肺結節の手術は私の生活にどのような影響を与えますか?
肺結節の手術は私の生活にどのような影響を与えますか?
私は医学博士、研修医、人間の健康の利益のために医学知識の普及を専門としています、あなたが詳細をお知りになりたい場合は、私に注意を払ってください、質問がメッセージを残すことができる、応答します!
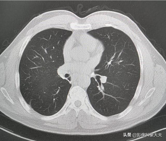
肺結節は医学的には、境界が明瞭で、画像上不透明な、直径3cm以下の単発または多発の肺結節で、完全に空気を含む肺組織に囲まれ、無気肺、肺門拡大、胸水を伴わないものと解釈される。このような結節の大きさでは8mmが限界であり、直径8~15mmの結節は悪性傾向を示すことが多く、ハイリスク結節に属する。 良性・悪性の性質をさらに明らかにするため、あるいは治療の目的をさらに達成するために、医師はしばしば診断的穿刺による検査用検体の適切な採取、あるいは直接切除を勧める。
では、結節手術はどのように診断され、治療されるのだろうか?
1.一般診断用穿刺(これも外科手術に該当する):
定期診断の穿刺後、穿刺事故を起こさなければ、通常、数時間から1日後には普通に動き回れるようになる。 穿刺部位は蚊に刺された後の回復過程のようなもので、かさぶたになるまで、乾燥に注意し、無菌状態を保ち、洗ったりこすったりせず、異常な感覚はない。
その後、医師の指示に従い、臨床症状の治療を続けながら、さらなる治療計画の立案に役立つ症例の結果を待つか、退院して自宅で結果を待つことができます。日常生活 普通の人と同じように健康的な生活を送り、禁煙や禁酒、仕事や休養をすることができます。余分な栄養補助食品を摂る必要はありませんし、現時点では悪性腫瘍の診断もありません。ですから、当分の間はあまり精神的なエネルギーに負担をかけないようにしてください。リラックスした気分は、むしろ生活を助長します。
2.病変組織の除去:
このような手術は悪性病変を強く疑うことが多く、外科的切除が必要な理由は一般的に以下のようなものである:
1.病変組織は悪性の可能性が強く疑われ、周囲の臓器、血管、神経を圧迫するなどの臨床症状を呈し、患者の生存の質に影響を及ぼす。
2.病変組織の増殖を抑え、病気をコントロールするために、病変組織が悪性に増殖し、周囲に広がる徴候がある。
3.結節の摘出と同時に、病巣を摘出して検査室に送り、悪性病巣の程度をはっきりさせ、さらなる治療プログラムの準備を容易にする。このような程度であっても、実際には、私はまだ患者が心理的によく準備することができることを願って、病気の診断は、私たちの悲しみと否定的なために変更されませんので、病気は人を憐れむことはありません、この時点で、我々は明確に理解する必要があり、我々は戦友と同意し、私たちの親族、友人や医師の近くにある、専門の医師のアドバイスを聞いて、適切な治療計画を選択し、医師の指示に従って実行する。.
肺結節は手術後の生活にどのような影響を与えますか?
1.手術部位の痛みとかゆみ:手術直後、患者さんは手術部位に痛みや違和感を感じることがありますが、実はこれは正常な術後の回復であり、私たちが地面に転んだり、膝を擦りむいたりしたのと同じで、後にかさぶたができる時にも痛みや違和感があります。
2.一過性の不快感:時々、彼らは完全に説明することはできませんが、実際には、クリニックでこのような状況は珍しいことではありません、このようなことは、多くの場合、神経の損傷の一部であるため、なぜ我々はどこでも涼しい痛みやかゆみを全身の温度を感じることができる、我々は神経の全身に分布しているためであり、その後、細かい手術などでは、神経が少しも損傷されないことを保証することはできませんが、医師の臨床操作は、このようなことが起こることを回避しようとします!しかし、臨床医はこのようなことをできるだけ避けようとする。過度の緊張が一過性の不快感をもたらすこともあるので、多くの医師は患者の既往歴から不必要な緊張を減らすようにアドバイスする。
3.手術後、私たちは明らかに免疫力の低下を感じる:実際、免疫力の低下の一部は病気そのものによるものであり、もう一部は、明らかに体のさまざまな不調に注目し、以前よりも免疫力が低下しているように感じるだろう。
4.手術後、食欲が減退する患者が多数いる:ここで考えるべきことは、食欲に影響を及ぼしているのが病気の進行なのか?それとも手術が神経に影響を及ぼしているのでしょうか?悪性結節が悪性であるのは、結節が元の場所にあるだけでなく、他の場所に走って悪さを産む可能性があるからです。肺の悪性結節は、さらに病気が進行すると消化器系に転移し、胃や肝臓などの消化器に達すると食欲に影響を及ぼします。関連神経に影響を及ぼす手術に関しては、上記で説明したのでここでは繰り返さない。
5.手術後は眠くなりやすく、怠くなりやすい:なぜここに眠気と怠惰がありますか?大きな手術は、医師が一時的なベッドの安静をお勧めします、当然のことながら、通常よりもはるかに長い時間ベッドに横たわって、多くの患者は、彼らの力の手術は、残りの部分に特別な注意を払う必要性を感じるだろう、長い目で見れば、体内時計の変化、習慣の形成は、当然のことながら、眠くなりやすくなります。
