軽い脳梗塞の症状は?
軽い脳梗塞の症状は?
人生において、脳梗塞は突然起こることが多く、まるで善良な人が突然倒れたかのように思われる。実際はそうではない。脳梗塞の患者の多くは、病気の発症前に、実際には、前兆がありますが、私たちだけが注意を払っていなかった、私はあなたに紹介を与える。
脳梗塞の兆候を知るには、まず脳梗塞がどのようにして起こるのかを知る必要がある。
私たちの脳は、体の上下にあるほとんどすべての機能を管理しており、体の司令塔として知られている。脳が必要とする酸素や栄養素の運搬は血液に頼っている。さまざまな原因で血管が詰まると、脳は酸素や栄養を得ることができなくなり、死んでしまい、その結果、体の機能が失われることを脳梗塞といいます。脳梗塞は、脳の各部位の機能が異なるため、壊死した部位や程度によって後遺症の程度が異なります。少しめまいがするだけで、病院で検査を受けて脳梗塞とわかる人もいます(ラクナ型脳梗塞の多くは検査で発見されます)。一方、片麻痺、動けない、失明、精神遅滞などの後遺症を残し、死に至る患者もいる。
脳梗塞が起こる前の最も重要なシグナルの一つがTIAと呼ばれるもので、中国語では一過性脳虚血発作と訳される。これはどういうことかというと、脳の血管が突然けいれんを起こして収縮し、その結果、脳への酸素や栄養の供給が減少して、脳梗塞と同じような症状を引き起こすというものである。ただし、このとき血管が詰まっているわけではなく、痙攣して狭くなっているだけで、数分から数時間後には自然に元に戻り(時間は通常1時間以内)、症状は消失する。もしTIAが起これば、その人の脳血管に問題があり、将来脳梗塞を起こす可能性が非常に高いことを示唆している。この時、患者は急いで病院に行き、検査と予防をしなければならない。
では、TIAにはどのような症状が現れるのだろうか。
1.突然の意識消失。突然何もわからなくなり、目の前が真っ暗になり、気を失い、しばらくすると元気になる。
2.手足の脱力やしびれが突然起こる。例えば、突然足が弱くなり、足の感覚がなくなり、安定して立っていられない。あるいは突然、手に力が入らなくなり、何も持てなくなるが、しばらくすると元気になる。
3.突然、片目が見えなくなる。
4.突然、舌のしびれを感じ、言葉が不明瞭になる。または突然声が出なくなる。
5.突然のめまい、不安定な歩行、周囲のものが回転して見える。
6.突然耳が聞こえなくなる。
これらの症状は通常30分以内に治まるが、特に再発を繰り返す場合や、脳梗塞の発症率が高いグループにいる場合は、軽視しないことが重要である。
以下の人々は脳梗塞のリスクが高く、これらの問題が発生した場合はより注意する必要がある。
1.高血圧、糖尿病、高脂血症など、基礎疾患によって血管が傷つきやすい患者
2.常習喫煙者喫煙は血管を収縮させ、心臓発作や脳梗塞のリスクを高める。
3.肥満の人々
4.家族に脳梗塞の既往がある人が多い。遺伝的要因、脳梗塞と生活習慣にも一定の関係があり、家族、家族ほどではない。
5.運動不足の人
6.高ホモシステイン血症の患者
7.45歳以上
こんにちは、神経内科の魏です。脳梗塞の発症は突然であることが多く、例えば、普通に歩けたのに次の瞬間歩けなくなるのは、血栓の遊離が突然であるためで、発症も急性です。では、脳梗塞の発症には前兆がないというのは本当でしょうか?脳梗塞になったら必ず障害が残るというのは本当だろうか。実はそうではなく、血栓には大小があるため、外れた血栓が小さいうちは、脳血管の閉塞が小さい血管のために、症状は比較的軽く、血栓の血流が徐々に壊れ、多くの人の症状は自力で回復します。それでは、この治療がどのようなものかを説明しましょう。

軽い脳梗塞とは?
急性脳梗塞の場合は一過性脳虚血発作(TIA)と急性軽症脳梗塞(ミニ脳卒中)その""無効化 "と "早期不安定化"といった共通の特徴を持つ。障害のない急性脳血管イベント「診察の実施これら2つの疾患は、軽症脳梗塞としても知られている。。

