脳出血の徴候がありますが、普通は気づきますか?
脳出血の徴候がありますが、普通は気づきますか?
脳出血は脳梗塞の一種であり、多くの前駆症状を伴うことが多い。例えば、多くは1~数回の一過性脳虚血発作を起こし、突然片目または両眼の見えにくさ、顔面または片側の手足のしびれや脱力感、不明瞭な発語、突然の激しい頭痛やめまい、あるいは吐き気や嘔吐、あるいは前日とは異なる形や感覚の頭痛やめまいが出現し、程度が悪化したり、間欠的なものから持続的なものに変化したりすることで症状が現れる。これらの徴候は、患者の血圧が変動していること、あるいは脳出血やくも膜下出血の徴候である脳機能障害を示している。一般に、これらの徴候は数分しか続かず、やがて消えてしまうため、患者は無視しがちで、病院に行くのが遅れると、治療に最適な時期が遅れることもあります。

脳出血は一般に脳出血と呼ばれ、脳血管障害の一種であり、中高年の高血圧患者によくみられる重篤な脳合併症である。脳出血は脳実質の血管破裂による非外傷性出血を指し、主な原因は高血圧症、脳動脈硬化症、頭蓋内血管奇形などである。脳出血は発症が早く、救急対応時間が短く、死亡率が高いため、事前に予兆を把握し、応急処置の知識を習得しておく必要がある。

脳出血の兆候がある:
1.顔、舌、唇、手足のしびれ:目の前がかすんだり、一瞬ものが見えなくなったり、耳鳴りや聴力の変化も現れます。これは脳血管への血液供給不足によるもので、脳の感覚機能に影響を及ぼす。
2.めまい、頭痛、さらには吐き気や嘔吐の突然の発症、または頭痛やめまいが前日と異なる感じ方、悪化の程度、または断続的なものから持続的なものになる。
3.血圧異常
4.高血圧患者の鼻血
4.頻繁な鼻血と眠気
5、突然物が見えなくなったり、目に重い影ができる。
上記のような脳出血の前兆は、すべての症例に現れるとは限らないが、一つでも現れれば脳出血の「警報」が鳴るので、特に警戒が必要である。
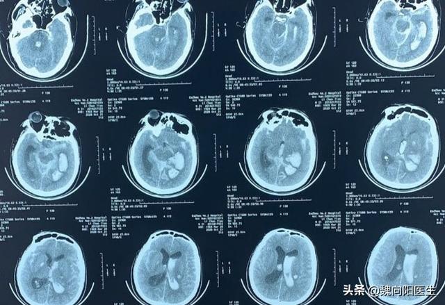
脳出血(脳内出血)とは、一般に脳出血と呼ばれ、脳の血管が非外傷性で破裂し、脳実質に血液が集まることを指す。脳内出血の発症率は10万人当たり12~15人で、脳梗塞に次いで高い。脳出血の発症率は非常に危険であり、発症後30日以内の死亡率は35%~52%と高く、6ヶ月後に自分の命を自分で守れる能力を回復できるのは20%程度である。したがって、脳出血の治療法を知り、事前に予防することが重要である。

脳出血の症状は、前触れもなく突然現れることが多いが、徐々に進行することもあるし、脳出血が起こる前に何らかの徴候が現れる人も少なからずいる。

脳出血
脳出血(脳実質内出血)の徴候は?
多くの場合、この徴候は患者が覚醒しているときに現れ、徴候は徐々に進行し、最後には著明な麻痺と昏睡の症状に至る。
標識には以下の9分野が含まれる:
●頭痛とめまい:頭痛は脳出血の最も一般的な徴候・症状である。頭痛は脳出血による髄膜の刺激によって引き起こされ、出血は徐々に増加し、頭痛は悪化する。頭痛に伴ってめまいが起こることが多く、眠気や精神の明瞭さの欠如を感じる。
●嘔吐:脳出血の発症前には、頭蓋内圧の上昇に伴う血圧の上昇で嘔吐を伴うことがある。
●手足がしびれ、歩行が不安定になる:突然の体の片側のしびれ感、脱力感、動きの柔軟性のなさ、口が曲がる、よだれが出る、歩行が不安定になる。
:: 不明瞭な発音:突然、舌が硬くなり、ろれつが回らなくなり、言葉が不明瞭になるのは、脳出血の最も一般的な初期症状のひとつである。
頻繁に窒息する:コントロールできない窒息が頻繁にある場合は、脳出血の可能性もある。兆し。
:: あくびと眠気:時間や場所に関係なく起こる不随意的なあくび、眠気、睡眠時間の増加の出現は、脳への酸素不足の兆候である。
● 頻繁に鼻血が出る:高血圧で普段から頻繁に鼻血が出る人は、脳出血の可能性が高い。
● 記憶力の低下:突然、記憶力が以前ほど良くないと感じたら、脳出血に注意すべきである。
● 首の後ろの痛み:首の後ろの不可解な痛み、膨張が優勢で、頭を下げると悪化する、これは血液のにじみの始まりかもしれない。

