病院ではどの検査が高いのか?
病院ではどの検査が高いのか?
病院や学校は、すべての人が、さまざまな段階で、対処する必要がある場所として、どの友人も言いたいこと、言いたいことがたくさんある。特に病院は、親族や友人の入院、あるいは外来通院は常に避けがたい。あなたが病院に行ったことがある限り、あなたは病院が多くのテストを行うために訪問することを知っている必要がありますが、これらのテストの中でどれが最も高価なのでしょうか?高ければ高いほどいいのだろうか?
実際、これらの検査には、心電図、超音波、X線、CT、磁気共鳴、胃カメラと腸内視鏡、冠動脈造影、ECT、PET/CT、気管内視鏡、筋電図などが含まれる。この中で最も高価なものと言えば、断然PET/CTで、1回で約8,000~10,000ドルかかる。それ以外は、もっと安いものから高いものまであり、例えば、心電図は30ドル程度、X線検査は100~200ドル程度である。
しかし、高価な小切手ほど価値があるというのは本当だろうか?答えはノーである!私たちは、最も高価な検査ではなく、最も適切な検査を選択すべきであると認識しています。例えば、腰痛の患者さんであれば、まず泌尿器系の状態を知るために超音波検査を選択することもありますし、胸の張りや定期的な健康診断であれば、心電図検査を優先することもありますし、骨折の患者さんであれば、まずX線検査を処方することもありますし、発熱や咳の既往歴があれば、胸部CTを選択することもありますし、腰椎椎間板ヘルニアの患者さんであれば、より鮮明に見て、より正確に診断するために、核磁場に頼らざるを得ないこともあります。腰椎椎間板ヘルニアの場合は、より鮮明で正確な診断のために核磁気共鳴画像法(NMRI)を使用する必要があるかもしれません。肺に腫瘤がある場合は、腫瘤の性質をはっきりさせるために気管鏡検査や穿刺生検を選択する必要があるかもしれません。胃腸の腫瘤の場合は、胃カメラや腸内視鏡検査がより適切かもしれません。場合によっては、正確な診断や臨床病期分類のために、いくつかの検査を組み合わせる必要があるかもしれない!
したがって、値段で価値を判断することはできない!
病院での検査は非常に高額なものが多い。
1.DSA
(インターベンショナル・アンギオグラフィー)
この検査は小手術に相当し、入院が必要である。医師は患者の血管に造影剤を注入し、X線装置の助けを借りて血管内の病変-梗塞、狭窄、動脈瘤、血管奇形など-をはっきりと見ることができる。この検査には数千ドル以上の費用がかかる。

DSA技術で血管内病変を発見
2.カプセル胃内視鏡検査
患者はカメラ付きカプセルを食べ、消化管全体を記録する。医師はカプセルカメラで撮影した映像から、患者の胃や腸に病変があるかどうかを判断することができる。価格は通常3,000ドル以上。

カプセル胃カメラには、従来の胃カメラや腸内視鏡検査にはない利点がある。
3.脳磁図
この検査は実施されている病院が少なく、装置のコストが高いため高価である。この検査には、てんかん病巣を同定する上で独特の利点がある。

脳磁図(MEG)装置は、特別な密室で行われ、高価である。
検査費用は5,000ドルを超える。
4.PET/CT検査
この検査は、より身近なものかもしれないが、非常に高価で、通常8,000ドル以上する。主に体内のがん病変の検出に使われ、患者のてんかん病変の判定にも使われる。

5.遺伝子検査

ある病院が導入した遺伝子検査の価格表である。
これらの検査は、病院でも高額な部類に入る。高額なのには理由があるが、これらの検査には厳格な適応がある。現在、PETCTの誤用のように、特定の検査を悪用する民間病院や検診機関がある。
金曜日にある患者がクリニックに来たのですが、入ってくるなり何人かに付きまとわれ、お金のことはどうでもいいから一番高い検査を処方してくれ、結果さえ問題なければいいんだ、と言われました!
王医師は「どうしたんですか?
患者は、不快感はない、ただの検診だと言うが、最高で、最も完全で、最も高価なものだ!
患者は体の調子を見るためだけの検診で、王医師は定期検診に準じた600元以下の検診を処方したが、患者の側近は「いや、安すぎる。しかし、患者の側近は「いや、安すぎる」「いや、ソレでいい」と言った。
「PETのことですよね?
ええ、ええ、PETです。 1万ドルになるって聞きましたけど、大丈夫ですよ。
王医師は、最も高価な検査が最良の検査というわけではなく、PETは腫瘍を常時チェックする方法であり、そのために身体をチェックする必要はないと説明した。
結局、この患者はPETを含むあらゆる検査を選択し、多くのお金を費やした。

