肺がん患者は通常どのように亡くなるのか?
肺がん患者は通常どのように亡くなるのか?
このテーマはかなり重いが、多くの肺がん患者とその家族が直面しなければならないことである。肺がんの罹患率、死亡率は悪性腫瘍の中で第1位であり、治療法も比較的多くなってきているが、その効果は決して楽観できるものではない。すべての治療が効果的でなく、患者の体調が徐々に悪化すると、生命を脅かすさまざまな事態が発生する。肺がんに限らず、実際、すべてのがん患者は、最終的にはがんそのものではなく、多臓器不全で死亡する。

肺がん患者の死亡は、以下のような原因によって引き起こされる可能性がある。
1.呼吸不全は、一般に患者の空気不足として知られ、進行肺癌患者に最も多い。中枢性肺癌では気管や主気管支が閉塞して空気が入りにくくなり、肺の無気肺が大きくなると、次第に息切れや呼吸困難に悩まされるようになる。胸膜転移により大量の胸水が貯留し、肺組織が圧迫されて肺が再開通できなくなる患者もいる。また、肺病変が多すぎて有効呼吸膜面積が著しく減少している患者もいる。これらの理由はすべて、最終的に胸部圧迫感、息切れ、座位呼吸を引き起こし、最終的には呼吸不全に至る。

2.重篤な感染症 肺感染症は肺癌患者に非常に多い合併症であり、死因でもある。肺病変や気道閉塞が存在するため、進行期の肺癌患者では痰や細菌が排出されにくく、あらゆる細菌や真菌の感染が起こりやすい。 免疫機能が極端に低下しているため、一流の抗生物質を使用しても肺感染症をコントロールすることは難しく、敗血症や感染性ショックを起こし、生命が危険にさらされる。

3.極度のやせ:腫瘍そのものが体の栄養とエネルギーを奪う一種の病気であり、進行した肺がん患者は食欲不振、吐き気と嘔吐、栄養摂取不足、腫瘍細胞の消費にも常に悩まされることになり、最終的には全身の臓器に栄養が供給されなくなる、いわゆる「悪性体液うっ滞」に陥りやすく、実際に多臓器不全で死亡する。最終的に患者は多臓器不全で死亡する。

4.喀血と窒息 肺癌患者の多くは痰に血が混じる症状があり、特に中枢性肺癌の場合、腫瘍が太い血管に浸潤すると喀血が起こり、血液が気道に流れ込んで窒息し、生命が危険にさらされることがある。

5.痙攣性昏睡 肺癌脳転移の病変が徐々に大きくなると、脳水腫、頭蓋内圧亢進、あるいは脳ヘルニアが現れ、患者は激しい頭痛と嘔吐に襲われ、重要な部分の転移病変が二次てんかんを誘発し、患者は痙攣して昏睡状態に陥り、患者の生命が危険にさらされる。

6.電解質障害 肺がん患者の30%は、がん症候群、異所性ホルモンの分泌、低ナトリウム、低カリウムなどの頑固な電解質障害を合併している。

7.血栓症:進行した肺癌患者の血液は凝固が高い状態にあり、血栓症になりやすく、血栓や癌塞栓が重要な臓器に脱落すると、心筋梗塞、脳梗塞、肺塞栓症などを引き起こし、臨床的にも化学療法を受けた患者が突然心筋梗塞で死亡するケースに遭遇している。

8.転移巣が臓器不全を引き起こす 肺がんは肝臓、腹腔、腎臓に転移することがあり、転移巣が多くて大きいと、圧迫や閉塞の症状が出るだけでなく、肝臓や腎臓の機能にも影響を及ぼし、肝不全や腎不全を引き起こし、腹腔内に広範囲に転移があると腸閉塞を引き起こし、食事がとれなくなり、過労死する。