脳出血を防ぐには?
I. 危険因子のコントロール
脳出血は、血管に影響を及ぼす以下のような多くの危険因子によって引き起こされる:
● 高血圧の予防と治療:脳出血の95%は高血圧と関連している。通常、食事と良い生活習慣に注意を払うだけでなく、毎日、時間を取る。降圧剤の服用、定期的な血圧チェック血圧に異常がある場合は、病院で検査を受け、医師の指示に従い、薬の飲み方を変えたり、新たな治療計画を立てたりする必要がある。
● 脳血管奇形の予防と治療:さまざまな脳血管奇形は、できるだけ早期に手術で治療し、原因を除去して脳出血の発生を防ぐ必要がある。
脳アミロイド血管症:感情的なストレスや血圧の上昇を避ける。
他の病気の予防や治療も積極的に行っている:様々な血液疾患(再生不良性貧血、白血病、血小板減少性紫斑病、赤血球増加症、血友病など)の治療。
:定期的な薬の塗布:ワルファリンなどの抗凝固薬やアスピリンなどの抗血栓薬の長期使用には脳出血のリスクがあるため、定期的なモニタリングが必要である。凝固指数、皮膚あざ、便。

健康的なライフスタイル
減塩高血圧患者は5g/日未満、非高血圧患者は6g/日未満が望ましい。
飽和脂肪の摂取を制限する:脂肪分の多い肉や揚げ物、甘いものを控え、新鮮な野菜や果物、低脂肪の乳製品を多く食べる;
不飽和脂肪:動物性油脂の代わりに植物性油脂(オリーブ油、ひまわり油)、ナッツ類、深海魚を多く摂る。
:: 体重管理体格指数(BMI)を24以下に保つ。
禁煙とアルコール制限
身体活動の増加:ジョギング、早歩き、水泳、サイクリング、バドミントンなどを週4回、30分以上。
仕事と休養の組み合わせに注意し、リラックスした気分を保つ。感情の起伏を避ける。

結語
脳細胞は "タイマー "のようなもので、それを救うのは時間との勝負である。以上のような脳出血の兆候に注意し、それが現れたらすぐに警戒し、速やかに病院で検査・治療を受けてほしいと切に願う。

