身体検査で小さな良性の腫瘍が見つかったのに、なぜ医師は治療を勧めないのですか?
身体検査で小さな良性の腫瘍が見つかったのに、なぜ医師は治療を勧めないのですか?
医師のシャドウです。健康診断の結果、小さな良性の腫瘍が見つかり、医師は治療を勧めず、観察と経過観察にとどまりました。医師のアドバイスは正しいです。小さな良性腫瘍が見つかり、医師が関係なく手術をするように言った場合、あなたは非公式の病院に入ってしまったかもしれないので、注意する必要があります。
身体検査で小さな良性腫瘍が見つかる。
多くの友人が健康診断に行くと、肝嚢胞、腎嚢胞、肝血管腫など、多かれ少なかれ問題が見つかる。これらの腫瘍が非常に小さく、何の症状も引き起こさない場合は、あまり大きな治療は必要なく、放っておいても大丈夫で、年に一度の健康診断で観察することができます。
小さな良性腫瘍は、なぜあまり治療する必要がないのですか?
腫瘍なのだから、悪性化するのを恐れて治療すべきだという人もいる。
腫瘍は良性腫瘍と悪性腫瘍に分類され、良性腫瘍のほとんどは悪性化しないが、中には悪性化するものもある。しかし、医師は自分の経験に基づいて、治療が必要なものとそうでないものを判断します。
例えば、私は画像診断医で、肝嚢胞や腎嚢胞のフィルムを毎日見ています。これらのフィルムを長期にわたって観察し、年に1回検査を受けに来ると、多くの人の嚢胞は基本的に変化せず、中には縮小したり肥大したりするものもあるが、悪性化するものはほとんどない。長期間の観察により、実際には無症状の嚢胞が安定し、変化しないこともあることがわかりました。
安定していて変化もなく、症状も出ていないのなら、なぜ手術をするのか、なぜ動かすのか。手術自体が自分にとってトラウマになる。自分を傷つけないものを取り除くために、なぜ自分を傷つけるのか?
しかし、診察の結果、肝臓に病変が見つかり、その病変は非常に小さいものである必要があるが、経験上、これはゆっくりと成長し、最終的には転移する可能性のある悪性のものである可能性がある。その場合、医師は治療を勧めるだろう。後で体に取り返しのつかないダメージを与えることを考慮するからである。
また、腫瘍が大きく、圧迫症状が出ている場合は、良性であっても外科的に切除する必要があります。例えば、肝嚢胞が5cmを超え、周囲の肝組織を圧迫し、痛みを伴う症状を示している場合も外科的に治療する必要があります。
つまり、検診で良性の小さな腫瘍が見つかり、医師が手術をしないよう勧めた場合、選択肢は経過観察ということになる。ほとんどの良性腫瘍は、長い間、腫瘍と共存することができるので、ダメージを与えるような手術をする必要はなく、経過観察となります。
私はそうだ。ドクター・シャドウ医療についてもっと知りたい方は、ぜひフォローしてください。
まず、この医師に賛辞を送りたい!良性腫瘍の多くは木の腫れ物のようなもので、余命には影響しないし、臓器の機能にも影響しない。
良性腫瘍には2種類ある:
一つは成長が遅く、悪性化せず、臓器機能に影響を与えない。
この種の経過観察は問題なく、外科的外傷もお金の無駄もない。

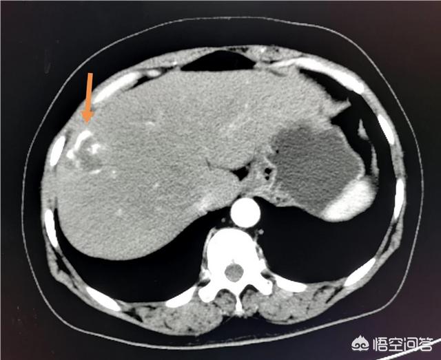
例えば、この2.5cmの肝血管腫は非常によく見られるもので、1~2年ごとに超音波検査を受けるのがよいでしょう。
骨内に発生する軟骨肉腫や非骨化性線維腫、肺の悪性腫瘍、硬化性肺細胞腫、副鼻腔の骨腫、比較的小さな髄膜腫、腎血管筋脂肪腫、皮下脂肪腫など、全身の良性腫瘍は多く、臓器の機能に影響を与えず、経過観察で急激に大きくならない限り、手術の必要はありません。
逆に、良性腫瘍の中には悪性の可能性があり、将来のある時点で癌化する可能性があるものや、腫瘍が比較的大きく、臓器機能に支障をきたすため外科的切除が必要なものもある。
例えば、比較的大きな骨軟骨腫、硬化性肺細胞腫、骨の巨細胞腫、消化管の閉塞を引き起こす良性腫瘍などである。