9.治療関連死 肺癌の治療関連死は稀ではない。 化学療法、放射線療法、分子標的治療、免疫療法などの肺癌の治療法には、いずれも相応の毒性副作用があり、治療過程で様々な毒性に耐えられず死亡する患者はごく少数である。
私の兄は、腹腔内に転移した肺がんで亡くなった。亡くなる10日前、怖いくらい腹部から足にかけてむくんでいて、体はあんなに細いのにお腹はパンパンに腫れ、足は手でつついただけで折れそうなくらいパンパンに腫れてテカテカしていた。今でも思い出すとつらい。
兄が肺がんになるなんて驚きだったし、あんなに規律正しい人が肺がんになるなんて不可解だ。
兄は内向的で、タバコも酒もやらず、ビールを1本飲むだけで、生活も規則正しい。働くときは2時1行で工場に行き、仕事から帰ってきて、付き合いとかは一切ない。
2013年10月、兄は中央企業を定年退職し、課長級幹部で主任技師だったので、退職金はとても高い。母は5年前にアルツハイマー病で老人ホームに入所したため、退職した兄は毎朝、雨の日も風の日も母の付き添いで老人ホームに通っている。
2016年末は一年で最も寒い時期で、弟は咳をし始め、義姉は薬局で咳止めを買って飲ませたが良くならず、何度も咳止めを変えたり、効かなかったりした。
この咳は2017年の春節まで続き、その頃には毎晩微熱があった。春節が終わると、私は病院に行くように勧め、正月8日、病院での仕事始めの日に、3クラスの漢方病院へ行った。
肺の専門医を受診し、医師に私たちの状態を話し、肺のCTスキャンをお願いし、そのフィルムを見た医師は、胸腔内に液体があり、炎症があるので入院したほうがいいと言った。私たちは入院した。
病院で漢方薬を服用し、ペニシリン点滴をしたところ、症状が緩和され、咳も減り、医療保険で15日間入院して退院させ、自宅で漢方薬を服用し続けた。
4月になると、弟はまた咳き込んで熱を出し、今度は胸のつかえと喘鳴がひどくなった。
胸部病院で一連の検査を受けた後、さらに検査が必要ということで、私たちは再び入院することになった。胸部病院では、胸腔内に大量の液体があり、胸水を採取して検査をしなければならないと医師が言った。
胸水を採取する日、義姉と私は二人で立ち会った。兄は椅子に逆さまに座り、背中を医師に向け、両腕を椅子の背もたれの上で組んで、顎を腕の上に置いていた。私が見ていると、医師は特に太い注射器を取り出し、兄の背中に刺し、黒と赤の液体が兄の胸から送り出された。
私は医学生であり、正常な胸水は淡黄色であるべきで、結核や一般的な炎症は淡黄色であるべきで、この血のような色をした胸水は癌患者のものであることを知っている。
検査の結果、肺がんは進行しており、がんの中心は胸腔内にあるため、手術はできないとのことだった。義姉と私は抱き合って泣いた。 泣いた後、私たちは、兄は内向的で用心深く、物事がうまくいかないと角を立てるのが好きな人だから、この結果を兄には伝えられないと話し合った。もし兄が自分の状態を知ったら、まともな思考ができなくなり、事故がさらに悪化するのではないかと心配したのだ。
検査の結果、胸膜炎で胸水が大量に出ているので、入院して治療するようにと兄に伝えた。数日間、薬と注射を打ち、ポンプで胸水を抜くと、兄の体調はかなり良くなった。兄は喜んでいたが、私たちは内心ひどく悲しんでいた。
さらに15日間入院した後、兄は退院し、もうすぐメーデーだった。 兄には広州で働いている息子がいて、二人の男の子がいる、嫁はフルタイムで働かず、家で子供と一緒にいる。二人目の子供が生まれて数カ月、100日も経たないうちに、私は義姉と相談し、二人で広州に行って、生まれたばかりの孫を見なさいと言ったが、兄が今後どこまで成長するか分からない。
義理の妹が広州に行きたいと兄に相談し、兄も同意したので、私が航空券を買って、二人は広州の息子の家に行った。彼らは1週間そこに滞在し、孫のために3万元を置いて帰ってきた。
そんな兄を見て、私たちはやはり病院に行くべきだと判断した。兄の本当の病状を話していなかったので、私たちは腫瘍科の病院ではなく、がんの専門グループもある一番大きな総合病院の呼吸器科を選んだ。
専門医と電話を切ると、兄の病状を聞いた医師は、入院して適切な治療を受けるべきだと再び言った。それで私たちは3度目の入院をした。
兄の担当医にこっそり兄の病状を紹介し、「兄自身は病気のことを知らないので、内緒にするために協力してください」「何か私と義妹で相談できることがあれば」と伝えた。
病院で薬の点滴を食べるために、医師は兄に胸の水を出すように言った、胸腔に挿入された背中にチューブを埋めるために、チューブの真ん中の外側にスイッチがあり、チューブの底にはビニール袋があり、水のグラム上のビニール袋は、毎日胸の水300ミリリットルの外側にスイッチを開くには、あまりにも多くの人々に負担を出す。
同時に、医師は弟に標的治療薬の服用を勧め、それが弟に適しているかどうか、まずDNA検査をするべきだと言った。 医師によると、すべてのがん患者が標的治療薬を服用できるわけではなく、標的治療薬を服用できる患者は全体の40%程度だという。
私たちは同意し、採血して北京に検査に出した。私たちは12日目まで病院に滞在し、結果が出て、弟の適合が成功し、目標とする薬を服用することができると言いました。
対象となる薬は国内産のもので、1日1錠、1錠200円、1ヶ月分の薬代として6000円を前払いし、3日間入院した後、家に帰って薬を飲むことにし、今回はさらに15日間入院した。
私は薬の包装をすべて破り、内側にはブリキ箔が残っていた。兄が包装のないそれはどんな薬かと聞いてきたので、包装のない病院の臨床試験用の薬だと答えた。
家に帰っても毎日300mlの胸水を抜き、胸水を抜きながら目的の薬を何度も何度も飲み、兄の体調はだいぶ良くなった。ドレナージ・チューブ挿入から40日後、兄の胸水は基本的に排出されなくなったので、私たちは再びその大病院に行き、チューブの抜去をお願いした。
医師は、あなたはまた、病院を行う必要があり、引っ張るために入院する必要があり、任意の事故がタイムリーに治療することができると述べた。
その後、私たちは再び病院にチェックインし、これが兄にとって今年4度目の入院となった。入院後、医師はチューブを抜く前に化学療法を2回やらなければ、簡単にチューブを封印できなくても怖くないと言った。化学療法を2回行った後、チューブは抜去され、彼は3日間の入院の後、標的薬を服用し続けながら帰宅した。
兄は、病気は怖くない、病気さえ治ればいいと思っている。彼の興奮を見ると、私は複雑な心境になる。
これで2018年9月になるが、兄は1年間、標的薬を服用しており、標的薬のおかげで、兄はこの1年間、本当によく維持している。
9月中旬、兄は再び呼吸困難に陥り、背中に激痛が走り、特に夜間はまったく眠れず、息もできないほど痛んだ。これも病気が進行しているのだと思った。
そこで一番大きな総合病院に戻り、昨年診てもらった専門医に診てもらったところ、標的薬が耐性になって効かなくなっているとのことだった。CTを撮ったら、また胸水が溜まっているから入院しましょうと言われた。そして入院し、呼吸器科に入院した。
兄の背中にもう一本チューブを埋めたが、今度は取り出せなかった。 医師に教わり、大きな注射器で引き抜くと、少しフツフツと出てきて、色もさらに濃くなった。医師は「ご家族は覚悟してください、患者さんの状態が悪化しています」と言った。他に方法はないのですか?医師は、輸入された標的薬を変更することができ、DNA検査を行う必要はありません、つまり、週7000元、月28000元、さらには薬を停止するために4ヶ月を食べることができると述べた。義姉と私は相談して、弟の薬を輸入薬に変えることにした。希望の光がある限り、努力するしかない。
医者に薬を処方してくれるよう伝え、7日分7錠7,000円から始めた。今回はよかった。すべて外国語だったし、弟にばれる心配もなかった。入院4日目で退院し、ドレーンはもう出せないので抜いた。
11月6日、兄と義姉は三亜に行き、11月23日、兄が私に電話してきて、「三亜でお腹が痛いと言って、腎臓結石があるから、また来て医者に診てもらいたい」と言った。それを聞いてすぐに、25日に急いで航空券を買いに行き、26日に病院で診察を受けたところ、ガンが腹腔内に転移していることが判明し、再び入院することになった。
10日間の入院の後、弟はむくんでいるように見えた、腹部から足腰が腫れている、胃の腫れは大きくなることができ、足はポンポンと腫れ、まるで指が折れることができるように、つま先はニンジンのようである。彼は食べることができない、彼の体はガリガリで、彼は本当に今回はそれを作るつもりはない。
医師は、いくつかのアルブミンを再生するために言った、590元、11の使用上の私の弟に一日一回、しかし、まだ私の弟を維持しなかった、私の弟の絶望的な目を見て、私は悪い感じ、12月16日私の弟は永遠に私たちのもとを去った。

