肺がんで喉が嗄れるのはどの時点からですか?
肺がんで喉が嗄れるのはどの時点からですか?
多くの場合、嗄声は肺癌を発見するための主要な症状である。関連統計によると、肺がん患者の約20~30%が、早期を含むさまざまな病期で嗄声を発症する可能性があり、中でも中枢性肺がんは40%にも達する。
この質問で思い出したのは、数日前に嗄声で来院した患者のことである。この患者さんは、以前は慢性閉塞性肺疾患(COPD)の患者さんで、咳や喘鳴を長期間繰り返し、断続的に薬物治療を受けていましたが、今回は主に嗄声が1ヶ月以上続いていたため、風邪で声帯が炎症を起こしているのではと思い来院され、治療後も改善が見られませんでした。検査の結果、最終的に転移性肺がんと診断された。

では、なぜ肺がんが嗄声の原因になると言われているのか?
一つは声帯の病変、もう一つは音声を支配する反回喉頭神経の圧迫です。肺がんの組織や転移した組織がこの2つの場所を圧迫する限り、嗄声は発生します。
肺癌が出現した場合、待合部に転移することはめったになく、声帯に転移して声帯病変をもたらすことはほとんどありません。肺がんにリンパ節転移がある場合、頸部に比較的大きなリンパ節転移があれば、原理的には声帯が直接圧迫される可能性もありますが、声帯が直接圧迫されることは非常にまれです。

肺がんによる嗄声の大部分は、反回喉頭神経の圧迫によるものです。。
まず、声帯を支配する反回神経がどのようなものか見てみよう。
反回喉頭神経は声帯を支配する主要な神経で、左右に分かれており、圧迫されているように見えるのは左反回喉頭神経が最も目立つ。
これは、左反回喉頭神経が不思議な存在であり、近道を好まず、蛇行することを好み、迷走神経から発せられると、胸腔内を下って大動脈弓を回り、頸部を上って声帯を支配するためである。

したがって、反回喉頭神経の経過から、腫瘍による反回喉頭神経の直接圧迫や転移リンパ節による反回喉頭神経の圧迫が起こりうる。
1.肺癌病巣が左胸腔上部にある場合、左反回喉頭神経を直接圧迫し、左声帯麻痺を引き起こします。
2、肺がんに転移があり、リンパ節が肥大している場合、反回喉頭神経も圧迫される。

したがって、どのような状況であっても、肺がんや転移リンパ節などが反回喉頭神経を圧迫するようであれば、嗄声が生じます。このような嗄声は突然起こり、急速に進行することが多く、従来の消炎鎮痛剤などの治療では効果がありません。
肺がんが反回喉頭神経を圧迫すると、嗄声以外にどのような症状が出ますか?
1、両側性の圧迫で声の喪失が起こる。
また例外的に、反回喉頭神経の両方が圧迫されている場合は、声が出なくなることもある。
2、痰が出にくい。

反回神経が圧迫されると、咳をしても痰が出にくくなる。肺がんで痰が出ることはまれですが、感染症を合併すると痰が出ることがあります。
3、飲料水で窒息する。
声を支配する神経である反回喉頭神経は、声帯の閉鎖を指示しており、声がうまく閉鎖されないと、水を飲んだときに気管に液体が刺激されて窒息することがある。
4.肺がん患者の呼吸困難の症状を悪化させる。
反回喉頭神経が圧迫されると、声帯の閉鎖障害が起こり、肺がんの呼吸困難の症状を悪化させることがある。

したがって、肺がん患者の喉頭反回神経が腫瘍や転移リンパ節によって圧迫されると、嗄声だけでなく、他の症状も引き起こされる。
肺癌が反回喉頭神経を圧迫することによって起こる症状については、私たちはしばしば軽視し、肺癌を病気の原因とは考えにくい。したがって、上記のような症状が現れた場合、特にそれが長期間続き、他に明らかな誘因が見つからない場合は、肺がんの可能性を考え、積極的に診察を受ける必要がある。
嗄声が起こる場合、特に以下の症状と併発する場合は、肺癌の発生を考慮すべきである。

