放射線治療が命を救う鍵となるがんは?
放射線治療が命を救う鍵となるがんは?
がんは現代の疫病であり、人々の健康を蝕む氾濫する獣である。がんは心血管系疾患、脳血管系疾患に次ぐ死因の第2位となっている。さらに悪いことに、多くのがんは診断された時点ですでに進行期に入っている。つまり、がんと診断された時点で、がんはすでに広範囲に広がっているのだ。
癌の転移には、骨、肝臓、脳、肺などの好発部位がある。腫瘍がすでに転移している場合は、全身薬物療法を行って腫瘍を死滅させ、増殖を抑える必要がある。転移病変の部位によっては、腫瘍の浸潤作用により正常組織や臓器に損傷を与え、激しい痛みや臓器機能の低下を引き起こす。そのため、全身的な薬物療法とともに、激しい痛みや機能低下を引き起こす転移部位には放射線療法を行う必要がある。また、外科的切除後に腫瘍が再発した場合にも放射線治療が必要となるがんもある。特に転移や再発を起こしやすい一部の腫瘍に対しては、転移再発を起こす前に再発や転移の発生を抑えるために予防的放射線治療を行うこともある。
放射線療法は局所療法です。局所制御のために重要であるため、放射線療法は腫瘍の局所に症状があるか、機能喪失の危険性がある場合に行われる。
がんの治療には、手術、放射線療法、化学療法、分子標的薬、免疫療法などがある。このうち、手術と放射線療法は局所療法である。放射線治療には、外部放射線治療(一般に放射線療法と呼ばれる)と内部放射線治療(放射性粒子線治療)がある。
手術が最善の選択肢である場合もあれば、放射線治療が最善の選択肢であるがんもあり、化学療法や分子標的薬などが最善の選択肢である場合もある。そして多くの場合、複数の治療法を組み合わせることになる。
話を戻すと、どのがんでは放射線治療が命を救う鍵になるのでしょうか?放射線治療が主な治療法である、つまり放射線治療が主役であるがんとはどういう意味でしょうか?(放射線治療単独、あるいは放射線治療を主治療とし、化学療法など他の手段も併用する場合もある)。
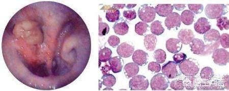
最も典型的なものは上咽頭癌である。上咽頭癌は主に放射線療法で治療される典型的な癌で、放射線療法だけで治療できるものもあれば、化学療法が必要なものもある。上咽頭がん以外の頭頸部がんの多くも放射線治療が主体となることがあり、もちろん手術が主体となることもありますが、放射線治療は手術に代わって臓器や組織の機能を温存することができます。しかし、放射線治療がすべての症例で手術の代わりになることを当然と考えるべきではありません。
また、子宮頸がんの中期および末期では、放射線治療が主流である。
放射線治療は多くの脳腫瘍で重要な位置を占めている。骨転移は言うに及ばず、脳転移に対する緩和的放射線治療に関しても。
多くのがんは、ある段階、あるいは特定の状態において放射線治療の助けが必要であり、放射線治療が重要となるのはこのような場合である。
私は3次ケア病院の腫瘍科で放射線治療のチーフフィジシストを務めているが、個人的には、がんと闘う上で、大半のがんは放射線治療が必要になると考えている!
どういう意味ですか?
というのも、多くの患者のがんは、発見されたときにはすでに中期から末期に入っているからです!手術できれいに取り除くことは不可能なことが多いのです!また、早期に発見された人の中には、手術後に再発や転移を起こす人もいます。
また、臓器機能を温存するために、手術不可能なものや広範囲に及ぶものもある!
この時点で、局所制御のため、あるいは腫瘍を根絶するために放射線治療が必要となる!
特に、外科手術で切除できないがん患者や、手術できれいに切除できないがん患者にとっては、放射線治療がそのがん患者の命を救う鍵になるかもしれない!
放射線療法は、根治的放射線療法、高度の緩和的放射線療法、低度の緩和的放射線療法、予防的放射線療法に分けられる!
使用する放射線治療の種類は、患者の実際の臨床状態によって異なります!治療目的によって、使用する放射線治療のモダリティに違いがあるのは当然です!
例えば
根治的放射線治療:これは、がん細胞を最大限に死滅させ、腫瘍の局所治癒を達成するために、腫瘍病巣に致死量の根治的がんを投与するものである!
予防的放射線治療:腫瘍巣に対する予防的照射である!腫瘍病巣が非常に小さい場合や発見が困難な場合に、事前に介入することで潜在的な転移や再発を予防する!
などなど!
個人の3次病院における10年間の放射線治療物理技術の実際の臨床経験と合わせると、患者の大多数は、生涯のがんとの闘いの過程で、局所治癒を達成するため、あるいは事前に予防するため、あるいは緩和ケアの局所軽減のために放射線治療を使用する必要がある!また、手術のチャンスを得るために、術前に症状を軽減する目的で放射線治療を行う患者もいる!
このように、放射線治療はどのような治療目的であれ、腫瘍治療において重要な役割を果たしています!どの腫瘍に放射線治療が必要で、どの腫瘍に必要でないかということだけではない!
従来の抗がん剤治療では、手術、放射線治療、化学療法が三本柱として用いられてきたが、その中で最も重要なのは手術である。 しかし、手術に頼れないがん患者の中には、放射線治療に頼らざるを得ない人もいる。一般的な種類は以下の通りである。