脳出血は、一般に脳出血と呼ばれ、一般的でより重篤な急性脳血管障害である。脳出血は一般的で重篤な急性脳血管障害で、毎年季節の変わり目の秋、冬、春に発症し、過労や精神的興奮などが誘因となり、片麻痺、失語症、意識障害などの神経障害をきたすことが多い。脳出血は急速に発症し、高い確率で障害や死亡をもたらす非常に危険な病気です。早期に発見し治療しなければ、重大な結果を招く可能性があります。
実際、脳出血患者の約半数は、発症前にある種の前兆症状を示す:
まず、突然の激しい頭痛の発症や、長期化していた頭痛の突然の悪化、特に吐き気や嘔吐などの症状を伴う場合は特に注意が必要である。
次に、突然の手足のしびれや脱力、動きの柔軟性のなさ、物を落とす、足を引きずって歩く、片側に倒れる、あるいは手足の完全な片麻痺などである。
第三に、他人と話しているときに、突然言葉が不明瞭になったり、口ごもることがある。
あなたの健康問題を解決するために、"ハッピー・リトル・ドクター "に従います!
中抜き
脳血管疾患は、人間の健康を脅かす一般的で頻発する疾患であり、人間の致死的疾患のトップ3に入る。出血性脳症は脳血管疾患の中で最も死亡率の高い疾患であり、中国における急性脳血管疾患の約40%を占め、急性期の死亡率は30〜40%であり、一命を取り留めた患者の多くは様々な程度の障害を負っている。
脳出血の前駆症状
1.鼻血が頻繁に再発する。
2.突然の激しい頭痛の発症、または罹病期間が長くなると、徐々に悪化する傾向がある。また、ほとんどの場合、吐き気、嘔吐症状を伴う。
3.他人と話しているときに突然言葉が出なくなったり、言葉が不明瞭になり、相手の言っていることが理解できなくなる。
4.意識障害、混乱覚醒、失禁。
5.めまい、周囲がぐるぐる回る感じ、安定して立っていられない、地面に倒れ込んで失神する。これらの症状は一過性のもの、繰り返し起こるもの、悪化するものがある。
6.目に重い影ができ、首がこる。
7.歩行が不安定、体の片側がしびれる、脱力感、柔軟な動きができない、手で持ったものを落とす、口が曲がる、よだれが出る。
8、一度原因不明の眠気、眠気現象に細心の注意を払う必要があり、虚血性脳卒中の前兆である可能性が高い。
脳出血の緊急治療
見つけたらまず120番通報し、病院への搬送の準備をする。
1.患者を鎮静状態に保ち、すぐに横にする。痰や嘔吐物を気道に吸い込まないように、頭を片側に傾ける。
2、素早く患者の襟とベルトを緩め、室内の空気循環を保ち、寒い時は保温に注意し、暑い時は冷却に注意する。
3.意識がなく、いびきが強い場合は、舌根が下がっている可能性があるので、ハンカチやガーゼで舌を包み、外側に軽く引っ張る。
4.冷やされたタオルで患者の頭を覆うことができる。
5、失禁した場合はその場で対応し、脳出血の悪化を防ぐため、患者の体を恣意的に動かしてはならない。
6.患者の容態が安定している病院までの道中では、車はできるだけスムーズに運転し、段差や振動を少なくする。同時に、患者の頭を少し高くして地面との角度を20度に保ち、随時容態の変化に注意する。
脳出血の予防法
1、規則正しい生活であるべき高齢者は、自分の能力の範囲内で適切な労働を行うことができるが、あまり激しい労働はできない。
2、血圧を制御する必要があります 高血圧は、生涯の薬に生涯の病気は、血圧が脳出血を発生させる血管の破裂につながることは非常に簡単なリバウンドを繰り返すように、3日間魚2日することはできません。
3、楽観主義を維持するために心の良い状態を維持し、心配を減らすために穏やかな心の状態を達成するためにあまりにも多くの興奮を避けるために、悲しみと幸福は幸せになるために十分に知っている名声と幸運に過度に無関心ではない。
4、ダイエットに注意を払う ダイエットは、低脂肪、低塩、低糖に注意を払う必要があり、より少ない動物の脳の内臓を食べ、より多くの野菜や果物の大豆製品、赤身の肉、魚や卵の適度な量を食べる。
5、便秘を防ぐ便の乾燥排便力、腹圧が上昇するだけでなく、血圧や頭蓋内圧も同時に上昇する。もろい細い血管が破裂して脳出血を起こしやすくなる。
6.過重労働の防止 過重負荷は脳出血を誘発する可能性があるため、肉体労働や精神労働は過重にならないようにする。
7、天候の変化に注意を払う 寒さは脳卒中にとって良い季節であり、血管の収縮血圧が上昇しやすく、体が気候の変化に適応するように保温に注意を払うだけでなく、自分の健康状態に応じて、いくつかの適切な物理的な運動を実施する。
8、日常生活で左手をよく動かして、左上肢と左下肢をできるだけ動かし、特に左手は脳の左半球の負担を減らすことができる。脳の右半球の調整機能を強化するために、脳の右半球を運動させることができ、医学の研究では、脳出血が最も血管で発生する可能性が高いことが示されている脳の右半球に脆弱である。
9、自分の体の変化に細心の注意を払うストロークは、このような重度の頭痛めまい失神、いくつかの突然のしびれや脱力感、またはビジョンの言語コミュニケーションの難しさの瞬時の損失、などの原因として、いくつかのオーラの症状を持っていない、タイムリーな診察と治療する必要があります。
脳出血は一般に脳出血と呼ばれ、脳血管障害の一種であり、中高年の高血圧患者によくみられる重篤な脳合併症である。脳出血は脳実質の血管破裂による非外傷性出血を指し、主な原因は高血圧症、脳動脈硬化症、頭蓋内血管奇形などである。脳出血は発症が早く、救急対応時間が短く、死亡率が高いため、事前に予兆を把握し、応急処置の知識を習得しておく必要がある。