実際、肺がんの初期には明らかな症状はありませんが、肺がんが中期または後期にある場合、特に肺がんに転移がある場合は、明らかな不快感を示すことがあります。したがって、嗄声が肺の他の病気と合併している場合は、肺がんがすでに中期または後期に進行している可能性が非常に高い。したがって、早めに医師に相談する必要があります。
まず、複合的な刺激性の乾性咳嗽。
肺癌がもたらす空咳は最も一般的な症状の一つであり、特に抗炎症治療や咳止め治療を行っても効果が乏しい場合は、肺癌の発生を考慮する必要がある。
第二に、複合喀血である。
嗄声に喀血が伴う場合、特に長期間にわたって喀血を繰り返す場合は、肺がんの可能性も考慮し、速やかに医師に相談する必要がある。

3つ目は、胸痛の複合だ。
胸痛も肺がんの一般的な症状で、多くの場合、咳によって悪化します。 このような場合、肺がんは中期または末期に達することが多く、特に嗄声と胸痛が合併している場合は、肺がんの可能性も考慮する必要があります。
第四に、喘鳴、呼吸困難、疲労感、脱力感、食事がとれないなどの症状がある場合は、肺がんの可能性も考慮しなければならない。
したがって、嗄声が起こり、肺がんの他の症状が重なっている場合は、肺がんを除外するために積極的な検査がさらに必要である。

結論として、肺癌の場合、反回喉頭神経が圧迫されれば、明らかな嗄声が生じ、同時に他の症状も生じる。もし肺癌が乾性咳嗽、喀血などを伴うなら、肺癌が強く疑われるので、早めに医師に相談すべきである。
GeneralPracticeMedChatです。ご興味とご支援をありがとうございます。
声のかすれを伴う肺がんは、肺の悪性腫瘍が反回喉頭神経に浸潤し、影響を及ぼしている可能性を示唆している。
肺癌は気管支上皮、腺上皮、肺胞上皮から発生する悪性腫瘍であり、肺で最もよくみられる悪性腫瘍でもある。初期の肺癌はほとんど無症状であるが、肺癌がある段階まで進行すると、それに対応する臨床症状(主に喀血、刺激性咳嗽、胸痛、嗄声など)が出現する。
声がかすれるというのは、臨床的に非常によく見られる症状ですが、肺がんが原因の場合はどう違うのですか?
一般的な風邪、喉頭炎、急性気管支炎などが原因で声がかすれることがあるが、この種の嗄声は一定期間内、あるいは一定期間の治療で治る。
一方、肺癌による嗄声は異なり、嗄声に至る病態は、癌の拡大・転移により声帯を支配する神経、すなわち反回喉頭神経が浸潤・圧迫されることである。
反回喉頭神経は喉頭筋の主要な運動神経で、左右の反回喉頭神経に分かれています。 片側が圧迫されると嗄声がみられることが多く、両側が圧迫されると声が出なくなり、呼吸困難や窒息に至ることさえあります。このタイプの嗄声は突然起こり、声が出なくなるまで急速に進行します。
肺がん患者の嗄声が風邪や炎症などが原因であれば、あまり心配する必要はない。
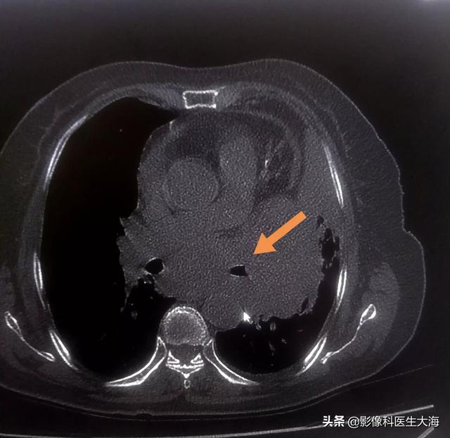
通常、嗄声は一定期間内あるいは一定期間の治療で自然に治ります。嗄声が出たり出なかったりを繰り返し、抗炎症治療を行っても治りにくい場合は、進行した肺癌が反回喉頭神経に腫瘍抑制作用を及ぼしていると考えられ、腫瘍の大きさや浸潤の深さ、増殖や転移の有無を明らかにするために、CTなどのX線検査などを受けることが勧められます。
喉のかすれは声のかすれ。
また、肺がんが嗄声を引き起こすのはどの時点なのでしょうか?
肺がんの腫瘤が反回喉頭神経を直接圧迫したり、肺がんが縦隔リンパ節に転移して反回喉頭神経を圧迫したりすることで、声帯の麻痺が起こり、嗄声が起こる。