6.手術後は不機嫌になりやすい:気分の変化は理解できる範囲だ。健康な体を望まない人はいないだろうし、体調を崩したり、心の底から気分が落ち込んだりするのは普通のことだ。
最後のまとめ:肺結節が手術後の生活に与える影響は、おおよそ以上の点に要約されるが、改めて、健康な友人が健康を大切にし、病気の友人が完全に希望を失わないことを願う。
純粋に手入力で、それは簡単ではありません、あなたは文章が賞賛を報いることができると感じた場合は、懸念を指摘し、ご質問がある場合は、以下のメッセージを残すことができます......
私は肺結節の手術患者、今年6月27日健康診断の後、肺結節17ミリメートル* 12ミリメートルを持っていることが判明し、すぐに結果を得るために地方の三次病院を掛け、CT検査の強化を自己要求し、結果は12ミリメートル* 8ミリメートル、いくつかの危険性を示し、オンラインで専門家の番号を掛け、専門家は3つの提案を与えたプログラム、まず、定期的な再診。第二に、悪性かどうかを穿刺チェック。第三に、手術。
ある程度のリスクがあること、心臓が圧力に耐えられることを考慮し、私は手術を選択しました。外科医は非常にプロフェッショナルであるだけでなく、非常に倫理的であり、その時に検出された結節に加えて、手術中に触れた小さな結節も、迅速な病理検査は良性であり、7日間の病理検査の結果も同じであり、私は調整の考え方で栄養価の高い食事にこだわりました!咳は約1ヶ月前に消失し、現在4ヶ月経ちますが、医師は私が非常によく回復していると言いました。傷の治りも非常によく、強度の高い運動もすべて再開した。
皆さん、こんにちは!科学に情熱を燃やす臨床医、メディカル・マインド・カービング・ドラゴンです。
肺結節の手術はあなたの生活にどのような影響を与えるのでしょうか?実際、肺結節といえば、肺結節の手術について触れなければなりません。 悪性の肺結節の場合、外科的切除が断然最善の治療法です。手術は根治が可能であり、in situ癌の段階にある悪性結節の場合、臨床的治癒率はほぼ100%であるという研究結果もあります。
しかし、肺結節の手術に関しては、手術が人生を変える影響について言及することが重要である。
1.体性痛の影響
これは主に肺結節の手術後数日以内に起こるもので、一般的な原因は切開創の引っ張られるような刺激による痛みで、通常は体の回復とともに痛みは徐々に消えていきますが、痛みが持続し、切開創の周囲が赤く腫れ、滲み出ている場合は、感染や亀裂の可能性を考慮する必要があります。
2.肺機能の影響
肺結節の手術は低侵襲手術ですが、それでも肺、特に肺組織の手術部位にある程度の損傷を生じ、手術刺激後、局所的な肺葉萎縮無気肺を引き起こし、患者の肺機能に影響を与えるため、術後の積極的な機能運動、より深い呼吸、風船を膨らませる運動を行うことをお勧めします。
3.呼吸器症状の影響
肺結節のある患者の中には、術後に長期間の慢性の咳をする人がいるが、これは肺の正常な解剖学的構造の破壊に関係している可能性があり、一般的にこの慢性の咳には特定の有効な治療法はない。
肺結節の患者さんに対するここでの重要なアドバイスは、手術は一大事であり、病変の性質がまだ確定していない場合は、手術を急がないことが望ましいということです。
骨にできた肺結節を「結節は良くないものだ」と考えて拒絶し、簡単に切り取ってしまう人が少なくありません。 肺結節が肺病変に属することは認めますが、無差別に切り取ってしまうのはもっと好ましくありません。 手術で結節を取り除くことは可能ですが、手術中の麻酔や出血のリスクはもちろんのこと、術後の回復過程も様々な条件が揃う可能性があり、手術のリスクと合併症を天秤にかける必要があります。以前、肺の手術を受けた患者さんが、術後の感染症で肺葉を全摘出せざるを得なかったことがありました。もちろん、この種の手術で何か問題が起こるリスクは比較的小さいが、特定の患者に起こった場合は100パーセントである。
全体として、肺結節の手術後の生活にはやはりある程度の影響があり、近い将来には切開部位の痛み、長期的には肺機能や呼吸器症状の面での影響があります。 上記のような不快な症状が出た場合は、適時に主治医に報告し、専門医のアドバイスに従って治療することをお勧めします。
私は医療心臓刻まれた竜ですが、それはコード化することは容易ではありません、すべてのこれはまた、運命であることを参照してください、あなたがああ行く前に好きな感謝!
ちょうど今、隣のオフィスの同僚が、その同僚のとても親しい同志の娘さんが、娘さんの手術のために上海の専門医に地元の病院に来てもらいたいというので、私に連絡してほしいと頼んできたところだ。
同志の娘さんの容態について尋ねると、彼は同志の娘さんのMRI診断書のコピーを渡してくれた。そこには、左腕後側に台形状の血管腫があり、血管腫の大きさは14.5cm×3.5cmと診断されていた。
私はさらに、生まれたときからこの血管腫があったが、成長するにつれて少し大きくなったという13歳の少女の状態について同僚に尋ねた。