ビッグデータは素晴らしいと言わざるを得ない!
数時間前、蘇生室で働きながら末期の肺がん患者の死に立ち会ったばかりだったので、帰宅してこの質問を受けるのに時間はかからなかった。
もし偶然の一致がなければ、もし私がこのようなトピックを頻繁に追っていなければ、私は本当に尾行され、監視されているのではないかと思っただろう!
こういうことだ:
数時間前、81歳の高齢男性患者が蘇生室に収容された。
患者の容態は極めて重篤で、重度の呼吸不全と多臓器不全に陥っていた。実際、この患者は進行した肺がん患者だった。
どのような病気であっても、死を前にしたとき、医師は必ず家族に、採りうる手段とその長所と短所を伝え、家族が選択できるようにしなければならない。
このような患者を前にして、まず取り組むべきは、当然、酸素化を改善し、低酸素症の問題を解決することである。そうでなければ、すべての蘇生が無駄になる。
しかし、息苦しそうにしている患者のベッドサイドで、患者の子供たちは断固として、気管挿管の提案を一様に拒否した。
子供たちの決断はよく理解できる。実際、ある意味、この世を早く去ることは、患者にとって救いでもある。
「挿管なし、人工呼吸器なしは死を意味する。
"OK!"
こうして、患者は最後の2時間を蘇生室で過ごし、子供たちや医師たちの前でゆっくりと息を引き取った。
実際、肺感染症の再発、重度の胸水貯留、大量の喀痰閉塞、呼吸不全の持続は、肺がん患者のほとんどが最終的に直面する試練そのものである。
もちろん、電解質異常、ショック、多臓器不全など、肺がん患者の死につながる原因はたくさんある。
ドーパミンのように生死の境をさまよう蘇生室に慣れ親しんだ医師でさえ、必死に呼吸する姿を見ていると、まるでネギが卵の黄身をかき混ぜたような一般的な粘り気のある痰を吐き出すことができず、またいくつかの悲しい感情を避けることができない。
医者としてできることはほとんどないからだ!
一般人である以上、誰もこの最終的な結論から逃れることはできないからだ!
より多くの人に少しずつ知ってもらう!
最後のドーパミンは、救急医、多くの人との出会い、多くのものとの出会いだった!
これはいささか悲観的な質問ではあるが、医師たちを駆り立てるものでもある!技術は急速に進歩しているが、腫瘍治療の進歩はそれ以上ではない!肺がんは依然として死亡率が最も高い悪性腫瘍である。
国立がんセンターが発表したデータによると、2015年、中国でのがん死亡者数は約233万8000人で、そのうちの1割が死亡している。肺がんによる死亡者数は631,000人で、これは人口10万人のうちおよそ45.8人が肺がんで死亡することを意味する。肺がんの予防と制御は、がんとの闘いの重要な部分である。
肺がん患者は通常どのように亡くなるのか?
1.最も多いのは呼吸不全
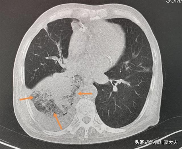
人間は、肺の空気交換機能に頼って酸素呼吸を行い、地球上で生存している。肺不全は、巨大な腫瘍、大量の胸水、広範な肺転移、気道閉塞などの進行した肺がんによって引き起こされることが多い。