進行した肺がんが近隣の臓器や組織を圧迫・浸潤したり、遠隔転移を起こしたりした場合に現れる特殊な症状です。 嗄声のほかにも、以下のような特殊な症状が現れます。
横隔膜の麻痺を引き起こす;
胸膜への浸潤:血性の胸水が貯留し、息切れや時に持続する激しい胸痛を引き起こす;

肺がんの腫瘤は縦隔に浸潤して食道を圧迫し、嚥下障害を引き起こし、さらに縦隔に浸潤して第一肋骨、腕神経叢神経、上胸郭開口部に位置する頸部の交感神経を圧迫して激しい胸痛を生じ、上肢の浮腫、上肢の運動障害、上肢静脈瘤を引き起こし、その結果、眼瞼下垂、瞳孔縮小、同側の眼球の内方陥凹が現れ、顔面には発汗しない。
上大静脈の圧迫:顔面、頸部、上胸壁の皮下組織の浮腫を引き起こし、上胸部静脈および上肢静脈瘤の明らかな露出を引き起こす。

(ネットワークからの写真は、商業目的ではなく、侵害がある場合は、削除するために連絡してください、このコンテンツは、診断や投薬の基礎としてではなく、参考のためであり、身体は、あなたが体調不良を感じた場合は、タイムリーに医師に相談してください)。
肺がんは、肺、すなわち気管支または肺胞に発生する悪性腫瘍であり、原発性気管支肺胞がんとしても知られている。

1つは肺の良性腫瘍で、予後が良く、手術や保存的治療で治すことができ、肺がんと呼ぶことはできない。一つは肺の悪性腫瘍で、このタイプの腫瘍はリンパ腫などの肺に発生する他の悪性腫瘍や、乳がん、胃がん、肝臓がんなどの肺に発生する転移性腫瘍の可能性があり、上記の条件を除けば肺がんと呼ぶことができます。
肺がんの一般的な症状について、多くの人は、体が咳、特に乾いた咳をするようになり、痰がほとんど出ない、あるいは出ないことに気づくとき、主に労作後に起こることを予備的に理解している。また、喀血、血痰、胸痛、発熱、関節痛、皮膚の変化、内分泌障害などがあれば、肺がんを疑う。

これらの症状は初期の肺がんの症状なのでしょうか、それとも進行した肺がんのように見えるのでしょうか?肺がんの場合、喉が無言になるのはどのような時期ですか?
実際、肺癌が進行すると、腫瘍が縦隔の左側に浸潤するため、喉頭リエントラント神経が圧迫され、喉頭リエントラント神経が声帯を支配するため、嗄声が生じる。したがって、嗄声は進行肺癌患者に最もよくみられる症状である。進行肺癌の嗄声は、咽頭痛や上気道感染などの他の症状を伴わないので、他の疾患と区別する必要がある。
胸痛は肺がんの中期から末期にかけて現れることが多いが、胸膜の近くにがん腫瘍がある場合は、それ以前に胸痛が現れることがあり、不規則な隠れた痛みや鈍い痛みとして現れる。がん腫瘍が胸膜に直接浸潤している場合は、鋭い胸痛があり、咳や呼吸時に増悪します。

