肺結節は薬を飲めば治りますか?
肺結節は薬を飲めば治りますか?
多発性肺結節と孤立性肺結節があり、多発性肺結節は結核やじん肺に続発することが多く、いずれも典型的な病歴や左葉の病歴で診断しやすい。我々が一般的に論じる結節は孤立性肺結節を指す。

肺結節は病名ではない
肺結節は病理学的な性質が判断しにくいため、病名ではなく、形態学的に統一して肺結節と総称している。
肺結節の大きさを表す用語があり、直径3cm以下のものを結節、3cm以上のものを腫瘤と呼び、結節の直径が大きいほど悪性腫瘍のリスクが高くなる。

肺結節を取り除くために薬を飲むことはできますか?
そのため、初診時に肺結節が見つかっても、後日検査を受けると結節が消えていることがある。
結節が古い炎症性、先天性のもの、腫瘍性のものであれば、薬物療法は効かない。
ですから、肺結節の場合、通常は薬物療法は考えず、経過観察とします。結節に変化がなければ、それはめでたいことです。結節が成長し続けるようであれば、画像診断と臨床徴候を考慮して、外科的介入が必要かどうかを検討する時期です。
肺にできた小さな結節がすべて薬で治るわけではありません。結節が肺にある場合は、肺感染症を考え、抗生物質の内服で治るかもしれません。結核であれば、定期的な抗結核治療で治ることもあります。古い病巣、肺結節性疾患、肺の悪性腫瘍の場合は、どんな薬を飲んでも完全になくなることはありません。古い病巣の場合は、定期的な観察が必要です。肺結節性疾患であれば、必要に応じてホルモン抗炎症療法を行います。
肺結節が薬で消せるかどうかは別として、結節の性質、固い結節なのかすりガラス状の結節なのか、また結節の大きさをはっきりさせる必要があり、大きすぎるとやはり心配になる。
結節の多くは炎症によって生じるか、古い病変であるため、結節の性質にもよる。
症状を治療する前に、具体的な対応を弁別する必要がある。
ライフロード公衆衛生では、このような一般化は良くないと考えている。孤立性肺結節といわれるものは、境界が明瞭で、像の混濁があり、直径が3cm以下で、肺結節性病変に囲まれた含気肺組織で囲まれ、肺無気肺、肺門拡大、胸水貯留の症状がないものを指す。孤立性肺結節はよくみられ、その原因としては腫瘍、感染性肉芽腫、先天性病変などが一般的である。良性結節は無症状で放置しておいても問題ないが、悪性結節の主な治療法は外科的切除または放射線治療であり、良性結節の予後は良好であるが、悪性結節の予後はやや不良である。
自覚症状はなく、小さな肺結節は定期的な検診で放っておいても大丈夫です。それ以外の場合は積極的に治療する必要がある。悪性の場合は、直ちに手術し、従来の腫瘍の治療法に準じて治療しなければならないことは言うまでもない。一般に、肺結節は良性であり、漢方薬を服用して見分け、治療することができますし、漢方薬を使用して肺結節が小さくなったという報告も多くあります。
これは通常、適切な暖かさと寒さに注意を払い、風邪をひかないように注意することである。
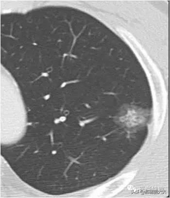
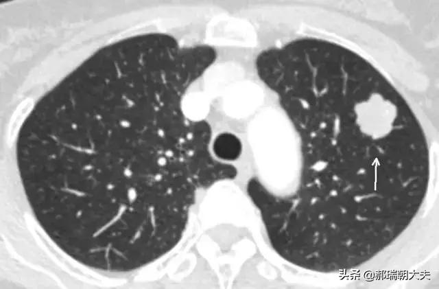
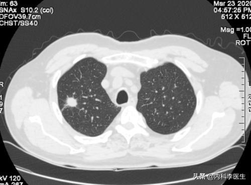
健康診断への意識が高まるにつれ、肺結節が発見される人が増えている。肺結節とは画像診断の用語で、肺結節の画像上の定義は、肺実質に完全に囲まれた、境界明瞭な小さな病変(直径≤30mm).結節の形態は、固結または亜固結に分類される。亜固結はさらに、純粋なすりガラス結節と部分的な固結に分類される。直径30mmを超える病変は結節ではなく腫瘤であり、悪性の可能性が高い。