この患者はまだ39歳で、胸のつかえと息切れがあり、右肺の腺がんと診断され、多量の胸水が貯留し、右肺全体の機能が失われていた。このような重篤な状態は高齢者にやや多く、放置すればすぐに呼吸不全に陥る。幸いなことに、彼女は標的治療に感受性があり、胸水をコントロールしながら3年以上腫瘍と共存している。
2.二次感染
肺がん患者は免疫力が低下しているため、気道が狭くなり、通常、閉塞性肺炎を引き起こし、時には命にかかわることもある。
これは79歳の男性で、4年前から小細胞肺がんを患っている。右下葉の気管支が狭くなっているため、閉塞性肺炎を引き起こし、高熱を繰り返す。
3.重要臓器への転移
がん細胞は恐ろしいもので、脳転移や肝転移など、血管やリンパのあるところならどこにでも転移する。
このような巨大な肝転移が多発した場合、コントロールできなかったり、治療に反応しなかったりすると、短期間で進行する可能性がある。
4.患者はがんを悲観し、過度に恐れ、治療をあきらめる。
時には、自分が癌に侵されていることを知ってから、意気消沈し、飲まず食わずで、家族にもキレて、治療にも協力せず、食事も睡眠もろくにとらず、やがて身体もダメになってしまう......というような患者に出会うこともある。
癌の末期はより辛いものであり、人道的に扱われるべきである。患者の快適性を高めることを第一義とする過剰治療を推奨しているわけではない。
画像診断のドクター・ハウです!
肺がんでは、いろいろなことが起こる。
入院しなければ、電解質異常、悪性不整脈による死亡、胸部圧迫感が一度に起こり、その後急速に死亡することが多い。
入院していれば、このような電解質異常は簡単に解消されるし、採血して血液が少ないとわかれば、あとは戻すだけだ。
病院でよく見られる死亡例には以下のようなものがある:
まず呼吸不全。終末期を迎える頃には、その患者は両肺の機能が低下し、最終的には呼吸不全で死亡する。このような患者は、溺死した人たちのように、最も苦しく、持続的な呼吸困難があり、常に早く溺れているような状態である。
第二に、喀血は窒息死につながるが、これもわかりやすい。喀血が突然起こると、呼吸が妨げられて救えなくなり、あっという間に死に至るからだ。
第三に、脳転移が起こり、中枢系に問題が生じて死に至る。
第四に、死亡に至った他の地方移籍があった。
第5に、呼吸困難が増大し、最終的には呼吸不全で死に至る重篤な感染症である。
第6に、全身不全による死亡である。
私は物事を計画することが好きなので、健康についてもっと知りたい方は、ぜひフォローしてください。
私の義理の弟は、肩甲骨の痛みの始まりの13年14年の終わりに、または同じ仕事の仕事は、それが五十肩だと思った、私たちは知らない独自の絆創膏、その後、痛みが深刻である、と言うだけで、家族がチェックするために彼を引っ張っただけでなく、行かないで、部屋に閉じこもり、どのように行かないで、6〜7ヶ月、その後、痛みは本当にそれを我慢できない、チェックするために病院に行くだけで、点滴を往復再生する日の始まり、20キロ、しかしまた、自分の運転し、数日遊んで、病院は手術をしなければならないかもしれないフィルムを撮った、当初はそれほど深刻ではないと思ったが、精密検査は悪性骨肉腫の疑いがあり、その後すぐに上海の瑞金病院に連絡し、上海、8月、専門家は穿刺を見て、全身スキャン検査を行い、具体的に私は理解していないと呼ばれ、それは肺がんの進行性骨転移と診断された。就做化疗,化疗一疗回程家跟正常人一样,也不痛了,也不掉头发,停了二十几天吧,国庆后又去做了一疗程化疗,整个状态都很好,看不出是个病人,后来好像元又旦去做了一疗程,过完年又要去,过完年,还没去,就觉人腰得不舒服了,去检查就是又复发转移了,然后农历月三份左又右开始。痛みの初めに、人々は良いの精神を見て、その後、ますます多くの痛み、一晩中眠ることができない、モルヒネやダルコラックスだけでなく、食べるために、5月と6月の旧暦に、ほとんど食べることができない、飲み込むことができない、ますます薄く、より多くの痛み、そして横になることができない、唯一の睡眠に座ってすることができ、6月中旬と下旬に、基本的に食べることができない、栄養溶液のいくつかのドロップは、鎮痛剤も、もはやますます働いていない、と本当に水を飲まない、食道をブロックします。食道がふさがり、下に行くことができない、人々は、7月上旬に外出先で、わずか27歳、最後の昼と夜の痛みであり、横になることができない、食べることができない、水が入ることができない、痛みの初めから、検査に行かず、約半年診断、診断が遅れて、外出後約1年。
私の叔母は、3月15日に肺がんのため、永遠に私たちのもとを去った。
痛みに耐えかねて病院へ行き、末期の肺がんだとわかったことをはっきりと覚えている。その時、私の妹はまだ大学に通っていて、たまたま家にいたので、叔父は妹が大学に行くのを待ってから叔母にそのことを告げた。私も叔母に、叔父はずっと痛がっていたのだから、腎臓結石ではないはずだ(叔母は腎臓結石だったのだから)と言い、病院で検査を受けるように言ったのを覚えている。実際、その時すでに襄陽第二別館にいたのだが、叔母から知らせがあった。叔母は背が高く、いつも健康で、普段から健康に気を配り、年に一度は健康診断を受けていた。今思えば、悪いのはタバコだけだった。
At the beginning of the time there are targeted drugs can eat, and still from the cheapest kind of eat, then still and normal people, outsiders can not see that he is sick.彼の病気のために、私の妹は看護を勉強していた学士号を準備するために学校にいた、最終的にインターンシップに戻ってきて、自分たちの努力によって鎮の保健センターに入って、安定した仕事があります。姉の夫は同級生で、姉にとてもよくしてくれた。姉は20年9月に正式に就職し、11月に結婚した。結婚した妹の家族を父に見せたかったからだ。
実際、姉が結婚する前、叔父の体調はあまり良くなかった。 結婚式の日、叔父は外に出てこず、自分の部屋で寝ていた。姉は午前中に出かけ、叔父は午後に病院に入った。体に免疫がなく、風邪をひいていて、あまりよくなかったからだ。翌日、私は薄いご飯を炊いて病院に行った。その時、叔父は顔の半分も動かせず、乾いたものも食べられず、スープと薄いご飯しか食べられなかったからだ。私にまで話しかけてきて、大盛りのご飯を食べていた。体調が悪くなるにつれ、病院に見舞いに来る人を嫌がるようになったので、私はめったに病院には行かなかった。その後、私たちの側の病院が新病院に移転することになり、新病院には個室がなかったため、彼は家に帰りたがらなかった。
死期が迫ったとき、すでにガリガリに痩せ細り、体には肉もついておらず、最期は水しか飲めず、スプーン1杯の水を2回に分けて飲ませ、プロテインパウダーと粉ミルクもスプーン1杯を水っぽい飲み物に調整するしかなかった。注射針も刺せず、血圧も測れないと叔母から聞かされ、その夜、叔母と二人で見守り、まだしゃべることができたので、足を押したり、足を引っ張ったりしてもらうと、昼間よりずっと足が冷たく、足を押したり、足を引っ張ったりし続け、すでに命が危うく、寝心地も悪かった。以前は鎮痛剤を2錠飲ませれば数時間は眠れたが、その頃は2日2晩眠れず、モルヒネも効かなかった。また、余命いくばくもないとわかっていたので、叔母に姉と義兄を呼び戻すよう頼んでいた。亡くなる日、彼の精神状態は明らかに違っていました。いつもは寝返りを打っても、まだ少しは努力し、はっきりと自分の気持ちを表現することができたのですが、その日は寝返りを打っても、全く努力することができませんでした。寝返りを打った後も、彼は私たちに手を当ててほしいと言い、私たちが手を当てなければ、すぐに倒れてしまいました。足はさらに冷たくなっていて、私たちに足を引っ張ったり、足を押さえたりしてほしいとは言いませんでした。最後の日、彼は次々と苦しそうに叫び、自分の胸を指差し、決してそんなに叫んだことはありませんでした。叫び続けました。最後の日、胸を指差して痛そうに叫んだ。あんなに叫んだことはなかった。叫び続けた。水も飲めず、喉には痰がからみ始めた。妹は病院で処方されたダルコラックスを半分しか飲まなかった。そして叔父はどこかへ行ってしまった。
父は私が2歳のときに病気で出て行ったので、私の印象では、叔父は父の半分のような存在で、思い入れがあります。叔父は50歳足らずで出て行ったので、まだ孫にも会えず、そのままどこかへ行ってしまったのですが、今でも夢のようで、とても非現実的です。叔父があの世で病気で苦しむことなく、以前のように優雅に過ごしていることを願っている。
私の母は肺がんを患い、昨年4月1日に亡くなりました。発覚から亡くなるまで5年近くかかったので、その過程はとても印象的でした。
生検、化学療法、標的薬の服用(耐性が強いため、薬を何度も切り替えなければならなかった!1日2錠、最後の3錠、4錠は効きませんでした)。免疫療法や放射線療法も試したが効果がなかった。
最後の1年はもっと苦しく、眠れないほどの痛みがある。
亡くなる3ヶ月前、母は旧正月の29日に市立病院から県立病院に転院した。私たち三姉妹は順番に待つために、私の母はまだ病棟からナースステーションに人々のサポートの中で手すりを抱えて松葉杖をつくことができる15日の最初の月に付着し、ちょうど食べたくない、特に油で塩辛い食べないで、毎日卵と麺を飲むことです水の大きなボウルを飲むことができ、最初はまた、ガスを遅くするために目を閉じて停止するために食べるために2つの口の半分から4分の1を購入するために饅頭の種類を食べた非常に疲れて、非常に疲れて、外観は、目を開けたくなかった。ボーッと一日中。特に日中は、輸液が混乱し、眠りたいでしょう。
午後10時以降、ほぼ1時間おきに目を覚ますと、まったく熟睡できない。毎晩寝る前に看護師を呼んでモルヒネを注射してもらうのだが、その注射が終わるとまた痛みが始まるのだ。しかし、この注射は1日に多くても6回までで、命にかかわることはない!
奇妙なことに、最後の私の母は、特に明確に覚えているために注射に、混乱している何を言うために、 "注射をする時間ではありませんか?"と叫ぶためにしばらくの間混乱している。私は言った: "時間未満 "彼女はその後、5分未満を混乱させ、繰り返し私に尋ねた、私は再び言わなければならないように、彼女は呪うようになった "私は痛みに苦しんでいる、叫ぶために急いで "と言った私は、彼女は針を再生するために1時間前だけであることを知っている、私はちょうどに看護師に行ったことをなだめる上で再生する勇気はありません。看護師は他の人に注射をしていて、しばらくして戻ってくるとのことだった。彼女はニヤリとしばらく眠った後、私は痛みを和らげるために彼女の全身マッサージを与えるために急いでいた、そしてゆっくりと背中優しく愛撫愛撫、彼女をひっくり返して、またはスリープ状態に長い時間、彼女はもっと痛くなります。そうすることで、彼女は次の注射まで、なだめすかしたり、話しかけたりしながら、もう少しの間持ちこたえることができるのだ。
今になって、なぜママがいつも口が乾いていると言っていたのかがわかった。おそらく、最後は肺が働かず、口でしか呼吸ができなかったから、口が乾いていると一日中泣いていたのだろう。私たちは彼女が飲みやすいように、ティーカップにストローをさしただけだ。
ある夜11時頃かもしれない、彼女は、心臓が不安をキャッチするために、呼吸することはできませんが、不安な手が足をかき混ぜるかき混ぜる、顔の筋肉がコマンドに耳を傾けない、速効性の心臓の薬を食べても動作しないと述べた!慌てて当番医のドアをノックして、当番医は私がまず当直看護師を呼びに行って、彼の即時の上昇のために準備させ、私は当直看護師を呼びに急いで、当直看護師はドアに来てハァハァして、私はしばらく待ってみましょう。私は不安でまっすぐ足を踏み鳴らし、当直看護師は蹴り、ゆっくりと靴を引っ張り出し、彼女の外を見て、私は病棟に戻ってすべての道を走ったが、母の痛々しい姿を見て、私は不安でしたが、何をすべきかわからない?私はただ、お母さん、お母さんは、医師がすぐにここに来るので、ちょっと待ってください......と叫ぶしかなかった。
約2分ほどして、看護師がやっと来て、酸素マスクをベッドサイドに挿入し、私は急いで酸素マスクの上に母に手と足。「看護師、私の母の心臓は非常に緊急事態をキャッチするために、これだけはああすることはできません...... "私は急いで看護師に行く準備を停止するために叫んだ。"その後、薬を処方する医師を見つける "彼女は無表情の文章を返すと去りました。先生、先生はどこですか?私は廊下に向かって叫んだ。廊下の反対側で足音が聞こえた。医師は慌てず母を見回すと、聴診器を取り出し、母の心臓に当てて聴診し、包み込むように言った。「どうしましょう?「お薬のリストを取ってきてください」と医師は診察室に入った。私は、まず付き添いの臨床医に母を見てもらうしかない。
しかし、結局のところ、非常に効果的な薬ですが、一瞬しか管理できず、その後投与量を増やしても効果がありません。私の母は亡くなるまで、また1ヵ月も持ちませんでした......。
医師だけでなく、肺がんに苦しむ叔父を保存することはできませんが、全体の叔父は完全に喫煙中毒のためであり、行動のような食事のように煙に達している、コンパニオンとして煙と一日中、煙が手を離れることはありません、つまり、どのくらいの咳、煙ので、2つの口は、心は非常に幸せを感じることです!。