さらに、肺がんの局所転移は進行期に起こり、患者はさまざまな程度の息切れを経験する。肺がんがリンパ節を塞ぐと、組織液が心膜にたまって心嚢液貯留となり、胸腔にたまって胸水貯留となります。そして、心嚢液貯留も胸水貯留も息切れの原因となります。
注意:進行肺がんの症状はもっとあり、必ずしもすべての進行肺がん患者がこれらの症状を持つとは限らず、これらの症状のいくつかがあることを強調するだけかもしれない。患者は自分で肺がんを特定することはできませんが、これらの症状のいくつかを見つけたら、警戒し、時間内に病院で検査を受けるべきです!
咽喉が無言になるのは、肺癌の末期であることを示している、状況は非常に不明確である、十分な注意を引き起こすべきである、そうでなければ、フォローアップは非常に人生のテールエンドを入力するのは簡単です。。

第一:一般の人の喉が嗄れる原因は?
一般的に、喉は呼吸器系とつながっている人体の重要な部分である。 一般的に、正常な人は声がかすれるが、それは上気道の感染(発熱、発赤、腫脹、咳など)により、声帯の粘膜に急性のうっ血と水腫が生じ、その結果声がかすれるからに他ならない。
また、プロの歌手、ナイトクラブ、KTVなどの職業的な理由のためにいくつかあり、そして、多くの場合、慢性肥大性喉頭を引き起こした肥大の粘膜過形成の声帯によって引き起こされる声帯の過剰な力を、その結果、悪習慣の長い時間のために、大声で話すために群衆の声を使用しています。
臨床経験から要約し、分析するために、一般的に言えば、インフルエンザ、またはウイルス性の風邪の中間および後期には、人間の粘液の数が多いため、そのような人間の体の鼻腔から喉に、気道や喉にため込む、また、人間の体の声のかすれ、深刻な状況が発生します。非常にかすれ、厚い、これはしばしば声の変化と呼ばれています。

もうひとつは腫瘍で、甲状腺がん、喉頭がん、乳頭腫、声帯白板症など、腫瘍そのものが喉頭に発生するもので、これが直接、体内の声帯門の閉鎖を引き起こし、声の嗄れという現在の状態を引き起こす。この種の腫瘍は基本的に、最終的には患者の声を失わせます。
もうひとつは、肺がんのように、体の他の部位にできた腫瘍が後期になって転移することによるもので、肺は体の呼吸器系と相互につながっているはずだからである。
そのため、腫瘍が肺から喉頭に転移すると、昼には喉頭周辺の組織や臓器が圧迫され、やがて喉頭反回神経の衰弱に影響し、声帯が悪化して声帯が固定化され、やがて声が嗄れるようになる。
第2回:肺がんが後期に咽頭嗄声を引き起こすのはなぜですか?
肺がんと診断され、声がかすれるようになったら、肺がんは進行していると考えて間違いありません。 基本的には、腫瘍が患者の全身に完全に広がっていると言えます。
肺がんで声がかすれるのは、腫瘍や縦隔リンパ節転移が喉の臓器組織を直接侵し、声帯の麻痺を引き起こすからである。この時、患者が正常であれば、なぜ声がかすれるのかを知りたければ、病院の耳鼻咽喉科に行けばよい。