この少女の血管腫は先天性のもので、MRIの診断も比較的はっきりしています。もしどうしても手術を受けたいのであれば、まず上海の専門家に見てもらうべきです。
電話では、少女の両親は支離滅裂な表情で、明らかに彼らの十万人の不安な気分を感じ、本当にかわいそうな両親ああ!
少女の両親は、腫瘍が悪性で、手術が遅れると転移し、治療効果に影響することを心配していた。 私の提案にはあまり納得していなかったので、手術を行う専門医を探すため、数日中に上海に出発する準備をしていた。
正直なところ、手術をしてしこりの組織を切り取って病理検査をするまでは、どの医師もこの診断が間違いのないものだとは保証できない。そのため、手術前、MRI、超音波検査では、成績表の診断の後にクエスチョンマークがついていることが多い。

しかし、患者だけでなくその家族も、100%正しく診断された結果を望んでいることを理解できず、そうでなければ心理的に安心できない。
特に中高年でお金に余裕があり、教養のない人たちは、健康診断の結果で結節を見つけると、すぐにでも体外に排出したがる。
ある呼吸器内科医の日記を読んだところ、患者は胸部外科から転院してきたばかりで、この患者は肺葉切除術を受けたばかりだという内容だった。
この手術は、診断が単なる肺結節であったために避けられたかもしれないが、この患者が手術を強く希望したことが判明し、手術中に迅速病理解剖の結果、結節は単なる肉芽腫であったことが報告された。
奇妙だろう?肺の中が真菌に感染して炎症を起こしているのに、なぜ切り取るのですか?薬を飲めば完治します。

