両肺に多発する線維性石灰化病巣の何が問題なのか?
両肺に多発する線維性石灰化病巣の何が問題なのか?
画像診断医のリトルシャドーです。両肺に多発する繊維状病巣と石灰化病巣は、炎症の吸収による残存瘢痕であり、結核の可能性が高いです。線維性の筋や石灰化病巣があるということは、古くなって治癒したということです。治癒した瘢痕は消えますか?非常に消えにくいです。あまり治療する必要はありません。線維性線条や石灰化したケロイド病巣がケロイド癌に発展することはごく少数ですが、その確率は非常に低いです。 経過観察で腫瘤の大きさや固さが増大する傾向があれば要注意です。
両肺の線維性石灰化病巣は何を意味するのか??
多くの人が胸部X線検査や肺CT検査を受け、その中に線維化や石灰化という文字を見つけたとき、それが何を意味するのか、がんなのか、などということはわからない。私たち画像診断科の医師は、一日に何枚も何枚もこのような報告をしなければならないので、この種の診断には非常に慣れている。
まず、両肺に線維性病巣と石灰化病巣があるという報告を見ても、あまり心配しないでください。線維性病巣や石灰化病巣とは、平たく言えば、以前の炎症や肺の傷害の後、それが今は吸収された後、肺に何らかの瘢痕が残っていることを意味します。例えば、慢性肺炎で咳が多い場合、治療が完全に吸収されることもあれば、このような線維性病巣の一部が残ることもあります。
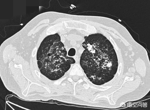
次に、肺の上葉と下葉の両方の背側節に多発する線維線条病巣の場合、以前に結核の感染があり、現在治療中で、肺にも瘢痕が残っている可能性が高い。繊維状病巣や石灰化病巣は、結核が改善したかどうかを画像診断医が評価するための重要な要素である。例えば、ある若い男性が結核に罹患し、薬を服用しているとして、2ヵ月後にCT検査を受けて吸収があるかどうかを確認し、線維化や石灰化が見られたら、それは病巣が吸収されて良くなっていることを意味するので良いことです。病巣が完全に線維化・石灰化していれば、それは古い結核であり、結核が治癒して普通に働き、生活できることを意味する。
ほとんどの古い結核は放っておいても大丈夫であるが、ごく少数が悪性腫瘍を発症し、線維性線条の病巣の上にがんを成長させる。ほとんどの病巣は経過観察で変化はないが、もし病巣が拡大して見え、経過観察で固形化した場合は、瘢痕癌の可能性に注意することが重要である。
肺線維症は実に異なる概念である。

肺線維症という言葉もあるが、これは肺線維症の病巣や石灰化とは異なる。正常な肺は呼吸ができるが、肺線維症とは、肺が呼吸機能を失い、正常な肺胞組織のない線維性の帯ばかりが現れている状態を意味し、通常、両下肺の胸膜下に認められる。全身性エリテマトーデス、義務性脊椎炎、ドライ症候群などの免疫系の病気があり、肺を巻き込みやすく、肺線維症になりやすく、パラコート中毒を飲むと、主に肺線維症が原因で死亡する。肺線維症、つまり肺の呼吸機能がない、呼吸困難、呼吸不全、最終的に死に至る。
私はそうだ。ドクター・シャドウ.医療についてもっと知りたい方は、私をフォローしてください。
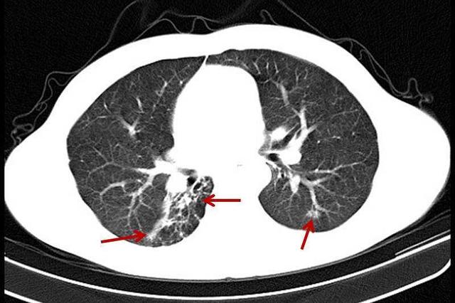
現在では、CT検査で肺に線維性病巣や石灰化病巣を見つけることは比較的日常的に行われている。 一般に、限局した筋状病巣や石灰化病巣は、その場所が古い病変であることを示しており、下図は左肺尖部に石灰化病巣を認めた患者の典型的なCT画像である。
石灰化病巣や線維性縞状病巣の原因となる肺の病気は?
最も一般的なのは肺の炎症や感染で、炎症性滲出液や全抗炎症過程における肺の限られた炎症や感染病巣が、慢性的な刺激の後、肺に局所的な線維性縞病巣を残すためで、縁の一部は胸膜を引っ張ることができる。CTやレントゲンでは、境界のはっきりしたやや高密度の影の線のように見えます。
結核が治癒した後は、結核が発生した肺の小葉や肺分節に限局した病巣が認められ、しばしば点状または結節状の石灰化病巣を伴う。二次性結核性胸膜炎の場合、胸膜に沿って大きな石灰化病巣が存在することがあることを付記しておく。
また、胸部外傷による胸壁損傷、肺葉の挫傷、肺に血液が貯留する症例もあり、これらは慢性化し、限局性の線条病巣や胸膜下の石灰化病巣に続発することがある。
肺の線条体病巣や石灰化病巣を発見するために、どのような検査が可能ですか?治療すべきでしょうか?
肺の線維化病巣や石灰化病巣をチェックする最も効果的な方法は、胸部レントゲンや胸部CTを撮ることだが、もちろん胸部CTの鮮明さや精度はレントゲンより高く、値段も少し高い。
一般に、肺の局所的な小葉や分節に限局した点や数個の線維性病巣であれば、肺の病気から残った慢性的な古い病巣であり、今後も進行することはないため、特別な治療は必要ありません。しかし、胸膜や肺の局所に沿って、特に大きな石灰化病巣がある場合は、呼吸機能に影響を与え、胸部呼吸器に明らかな不快感があるため、胸部外科での治療が必要です。
両肺に多発する線維石灰化病巣という記述は、通常、肺のCTスキャンのレポートカードに記載されている。多くの人は線維石灰化病巣の意味をよく理解しておらず、腫瘍である可能性を当然視しているが、これは全く不必要な心配である。

