまりにも重いと速すぎる仕事もより多くの痛みを伴うでしょう。
建設現場で働く出稼ぎ労働者が突然立てなくなるのは、実は腰椎椎間板ヘルニアが神経を圧迫していることが原因であることが多い。

一般的に、顔のように体の器官は老化のパターンがはっきりしているが、遺伝子や生活環境、人生観が人それぞれ違うため、老化には非常に典型的な個人差がある。
30歳になっても40代と変わらない人もいれば、80歳になっても鍬を持って畑仕事ができる人もいれば、50歳になっても一人暮らしが難しい人もいるのはそのためだ。

高齢になると、腰椎と膝関節に問題が生じることが多い。膝関節は、脛骨の上端、大腿骨の下端、膝蓋骨で構成され、人体で最も複雑な関節として知られており、この関節の安定性は、関節包が薄いため、関節の補強を達成するために周囲の靭帯に依存しています。
紛れもなく、多くの中高年が障害を負う主な原因は変形性膝関節症であり、人工膝関節置換術の約85%を占めている。

私たち健常人にはそれぞれ5つの腰椎があり、それらは腎臓のような形に並んでいます。いわゆる腰椎椎間板ヘルニアは、実際には腰椎椎間板の変性病変であり、そしてそれに隣接する脊髄神経根が圧迫され、圧迫され、刺激される。これが、腰椎の問題で人が立てなくなることを理解できない人がいる根本的な理由である。
さらに、腰椎の問題はもはや高齢者だけに多く見られるものではなく、急性の怪我が腰椎の退行性変化を引き起こすこともある。 そのため、建設現場で数年働いただけで、腰椎の深刻な椎間板ヘルニアになる若者もいる。

一言で言えば、私たちの体は他の機械と同じで、体内で活動するすべての臓器にも寿命の限界があり、膝関節のような臓器は通常60年、70年は普通に使える。
膝や腰椎に重大な問題が発生する年齢でもないのに、さらにその激痛が生活の質に深刻な影響を及ぼす人がいるのは、それ以前の年齢でこれらの臓器の使用強度が許容範囲を超えていることが主な原因である。

私たちが認識している普通の生命体であれ、地球や太陽系、あるいは宇宙のような特殊な生命体であれ、実は私たちは皆、さまざまな段階を経て独自のライフサイクルを確立している。
不老不死は古来より人類が追い求めてきたことであり、人類の平均寿命もかつての40歳程度から、現在では70~80歳まで延びている。しかし、現在の私たちにできることは、何らかの手段で老化の進行を遅らせることだけであり、老化の発生と継続を根本的に止めることはできない。

老化の終わりは死であり、死の反対側には新しい命がある。老化の長いようで短いプロセスは、人間がまだ受精卵であるときから始まっている。地上での生活には、毎週毎週、誕生と死がつきまとうが、人はみな一度きりの人生であり、今述べたような身体器官の問題はどれも治すことはできず、治療による緩和の程度よりも予防の効果の方がはるかに大きい。
だから、年をとることは避けられないが、いつかそのときが来るために、私たちは自分の体の器官を賢く使わなければならない。
「年寄りは足より先に年を取る」、それは悪いことではない!

日常生活の中で、歩く、走る、散歩する、日々の仕事など、足を使わない動作はどこにあるのだろうか?結局のところ、私たちは死すべき肉体であって、鋼鉄の肉体ではないのだから何年も使っているのに、経年劣化でジョイントが摩耗しないなんてことがあるんですか?スチール製のベアリングだって、使っているうちに砂穴が開いてくるでしょう?
加齢に伴い、関節にどのような問題が生じる可能性があるのか?
実際、年齢を重ねるにつれて、関節には次のような問題が生じやすくなる。関節内軟骨の摩耗と損傷関節の表面は、ヒアリン軟骨で形成された関節軟骨という非常に重要な層で覆われています。この関節軟骨の層は弾力性に富み、表面は特に滑らかで、摩擦係数が非常に低く、滑らかで弾力性に富んだ関節軟骨は、私たちの関節を保護する上で非常に重要な役割を果たしています。その存在によって、私たちは走り、ジャンプし、関節の屈曲と伸展の過程で力の衝撃を和らげ、摩擦を減らし、運動の過程で骨と骨が直接ぶつかるのを防ぐことができる。。
しかし、長時間使用するため、加齢とともに関節軟骨がすり減り、損傷する可能性が高くなる。禁忌という可能性もある。過労と酷使。あるいは、それが原因かもしれない。体重だけでなく遺伝的要因も関節軟骨の磨耗と損傷には、様々な要因が関与している。