脳出血は発症が早く、発症後数時間から数日で患者の命を奪うことも多い恐ろしい病気である。しかし、脳出血は徐々に進行する。脳出血の発症前には、何らかの前兆がありますが、安静が十分でなかったり、運動後の労作に似た症状もあり、気づきにくいため、まったく気づかない人も少なくありません。
脳出血の兆候がある:
1.突然のめまい、激しい頭痛
2.あくびが止まらない
3.血圧異常
4.高血圧患者の鼻血
5、突然物が見えなくなったり、目に重い影ができる。

上記の徴候に加え、窒息、咳、嚥下困難、突然の半身のしびれ、疲労、眠気、耳鳴りなども脳出血の徴候であり、これらの2、3の徴候があれば、脳血管障害によるものかどうか、常に注意を払う必要がある。
脳出血は短時間で発症することが多く、油断すると命にかかわる危険な状態になることもある。そのため、いざというときのために、一定の応急処置の知識を持っておくことが大切です。
1、家族が到着したとき、緊急電話を呼び出す時間をつかむために、最も盲目的に患者を移動することは避けてください。
2、患者が可動式義歯を装着している場合は、襟を緩めて、そのうちに外せるようにする。嘔吐物が気管に吸い込まれて窒息するのを防ぐため、患者の頭を片側に傾けて横向きに寝かせ、気道が開いていることを確認する。

3、刺繍針や釘などの鋭利なものは、ライターで炙って殺菌し、指先で放血する。一般的には、頭蓋内圧を下げるために少上点と中中の2つのツボで放血し、位置が正確につかめない場合は、各指の先で放血することもある。生存率を最大にするためには、10分以内に行うのがベストである。

4、冷却治療を行うために患者の発症に、患者の頭と首の氷嚢は、脳の温度を下げるために、頭の血管収縮は、脳内の出血を減らすために、換気の発生の後遺症を減らすようにする。
5.患者が比較的狭い場所にいる場合は、頭が触れないように、頭と体のバランスが取れるように、呼吸がスムーズになるように、広々とした場所にそっと移動する。
脳出血の原因は主に脳血管の病変と硬化に関係する。血管の病変は高脂血症、糖尿病、高血圧、血管の老化と密接な関係がある。血管狭窄は確かに高血圧を引き起こし、特に腹部大動脈、腎動脈狭窄や大動脈炎が二次性高血圧によって引き起こされる場合、脂質代謝異常は高脂血症を引き起こし、血管壁に脂質が沈着し、アテローム性動脈硬化症の形成を促進し、プラークの形成が増加し、徐々に血管をブロックするため、心血管疾患を引き起こし、脳で発生した脳卒中になります。同じことが血管の老化にも当てはまります。

脳出血は、血管の狭窄、血管の閉塞と硬化、血管の病変が主な原因であるため、血管の閉塞と硬化を避けさえすれば、脳出血を十分に予防・治療することができる。毎日の食事は、コレステロールを下げ、血管をきれいにし、血管に栄養を与える食品を適度に組み合わせ、血管を広げ、血管の閉塞や硬化を改善し、脳出血を予防・治療する。
レシピ:アスパラガス100g、アガリクス・ブラゼイ30g、大豆30g、ゴジベリー10g
実践:4種類の食品は、まず1時間を浸し、洗浄し、半時間鍋で煮込みは少し砂糖に追加することができ、スープを取り出し、1日3回飲む、救済を改善するために血管閉塞性硬化症の後に2週間飲むことを主張し、脂質、トリグリセリドや他の血管のゴミの血管を除去することができ、血管壁の老化を遅らせ、血管を拡張するので、血液の流れがスムーズです。