私たちの検診で最もよく選ばれる検査は以下の通りです:
まず、定期的な採血:
定期的な血液検査:白血病、赤血球、血小板、ヘモグロビンを調べ、感染症、貧血、血液疾患を調べる。
10かそこらだ。
血糖と脂質:血糖とコレステロール、トリグリセリド、HDL、LDLを調べる。
他にも100~400のアイテムがある。
これらの検査は4、500ドル程度だが、もちろん項目が多いので別々に行うことも可能で、その場合は割高になる。

第二に、日常点検である:
胸部X線検査:肺感染、肺腔、気管の問題、食道の問題、心陰影の大きさ、水胸の有無などを調べる。特に家族に油症や喫煙歴がある場合は、胸部X線検査が必要です。
90歳だ。
心電図:典型的な不整脈、心筋虚血を除外する。心筋虚血は、典型的な心電図で示されるように、加齢や動脈硬化の悪化によって起こることがある。
30人だ。
心臓超音波検査と腹部超音波検査:心臓の構造と機能、肝臓、胆嚢、脾臓、膵臓、両腎の大きさと形。女性は婦人科超音波検査、男性は前立腺超音波検査。
250ブロック。

第三に、非定常検査、つまり検査するかしないかの判断はケースバイケースで行うべきである:
ウイルスシリーズ:B型肝炎、C型肝炎、梅毒(症例によっては必ずしもルーチンに検査されるとは限らない)。
500か600かそこらだ。
腫瘍マーカー:腫瘍マーカーも調べることができるが、一般に腫瘍マーカーは必ずしも問題を早期に発見できるわけではなく、胸部X線検査や超音波検査などに比べて遅れてしまう。
400か500かそこらだ。
胸部、頭部、腹部などの一般CT。
300人か400人くらいだ。
第四に、より高価な検査
エンハンストCT
価格はパーツによって異なり、600~1500程度。
NMR:
1000から2000の間。
イメージング
3000から4000くらいだ。
電気生理学的検査:約5000。
PET:全身の腫瘍をスクリーニングする。
8000-10000くらいだ。
これは一般的な検査に過ぎず、具体的な検査項目や病院、機械が異なるため、値段も異なるはずだが、それでも王医師が言うように、最も高価な検査を選ぶ不快感ではなく、自分に適した検査を選ぶことから始める。

例を挙げよう:
冠動脈疾患の診断は、30ドルの心電図検査であったり、4,000ドルの画像診断であったりする。心臓画像診断は冠動脈疾患診断のゴールドスタンダードではあるが、冠動脈疾患を診断するためにすべての人に行うことを意図しているわけではない。
冠動脈疾患の診断には、症状、危険因子、心電図、時には血圧と外来心電図、運動負荷試験、冠動脈CTA、冠動脈造影などがある。
出血、血腫、巻き込み、腎毒性、アレルギーなどのリスクを伴う侵襲的な検査である画像診断を行わなくても、症状と30ピースの心電図だけで冠動脈疾患を診断できることもある。
良心的な原則とは、「使用できるものは単純で、複雑ではない」「使用できるものは非侵襲的で、侵襲的ではない」「使用できるものは安価で、高価ではない」というものである!
私は医学博士、研修医、人間の健康の利益のために医学知識の普及を専門としています、あなたが詳細をお知りになりたい場合は、私に注意を払ってください、質問がメッセージを残すことができる、応答します!
病院ではどの検査が高いのか?
質問者の質問に一瞬戸惑ったが、よく考えてみると、もっと高額な検査もあるので、院内で高額な検査をいくつか紹介しよう。
1.PET-CT(ポジトロンCT):

現在、PET-CTは約1万ドルで、より高価な検査とされ、払い戻しはできない。PET-CTは、陽電子放出核種を使ってグルコース、脂肪酸、アミノ酸、水などを標識し、陽電子スキャナーを使って体内の化学画像を得る原理に基づいており、主に早期の腫瘍の診断に用いられ、現在最も感度の高い検査方法である;
2.親子鑑定

親子鑑定は、法的な必要性から行われる場合は約3,000ドルかかる。民間の親子鑑定であれば、もう少し安いかもしれないが、ぼったくられないように注意しよう;
3.冠動脈造影:

冠動脈造影は主に冠状動脈性心臓病の診断を確認するために使用されます。
実際、検査費用は相対的なものであり、一般家庭にとっては高額かもしれないが、大富豪にとっては何でもないことかもしれない。
最終まとめ:病院での比較的高額な検査には、PET-CT、父子関係検査、冠動脈造影などがある;
上記は、質問の質問に対する私の答えであり、純粋に手入力、それは簡単ではありません、あなたは質問が以下に残すことができる場合は、書き込みは賞賛で報いることができると思う場合......
画像診断医のリトルシャドーです。病院ではどの検査が高いですか?画像診断科での検査はすべて割高です。最も高額なのはPET-CT検査で、7000~9000ドルかかり、健康保険は適用されません。磁気共鳴(MR)はCTより高く、CTはX線より高い。複数部位のCTを撮れば、1部位のMRIより高くなるのは間違いない。しかし、検査は高ければ高いほどいいというものではなく、自分に合った最適な検査を選択すればいいのです。ここでは、画像診断科の検査料金を紹介したい。
画像検査は高額だ。
病院で最も高価な機械は画像診断部門にある。画像診断には超音波、X線、CT、MR、ECT、PET-CTがあり、後者の4つは良い機械になると数千万円もする。PET-CTは画像診断部門で最も高価な検査である。
1.PET-CT
7,000~9,000ドルで、地域によって価格が変動する。日常的な健康診断には使われず、たとえ大金持ちであっても、この検診を利用することは勧められない。さらに言えば、初期がんのスクリーニングには使用できず、放射線量が増えるだけでなく、発見できない初期がんもある。この検査は主に腫瘍患者の良性・悪性判定、腫瘍の病期分類、転移、効果判定に使用されます。
2.磁気共鳴検査(MR)
MRIは体の一部分で数百ドルかかり、広東省では700-800ドルで、地域によって値段が違う。価格は病院ではなく、地方価格局が決める。1部位の掃引+強化なら1000円以上かかる。複数の部位の場合、価格は重ね合わされ、いくつかの機能配列も別途請求される。
3.CT検査
CTは1部位ならMRより少し安く、1部位で約400ドル以上、1部位でスキャン+エンハンスメントなら約1000~1100ドルである。2部位であれば積み重ねる。
例えば、呼吸ゲーティング付きの胸部CTスキャンは約500ドル、胸部CTスキャン+エンハンスメントは1100ドルである。
胸部CTスキャン+腹部CTスキャンなら、2部位で約1000件になる。
MRIもCTも部位ごとの料金であり、MRIがCTより高いとか、複数部位のCTが1部位より高いということは必ずしもない。
さらに、CTAはより高価になりますが、CTで動脈をチェックする方法は、冠動脈CTA約2200。
4.X線
レントゲンは撮影回数で課金され、通常、正面と側面の1部位で約100ドル。X線はCTやMRよりも比較的安価である。
5.超音波
超音波検査は、部位によって価格が異なる。検査は約100~200ドル。
通常の病院では、料金のすべての項目が明確に定義され、地方価格局によって設定されている。病院には料金を決める権利はなく、勝手に値上げすることもできない。料金は地域によって異なる。例えば、頭部CTは、広東省では400円以上ですが、上海に行くと200円以上になることもあります。上海で検査をして、広東に飛行機で戻って治療ができますか?航空運賃は安くない。
私はそうだ。ドクター・シャドウ医療についてもっと知りたい方は、ぜひフォローしてください。
病院の中でも高額な検査がいくつかある。
PET/MR、つまりPETとMRを融合させたオールインワンの検査機。毎回約15,000ドルです。
遺伝子配列決定、5,000~10,000ドル。
PET-CT(Positron Emission Computed Tomography)、約8,000ドル。
DSA(インターベンショナル・アンギオグラフィ)は約5,000ドル。
カプセル胃カメラ、3,000~4,000ドル。
気管支鏡検査、3,000~4,000ドル。
免疫組織化学、約2,000ドル。
MRI、約1,000台。
CT強化、1000~2000ドル。
骨スキャン、約1,500ドル。
セント、300~1000ドル。
などなど。
医学の発展と科学の進歩の結果、非常に多くの新しい検査が登場している。中には研究されたばかりで広く普及していない新しい検査もあり、使用する機器や器具、消耗品も高価なものがある。一般的には、高価な検査ほど精度が高く、病気の診断や治療に役立つはずです。今日は、どの検査が高価かについてお話ししましょう:
(1) PET/CT
PET/CTは非常に高価な検査で、全身PET/CT検査は8,000~10,000ドルかかり、健康保険で償還されません。PET/CTは、腫瘍の部位、浸潤の程度、遠隔転移の有無などを評価する非常に重要な検査です。PET/CT検査を健康診断に使用できるかという質問もあるが、それは不可能である。なぜなら、PET/CT検査は高価であり、偽陽性が出やすいからである。また、PET/CT検査は放射性であり、ルーチンの健康診断には推奨されないからである。