それがよく言う「楽しく過ごす」ということだ。大切な人が亡くなってしまったら、それ以上悔やんだり後悔したりするのは無駄なことで、そこから教訓を得るしかない。 今日は、進行した肺がんの患者さんの最期の過ごし方についてお伝えしたい。
まず、肺がんが発覚してから長兄が亡くなるまで、わずか3カ月しかなかった。
私の叔父は若い頃からタバコを吸い始め、35年間吸い続けている。 タバコが存在する以前は自家栽培のタバコを吸っており、毎年熟したタバコを自分で収穫していた。
その後、タバコは太陽の下に放置され、乾燥すると、一部は地元のタバコ会社に売却され、一部はタバコの原料として残され、フィラメント状にカットされ、新聞紙でタバコの長さまで巻かれ、吸われる。
この種の煙草は、私たちがよく乾パン煙草と呼んでいるもので、その中の有害物質やタールは、現在市販されている煙草よりもさらに高く、乾パン煙草を吸ったことのある人なら誰でも、この種の煙草が非常に凶暴な味であることを知っている。当時は、健康管理に対する意識が低かったため、今ほど徹底されていなかったが、そのためドライタバコを吸っていたのである。
正直なところ、この乾式タバコを吸っていた頃は、吸うたびに強い咳が出ていた。というのも、その種のシンプルな自家製タバコには、現在のタバコのようなタバコフィルターがないため、吸うたびに基本的にタバコの中のタールとニコチンのすべて、90%以上が肺に吸い込まれていったからだ。
喫煙歴30年、叔父の肺は少しずつ腫瘍に侵食され、もちろん、叔父が肺がんであることが判明したのは、咳をして調べたからではなく、叔父が腕を骨折したためで、入院患者として病院に行く手段がないため、病院の健康診断で肺がんの進行期にあることが判明した。
この時、叔父はわずか70歳で、家族は、驚いたが、また受け入れるために無力で、なぜです。私は叔父が古い喫煙者であることを知っているので、喫煙は煙の中で異世代であり、乾燥したタバコからタバコに、とにかく、煙が手を離れることはありません、あなたがどこに行っても、物がなくても、口は常にタバコをぶら下げている。
同時に、叔父は骨折の治療も受けられず、肺がんの治療も比較的保存的な治療を受けざるを得なかった。叔父は徐々に衰弱していき、人体の正常な機能指標はすべて異常変動し、特に治療中は顕著であった。