関節の軟骨がすり減る程度が少なければ、患者は何も感じないが、軟骨のすり減りが深刻になるにつれて、すり減る範囲がどんどん大きくなり、すり減る厚みがどんどん大きくなり、関節が屈曲、伸展、活動する過程で、骨と骨の間の圧力が大きくなり、私たちの体は、骨と骨の間の関節にかかる圧力をよりよく軽減するために骨棘が現れ始め、骨が肥大化する。比較的小さな時間の誕生は、任意の症状を生成しませんが、より多くの大規模な、より多くの場合、患者の関節の機能に影響を与え、その結果、患者がしゃがむしゃがむしゃがむダウンすることはできませんしたい、脚を曲げたい正常な位置に曲げることはできません、一部の患者はまた、高齢者の上記の状況は非常に一般的である、我々は障害物をまっすぐ表示されます呼び出す変形性関節症は、65歳以上の50%に見られる。。

軟骨のすり減りがひどくなると、軟骨の表面は非常にざらざらした状態になり、場所によってはひび割れさえ生じる。ちょうど家の壁紙が水に浸かると剥がれてしまうように、関節の屈伸運動時に摩擦が生じるようになるのだ。重症の場合、真夜中に関節を曲げ伸ばしすると摩擦音が聞こえる。。

さらに、関節の軟骨がすり減ると、関節の滑膜の炎症も起こる。多くの患者が関節に痛みを感じ、関節に水がたまる。。
では、なぜ高齢者はしゃがめないのか、しゃがんでも立ち上がれないのか?これは主に、しゃがむ過程で膝関節が非常に緊張するためです。これは主に、私たちの膝関節がしゃがむ過程で、全体の筋肉が非常に緊張しているため、関節が負担する圧力も大幅に増加し、痛みは自然にますます明らかになり、多くの高齢者は、関節痛に苦しむ長年のためです。筋萎縮が著しいしゃがんだ後に再び立ち上がろうとすると、痛みに耐えなければならないだけでなく、脱力してしゃがんだ状態から立ち上がることも難しくなる。

では、このような状況に陥ったとき、高齢者はどうすればいいのだろうか?
このような状態にある高齢者は、まずそれなりの検査を受ける必要がある。確定診断を下す一般的に、シニアの方々には次のようなことをお勧めする。臨床検査例えば、痛風性関節炎、リウマチ、関節リウマチを除外するためのリウマチ学的検査。その後、老人のさまざまな関節の状態、深刻な変形の有無などに応じて、X線検査や核磁気検査を行うことを検討する:
- X線検査の主な目的は、関節腔が著しく狭くなっているかどうかを判断することである。狭くなっている主な理由は、軟骨がかなり薄くなり、自然な関節空間が狭くなっているからです。また、高齢者の関節はレントゲンでよく判断できます。骨の形成が多いかどうか(骨棘)それが体のどの部分に特異的に形成されるのか、高齢者ではどのような機能に影響を及ぼすのか、また、高齢者ではどのような機能が低下するのか。オステオイドの形成と関節腔の狭小化は、変形性関節症における最も典型的な変化である。。