喉頭内視鏡検査を受けに行きましょう。咽頭炎が原因なのか、うっ血の一部だけなのか、水腫が原因なのか、声帯が良いのか、声帯閉鎖が原因なのか、腫瘍が原因なら、患者の声帯は両側にあり、声帯の機能不全を起こしていると考えて間違いないでしょう。
肺がん患者の場合、一方では、腫瘍が喉頭の周囲の神経組織を破壊し、それが生理に現れて、人体の水分が非常に少なくなり、肺がんが中期または末期になると、声の嗄れが起こり、呼吸器の喘鳴、息切れ、喘鳴を伴い、胸や背中の漠然とした痛みが起こり始めると言える。
あなたの咳で同時に、また表示されます、血を吐く現象、血痰、人体は非常に薄くなっている、胸腔も大量の液体をため込む、深刻な患者が、表示されます、人体の手足が腫れ、尿小さな罰金、尿がないなどの生物学的症状、これは非常に深刻な現象です。
次に、肺がんは一般に肺の原発性悪性腫瘍であるため、そのほとんどが気管支粘膜の上皮組織に発生し、気管支肺がんとも呼ばれるように、進行期に至ると完治や改善は非常に難しいのが普通です。
そして体の臓器や病理が直接声帯を壊す原因になる。だからとても難しいのです。さらに、化学療法後や手術後は、人体の腫瘍が完全に破壊され、抵抗力や免疫力が完全に失われるため、肺がん患者の声はさらにかすれやすくなります。

第3回:肺がんの進行期で声がかすれる場合、何を食べればいいのでしょうか?
一般的に言って、肺がんの進行期に達した場合は、食事療法と安静に加えて、しっかりと対処しなければなりません。一般的に言って、保存的治療は主に患者の痛みを軽減し、主に患者の生存の質を向上させるために行われます。
例えば、トマト、希釈米、ルツェルン、柑橘類、壊れたイチゴのセットや他のビタミン豊富な、微量元素が豊富な食品をもっと食べることができ、体のバランスを維持し、多かれ少なかれ、体の免疫システムを強化することができます。
さらに、患者はまた、いくつかの、赤い日付、ガムや他の血液強壮食品を食べることができます、あなたはまた、ビタミンCとビタミンAを含むいくつかの野菜を食べることができ、パイナップルをもっと食べる、パイナップルはプロテアーゼが含まれているため、化学療法薬の副作用を改善することができます。
加えて、患者は冷たいもの、魚介類、揚げ物、漬物などを食べるのを避けなければならない。

肺癌による咽頭嗄声の場合。治療に関しては、的を絞った薬物治療を行う必要があり、また、患者の人体を快適に保ち、患者の苦痛を軽減するために、いくつかの漢方治療を組み合わせることもできる。漢方薬は薬物を通して人体の免疫機能をよく調整し、腫瘍の浸潤と転移を抑制し、癌細胞のアポトーシスを誘導し、腫瘍の新生血管の形成を妨げることができるからである。
さらに、腫瘍細胞の分化を逆転させ、がん細胞の増殖を阻止することで、患者の免疫系を効果的に高め、がんの後期段階における不適応を改善することができる。

結論として、肺がん患者が末期に達し、すべての臓器が腫瘍に侵害され始めると、さまざまな要因によってさまざまな合併症、集中的な大発生を引き起こしやすくなり、体の免疫システムのバランスが崩れ、最終的には体が死に絶える過程を引き起こし、声帯の嗄声はその反応の最も一般的な臨床症状の一つに過ぎない。
私は医学の医師であり、医療知識を広め、病院の物語を伝え、注目をクリックすることを歓迎し、好きで、転送します。

肺癌患者の中には、突然嗄声や発音困難になる人がいます。多くの人は、嗄声は喉の冷えや無言が原因だと考えたり、声帯に問題があると考えたりして、耳鼻咽喉科に駆け込んで喉頭鏡検査を受けますが、喉頭鏡検査の結果、声帯が麻痺していることが示唆されます。実際、肺癌患者の嗄声は、腫瘍が反回喉頭神経を圧迫しているためである。

中枢性肺癌では、嗄声の発生率が40%以上と高く、肺腫瘍が反回喉頭神経に直接浸潤する場合と、転移性縦隔リンパ節腫大により反回喉頭神経が圧迫される場合があります。なぜ喉頭神経の圧迫が嗄声の原因になるのでしょうか?
反回喉頭神経は人体の左右で前枝と後枝に分かれ、前枝は声帯内筋を、後枝は声帯内転筋を支配している。反回喉頭神経は迷走神経から分かれて左右の気管食道溝を走っており、少し引っ張ったり直接接触したりすることで麻痺させることができる。 左反回喉頭神経は右反回喉頭神経より長く深いため、より障害されやすい。 反回喉頭神経の全枝または前枝の片側損傷は嗄声(させい)を引き起こし、患者の仕事や生活に深刻な影響を及ぼしますが、呼吸や嚥下には影響しません。反回喉頭神経の両側の損傷は、声がれ、呼吸困難、重症の場合は窒息として現れます。

