血栓溶解という独自のシステムによって、ステント留置をせずに狭窄を薬で修復することは可能なのでしょうか?
血栓溶解という独自のシステムによって、ステント留置をせずに狭窄を薬で修復することは可能なのでしょうか?
この質問をされた方は、おそらく同じような状況に遭遇されたことがあると思います。例えば、急性心筋梗塞の患者さんの中には、激しい胸の痛みで入院されたものの、血栓溶解療法やインターベンショナル治療を受ける前に入院してしまい、突然症状が軽快した方がいらっしゃいました。その結果、冠動脈造影検査で、閉塞した冠動脈が自分で小さなスリットを開けたことがわかった。これが循環器医がよく言う血栓溶解である。この現象は朝に起こるが、その主な理由は、人体には凝固系に加えて線溶系が存在するからである。体内の凝固系が活性化されると、線溶系も活性化される。
では、人体には線溶系があるのだから、狭窄した血管病変の修復を線溶系だけに頼ることができるのだろうか?答えはノーである。なぜなら、たとえ非常に幸運であったとしても、線溶系が活性化したために血管が閉塞した後、患者の閉塞した血管が再開通することになるが、重度の血管狭窄を完全に開通させることはできず、一般的に正常な生理状態にはならず、正常な生理機能を持たないからである。そして、このような狭窄の深刻な犯罪者の血管は、特に再閉塞しやすいので、血管の狭窄を通常の状態にするために介入手術を通じて、手術を行う方が良いですが、また、後期の再閉塞のリスクを避けることができます。
冒頭で述べたような状況、つまり閉塞した血管が再疎通した場合でも、冠動脈造影、あるいはステントの植え込みが必要です。再疎通したからといって、完全に血管がきれいになったわけではなく、再疎通した状態でも99%狭窄していることが多いので、さらに外科的治療が必要です。もちろん、具体的な状況を分析し、専門医の治療計画に従わなければならない。
急性ST上昇型心筋梗塞の患者では、血栓溶解薬によるインターベンションで血栓を完全に溶解して狭窄を緩和することができるので、ステント留置は必要ないかもしれません。
さらに、冠動脈性心疾患患者の他の原因に対しては、血栓溶解薬は無効であり、この前提条件を念頭に置かなければならない。
ST上昇型心筋梗塞とは?
ST上昇型心筋梗塞:急性心筋虚血壊死で、冠動脈の不安定プラークが破裂し、短期間に多数の血栓が形成される(赤色血栓)、急性、持続性、短期間の冠動脈の完全閉塞。血液供給の激減または完全な遮断の結果、多数の心筋細胞が虚血および壊死する臨床症候群。以上の文章から、この病気が非常に危険で、進行が非常に速いことを直感的に感じていただけるだろう。
血栓溶解療法とは何ですか?
血栓溶解療法とは、心筋細胞梗塞の初期段階で血栓溶解作用のある薬剤を使用して血栓を溶解し、血管動脈を再開通させて血液を再灌流させる治療法である。
ゴールデンタイム3時間以内の血栓溶解療法
時間は生命であり、時間は心筋である。心内膜から心外膜まで20分の冠動脈閉塞は壊死まで進行性障害であり、40分後の閉塞は壊死面積が総面積の約30%、3時間で約50%、6時間で約70%、24時間で約80%であり、3時間後の冠動脈閉塞は有効な再灌流を回復するために心筋の壊死から50%以上になる。このことから、心筋虚血時間の合計が心筋梗塞領域の大きさを決定する最も重要な因子であることがわかる。早期で効果的な血栓溶解療法、特に3時間以内の血栓溶解と再灌流は、瀕死の心筋の大部分を救い、梗塞サイズを縮小し、心室機能を保護し、患者の予後を改善することができる。
概要
安定狭心症、非ST上昇型心筋梗塞など、その他の冠動脈疾患の場合白血病)、不安定狭心症の場合は、血栓溶解薬では冠動脈の狭窄を解消することはできず、血管の狭窄がひどい場合は、ステント植え込み術や冠動脈バイパス術でしか解決できません。このように、病態が異なれば治療法も異なり、重要なのは、科学的かつ厳密に病態に対処するために、あなたの病態がどの種類に属するかである。
[健康重視、ドクター・ナン重視]。

血栓は自分で溶かすこともできるし、血栓溶解薬で溶かすこともできる。
