冠動脈性心疾患の見分け方は?冠動脈性心疾患は治るのでしょうか、治らないのでしょうか?
冠動脈性心疾患の見分け方は?冠動脈性心疾患は治るのでしょうか、治らないのでしょうか?
循環器内科医として、冠動脈性心疾患かどうかを判断することは、私たちが箸を使って食事をするのと同じように、基本的なスキルである。
冠動脈性心疾患の患者数が増えているのは事実だが、多くの人が冠動脈性心疾患と誤診されているのも事実である。正確には、冠動脈性心疾患は基本的に不治の病であるため、一度診断されると一生薬を飲んでコントロールしなければならない。冠動脈性心臓病と誤診された人たちは、一生薬を飲み続けることで害を被るかもしれない。

もちろん、別の可能性もある、それ自体は冠状動脈性心臓病を持っていない、結果は冠状動脈性心臓病と診断され、その後、いくつかの治療を与える、どのような錠剤、どのようなダン、どのようなヘルスケア製品など、お金を費やす、あなたの冠状動脈性心臓病の治療と言って、基本的に偽の冠状動脈性心臓病と判断することができます。
I. 冠状動脈性心臓病とは

簡単に言えば、アテローム性動脈硬化症によって心臓の動脈にプラークが形成され、このプラークが心臓血管の50%以上の狭窄を引き起こすと、冠状動脈性心臓病と呼ばれる。
心臓の動脈を冠動脈と呼ぶのは、心臓の動脈血管が解剖学的イメージでは逆王冠に似ているからで、心臓の動脈は冠動脈、王冠のような動脈と呼ばれる。この動脈が血管の老廃物、つまり血管プラークによって悪化すると、このプラークはお粥のように非常に硬くなるので、動脈硬化と呼ばれる。そして、この冠状動脈硬化が50%以上狭窄したものを冠状動脈硬化性心疾患といい、冠状動脈性心疾患と呼んでいます。
狭心症、心筋梗塞、心臓ステント留置術、心臓バイパス術、そして一般に心筋虚血と呼ばれているものは、すべて冠動脈性心疾患に属する。
冠動脈性心疾患の判定方法

多くの人が心電図検査を受け、冠動脈性心疾患である心筋虚血であると言われ、薬物療法を受けることになるが、これは極めて無責任なことである。心筋虚血の心電図検査だけでは冠動脈性心疾患とは診断できないからだ。
冠動脈性心疾患は、狭心症、心筋梗塞、無症候性冠動脈性心疾患、心不全、突然死などの病態に分けられるため、診断が異なる。
冠動脈疾患の診断には、一般に、症状+病歴+危険因子+心電図、運動負荷試験、冠動脈CT、冠動脈造影、心臓核種などの組み合わせが必要である。
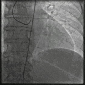
もちろん、現在ゴールド・スタンダード、つまり最も正確な方法として知られているのは、依然として冠動脈造影検査であり、冠動脈造影検査によって冠動脈性心疾患の診断がすべてなされなければならないわけではない。
1、症状

狭心症、心筋梗塞、心不全の患者において、最初の診断はほとんど常に症状によって行われる。例えば、狭心症は、特に活動的な労働の労作後に、一度に2〜15分程度続く、心前庭部の痛み、胸痛、頭痛、歯痛、背部痛、左肩痛、心窩部痛、胸部圧迫感、息苦しさなどによって現れる。これらの狭心症の痛みが緩和されずに続く場合は、心筋梗塞を疑う必要がある。
狭心症の症状があれば、次のステップは心電図検査である。
2.心電図

狭心症で心筋虚血があるときに心電図をとり、狭心症が和らいで狭心症がないときの心電図がこの心筋虚血の心電図と同じでないということが起これば、基本的に冠動脈疾患と診断される。そうすれば、冠動脈疾患の診断は基本的に確定する。
心筋梗塞患者の場合、狭心症が持続する場合は心電図検査を行い、ST上昇型心筋梗塞であれば、直ちに心筋梗塞の診断が確定する。
非ST上昇型心筋梗塞の場合は、さらにトロポニンと心筋酵素の検査が必要であり、心筋酵素が有意に上昇して初めて心筋梗塞の診断が確定する。
3.ムーブメント・テスト
通常、狭心症発作がなく、入院中の違反がなければ、安全性評価の後、運動負荷心電図検査が可能であり、陽性であれば冠動脈疾患の診断が可能であり、陰性であれば冠動脈疾患の予備的除外が可能である。
4.冠動脈CTまたは画像診断