一過性脳虚血発作(TIA)脳、脊髄、網膜の一部に血液が流れているように見える。短期閉塞これは、次のことにつながる可能性がある。一過性脳梗塞の症状,症状は軽く、通常は数分しか続かない。すぐに血管は自力で再開通した。脳組織の損傷や後遺障害はない。
軽度の脳梗塞(「ミニ脳卒中」)。小血管の閉塞による突然の局所的な軽度の神経機能障害である。(期間≥24時間)最も一般的な症状は以下の通りである。軽い手足の脱力感やしびれ、不明瞭な発語、口の曲がり、平衡感覚の障害、意識障害は伴わない。ほとんどの梗塞は小さいか、非運動機能領域にあり、80%はラクナ梗塞であり、ほとんどは重大な障害を残さない。しかし、脳組織に永久的な損傷を与える。


一過性脳虚血発作と軽症脳梗塞のリスクは?
一過性脳虚血発作通常は完全脳梗塞的早期のハイリスク警告サイン。一過性脳虚血発作を起こした人の約3分の1が、短期間(1週間以内)に脳梗塞に移行する。脳細胞に永久的な損傷を与える。一過性脳虚血発作から48時間以内に脳梗塞に移行するリスクは特に高く、約10%である。脳梗塞患者の7〜40%に一過性脳虚血発作の既往があると推定されている。中国の成人は以下のリスクが高い。一過性脳虚血発作の認知率はわずか3.12%、ほとんどの人はこの症状を知らない。
軽度の脳梗塞の場合、梗塞の程度は小さく、症状も軽いのですが、脳の組織がダメージを受けているため、対処が遅れると一定の確率で病気が進行し、症状が悪化して障害が残る危険性があります。
一過性脳虚血発作と軽症脳梗塞の徴候と症状は?
一過性脳虚血発作と軽症脳梗塞は、症状の重症度が低いことを除けば、完全脳梗塞と同じ発症機序である。
●言語による理解が困難:他者とのコミュニケーションに対する反応が鈍く、互いの言葉を理解する能力が低下し、時折無反応な答えが返ってくる。
●話すことが難しい:不明瞭で不明瞭な話し方、言葉が遅い。
●認知機能の低下:多発性梗塞病変は、皮質高次の非運動野に位置し、記憶や計算能力の低下、反応速度の低下、などが特徴である。複数の手足の正常な動き。
●手足の脱力感やしびれ:通常、体の片側だけに現れ、歩行に支障をきたさない程度の軽い脱力感やしびれとして現れる。四肢の柔軟性はわずか。
めまい:精神が明瞭でない感覚、精神的パフォーマンスの低下、めまい、視界の回転を伴うことがある。
●平衡感覚障害:歩行時に左右または片側に軽度の動揺があり、歩行が不安定である。
●視力の問題:例えば、片目または両眼の視界がぼやけたり、二重に見えたりする。
●頻繁なあくびと眠気:これは脳への血液と酸素の不足が原因である。
●理由もなく頭痛がする:突然の頭痛で、痛みは主に頭頂部や後頭部、頸部にあり、主に痛み、腫れ、痛みとして現れる。

一過性脳虚血発作と軽症脳梗塞の症状を自己診断するには?
脳梗塞症状の自己同定は、簡単なFASTスケールを用いて行うことができる。
F(顔):鏡を見て、顔の片側が垂れ下がり、口角が曲がっていることに気づく。
A(ハンド):両手を挙げ、片方の手が垂れ下がっていないか観察する。
S(スピーチ):好ましくない話し方、不明瞭な話し方、あるいは話すことができない、何を言っているのか理解できない。
T(タイム・イズ・ブレイン):上記の症状が現れた場合発症時刻を正確に覚えておき、すぐに120番通報して病院に搬送してもらう。

一過性脳虚血発作や軽度の脳梗塞の危険性があるのはどのような人ですか?
一過性脳虚血発作や軽度の脳梗塞であれ、完全な脳梗塞であれ、脳梗塞のリスクを高める要因は多い。介入可能な危険因子には以下のようなものがある:
●生活習慣の危険因子:例えば、肥満や太り過ぎ、運動不足、アルコールの乱用、タバコの使用や副流煙、覚醒剤やコカインなどの違法薬物の使用などである。
●医学的疾患の危険因子例:高血圧、高コレステロール、糖尿病、心血管疾患(心房細動、冠動脈性心疾患など)、閉塞性睡眠時無呼吸(いびき)、高ホモシステイン血症。
その他の危険因子としては、以下のようなものがある:
●歳:55歳以上の人は若い人よりリスクが高い。
●性別は?女性は男性よりも脳卒中のリスクが低い。しかし、女性は通常、脳卒中を発症する年齢が高いため、男性よりも脳卒中で死亡する可能性が高くなります。
●ホルモンだ:エストロゲンを増加させる薬剤はリスクを高める。