患者さんのコメント:健康診断でCTを撮ったところ、肺に小さな結節が見つかりました。医師は良性か悪性か分からなかったので、家に帰って観察するよう勧められ、1ヶ月間観察しましたが、結節に変化はなく、この1ヶ月間は睡眠も食事も困難で、毎晩不眠症になり、不眠症は本当に苦しく、翌日は普通に働くこともできず、肺がんの影がずっと頭の中にありました!
結節が癌であるという恐怖のため、このような昼夜の苦しみの代わりに、私は繰り返し、体重を測定するか、または手術を乾燥させ、忘れるために一回限りの解決策を検討するので、私は強く医師に依頼し、単に切断し、切断や炎症を期待していなかった。
小さな結節を手術で完全に切り取ったということは、完全に治ったということですか? 真菌性の結節の場合、手術で切り取っても、3カ月以上は薬を飲まなければなりません。
つまり、たとえ手術を受けたとしても、飲むべき薬は1錠も欠かすことができないのだ。 彼は無駄に肺を切られたので後悔した。切ってお金はかかったが、病気は治らなかったということだ。

実のところ、最も一般的な臨床状態は長期的に安定した結節であり、1年に1回見直すのがよい。しかし、ここで一点、喫煙者は注意しなければなりません!タバコは肺の悪性結節の成長を加速させる可能性があるので、禁煙し、副流煙から遠ざかりましょう!
では、肺結節の手術の後、身体にどのような影響があるのでしょうか?肺結節の手術による身体への影響は、手術の種類、年齢、基礎疾患の有無、体力、低侵襲手術か通常手術か、結節が良性か悪性か、などによって異なります。
まず、手術の種類によって体の回復にかかる時間が異なります。
低侵襲胸腔鏡手術を選択した場合、通常は術後3日で退院でき、さらに7~10日間は自宅で安静にしてから、通常の仕事や生活ができるようになります。
通常の定期手術を選択した場合、術後1週間程度の入院と、退院後15日以上の自宅安静が必要となり、本格的な回復には術後2~3ヶ月程度かかることがあります。

第二に、結節の性質が異なり、生活の質を直接左右する。
結節が良性であれば、手術後に治療を増やさなくても回復はかなり早い。
結節が悪性であれば、手術後に化学療法や放射線療法などの治療が必要になります。 これらの治療は生体そのものに致命的な影響を与え、回復に影響を及ぼすため、手術後の回復には時間がかかります。
第三に、年齢や基礎疾患の有無も手術後の体の回復に影響する。
若い患者は高齢の患者より回復が早く、基礎疾患のない患者は糖尿病、高血圧、冠動脈疾患などのある患者より回復が早い。喫煙歴の長い患者は、非喫煙者に比べて術後の咳や痰が有意に長い。
IV.個々の患者に起こりうる症状
個人差はありますが、術後に胸水や胸膜癒着が原因と思われる息切れ、胸部圧迫感、胸痛などの症状が出る方もいますし、肺葉が多く切除されたために肺の換気機能に影響を及ぼし、咳、息苦しさ、呼吸困難などの症状が出る方もいます。 一般的には、術後に深呼吸を多くしたり、風船を膨らませたりして、拡張していない肺胞の再拡張が間に合うように肺機能の練習に注意を払いさえすれば、3ヶ月程度で元に戻ります。約3ヶ月で元に戻ります。