肺がん患者が喉のかすれを起こすとどうなるのか?
肺癌患者の嗄声が改善の兆しがなく徐々に悪化する場合は、基本的に腫瘍が反回喉頭神経を圧迫または侵害することが原因であることが確実であり、胸部強調CTと喉頭鏡検査を行って状態を明らかにすることができる。喉頭鏡検査で声帯の麻痺が認められれば、反回喉頭神経が障害されていることは確実です。反回喉頭神経が圧迫されているだけであれば、手術で切り離すことができますが、悪性腫瘍による反回喉頭神経浸潤では手術の可能性はほとんどありません。中心性肺がんによる反回喉頭神経の浸潤や縦隔リンパ節による反回喉頭神経の圧迫は、腫瘍が進行していることを意味します。

嗄声のある小細胞肺癌患者は、広範な病期の小細胞肺癌の治療の原則に従って、化学療法に基づく包括的治療を行う必要があり、縦隔リンパ節と原発巣の局所放射線療法、化学療法薬としてエトポシドまたはイリノテカンとプラチナ製剤の併用が望ましい。経済的に余裕のある患者には免疫療法を併用することができる。また、アンロチニブとアパチニブは小細胞肺癌の第3選択薬として治療ガイドラインに記載されている。
肺腺癌患者に対しては、まず感受性遺伝子検査を行い、感受性遺伝子変異があれば、標的薬物治療を優先するが、同時に縦隔局所放射線治療を行い、腫瘍による喉頭神経圧迫症状をできるだけ軽減することが望ましい。感受性遺伝子変異のない肺腺がん患者は放射線治療を行うべきである。化学療法薬としてペメトレキセドまたはパクリタキセルとプラチナ製剤の併用が選択できる。

扁平上皮癌の場合、局所放射線療法と全身化学療法の併用が一般的であるが、現在、肺癌の治療ガイドラインに免疫療法が盛り込まれ、遺伝子変異が極めて少ないことから、進行扁平上皮癌では放射線療法と免疫療法を併用した化学療法の同時併用が行われている。化学療法はゲムシタビン、パクリタキセル、ドセタキセルとプラチナ製剤の併用療法が選択される。
治療が効果的であれば、声のかすれはやや軽減しますが、完全な回復は一般的に期待できません。治療効果の乏しい患者では、嗄声が徐々に悪化し、声が弱くなったり、あるいは完全に出なくなり、水を飲むときに喉が詰まる、咳き込むなどの症状を伴うようになる。
胸部外科医として、この質問は私にも経験があります。
かつては、肺がんや食道がんで嗄声が出たら、末期がんで手術はできないと師匠に言われ、計画的な治療をしなくても数カ月で治るだろうと家族に言う医師さえいた。

他の先生方が紹介されているように、肺がんで嗄声があるということは、腫瘍細胞が左反回喉頭神経に浸潤し、その結果、左声帯が麻痺し、嗄声を引き起こす。
そして、かすれた声は本当は何を意味するのか?
腫瘍が進行期であることは事実ですが、現在の腫瘍治療手段では、進行期だからといって短命というわけではありません。 放射線治療技術の発展、分子標的薬の応用、ネオアジュバント放射線治療と化学療法後の外科治療により、進行肺がんの生存期間は大幅に延長され、5年以上生存する進行肺がん患者も珍しくありません。
肺がんの病期は生存期間に大きな影響を与えるが、この要素にあまり注意を払うべきではない。発症年齢も腫瘍の生存期間に大きな影響を与え、発症年齢が若いほど悪性度が高く、生存期間が短く、逆に発症年齢が高いほど腫瘍の進行が遅くなり、生存期間が長くなる。腫瘍の種類も非常に重要で、悪性度が高いほど生存期間が短く、悪性度が低いほど生存期間が長くなる。腫瘍の種類も非常に重要で、悪性度が高いほど生存期間が短く、悪性度が低いほど生存期間が長い。遺伝子検査で変異があれば、標的薬を経口投与できる患者は治療効果が高く、生存期間が長くなる。