冠動脈CTは血管が狭くなっているかどうか、どの程度狭くなっているかを見ることができ、冠動脈疾患の診断を確定することができる。典型的な冠動脈疾患の患者に対しては、さらに冠動脈造影を行い、一方では診断を確定し、他方ではさらなる治療を行うことができる。
第二に、冠動脈性心臓病の治療法である。
冠動脈疾患はなぜ治らないのか、50%以上の狭窄を冠動脈疾患と呼ぶと言いましたが、このプラーク狭窄、元に戻すのは非常に難しく、たとえ個人で元に戻せたとしても、完全に元に戻すのは非常に難しいのです。理論的には、冠動脈疾患のプラーク狭窄のほとんどは悪化している、あるいは正式な治療の後、プラーク狭窄は安定し、もはや悪化しない、あるいは急速に悪化することはない。これが最良の結果であるため、冠動脈性心疾患は治すことはできないが、効果的なコントロールだけは可能である。

1.健康的な生活
不健康な生活は血管のゴミを悪化させ、冠状動脈性心臓病を悪化させるので、健康な生活は冠状動脈性心臓病を治療する基本である。タバコやアルコールを控え、健康的な食事、体重の管理、運動の励行、夜更かしの回避、ストレスの軽減などが基本である。
2、3つの高さをコントロールする
長期の高血圧、糖尿病、高脂血症は血管のゴミを加速させるので、三高は早期発見、早期治療と頻繁な監視の早期制御する必要があります。この方法でしか、効果的にプラークの悪化を制御することができ、効果的に冠状動脈性心臓病の悪化を制御する。
3.常備薬