(2) 遺伝子検査
遺伝子検査はここ数十年で開発された検査で、出生前診断で胎児に奇形があるかどうかを調べたり、癌の診断、癌に変異があるかどうかを調べたり、治療効果を予測したり、標的治療薬を使用できるようにするためなどに使われる。また、遺伝子検査は比較的高価で、1つの遺伝子検査にかかる費用は1,000~2,000円程度であり、複数の遺伝子を検査する場合は費用が高くなる。

(3) 核磁気共鳴検査
また、MRIは軟部組織の解像度が高く、放射線を使用しないため、費用の割に優れた検査であり、骨、脳、筋肉、肝臓、胆嚢の疾患の診断に非常に明確な利点がある。MRIは高価でもあり、1部位で1,000円以上、特殊な造影剤を使用すればさらに高額になる。

全体として、高価な検査ほど精度が高く、効果もある程度高いが、乱用したり、必要なときだけ処方したり、過度に当てにしたりすべきではない。
病院や学校は、人生のさまざまな局面で誰もがお世話になる場所であるため、どの友人も話したいことや言いたいことがたくさんある。特に病院に関しては、親戚や友人が入院したり、外来で診察を受けたりするのを避けるのはいつも難しい。病院を受診する以上、病院でもいろいろな検査をする必要があることは知っているはずだが、どの検査が一番高いのだろうか?高ければ高いほどいいというものでもないだろう。
実際、これらの検査には、心電図、超音波、X線、CT、磁気共鳴、胃カメラ、大腸内視鏡、冠動脈造影、ECT、PET/CT、気管支鏡、筋電図などがあり、このうち最も高額なPET/CTであれば、約8,000~10,000ドルかかる。この中で圧倒的に高額なのはPET/CTで、1回で約8000~1万ドルかかります。それ以外のものについては、安いものと高いものがあり、例えば、心電図は30ドル程度、X線検査は100~200ドル程度で済むようです。
チェックイン時に私たちがよく選ぶ検査は以下の通り:
1.定期的な採血:
定期的な血液検査:白血病、赤血球、血小板、ヘモグロビンを調べ、感染症、貧血、血液の異常がないかどうかを調べる。
生化学の指標:肝臓と腎臓の機能 電解質 血糖値 血中脂質:肝臓と腎臓が正常に機能しているかどうか、電解質が正常かどうかを調べる。
血糖値と脂質:血糖値とコレステロール、中性脂肪、高比重リポ蛋白、低比重リポ蛋白を調べます。
100~400の価格帯のアイテムが比較的多い。
これらの検査は400ドルから500ドル程度だが、もちろん個別に行うことも可能で、チェック項目が多いので比較的高額になる。
2.定期検査
胸部X線検査:肺感染、肺腔、気管の問題、食道の問題、心陰影の大きさ、水胸の有無などを調べる。特に家族歴に油症がある人や喫煙者は、胸部X線検査が必要です。
心電図:典型的な不整脈、心筋虚血を除外するため。加齢が進み、動脈硬化が悪化すると、典型的な心電図で示されるように、心筋虚血を発症する可能性が高くなる。
心臓の超音波検査と腹部の超音波検査:心臓の構造と機能、肝臓、胆嚢、脾臓、膵臓、腎臓の大きさと形。女性婦人科の超音波検査、男性前立腺の超音波検査。
3.非定常検査については、実際にはケースバイケースで判断する必要がある:
ウイルスシリーズ:B型肝炎、C型肝炎、梅毒(症例によっては必ずしもルーチン検査ではない)。
胸部、頭部、腹部などのプレーンCT。
4.比較的高価な検査
エンハンスドCT:価格は部位によって異なり、600~1500程度。
核磁気:約1000-2000。
画像処理:3000~4000程度。
電気生理学的検査:約5000。
これは、より一般的な検査の一部であり、特定の項目と異なる病院のマシンのため、価格は異なるはずですが、それでも関連する医師に耳を傾ける必要があります:自分のテストに適したものを選択する必要があり、最も高価なテストを選択するために適用されません。
検査が高額であればあるほど、その価値は高いのだろうかと疑問に思うかもしれない。答えは間違いなくノーだ!最も高価な検査を選ぶのではなく、あなたに最も適した検査を選ぶべきです。例えば、腰痛の患者さんであれば、泌尿器系を知るためにまず超音波検査を選択するでしょうし、胸の張りや定期健診であれば、心電図検査を優先するでしょうし、骨折であれば、まずX線検査を処方するでしょうし、発熱や咳があれば、胸部CTを選択するでしょうし、腰椎椎間板ヘルニアであれば、泌尿器系を知るために胸部CTを選択するでしょう。また、骨折の場合はX線検査から、発熱や咳の既往がある場合は胸部CTを、腰椎椎間板ヘルニアの場合は、より明確で正確な診断を得るために核磁場検査を、肺に腫瘤がある場合は、腫瘤の性質を明らかにするために気管支鏡検査や穿刺による生検を、実際に消化管に腫瘤がある場合は、胃カメラや大腸内視鏡検査を選択することが多いでしょう。場合によっては、正確な診断や臨床病期分類のために、複数の検査を組み合わせる必要があるかもしれない!
したがって、値段で価値を判断することはできない!
もっと良心的な原則は、シンプルなものを使えるなら複雑なものは使わない、非侵襲的なものを使えるなら侵襲的なものは使わない、安価なものを使えるなら高価なものは使わない、というものだ!
ペット_CT一度8000元、健康保険は払い戻しをしない、唯一の非難我が国後進技術、ゴースト生産マシンを購入し、虐殺される。先進的な機械は、劇場の人々ではなく、科学技術の人材によって構築される。
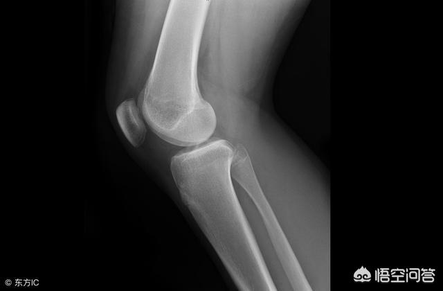
患者や友人が病院で検査を受けると、たいていの場合、医師は適切な検査を行う。有名ブランドの靴は良いが、サイズが合わなければならない!それでは、膝関節症の患者さんが病院に行ったとき、どのように検査を選ぶべきかについてお話ししましょう。
1、高度な画像診断が関節炎を診断する方法である。