食欲はまったくなく、栄養の補給ができなくなり、やがて骨と皮のような状態になった。そして入院52日目、ついに同じ病院の医師から「最期は安らかにお別れするために、最後の数日で家に帰した方がいい」と家族に伝えるようアドバイスされ、家族も理解してくれて、家に帰されてから10日目に息を引き取った。
多くの人々はまた、理解していない、なぜ癌の前に発見されない、明らかに良好であるが、治療のために病院に送られ、突然人々の体が崩壊し、私はあなたに理由の分析を与える、私の叔父の例では、実際には、叔父は肺がんと診断されたときに病院に行かなかった。
叔父さんの肺はすでに肺がんの末期で、病理報告書と関連検査の結果、肺がんは叔父さんの肝臓にゆっくりと浸食していることがわかったが、ただ、その間、肺がんが勃発することはなく、また、その間、叔父さんの身体は快調で、違和感があっても自分で持ちこたえることができた。
では、なぜ一旦病院に送られると、治療をすればするほど体が悪くなるのか。実は、これは医学の弁証法的な考え方なのだが、腫瘍が人体を攻撃しているとき、人体自身の抵抗力や免疫力は臨界点に達している。実は、この臨界点の破壊、つまり髪の毛一本分の違いなのだ。
ご存知のように、最近の抗がん剤のほとんどは、体内の善玉菌や悪玉菌をすべて排除してしまう諸刃の剣のようなもので、免疫力が臨界点にある肺がん患者にとっては、少量であれば、体全体の免疫システムを再び混乱させることができると言える。
健康な人の抵抗力や免疫力が破壊されても、自力で回復させることができるが、免疫系が破壊された腫瘍患者の場合、基本的に回復させることは非常に困難で、身体の生理機能を完全に破壊してしまう。