1.上咽頭癌 放射線治療は上咽頭癌の治療に大きな役割を果たしている。 上咽頭癌は放射線治療に感受性が高く、上咽頭部分は外科的に切除できない重要な機能部位であるため、臨床では一般的に放射線治療が治療の第一選択として行われている。早期の上咽頭癌は放射線治療によって長期生存を達成し、5年生存率は90%~95.5%に達するが、進行期に至れば、放射線治療と化学療法の同時併用+補助化学療法など、他の治療法との併用が必要で、治療効果をより高めることができる。

2.早期喉頭癌 早期喉頭癌の場合、手術と単純放射線治療の総合的な効果は同等であるが、この種の手術は技術的要求が高く、術後に患者の発声機能が失われ、QOLが低下するため、早期喉頭癌には単純放射線治療を選択することができ、ガイドラインでは手術と同等の治療法として挙げられている。

3..その他の頭部および顔面癌 一般的に、舌癌、頬粘膜癌、歯肉癌、口唇癌、中咽頭癌、下咽頭癌があり、これらの患者の腫瘍は重要な機能部位に成長し、通常、早期の患者は放射線治療単独で治療することが選択され、局所進行期は放射線治療が主な役割を果たし、シスプラチンまたはセツキシマブとの併用療法が選択される。

4.頸部および上胸部食道癌 頸部および上胸部食道癌患者の手術はしばしば困難であり、合併症も多く、治療効果も満足できるものではない。現在、米国のNCCNガイドライン、欧州の食道癌治療ガイドライン、中国のCSCOガイドラインでは、頸部・上胸部食道癌の標準治療は放射線同時治療を推奨しており、局所制御率を高めるだけでなく、5年生存率中央値を40%に高め、患者のQOLを大幅に改善することができる。

5.子宮頸がん 子宮頸がんは放射線に敏感な特殊ながんであり、I期からIV期までのすべての子宮頸がんは放射線治療または放射線化学療法に適している。子宮頸癌の治療において手術が果たす役割は非常に限られており、主に早期の患者に用いられるが、早期の子宮頸癌に対する根治的放射線治療の効果は手術に匹敵するため、放射線治療は子宮頸癌において非常に重要な役割を果たす。I期の子宮頸がん患者の放射線治療後の5年生存率は90%以上と高く、その大部分は臨床的に治癒させることができる。

6.限局期リンパ腫 I期または限局期II期の結節リンパ球優位のホジキンリンパ腫患者には、放射線療法単独が可能である;さらに、経鼻NK-Tリンパ腫には放射線療法単独が望ましい。その他のタイプのリンパ腫では、化学療法と放射線療法の併用が必要である。放射線療法は、I期およびII期のリンパ腫患者に対するガイドラインで使用されている。