肺の線維石灰化病巣は特に悪いものではなく、対処の必要はない。より一般的な感染症は結核であり、若くして感染し、自然治癒した後に肺に線維性石灰化病巣を生じる潜在性結核患者も多い。線維性病巣や石灰化病巣は、皮膚に切り傷が残ったような、以前の肺疾患の痕跡を表している。結核の既往歴が明らかな場合、CT報告書には通常、古い結核が考慮されることが付記される。

線維石灰化病巣はなぜ結核で生じるのか?
相当数の病原性結核菌が肺組織に侵入し、その中で増殖し、代謝産物を産生すると、肺組織は損傷を受け、カゼ性壊死を起こし、正常な肺組織の構造と生理機能が消失する。これらの壊死物質は酸性で、液化吸収しにくく、長期間存在することができ、身体の抵抗力が強い場合、あるいは抗結核薬の内服により、カゼ様病巣の結核菌の代謝が低下し、繁殖能力が弱まり、病巣は水分が失われて乾燥し、炭酸カルシウムやリン酸カルシウムが付着して石灰化を形成する。そして破壊された肺胞組織は弾力性と機能を失い、線維性病巣を形成する。肺の線維石灰化病巣は治癒した結核の一形態である。

線維石灰化病巣は身体に何らかの影響を及ぼすのか?
肺の線維石灰化病巣は一般に不可逆的であり、ここにある肺組織はもはや正常に機能しないことを意味する。線維化が小さい場合は、他の肺組織で補うことができ、身体や肺機能への影響は基本的にない。 線維化が広範囲に及び、他の肺疾患が基礎にある場合は、肺機能が低下し、空咳、低酸素症、呼吸困難などの症状が現れる。古い結核による線維石灰化病巣の多くは、範囲が比較的小さく、病巣は非常に安定しているため、範囲が拡大することはなく、一般に肺機能には影響しない。しかし、普段から禁煙を心がけ、汚染のひどい環境に近づかず、定期的な検査を受け、適切な運動をして肺活量を増やすようにしましょう。

厳密に言えば、肺線維石灰化病巣は病気とは呼べず、肺損傷部位の再構築の結果であり、病巣の治癒の現れであり、一般に薬の使用は排除できず、治療の必要はない。これは、特発性間質性肺炎による肺線維症とは全く異なる概念であり、世界保健機関(WHO)が認める肺の難病であり、正常な肺組織の構造変化という重大な結果をもたらし、ひいては機能低下や呼吸不全につながる可能性がある。
まず、肺の線維性病巣や石灰化病巣は良性の病巣で、問題を起こすことはありませんのでご心配なく。
線維性病巣と石灰化病巣は胸部画像に現れる。
肺線維性病巣は通常、肺の炎症が吸収された後に残された線維性病変で発見されるが、これは骨折した皮膚が治って瘢痕が残るのとよく似ている。
肺の石灰化病巣は、身体の修復と治癒の結果であると同時に、病気の治癒の基準であり、病気の治癒を表し、良性の退縮を示す。例えば、結核が標準的な治療で治癒した場合、胸部CTでは石灰化病巣がいくつか形成され、病気が治癒したことを示す。
限られた肺線維化病巣や石灰化病巣は肺機能に影響を与えず、生体に悪影響を与えないので、それ以上の治療は必要ない。定期的な経過観察に注意すればよい。
ありがとうございます!このような症状は、それほど深刻な問題を引き起こすものではありませんが、定期的な経過観察をお勧めします。
これらの症状の多くは、肺炎や結核、あるいは肺膿瘍など、肺に関連した過去の病気によるものである。
しかし、その時の病気は積極的な治療で治るものであり、その後、ある程度の瘢痕組織が残って徐々に大きくなり、このような状態になる可能性はある。
実際、この場合は、破れた布を針の目で縫い合わせたようなものだ。
したがって、このような状況は実際の臨床ではよくあることであり、特別な意味はない。
しかし、ここであなたが警戒しなければならないことをお勧めします、瘢痕組織が多く、後で癌を形成する可能性があるため、それはあなたが、自分の症状に注意を払うことをお勧めします、確かに症状がより顕著である場合、または咳痰の出現、あるいは咳血、これらのケースでは、時間内に病院に行って検査を実施し、その具体的な状況をクリアする。
肺がんが考えられる場合は、早期の穿刺生検を行うことで、病態の変化をより明確にすることができ、全体的な治療にもつながる。
皆さんの健康を祈っています!
質問がある場合は、個人のホームページをクリックして、一番下にあるアドバイスを求めることができます。いいね!、コメント、転送、注目、脳神経外科(脳外科)の本当の世界を理解するためにあなたを取る歓迎します。 (合理的で合法的な病気の治療については、正規のチャンネルを選択してください)
肺がんの罹患率はますます高くなっており、多くの人が肺の異常をいち早く発見できる肺がん検診に注目している。数日前、ある患者さんから、「両肺に複数の線維性石灰化病巣があることを調べてどうするのですか」という質問を受けましたので、今日はその分析をしてみましょう。

