肺気腫の症状は?
肺気腫の症状は?
肺気腫は、末端の細気管支遠位端の気道の弾力性が低下し、過伸展、膨張、肺活量の増加、あるいはそれに伴う気道壁の破壊が起こる病態である。つまり、肺胞につながっている気管支が狭くなったり、詰まったり、けいれんを起こしたりして、ガスが入るだけで出なくなったり、入る量が多くても出る量が減ったりして、時間の経過とともに肺胞がどんどんガスで満たされ、膨張したり、破裂したりするのです。まだよくわからないという人もいるだろう。風船をチューブにくくりつけ、風船が大きくならないように息を吹き続け、ついには破裂させてしまう!風船は肺胞で、チューブは気管支である。
この病気の原因はよくわかっていないが、喫煙、感染症、大気汚染は細気管支の炎症、気管支内腔の狭窄や閉塞、肺気腫の発症と関連している。
肺気腫の臨床症状:最も典型的な症状は進行性の呼吸困難で、多くは慢性の咳嗽と喀痰の既往がある。初期症状は明らかでないか、労作時に呼吸困難を感じる程度で、発病とともに呼吸困難は徐々に悪化する。二次感染を起こすと、胸苦しさ、息切れ、チアノーゼ、頭痛、眠気、恍惚感などの呼吸不全症状が現れます。肺気腫が長引くと樽胸になり、呼吸運動が弱くなり、呼気が長くなる。一部の患者では合併症が起こることがある:自然気胸;肺の急性感染症;慢性肺性心疾患。
一般的にはどのようなことに気をつければいいのでしょうか?まず、油煙、ほこり、刺激性ガスなどのガスにさらされないようにすることです。保温に注意し、寒さを避け、風邪を予防すること。環境衛生の向上と個人的な保護。以上のことに加え、医師の指示に従い、気管支拡張薬や抗生物質など、症状を抑え、コントロールするための適切な薬を選択する必要があります。また、呼吸法も学ぶ必要があります。腹式呼吸や、唇を収縮させて深くゆっくりと息を吐くことで、呼吸筋を強化し、横隔膜の可動性を高めることができます。在宅酸素療法や適切な有酸素運動などもあります。とはいえ、生活の質を向上させ、病気を克服する自信を高める一助になれば幸いです!
薬事ウェブサイトの権威ある解釈を無断で複製することは禁じられており、盗用は告訴される。
肺気腫は呼吸器系の病気で、通常喫煙者や深刻な環境汚染にさらされている人に起こり、慢性気管支炎や肺線維症に続発することもあります。肺気腫の症状はどのようなもので、肺気腫は治るのでしょうか?
肺気腫の初期症状としては、活動後や早足で歩いた後の息切れ(息切れ)があり、その後、前かがみになったときや安静にしているときにも息切れが起こり、気管支炎に罹患している場合は咳や痰が出るケースもある。感染と相まって、発熱、頭痛、錯乱、尿量減少、眠気などが起こることもあります。
肺気腫は慢性閉塞性肺疾患の段階であり、進行性の発達性肺疾患である。一般に、肺気腫の治療過程は非常に長く、漢方薬にも西洋医学にも長所と短所がある。 例えば、西洋医学は有効だが、抗生物質は長期服用すると耐性や依存性が生じやすく、いったん服用を中止すると再発や病状の悪化が起こりやすい。漢方薬は副作用が少ないが、効き目が遅く、病気が進行している場合、最適な治療期間が遅れやすい。
結局のところ、どのような状態であっても、まず患者は平常心を持ち、軽い食事をとり、喫煙と飲酒をやめ、休養に気を配るべきである。また、肺気腫の進行をよりよくコントロールするためには、やはり標準的な治療と患者さんの日々のケアに頼ることが重要です。
胸部外科についてもっと知りたい方は、私のヘッドライン番号【省医胸部外科 喬貴賓医師】をフォローしてください。

肺気腫は一般的な呼吸器疾患であり、身体に有害であるばかりでなく、患者の通常の生活にも影響を及ぼし、患者の肉体的・精神的健康にとって極めて好ましくない。コントロールできなければ、悪化の一途をたどり、他の悪性病変を誘発することさえある。肺気腫は、末端の細気管支遠位端の気道の弾力性が低下し、過膨張、膨張、肺活量が増加するか、同時に気道壁の破壊を伴う病態である。
