心臓にステントを留めた後、生活の質は落ちますか?
心臓にステントを留めた後、生活の質は落ちますか?
心臓ステントを入れると生活にどのような影響がありますか?心臓ステント手術について
心臓ステントは冠状動脈性心臓病を治療する有効な手段の一つであるが、ステントに対する人々の見方は様々で、ある人は疑い、ある人は恐れ、ある人は拒絶さえする。

心臓ステント手術は、手術時間が短く、術後の回復が早いことから、現在中国では冠動脈疾患心筋虚血の治療法として最も人気のある治療法の一つとなっている。しかし、人々はステント手術についてどの程度知っているのだろうか。
心臓ステントとは?
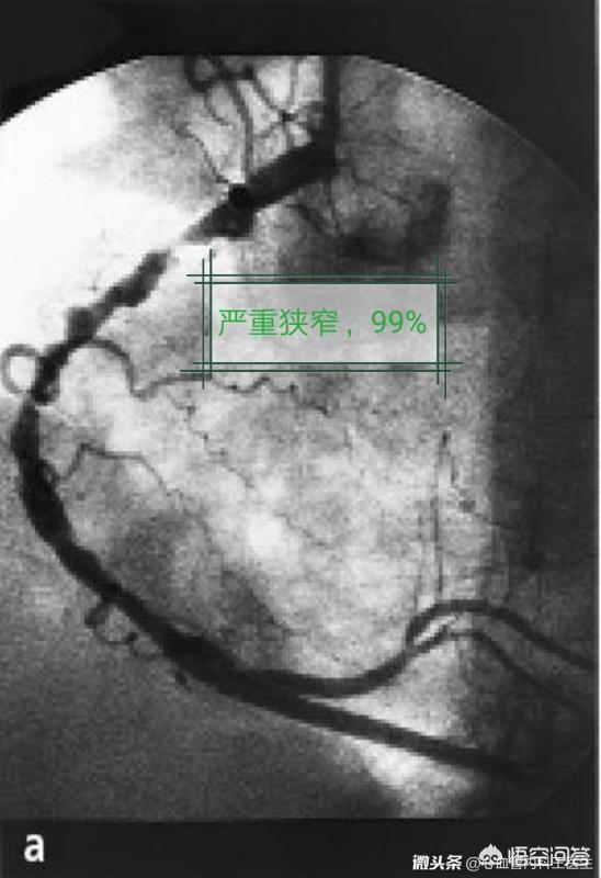
心臓ステントは冠動脈ステントとも呼ばれ、PTCA(経皮経管冠動脈形成術)手技で使用される器具である。心臓ステントは、体外では小さなメッシュ壁の金属チューブのように見え、ワイヤーとその前部のマイクロカプセルなどで構成されています。動脈ステントは動脈を支え、狭窄を解消し、スムーズな血流を確保する役割を継続的に果たすことができる。ステントは一般に急性心筋梗塞やその他の急性冠症候群の治療に用いられ、患者の生命を救ったり、生活の質を向上させたりする。
心臓ステント留置術はどのように行われるのですか?
心臓ステント手術は、まず人の腕や脚の動脈から小さな開口部を開け、小さな弾丸のようなものが装填されたプローブを挿入したラインに接続し、小さな弾丸の超音波観察を通して、弾丸の後に閉塞した場所の冠動脈血管に到達し、鉄の傘である弾丸を開くと、突然血管をサポートするために血管が一時的に支えられているので、血液が上に来ることができます。

どのような患者が心臓ステント留置術の候補にならないのですか?
1.冠動脈の軽度の狭窄や、血流にほとんど影響を与えない狭窄、あるいは重要性の低い軽度の枝血管病変のある患者は、通常、薬物治療のみを行い、その後は定期的に経過観察を行う。この時期にステントを植え込むと、かえって害になることがある。
2.冠動脈疾患とそれに伴う心臓の構造的変化(例えば、弁膜症の合併、心筋梗塞後の著しい心室壁腫瘍など)を有する患者は、これらの問題を完全に解決するために外科的治療を優先すべきである。
3.血管のある部分はインターベンション治療には非常にリスクが高いが、手術は比較的リスクが低いので、この場合も手術治療を選択すべきである。
心臓ステントの種類は?
1、ブランクステント(ベアメタルステント):ステントは人体にとって異物であり、人体はそれを「攻撃」し、内皮細胞の過形成や炎症反応を起こし、平滑血管の再狭窄や閉塞を引き起こす可能性がある。空ステントの再狭窄や閉塞の発生率は30%と高く、現在では使用されていない。
2、薬剤ステント:心臓ステントを留置した後の閉塞をさらに防ぐために、金属ステントの表面に薬剤の膜をコーティングしたものが薬剤ステントである。この種のステントは体内に留置された後、薬剤がゆっくりと放出され、ステント周囲の瘢痕組織の増殖を抑制し、冠動脈の開通を維持する。これにより、冠動脈の再狭窄や閉塞の発生率は10%に減少する。