さらに、声帯自体の病気や甲状腺の病気、首の手術の後遺症など、他の理由でも声がかすれることがあるので、声がかすれるのは必ずしも肺がんのせいだとは断定できません。
耳鼻咽喉科を受診すれば、基本的に声がかすれる原因はわかる。
肺がん患者が嗄声、すなわち喉がかすれる嗄声に悩まされるのはどのような場合ですか?この病気は深刻なのでしょうか?この問題を説明するには、喉頭筋の動きを制御する神経、すなわち反回神経について話さなければならない。

反回喉頭神経は迷走神経幹の胸部セグメントから発生する左右2本の神経に分かれているが、すぐに頸部に戻る。 特に、左の反回喉頭神経は右の反回喉頭神経よりも長い大動脈弓の周囲に戻るため、嗄声の原因となる損傷を受けやすい。

では、肺がん患者がどのような状況で嗄声を発症するのかという疑問に戻ろう。
- 肺癌患者が大動脈弓と肺門の近くにリンパ節転移を起こすと、肥大したリンパ節が左反回喉頭神経を圧迫して嗄声を引き起こす。
- 肺門に隣接した中心性肺癌が発生し、病変が拡大して縦隔を圧迫すると、反回喉頭神経が圧迫されて嗄声が生じる可能性がある。
- 肺がん患者の状態が悪化すると、体の抵抗力が低下し、あらゆる種類の細菌やウイルスが体内に侵入しやすくなり、嗄声を伴う喉頭炎を引き起こす可能性がある。

肺癌患者の嗄声は、その病態に関係なく、その病態のほとんどが深刻であることを示唆している。
私は海をイメージする医師で、定期的に健康の知識を共有し、サポートに加えて、ああ注目のようなものです!
肺癌患者の声が以前は正常で明瞭で、病気の進行に伴って声がかすれるようになった場合、この時点では少なくともIII期、つまり末期である。嗄声が病的なものであれば、通常は縦隔リンパ節の転移によるもので、リンパ節が成長すると隣接する反回喉頭神経に浸潤し、この反回喉頭神経の浸潤によって同側の声帯が麻痺し、声帯の麻痺によって嗄声が生じます。肺がんの病期分類では、これは少なくともN2、通常は少なくともIIIBかIIICで、比較的晩期です。また、一部の肺癌患者が標的治療薬を使用した場合、嗄声の副作用が出ることがありますが、この副作用の割合は非常に低くなっています。
肺がんといえば、肺がんで亡くなった祖父のことを思い出す。 もうちょうど12年になるが、当時は仕事が忙しく、昇進も必要だったため、生前の祖父に会うことができず、心の中でとても申し訳なく思っていたことを思い出す。

私の祖父は正直な農民であり、正直なところ、苦しみの生涯は、幸せの一日を楽しんでいない、一日中生活に直面して、おじいちゃんの唯一の趣味は、退屈を解消するために、ワインのビットを飲むために何も、喫煙を愛することです、実際には、おじいちゃんも彼の肺が良くないことを知っていたが、おじいちゃんので、喫煙と飲酒の趣味は、あきらめるには十分ではありません。
父は祖父に病院で検査を受けるよう勧めたが、祖父はいつも軽く考えていた。 田舎で貧しく、お金もかけられないし、もう年だから検査を受けてもどうしようもないと言っていた。ある日、祖父が突然吐血し、声がかすれてしゃべれなくなったので、父が慌ててタクシーで祖父を病院に連れて行き、医師が総合検査をしたところ、肺がんはすでに転移していると言われ、祖父は1カ月ほどで息を引き取った。