スタチンはLDLという悪い血中脂質を減らし、血管の老廃物を減らす。スタチンはプラークの抗炎症性安定化をもたらし、プラークの狭窄の悪化を防ぐ。また、プラークの安定化はプラークの破裂を防ぎ、血栓症を防ぎ、心筋梗塞を防ぐ。
アスピリンは血小板の凝集を抑え、血栓や心筋梗塞を予防する。
スタチン+アスピリンが冠動脈性心疾患の治療の基本であるのはそのためだ。
心拍数が速い、高血圧、狭心症、心不全などの冠状動脈性心疾患に対しては、心拍数、血圧、狭心症、心不全をコントロールする薬を追加しなければならない。
4.外科的治療
薬物療法でコントロールできなくなった狭心症に対しては、血圧の画像診断を行い、さらに状態を調べ、ステントやバイパス術を行うかどうかを決定する。急性心筋梗塞の場合は、ステント留置術や血栓溶解療法も必要となる。
したがって、冠状動脈性心臓病の診断は、包括的であり、心臓によって診断する必要があり、誤診は患者を遅らせることはありません。冠状動脈性心臓病の治療はまだコントロールの段階であり、100%根絶することはできないので、長期的な健康生活、三高のコントロールと定期的な投薬が必要である。
(冠状動脈性心臓病を治すことができるとか、冠状動脈性心臓病が治ったとか言う人が必ず出てくる)。念のため言っておくが、もしあなたが医者でないなら、医学は非常に専門的な学問であり、すべてを知っていると思わないでほしい。もしあなたが医者で、冠状動脈性心臓病が治ると思っているのなら、あなたの馬をここに置いて、その治し方をみんなに教えてください。)
私の友人の多くが、冠状動脈性心臓病であることを確信を持って告げに来る。彼らはすでに、サルビア・ディビノルムの錠剤、イチョウの葉の錠剤、深海魚の油など、副作用のない「薬」を飲み始めており、中には治った人もいる。しかし、彼らに冠状動脈性心臓病と診断された経緯を尋ねると、曖昧な答えが返ってきたり、地域の保健医が心電図で診断したとの答えが返ってきたりする。ここで私は彼らに言いたい、この薬は本当に無駄かもしれない、副作用がないかもしれない、体にもっと害があるかもしれない、と。
医師にとって、病態を正確に診断・判断することは、患者に治療を施すための第一条件である。冠動脈性心疾患(CHD)は、心血管疾患の中でも最も罹患率の高い疾患の一つであり、突然死に至る可能性があることから、多くの中高年が非常に心配している。冠動脈性心疾患のイベント加重有病率は人口10万人当たり289.1人で、男性10万人当たり334.2人、女性10万人当たり231.8人、都市部では10万人当たり376.7人、農村部では10万人当たり244.6人である。つまり、10万人のうち200人以上が病気になる可能性があるということだ。医師の役割は、患者が冠状動脈性心臓病であるかどうかを調べる手助けをすることである。
診断という点では、冠動脈疾患のゴールドスタンダードは依然として冠動脈造影検査である。安全ではあるが、侵襲的な検査であることに変わりはない。そのため、医師は十分な裏付けがある場合にのみ、この検査のための入院を勧める。この検査には、患者の病歴、症状、身体所見、過去の病歴、家族歴、心電図、胸部X線、心筋酵素、心エコー、プレート運動負荷試験などが含まれる。現在では,入院することなく外来で冠動脈CTAを受けられる患者もいる。 この検査は冠動脈疾患に対してより直接的に反応するものであるが,冠動脈造影検査と比較するとまだ多くの欠点があり(例えば,粥腫性プラークのアーチファクトは偽陽性を招き,血流や血管の動的な変化を同定することはできないなど),予備的なスクリーニング検査としてしか使用できない。
一言で言えば、冠動脈疾患の診断を確定する最も直接的な手段は冠動脈造影であるが、他の裏付けとなる証拠が十分であれば、冠動脈疾患が強く疑われることもある。最終的な診断は専門の医師が行うべきである。自己判断で診断や治療を行わないでください!
では、冠状動脈性心臓病は現在治るのだろうか?答えはノーである。現在、冠動脈疾患の標準的な治療法は、薬物治療(基本)、インターベンション(ステント、バルーン拡張術)治療(単純病変)、冠動脈バイパス移植術(外科的バイパス手術)の3種類しかないが、この3つの方法は緩和治療である。その根本的な理由は、現代医学が動脈硬化性プラークのすべての形成、ましてや狭窄の原因となるプラークの効果的な除去に関する明確な科学的原理をまだ見つけられていないからである。その結果、薬物療法による二次予防(後天的な重篤な障害の再発防止)によって病気の進行速度を緩和し、血行再建術(インターベンション、バイパスグラフト)によって冠動脈の血流量を増やし、突然死のリスクを減らすだけでなく、生活の質を向上させる必要がある。
私が言わなければならないことは変わらない。病気になるのは怖くない!現在の先進医療では、病気を治すことはできなくても、症状を和らげ、致死率を下げることはできる。重要なのは、早期発見、早期診断、早期治療、そして科学的規範に基づいた継続的な経過観察、維持治療である。私たち医師が病気を治療する目的も、病気そのものだけを対象としたものから、より人間的なケアへと拡大し、患者の生活の質や感情レベルを向上させ、人々がより高い幸福度と生存指数を得られるようにすることである!現在、冠状動脈性心臓病を治すことができると言っても、気をつけなければならないのは、彼らが対象としているのは病気ではなく、あなたの財布だということだ。
昨年、私の友人が仕事中に冠状動脈性心臓病になり、故郷に行って漢方薬を1週間飲んだら良くなり、その間に1ヶ月ほど休んで仕事に復帰し、今は普通になった、、、。
冠状動脈性心疾患は心血管系疾患の一つであり、通常は緩徐に進行するが、急性発作を起こしやすい。特に現在、高血圧、糖尿病、高脂血症などの罹患率が上昇しており、これらの疾患の一般的な合併症はアテローム性動脈硬化症である。動脈硬化は冠状動脈性心臓病発症の基礎であり、冠状動脈性心臓病は早期発見、早期コントロールがより重要である。
冠動脈性心疾患はどのように診断されるのか?
①明確な診断冠動脈性心疾患の診断は、現在の医療レベルでは、次のような方法で難しいことではない。冠動脈造影冠動脈疾患の確定診断ができる。冠動脈に直接カテーテルを通し、造影剤を出して冠動脈を画像化することで、閉塞の場所や程度が明確になり、その後の治療の根拠となります。これが冠動脈疾患の最も一般的な治療法である理由です。冠動脈疾患診断の "ゴールドスタンダード"。。

