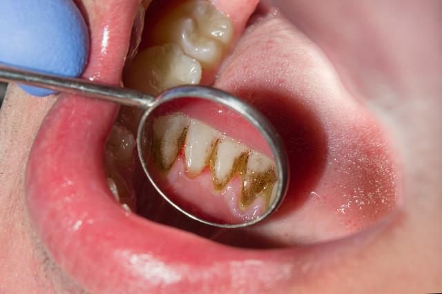
毎晩歯を磨くと、切歯の内側に厚い石灰が付着しています。
毎晩歯を磨くと、切歯の内側に厚い石灰が付着しています。
歯石、これは除去するためにスケーリングのために病院に行く必要がある。
歯石には多くの細菌が含まれており、口の中の悪味、歯肉からの出血、歯肉の退縮歯肉炎の症状など、多くの害を引き起こす可能性があり、進行が進むと歯周病に発展する。
歯石は、病院の口内科でスケーリングによって除去することができ、歯を傷つけたり、エナメル質を薄くしたり、エナメル質を傷つけたり、歯を緩くしたり、歯と歯の間の隙間を広げたりすることはない。
スケーリングとは、高周波のマイクロ波振動のことで、私たちが通常考えているように、歯石を削り取るのではなく、大きな歯石を砕いて取り除くのである。
歯石は長い間歯肉を圧迫し、歯肉を収縮させるので、歯石を除去した後、歯と歯の間の隙間が広くなったように感じたり、熱さや冷たさに敏感になったりしますが、これはスケーリングが原因ではなく、それ自体が問題なのです。
歯が緩んでいるのも、歯石が緩んでいる歯を全体としてまとめているためで、クリーニングを受ける前は歯が緩んでいるとは感じません。歯石が除去されると、歯は全体から個々になり、歯が緩んでいると感じるようになります。
したがって、歯肉炎や歯周病を予防するためには、年に1~2回は歯をきれいにし、口腔衛生に気を配る必要がある。
歯のクリーニングを受けたばかりの男から。
先週、歯のクリーニングを受けたばかりの私が言うのもなんだが。歯のクリーニングを受けたことがなくて、それが悪いことだと言っている人たちは、ぜひ一度試してみてから発言してほしい。
先週、毎日の歯茎からの出血と、冷たい水を飲むと歯が酸っぱくなる痛みに耐えられず、歯のクリーニングを受けることにした。もちろん、クリーニングの前に自分に勇気を与えるために、インターネットでいろいろと下調べをしたのだが、正直なところ、自分自身の心の中には何もなかった。たくさんの記事を読んだ後、私は普通の病院で歯のクリーニングをすることにした!
私はサンドブラストによる歯のクリーニングを選んだ。歯を洗い、洗面台で口をすすいだ後、超大量の歯石を吐き出した。歯石は、スケーリング中に水と一緒に大量に排出されたので、そのひどさに気づく前に出てしまった。もちろんだ。クリーニング後、最初の2日間は歯が敏感になり、脱力感があるのは事実だ。そして、歯のクリーニングを受けたばかりの人にちょっとしたアドバイスがある。定期的に歯を磨き、タバコは控えましょう。歯がそれほど敏感でなくなれば大丈夫です。
今では歯の知覚過敏もないし、口臭もなくなった。確かに、私にとって歯のクリーニングは良いものだ。
私は24歳です。私は24歳です。普段は喫煙者で、クリーニングの前は歯の健康にあまり注意を払っていませんでした。正直に言うと何を言っているのかよくわからない。
歯に問題があるのなら、歯を磨かなくてもいいのでしょうか?
私の意見は参考程度に。皆さんの参考になれば幸いです。
In this article:切歯の内側に手で折れるような分厚いものがある場合、どうすればいいのでしょうか?歯科医としての私の答えはこれは口の中によくあるタイプの歯石で、歯磨きの際に手で少し取ることはできても、完全に取り除くことは不可能です。歯石ができた場合は、定期的なクリーニングで取り除く必要があります。

微積分はどのように形成されるのか?
歯石は口の中の異物であり、歯を安定させるという話は聞かないので、適時に取り除く必要がある!
簡単に歯石の起源について:まず、歯の表面に薄い膜を形成し、細菌が次々と吸着し、食べ物のカス、カルシウム塩などと相まって、徐々にミネラル化し、歯の表面にしっかりと付着し、この時、いくらブラッシングをしてもきれいにすることができない。