ブレースを入れるということは、これで決まりということですか?
ステント内に血栓や再狭窄がない限り、ステントは生涯患者とともにあることができる。
ステント内血栓症は以下のように定義される。より大きな血栓が短時間で形成され、血管の急性閉塞を引き起こす。この血栓はステントが入っていない血管で発生することもあれば、ステント内で発生することもある。いったん血栓ができると、基本的には心筋梗塞や突然死につながる。
この高いステント内血栓症の発生率は:ステント留置後1年までの発生率は約1%である。したがって、患者がステントを留置した後、アスピリンを服用し続けることに加えて、医師はクロピドグレルという薬を追加します(クロピドグレルの現在の使用のほとんどは、少数の患者はプラスグレルまたはテグレトールを使用することができます)、このクロピドグレルは、ステント内血栓症を防ぐために、それは血小板の凝集を阻害することができ、血栓の形成を許可しません。
ステント留置後1年経過すると、通常クロピドグレルの投与は中止されるが、アスピリンの投与は継続される。その後のステント内血栓症の年間発生率は約0.5%である。したがって、ステント留置術後1年経過した患者がこの薬物併用療法に耐えることができ、かつ血栓症のリスクが高い場合には、ステント内血栓症の発生を最小限に抑えるためにこの薬物併用療法を継続することを勧める医師もいる。
クロピドグレルの服用を自己判断で中止すると、ステント内血栓症のリスクが大幅に上昇し、数十倍になるとの報告もあります。したがって、ステント留置後の服薬については医師の指示に従うことが重要です。

ステント内再狭窄はステントを留置した血管は、より長い期間(通常は数カ月から数年)をかけて、ゆっくりと再び閉塞していきます。このプロセスは非常にゆっくりなので、通常は心臓発作には至らず、最も一般的な症状は狭心症です。
現在のデータでは、ステント内再狭窄の5年発生率は全体で約10%である。
ステント内再狭窄に影響する因子は多く、およそ3つに分類される:
1.ステント因子:一般に、第2世代の薬剤ステントは第1世代の薬剤ステントよりやや少ない。
2、病変因子:血管のステント部位が分岐していたり、細かったり、非常に長かったり、曲がっていたりすると、再狭窄を起こしやすい。
3、患者要因:ステント留置後、患者の血圧、血糖値、血中脂肪がコントロールされておらず、喫煙を続けている場合、再狭窄の発生率が高くなる。
手術は主に症状を和らげ、病状を安定させる役割を果たしますが、良い結果を得るためには、術後のケアも無視できません。食事の科学的な配置は、果物や野菜、低脂肪、高タンパク質の食品の適切な量の摂取量を確保するために、好ましくは、アルコールを飲まない、人と交際する必要があります一日あたり50ミリリットル以上することはできません、喫煙は厳禁です。

心臓のステント手術後も胸のつかえがあるのはなぜですか?
ステント手術後も胸が締め付けられるような痛みを感じる人がいるが、これは主に心筋壊死が不可逆的であるためである。一旦心筋が虚血すると、数分単位でカウントされ、数分は壊死の一部となります。12時間以上経過すると、心筋の閉塞範囲は基本的に死んでしまい、収縮せず、動きません。田んぼが干上がって稲が枯れるようなものだ。水が入っても、死んだ稲は死んだままなのです」。
マウントは落ちますか?
ステント留置中にステントが脱落する危険性があるが、これは主に血管の湾曲と重度の石灰化によるものである。ステントが体内にうまく留置された後は、ステントは血管壁にぴったりとフィットし、脱落することはない。患者が活動的であったり、体外式心臓圧迫や除細動を行ったりしても、ステントが外れることはない。
ステント手術後にMRIを受けることはできますか?
ステンレススチールステント留置後少なくとも8週間はMRI検査を行うべきではない。新しいコバルトクロムステントにはこの制限はないので、詳細については外科医に相談すべきである。
実際、MRI検査では高強度の磁場が発生するため、ステントの変位や血管の熱傷など、金属インプラントへの影響が懸念される。しかし、技術の進歩とステント材料の改良により、一般的に言って、1.5T MRIは現在市場で主流のステントにほとんど影響を与えない。