- 而MRIの主な目的は、高齢者の関節の軟骨がどの程度すり減っているか、関節内に液体があるかどうか、液体の量、関節の半月板のすり減りや断裂があるかどうかを調べることである。この検査は医師が行うことが多い。症状が特に重くなく、関節の変形が特に目立たない高齢者がこの検査に適していることが多いが、もちろん可能な人は両方の検査を受けるべきである。
どのように扱われるべきか?
加齢に伴う変形性関節症の治療に。治療には段階的アプローチを用いる傾向があるつまり、高齢者の状態をコントロールするために、簡単で、費用もかからず、外傷も少ない方法から始め、簡単な方法で問題が解決できない場合は、徐々に治療手段を増やし、高齢者の関節の問題を可能な限り解決できるようにするのであり、このはしごは次のようなものである:
- 心理的適応とライフスタイルのコントロール多くの人々にとって、高齢者、変形性関節症の変化や症状は非常に正常であるが、一部の高齢者は、心理的に耐えることができないに適応していない、一部の高齢者であっても、うつ病のパフォーマンスに現れたが、これは必要ではありません、老化は非常に正常であり、我々はそれに適応することを学ぶ、それに対処するために、それと戦うためにそれを行うには、すでに病気のために高齢者の異常の心臓の側面に現れた場合は、することができます示唆された。カウンセラーに相談し、心を整える。加えて高齢者の中には、変形性関節症になったら運動をしてはいけないと思っている人がいる。この病気は一度発症するとゆっくりと進行する傾向があり、適切な運動は高齢者が関節周囲の筋肉を強化し、関節を安定させ、運動能力を向上させるのに役立つ。ウォーキング、水泳、ステーショナリー・バイクが良い加齢に伴う変形性関節症の人に適した運動である。

- 局所用非ステロイド性抗炎症・鎮痛軟膏変形性膝関節症やその他の表在関節炎を持つ高齢者にとっては、外用非ステロイド性抗炎症鎮痛薬がより良い選択であり、外用鎮痛薬は長期的には経口薬と同じ効果があることが研究で示されている。さらに、長期内服薬が高齢者にもたらす可能性のある心血管リスクや胃粘膜障害を避けることができる。
- 理学療法と母国医療初期および中期の変形性関節症患者に対する理学療法には、痛みの緩和や症状のコントロールに役立つものもある。マイクロ波治療例えば経皮的電気神経刺激など。鍼治療や漢方薬も高齢者の症状緩和に役立つ。
- 経口アンモニアグルコサミンが高齢者の関節に効くかどうかについては、ある国のガイドラインでは推奨されておらず、ある国では推奨されているという論争がある。個人的には、グルコサミンの経口投与を試してみることをお勧めする。,3ヶ月くらいはね。患者さんの症状をコントロールし、痛みを軽減することができるのであれば、効果がなければ服用を継続し、そのうちに中止すればいいのです。診療所では、高齢の方がアンモニア糖の経口摂取で症状がかなり緩和された後に、試してみることもあります。
- 硝酸ナトリウムの関節内注射、prp..硝酸ナトリウムは別名ヒアルロン酸ナトリウムとも呼ばれ、私たちの膝関節にもともと存在する物質で、私たち自身の体内で生成される内因性のものと、補充される外因性のものに分けられます。加齢とともに関節軟骨がすり減り、ヒアルロン酸ナトリウムを分泌する能力が著しく低下した場合、外因性の補給によって治療を行うことができる。この薬剤は、機械的潤滑剤として作用するだけでなく、炎症を抑える作用もある。筋骨格系の損傷だけでなく、軟骨の修復も促進する。この治療は週1回、4~5回の治療コースで行われ、初期だけでなく中期の変形性関節症患者も8カ月から1カ月の結果をコントロールすることができる。.また、近年登場した治療法である多血小板血漿因子(prp)の関節内注射を検討することも可能である。

- 外科的治療以前は、より重度の進行性変形性関節症の患者さんには、通常、手術を行っていました。全膝(股関節)表面置換術つまり、すり減った軟骨の表面を金属の表面に置き換えるのですが、これは義歯を歯列矯正に置き換えるプロセスと似ています。この方法は比較的侵襲が大きく、患者さんによっては関節の片側の軟骨のすり減りが多い傾向があり、例えば内側や外側のすり減りがひどい場合、すり減りがひどくない部分を人工膝関節全置換術で置き換えるのは非常に心苦しいものです。 そこで現在では、より重度の患者さんの問題解決を図るために、骨切り術や整形外科的治療、あるいは単一コンパートメント置換術による膝関節温存治療も提唱しています。骨切り術や整形外科的治療、単一コンパートメント置換術によって問題を解決することができます。もちろん、特に重度の進行した変形性関節症の患者さんには、人工関節全置換術が必要です。