肺結節の約99%は良性病変である。一般的な原因としては、感染性肉芽腫や良性腫瘍(肺悪性腫瘍など)、時には血管や炎症性病変が挙げられる。肺結節の約1%が悪性である。悪性肺結節の一般的な原因としては、原発性肺癌、肺転移およびカルチノイド腫瘍が挙げられる。
結節の直径は悪性腫瘍の独立した予測因子であることが研究で示されている。結節の直径が大きいほど悪性腫瘍のリスクは高く、以下の確率がある:結節の直径<5mm:<1%;结节直径为5-9mm:2%-6%;结节直径为8-20mm:18%;结节直径>20mm:>50%。
ほとんどの肺結節は薬を飲んでも治らない経口抗炎症薬で吸収できる炎症性結節はごくわずかである。肺結節の臨床管理は結節の形状と大きさに基づいて行われ、さまざまな管理計画が立てられる。 一般に、ほとんどの結節は3ヵ月、6ヵ月、9ヵ月、1年(結節の形状と大きさによる)の定期的な経過観察が推奨される。ごく少数の結節で、明らかな悪性の特徴を有するものは、外科的切除が考慮される。
一般的に、非常に小さな結節が発見されても問題はなく、投薬の必要はなく、定期的な検査で十分です。結節の大部分は、薬を服用しても消失することはありません。
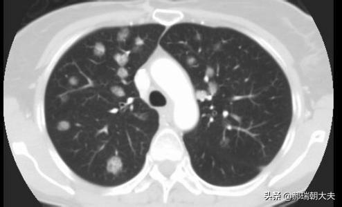
現在受け入れられている肺結節の定義は、直径3cm以下の限局性、円形、高密度、固形または亜固形の肺影である。 近年、低線量CTによるスクリーニングを受ける人口が増加するにつれて、孤立性肺結節に加えて多発性肺結節が検出される割合がかなり増加している。多発性肺結節は多くの場合、1個の肺結節と1個以上の小結節として現れる。多発性肺結節は2個以上の病変として定義される。多発性肺結節を有する患者は、外科的に確認され、臨床的に重大な注意を要する早期肺癌または前癌病変の複数の発生源を有する可能性がある。

単一の固結節の直径が8mm以下で、肺がんの危険因子がない場合は、結節の大きさ(4mm以下、4~6mm超、6~8mm超)に応じた対策をとることが推奨される。
<4 mm NCCN、ACCP、Fleischner Societyのガイドラインはいずれも経過観察しないことを推奨しており、Asian Consensus Guidelinesは1年に1回CTを見直すことを推奨している。
4mm以上6mm未満のNCCNガイドラインでは、低リスク者では1年後にCTを再撮影すること、高リスク者では6ヵ月から1年の間に2回、1.5年から2年の間に再撮影することを推奨している。
6mm以上8mm未満のNCCNガイドラインでは、低リスク者に対しては6ヵ月から1年、1.5年から2年の間に2回のCTレビューを、高リスク者に対しては3ヵ月から6ヵ月、9ヵ月から1年、2年の間に3回のCTレビューを推奨している。
結節が肥大(特に直径10mm以上)していたり、現実的な成分が増加していたりする場合は、通常、悪性転化を示し、非外科的生検および/または切除の検討が必要である。
肺の典型的な孤立性結節が検出されれば、良性か悪性かの鑑別には有効な方法を用いるべきである。良性か悪性かの鑑別には、画像上の形態学的解析、孤立性結節の増殖時間、PET-CTまたはダイナミックエンハンストCT検査、悪性の確率の算出など、検証された方法を用いるべきである。
肺結節は、例えば、孤立性肺結節、直径3cm以下の境界明瞭な不透明画像病変で、空気を含む肺組織に囲まれ、肺無気肺、肺門拡大、胸水貯留の徴候がなければ、定期的に検査すべきである。
私は、病気の知識をわかりやすい言葉で広め、健康な中国のために微力ながら貢献することにこだわっている薬剤師の王です。私の回答がお役に立つと思われましたら、「いいね!」をお願いします!また、もしまだ関連する質問があれば、メッセージを残してください!
多くの人は肺結節を知らず、肺結節は肺がんと思っているが、実は両者には違いがある。 肺結節は良性と悪性に分けられ、ほとんどは良性で、悪性変化を起こすのはごく一部である。
肺結節とは、胸部CTを撮影したときに映し出される肺の影を表す画像用語で、肺の中の多くの病気が肺結節を呈することがあります。