微積分はどこで簡単に手に入るのか?
多くの人は、口腔内の状態は非常に良好で、痛みもなく、色の異常もない。実は、多くの人は、歯ブラシの外側の表面だけを見て、隠れた場所を無視して歯を磨くが、これらの場所が歯肉の腫れや痛み、歯槽骨の吸収、歯が緩む重要な原因の原因であることを知らない。
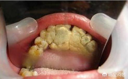
歯石は、一般的にあまり使用されていない歯の表面に現れ、歯石で非常に厚く覆われた廃棄物使用側の偏った側で噛む患者を羨望する。さらに下顎前歯は、唾液管の開口部であり、ミネラルが豊富で、歯石が沈着しやすく、口を大きく開けると下切歯舌側に黄色い異物が見える。

歯石を取ることはできないのですか?
多くの人は、歯石は口の中の正常な組織の一部であり、歯を丈夫に保つのに役立っていると考えている。
実際、これは誤解である。
歯石は、一般的に次のような影響を及ぼす:口腔内の臭い、歯の変色、対人コミュニケーションへの影響;歯茎の腫れや痛み、虫歯;歯周病の原因、歯の緩み、移動、脱落などをもたらす。

なぜ歯をきれいにできないと言う人がいるのか?
スケーリングには多くの誤解がある。最も一般的なのは、スケーリングは歯と歯の間の隙間を洗浄すると思っていることですが、実際はそうではなく、スケーリングは異物の歯の表面を取り除くだけで、歯石は除去され、本来の口腔内が露出するだけです。歯石が長期的に存在するため、歯と歯の間の隙間が大きくなり、歯肉退縮、歯槽骨吸収が生じますが、スケーリングは関係ありません。

おさらいしておこう。
歯のクリーニングというと、毎日歯磨きをしているし、歯ぐきからの出血も見られないのに、歯のクリーニングをしないのはどうなんだろうと思っている人が多いのではないでしょうか。実は、これも間違いです。まず第一に、表面は見ることができないが、それが本当にきれいであることを意味するものではありません、歯石も隠れた場所に存在し、歯茎の内側など、きれいに除去するために徹底的なスケーリングを実施する必要があります。
そのため、歯科医は責任を持ってあなたに伝える。半年から1年に1度は歯のクリーニングを行い、1年に1度は定期的な口腔健診を受けるべきです。つまり、早期発見、早期治療です!
- 私は数日前に自分の歯をきれいにするために歯科ジェンの部屋に行くことをお勧めします、私はもちろん、歯石を持っていない、いくつかの歯の汚れ、クリーニングに60ドルを費やして、人々は1年に1回自分の歯をきれいにする必要があります、私たちは毎日歯を磨くが、歯に沈着した汚れや歯石を払い落とすことができない、時間が経つにつれて口臭、歯の問題がより頻繁に発生します。
- 特に口臭の問題は、これは自分の生活の中で他の人に非常に影響力がある、それはタイムリーに洗浄することをお勧めします、洗浄した後、新しい世界を見つけるでしょう、口や歯が新鮮で、甘いものを食べるかのようにきれいな、これは私の気持ちですが、また、自信の多くである!
- 関係なく、男性と女性の歯は非常に顔値に影響を与える、あなたは良い見て、口が黄色い歯や歯の汚れの完全な口を開いたり、口の臭いが詰まった話、あなたが思う、特に若い人たちは、あなたが愛する人とキスしないのですか?これは愛の印ですので、それはあなたの歯の世話をすることをお勧めします。
- もう一つ良いことは、今、自分の歯を大切にすること、年をとったら、抜けるのが遅くなり、早く歯を失わないこと、入れ歯をセットすればいいと言う人もいるが、あの偽物と本物の食べ心地は絶対に違うし、入れ歯の費用は、長年自分の歯をきれいにするのに十分である。ですから、お子さんから始め、歯を守り、ご家庭で1日2~3回歯を磨き、より良い歯ブラシを使い、より良い歯磨き粉を使い、長期的な視野で考えた方が良いのです。定期的に歯医者に行って歯をきれいにし、何か問題があれば診察を受けましょう!ありがとうございました!
これはとても良い質問です!一般的に歯石として知られている歯石は、歯の表面に沈着した歯垢や軟らかい歯石が石灰化したもの、または石灰化の過程にあるものです。
中国における最近の口腔衛生疫学調査で報告されたデータによると、歯石発見率は35~44歳で96.7%、55~64歳で96.4%に達した。
特に重要なのは、青少年の歯石発見率が73.6%に達したことである。
歯石は、わが国における一般的な口腔問題であることは明らかである。
では、日常生活で歯石を作らないようにするにはどうしたらいいのでしょうか?今日は皆さんと一緒に、参考までにこのことについておしゃべりしてみようと思います。