肺気腫にはもっと多くの症状がありますが、最も典型的なのは呼吸困難です。呼吸困難が起こったら、まず肺気腫かどうかを除外する必要がありますが、呼吸困難だけでは診断を確定することはできません:
まず、慢性的な咳があり、最初は断続的で、朝は重く、その後、朝晩または一日中咳が出るが、夜間は咳はあまり出ない。
第二に、息切れや呼吸困難が特徴的な症状で、初期には労作時のみに起こり、その後徐々に悪化して通常の生活に影響を及ぼすようになり、安静時にも息切れが起こるようになる。
第三に、通常咳の後に少量の粘液痰が咳き込み、感染すると痰の量が増え、しばしば膿性化する。粘液痰を伴う咳は、風邪の一因とは考えず、注意してください。
第四に、何人かの患者、特に重症の患者は喘鳴があり、胸が締め付けられるような感じがあり、このような状況は通常陣痛に見られ、少し疲れると悪化しやすく、これは呼気努力、肋間筋などの立派な収縮に関連している。
しかし、肺気腫が完治するかどうかは、多くの肺気腫患者さんの心配事でもあります。残念ながら、肺気腫は進行性疾患である慢性閉塞性肺疾患(COPD)のステージに属し、完治することは今のところありませんが、だからといって落胆することはありません。治療せず、コントロールせずに放置すれば、悪化の一途をたどり、やがて肺性心疾患につながる。
要するに、この病気は主に前治療であり、肺気腫を患っている人は、通常、禁煙と禁酒をし、暖かさに注意し、寒さを避け、風邪を予防することが最善である。さらに、環境衛生を改善し、個人的な労働保護をしっかり行い、煙、ほこり、呼吸器への刺激性ガスを排除し、避けることが必要である。
ファミリードクターオンライン "ヘッドライン番号に従ってください、より多くの健康Q&Aを簡単に見ることができます~~~~~~~~~~~~~~~~~~~~~~~~~~~~~。
肺気腫は主に中高年に多く、特に喫煙歴の長い患者に多い。
まず、肺気腫とは何を意味するのかを理解する必要がある。肺を2つの風船に例えるなら、肺気腫は大きくなった風船ということになる。 風船はある程度まで膨らませるのが一番見栄えがよく、限界まで膨らませて「パンパン」と破裂しやすいのはNG!吹き上げないと、しぼんだような風貌もよくないので、風船はちょうどいい程度に吹き上げるのが最も適切である。肺も同じで、空気を吸い込むと肺はある程度膨らみますが、これくらいがちょうどいいのです。"胸郭 "という限界があるので、肺が際限なく膨らむことはありません。しかし、タバコを吸ったり、汚染された空気を吸い込んだり、何らかの先天的な要因が肺に影響したりすると、肺胞(肺の最小単位で、無数の肺胞が肺を構成している)が膨張し、まるで贅肉がついたように弾力性を失い、肺気腫と呼ばれる状態になる。
肺気腫があると、肺胞に多くのガスがたまる。 肺胞構造の異常により、肺胞は最適な弾力性を失い、肺胞が十分かつ効率的に引っ込むことができなくなり、余分なガスを体外に排出できなくなる(呼気)。
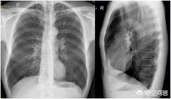
多くの高齢の喫煙者は、胸部X線検査で、医師は、これは肺気腫ですああと言うでしょう。胸部フィルムで肺が2つ見えるのは、確かに肺気腫の徴候であり、胸部全体が膨張し、バケツのようになっているので、バケツ胸と呼ばれています。私たち医師は、患者の胸の膨らみと喫煙歴を見れば、すぐにこの人は肺気腫かもしれないとわかる。
では、肺気腫の臨床症状にはどのようなものがあるのだろうか?
最初のうちは、臨床症状は明らかではない。後にそうではなくなります。
肺気腫は単独では存在しないことが多いので、肺気腫は単に肺の病理学的変化であり、平たく言えば肺気腫は肺の形態的、構造的変化である。では、このような形態的、構造的変化がもたらす影響とはどのようなものでしょうか?