ステント手術後、普通の生活ができますか?
心臓ステントは冠状動脈性心臓病を治療する有効な手段の一つですが、ステントに対する人々の見方は様々で、ある人は疑い、ある人は恐れ、ある人はステントを拒絶し、ステントは無効だと考え、ステントを心臓に入れる限り、その人は何もできず、仕事もできず、日常生活さえも影響を受けると考えている人もいますが、実はこれは極めて間違った考え方です。
北京301病院循環器内科副主任医師王齊は、心臓がステントを入れて、冠動脈の血管の閉塞が再開通し、正常な血液供給を回復し、安定狭心症であるか不安定狭心症であるかにかかわらず、患者の症状が大幅に改善することができ、心筋梗塞がない限り、心機能が正常である患者は自由に動き回ることができ、普通の人の生活に戻ることができます。

ステント手術後に注意すべきことは?
1、定期的な投薬:これはステント留置後の最も重要なキーファクターである。ステントは血管に留置される金属異物であり、血栓症のリスクがあるため、ステント留置後1年間(現在の中国の専門家のコンセンサス)は、抗血小板薬(アスピリンとクロピドグレルまたはテグレトール)の二重投与を私的に中断することはできません。
2、定期的な経過観察:ステント留置後の定期的な経過観察は非常に重要で、ステントに対する体の反応や長期内服薬の副作用の有無などを早期に診断し、経過観察中に的確に調整することができる。
危険因子の回避:冠動脈性心疾患は全身疾患である動脈硬化性疾患の一種であり、ステント留置術は冠動脈狭窄が70%以上の病変にしか対応できない。ステントを心臓に留置した後、胸痛の症状はかなり改善したが、帰宅後も喫煙、夜更かし、運動不足などの悪い生活習慣が続き、その後3年間症状が再発し、その後2本のステントを作り続けたというような患者さんがいます。ステントはあくまで対症療法であり、危険因子の回避が病気の根本原因なのです!
以上の3点を厳守することで、ステントは一生使えるようになり、普通の人と同じような生活を取り戻すことができる。
冠動脈疾患患者にとって、心臓ステントを留置して狭い血管を開くことは、心臓の虚血状態や低酸素状態を効果的に緩和し、狭心症の症状を改善し、冠動脈疾患患者のQOLを改善することができる。ステントを植え込まない冠動脈疾患患者と同様に薬物療法を遵守する必要があるが、重篤な心血管イベントのリスクは減少する。血管内ステントは日常生活に大きな支障をきたすことはなく、患者は旅行や運動、仕事を我慢できる範囲で行うことができる。
患者さんの中には、携帯電話や何らかの電磁波の使用がステントに影響を及ぼし、ステント内に血栓が形成されたり、発熱、装着不良、ズレなどが生じるのではないかと心配される方もいらっしゃいますが、実際にはそのような心配は不要で、現在使用されているステントはステンレス、ニッケル、チタン、チタン合金、ニッケルチタン合金、白金などで構成されており、非磁性材料であり、留置後約6~8週間で組織内皮の増殖により血管に強固に結合します。したがって、磁場環境はステントに影響を与えないので、携帯電話などの電気製品を怖がる必要はなく、MRIだって可能だ。
心臓ステントを留置した冠動脈疾患患者にとって、生活上注意すべきことは、減塩・低脂肪食、禁煙・禁酒、適度な運動、休養に留意し、心を穏やかに保つなど、主に冠動脈疾患の予防と治療のための要素である。ステント植え込みが自分に大きな負担をもたらし、精神的な負担となり、通常の生活に影響を及ぼすことはありません。冠動脈疾患のコントロールが良好であれば、ステント留置患者も普通の人と同じように生活を楽しむことができ、日常生活の質も低下することはなく、それどころか非常に向上する。しかし、ステント植え込み術の病態、患者の利益、長期予後を評価することは依然として必要であり、ステント植え込み術の治療的役割をやみくもに否定したり、神話化すべきではない。
薬事ウェブサイトの権威ある解釈を無断で複製することは禁じられており、盗用は告訴される。
心臓にステントを留めた後、QOLは低下するのでしょうか?これは良い質問で、ステントを入れた患者さんやこれからステントを入れようとしている何百万人もの患者さんを代表して聞かれる質問であり、多くの心に響く疑問を投げかけるものです。実際、この質問は私がクリニックで最もよく受ける質問のひとつです。
心臓ステントを留置した患者が急性心筋梗塞で入院した場合、ステント留置後の患者のQOLは影響を受ける可能性が高い。もし患者が急性心筋梗塞の狭心症の段階になる前にステントを留置して入院した場合は、患者のQOLは影響を受けにくい。なぜそうなのでしょうか?説明しよう。
最初のシナリオは、急性心筋梗塞で入院した場合である。この場合、心筋梗塞後、心機能が低下している可能性が非常に高い。 心機能が低下していると、一生治りにくい傷もあり、心機能が低下していても、心機能が低下しなければ治らないケースがほとんどで、以前、心筋梗塞がなかったころまで完全に回復させることはあまり現実的ではない。しかし、少数の心筋梗塞患者については、早期治療により心機能が著しく低下しないことも存在するが、このような状況は一般的ではない。心臓ステント留置術後にもいったん心機能が低下すると、術後の患者のQOLに影響が出ることがあり、これも臨床ではよくあることである。心筋梗塞を "死か傷か "と呼ぶのもこのためである。
2つ目の状況は、狭心症の段階で心臓にステントを入れることで、心臓が心筋梗塞を起こす前に具体的な問題を解決することである。ほとんどの場合、心臓の機能は損なわれておらず、ステント留置後、薬をきちんと服用し、定期的な検査を受ける限り、患者の生活は問題なく、生活の質に大きな影響を与えることはない。もちろん、狭心症の段階でさまざまな理由で心機能、特に拡張機能が低下している患者さんも少数ながら存在し、後期のQOLにも影響を及ぼす可能性があり、このような状況も存在しますが、多くはありません。
心臓ステントを留置した患者のタイプにかかわらず、服薬を継続し、定期的な検査を受け、何か症状があれば医師のフォローアップを受ける必要がある。
より詳しい健康情報については、張志英医師のヘッドライン・ナンバーをフォローしてください。
招待してくれてありがとう!すでに多くの専門家が良い回答をしています。これは患者や家族にとって、実に大きな関心事です。
この質問は個別化する必要があり、患者の状態やステント留置の状況に応じたものだと思います。さらに、ステント留置の効果は同じではなく、術後の短期的な影響もあれば長期的な影響もあります。