V. 手術後によくみられる症状
すべての手術で、麻酔から覚めた後、手術部位の痛みがあり、その後、手術切開部のかゆみが生じます。手術後、ベッドに横になっている時間が長くなると、胃腸の正常な活動に影響を与え、食欲が減退します。通常の手術の場合、切開創が大きく、外傷が多いため、ある程度、生命エネルギーが傷つけられ、術後しばらくは免疫力が低下します。
結論:肺結節の発生率は高いが、その大部分は良性である。 医師は通常、次のことを推奨している:第一に、定期的な診察。第二に、診断をはっきりさせるための穿刺検査。第三に手術。肺の代償機能は非常に強く、手術はスムーズですが、手術後の肺機能の練習に注意し、通常3ヶ月で正常に戻りますが、どんな手術にも麻酔の危険性、手術中の出血の危険性などのリスクがあり、さらに、結節の一部は炎症が原因で、さらに手術をする必要はありませんが、通常は一定期間経過観察し、結節の大きさに変化があるかどうかを見て、結節が突然大きくなる場合は、手術をする必要があります。結節の大きさが急に大きくなった場合は、非常に深刻に受け止めなければなりません。この記事から必要な知識を得られると思われる方は、「注目」または「いいね!」をクリックしてください!
肺は腎臓と同様、代償機能が強く、片側の肺を切除しても生きていけるが、重労働の場合はそうはいかない。
一方、肺結節は通常、肺の片側を切除する必要はない。
1.非浸潤性腺がんおよび低浸潤性腺がんでは、通常、楔状切除が推奨され、切除範囲は大きくするよりも小さくすべきである。

この男性はin situ腺がんの楔状切除術を受けたが、肺機能には何の影響もなく、身体能力もかつてのように完全に回復した。
2.浸潤性肺腺癌に対しては、通常肺葉切除術が推奨される。
体内には5つの肺葉があり、左側に2つ、右側に3つある。再発のリスクを減らすために、浸潤性肺腺がん、特に気腔播種(再発率が高い)を伴うものに対しては通常、肺葉切除が推奨される。
この高齢男性は乳癌の手術歴があり、身体所見では右側に混合性地中ガラス結節が認められ、病理所見は浸潤性肺腺癌で5%の微小乳頭増殖(低分化成分)が認められ、術後化学療法と併用して右肺下葉切除術を行い、2年半再発はない。
他の肺葉は正常で、肺機能にはまったく影響がなかった。
3.片肺の全切除が必要な特定の中心性肺がん。
この種の切除は広範囲に及ぶため、肺機能に一定の影響を及ぼし、通常は重労働はできないが、通常の生活の必要を満たすことはできる。
この64歳の患者は、中心性肺がんのため左肺を全摘して3年になるが、重い体を動かせない以外は元気である。
肺結節手術からの回復、期待されること。
肺結節切除術を受けた患者は、短期間、胸水貯留や胸膜肥大癒着がみられるので、肺感染症予防に注意し、肺機能の回復を促すためにバルーン吹き込み運動や有酸素運動を行うことも必要である。
これについては、胸部外科の医療スタッフが詳しく説明する。
画像診断のドクター・ハウです!
招待してくれてありがとう。
"肺結節手術後の生活への影響は?"という質問に答えてください。この質問に答えてください。
肺結節の手術技術は近年急速に発展しており、一般的に肺結節の手術後1ヶ月で徐々に不快感が消えていきます。観察と統計により、ほとんどの患者は低侵襲胸腔鏡手術の1週間後には自分の身の回りのことができるようになり、約1ヶ月後には普通に仕事に行けるようになります。
では、術後の患者の運動に関して、気をつけなければならないことは何でしょうか?
(i)自分の体調や体格に照らして、適切な運動を選択する。
まず、肺結節の手術後の運動は、患者自身の体調や体力に合わせて、中国の伝統的な健康法である太極拳や八宝錦などの穏やかな運動を選ぶ必要がある。
科学的研究によると、適度な運動は免疫力を高め、ウイルスや細菌性の外来病原体による感染と闘う体内の免疫細胞の総数を増加させる。しかし、過度な運動強度や運動密度が続くと、免疫力が低下することがある。"免疫不全期"この期間は3時間から72時間である。この間は細菌やウイルスなどの病原体が体内に侵入しやすく、病気を引き起こしやすいため、肺結節手術後の患者の回復にはつながらない。
したがって、通常、運動後はリフレッシュし、疲労を残さないようにすることが推奨される。