例えば急性心筋梗塞の患者の中には、激しい痛みが数時間続いた後、徐々に自然に治まる人もいる。冠動脈造影検査で重篤な狭窄が認められない場合は、非常に危険である。局所的な血栓の自己融解の可能性もある。血管が再び開けば、この時点でステントを入れる必要はない。
急性心筋梗塞の患者に対して、これまで緊急介入ができなかった場合、あるいは現在介入能力のない病院では血栓溶解療法のための血栓溶解薬患者の胸痛は血栓溶解療法後2時間以内に半分以上緩和され、心電図のSTセグメントの上昇は50%以上低下し、血液検査では心筋壊死マーカーの「ピーク」が進んだ。以上のことはすべて血栓溶解が成功した徴候である。
しかし、診断・治療技術の発達により、急性心筋梗塞の患者には「できるだけ早期に」血管を開くことが極めて重要になっている。緊急ステント留置は、死亡率の低下、予後の改善、再発の抑制において、薬理学的血栓溶解療法よりも優れている。したがって、緊急介入は急性心筋梗塞患者の治療の一部である。優先オプション条件が整わない場合は、薬理学的血栓溶解療法を選択する。
但動脈硬化性プラークによる重度の狭窄では、血栓ではないので血栓溶解薬は使えない。
しかし、抗血小板薬を使うことはできるアスピリンやクロピドグレルなど血栓症の予防(b)スタチンプラークを安定させる。プラークの破裂を防ぎ、プラークを逆戻りさせる(b)プリロセックまたはサルタン血圧をコントロールする薬。抗動脈硬化プラーク。
健康に焦点を当て、心臓血管に焦点を当てる!
人間の身体は自分で血栓を溶かすことができるのだろうか?私たちの体には、血栓の形成を促進する凝固系とは別に、血栓の溶解を促進する線溶系が存在するからだ。 体内で血栓が形成されると、線溶系が活性化され、血管塞栓症につながらないように自ら溶解させる;
例えば、患者の体内に血栓が形成されると、血管内に塞栓症が発生し、心筋梗塞や脳梗塞などの緊急事態を誘発し、重篤な虚血症状を引き起こすが、患者によっては短期間で症状が軽快することもあり、これは上記のような「血栓の自己融解」によるものと考えられ、実際に臨床では比較的よく見られる状況である;
しかし、体内の "血栓を溶かす "能力は比較的限られており、血栓が大きくなりすぎると、線溶効果はあまり期待できなくなる。このとき、薬物による溶血を考慮しなければならないが、これも急性心筋梗塞や急性脳梗塞などの急性血栓症の主な治療法の一つであり、一般的にこのような "緊急血栓溶解療法 "を行うことができる。"緊急血栓溶解療法 "は、しかし、血栓溶解療法は一定の時間内に行わなければならないことに注意しなければならない。一旦遅れると、血栓が溶解されても、血管が再び開き、関連機能が回復しにくくなる恐れがある。
また、健康な血管は塞栓症になりにくく、梗塞を起こした血管の大部分は長い間狭窄が存在し、その原因は基本的に動脈プラークであり、このプラークと血栓は同じではなく、除去することも、薬で除去することも、自己融解することもできないため、その結果生じた血管の狭窄を通常の手段で修復することはできず、これが「血管ステント」の存在意義である:狭窄を物理的に支え、血栓塞栓症の可能性を減らす。これが「血管ステント」の存在意義である。狭窄部を物理的に支えることで、血栓塞栓症の可能性を減らすのである。
若い頃、医学部を卒業したばかりで、病院の若手医師として働いていたとき、冠攣縮性狭心症や心筋梗塞の患者に血栓溶解療法を行うよう院長が指示しているのをよく目にした。ほとんどの場合、結果は極めて良好だった。
当時、わが国では主に冠動脈ステント留置術がまだ普及しておらず、心臓の冠動脈にステントを留置することはほとんどありませんでした。わが国の医療技術の発展に伴い、ステント留置術は徐々に増加し、現在では非常に普及しています。
一般に、冠攣縮性狭心症、特に急性心電図st-segment上昇がある場合は、急性心筋梗塞と考えられることが多く、緊急に閉塞した冠動脈を開く必要がある。患者の命を救うためである。
さらに、脳梗塞、肺塞栓症、腎動脈塞栓症、血液透析患者の動静脈瘻の塞栓症などでも、緊急の血管確保が必要とされる。