微積分はどのように形成されるのか?
まず、微積分がどのように形成されるのかを理解する必要がある。
私たち一人ひとりの口の中にはたくさんの細菌がいて、これらの細菌が摂取した食べ物のタンパク質や分解物と混ざり合うと、臨床的には歯垢(プラーク)として知られる粘着性の膜を形成する。
これらのネバネバした膜は歯に付着し、時間内に清掃されないと、14日以内に石灰化が始まり、徐々に歯石を形成する。
歯石が形成されたばかりの場合、歯質はまだ比較的柔らかいので、自分できれいに落とせる可能性が高いのですが、そうでない場合は、時間が経つにつれて徐々に硬くなり、歯の表面にしっかりと付着していきます。
硬くてしっかりした古い微積分には、通常、数カ月から数年かかる。

歯垢予防は正しい歯ブラシから
硬く固まった結石は、専門医に依頼し、専門の器具を使って除去してもらう以外、自分たちではどうすることもできない。
そして、プラークが形成されてから石灰化が始まるまでの14日間が、プラークを掃除する最後のチャンスなのだ。
したがって、正しい歯ブラシを選び、それを使うことが最も重要なステップとなる。
まず、正しい歯ブラシの選び方を学びましょう。毛先の柔らかい歯ブラシを選び、少なくとも3ヶ月に1回は交換するか、電動歯ブラシの使用を検討しましょう。
第二に、正しい歯磨き粉の選び方を学ぶこと。歯磨き粉は、フッ化物の含有量が多いものを選ぶとよい。 フッ化物は、細菌やタンパク質が歯の表面に吸着するのを抑制し、歯周炎の発生や発症を抑えることができる。
最後に、適切なブラッシング方法を採用することが重要である:歯ブラシの毛束の先端を歯ぐきと歯冠の接合部に当てます。
上の歯は下向きに、下の歯は上向きに、歯の内側と外側、咬合面をブラッシングする。

歯ブラシに加えて、2つの主要なデンタルケア用具がある。
1日2回、朝晩、1回3分、食後と寝る前の歯磨きに加え、口腔衛生を保つために口をゆすぐ必要があります。また、なかなか取れない食べかすや柔らかいカス、歯垢については、2大歯科用具であるフロスや歯間ブラシを使ってきれいにする必要があります。
1.デンタルフロスは歯を守る素晴らしい方法です。デンタルフロスは、ナイロン、絹、ポリエステル糸でできており、歯の隣接面に付着した歯垢の清掃に非常に効果的で、特に平らな面や凸面に適しています。
使い方。約25cmのデンタルフロスを引き下げ、その両端を中指2本に巻き付け、左右の指を使い、約1~1.5cmの距離で2本の指の間をコントロールし、前後にノコギリ状に動かし、コンタクトポイントを優しく通過させる。
2.デンタルブラシ:デンタルケア用具の最良の使い方。歯科用隙間ブラシは普通の歯ブラシと似ていますが、最大の違いは隙間ブラシの毛先が円錐形になっている点だけで、隙間の幅によって異なるサイズがあり、歯の隙間や表面をきれいにするために個人的なニーズに応じて異なるサイズの隙間ブラシを選ぶことができます。
歯間ブラシは、歯と歯の間の食べかすや汚れを取り除くのに適しており、歯の清掃に効果的である。
隙間ブラシは歯の隙間が大きい人に適しており、フロスは歯の隙間が小さい人に適しています。
つまり、正しい歯磨きに加えて、デンタルフロスと歯間ブラシという2大デンタルケアツールを備える必要がある。
私の意見に賛成ですか?
毎日更新される健康ホットスポット、医療ペインポイント。もし私が言うことが、まさにあなたが考えることであれば、朱小軍が言った健康にいいね、リツイート、フォローしてください!
特記事項:コメント欄で推奨されている薬はすべて、電話で購入するのではなく、慎重に試してほしい!
私は子供の頃から歯石症で、それは深刻な種類のもので、子供の頃は何かを強く噛むと、時々小さな破片が落ちてきて、それを鼻の前で嗅ぐと、何とも言えない、そんな味がしたんです。大人になってからは、アイロンとかでチマチマ削ったりもしたんですけど、だいたい歯茎が切れて血が出たりして、歯医者さんとかいろんな人に聞いたんですけど、歯のクリーニングしか方法がなかったんです。
スケーリングというと、以前は他人に自分の悪い面を見せるのが怖くて、スケーリングを受けずに何度かさまよった。しかし、美への愛と勇気に駆られ、個人経営の歯科医院で超音波スケーリングを受けることにした。半身を横たえて、口角にフックをかけて口を大きく開けさせ、小さなクロームアイアンのようなものを超音波バーにして、歯石を下に落とす。このプロセスは少し難しく、歯茎もわずかな出血があり、約30分ほどで完了し、その後ホウ砂か何かでスプレーを与えると、歯ははるかに白くなります。確かに、歯を洗った後、新しい外観の後に鏡を見てください!