一過性脳虚血発作や軽度の脳梗塞が起こるとどうなるのか?
一過性脳虚血発作比軽度の脳梗塞のリスクが高い。なぜなら、一過性脳虚血発作は、そのような発作を引き起こす可能性があるからである。軽い症状通常は数分しか続かず、症状も完全に緩和されるため、多くの人は自分は大丈夫だと思い込み、医師の診察を受けようとしない。そして軽度の脳梗塞では、症状は軽いものの持続するため、早期発見のために医療機関を受診する。一過性脳虚血発作を経験した人の中には、それに気づかないだけで、実は完全な脳梗塞を発症している場合があり、さらに危険なことがあるため、一過性脳虚血発作を経験した人は、症状が消えてもすぐに医師の診察を受けることがより重要である。
一過性脳虚血発作や軽度の脳梗塞があるからだ。症状は通常、突然現れる。脳梗塞の上記の徴候や症状を認識することは非常に重要である。そして、最適な症状回復のために、できるだけ早く医師の診断を受けること。

一過性脳虚血発作と軽症脳梗塞の診断と治療法は?
I. 関連検査
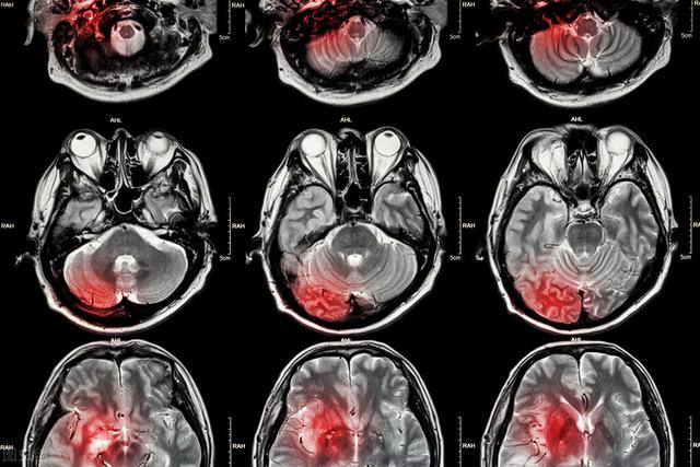
:: 医師はさまざまな診断テストを勧めることがある。頭部CTまたは頭部MRI、頸動脈超音波検査これらの検査は、病気の原因を特定するのに役立つ。
人によっては、さらに詳しい検査が必要な場合もある。CT血管造影、脳血管造影または24時間外来心電図モニタリング血管や心臓に関連した原因がないか調べる。

治療
●血栓を予防する薬:抗血小板凝集療法(アスピリン、クロピドグレル)または抗凝固療法(ワルファリン、ダビガトラン、リバーロキサバン)、抗動脈硬化療法(アトルバスタチンカルシウム、レスバスタチンカルシウム)、プラーク安定化療法(プロブコール、エゼチミブ)。

●血管内治療:大血管(内頸動脈、中大脳動脈、脳底動脈)の重度の狭窄がある場合血管内ステント留置術(血流を再循環させる)或頸動脈内膜剥離術(プラーク、脂肪沈着物の除去)。

結論、一過性脳虚血発作と軽症脳梗塞の予後は?
一過性脳虚血発作や軽度の脳梗塞の予後は比較的良好で、ほとんどが障害を残さない。しかし、一過性虚血発作は完全な脳梗塞の約30%より前に起こる。つまり、一過性脳虚血発作を起こした人は、最終的に完全な脳梗塞を発症する危険性が高い。したがって、一過性脳虚血発作や軽度の脳梗塞に対しては治療だけでなくスクリーニングも重要の使用が必要である。薬とライフスタイルの変化将来、脳梗塞が完全に治る可能性を減らすためである。マイナーチェンジがいくつかある。例えばヘルシーフードとストレス解消法また、ヨガや瞑想は、将来の完全な脳梗塞のリスクを減らすのに役立つ。