以下について考えてみよう。考察会心臓(冠動脈)ステント留置後のQOLへの影響。
1.冠動脈ステント留置時の状態.心筋梗塞が発症する前に冠動脈ステント植え込み術が行われれば、QOLの改善は非常に有益である。しかし、急性心筋梗塞がすでに発症している場合は、ステント治療によって救命できたとしても、その恩恵は減少する。梗塞した心筋は再生せず、梗塞した心筋は収縮機能を失い、心臓の構造はリモデリングを起こし、心機能に影響を及ぼすからである。したがってステント留置後のQOLは心筋の血液供給状態と心機能に密接に関係している,心筋梗塞患者におけるステント留置後の抗心室リモデリングと心筋保護療法は観察されなければならない(プリロセックやサルタン、ベータ遮断薬など)。

2.ステント留置による冠動脈病変全体の改善.ステント留置術は冠動脈血行再建術の一つである。1本の血管に1つの病変があれば、ステント留置によって血流が完全にリモデリングされ、心筋への血液供給が全体的に改善される。しかし、複数の血管に複数の病変がある場合、冠動脈ステントの留置は局所的な問題を解決するだけで、心筋への全体的な血液供給の改善には限界があり、QOLの改善にも限界がある。

3.ステント留置技術の完成.人体は複雑であり、冠動脈病変はさらに複雑である。冠動脈ステント留置術においては、多くの条件がステント留置術に制限や影響を及ぼし、その結果、最適で望ましいステント留置とはいえない結果を招くことがある。このような技術的欠陥は冠動脈ステント留置の結果にも影響する。