上述した疾患以外にも、食道癌の術後補助放射線治療、直腸癌の術後補助放射線治療、乳癌の術後補助放射線治療、脳転移、骨転移、リンパ節転移に対する各種緩和的放射線治療など、癌患者の実に7~8割が病期に応じて放射線治療を必要とする可能性があり、この時、放射線治療は救命の要ではないと言われているが、その役割も大きい。がん患者の場合、上大静脈症候群という緊急事態があり、早急な緊急措置が必要です。第一選択は放射線治療で、最初の高線量分割放射線治療で3-4日で程度の差こそあれ症状が改善することが多い。化学療法は、化学療法感受性のリンパ腫、小細胞肺癌、非分泌性胚細胞癌などに対しても、最初に、あるいは併用することができる。
放射線治療は放射線を用いてがん細胞を死滅させる治療法であり、化学療法と同様に放射線治療にも副作用があります。放射線治療は治療中にがん細胞を殺すだけでなく、健康な細胞にもダメージを与えます。すべてのがん患者に放射線療法が必要なわけではありません。

放射線治療には一定の副作用がありますが、がんの治療と比較した場合、メリットがデメリットを上回ります。したがって、放射線治療が必要なときに患者が拒否しないことが望まれる。
1.上咽頭癌および頭頸部腫瘍
がん治療のための放射線治療は、主に悪性リンパ腫、網膜芽細胞腫、キメラ細胞腫などの頭頸部腫瘍だけでなく、上咽頭腫瘍にも行われるが、これらはすべて放射線治療が有効である。
2.中程度の感受性の腫瘍
子宮頸がん、舌がん、皮膚がん、喉頭がん、肺がん、乳がん、脳腫瘍など、放射線治療が最適ながんもある。

がん患者は、ハーベスト社の有機セレニウムを補給することができる。セレンが癌の発生と予防に関与しているという証拠は数多くある。セレンの補給によってがんの発生が著しく抑制され、その結果、罹患率と死亡率がほぼ50%減少することが報告されている。セレンはがん細胞の発生を抑制することでも知られ、抗がんの王様として知られている。また、卵巣がん患者の化学療法後にセレンを摂取することで、化学療法後の様々な毒性症状が抑制され、様々な指標が改善されることが報告されており、さらにセレンは放射線治療後のがんを予防する効果もあり、現在直腸がん患者において確認されている。
3、骨転移がん
放射線療法は骨転移を伴うがんの治療に用いられ、主に痛みを和らげ、合併症を軽減することを目的としている。
すべての癌が放射線治療に適しているわけではなく、骨肉腫、線維肉腫、黒色腫、肉腫など、放射線治療が効きにくい癌もある。放射線治療に直面した場合、患者は理性的であるべきで、放射線治療の副作用を過度に恐れたり、放射線治療の量や回数を安易に増やしたりすべきではなく、標準化された科学的治療が最善の治療方法である。
手術前の放射線治療は、腫瘍部位が深く、腫瘍の大きさが大きく、単純な手術では切除が困難ながんや、大きくはないが周囲組織への浸潤や癒着が明らかながん、あるいは局所リンパ節転移があり、単純な手術では切除が困難ながんに有効である。例えば、頭頸部癌、気管癌、肺癌、直腸癌、巨大腎芽腫、軟部肉腫などである。このような治療法は、放射線治療の前に、患者の腫瘍部位の良好な血液循環を利用して腫瘍に放射線を照射し、外科的根治切除率を向上させ、長期生存率を向上させ、腫瘍の再発を減少させるものである。手術後に腫瘍が残存し、腫瘍が放射線に感受性がある癌患者には、術後放射線治療を行うべきである。肺癌、耳下腺癌(特にIII-IV期)、甲状腺癌、腎臓癌、軟部肉腫などの切除後に腫瘍が残存している癌患者に対しては、手術が不完全な場合に術後放射線治療を実施し、根治手術後に局所再発のリスクが高い乳癌に対しては、術後放射線治療を実施すべきである。
放射線治療は、抗腫瘍療法の柱の一つとして、手術、化学療法、分子標的治療、免疫療法、その他の抗がん剤治療と同様に、腫瘍の治療において重要な役割を担っている。 しかし、放射線治療は局所治療であり、より集中的で、作用の発現がより速い。特に、すでに生命を脅かすがんであり、放射線治療に感受性がある場合には、放射線治療が有効である。
放射線治療は放射線の殺傷効果であり、正確な位置と照射によって腫瘍を急速に縮小させ、「救命」の役割を果たす。
最も典型的なものは、小細胞肺癌による上大静脈症候群である。
小細胞肺癌は悪性度が高く、転移は通常早期から起こり、縦隔リンパ節転移は最も頻度の高い転移部位です。 縦隔リンパ節腫大がある程度まで増大し、上大静脈を圧迫すると、心臓に戻る血流が阻害され、頭部、顔面、上肢の腫脹、激しい喘鳴に悩まされ、速やかに緩和できなければ、すぐに循環不全に陥り、死に至ります。放射線治療は小細胞肺がんに非常に敏感で、精密放射線治療や化学療法の併用は一般的に腫瘍を縮小させ、圧迫を非常に早く緩和するため、病状は非常に早く緩和される。
その他、頭頸部の扁平上皮癌、食道の扁平上皮癌、皮膚の扁平上皮癌、子宮頸部の扁平上皮癌なども放射線治療に感受性が高く、効果も高い。
放射線治療が命を救う鍵となるがんは?
実際、患者の状態はそれぞれ異なり、必要な治療法も異なる。悪性腫瘍の放射線治療を受ける患者を例にとると、推奨されるエネルギー目標量は25~30kcal/(kg・d)である。放射線治療中、患者のエネルギー必要量は腫瘍の負荷、ストレス、急性放射線障害によって変化するため、個別に投与し、より良くなるように動的に調整する必要がある。
放射線療法(radiotherapy)は、悪性腫瘍の包括的治療における最も重要な手段の1つであり、患者の70%が治療の一環として放射線療法を必要としている。栄養不良は、悪性腫瘍の放射線療法を受ける患者に最もよくみられる合併症の1つである。