参考文献:1.急性虚血性脳卒中の診断と治療に関する中国ガイドライン2018.Chinese Journal of Neurology 2018年9月号
2、一過性脳虚血発作および軽症脳梗塞に対する抗血小板療法に関する中国専門家のコンセンサス(2014年).中国医学雑誌 2014年7月号
3、www.mayoclinic.org/mini-stroke
こんにちは、私はあなたの質問にお答えすることを嬉しく思います、あなたが言った状況によると、主に脳発作の前にいくつかの前駆症状を知りたい、次の共有はあなたとピース。
現在、脳梗塞の発症率は特に高く、増加傾向にあり、老若男女を問わず発症する可能性があります。そのため、脳梗塞の発作前にいくつかの異常徴候を把握することができれば、脳梗塞の予防に重要な役割を果たすことができる。
まず、手足のしびれや脱力感、握力の低下、末梢循環の悪化、指先の痛み、しびれなどを感じることが多い。
心筋虚血が起こり、心臓への血液供給が悪くなると、脳への血液供給にも直接影響を及ぼし、最終的に脳虚血にゆっくりと至り、脳梗塞を引き起こす。
第三に、よだれも脳梗塞発症前の重要な指標である。脳の血管、特に毛細血管の塞栓症は、それに伴って喉の血管も塞がれ、最終的に嚥下の咽頭機能に影響を及ぼすため、夜寝ている時によだれが出るのである。
第四に、難治性の頭痛、めまいの出現は、脳梗塞でもあり、発症前または発症中に最も重要な指標は、主に脳への長期的な不十分な血液供給のために、この頭痛とめまいは、一般的に経口薬は、緩和することはできませんし、症状が進行性の悪化を示す。
第五に、眠気は、多くの場合、居眠り、昼夜を問わず、それがある限り、何もすることはありませんが、そこに生きて座って、ベッドの上に横になることですすぐに眠りに落ちる、これは主に脳への血液供給のためである血液の形成に起因する、明らかに不十分である神を養うことはありません。
第六に、突然うまく話せなくなったり、言葉が不明瞭になったり、舌が短く柔軟性がなくなったりした場合は、脳梗塞や、出血が言語中枢を圧迫しているために起こる言語障害の可能性を考える必要がある。
第七に、一過性脳虚血発作としても知られる一過性脳虚血発作は、多くの場合、突然黒いめまい、深刻な一過性の意識消失が表示され、通常は数分が正常に戻ります、長い時間は、回復後に後遺症を残さない、30分を超えることはありません。
第8に、不安定に歩く、傾斜の感覚がある、深刻なケースは、主に小脳のバランス障害によるものである綿の感じ、片側にシフトしやすい、常に直線ではない歩く上を歩いて表示されることがあります。
第九に、目のかすみ、突然の一過性の視野の部分的な失明、この場合、眼疾患の可能性を排除するために適時に病院に行く必要がある。
第10に、記憶障害、突然家族を認識できなくなる、以前の出来事を思い出せなくなるなど、突然の人格変化や精神的変化。
これらはすべて、脳梗塞の発作前あるいは発作中の臨床症状であり、この点で問題があれば、病状を遅らせることのないよう、時間内に病院に行って検査を受けなければならない。
軽い脳梗塞を示す症状はたくさんあります。これらの症状の多くは生命に影響を与えないため、多くの患者は深刻に考えず、間接的に血栓性エピソードを引き起こす原因となる!

場合によっては、顔の筋肉のしびれ、まぶたの急激な下垂などに加えて、顔の初期症状のひとつである口が急に曲がるという症状が現れる;
突然言葉が不明瞭になったり、よだれが出たりすることもある;
しかし、最も一般的で見過ごされやすい症状は手足のしびれです。脳卒中は片側の手足のしびれや手の握力の低下として現れますが、患者さんの中にはこの症状は他の原因によるものだと考え、無視したり様子を見たりする人がいますが、これは非常に危険です!

不適切な処分の初期段階で手足のしびれで多くの人々は、そのような手が卵を保持することはできません、または努力の小さなアイテムを保持するために表示され、アイテムが制御できない秋などを保持し、その後、医者に行き、時には実際には、黄金期を逃しているように、タイムリーに治療を求めない。
いわゆる "ゴールデンタイム "とは、脳血栓症の前兆である一過性脳虚血発作症状が出現する時期のことで、適時に薬を使用して効果を調整することは、一般的に非常に良いことである!そうでないと、「血栓」が見つかったときに取り返しのつかないことになり、患者の家族がクリニックで後悔しているのを目にすることがよくある。
60代以上の家族に上記のような症状があれば、脳梗塞の早期発症を強く疑い、速やかに医療機関を受診すべきである!
通常、医師は診断を確定し、患者の手の握力検査、血圧検査、頭部CT、必要であればMRI検査に基づいて治療計画を立てる。血管拡張薬や血管に栄養を与える薬が一般的に好まれ、アスピリンはそれ以降、一部の患者にとって将来の一般的な薬となる傾向がある。
専門家支援:中国医科大学滑腔病院キャンパス盛京病院神経科
遼セン名医ヘッドライン、オンライン名医シンクタンク。まずはフォローしてから、医師を招待して質問に答えてもらいましょう!
皆さん、こんにちは!コミック・ブック・ガイです!
数日前、隣の王おじさんから電話があり、最近頭痛がひどく、腕がしびれるような感じがするという!私の知る限り、王叔父は60歳に近く、唯一の趣味は酒を飲むことで、毎日、朝も夜も関係なく、2、3口は飲む。 彼の長い飲酒歴を考慮すると、やはり病院に行って脳CTを撮り、脳虚血や脳梗塞の可能性を除外することを勧める!
今日、また彼から電話があり、大きな問題はなかったが、ただ高血圧があるので注意して飲酒を控える必要があると医者に言われたとのことだった!この検査に問題はないが、高血圧と長期のアルコール摂取は、今日お話しする脳梗塞の2大危険因子であることに変わりはない。