食品療法は高価であり、一定の時間を必要とする。直接血管硬化症や血管症の問題を改善したい場合は、インターネット上でアガリクスとアスパラガス複合菌発酵液にも関連している、これらは食品発酵液に属し、原理は、食品の様々なプロバイオティクス細菌発酵を使用し、薬効成分の食品の精製と活性化、相対的に言えば、この発酵液の効果は、アガリクスとアスパラガス、および他の食品を半月食べるよりも時間を飲むことが良くなる。
アガリクス・ブラゼイ、アスパラガス、ゴジベリー、大豆など4種類の食品の煎じ汁は、血管の老廃物を取り除き、血管硬化を改善し、非常に良い効果がある:
1、核酸:血液中のゴミは主に過酸化脂質、コレステロール、トリグリセリドなどを指し、核酸は過酸化脂質、コレステロールの発生を抑制し、血管のゴミを一掃し、血管を拡張し、血管壁の再生を促進することができる。
2、ルチン:毛細血管の脆弱性を減少させる能力を持っており、同時に血圧を下げることができるので、末梢血管拡張、心血管収縮強化、血管内毒素の除去を助長し、心血管およびその他の機能を向上させる。臨床的に高血圧、脳出血および他の処置の多くの適用。
3、リノール酸:血管コレステロールを下げる効果があり、動脈硬化を防ぎ、血管を柔らかくする。また、コレステロールはリノール酸と結合しなければ体内の正常な操作と代謝を行うことができないため、リノール酸を補充することで、血管壁のコレステロールの沈着を避けることができ、血管の詰まりや硬化を防ぐことができます。
4、大豆レシチン:レシチンは、乳化することができ、油脂の分解は、それが肝臓に戻って輸送される血液中に溶解し、代謝されるように、微粒子に乳化血管壁コレステロールや脂肪に添付することができます。
多くは高血圧や動脈硬化のある中高年に発症する。発病前には、めまい、頚部痛、軽度の運動障害や手足の感覚障害がある。誘発因子の多くは感情的興奮、過労である。トイレ、時にはあくびも発症することがあり、しばしば突然、急速に進行する。全身症状:激しい頭痛、嘔吐、眠気、深い昏睡に至る。バイタルサインの変化:深い呼吸、遅い呼吸、不規則な呼吸、遅い脈拍、深い血圧上昇、高熱。
{!-- PGC_VIDEO:{'thumb_height': 1080, 'vid': 'v02016db0000busvoha8r9g8ksn73lh0', 'thumb_width': 1920, 'vposter': 'https://p3-sign.toutiaoimg.com/tos-cn-p-0000/7c032c9194a644da8be19cc7883e49cb~noop.image?x-expires=1957653468&x-signature=UtyZ%2FaG79zteCWyGxQElk9p1niA%3D', 'vu': 'v02016db0000busvoha8r9g8ksn73lh0', 'duration':72.075, 'thumb_url': 'tos-cn-p-0000/7c032c9194a644da8be19cc7883e49cb', 'thumb_uri':'tos-cn-p-0000/7c032c9194a644da8be19cc7883e49cb', 'video_size':{'high':'duration': {'duration':72.075, 'h':1080, 'w':1920}, 'ultra': {'duration': 72.075, 'h': 1080, 'w': 1920}:72.075, 'h':1080, 'w':1920}, 'normal': {'duration':72.075, 'h':1080, 'w':1920}}}--}
魏向陽博士
脳出血は神経内科領域における主要な救急疾患であり、急性発症、高障害率、高死亡率を示し、患者の家族や社会全体に非常に深刻な経済的負担をもたらす。
これらの脳出血の大部分は予防可能である。
脳にとって最も重要な危険因子は高血圧で、脳出血のおよそ95%に関与している。特に高血圧が若年化している現在、脳出血を発症する若者が増えている。
したがって、脳出血の予防は高血圧のコントロールに重点を置く。

脳出血の徴候
- 急激な血圧上昇を伴う頭痛、著しい頭部の腫脹、吐き気や嘔吐を伴う頭痛は、脳出血の可能性と同様に疑われるべきである。
くも膜下出血の最も顕著な症状は、首のこわばりを伴う激しい頭痛である。
- 片方の手足の突然の好ましくない動き、体の片側の感覚障害、好ましくない話し方、口が曲がる。
- 両眼の片側の突然の注視、両眼の片側の視野欠損、複視など。
- 突然の昏睡!

脳出血を起こしやすい人
- 凝固障害を伴う血液疾患(白血病、血小板減少症、血友病など)を伴う!
- アスピリン、ワルファリン、リバーロキサバン、ダビガトランなどの抗血小板凝集薬や抗凝固薬を長期間服用している人。
- 血圧コントロール不良の慢性高血圧。
- 脳アミロイドーシス、スモッグ病、動脈瘤、脳腫瘍など。
脳出血は重篤な脳血管障害であり、その原因は高血圧が最も多く、次いで血管奇形、外傷性脳損傷によるものもある!
脳出血が起こる前には、めまい、頭痛、いらいら、目のかすみ、四肢の脱力などの前兆がある!

この質問と回答はサイト利用者のものであり、サイトの立場を代表するものではありません、侵害など、削除するには管理者に連絡してください。