4.冠動脈ステント留置後の管理、包括的治療.冠動脈ステント留置術は、冠動脈を機械的に開通させる方法に過ぎず、冠動脈硬化の進展を解決することはできず、長期的なコントロールには、抗動脈硬化(コレステロール低下、抗血小板)治療、コントロール、様々な危険因子や関連疾患の治療が必要であり、これらの問題が解決されなければ、ステント留置術の有効性を連結・維持することはできず、再狭窄の発生、冠動脈硬化による心筋虚血による再閉塞により、生活の質にも影響を及ぼすことになる。閉塞による心筋虚血。したがって冠動脈ステント留置後も維持すべき長期的な薬物療法と生活習慣への介入。

5.ステント留置後の患者の見解抗血小板薬の集中投与など治療に対する忍容性.例えば、冠動脈ステント留置後は血栓症になりやすいため、集中的な(二重の)抗血小板療法が必要となる。しかし,抗血栓療法のアンチテーゼは出血である。冠動脈ステント留置後の患者が二剤併用(アスピリン+クロピドグレルまたはテグレトール)抗血小板療法によく耐え、単剤抗血小板療法に移行すれば、それはもちろん素晴らしいことであるが、忍容性が不十分であったり、出血性合併症が起こったりすれば、QOLに影響を及ぼしかねない。他の薬物療法にも反応や忍容性があります。

(画像はウェブより)
ステントこのことは確かに便利で、速く、安全ですが、なぜ外国の血管ステントを行うことが少なくなります、術後の問題にある、抗凝固薬を服用する必要があり、血栓の再形成、異物の拒絶反応がこのような問題になります、外国の最初の数年間は、より多くの人工血管置換であり、その後、単に自家血管移植を使用し、もちろん、技術上の後者の方法は、より高いの要件では、コストは低くない、多くの病院を実施することができますが、また、コストは低くありません。もちろん、後者の方法は、より多くの技術と協力を必要とし、コストが低くないので、実施することができます多くの病院はありません。
ステントを入れただけで、体は元通りになります。だから、大丈夫だと思う人もいますが、喫煙、飲酒、徹夜、過食は、3年経っても血管は閉塞したままで、狭心症、梗塞はすぐに起こります。だから、ステントを入れた後は、薬をきちんと飲むこと💊、禁煙、禁酒、少食、低脂肪、低油分。運動量は。徐々に良い体になりますよ。
現在、冠動脈疾患や心筋梗塞などの循環器疾患はますます一般的になってきている。 これらの疾患に対しては、薬物療法も一面であるが、どうしても心臓ステント手術を受けなければならない患者もいる。近年、心筋梗塞の若年化が進んでおり、若くしてステントを装着する患者さんも少なくありません。そして、ステント手術について、多くの人が疑問を抱いている。
心臓にステントを留めた後、生活の質は落ちますか?
心臓ステント手術が生活の質に影響を及ぼすかどうかは、多くの患者にとって懸念事項である。このような患者は常に、心臓に追加のステントを入れることは「時限爆弾」に等しく、非常に安全でないと感じており、そのため多くの患者がステント手術を受けることを拒否している。中には、その安全性が信じられないという理由でステント手術を延期し、結局命を危険にさらすことになった患者さえいる。心臓発作のような病気に直面したとき、医師には説明する時間があまりありません。今日、私たちはもう一度ステント治療を正当に評価します。

まず、心臓ステント手術を受けるとどのような影響があるのか。
正直なところ、心臓にステントを1本余分に入れたからといって、何の影響もないとは言い切れません。少なくとも、ステントを入れるということは、心臓血管に問題があるということであり、それは不可逆的な大きな問題です。心血管閉塞の原因の多くは冠動脈内のアテローム性動脈硬化プラークの形成によるものであり、これは元には戻らないからです。閉塞した血管を一時的に開くステント留置術を受けたとしても、再び血管が閉塞する可能性があります。一度目があれば二度目もある、ということわざがあるように、閉塞の原因は常にそこにあり、取り除くことはできないからです。
つまり、心臓ステントの手術を受けるということは、これまでのような気ままな生活ができなくなるということです。何をすべきで、何をすべきでないかを知る必要があり、これは実際、生活の質を向上させるものなのです。
長い間タバコやお酒を吸っていて、なかなかやめられなかった人も、ステント手術を受けることで目が覚め、健康の大切さに気づき、タバコやお酒をやめる決心がつくかもしれません。以前は食べることや飲むことに何の抵抗もなかった人も、ステント手術を受けることで自制心が生まれ、油分や塩分、糖分の多い食べ物はもう食べられないと気づき、意図的に控えるようになるかもしれません。以前は運動や夜更かしが嫌いだった人も、ステント手術を受ければ、早寝早起きの習慣が身につき、運動を続けられるようになるかもしれない。以前は肥満で体重を減らす方法がなかった人も、ステント手術によって体重を減らす決心がつき、スリム化に成功するかもしれません。
これらは、心臓ステント手術があなたの人生にもたらすプラスの効果です。ステント手術を通じて健康の大切さを実感し、生活の改善を決意するからです。もちろん、これらをマイナスの影響ととらえ、ステント手術を受けたらタバコが吸えない、お酒が飲めない、夜更かしができない、楽しく食事ができないなど、生活の質が下がると感じるのであれば、それは個人の意識の問題です。