栄養療法は「5段階モデル」に従うべきである。 非経口栄養はルーチンで推奨されるものではなく、患者が経腸栄養によって必要な栄養を十分に得られない場合、または重度の放射線粘膜炎、放射線腸炎、腸不全の場合は、非経口栄養の併用が適時に推奨される。非経口栄養から経腸栄養への移行は、再栄養症候群を予防するために徐々に行う必要がある。
グルタミンは、悪性腫瘍の放射線療法を受けている患者における放射線皮膚病変、放射線口腔粘膜炎、放射線食道炎の発生率および重症度の軽減に有益であるが、放射線腸炎の予防および治療的役割については十分な臨床的根拠が不足している。悪性腫瘍の放射線治療を受けている患者にオメガ-3 PUFA製剤を補給することは、炎症反応の軽減と患者の体重維持に有益であろう。
放射線治療に加えて、化学療法についても知っておく必要があります。化学療法とは、その名の通り化学薬品による治療です。一般的には、併用化学療法が行われます。つまり、抗腫瘍治療のために、異なる作用を持つ複数の化学療法薬を1つの化学療法プロセスで同時に、または連続して使用します。一般的には、腫瘍が薬剤に対して感受性であること、さらに選択した薬剤が腫瘍の単剤治療においてより優れた効果を発揮することなど、一定の原則に従う必要がある。
化学療法はがんの最も重要な治療法のひとつであるが、副作用や時間の累積が、患者やその介護者の生活の質の低下につながることがある。
がんの高い罹患率と死亡率は世界的な問題であり、公衆衛生上の大きな課題となっている。がんそのものとその後の治療は、患者と介護者の双方に悪影響を及ぼす。
私は、病気の知識をわかりやすい言葉で広め、健康な中国のために微力ながら貢献することにこだわっている薬剤師の王です。私の回答がお役に立つと思われましたら、「いいね!」をお願いします!また、もしまだ関連する質問があれば、メッセージを残してください!
周知のように、現在、がんの治療法には主に手術、放射線療法、化学療法、生物学的療法、さらにインターベンション療法、温熱療法、アブレーション療法などがある。このうち、手術と放射線療法は局所療法に属し、化学療法、標的薬物療法、免疫療法は全身療法に属する。
多くの治療法がある中で、どれがベストなのか?実は、最高の治療法というものは存在しないのです。これらの治療法の中で、どれがより良いとは言い切れない。それどころか、いわゆる「ベスト」は、特定の条件下では信頼できない。

ベストはない。
癌の状態によっては、最良の方法は手術であり、最良の選択肢は放射線治療であり、最良の選択肢は化学療法や標的薬物療法である。この患者さんにとっては手術が最良の選択肢ですが、別の患者さんにとっては手術が最悪の選択肢かもしれません。しかし、特定の患者さんにとって手術が最良の選択肢であったとしても、1つの治療法しか行わない患者さんはほとんどいないのが実情です。多くの場合、複数の治療を組み合わせて行います。治療法の組み合わせというのは、患者の特定の状況に応じて、あるいは順番に、利用可能なあらゆる手段を組み合わせるという意味である。