(ii) 肺機能運動への注意
第二に、肺結節の手術後の患者は、全身運動とともに肺機能運動にも注意を払う必要がある。例えば、ボールを膨らませる、呼吸機能訓練器、深呼吸の後に数秒から1分間息を止めるなどして、手術した側に残った肺を十分に膨らませ、空洞を満たすようにする。
(c)免疫システムの底による過剰な運動を避けるために、次のような細かい点に注意して運動する:
1.キャンペーン場所の選択
運動は、屋外や田園地帯など、日当たりがよく、空気の新鮮な場所で行う。屋内の場合は、風通しがよく、適切な消毒対策が施されている場所を選ぶようにする。
2.時間と頻度の選択
に対する抵抗力を強化することを目的とした、適度な運動時間と頻度。週に3回、30~40分の有酸素運動で十分です。胸のつかえや息切れが起こる場合は、運動負荷が高すぎることを意味し、強度を下げる必要がある。
最近では、携帯電話やスマートブレスレットがかなり進化しており、運動に関するデータなどを記録することができるので、便利で手間がかからない。
3.運動後は入浴と着替えを行い、細菌やウイルスによる感染の可能性を減らす。
4.不快感への対応
風邪や発熱など免疫不全の症状が出た場合は、直ちに運動を中止して適時治療を受け、治癒を待ってから運動し、運動強度を適切に下げる必要がある。
肺結節の手術後は、上記の推奨事項に加え、医療専門家の指導の下、定期的な経過観察のための診察の手配をすることも必要である。
この答えがお役に立ち、あなたが健康でありますように。
その他、ご質問等ございましたら、プライベートメッセージまたはコメントにてお気軽にお寄せください。
肺結節の手術から1年が経ちますが、今でも時々咳が出たり、手術側の脇の下付近が痛んだりします。低侵襲手術とはいえ、卵大の肺組織も切除したし、実際の外傷は決して軽くはなかった。後遺症がないとは言えない。
まず、手術後の肺結節の最も明らかな影響は、肺活量の低下と喪失である。これは、どのような手術方法をとったとしても、必ず肺組織の一部が切り取られるからです。ですから、手術後は肺活量の総量が減少し、活動耐容能の低下につながります。例えば、以前は一息で5階や6階まで登れた人が、今では3階や4階までしか登れなくなったり、以前は一息で6階まで約2分で登れた人が、今では6階までやっと登れても、約2分から3分かかったりします。しかし、リハビリのトレーニングによって、能力と活動許容度は戻ってくる。具体的にはどうすればいいのですか?ゆっくり長時間歩いたり、ジョギングをしたり、深呼吸をしたり、風船を膨らませたり、ブレス・トレーナーのトレーニングをすることです。
二つ目の影響は、術後に息切れや息苦しさを感じる患者さんがいることです。特に寒い季節や激しい運動をした後は、常に息苦しさを感じる。これは肺活量の減少によるものと、手術の外傷による肺の表面や気管・気管支の炎症反応によるもので、ほとんどの人は1ヵ月から半年ほど安静にしていれば完全に和らぎます。この間、吸入ホルモン薬や気管支鎮痙薬などの吸入薬が必要になります。手術前に喫煙していた場合は、手術後は絶対に喫煙できません。
第三に、術後に慢性的な咳が出る患者がいる。これは、特に寒さで刺激されたときや、非常に長い文章を話した後に出る、刺激性の乾いた咳である。最も明らかな症状として、手術前は40〜50語、あるいは100語程度、非常に明瞭に話すことができたのに、手術後は2〜3語話しただけで咳き込むことがあります。これも手術後の気道の過敏反応によるものです。治療には抗ヒスタミン薬や抗ロイコトリエン薬、例えばパルミコート、モンテルカストなどを服用します。
第四に、肺結節の手術を受けた人の中には、胸に慢性的な痛みを感じる人がいます。この痛みの場所は、切開した場所ではなく、切開した場所のさらに前方です。これは、肋間神経が背骨の後ろから前方に向かって伸びており、前方に最も感覚に敏感な終末を形成しているためです。しかし、手術の際には肋間から入るので、肋間神経を圧迫したり傷つけたりして、術後に痛みを引き起こすことがあります。この場合、鎮痛剤を服用するか、閉鎖鎮痛剤を注射する必要があります。また、この痛みの持続期間は長く、1ヶ月や2ヶ月という短いものから、1年や2年という長いものまであります。