というのも、この時期、進行がん患者にとって抗がん剤の使用は、自分の体が非常に弱っていることを意味するが、抗がん剤は双方向性であるため、多くの進行がん患者は、一定期間持ちこたえた後、体の機能低下により、結局は持ちこたえることができず、この世を去ることになる。
もちろん、進行がん患者が病院に行く必要がないといっているわけではない。 多くの進行がん患者が病院に行く主な目的は、病気による痛みや苦しみを軽減するためであり、がん患者の生活の質を向上させるためでもある。最も重要なことは、私たちの心の中では、病気なのに病院に行かないと、いつも後悔し、近所の人たちから批判されることさえあるということだ。。
つまり、叔父が入院した後、ステージが進んで肺に腫瘍が転移しやすくなっていたため、彼の体は化学療法薬の影響に耐えられず、やがて命を落とすことになったのだ。 したがって、がんは予防のために治療するのであって、進行した段階で発見されれば、奇跡はほとんど期待できないのだから、基本的には無駄なことなのである!。
肺がんをどう認識するか?
一般に、我々の医学では、がん細胞が常に気管支や肺胞の最上層にあり、それ以上細胞の最下層に浸透していない場合、この種のがんはin situがんと呼ばれ、実際に通常の健康診断で多くの人が発見している。
現時点では、in situがんはまだ悪性腫瘍ではないので、健康診断で発見されたら、ただちに摘出し、病理検査を行って悪性か良性かを判断し、系統的な分析を行って判断する必要がある。
しかし、多くの肺癌患者はこのin situ癌を簡単に無視し、時間の経過とともにこのin situ癌は気管支の内壁や気泡に浸潤し、完全な浸潤癌を形成する。一旦このような癌に罹患すると、人体はこの種の癌に苦しむことになる。
肺がんは広がり、転移し、私たちが日常生活で肺がんと呼んでいるものは、気道や肺臓器に完全に浸潤した肺がんで、極めて危険なものである。