では、脳梗塞とは何か?
脳梗塞とは、脳の血管に血液が供給されなくなることで、脳への血液供給が不足し、虚血や低酸素状態を引き起こし、脳組織の虚血性壊死や軟化をさらに悪化させる病気である。臨床における脳卒中の大部分は脳梗塞であり、一般的な脳梗塞には以下のようなものがある。脳血栓症、ラクナ梗塞、脳塞栓症その他
脳梗塞の大部分は突然発生し、例えば、元気な人が突然話せなくなり、活動が制限され、さらには突然倒れ、この脳梗塞が発生し、短時間にタイムリーな救助をしなければ、生命を脅かすことが発生しやすい。実は、脳梗塞が発生する前に、体にはいくつかの前駆症状が現れるので、見てみましょう!

軽い脳梗塞を知らせる身体症状とは?
1.手足のしびれ:脳梗塞の初期症状のひとつに手足のしびれがあり、その原因はさまざまだが、手足は神経系に支配されているため、しびれの症状が繰り返される場合は、脳梗塞の危険性にも注意する必要がある。
2.突然のめまいや頭痛、あるいはふらつき:この症状が現れるということは、脳梗塞の可能性が高いということであり、この症状が繰り返し起こる場合は、基本的に病院に行ってよく検査をする必要がある。特に、立っているのが不安定な場合は、すでに脳の局所血管に異常が起きている可能性が高く、血液の供給が不十分で、脳の手足の機能に影響を及ぼしている可能性が高い。
3.物事がぼやけて見える:特に高齢者の場合、視力低下は老眼でよく見えないために起こる正常な現象だと考える人が多いため、あまり深刻に受け止められていない。実際には、脳梗塞の初期段階では、目の周囲は脳の多くの血管とつながっているため、脳梗塞が起きると目の周囲の神経や血管が直接影響を受け、視力が低下したり、症状がぼやけたりする。

4.滑舌が悪く、会話が困難:この症状は、脳梗塞や脳出血の患者の多くにみられる言語中枢の損傷の初期症状である。 言語が不明瞭であったり、障害があったりする場合は、脳梗塞の可能性が高い!
5.その他の症状さらに、脳梗塞の初期症状として、眠気、あくび、記憶障害などが現れることがある。このような初期信号の出現は、脳梗塞の発生を警戒する必要性を示唆している。脳梗塞のリスクを減らす、あるいは遅らせるために、さらなる検査を行う必要がある。
では、脳梗塞を予防するにはどうすればいいのか?

- 三高」のコントロールに注意を払う:三高」は脳梗塞の重要な原因であることが多く、三高のコントロールは脳梗塞を予防する最も効果的な対策である。一般に、中高年の場合、脳梗塞を予防するために三高をコントロールする必要はない。血圧、血糖値、血中脂質実際には、良好な血圧を維持する限り、変動を避けるために、65歳未満の高血圧患者のために、130/80mmHgまたはそうで、120/70mmHgを下回らないように血圧を制御することができ、65歳以上の高血圧患者は、120/70mmHgを下回らないように、140/90mmHgの許容範囲内で制御することができます。また、特定のレベルで制御する必要があり、特に血糖値の日は、特定の変動があるでしょう、血糖値、合理的な糖の動的な監視でなければなりません;さらに、高血脂肪、薬物制御のうち、患者のために、食事のコントロールも非常に必要であり、より少ない脂っこい食べ物を食べて、血管内の血中脂質を減らす。
- 体重をコントロールし、運動する:多くの病気は、実際に肥満に関連している、人生は自分の体重を制御する必要があり、物理的な運動を強化し、食事にもっと注意を払う、低塩と低脂肪、健康的なライフスタイルを採用し、より多くの緑の野菜や果物を食べて、行う。「口を閉じて、足を開いていなさい。"、特に60歳以降の男性にとって!
- 禁煙とアルコールの制限:この2つの危険因子は脳梗塞の間接的な要因であるため、通常の生活では禁煙とアルコールの制限、特に「三高」の患者には三高による合併症を予防し、脳出血のリスクを減らす必要がある。