多層スパイラルCTの普及に伴い、ますます多くの無症候性肺結節が検出されるようになり、そのほとんどは良性であるが、ごく一部は悪性であり、その多くは早期肺癌である。そして、早期に発見されさえすれば、肺結節手術の結果は非常に良好で、将来の生活に大きな影響を与えることはない。

肺結節の管理原則
明らかに悪性の徴候のある結節、例えば、小葉状でバリがあり、血液を供給する血管がある結節は、積極的な介入、通常は生検または手術が推奨される。
良性結節や悪性の可能性のある結節など、悪性の徴候を示さない結節に対しては、通常、経過観察が推奨される。良性結節は経過観察中に再吸収したり、変化がなかったりするが、悪性の可能性のある結節は徐々に姿を現すことがあり、悪性結節と同様に治療される。
肺結節手術後の回復に影響する因子
肺結節の手術からの回復は、個人の体調に関係する。.普段はほとんど運動せず、運動量も少なく、肺機能予備能も低いため、術後は胸のつかえ、息切れ、呼吸困難などの短期的な症状があり、その不快感は通常1~2ヶ月続きます。普段からよく運動し、身体活動量も多く、肺機能予備能も高いため、基本的に術後に明らかな症状はなく、何事もなかったかのように過ごせる人もいます。
私の同僚2人は、肺結節手術後の2種類の回復状況の典型である。ふたりとも、肺がんが疑われた病院の社員健康診断で肺に小さな結節が見つかり、手術を受けた。ふだんから太極拳をしたり散歩をしたりしていたひとりは、術後数日で退院し、2週間後には出勤し始めた。ふだんは運動をせず、トランプをしたりタバコを吸ったりするのが好きだったひとりは、術後1カ月以上経っても十分な空気が吸えず、3カ月以上自宅で療養してから出勤したという。

肺結節の手術からの回復は、手術の種類にも関係する。
肺葉下切除(分葉切除や楔状切除)は、切除される肺組織が少なく、正常な肺組織が多く残るため、肺機能への影響が少ない。肺組織がより多く切除されるため肺葉切除術が行われた場合、正常な肺組織が相対的に少なくなり、肺機能への影響が大きく、胸部不快感を引き起こしやすくなります。次の写真は2種類の肺切除の肺を示しています。 上の写真は右下肺結節肺葉切除術で、術後右肺がかなり小さくなっているのがわかります。下の写真は左下肺結節の肺葉下切除術で、術後左肺が大きくなっているのがわかります。

肺結節の術後リハビリテーション。
肺結節の手術後は、体操や肺機能訓練など、適切なリハビリ運動を行うのが一番です。このような運動は心身に明らかな不快感を与えません。太極拳をしたり、散歩をしたり、風船を膨らませたり。体を鍛え、体の抵抗力を高め、肺機能の早期回復にもつながります。一定期間のリハビリトレーニングの後、肺機能は基本的に、将来の生活に影響を与えることなく、より良い程度まで回復させることができます。
私は@ShadowMedic C Ho 、関連する医学についての詳細を学ぶためにフォローすることを歓迎します。

肺結節の手術を2回受けました。一度目は右肺の楔状部分から小片を摘出し、術後2週間で正常に機能した。その1年後、左肺の小さな楔状切除を2回行ったが、そのうちの1回はより深い場所にあった。6ヵ月後には5kmのランニングを再開し、余分な傷跡以外は手術前と変わらない。
この質問と回答はサイト利用者のものであり、サイトの立場を代表するものではありません、侵害など、削除するには管理者に連絡してください。