歯のクリーニングをした人に、なぜ歯石ができるのか聞いてみた。口をちゃんとゆすいでいないからだと言われ、言われた通りに口をゆすいだけど、まだ生えてくる。今は去年と来年の年2回、歯のクリーニングをしてもらっていますが、この5、6年、歯に異常を感じたことはありません。でも、クリーニングのために病院に行ったことはありません。いつも個人経営のクリーニング店に行きますが、同じようなものだと言われましたが、病院の方がずっと高いです。

友達歯石は、歯の美しさに影響を与え、口臭があり、私たちの自信に影響を与えます。最善の方法は、やはり歯をきれいにすること、そして朝晩、口の中と外の両方をゆすぐことにこだわることです。白い歯と爽やかな息があれば、人と話すときにも自信が持てるに違いない!
歯石の表面は比較的粗い、自然の残留物は細菌によって分解され、それは歯垢を形成し、歯石に付着し、当然のことながら、あなたは柔らかい歯石を選ぶことができますが、あなたが選ぶことができない歯石全体のピース、いくつかの歯茎に広がり、長期的な咀嚼力、小さな隙間があるかもしれない、唾液がここを通って、歯石の悪臭の内部は、より強烈であり、さらには小片を破る。

歯垢が厚い場合は?
1、病院に行く超音波スケーリングは、胃に飲み込まないように、離れて吸うためにストローで、落下片の衝撃の後、いくつかの痛みがあるかもしれませんが、結局のところ、歯茎に歯石刺激が炎症を持って、洗浄の過程で出血しますが、歯のエナメル質を磨耗することはありません。
2、歯石の長期的な圧力のために、細菌感染症は、歯茎の後退につながる、歯石が一掃され、当然のことながら、歯が緩くなり、歯と歯の間のギャップやその他の問題、より敏感な歯の痛み、象牙質の露出も多くなるので、スケーリングによって引き起こされることはありません。

歯石による歯周病ダメージとは?
1.歯がゆるい
歯石は歯の周りに固定されているため、緩む前に洗浄することで、多くの患者はスケーリングと洗浄が悪いことだと誤解しているが、実際には、それ自体がすでに緩んでおり、歯石だけが全体を固定しているため、洗浄前は目に見えない。
2、歯の隙間が大きくなる
歯石は歯肉を破壊し、歯肉乳頭は確実に炎症を起こし、高さは減少し、スケーリング後に隙間が大きくなるのはこのためですが、スケーリングとは関係なく、隙間を塞ぐ歯石がないため、話し声が漏れるのです。
3.歯周病
歯石が残ったままだと、歯周炎はさらに悪化し、歯肉からの出血、歯肉退縮、歯槽骨の吸収、口臭などの様々な不都合を引き起こし、後期には患部の歯は歯槽骨がなくなり、3度のゆるみで自動的に抜け落ちてしまう。