コミック・レビュー
近年、60歳以降の高齢者の脳梗塞の発生率はまだ比較的高いので、生活する上で、自分の食生活に注意しなければならない、低塩、低脂肪の食事、より多くの運動;三高の友人もコントロールしなければならない血圧、血糖、血中脂質、自分の生活習慣の改善を通じて、薬物療法と相まって、コントロールし、脳梗塞の発生を防ぐために非常に良いことができます!
様々な心血管と脳血管の健康イベントの中で、脳梗塞はより一般的であると言うことができ、害も比較的大きい脳血管急性イベント、多くの友人が自分の脳梗塞を心配するので、彼らは脳血管梗塞が発生する可能性のある軽度の症状の脳梗塞を理解したい、この考えはもちろん非常に良いですが、病気の問題で、早期発見、早期介入と早期治療、病気によってもたらされる予後不良または致命的なリスクの関連疾患を減らすことができるようにする。脳梗塞は本当に前兆を示すのか?脳血管梗塞に関連しやすい症状とは?脳梗塞のリスクを防ぐためにはどうすればいいのか?本日は、「脳梗塞」についてお話します。

脳梗塞には必ずしも "前兆 "があるわけではない。
一部の友人は、脳梗塞が発生し、どのような軽度の脳梗塞の信号があるでしょうが、実際には、脳梗塞のすべての患者ではなく、そのような "前兆 "があるでしょう、非常に多くの場合、脳梗塞は突然発生するので、人々は油断している。

脳梗塞は、梗塞を起こす原因によって多くの種類に分けられる。 動脈硬化によってプラークが破れ、血栓を形成して脳血管を閉塞するのが脳梗塞であり、心房細動、心房粗動、心不全、心臓弁膜症などによって心臓部で形成された塞栓症が血流とともに脳血管に入り込んで脳血管を閉塞するのも脳梗塞であり、脳動脈硬化や病変などによって脳動脈の細小血管が閉塞するのも脳梗塞であり、これらの脳梗塞は病態的にはゆっくりと起こる。これらの脳梗塞は、病態的にはゆっくりと起こるが、脳血管が突然閉塞した場合、特に脳への血液供給を担う重要な血管が突然閉塞した場合には、脳梗塞が一挙に起こり、それに対処するための前駆症状はあまり多くはないだろう。 脳梗塞が直接体に起こると、片麻痺、失語症、運動失調などが起こり、激しい頭痛、吐き気、嘔吐などの症状を伴い、急速に脳梗塞に進行することがある。したがって、脳梗塞の予防のためには、やはり病態からのリスクコントロールを積極的に行うべきであり、前駆症状や初期症状に頼って脳梗塞のリスクを判断するという考え方は、リスクを未然に防ぎ、事前に介入することは非常に困難である。
軽症脳梗塞に伴う症状
私たちの脳と脳血管は非常に複雑なシステムであり、大動脈があり、小動脈があり、貫通動脈があり、脳底動脈もあり、ある血管は前部循環血管に属し、ある血管は後部循環血管に属し、異なる梗塞血管部分によって、健康影響の脳の形成も異なり、関連する症状も異なり、通常、あまり深刻な脳梗塞でない場合は、閉塞部位、閉塞のためと言われています。一般的に言えば、脳梗塞のそれほど深刻な問題ではない場合、さまざまな閉塞部位、閉塞の程度と影響を受ける脳の部分のために、脳梗塞の人は、次のような症状があります。