②補完診断.臨床症状やその他の検査から紹介する。(1)症状:典型的なものは前胸部の痛みこれは通常、活動の結果生じるもので、安静にしていれば緩和されたり消失したりする。狭心症また、左肩、腕、歯に痛みが出ることもある。これに加えて、左肩、腕、歯に痛みが出ることもある。放散痛.また、息切れ、大量の発汗、パニック、めまいを伴うこともある。(2) 検査冠動脈CTA冠動脈造影とコンピューターによる血管の3D再構築によって冠動脈を示すものであるが、その精度は冠動脈造影よりやや劣る。心電図心臓に心筋虚血がある場合、心電図はT波だけでなくSTセグメントにも変化を示すことがあるが、冠動脈疾患の発作がない場合、心電図は正常を示すことがあり、その感度は低い。
冠状動脈性心臓病は治るのか?

冠動脈性心疾患は、さまざまな薬物療法やPCIやCABGなどの外科手術で治療することができる。多くの患者は、「治るのか」と尋ねるが、それは薬物療法なしで完全に根絶できるという意味だと理解していると思うが、今のところはその条件を満たしていない。そのなぜか?冠状動脈性心臓病の形成はアテローム性動脈硬化症に基づいているため、アテローム性動脈硬化症は、一度形成されると、元に戻す方法がないため、危険因子を完全に解除することはできず、ステントを入れたり、血管バイパス手術をしたりしても、せいぜい臨床的な治療とみなすことしかできません。第二に、一次性高血圧、糖尿病などの血管硬化症を引き起こす可能性のある病気のように、完全に根絶する方法はありません。
冠動脈疾患の診断は、主に臨床的模倣と最終的な確認からなる。 冠動脈疾患を完全に治癒させることはできないが、疾患の進行を薬物療法でコントロールし、急性虚血イベントを緊急PCIで治療することで、症状を速やかに改善し、疾患をコントロールすることも可能である。

冠動脈疾患とは、心臓に血液を供給する血管である冠動脈に病変が生じ、心臓への血液供給量と酸素消費量のバランスが崩れ、心筋虚血や低酸素症が生じる心臓病である。冠動脈疾患の一般的な病態生理学的基盤は冠動脈アテローム性動脈硬化症である。 冠動脈疾患は、冠動脈の狭窄が50%を超えるか、心筋虚血の証拠がある場合に診断される。

冠動脈疾患の危険因子(例えば、高血圧、高脂血症、糖尿病、閉経後10年を経過した女性、喫煙、早期心血管病の家族歴など)を持つ患者が、突然、不可解なことに、活動に関連した胸郭部のしぼむような痛みや痞えを生じ、それが安静にして数分から十数分で緩和される場合、基本的には臨床的に冠動脈疾患と診断される。冠動脈疾患の最終的な診断は、冠動脈CTAまたは冠動脈造影の結果と、臨床的に心筋虚血の所見があるかどうかによって行われる。冠動脈疾患の診断に通常の心電図のST-T変化を用いることは基本的に信頼性が低く(急性梗塞を除く)、冠動脈疾患でない多くの患者が心電図によって誤って冠動脈疾患と診断されていることを再認識すべきである。