そして何よりも、それは変形性関節症患者のためのステップセラピー入門患者さんの症状をコントロールするためには、まず簡単で費用のかからない方法をとり、次に比較的外傷の多い方法を選択しなければならないことが多い。それでも緩和されない場合は、問題を解決するために、最終的には外科手術で治療しなければならないこともある。
概要
変形性関節症の患者さんにとって重要なことは、症状が進行した場合、この病気は完全に治る可能性があること、つまり人工関節置換術が患者さんの問題を完全に解決するのに役立つことを理解することです。
しかし結局のところ、この治療法にはある程度のリスクが伴い、手術の費用や外傷も比較的高額になるため、多くの患者はこの治療法を選択しないことが多い。
また、変形性関節症の人は、手術をして問題を解決することで、それを避けようとする。関節に症状が出たらすぐに医師に相談し、できるだけ早く医師の助けを求めることが大切です。治療が早ければ早いほど、より良い結果が得られ、問題を食い止め、病気が進行しないようにするためには、より簡単で費用もかからず、外傷も少なくて済む。
もし他に疑問があれば、下にコメントを残して議論することができる。
私は複雑な病気の知識を簡単な言葉を使って説明することを主張している謝新輝です、それはコードを書くのは簡単ではありません、あなたは私の意見に同意する場合は、懸念を指摘したり、それを好きなようにクリックしてください、あなたやあなたの家族や友人もこのことで悩んでいる場合は、それらの必要性にこの記事を転送してください、ありがとうございました!

(高齢者の関節の症状につながる)多くの疾患であり、変形性関節症は、スペースに限られた最も一般的な、博士謝だけ変形性関節症は、詳細な紹介のために、高齢者の特定の問題が、また、病院に専門医の助けを求めるために、この記事は、科学のためだけであり、診断や治療の価値を持っていない、画像の一部は、著作権侵害のネットワークからです削除)。
通常の変動
筋萎縮と呼ばれる筋肉量の減少は、加齢に伴って起こる正常な現象であり、その量は遺伝的な要因もある。筋繊維が収縮し、脂肪や繊維組織が以前の筋量に取って代わります。この萎縮は、男性は20代から、女性は40代から始まることがある。神経機能の変化も筋収縮と筋緊張を低下させ、筋力の低下をもたらします。
運動不足
椅子に座る時間が長すぎると、加齢による脚力の衰えを悪化させる可能性がある。掃除やガーデニングを外注すると、かつてほど活動的になれないかもしれない。トロント大学医学部のロイ・J・シェパード氏は、90歳でも筋力トレーニングによって筋力を向上させることができると指摘する。スクワットなどの自重エクササイズ、フリーウェイトトレーニング、ウェイトマシンなどが有効です。どの脚の運動が自分に合っているか、医師に尋ねてみましょう。
内分泌の問題
内分泌疾患は、脚力の低下を引き起こすことがある。例えば、糖尿病はしばしば糖尿病性神経障害と呼ばれる足腰の神経障害を引き起こす。その結果、脚の痛みやしびれ、脱力感が生じます。太りすぎの糖尿病患者や血糖コントロール不良の人は、こうした問題を抱えやすい。甲状腺ホルモン欠乏症の人も、足などの筋力低下を経験することがあります。
脊椎と背中の問題
背骨や背中の様々な問題が、片足または両足の脱力を引き起こすことがある。例えば、坐骨神経痛では、椎間板や臀部の筋肉が神経を圧迫し、片足または両足の痛みや脱力を引き起こすことがある。脊髄の通り道が狭くなる脊柱管狭窄症でも、脊髄が圧迫され、脚の力が弱くなることがある。
その他の問題
高齢者の脚力低下には、他にも無数の原因が考えられる。例えば、ホームレスの高齢者の中には、極度のビタミンD不足が原因で筋力が低下する人もいる。多発性硬化症も脚力の低下を引き起こすことがあり、多発性硬化症協会はビタミンDの欠乏が一因である可能性があると説明している。その他、筋萎縮性側索硬化症やルー・ゲーリッグ病、アルコール中毒、薬物療法、脳卒中、関節リウマチ、怪我なども筋力低下の原因として考えられる。
人は足より先に、木は枝より先に老いるのが普通だ!しかし、何歳までが老いなのか?個人的な知人は77歳まで石工として働いていたが......。
年齢、骨粗しょう症、カルシウムが吸収されにくい、腰椎、頸椎、肩、脚などが多かれ少なかれ消耗しているので、高齢者はしばしば不快な脚や背中、首、肩の痛みのいずれかである!
高齢者の脚の痛みは、通常3つの原因によって引き起こされるが、その1つ目は関節の病気かもしれない。一般的な関節疾患には、股関節炎、膝関節炎、滑膜炎などがあり、これらは通常、持続的な痛みを引き起こします。リウマチ性疾患も痛みを引き起こしますが、痛みは一定ではありません。脊椎疾患も脚の痛みを引き起こすことがあり、この場合は速やかに治療する必要があります。