口腔衛生に気を配り、年に1、2回は歯のクリーニングを受けるようにしましょう。そうしないと、石灰の大きな塊ができ、悪臭を放つことになります。
ようこそ[バーニングブラザーズ歯科協会]へ、バーニングブラザーズ歯科医があなたの微積分の質問にお答えします!
手でポキッと折れるようなものは食べかすだろうし、もちろん、歯磨きのたびにブラッシングしなければ、時間とともに歯に付着して歯石になる。
歯石があるのはひどいことではなく、病院の口内科や普通の歯科医院で歯のクリーニングをすればいいのです。
スケーリングはとても高いと感じる方もいらっしゃると思いますが、実際は大丈夫です、大きな病院では少し高めの数百ドル請求されるかもしれませんが、ほとんどの方が受け入れられると思います。毎日歯茎から出血するよりは、美味しくないものを食べて丈夫になった方がいい。これらの病院に加え、チェーン展開している歯科病院も多数あり、グループでクーポンを購入すれば、数十ドルと安く、一般的には100ドル程度で済む。
また、スケーリングが痛いと感じる人もいるでしょうが、やはり実践してみないとわかりません。私はただ毎日歯を磨く前に歯茎から出血し、水を飲まずに少し長くは非常に重い息を感じるだろう、ちょうどソフトコピーを書くために他の口腔病院に公開番号を参照してください、私は69.9元のグループ購入クーポンを購入しました。 行く前にまだ非常に不安で、非常に痛くはないだろう、間違って行くことはありません。 しかし、行った後、私はこのような心配はもうありません。
歯科医が歯に器具を当て、口の中にチューブを入れて水を吸う。切歯のクリーニングの時は全く痛くなく、奥歯は一番奥のプラークが重すぎて、その器具で削っているようだったので少し痛かった。他は全然痛くないし、他で見た画像にクリーニングの様子が描かれていた。
「口を開けろ
ジップ、ジップ、ジップ。
"吐き出せ"
水を一口飲む、うがいをする、唾を吐く
ジップ、ジップ、ジップ。
"吐き出せ"
水を一口飲む、うがいをする、唾を吐く
ジップ、ジップ、ジップ。
"吐き出せ"
オーケー。
唾を飲むと、口の中の歯石を実際に感じることができます。クリーニングの後、歯が少し弱く感じますが、2、3日で大丈夫になります。
クリーニングの時期を恐れないでほしい。健康は歯から。私の答えがお役に立てれば幸いです!
慎重にタイムリーに対処しない場合は、将来的には歯周病、歯周炎、さらには口腔疾患のリスクに苦しむことになる、真剣にあなたの将来の日常生活の質に影響を与える、特に社会的な機会、または通常の仕事、シーンは非常に恥ずかしいでしょう、その後、私たちの日常生活、口腔のケアとメンテナンス方法、歯の健康は非常に重要な作品であり、今日私たちは人気があります!

まず第一に、歯の周囲にこのような「汚れ」が生じやすい状況とはどのようなものでしょうか?
一般的に言えば、あなたが生産したい場合、あなたはそれが簡単に汚れを摘み取ると言う、口の中で、このことは酸っぱいにおいを嗅ぐことができない、一般的に非常に貧しい個人の衛生習慣であり、臨床データによると、要約することができ、次のケースがあり、あなたが酸っぱい腐敗残渣を摘み取ると言われて生産することは非常に簡単です。
例えば、小児期の自分の歯は、歯が生え変わる時、タイムリーに矯正しなかった、この時、質的、初めて全体のすべての歯など、このグループの凸凹の歯自体は、口の中で、食べ物を噛むために、多くの小さな食べかすが歯の隙間に入り込み、食べかすの歯と歯の間の隙間には、きれいにすることは非常に困難である。
一部の若者は口腔衛生に注意を払っていない、例えば、特に中華料理の後、多くの人々はちょうど時間内に自分の口をすすいでいない、もちろん、私はすすぎと言うとき、私はあなたが再び洗浄するために歯磨き粉を使用することを意味するものではありません、私は爪楊枝の使用に加えて、水で洗い流さなければならないことを意味し、またはクリーンアップする時間にフロスは、非常に必要である。

しかし、日常生活の中で、多くの人が無視され、特に歯がまっすぐでない人は、これらの食物残渣が永久に歯の間の隙間に残され、時間の蓄積の後、人間の口の中でこれらの食物残渣が腐敗するため、人間の口は多かれ少なかれ微生物や細菌、嫌気性または好気性細菌が多数含まれているため、多くの反応の後、歯の間の隙間の周りにこれらの残渣がされます。一連の反応の後、歯の周りのこれらの残留物はゆっくりと分解され、腐敗し、歯と歯茎の周りに蓄積されます。
時間が経つにつれて、これらの有害な残留物は歯の周囲の組織を攻撃し、例えば、歯茎が徐々に露出され、元の白から歯が徐々に黄色に変化し、一度発生し、歯が痛みを持つことになり、主なものは、後の段階で、歯がゆっくりと非常に緩くなり、最終的に歯の炎症は、そのようなパスを延期しなければならなかったということです。
第二に、歯に影響を与えるこれらのえぐれた汚れは、どのように進化し、実行されるのだろうか?
それは、若い頃の多くの人々は、定期的に歯を磨くと言うことができますが、基本的に非科学的なブラッシング、多かれ少なかれ食べ物の残骸が歯の周りに残って、個々の免疫力と抵抗力の低下に伴い、歯はまた、生理的な理由に起因することになり、歯の健康の質は徐々に老化に行く、この時点で、多くの人々、特に中高年の人々は、歯周病の発生の可能性が大幅に増加している!この時、多くの人、特に中年の人は、歯周病の発生確率が大幅に増加する。