冠動脈疾患は現在のところ完全に治すことはできないが、プラークを安定させ冠動脈疾患の進行を遅らせるスタチン系脂質低下薬、血小板凝集を抑制し血栓症を予防するアスピリンなどの薬、心拍数をコントロールし心筋の酸素消費を抑えるメトプロロールなどの薬によって安定させることができる。これらの薬剤の治療により、多くの冠動脈疾患患者の病態は基本的に安定またはコントロールされ、日常生活や仕事ができるようになる。急性冠動脈閉塞の場合は,緊急ステント治療や血栓溶解療法などを行うことで,速やかに病態をコントロールすることができる。したがって、ほとんどの冠動脈疾患患者にとって、冠動脈疾患は治る病気ではないが、病状をうまくコントロールすることができ、普通の人と同じ生活を送ることができるので、あまり悲観的になる必要はない。
冠動脈性心疾患(CHD)は循環器内科で最も一般的な疾患の1つである。 私たちの周りでは、ほぼ5人に1人が心血管疾患に罹患しており、CHDは心血管疾患の中でも最も有病率の高い疾患の1つである。冠動脈性心疾患は最も一般的な循環器疾患の一つである。 冠動脈性心疾患の診断はどのように確定されるのか?冠動脈性心疾患は治るのか治らないのか?
I. 冠状動脈性心臓病かどうかは、どうすればわかりますか?
冠動脈疾患の診断は系統的な問題である。 第一に、冠動脈疾患の診断は典型的な冠動脈疾患の症状の有無に依存している。 患者が活動後に胸が締め付けられるような感じや息切れがあれば、冠動脈疾患であるかどうかを検討する必要がある。 しかし、冠動脈疾患のすべての患者に典型的な症状があるわけではなく、冠動脈疾患の患者の中には非典型的な症状があったり、まったく症状がなかったりする場合もあり、冠動脈疾患と診断するためにはさらに検査を行う必要がある。第二に、冠動脈疾患の診断は冠動脈の関連検査に依存し、冠動脈検査には主に冠動脈CT、冠動脈造影などの画像データが含まれる。もちろん、冠状動脈疾患の確定診断が必要な場合は、心臓超音波検査、血液検査、磁気共鳴検査などの関連検査も冠状動脈疾患の診断確定に必要である。
第二に、冠動脈性心臓病は治るのだろうか?
私たちは常に、ある病気は治る、根絶できる、治ると考えているが、実は冠状動脈性心臓病を含め、多くの病気は完全に治すことはできない。冠動脈疾患の本質は冠動脈の動脈硬化であり、動脈硬化そのものが代謝、老衰、病気、死の法則である。従って、冠状動脈性心疾患の治療は、患者の症状を改善し、予後をできるだけ遅らせることに限られており、冠状動脈性心疾患の完治・撲滅には至っていないのが現状である。
第三に、冠動脈性心疾患の治療法について教えてください。
冠動脈性心疾患は治らないので、冠動脈性心疾患の治療法にはどのようなものがあるのでしょうか?冠動脈性心疾患の治療には、まず冠動脈性心疾患の二次予防薬と生活習慣への介入が必要である。次に、血行動態再建の必要性がある場合には、血行動態再建のためのインターベンション治療や外科的治療が必要となる可能性がある。われわれが健康にますます注意を払うようになるにつれて,冠動脈性心疾患のリハビリテーション治療はますますわれわれの生活に浸透してきており,冠動脈性心疾患の治療を補助する重要な方法にもなってきている。このように、冠動脈疾患の治療法はほとんど網羅されている。
最新情報を見るフォローすると、科学に関する最新情報が毎日ツイートされます。
冠状動脈性心疾患とは、冠動脈性心疾患の略称で、冠動脈の動脈硬化やけいれんなどの様々な原因により、虚血、低酸素、心筋細胞の壊死などを引き起こして発症する心臓病である。冠状動脈性心疾患には、主に無症候性心筋虚血、狭心症、心筋梗塞、虚血性心疾患、突然死の5種類があり、近年、冠状動脈性心疾患の発症率は年々増加し、若年化する傾向にあるため、十分な注意が必要である。

冠状動脈性心疾患患者は、定期的な治療を受けないと、いつ病状が悪化するかわからないし、ひどい場合には突然死することもあるので、十分な注意が必要である。冠状動脈性心臓病の診断は、臨床症状、心電図、運動負荷心電図、血液学的検査、画像検査(二重源CTなど)、冠状動脈造影検査などを組み合わせて評価する必要があり、中でも冠状動脈造影検査は冠状動脈性心臓病を診断する最も正確な方法である。