高齢者の脚の痛みの原因。
1、関節の病気:高齢者の一般的な病気であり、この病気は非常に脚の痛みを引き起こしやすいだけでなく、活動の速度を遅くするためにつながる、脚の可動域も制限されます。股関節炎、膝関節炎、滑膜炎などの一般的な関節疾患は、持続的な脚の痛みを引き起こす可能性があります。

2、リウマチ性疾患:リウマチ性疾患による痛みは、通常は持続的ではなく、天候の変化や風邪をひいたときに起こる。しかし、リウマチは治りにくく、治っても再発しやすい病気です。リウマチは足の痛みとむくみを同時に引き起こします。
3、脊椎疾患:脊椎疾患も脚の痛みの一般的な原因であり、脊椎疾患の発生率が高いのは椎間板疾患、脊柱管狭窄症、脊椎関節炎などである。脊椎の病気は治りにくく、末期には麻痺を起こしやすい。

脚の痛みにはさまざまな原因があるが、高齢者はその原因を突き止め、不測の事態を招かないよう、適切な時期に治療する必要がある。
「老いは老脚の前にやってくる」!なぜ人は年をとるといつも全身に痛みを感じるのだろうか?高齢者の足が「雨風が強い」と言うのをよく耳にするが、これは特定の天候になると痛みが増すという現象である。

膝の痛みは高齢者にもよく見られる問題である。最も重要な要因は、身体機能の老化である。体重を支える足は、長期間体重を支えるため、次第に膝に問題が出てくる。関節を保護する軟骨がすり減り、よく言われる骨棘が現れるのだ。骨棘が現れると、骨にピンと針が刺さったような状態になり、変形性膝関節症が発症する。60歳を過ぎると、高齢者では変形性関節症、あるいは医療記録でよく言われる退行性関節炎を発症する可能性が徐々に高くなります。
日常生活の中で、歩く、走る、散歩する、日々の仕事など、足を使わない動作はどこにあるのだろうか?
特に、地べたでの作業が多い高齢者にとっては、重い荷物を背負ってしゃがんだり、立ち上がったりするのはとても大変なことで、気をつけないと地べたで半身不随になってしまう。腰をかがめて力仕事をすることが多い出稼ぎ労働者は、いつかは立ち上がれなくなる可能性が非常に高い。根本的に言えば、私たちの体が強い痛みを感じるとき、それは体の器官のどこかに問題があるはずで、他の病気と違って、この種の痛みは多くの場合、時間の蓄積の結果である。
その理由は、実は非常に単純で、一つの側面は、私たちが年を取り続けるにつれて、もともと私たちの体の臓器の機能と回復する能力が低下し、多くの場合、物理的な仕事の人々を行うと、これは体の関節が長い間、これらの臓器の合理的な許容範囲を超えることになります。