まず、慢性気管支炎を併発している可能性がある。肺気腫では、肺胞の弾力性の低下、構造的な異常、それから喫煙によって、気道に慢性的な炎症が起こることは避けられず、それが慢性的な咳、痰のからみ、特に天候の変化が顕著なときに現れます。ですから、慢性気管支炎と肺気腫は常に同時に存在するのです。
純粋に慢性の気管支炎、肺気腫であれば、せいぜい咳、痰が多くなる程度で、去痰剤、咳止めの治療はまだ効果的で、患者のQOLに大きな影響を与えない。
しかし慢性気管支炎と肺気腫の患者の多くは、慢性気管支炎だけでなく肺気腫も併発しており、慢性閉塞性肺疾患(略してCOPD)の段階まで病状が進行している可能性があります。
そう、COPDだ。
慢性閉塞性肺疾患(COPD)は、単なる肺気腫よりもはるかに深刻です。患者さんは、初期の段階では労働呼吸困難があるかもしれませんが、たとえ肉体労働をするときに息苦しさを感じても、禁煙せず、適時に治療を受けず、病気を進行させれば、肺気腫はますます深刻になり、気道閉塞はますます深刻になり、慢性閉塞性肺疾患は深刻になり、少し活動すると息苦しくなり、服を着たり、皿を洗ったり、床をモップがけしたりすることができなくなり、一日の終わりには、ベッドに横になって、すべて息切れを感じ、肺不全、心不全が起こるかもしれないので、この末期は本当に非常に困難です。最終的には、ベッドに横になっているときでさえ、息切れを感じ、十分な空気を吸えなくなります。肺不全や心不全が起こっている可能性があるからです。
したがって、慢性閉塞性肺疾患の初期段階で治療する必要があり、その第一の鍵は禁煙である。
戒烟!!!!!
それから、風船を膨らませたり、泳いだり、呼吸機能に働きかけるジョギングなどの運動もある。
次に薬物療法だが、必要な薬物療法は非常に重要である。長時間作用型の気管支拡張薬もありますし、グルココルチコイド(吸入薬)も良い結果をもたらします。
最後に、人工呼吸器の長期メンテナンスが必要になることがある。
これは肺気腫、慢性気管支炎、慢性閉塞性肺疾患の過程である。
父はタバコを吸わなかった。あなたのお父さんは?
肺気腫は、初期の段階であれば症状は軽く、通常、患者には明らかな症状はなく、息切れの症状が現れるのは、労働や運動をしたときだけである。症状が悪化すると、次のような症状が現れます。
肺気腫患者の症状
1、咳、痰、白い粘り気のある痰;病気が軽くなると咳の痰が減り、呼吸器感染症と合併すると症状が悪化し、咳の膿の痰が出る。
2.体力低下、食欲不振、体重減少は、一般に高齢の肺気腫患者に多くみられる。
3.発熱が起こるが、多くは感染症との合併である。
4.眠気は、いらいら、錯乱、頭痛、発汗過多、手の震えなどの形で現れる。
5、尿、下肢の浮腫、唇や指のチアノーゼ、心臓パニックなどが表示され、より肺心疾患右心不全と組み合わせることがあります。
肺気腫はコントロール可能であるが、一般に完治は困難である。 以下は、肺気腫患者に必要な予防策と治療法のリストである:
1、肺気腫は、一般的に有効な薬はありませんが、風邪を防ぐために、免疫力を向上させるために、より多くの休息に注意を払う、より多くの水を飲む、喫煙や飲酒しないでください。酸素療法。
2、医師の指示に従い、アミノフィリン、β2受容体刺激薬などの気管支拡張薬を使用する。アレルギーがある場合は、副腎皮質ステロイドを使用する。
3、医学的なアドバイスに従って、いくつかの効果的な抗生物質を使用する。抗生物質には、ペニシリン系、キノロン系、セファロスポリン系などがあるが、個人的に抗生物質を乱用しないように。
4、次のような腹式呼吸の練習をすることができます:呼吸筋の活動を強化し、横隔膜の活動を向上させるために、唇を深くゆっくりとした呼吸を縮小する。
気功、太極拳、はしご登りなどの運動。