- 脳血管閉塞の一部が脳の体動を指令する部分に影響を及ぼすと、片麻痺、運動失調、まっすぐ歩けない、転びやすいなどの症状が現れ、上肢が軽く下肢が重い運動障害を呈する傾向がある。
- 脳血管が塞栓され、脳への血液供給に影響を及ぼすと、めまいや頭痛に悩まされたり、吐き気や嘔吐を引き起こすこともあり、一過性の失神などの症状を経験する患者もいる。
- 脳血管の閉塞部位が脳の嚥下や発声の機能部位に影響を及ぼすと、軽度の脳梗塞の人は失語症、発声障害、嚥下障害、顔面神経麻痺に悩まされる傾向があり、このような状態になると、軽度の手指の脱力や微細運動障害などの手指の運動障害を伴うことが多い。
- 脳血管の閉塞が感覚を司る脳領域に影響を及ぼすと、半身の非対称な手足のしびれや痛覚・温度感覚の喪失など、感覚障害や感覚異常の症状が現れることがある。
- 脳血管の閉塞が視覚の中枢神経に影響を及ぼすと、異常視、幻覚、あるいは見えない、眼球運動障害などの視覚異常を引き起こす。

軽度の脳梗塞患者は、意識を失わず、明晰な状態でいることができますが、さらに進行すると、意識障害、昏睡状態などになります。したがって、脳梗塞のハイリスク患者であれば、上記のような症状が現れたら、できるだけ早く医師に相談しなければなりません。脳梗塞の問題は、早ければ早いほど、予後が良くなり、患者の回復が有利になり、患者のQOLに影響を与える危険性が少なくなります。脳梗塞の問題が、意識障害、昏睡、脳ヘルニアなどの中程度の重症例に発展すると、命にかかわる状態になる可能性があり、応急処置で回復しても、予後が悪いことが多く、その後の生活の質に深刻な影響を与える。
脳梗塞のリスクは予防に重点
脳梗塞の問題を心配している人は多いが、前兆が現れるのを待って応急処置を施したり、問題が発生したときに救おうとしたりするのではなく、脳梗塞のリスクを予防するために日常生活で積極的に行動する方が良いということを強調したい。
動脈硬化性脳梗塞や小動脈硬化性閉塞性脳梗塞では、動脈硬化の予防とプラークの安定管理が特に重要である。動脈硬化の進行を遅らせ、心血管と脳血管の健康を守りたいのであれば、まず健康的な生活習慣をしっかり守り、健康的な食事、適度な運動習慣を維持し、体重管理に注意し、禁煙と禁酒をし、仕事と休養の習慣をしっかり守り、穏やかで楽観的な精神状態を維持することに注意することであり、これらは動脈の健康を守り、脳梗塞のリスクを減らすために非常に重要である。これらの点は、動脈血管の健康を守り、脳梗塞のリスクを減らすために非常に重要である。

上記のような健康的な生活を整えることに加えて、動脈硬化に関連する慢性疾患の調整とコントロールもしっかり行う必要があり、三高問題は積極的な予防と治療の焦点であり、血圧、血糖値を合理的な基準範囲にコントロールし、脂質を厳格にコントロールする必要があり、脳梗塞のリスクが高い患者に対しては、一般的にLDLコレステロール値を1.8以下にコントロールし、プラークをより安定させ、動脈硬化の進展を遅らせる。また、三高のコントロールに注意するだけでなく、動脈硬化がひどい人は、脳梗塞のリスクを防ぐために、アスピリンなどの抗血小板薬を服用し、プラークが破裂したときの血栓形成のリスクを減らすこともできます。

心原性脳梗塞のリスクが高い心房細動、心房粗動、心筋梗塞、心不全などの問題については、脳梗塞のリスクを予防するために、上記のような面を前提にして、心内血栓の形成を防ぐために、抗凝固薬の服用に注意するだけでなく、ワルファリン、リバーロキサバンなどの抗凝固薬を合理的に適用することで、心原性脳梗塞の発生リスクをさらに減らすことができます。
脳梗塞のリスクを積極的に把握し、自らのリスク状況を考慮し、様々な危険因子を早期にコントロール・介入し、治療やコンディショニングを行うことは、脳梗塞のリスクを軽減するために重要なことであり、脳梗塞の何らかの症状が現れた場合には、脳梗塞が重症化する可能性を最小限にするために、適時に医師に相談することが必要である。
脳梗塞は次のようにも呼ばれる。脳梗塞または虚血性脳卒中(脳虚血性脳卒中)虚血や低酸素の結果として起こる、脳への血液供給不足による脳組織の壊死や軟化を指す。
脳梗塞は突然発症する脳の病気で、年齢に関係なく発症し、重症度は血栓の場所と大きさに密接に関係している。45歳から70歳の中高年が主な発症者である。。

