脳出血はいつ再発するのか?
脳出血はいつ再発するのか?
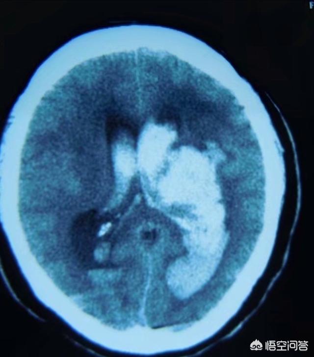
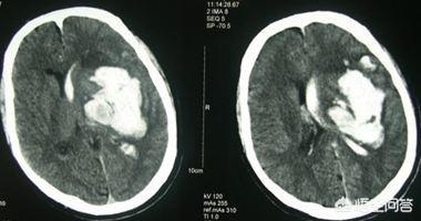
脳出血には脳実質出血とくも膜下出血がある。
脳実質出血は、高血圧性脳出血、血管アミロイドーシス出血、動静脈奇形出血によく合併する。
理論的には、動静脈奇形からの出血は治癒した後は再び出血することはない。
高血圧性脳出血や血管アミロイドーシス脳出血、動脈瘤によるくも膜下出血は、老年期の退行性変化のため、病変は、様々な高リスク因子の長期的な影響の下で発生し、そのような興奮、過労、しばしば便を保持し、激しい運動などの特定の突然の要因で、血圧が突然増加するように、しきい値を突破し、血管の破裂や出血をもたらす。
ですから、たとえ今回病気が治ったとしても、それらの危険因子を完全に回避することはできません。ですから、血圧が急激に上昇するような事態があれば、再び出血する可能性はあります。
しかし、まだ注意を払うべきことがある。
1.最も重要なことは、不慮の転倒を防ぐために血圧を安定させることである。
2 定期的な長期投薬、血圧、脂質、血糖値などの定期的な見直し、および
3、食事は減塩、あるいは無塩でなければならない。
4.軽い運動は、各運動時間が大きすぎてはならない、ベンチマークとして最後の運動は、体がガイドラインとして不快感を持っていない、散歩に付着することができます。
5.感情をコントロールし、怒ったり興奮したりしない。
いかがですか?あなたはこの記事があなたに役立つと思う、単語 "注意 "をクリックし、 "ああ "のようにすることを忘れないでください!私は医師の介入に従事するプロの脳神経外科医であり、より多くの脳血管疾患の健康知識、ドライグッズは、あなたに "献身 "があるでしょう。ありがとうございました。
脳出血再発の危険因子
高血圧性.脳出血患者はすべて血圧をコントロールすべきである。高血圧患者は定期的に血圧を測定すべきであり、130/80mmHg以下の血圧の患者は良好なコントロール状態にあると考えられる。感情的興奮、激しい活動、急激な体温低下などは血圧の劇的な変動を引き起こす可能性があるので、避けるようにする。
悪いライフスタイルだ。1日2回以上のアルコール摂取を避けること、喫煙や薬物乱用を避けること、閉塞性睡眠時無呼吸症候群を速やかに治療することなどである。薬物乱用とは、薬物乱用やその他の中毒性薬物のことで、閉塞性睡眠時無呼吸症候群とは、いびきをかいている人がいることです。これは実は病気であり、脳出血を誘発するだけでなく、心血管疾患を誘発しやすい。
初期脳出血における出血部位葉内出血は再発しやすい。
老齢.高齢になるほど、脳アミロイドーシスを発症する可能性が高くなる。脳アミロイドーシスは神経組織の変性疾患とみなすことができ、この疾患による脳出血の場合には再発しやすい。
長期経口抗凝固薬なぜなら、経口抗凝固薬を必要とする患者は、リウマチ性心疾患、心房細動、脳梗塞など、より重篤な心臓や脳の疾患を抱えていることが多いからである。したがって、投薬の継続については、関連する診療科の医師が話し合って結論を出す必要がある。
ラクナ脳梗塞と自然発症の頭蓋内出血は病態が類似していることから、ラクナ脳梗塞の患者は脳出血を起こしやすいと考えられている。
"ハッピー・リトル・ドクター "のお返事、うれしく思います!