質問に戻る:放射線治療が救命の鍵となるがんは?この質問は、放射線治療が最も重要な治療法であることを伝えようとしているのだと思いますが、どのがんに対して放射線治療が主な治療法なのでしょうか?放射線治療が最も重要ですが、もちろん放射線治療単独ということもありますし、放射線治療を主体として化学療法などを併用することもあります。放射線治療とは放射線療法の略で、外部放射線治療(一般に放射線治療と呼ばれているもの)と内部放射線治療(放射性粒子注入)があります。
上咽頭癌は、放射線治療が重要な役割を果たす最も典型的な腫瘍である。
がんというと、初期段階で手術が主に行われるが、上咽頭は非常に特殊な場所にある。手術となれば、顔面に大きなダメージを与えることは間違いなく、外見や機能構造にも大きな悪影響を及ぼし、生活の質にも大きな影響を与えます。他に選択肢がない場合、もちろん命を救うためには手術が必要であり、これは確かに最も重要なことですが、上咽頭癌に対する放射線治療は感受性が高く、根治的な放射線治療は手術と同じかそれ以上の結果を得ることができますが、手術ほど深刻な害をもたらすことはありません。もちろん、放射線治療が主な治療法です。上咽頭癌は放射線治療だけで治療できる場合もあれば、化学療法(放射線治療の前または後)が必要な場合もあります。

実際、上咽頭癌以外の頭頸部癌は、QOLと機能温存を考慮して治療されることがあり、その多くは放射線治療がベースとなっている。もちろん、手術が主要なアプローチとなることもある。しかし、放射線治療が手術の代替となり、臓器や組織の機能を温存できることを考えると、放射線治療は非常に重要です。しかし、すべての腫瘍が手術の代わりに放射線治療で治療できることを当然と考えることはできません。
もう一つの典型的な例は子宮頸がんである。
放射線治療もまた、ステージIIB以上の進行子宮頸がんに対する重要な治療法である。
緩和ケアでは、症状の軽減や腫瘍の進行抑制のために放射線療法が用いられる。例えば、緩和的放射線療法は脳腫瘍、脳転移、骨転移の治療に用いることができる。多くのがんでは、放射線療法を考慮する必要がある段階や状態がある。

もし、私が話したことが役に立つと思ったら、より多くの同胞に転送して、より多くの同胞がその恩恵にあずかれるようにしてほしい。
がんの治療法には、手術、化学療法、放射線治療、そして漢方薬があり、現在ではこれらの手段が用いられている。手術は主に、がん細胞が1つの腫瘍に集中している初期の段階で行われるため、治癒の可能性が非常に高く、がん細胞は広がっているが量はそれほど多くなく、化学療法をパスする可能性が残っている場合は、いくつかの化学物質を使用して全身を除去することができる。化学薬品はすべての細胞を破壊する。

がん細胞は正常細胞より不耐性なので、先に大量に死滅し、正常細胞は数が多いので相対的に淘汰されるというのが治療のセオリーです。 実際には正常細胞も大量に死滅し、がん細胞の増殖は完全には抑えられません。 そのため、化学療法はがん細胞が多すぎない場合にのみ有効で、多すぎても意味がなく、放射線療法は主に皮膚がんなどの固定がんや骨がんなどに用いられます。放射線治療は主に皮膚がんや骨がんなどの固定がんに使われる。

放射線治療とは、固定された患部の細胞を光線で死滅させる治療法である。がん細胞であろうと正常細胞であろうと殺す、理論や正常細胞はある程度耐える、がん細胞はある程度耐える貧弱な、絶望的な治療法なので、放射線治療の被害が大きいかどうかに関係なく、主に期間に依存し、初期の効果は良好ですが、中期と後期の効果はよくないので、放射線治療も、地元の初期にのみ深刻ではないいくつかの効果があるときです。中期と後期は効果がないため、諦めて、何を食べたらいいのか、何を食べたらいいのかで、痛みを止めることができる方法です。

この質問と回答はサイト利用者のものであり、サイトの立場を代表するものではありません、侵害など、削除するには管理者に連絡してください。