早期の肺がんでは症状がないこともあるが、嗄声が出る場合はすでに肺がんが進行しており、がん細胞が喉頭神経を圧迫して嗄声が出る。
では、肺がんの症状は?どのように予防すべきなのでしょうか?今から、外来診療記録と合わせてご紹介しよう:

痰を伴う咳
肺がんの初期には咳や痰が出ることがあり、咳や痰が出たり出なかったりするため、慢性咽頭炎によるものだと気にも留めず、次第に咳や痰が悪化して長期化し、ついには大量の痰が出続けるようになり、消炎鎮咳薬もあまり効かなくなります。
咳による出血
肺がんが中期や末期まで進行すると、がん細胞による血管の浸潤によって吐血が起こりますが、最初のうちは吐血の量も比較的少ないのですが、がん細胞が増殖を続けて大きくなると、腫瘍細胞が太い血管に浸潤して大量の吐血や喀血が起こることがあり、残念ながら国道でも窒息を起こして命に関わることがあります。

篦太い
病状が進行すると、腫瘍が喉頭神経を圧迫して声帯がかすれ、次第に声が出なくなり、発語もできなくなる。 この頃にはすでにがん細胞は転移しており、あらゆる化学療法や放射線治療もあまり効果がないため、患者はこの頃には治療をあきらめて現実を受け入れる傾向にある。

胸痛
肺がんがある程度進行して胸膜や胸壁の神経を圧迫すると、激しい胸痛が起こることが多く、肋間神経が圧迫されると激しい胸痛や季肋部痛が起こり、呼吸によって痛みが悪化するため、患者は痛みを恐れてあえて息を吸わないことが多く、脳低酸素症を引き起こし、長期に病状がさらに悪化することがある。
肺がんは私たちの健康に深刻な危険をもたらす。それは次のような点に分けられる。

禁煙または低喫煙
わが国では、平均して男性の2~3人に1人が喫煙している。 タバコに含まれるニコチンやニコチンは呼吸器系に強い刺激を与え、長期の大量喫煙は肺気管支に慢性炎症を引き起こし、長期の慢性炎症刺激は前がん病変を誘発し、肺がんの誘発に好都合な条件を作り出すことになる。したがって、禁煙に喫煙は禁物であり、喫煙時間が長すぎて止められない場合は、肺の慢性刺激とがんの誘発を避けるために、できるだけ喫煙を控えるべきである。慢性的な刺激はがんを誘発する。

大気汚染に近づかない
私たちの身の回りには、多かれ少なかれ大気汚染、例えば都市部の車の排気ガス汚染、調理の煙の汚染、受動喫煙などがあるでしょうが、そのような環境に長い間いると、肺の慢性的な炎症を引き起こし、肺がんの可能性を高めることになります!受動喫煙は、能動喫煙に比べ、体への害は全くない!副流煙は、長期間吸い込むとさらに有害である。

職業病にかからない
ペンキ屋、ガソリンスタンド、アスベスト作業員など、私たちが必然的にいくつかの有害なガスに接触するいくつかの職業があり、これらの職業に従事する人々は、保護が配置されていない場合、多くの場合、職業性疾患を引き起こし、これらの有害なガスの長期的な受け入れは、肺がんの原因を加速するので、これらの職業に従事する人々は、一定期間の後、我々は体の健康に影響を与えないように、他の職業に変更する必要があります。
さて、肺がんで喉が嗄れるというのは、この時、がん細胞が転移していることが多く、この時、がん細胞はすでに喉頭の声帯神経を圧迫しているため、嗄声があり、さらに適応して声が出なくなることもある。
この質問と回答はサイト利用者のものであり、サイトの立場を代表するものではありません、侵害など、削除するには管理者に連絡してください。