血管を開く」臨床治療は、薬物と機械による2つの方法、すなわち血栓溶解療法とインターベンション療法を選択することができる。 血栓溶解療法は、形成された血栓を薬剤で溶解し、病変血管を再開通させるもので、臨床治療の役割を果たす。
現在、臨床で一般的に使用されている血栓溶解薬は、組織型フィブリノゲンアクチベーター、ストレプトキナーゼ、ウロキナーゼであり、それぞれ異なる作用機序によって血管内血栓を溶解し、血流を回復させる。血栓溶解療法に対する禁忌がなく、血栓溶解療法の基準を満たせば、血栓溶解療法を考慮することができる。
一般に、血栓溶解療法の適応は、主に各臓器の梗塞の持続時間に基づいている。例えば、心筋梗塞では、主に虚血性胸痛が30分以上6時間未満持続する場合である。心電図で隣接する2つ以上のstセグメントの上昇を認める。または、発症から12~24時間経過している。しかし、広範なstセグメントの上昇を伴う進行性の虚血性胸痛があり、血栓溶解療法の禁忌はない。一般に年齢による制限はないが、高齢であればあるほどリスクは高くなる。
血栓溶解療法は実施しやすい。多くの一次病院では実施可能である。 しかし、全身静脈から薬剤を投与して閉塞した血管を溶解できるかどうかは、まだ観察が必要である。いくつかの臨床データによれば、最高の血栓溶解薬を投与しても、病変血管の開通率は70%にしかならない。そして、ほとんどの患者にはまだ重度の狭窄が残っている。さらに、血栓溶解によって再疎通された血管が再び閉塞する可能性も高い。
一方、血栓溶解療法は比較的リスクが高い。しかも高齢であればあるほどリスクは高くなります。最大のリスクは、患者に出血性合併症を引き起こす可能性があることです。例えば、消化管出血や生命を脅かす頭蓋内出血などです。
一方、血管ステント留置術は、バルーンによる拡張と管腔の形成を基本とし、血管の狭窄・閉塞した部分を支え、血流を回復させるために、疾患部分に人工内膜を留置する。 手術にはある程度のリスクが伴う。しかし、最近の血管ステント留置術は技術が成熟しており、リスクは比較的小さい。
そのため現在では、急性動脈塞栓症の臨床では、ステントを留置するインターベンション治療が主流となっている。閉塞した血管を開くために。
もちろん、ステント留置術には高額な費用がかかるため、適応には厳格でなければならない。手術の厳密な適応がある場合にのみ留置すべきであり、決して過剰治療をしてはならない。

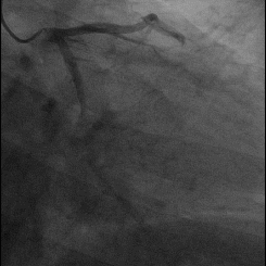
理論的には、薬理学的血栓溶解療法によって血管再灌流をうまく回復させることが可能である。 呉医師が循環器科をローテートしていたとき、県立病院から紹介された急性心筋梗塞の患者を受け持った。患者は突然胸痛を発症し、地元の県立病院を受診した。地元の県立病院の心電図だけでなく心筋酵素からも急性心筋梗塞の存在が示唆された。地元の病院にはインターベンション治療がないため、患者の発症時期と出血の危険性が低いことを考慮し、患者および家族に血栓溶解療法への同意を求め、血栓溶解療法後にさらに血栓溶解インターベンションを行うために当院に転院した。患者はステント留置の準備ができていたが、冠動脈造影の結果、狭窄冠動脈は再疎通し、狭窄率は20〜30%にすぎなかったので、ステントを留置する必要はなかった。
急性梗塞の場合、条件さえ整えば、治療の第一選択は直接PCI(冠動脈インターベンション診断)、つまり狭窄した血管を再疎通させるインターベンション手術、冠動脈ステントの留置であり、これが現在血管の再灌流を回復させる最良の方法である。PCIを行う条件が整っていない患者や発症時間が12時間未満の患者に対しては、薬物による血栓溶解後に出血の危険性を評価して選択することができる。しかし、薬物による血栓溶解療法が100%成功するという保証はなく、薬物による血栓溶解療法後、PCI手術ができる条件の病院に転院し、さらに血栓溶解療法を行い、PCIを行う必要がある。先に挙げた例のように、血管が再疎通すればステントを植え込む必要はないが、血管が70%以上狭窄している場合はステントを植え込む必要がある!