年齢を重ねるにつれて、関節はどうなっていくのだろうか?
実際には、人々が年齢を重ねるにつれて、関節が最も問題になりやすい、実際には、関節の軟骨の消耗であり、私たちの体の関節の表面は非常に重要な構造の層で覆われ、これは主にヒアリン軟骨によって形成され、関節軟骨であることです。人間の体は毎日足を動かすので、膝の軟骨の消耗は避けられない。
この関節軟骨の層は、ある程度の弾力性に満ちており、表面は特に滑らかで、摩擦係数は非常に低いので、関節軟骨の滑らかで弾力性に満ちており、その存在により、私たちの体の関節の保護に非常に重要な役割を果たしている。私たちは、ランニングやジャンプ、関節の屈曲と伸展の過程で衝撃を緩和し、摩擦の一定量を削減し、スポーツの骨と骨の直接衝突の過程で私たちを聞かせてはならない。
しかし、長時間使用したり、年齢を重ねたりするにつれて、体の関節の軟骨がすり減ったり、切れたりする可能性は高くなり、その多くは外傷によるものである。過労や使い過ぎの可能性も高いし、体重だけでなく遺伝的な要因によっても関節軟骨がすり減ったり切れたりする可能性は高い。

これらの兆候を真剣に受け止めることが重要だ
1.関節の赤みと腫れ
滑膜の過形成や膝関節内の液体の蓄積は、関節の発赤や腫れを引き起こします。 関節炎の初期段階では、関節の発赤や腫れはおそらく寒さや外傷によるものですが、病気の後期になると、膝関節が長期間腫れ続けることがあります。
2.関節痛
膝関節症の最大の特徴は痛みです!人間の身体は、毎日の歩行で大なり小なり膝関節をすり減らし、捻挫や冷え、過労などの場合は、足も自由に動かせないほど痛みも増します。
3.膝の弱さ
歩いていると突然膝が脱力し、膝が脱力しすぎて誤って転倒し、痛みを伴うことがある。また、長時間座っていると、関節に「接着剤」のような現象が現れ、膝関節の柔軟性が低下し、足がすぐに動かなくなる。

要するに、私たちの体は他の機械と同じで、体内で稼働しているすべての臓器にも寿命の限界があり、膝関節のような臓器は一般的に60年から70年は普通に使える。
まだ年端もいかないのに、膝や腰椎に非常に明らかな問題を抱え、さらには生活の質に深刻な影響を及ぼすほどの激痛を抱えている人がいる主な理由は、身体のこれらの器官の使用強度が許容範囲を超えているからである。
私たちが知っているような普通の生命体であれ、地球や太陽系、あるいは宇宙のような特殊な生命体であれ、私たちは皆、さまざまな段階を経て独自のライフサイクルを確立している。
老化の終わりは実は死であり、死の反対側は新しい生命、つまり人間がまだ受精卵であるときに始まる老化の長いようで短い旅なのだ。

最後に、皆が健康で幸せであることを願っている!
人々は車のベアリングのようなもので、長期的な研削、潤滑剤を追加するために使用する必要があり、長い時間歩くための人々の関節は、軟骨の破壊によって引き起こされる、関節痛の主な原因は、人と機械、同じ、長期的な操作は、良い鋼でも、理由は、消耗されます。
年老いた母が背中を丸めて歩き、腰や足の痛みを一日中叫んでいるのをよく見かけたが、年をとると人間そんなものだと思い、何とも思わなかった。そんな私も70歳を過ぎ、この春から椎間板ヘルニアになり、歩く脚に痛みやしびれを感じるようになった。階段の昇り降りは、腰の位置の関係で前傾姿勢になると、腰の出っ張りが足の神経を圧迫しているのか、楽に感じることがある。その後、歩くときは足を少し曲げて歩くようにしたら、これも足の症状が和らいだ。年をとると猫背になるのはなぜだろう。それも一つの理由だろう。
この質問と回答はサイト利用者のものであり、サイトの立場を代表するものではありません、侵害など、削除するには管理者に連絡してください。