6、環境衛生を確保するために、煙、ほこり、刺激性のガスを避けるために、寒くない、暖かく保つために、呼吸器に影響を与えます。
7.条件が許せば、在宅で毎日、1日12~15時間の酸素療法を行うことができ、患者にとって延命効果がある。

招待してくれてありがとう。
肺気腫は一般的にゆっくりと発症します。初期には明らかな症状はなく、咳や痰などの症状が出る人もいます。発症後、呼吸困難や息切れなどの現象が徐々に現れます。これは治りません。しかし、肺気腫患者にとって、肺気腫を緩和するために以下の点に注意を払うことは非常に良い役割を果たします:
1、呼吸筋の活動を強化するために、腹式呼吸、縮小唇深く、ゆっくりと呼気のための呼吸運動。横隔膜の可動性を高める。
2、肺気腫患者の罹病期間が長く、喘鳴が悪化し、口が渇き、舌が薄紅色または薄紫色である場合は、肺陰が損傷していることを示している。梨、生梅、サンザシ、リンゴ、甲羅の柔らかいカメ、豚の赤身、アヒルの卵、菊の脳、卵、アンズなど、陰を養い、体液を生成する果物や食品を選ぶとよい。
3.主に体格の弱い肺気腫患者の栄養と抵抗力を高める。ビタミンA、C、カルシウムを含む食品を多く摂る。ビタミンAを含む食品、例えば豚レバー、卵黄、タラ肝油、ニンジン、カボチャ、アンズなどは肺を潤し、気道を保護する効果があり、ビタミンCを含む食品、例えばナツメ、グレープフルーツ、トマト、ピーマンなどは抗炎症、抗FK1、抗インフルエンザの働きがあり、カルシウムを含む食品、例えば豚骨、緑黄色野菜、豆腐、ゴマペーストなどは気道のアレルギー抵抗能力を高める効果がある。
4.短い散歩やジョギングをする。運動量は小さいものから大きいものまで、距離は数百メートルから始めて、徐々に1000メートル、5000メートルと増やしていく。
患者は上記の方法で肺気腫を治すだけでなく、肺気腫の治療に非常に役立つ生活上のいくつかの事柄にも注意を払うべきである。例えば、喫煙を禁止する、辛いものや刺激の強いものを食べない、魚介類や脂っこいものを食べない、ガスを発生させるものを食べない。サツマイモ、ネギなどである。

お母さんのために環境再生装置を買うことを考えたらどうだ。
肺気腫は高齢者に多い慢性呼吸器疾患で、慢性閉塞性肺気腫、老人性肺気腫、代償性肺気腫に分けられる。高齢者に多いのは慢性閉塞性肺気腫と老人性肺気腫です。私たちが通常肺気腫と呼んでいるのは、実際には慢性閉塞性肺気腫のことです。気管支の気道(主に呼吸細気管支)の壁の破壊、粘膜の腫脹、線維化またはけいれんにより、不完全な閉塞が生じ、弁の作用により、空気を吸い込むことはできるが、完全に吐き出すことはできず、その結果、気管支の過膨張による肺胞の分布が形成され、次第に破裂に至り、閉塞性肺気腫が形成される。
肺気腫は不可逆的な変化である。
慢性閉塞性肺気腫の病因:1感染症、喫煙、大気汚染、職業性粉塵、有害ガスの吸入などの様々な要因の慢性気管支炎によって引き起こされる慢性気管支炎症性傷害は、アレルギー因子と同様に、気管支の慢性炎症を引き起こす可能性があり、内腔を狭くして不完全閉塞を形成するため、吸気時にガスが肺胞に入りやすく、呼気時に胸腔内の圧力の上昇により、気管支がさらに閉塞する。呼気時には胸膜腔の圧力の上昇により気管支がさらに閉じるため、肺胞にガスが過剰に残留し、肺胞が過膨張する。また、慢性炎症は気管支壁の軟骨組織を損傷し、気管支の正常な足場機能を失わせ、呼気時に気管支が引っかかって閉じやすくなり、ガスの排出が妨げられ、肺胞内にガスが過剰に蓄積し、肺胞内圧が上昇して過膨張になる。また、肺胞内圧の上昇により、肺胞壁の毛細血管が圧迫され、肺組織への血液供給が減少し、栄養障害を起こし、肺胞壁の弾力性も低下する。プロテアーゼと抗プロテアーゼのバランスは、現在、体内の一部のタンパク質加水分解酵素は肺組織を破壊する作用を持ち、一方、抗プロテアーゼはエラスターゼや他のプロテアーゼを阻害する作用を持つと考えられている。プロテアーゼと抗プロテアーゼのバランスを保つことは、肺組織の正常な構造が損なわれないようにするために重要である。3 遺伝的要因肺気腫の発症には遺伝的要因も関係している。