この患者のように、良性の平滑筋腫瘍が気管に発生し、気管狭窄や呼吸困難を引き起こしている場合、腫瘍を除去する手術が必要となる。

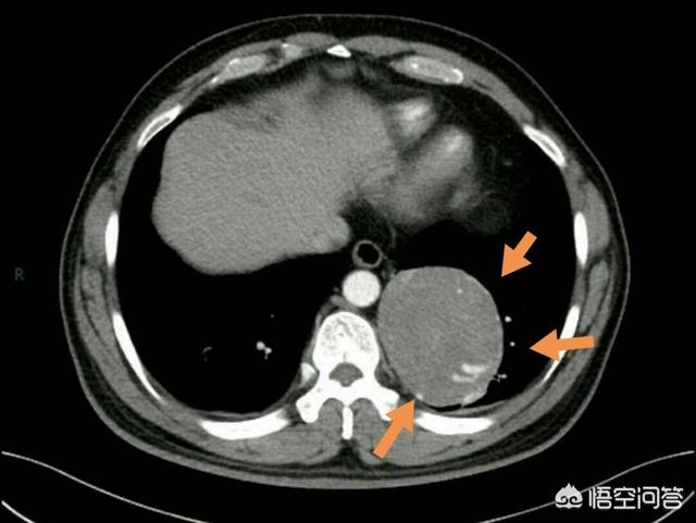
この患者は喀血により肺に大きな腫瘍が見つかり、その病態は硬化性肺細胞腫、以前は硬化性肺血管腫と呼ばれていたもので、良性であるが悪性の傾向があると調査され、後に手術で摘出され、リスクも軽減された。
また、良性腫瘍の治療には標準的な原則があり、医師は腫瘍の病理学的特徴、発育傾向、総合的な状況に基づいて判断し、安全性を確保するとともに過剰治療を行わないようにする。
お近くの医師の指示に従ってください!
医療倫理を持った医師が少ないと嘆くネットユーザーも多いが、実は優秀な医師はたくさんいる!人と人との交流は、誠意とエチケットを守ることが重要である。 いくつかの医療事件の報道は、多くの医師にとって、時にはもっと発言することを恐れていることを思い起こさせる。
遅い方がいいに決まっている!
画像診断のDr.ハウです。お気軽にフォローしてください!
医師は本当に難しい、手術を聞かせて、言った:あなた医師は本当に、手術を移動し、目的はお金を稼ぐことです。観察してみましょう、当分の間動作しません、言った:なぜ動作しない、あなたが担当している問題のうち?
ウーフー!やるべきか、やらないべきか?やるかやらないかなら、ろくな人間じゃないんだから、医者を探してどうするんだ?
実際、手術であれ薬物治療であれ、適応症はある。 いわゆる適応症とは、どちらの治療がより重要かを判断し、利益と損失を天秤にかけて決定されるものである。利益が損失を上回るのであれば行うべきだし、損失が利益を上回るのであれば、当面は行うべきではない。もちろん、多少のリスクは伴うだろうが、やるにしてもやらないにしても、失うものがあるということであり、ただ、評価した結果、この方法でやることの損失はさらに小さくなるということだ。
健康診断で腫瘍が小さく、良性であることがわかった場合、第一に腫瘍が小さいこと、第二に良性であることで、ほとんどの場合、治療をせずに経過観察で済みます。例えば、健康診断で見つかった小さな子宮筋腫は、まったく治療をせずに、経過観察と定期的な再検査による経過観察で大丈夫です。将来、子宮筋腫が大きくなったり、症状が現れたりしたら、状況に応じて対処し直しても遅くはありません。子宮筋腫が悪性化したらどうするの」という人もいるでしょう。その可能性が全くないとは言い切れませんが、可能性は極めて低いので、万全を期すなら手術を受けるべきです。しかし、あまり積極的になりすぎるのもよくありません、やはり手術は害でもあるのです、ああ、先ほども申し上げましたが、手術を動かさなければ、またあの医師は下心があると言われるでしょう。しかも、100%安全を求めるのであれば、子宮癌にならないように子宮を全部切り取る必要があるのでしょうか?この世に絶対的なものがどれだけあるだろうか。飛行機に乗れば100%安全ということはあり得ないのだから、飛行機に乗るべきではないのか?北京に自転車で行きたい?でも、自転車も100%安全とは言い切れない。だから弁証法的に、客観的に問題を見なければならない。
これは非常に一般的な現象である。近年、人々の健康意識の向上と検査方法の絶え間ない改善により、より多くの腫瘍が早期に発見されるようになりました。例えば、現在ではスパイラルCTの技術が非常に進歩しており、1~2ミリの肺腫瘤を検出することができます。しかし、このような高度な検査では非常に小さな病変しか検出できません。このような小さな病変は、良性腫瘍や感染症によるものが非常に多いのです。
このような小さな病変は、画像診断だけでは良悪性の判断ができません。穿刺生検や手術などの侵襲的な検査を行うと、人体に何らかの害を及ぼすため、医師はこのような場合、治療を勧めず、病変の変化を経時的に観察し、腫瘍の良性・悪性を判断し、治療の時期を決定することが多い。
経過観察後、病巣が消失していれば、良性であることを意味します。そして、観察期間の後、これらの病巣が変化し、成長している場合、それは悪性である可能性が非常に高いと判断することができ、それは積極的に治療に介入し、この観察時間は、患者に大きな害を引き起こすことはありませんし、治療の時間を遅らせることはありません、したがって、身体検査は、小さな病巣を発見した時間の原因を決定することはできませんが、また、ブラインド治療を実施することはできません、観察を実施するために対処するのが良いです。
つまり、腫瘍であれば治療しなければならない。
できればハーブで、早ければ早いほどいい。
良性腫瘍は一般的に、特に小さい場合は治療の必要はありません。この場合、不快感がないため、切開する必要もないし、腫瘍によっては治療後に再発・再燃することもある。もちろん、腫瘍が小さくても無視せず、定期的に観察し、変化があれば再度対処する必要がある。