第二に、心臓ステント手術を受けた後、本当に直面しなければならない問題がある。
紛れもなく、一部の患者にとって、ステント留置術は生活の質に悪影響をもたらす。例えば、若い人の中には、結果的に終わりのない痛みに襲われ、この先ろくな人生を送れないと思い、一日中落ち込んで否定的で悲観的になり、人生や希望さえもあきらめて退廃的な生活を送る人もいるが、これは間違いなくマイナスである。最終的には、個人の姿勢の問題である。
心臓ステント手術後の患者にとって正面から取り組むべき本当の問題は、実はステント手術後の再発の問題である。患者が正しく行えば、手術によって狭心症の症状が改善するのは良い影響である。ステント留置術の影響を受けた患者は、その後の薬物療法や生活介入に不注意なために、ステント内再狭窄や血栓再形成の影響を受けるのが普通で、その結果、狭心症が再発し、胸が苦しくなり、その結果、普通の生活ができなくなる。心臓内でステントの位置がずれたり、ずれたり、外れたりするのではないかという患者の心配については、絶対に存在しない。このような患者は心配する必要はない。
結論として、心臓ステント留置術は、適切に行われれば、大きな問題ではなく、患者のその後の生活に良い影響しか与えない。病気を治し、狭心症などの症状を和らげるだけでなく、生活習慣を改善し、より健康的な生活を送ることにも役立つ。
複雑で難しい病気の知識を平易な言葉で説明し、皆様の身体管理のお役に立てるよう日々精進している王薬剤師です。皆様からのお褒めの言葉が私の最大のモチベーションです!また、もしあなたのご家族も関連する悩みをお持ちでしたら、ぜひこの記事を伝えてあげてください!
私はスモール・アイズ博士だ。
循環器疾患専門
公衆衛生へのコミットメント
フィットネスに情熱を注ぐ循環器専門医、私の回答に「いいね!」を押して、循環器疾患についてもっと知りたい方は左上をクリックしてください!
ステント留置後も生活の質は低下せず、心血管イベントのリスクはステント留置前よりはるかに低くなります。

実際、冠動脈ステント留置術の主な目的は、突然の血管の完全閉塞を防ぐリスクを減らすことである。
スモールアイズ医師は、血管ステントを留置することはあなたの負担を増やすことにはならないと、これまで繰り返し強調してきた。プラークが突然破裂しないように、血管の狭くなっている部分を開き、狭くなっているプレートにも対処します。血管の完全な閉塞につながります。
つまり、ステントの血管内留置です。生活の質を下げないことは実際に可能だ。

心臓ステント留置後は、より規則正しい生活を送る必要があります。
まず、心臓ステント留置後は定期的に薬を服用する必要があります。定期的に薬を服用しないと、すぐに血栓がステント内で再び増殖し、ステント内狭窄につながるからです。
だから経口アスピリン、クロピドグレル抗血小板療法、経口スタチン脂質低下薬、脂質低下療法、プラークの安定化が必要です。
高血圧の場合は、経口血圧降下療法と厳格な血圧コントロールが必要になる。

食事と運動も同様に重要だ。
心臓にステントを入れてから運動をやめたからといって、運動をやめてはいけない。運動していないからです。脂質は下げられないかもしれないし、交感神経を和らげる定期的な運動は血圧を下げるのに役立つ。
内服薬に加えて、食生活にも気を配る必要があるかもしれません。病気は口から入るというのは間違いです。食事が油っぽすぎると、内服薬だけでは効果的な治療ができません。
あなたの気持ちを私に伝えてください。