脳出血には一般に高血圧性脳出血と自然くも膜下出血があり、広義には外傷性脳出血があるが、日常生活で脳出血といえば高血圧性脳出血を指すことが多い。
また、高血圧性脳出血は、脳出血を起こした場合、将来脳出血を止められないということではありません。逆に、脳出血を起こした患者は、次の脳出血を起こす可能性が高くなります。脳出血を起こした場合、ほとんどの場合、患者の脳血管に動脈硬化があり、血圧が高く、すでに非常に重篤な状態になっていることを意味し、一般的に合併症があるため、それを高血圧性三次出血と呼びます。
脳出血が起こった場合、患者は次の出血を防ぐための予防措置をとることが重要である。
1.初回出血にせよ、再発性二次出血にせよ、血圧がコントロールされていないことが主な原因ですから、血圧をコントロールすることが脳出血や再発性脳出血を予防する最も重要な部分です。そのためには、血圧をよく観察し、薬をきちんと服用することが必要です。
2.血糖値と血中脂肪をコントロールし、軽い食事、塩分摂取を制限する。
3.禁煙と節酒、煙は無害だが、血圧を上昇させ、血管を老化させる。
4.適切な運動、散歩ジョギングや太極拳や他のスポーツに行くために取る、それは激しい運動であってはならないが、毎日遵守する。
5.感情をコントロールし、心のバランスを整え、その場限りの解決策を考えず、奇跡的な治療法や根こそぎ取り除くという主張を軽んじないこと。
以上のことをすべて行うことで、再発のリスクを大幅に減らすことができる。
医療知識の健康をプッシュするためにあなたのための "幸せな小さな医者 "毎日、ケースを共有し、注意ヨーヨーの右上隅をクリックすることを忘れないでください!
朝は脳出血の発生率が高いと思うが、それも気分の落ち込みが引き金になることがある。
父は79年6月に脳出血で倒れ、早朝4時頃に起きて、朝5時頃に亡くなりました。
私の母も脳出血を起こしたが、精神的苦痛のために突然発症し、午後1時頃に発症した。
三番目の兄は朝6時頃に早起きして、彼も脳出血を起こした。
私は脳出血の患者で、発作の発症は早朝4時半ごろの頭痛で、その後昏睡状態に陥った。
一般論に過ぎないが、少なくとも脳出血と朝起きるのは簡単だということがわかる。
早朝に起こる病気はたくさんあるが、何が原因なのか考えたことがない。もしかしたら、早朝は人の体が24時間のうちで最も弱っているときなのだろうか?
早起きして走るのが正しいのか?体に必要なものを補給するためには、朝食がいい。
私は理由を尋ねることに慣れてきた。どの答えも、私が理解していない何かを教えてくれる。
義母は朝発症、次兄は朝発症、張大夢は朝発症、義兄は朝発症・・・・・・。
朝は大病の発生率が高い時間帯らしく、早起きしたらしばらく横になる、ベッドにしばらく座っている、あわてて運動しないなど、万が一のことがないように体のケアをすることが大切だ。
春と秋も再燃しやすいので、気温が低いときは暖かくしてなるべく外出を控えるようにしよう。ただし、人生は運動が大事なので、気温が上がってから外出し、汗を流しても遅くはない。
入院後、退院時に医師から「再発防止のために、あれこれ注意してください」と説明される病気はたくさんあるが、再発しやすい病気の中に脳出血がある。
脳出血の患者は、一般に高血圧、糖尿病、高脂血症、高ホモシステイン血症など多くの慢性疾患を伴っている。この中で、高血圧は最も危険で、脳出血の後、高血圧が効果的にコントロールされていない場合、長期的な高血圧は全身の血管を痙攣させ、硬化させ、特に小動脈は弾力性が低下し、突然の感情的な興奮で、心拍数が加速され、血圧が上昇しやすく、破裂して出血し、その結果、二度目の脳出血を引き起こします。
高血糖、高脂血症、高ホモシステインは血管に影響を与え、動脈硬化を促進し、脳出血のリスクを高める。
悪い習慣もある。脳出血を起こしたことがある人は、血管の状態が良くないということだから、喫煙、飲酒、ジャンクフード、夜更かしなどを続けていると、血管にさまざまな程度のダメージを与え、2度目の脳出血のリスクを高めることになる。
したがって、すでに脳出血を起こしたことがある人は、血圧、脂質、糖質を下げるという基本的な条件を満たし、悪い習慣を改めるなど、2度目の脳出血のリスクを減らすための予防策を講じることが重要である。
脳出血は、非外傷性因子による脳実質内の出血であり、最も一般的なものは高血圧性脳出血である。
長期にわたる高血圧はしばしば脳の小動脈の動脈硬化を引き起こし、糖尿病などの他の要因も小動脈病変を引き起こし、その上で急激な血圧上昇が脳動脈の破裂を引き起こす。
したがって、脳出血の再発を予防するためには、血圧のコントロールに注意を払うことが最も重要なことの一つであり、理想的な状態にコントロールするだけでなく、最も重要なことは、血圧が安定していて、大きな上下がないことである。
脳出血の既往のある人は、高血圧を抑える薬物療法に加え、感情のコントロールに注意し、短気や過度の興奮、激しい運動を避け、特に秋から冬にかけての季節の変わり目には防寒に気を配る必要がある。
脳出血はいつ再発するのか?