冠動脈疾患患者は明らかな症状がない場合もあるが、心電図検査で虚血性変化が見つかっただけで、無症状の心筋虚血患者に見られる。病気の進行に伴い、冠動脈疾患患者の中には、胸部圧迫感、息切れ、胸痛などの症状が現れることがあり、深刻な場合は、胸痛の前胸部に現れることがあります。痛みが短時間持続する場合、または自分で緩和することができる場合、または緩和後すぐに薬によって緩和することができる場合は、狭心症として考慮する必要があります。胸痛が持続し、発汗、肩や背中の放散痛、死にそうな感じなどを伴うことがある場合は、心筋梗塞を警戒する必要があり、心電図はST上昇で見ることができ、非ST上昇型の梗塞の一部は、トロポニンなどの検査を通じて明らかにすることができます。

冠状動脈性心臓病に直面した場合、積極的に治療を受け、生活習慣の改善に注意を払い、合理的な食事、禁煙とアルコール制限、適切な運動、体重管理、規則正しい労働と休養を実現し、良好な精神状態を維持し、高血圧、糖尿病、高血中コレステロールなどの基礎疾患を積極的に治療すると同時に、アスピリンやスタチンを服用し、必要に応じて、狭窄または閉塞した血管を速やかに開通させて血液供給を回復させ、心筋壊死の発生を抑えるために、ステントインターベンションまたは冠状動脈バイパス移植術の実施可能性を検討することをお勧めします。必要であれば、狭窄または閉塞した血管を速やかに開通させ、血液供給を回復させ、心筋壊死の発生を抑えるために、ステント介入または冠動脈バイパス移植術を行うことができる。
ご質問があれば、記事の最後にコメントを残し、一緒に議論すること自由に感じなさい。この記事は総合練習スイーパーが回答しています。不備があれば訂正してください。この記事は医療指導ではなく、医療処置のアドバイスを意図したものではありません。
冠動脈疾患は中高年に多い循環器疾患で、冠動脈が狭くなって心筋への血液供給が減少することが原因で、軽症の場合は狭心症が現れるだけだが、重症の場合は心筋梗塞に移行することもある。では、冠動脈性心疾患をどのように判断すればよいのだろうか。冠動脈性心疾患は治るのか?メディカルセンリューションが解説します。
昔、冠状動脈性心臓病は中高年に多く見られたが、近年、生活習慣の変化に伴い、若い人の冠状動脈性心臓病の症例が多く、生活習慣を変えなければ、将来、若い人が冠状動脈性心臓病の発展傾向の一つになる可能性が高い。冠状動脈性心臓病の原理は非常に簡単で、喫煙、肥満、高血圧、糖尿病、脂質異常症などの冠状動脈性動脈硬化症の原因は、内腔の狭窄が徐々に悪化するように、内腔の狭窄が心筋に十分な血液を供給することができない場合は、狭心症、特に過労、情緒障害などで発生しやすい原因となり、休息や経口ニトログリセリン狭心症の患者の一部が徐々に緩和され、時間は通常持続時間は通常3-5分です。したがって、狭心症発作は、冠状動脈性心臓病の早期警告徴候の一つです。狭心症が発生した後、関連する補助的な検査は、状態を明確にするのに役立ちます。 一般的な検査には、トロポニン検査と心電図検査が含まれます。トロポニンが有意に上昇したり、心電図が心筋虚血や心筋梗塞を示す場合、冠動脈性心疾患のスクリーニング値が高くなる。
狭心症の症状、トロポニンの上昇、心電図の変化などは冠動脈疾患のスクリーニングに有用であるが、冠動脈疾患の診断のゴールドスタンダードは冠動脈造影検査である。冠動脈造影検査は侵襲的な手技であるが、冠動脈疾患の診断と重症度の把握にかけがえのない役割を担っている。冠動脈造影検査は造影剤を注入することによって、冠動脈の狭窄の程度をはっきりと観察することができ、冠動脈の狭窄が50%に達すると冠動脈性心臓病と診断することができます。 冠動脈造影検査は同時に冠動脈の病変部分と量を把握することができ、病態を評価するための非常に貴重な手がかりを提供することができます。冠動脈疾患は治るのか?現在の医療技術では、冠動脈疾患を治すことはできません。しかし、アスピリンやクロピドグレルなどの抗血小板凝集薬、スタチンなどのプラーク安定化薬、ベタブロッカーやプリリジーなどの予後改善薬などの合理的な治療により、心筋梗塞に移行するリスクを減らすことは可能です。冠状動脈性心臓病
まとめると、狭心症、トロポニンの上昇、心筋虚血を示唆する心電図は冠動脈疾患のスクリーニングに有用である。 しかし、冠動脈疾患の診断のゴールドスタンダードは冠動脈造影であり、50%までの冠動脈狭窄が冠動脈疾患の診断となり、同時に冠動脈病変の位置と数を把握することができる。冠動脈疾患は治すことはできないが、妥当な治療によって冠動脈疾患の進行を遅らせ、心筋梗塞のリスクを減らすことができる。
読んでくれてありがとう!
間違っていたら訂正してください! 遠慮なくコメント欄で質問し、共有してください!
注:本記事の内容は、健康科学としてのみ意図されたものであり、医学的なアドバイスや意見として意図されたものではなく、医学的指導として適格なものではありません。
冠動脈疾患の診断には一定の基準があり、病歴、臨床症状、各種検査の組み合わせが必要だが、当面は50%の狭窄を示す冠動脈造影がゴールドスタンダードである!
しかし、実際の生活の中でそうではありません、私はいつ、胸痛は、一般的な患者の大半のために、症状から状態を決定することが最も一般的である冠状動脈性心臓病の代名詞となっているが、これは非常に間違った診断の視点であり、医療を求めている人々の多くは、自分自身にラベルを与えるために、まず自分の状態を強調するように、次のような:医師は、私は狭心症私は薬を飲むべきか?実際には、この患者は狭心症ではなく、安静不足による神経障害に過ぎないのですが、医師はそのことを知らないため、この患者はすでに他で診断されていると考え、間違いを犯す可能性が高いのです。