なぜかというと、日常の習慣に加えて、多くの人は、喫煙、アルコール依存症、コーヒーを飲む、粘液の一部を食べる、特にでんぷんや砂糖を含むより多くの食品、喫煙はニコチン、タールなどの有害物質を生成し、これらの物質は直接人体の歯のエナメル質に害を与えるなどの悪い習慣がたくさんあります。
私たちはしばしば喫煙者の歯がしばしば黄色であるのを見ますが、これは長い間煙のタールが蓄積し、なるためであり、コーヒーを飲むことに加えて、これらの非常に濃い色の食品は、あなたが通常、これらの食品を食べる場合、効果的かつ迅速な口の洗浄を実行しない、色の成分を含むこれらの物質は、進化するために長い時間のために歯や歯の周りに固執します。
普段から辛いものを食べていることも相まって、場合によっては歯の根元や歯茎の組織を破壊し、これらが破壊されると、これらの外来有害物質が歯の内部組織を容易に攻撃することができ、この時、多数の再生、歯垢、歯周病などの基本的な歯科口腔の問題が発生する。

主なものは、歯が破壊されると、特にエナメル質は、毎日の食事の過程で、食べ物の残骸の多くは、それが歯の周りに固執するのは簡単です、あなたが食べるたびに限り、あなたがダウンピックする手を使用して、上記の自分の爪は、白い粘着性の物質を残します。
歯がまっすぐでない人、タバコをよく吸う人、夜遅くまでお酒を飲む人など、歯がまっすぐでない人がこれらの症状になりやすい。
第三に、歯の予防とケアはどうすればいいのか?
一般的に、彼らの歯がまっすぐではないだけでなく、自分の歯の状態が悪い場合は、群衆の歯を洗うのが好きではない、それは歯が非常に汚れていることが判明した場合、チェックするために毎年定期的に歯科医に行くことをお勧めします、その後、保護措置のクリーニングを実施することをお勧めします。
一般的なクリーニングは、歯は非常にきれいで明るく白くなりますが、少し悪い点は、歯と歯に隣接し、ギャップが非常に大きくなることです、あなたが食べるとき、食べ物が内側に簡単に詰まっているので、スケーリングは、その長所と短所があります、もちろん、歯石が非常に深刻である場合、スケーリングは最も重要なステップです。

このマウスウォッシュは、歯の隙間や歯の周囲に詰まった食べ物を取り除くのに効果的で、口腔衛生に役立ちます。
デンタルフロス、効果的な治療のためのつまようじの使用、主なものは、何があっても、私たちは何かを食べるたびに、我々は効果的な口の洗浄を実施する必要があります、そのような外出は、ミニ洗口剤などの種類を持参することができ、使いやすい、常に口腔衛生を保つことです。
また、夜間などには甘いものを食べないことが重要である。甘いものは歯に非常に有害であるため、高齢者は歯のエナメル質を保護するために、できるだけ食べないようにしている。
結論として、歯は人間の体にとって、食べたり噛んだりするための最も重要な道具であり、口一杯の良い歯は、良い生活習慣を身につけるために、良い生活の質と気分をもたらし、口腔衛生は最も重要である。
私は医学の医者です、私をフォローするためにクリックして歓迎、サポートのような!
歯石は歯を磨いたときだけにつくのではなく、時間をかけてゆっくりと形成されるものですが、歯石の一部がゆっくりと折れていくのは不思議なことです。
私の状況の前に私の歯が出血し、時には蒸しパンを食べると出血し、口臭はありません磨くことです。常に特定の要素の不足は、そう頻繁にリンゴを食べ、牛乳を飲むと思ったが、状況は、歯が欠落している感じは非常に不快である結果、歯が微積分のブロックをバックルから1日まで、改善されていませんので、歯科スケーリングに行く、2回に分け、本当に非常に快適な洗浄し、それ以来、ブラッシングはもはや出血しない。
この質問と回答はサイト利用者のものであり、サイトの立場を代表するものではありません、侵害など、削除するには管理者に連絡してください。