この種の癌の病理過程を理解すると、この種の癌細胞が肺の内壁に入り込むと、タバコの煙や刺激臭などの他の要因によって刺激されると、癌細胞の異型増殖を引き起こし、このような異型増殖によって肺が線維化したり、硬くなったり、肺本来の機能を完全に失ったりする。つまり、癌の中期と後期ということで、この種の肺癌は基本的にその後の発育が不可逆的で、一度できると人の生存期間は短くなります。
第3に、人生の最終段階で肺がんで最後を迎えたのはなぜか。
というのも、肺がんの末期には腫瘍が転移を始めることがあり、合併症も多く、肺が侵害されて本来の機能を失うことも相まって、呼吸をすることが非常に苦痛であることは確かで、それは主に次のような点に反映されるからである。
第一:一週間の死の前に数日で、私の叔父は、つまり、最高の肺が、表示されます、胸の異常な変動など、息切れ、息切れ、困難、呼吸の負担を軽減するために酸素を供給する必要があり、患者の喉は非常に緊張している、喉は痰を持っていますが、一般的に自分で咳をすることはできません、喀痰装置の援助を吸引する必要があります。

さらに、患者の死の前には、呼吸が不規則になり、時には速く、時には穏やかに、しかし一般的には非常に弱く弱々しくなり、最後には、呼吸ができなくなり、喉に痰が絡むと、横向きに寝て、唾液が不随意に口から流れ出る。
さらに、がん腫瘍の全身転移のために、例えば、体力の低下、全身の耐え難い痛み、飲み込むことができない、つまり、最後には水さえも普通に飲むことができない、あるいは肝臓領域への浸潤、黄色い目、肝臓領域または腹部、耐え難い痛みを経験する患者もいる。
また、腫瘍が肺に浸潤した後に吐血し、最終的に吐血や下血で死亡する肺がん患者もいる。
その他にも、脳神経を攻撃して昏睡状態に陥らせたり、昏睡現象によって体の免疫力が低下して死に至ることもある。
最後の1つは、肺がんの腫瘍が大きいために、周囲の臓器や組織を完全に圧迫し、診療所では、人体の比較的太い血管が心肺不全を引き起こしていることが非常に明らかであるため、血液の還流に深刻な障害が生じ、最後には心不全で亡くなる人もいる。

要約すると、どんながん患者の死にも共通点と個性があり、共通点は、痛み、無力感、身体が細くなること、目が生気を失うこと、身体が完全に変形すること、そして最後に、それぞれの個性によって、つぶやくように文章を繰り返す人がいることである。死の最終時刻は早朝か真夜中である。。
私は医学博士で、医学の知識を広め、病院の話をし、タイピングは簡単ではありません!

がんによる死について語ることは、多くの患者やその家族にとって直視したくない話題だが、同時に残酷で現実的な問題でもある。数カ月でがんで亡くなった人、治療がうまくいっていたのに突然亡くなった人などの話をよく耳にする。このような話題は、人々をがんに対してより不機嫌にさせ、がん患者の正常な治療につながらない。
WHOのデータによると、肺がんは年間罹患数、年間死亡数ともに世界第1位で、罹患率はますます高くなっている。

肺がんの死因は何ですか?
1.臓器不全
進行した肺がんの多くは、肝臓、脳、骨に転移し、臓器不全に至ることがある。
2.肺感染症
一方では、進行した肺癌患者は、腫瘍が気管を圧迫し管腔を閉塞するため、痰をスムーズに排出できないことがある。他方、進行肺癌患者は消費量が増加し、食欲が低下するため、栄養不良や免疫力の低下を招く可能性がある。これらはいずれも肺内感染を引き起こしやすい。

3.多量の吐血
肺がん患者が激しく咳き込むと、腫瘍と小動脈の癒着が破れて気管支が破裂し、大量の血液を吐き出して気道をふさぎ、窒息死に至ることがある。
4.胸水
胸水貯留は肺癌患者によくみられるもう一つの合併症であり、胸水が大量に貯留すると呼吸困難に陥ることがある。
5.肺塞栓症
肺がんや消化器腫瘍などのがんは、主に血液が凝固亢進状態にあるために肺塞栓症を起こしやすく、化学療法薬や化学療法の過程もその一因となる。
私の答えがあなたのお役に立てれば幸いです!もし気に入っていただけたら、「いいね!」をお願いします!

この質問と回答はサイト利用者のものであり、サイトの立場を代表するものではありません、侵害など、削除するには管理者に連絡してください。