私はスモール・アイズ博士だ。
私の答えが気に入ったら、「いいね!」を押してください!
私の答えが悪いと思われたら、返信で教えてください!
私の答えが理にかなっていると思ったら、遠慮なくフォローしてほしい。

王先生、ステントの後はどうすればいいのですか?
これは、ステント留置後のほとんどすべての患者にとって懸念事項であり、結局のところ異物であるため、私たちはその懸念をよく理解しています。
しかし、実際にはステントとQOLには直接的な関係はない。ステントがQOLを向上させることはある程度あります。ウォン医師はステントを推進しているわけではないのですね?
呪う前に読むといい!
心臓ステントの主な適応集団は、薬でコントロールできない狭心症、それはどういう意味ですか? 冠状動脈性心臓病狭心症、薬はたくさん食べたが、症状をコントロールすることができない、再発狭心症、あなたはどのようにこの生活の質を言うのですか?ステントが正常に心筋虚血の人口のこの部分を解決し、症状が効果的に毎日コントロールすることができ、狭心症の痛みではなく、心筋梗塞の心配ではなく、あなたは生活の質を向上させることはないと言う!
ステントを必要とする急性心筋梗塞患者にとって、ステントは単に生活の質を向上させるだけでなく、命を救うことにもなりうる!
もし、ブラケットの人生を変える効果について話すのであれば、いくつかの点を指摘しておこう。
1.ステント留置後、クロピドグレルまたはテグレトールを1年間服用する必要がある。
2.ステント留置後にステント内血栓症のリスクがある。
3.二重抗血小板薬の服用によるステント留置後の出血リスクの増加。
しかし、これは病気がステントを入れなければならなかったからです。ステントを入れずにできる他の方法はありますか?もしあれば、紹介してください。詐欺師はダメです。詐欺師はコメントを残してください!
これまでのところ、冠動脈性心疾患に罹患した場合、長期的に薬を服用する必要があるため、心臓ステントが直接患者の生活の質の低下をもたらすことはない!
つまり、ブラケットはまだ入れるべきだが、決して入れるべきではない。入れるべきでなくても入れてしまうと、さらにアルパカの送り手になってしまうからだ!
I. 心臓ステントの目的のひとつは、生活の質を向上させることです!
心臓ステント留置術の重要な目的のひとつは、生活の質を改善することです。例えば、不安定狭心症が再発し、薬物療法でも改善しない場合、狭心症を改善し、再発しないようにするためにステント留置術を行います!つまり、ステント留置の目的は生活の質を改善することです!ステントを留置してもQOLが改善せず、かえって悪化するのであれば、ステントを留置した意味がありません!

II.心臓移植後、QOLに影響はあるか?
私たちの目的は生活の質を向上させることですが、医学の不確実性から、ステント留置後も生活の質が向上しない人がいることが分かっています!1.ステント留置後も狭心症の発作がある、2.ステント留置後も心機能が改善しない、3.ステント留置後に他の合併症を併発する、4.ステント留置後に神経症になる!このような状況に陥った場合、日常生活に影響を及ぼす可能性があります!

第三に、症状がない場合、ステントを入れるべきでしょうか?
もし症状がないのなら、なぜ血管造影検査を受けるのでしょうか?実際、冠動脈疾患の分類には無症候性冠動脈疾患の分類があります!しかし、症状がなく、心機能に影響がなく、重度の大血管狭窄がなければ、ガイドラインは治療のためにステント植え込みを推奨していません!つまり、症状、および症状をもたらす明確な心筋虚血は、ステント植え込みの重要な基準なのである!

第4に、ブラケットを合理的に開くことが正しい方法である!
ステントは合理的な見方が必要で、一般的に二つの極端な考え方がある。一つはステント十悪、ステントを入れるべきではないという極端な考えで、この考えはステントの有効性を完全に否定するもので、このような人は遅かれ早かれこのような害も受けることになる!もう一つの極端な考え方は、ステントを入れなければ冠状動脈性心臓病の治療法はないというもので、これも極端で、このような人は結局冠状動脈性心臓病の影に隠れて生活することになり、生活の質はあまりよくなく、毎日恐怖に苛まれることになる......。
では、皆さんはステント留置がQOLに影響すると思いますか?
この質問と回答はサイト利用者のものであり、サイトの立場を代表するものではありません、侵害など、削除するには管理者に連絡してください。