冠状動脈性心臓病は治るのか?
この質問には多くの要素を考慮する必要があり、直接答えるのは難しい。医学は複製できないし、100%の治癒を約束することもできない。しかし、冠動脈性心疾患群の一部は治癒する。
冠状動脈性心臓病は慢性疾患であり、その理由は、治療サイクルが長いことであり、一度病気にかかると生涯を伴う可能性があり、このような問題があるにもかかわらず、病気の性質から切り離すことができない、それは理由がないわけではないが、様々な原因因子を持っており、すべての私たちの治療と制御は、この基礎に基づいて検討する。
そして、一部の冠状動脈性心臓病の患者は治すことができると言ったが、また、冠状動脈性心臓病の原因因子の一つに基づいて、現代社会では、電子製品の台頭により、人々の生活、仕事のスタイルが大きく変化し、脊椎の問題がますます一般的になっている、一部の冠状動脈性心臓病の患者は、食事、喫煙、遺伝などの病気の原因ではなく、脊柱に病巣が存在する、脊椎病巣脊椎病巣は直接冠状動脈性心臓病の発生につながることはありませんが、椎骨の病変は、間接的に冠状動脈性心臓病につながる、神経支配システムを刺激するので、冠状動脈性心臓病患者のこの部分を治療するために、治療の病巣の神経調節を介してでなければならない、冠状動脈性心臓病患者を復元する神経系は、健康な生活に復元することができます。

冠動脈疾患の診断には一定の基準があり、病歴、臨床症状、各種検査の組み合わせが必要だが、当面は50%の狭窄を示す冠動脈造影がゴールドスタンダードである!
冠状動脈性心臓病の100パーセントの治療法はないが、冠状動脈性心臓病の一部のグループは確かに治すことができる。冠状動脈性心臓病は、長い治療期間のために慢性疾患であり、一度病気が生涯を伴うことがあり、トラブルにもかかわらず、それは病気の性質から分離することはできません、それは理由がないわけではありませんが、様々な原因要因があり、私たちの治療と制御のすべては、この基礎に基づいて検討する。
この質問と回答はサイト利用者のものであり、サイトの立場を代表するものではありません、侵害など、削除するには管理者に連絡してください。