脳出血は、高い危険因子がなくても常に再発する可能性があり、この病気が危険である重要な理由の一つです。そのため、一度脳出血を起こすと再発の危険性が高く、生活する上では細心の注意を払うとともに、医師の処方する薬を適時に服用し、危険因子を蓄積させないことが緊急事態につながるのです。
中国では、脳出血の発症率は年間10万人当たり70人、有病率は10万人当たり112人で、欧米や他のアジア諸国よりもはるかに高い。脳出血後1ヵ月の死亡率は40%で、障害がないのは生存者のわずか12%である。脳出血生存者の再発率は20%である。まとめると、脳出血は「高発生率、高再発率、高障害率、高死亡率」という特徴を持っている。

脳出血の原因はさまざまであり、人によって原因も異なる。脳出血の原因究明は、臨床において的を絞った予防・治療法の採用を容易にする。脳出血の原因は、血管構造病変、薬物使用、脳アミロイド血管症、全身性疾患、その他の疾患、高血圧、原因不明の脳出血に分けられる。
病気の原因に対処することが重要である!
高血圧は脳出血の最も重要かつ独立した危険因子であり、収縮期血圧および拡張期血圧の上昇は脳出血の危険性と正の相関があることが臨床研究によって確認されている。脳出血患者はすべて血圧をコントロールすべきである。血圧管理は脳出血発症後直ちに開始すべきである。高血圧は脳出血の最も一般的な原因の一つでもある。
再発を防ぐために、どのように薬を使えばよいですか?
早期再出血の予防 脳出血後、早期の再出血/血腫拡大を確認し、速やかに治療する必要がある。後期再出血の予防のために抗凝固療法が考慮されることがある。
ワルファリンによる自然葉出血後の非弁膜症性心房細動に対しては、ワルファリンによる長期抗凝固療法を避けることが推奨される。
心房細動に伴う脳出血既往患者におけるダビガトラン、リバーロキサバン、アピキサバンによる再発リスクの減少
必要であれば、脳出血患者では抗血小板薬単独療法を考慮してもよい。アスピリン単独療法は脳出血発症後数日以内であれば再開可能である。脳出血患者においてスタチンの使用を制限するかどうかは結論が出ていない。
私は王薬剤師と申します。簡単で分かりやすい言葉で循環器・脳血管疾患の知識を広め、健康な中国のためにささやかな努力をしています。もし私の回答がお役に立つと思われましたら、「いいね!」をお願いします!また、もしまだ関連する質問があれば、メッセージを残してください!
脳出血を起こした場合、このような患者は動静脈奇形や高血圧の存在によって引き起こされ、患者も再発する可能性があり、例えば、長期の高血圧患者は、動脈硬化を引き起こしやすく、患者の血圧が十分にコントロールされていない場合、患者は血管の破裂出血を起こしやすく、血管の破裂が頭蓋内領域で発生した場合、脳出血を引き起こしやすい。
脳外傷による脳出血の場合、それ以上の外傷がなければ再発することはない。 脳出血の多くは一次的な原因によるものであり、高血圧、糖尿病、高脂血症などの疾患を合併していることが多く、これらの危険因子のコントロールが十分でないと再発しやすい。
脳出血には多くの種類があり、その種類によって再発の可能性が異なります。再発しやすいのは脳血管腫、スモッグ病などで、初発後に手術で原因を完全に解決すれば再発は少ないのですが、保存的治療だけでは再発しやすいのです。高血圧性脳出血の場合は、血圧のコントロールがうまくいき、良好な維持管理と生活習慣に注意すれば再発の可能性は少ない。上記は主なタイプであり、これ以外にも非常に複雑なカテゴリーがあり、記載されていません。
脳出血は一般に脳実質出血とくも膜下出血に分けられる。前者には一般的に高血圧性脳出血、血管アミロイドーシス出血、動静脈奇形出血が含まれる(これは通常治癒後に再発することはない)。
動静脈奇形による出血を除けば、その他の出血は、老年期の退行性変化と関連しており、さまざまな危険因子を伴い、長期的な影響のもとで、感情的興奮、疲労、便秘、激しい運動、激しい咳などの特定の予期せぬ要因にさらされ、血圧が突然上昇し、血管が圧力の劇的な上昇に耐えられず、血管が破裂して出血するものである。脳出血の原理もほぼ同じである。
脳出血は本質的に危険なものであり、一度目に生き延びることは偉大なことである。今回治ったとしても、そうした危険因子はまだ残っており、その多くは避けられないもので、血圧上昇などの刺激によって誘発されると、再び出血を起こす可能性が高くなる。
いくつかの要因は完全に避けることはできないが、日常生活でより注意を払うことによってのみ避けることができる。
定期的、長期的、安定的な薬物療法、血圧の厳格な管理、血圧、血中脂質、血糖値、その他の高リスク因子の定期的な検査、転倒の予防が必要で、転倒は骨折に加え、脳出血を直接的、間接的に誘発する可能性がある。食事は減塩、低脂肪、軽食でなければならない。
運動は、基準として身体的な不快感のない、穏やかで適度なものであればよく、歩いたり、太極拳をしたりすることができる。自分の感情をコントロールすることを学ぶために、怒り、興奮や他の異常な感情的な行動につながる麻雀や他の簡単な再生を避けるために、夜更かししないでください。要するに、それは健康的な生活です。
最後に、健康だ。
この質問と回答はサイト利用者のものであり、サイトの立場を代表するものではありません、侵害など、削除するには管理者に連絡してください。