血栓溶解薬だけでなく、血栓の凝集を抑制する抗血小板凝集薬や抗凝固薬もありますし、人体には血栓の凝集を抑制する線溶系が備わっています。血栓溶解療法や手術にはリスクがあるのだから、抗血小板凝集薬や抗凝固薬を使って血栓溶解療法や手術はできないのだろうか?
急性梗塞の患者にとって、「時は心筋なり、時は命なり」であり、1時間遅れるごとに、患者は死のリスクを高めることになる!救命とは、一刻も早く血管を開き、再灌流を回復させることである!もしPCIと薬剤による血栓溶解療法が不可能であれば、保存的治療として抗血小板凝集薬と抗凝固薬を服用するしかない!もちろん、具体的な病態の分析に応じて、具体的な解決策を講じることになりますが、必ず専門医の治療計画に従ってください。
わかりやすい言葉を使って、みんなに健康知識を広める総合診療医です。フォローすれば、かかりつけ医ができます。役に立つと思ったら、必要としているお友達に転送してください!
質問者が挙げた問題は、多くの人が夢見る結果だが、実際、血管内狭窄と血管内血栓症は血栓溶解できるのか、狭窄は薬で元の状態に戻せるのかについて、伝説の血栓症と狭窄を一緒に突っ込んで、実際に薬でどう治療できるのかを見てみよう。
血栓溶解は本当にあるのか?
実際、本当に血栓溶解療法があり、急性心筋梗塞、急性脳梗塞の治療では、緊急血栓溶解療法が最も一般的な方法であり、脳梗塞や急性心筋梗塞は動脈急性血栓症の形成であり、静脈血栓症の過程でも血栓溶解療法のプログラムや対策があり、本当に血栓溶解療法があることを意味しますが、血栓を溶解するこれらの方法は、急性患者の発症のためです。特に脳梗塞は、発症の時間窓口がより厳しく制限されているため、特定の期間以上の発症は、そのほとんどが12~24時間以上であるため、血栓溶解療法を行うことはできません。
II.狭窄は解消できるのか?
私たちが溶かすことができるのは新しくできた血栓ですが、以前からある狭窄は薬では溶かすことができません。狭窄とは、動脈硬化の後にプラークが形成され、それが内腔を塞いでいわゆる狭窄を形成することです。プラーク形成後は薬剤で溶かすことができない。プラーク破裂後に形成される急性血栓は溶かすことができるが、溶かすことができる急性血栓の部分には元の残存狭窄は含まれない。残存狭窄の量は血栓溶解後にステントを入れるかどうかの大きな判断材料の一つである。
III.血栓症や狭窄を予防するには?
つまり、動脈系では狭窄さえ防げば、血栓のほとんどを防ぎ、効果的に回避することができるのです。静脈血栓症の形成には、長期の安静、生理的疾患など多くの要因が関係している。
お分かりいただけただろうか?血栓は本当に溶かすことができる、急性の血栓は溶かすことができるが、慢性の狭窄は溶かすことができない。お分かりいただけただろうか?フォローして、科学に関する最新情報をゲットしよう。
べからず
この質問と回答はサイト利用者のものであり、サイトの立場を代表するものではありません、侵害など、削除するには管理者に連絡してください。