良性腫瘍は、生体の特定の組織で細胞が異常に増殖したもので、通常は被包性で膨張性に増殖するが、増殖は緩徐である。周囲の組織に浸潤することも転移することもないため、一般に健康に影響を及ぼすことはなく、中には一生変わらないものもある。後期になると、腫瘍が大きくなりすぎて周囲の臓器を圧迫し、患者さんが不快感を感じるようになるものもありますが、ほとんどが局所的な症状を示すもので、手術で切除すれば症状は緩和されます。

良性腫瘍の経過観察における主な懸念事項とは?
第一:まず腫瘍の増殖部位を観察する。良性腫瘍が、スペースが限られている体の重要な部分にできた場合は注意が必要である。例えば、腫瘍が頭蓋骨や甲状腺、消化管壁や腸管内腔にできた場合、腫瘍の拡大が圧迫、閉塞、出血などの緊急事態を引き起こし、治療が遅れると死に至る可能性があるからである。これらの部位は厳重な観察が必要である。

第2:腫瘍が悪性化する傾向を観察する。良性腫瘍の中には、悪性化のリスクを伴うものもある。臨床症状には様々なものがある。突然の明らかな腫大、境界が不明瞭な腫瘍、豊富な血流、皮膚表面の異常な変化などに注意する必要がある。

第3:臨床症状と患者の心理状態。ほとんどの良性腫瘍は、小さいうちは無症状である。腫瘍が大きくなるにつれて、何らかの症状が現れることがある。例えば、甲状腺腫瘍が突然大きくなって気管を圧迫したり、腸管内腔の腫瘍が大きくなって閉塞を引き起こし排便が停止したりするような場合には、患者の病状を遅らせることがないように、時間内に医師に相談する必要がある。外見に影響し、患者の心理や生活に不便をもたらす表面的な腫瘍は、手術で治療できるものもある。

一般的に、良性腫瘍は観察が可能で、健康への影響も少ないと医師は言うので、患者は気持ちをリラックスさせて、健康診断をしっかり受ければよい。良性腫瘍の多くは、そのまま一生付きまとうので、手術の必要はない。要するに、専門医の意見を信頼し、過剰な診断や治療をしないことである。
健康診断の目的は、特に悪性腫瘍の早期発見と治療である。
この問いに答えるには、まず病気と治療の意味を理解しなければならない。病気とは、人間の生理的プロセスの障害であり、身体は正常な生理的プロセスに代わる病態生理的プロセスを作り出し、個人の健康に影響を与える。治療の目的は、病態生理学的プロセスを阻止し、正常な生理学的プロセスを回復させ、健康を維持することである。小さな良性腫瘍は身体の正常な生理的過程に影響を与えず、健康に影響を与えないため、治療せずに放置しておくことができる。
良性であれば治療の必要はない!外科的介入は、増殖が特定の場所にある場合にのみ必要です。
戻って、それが発展し続けさせ、それが悪性腫瘍〜癌に発展したとき、それは多くのお金を請求するのは良いことですが、不安、手術〜切除〜放射線治療が、その後、私はあなたを伝えるために知らない、どのように非常に良いうっ血は、自己治癒に自分自身で消えることができます!なぜなら、これは今日の医師が学び、習得した知識ではないからだ!だから、この患者にとっては悲しいことなのだ!
この質問と回答はサイト利用者のものであり、サイトの立場を代表するものではありません、侵害など、削除するには管理者に連絡してください。