画像診断の発展とともに、かつての白黒レントゲンの "地位 "は、CTやMRI(磁気共鳴画像装置)など、より高価な高度画像検査やその他の兄貴分たちに徐々に占領されていった。
関節炎患者の多くは、CTやMRI検査の結果はX線検査よりも正確なはずだと信じ、高額な検査ほど良いと迷信を抱いている。
変形性膝関節症の診断には、通常のX線検査で十分であり、CTやMRIなどの検査は通常必要ない。
脳や肝臓、肺などの臓器とは異なり、膝は体の表面で触れることができる構造であり、他の臓器や組織に囲まれていない!
したがって、患者が変形性関節症に罹患しているかどうかを診断するには、経験豊富な整形外科医による手技検査とともに、通常のX線検査を行えば、通常は十分である!
変形性膝関節症の患者では、膝関節腔の狭小化、軟骨下骨硬化および/または嚢胞変性、関節縁の骨障害形成などがX線写真で見られる主な症状である。
2.磁気共鳴(MRI)検査はあまり一般的ではない!

患者に外傷歴がある場合、あるいは関節靭帯の断裂や半月板損傷などが疑われる場合、医師は患者に磁気共鳴画像法(MRI)を受けるよう勧める。MRIは腫瘍などの除外にも使用できる。また、通常のX線検査よりもはるかに高額で、スキャニングMRIは850ドル++、エンハンストMRIは1400ドル++、X線検査は120ドル++程度である。
検査によって関節腔内の病変の存在が明らかになれば、医師は効果的な治療を行うことができる。
この質問と回答はサイト利用者のものであり、サイトの立場を代表するものではありません、侵害など、削除するには管理者に連絡してください。