慢性閉塞性肺気腫の臨床症状:1、息切れまたは呼吸困難、咳、咳痰は通常午前中に重くなり、痰が多くなり、痰はほとんどが白い粘液の泡状で、時に血が混じり、日中は軽くなり、夜寝る前に咳や痰の排出の発作がある。喘鳴を伴う患者もおり、重症の場合は喘鳴が明らかで、自分の身の回りのことができなくなる。胸部圧迫感は通常、労作後に起こる。進行した症例では、疲労、食欲不振、体重減少、抑うつおよび/または不安がみられることがある。重症例では、安静時にも息切れがみられます。持続的な息切れは、肺気腫の重要な症状である2.肺気腫の感染患者は、換気およびガス交換に重大な欠陥があり、低酸素血症、高呼吸および吸引不全を生じる3.小肺動脈の攣縮または毛細血管床の著しい減少は、肺高血圧を生じ、右心室の拡大および肺性心疾患の生成につながる。
X線所見:①胸腔の前後径が樽型に拡大し、肋間が広がる。両側の横隔膜上部の位置が低下し、横隔膜上部が平坦になる。肺の透光性は増加し、肺の質感は薄く、細長く、直線的になる。透視下では、両横隔膜の運動が弱くなる。縦隔、心膜、皮下組織に間質性肺気腫を生じることが多い。(6)肺胞破裂では、閉鎖性気胸や肺無気肺を生じることがある。

CT、特にHRCTは肺気腫の診断において高い感度と特異度を有し、肺の破壊部位を直接示すことができ、肺機能異常が生じる前であっても初期の肺気腫を発見することができる。HRCTにおける病変の部位と範囲により、肺気腫には全葉型、小葉中心型、頭頂中隔型、傍小鞍型の4つのタイプがある。

(喫煙誘発性中枢肺気腫)
多くの喫煙者は、肺葉を中心とする肺気腫を発症しても、それ自体にはあまり症状がないことを強調しておく必要がある。なぜか?人間の肺はそれを補うだけの力があるからだ。たとえ肺気腫が初期の段階で肺機能の一部を破壊したとしても、明らかな症状は出ないが、いったん症状が出てしまうと、正常な肺では体の必要を補うことができなくなってしまうということだ。
治療としては、風邪や感染症の予防、誘因の除去を積極的に行うとともに、呼吸器科を積極的に受診し、経過に応じて経過観察を決める。
肺気腫には限局性肺気腫とびまん性肺気腫の2つのタイプがあり、びまん性肺気腫は通常、肺気腫の最も一般的なタイプで、副流煙、化学物質、工業用粉塵などの刺激物質の吸入によって引き起こされる。肺気腫は一度発症すると治りません。
肺気腫では肺機能検査が必要であり、肺機能検査で閉塞性換気機能障害が示唆された場合は、症状の安定を保つために長期間の吸入気管支拡張薬投与が必要となる。
肺気腫は、通常、注意を払う必要がある、ぼんやりした日、休息に注意を払うために混雑した場所から外出しない、栄養に注意を払う、風邪を避けるために、化学物質や工業粉塵と接触しないようにしてください、スパイシーな食べ物やアレルギーを引き起こしやすい食べ物は食べないでください。必要に応じて、肺炎ワクチンとインフルエンザワクチンを注射することができます。
肺気腫の検査に役立つ5つのサイン

肺気腫がいつ発症するか、どのようにして知ることができるのでしょうか:
1.咳は次第に頻繁に出るようになり、気管支炎発作だけが原因ではない;
2.痰の絡む咳が続く;
3.歩くと息切れしやすく、時々喘鳴がする;
4.胸腔が大きく樽型になる;
5.喫煙への依存がますます強くなり、タバコを吸うと息苦しくなる。
(リー・ウェン)
この質問と回答はサイト利用者のものであり、サイトの立場を代表するものではありません、侵害など、削除するには管理者に連絡してください。