両肺に多発する線維性石灰化病巣の何が問題なのか?
肺の線維化を引き起こす要因はたくさんありますが、主なものは肺の線維芽細胞の増殖を見ること、炎症性損傷がないこと、肺胞に損傷がないことなどです。また、胸部放射線治療があったかどうかも調べる必要があります。
肺石灰化病巣は、高齢者、特に結核の既往のある患者に多くみられる。 結核治療後の画像検査で石灰化陰影がみられることがある。
肺石灰化症が肺結節と合併している場合、肺結節は悪性または良性の可能性があり、大きさ、位置、成長速度、形態に基づいて判断されるため、異なる見方が必要である。

形態学的に毛が生えている場合は悪性の可能性が高く、縁が滑らかな場合は良性の可能性が高い;
結節の容積が比較的大きい場合、通常は穿刺を行い、病理検査の結果を得る必要があります。
実際、石灰化病巣は有害ではないが、結節を伴う場合は注意が必要で、特に悪性の場合は積極的に治療に協力しなければならない。
最も一般的なのは肺の炎症や感染で、肺の炎症性滲出液や全抗炎症過程における限定的な炎症や感染が、慢性的な刺激の後、肺に局所的な線維性の病巣を残し、胸膜の端の一部が引っ張られることがあるからである。CTやX線では、境界がはっきりした、やや高密度の影のように見えます。
より一般的な結核は肺の古い結核であり、通常、結核が治癒した後に、結核が発生した肺の小葉または分節に限局した病巣として認められ、しばしば点状または結節状の石灰化病巣を伴う。二次性結核性胸膜炎の場合、胸膜に沿って大きな石灰化病巣が生じることがあることを付記しておく。

また、胸部外傷による胸壁損傷、肺葉の挫傷、肺内への血液貯留の結果として、限局した筋状病巣や胸膜下石灰化病巣が慢性的に続発することもある。

肺の線維石灰化病巣は、通常、肺の炎症性結核など、患者が最初に罹患した肺疾患によるものである。瘢痕は治療や自己修復によって治癒した後に残る。
石灰化病巣が単純で、肺機能に影響を与えるほど大きくない場合は、特別な治療は必要なく、健康にも影響しない。石灰化巣が大きく、患者の肺機能に深刻な影響を及ぼすか、感染症を繰り返す場合は、医師の指導のもと、標準的な抗感染症治療を行う必要がある。肺の線維性石灰化病巣は、診療所ではよく見られる現象で、患者のもともとの肺の病気が治ったときに残った古い変化であり、肺の悪性病変が原因ではないので、特別な治療は必要ない。

生活道路公衆衛生は、今回、肺の炎症刺激、長期的な咳、結核など、肺のこの傷跡によって引き起こされることを示すと信じて、右、すべての権利は良いされている、気にする必要はありません。
一般的には、肺機能には影響しないので、症状がなければ無視してよい。肺機能に影響を及ぼすとすれば、風邪をひいた時などで、他の人より咳や痰が出やすくなり、少し影響が出るかもしれません。そうでなければ影響はないはずです。
しかし、内臓に炎症があれば、炎症があれば、肺や肝臓に石灰化した斑点ができます。つまり、風邪や咳、気管支炎、結核など、肺に炎症や感染があった場合、肺に炎症がある限り、石灰化した斑点ができるのです。

relationresultこの時、これらの活動的な結核があるかどうかを確認する必要があり、あなたの現在の肺の炎症が良くないことを見て、良いのは過去のいくつかの現象の形成の病巣で、良くないのは現象の石灰化点の新しい病巣を増やすので、対症療法を確認して、抗炎症の対症療法で炎症があり、結核の治療で結核と結核の治療ではない。もし病気がよく回復の過程なら、対症療法で調整することができます。

だから、このテストは、何か問題があると言うことではなく、肺に感染があったことを示すために、現在の病巣があり、これらの病巣は長い間存在し、新たな石灰化点が増加すると、新たな炎症があるでしょう、病気は治癒しているような瘢痕の存在の治療で特集する必要はありません回復プロセスです。

この質問と回答はサイト利用者のものであり、サイトの立場を代表するものではありません、侵害など、削除するには管理者に連絡してください。