肺結節は薬を飲めば治りますか?
実際、肺結節を薬で治療できるかどうかは、ケースバイケースで分析してから決める必要がある。
良性肺結節
良性の結節であれば、一般的に成長が非常に遅く、肺機能にあまり影響を及ぼさないため、通常は薬を服用する必要はないが、合併症がある場合は、早期に外科的治療を行う必要がある。
感染性病変を伴う肺結節
肺結節の患者の多くは肺炎が原因であり、内服薬を服用している場合は、結節が縮小したり消失したりしたかどうかを定期的に確認することも重要である。
肺がんを疑う肺結節
医師は通常、胸部CTに写った結節の大きさ、密度、形などから悪性かどうかを判断するので、定期的な検査の必要性を認識しておくことが重要である。

古い病変の肺結節
古い病変は前病変とも呼ばれ、以前からあった病変である可能性が高く、このような結節は通常、抗炎症治療の必要はなく、薬を飲めば消えるというものでもないので、定期的な経過観察に注意するようにしてください。
肺結節と診断されても神経質にならず、積極的に検査や治療に協力し、医師の指示に従って適切な処置を行い、病状を遅らせることのないようにしましょう。
一般化することは不可能だ。
肺結節は、フィルムやCTで肺に結節性病変が検出される画像概念である。
しかし、すべての肺結節が同じ種類の病変というわけではない。
感染性、腫瘍性、線維性、石灰化、肺内リンパ節などがある。
原因によって治療法は異なる。
- 感染した肺結節に対しては、抗生物質の投与で良好な結果が得られることが多い。
- 腫瘍性肺結節の場合、抗腫瘍薬で結節を消失させることは確かに可能ですが、外科的切除の方がより推奨されます(手術が可能な場合)。
- 線維性、石灰化肺結節の場合、これを除去することは不可能である。
- 肺内リンパは、それ自体は異常な構造ではない。
- ......
私はドクター・ワイルドイエローだ。
肺結節とは何ですか?
肺結節:肺の組織に現れる病変である。直径30mm以下の円形または不規則な病変で、正常な肺組織に囲まれていることが多い。医用画像では「肺の高密度陰影」と表現される。肺小結節は単結節または多結節で、境界が明瞭なものと不明瞭なものがある。

Qualitative:肺結節は、本人や家族では発見できない、あるいは発見しにくい異常で、病院で健康診断などの検査を受けたり、肺のCT、X線、MRiなどの検査をして初めて発見されることが多い身体的な異常です。
肺結節の分類。
病変の数によって、肺結節は孤立性肺結節、多発性肺結節、びまん性肺結節に分類される。
結節密度の均一性によって、実質的な結節、純粋な挽きガラス結節、混合挽きガラス結節に分類される。
病理の種類によって、結節は良性肺結節と悪性肺結節に分類される。

従来の治療法:
病因による治療。
手術:ほとんどの患者は手術を必要としないが、少数の患者は外科的治療を必要とする。例えば、肺結節がんでは手術が必要となることが多く、肺結節切除術や肺がん切除術といった一般的な手術名が用いられている。
薬物療法:肺結節のごく一部に薬物療法が必要なものがある。結核、肺の真菌感染症、肺のウイルス感染症などです。抗結核薬、抗ウイルス薬、抗真菌薬など、よく使用される種類の薬があります。

Summary:病因論的治療で強調されるのは、やはり治療法を述べる前に原因を特定する必要性である。
私は結節があり、病院で診察を受けたのですが、医師はとても小さく、薬を飲む必要はないと言いました。医師は正常だと言ったし、何人かの医師も問題ないと言った。後で何かあったらと思うと少し怖いです!でも、結節ができてから数年間、特に異常はありませんでした。とにかく、機嫌もいいし、何もかも順調です。
この質問と回答はサイト利用者のものであり、サイトの立場を代表するものではありません、侵害など、削除するには管理者に連絡してください。