発症は比較的早く、前兆がないことがほとんどですが、以下のような症状が現れたら脳梗塞の可能性があるので注意が必要です。
手足に力が入らなくなるのは、脳梗塞の兆候である可能性がある。
救急外来に新しい患者が来たが、かわいそうな患者だ。
10年以上高血圧で、血圧をコントロールするために重篤な薬を服用していなかった41歳の男性が、今朝突然右上肢に脱力感を覚え、握力が不安定で字が書けなくなった。
高血圧の薬を飲まない人なんているのでしょうか? 薬を飲まない人は、いつ脳梗塞や脳出血を起こしてもおかしくないという覚悟が必要です。

実際、脳梗塞の患者さんの中には、受診前に下肢脱力や歩行困難などの症状がありながら、原因疾患が見つからず、「安静にしていれば大丈夫だろう」と考えている人さえ多く、特に高齢者の腰痛や下肢痛は、腰や足の病気が原因だと勘違いしていることが多い。
分からないよ。突然の手足の脱力は、脳卒中の前兆であることが多い。その本質は、一過性の虚血によって引き起こされるということだ。本質的には一過性の脳虚血によって引き起こされる。このタイプの脳卒中は重症ではなく、「ミニ脳卒中」や「脚気脳卒中」とも呼ばれるが脳卒中の前兆であることが多い。そのうちの1/3は脳卒中である。
糖尿病、高血圧、高脂血症 "3高 "の患者は特に注意を払う必要があり、不注意であってはならない。

脳梗塞の最も一般的な症状
(1)涌き起こる静かな休息中または睡眠中に発症することが多い。発症のピークは数時間から1-2日以内である。
(2)頭痛、めまい、耳鳴り、片麻痺手足が一本だったり、片側だけだったり、上肢が下肢より重かったり、下肢が上肢より重かったり、嚥下困難、ろれつが回らない、吐き気、嘔吐などさまざまな状態がみられ、重症になるとすぐに昏睡状態に陥ることもある。各患者は上記の臨床症状のいくつかを示すことがある。

(3) 「ラクナ脳梗塞」と呼ばれる病態がある。無症状または軽度の症状この病気は、CTによる脳の検査で発見されたが、そのうちのいくつかはすでに古い病変であった。
この疾患は高齢者に多く、患者は高血圧、動脈硬化、高脂血症、冠動脈性心疾患、糖尿病などの慢性疾患を合併していることが多い。脳梁性脳梗塞は繰り返し発症し、やがて症候性脳梗塞を発症する患者もいれば、何年も病状が安定している患者もいる。従って、高齢者の「無症候性脳梗塞」は重く受け止め、積極的な予防態度が必要である。
脳梗塞は、脳動脈の閉塞後、脳障害が進行し、脳細胞へのダメージが元に戻らないという緊急性と、脳梗塞が神経障害を残し、その結果、程度の差こそあれ、身の回りのことができなくなったり、生活能力が完全に失われたりし、死亡に至る危険性がある程度あるという重大性の2つの大きな特徴がある。したがって、脳梗塞の早期発見が重要である。
軽症脳梗塞のシグナルはどんな症状ですか?脳梗塞は他の病気と違い、いったん症状が現れ、それが治まらないということは、頭頸部の動脈がひどく狭くなっているか、あるいは閉塞しているということであり、脳梗塞の診断がはっきりするということは、脳組織がすでに虚血や低酸素壊死を起こしているということである。したがって、軽症の脳梗塞というものは存在しない。 脳梗塞は軽症ではないが、脳梗塞が起こる前に前兆症状がある患者もおり、前兆症状を早期に発見することで、脳梗塞の脳梗塞への進行を防ぐことができる。たとえ脳梗塞がすでに脳梗塞に進行していたとしても、脳梗塞の早期段階で適時に脳梗塞の治療を行うことで、脳梗塞の後期段階におけるQOLを大幅に改善することができる。
脳梗塞の前兆は、脳梗塞が起こる数日から数カ月前に現れるが、この時、頭頸部動脈はまだ完全に閉塞していないか、閉塞していても、比較的短時間に、自己消化、自己通過によって脳組織への血液供給を増加または回復させ、脳組織の虚血、低酸素、壊死を引き起こさず、このような前兆の症状を一過性脳虚血発作という。一過性脳虚血発作と脳梗塞は、脳への血液供給の2/3を担う内頸動脈系の閉塞によって起こる片側の手足の脱力、感覚異常、視野障害、顔面のしびれ、口角の曲がり、舌の麻痺などの症状と、脳への血液供給の1/3を担う椎骨脳底動脈系の閉塞によって起こるめまい、平衡障害、複視などの症状が似ている。一過性脳虚血発作は持続時間が短く、内頸動脈系の閉塞では中央値で14分、椎骨脳底動脈系の閉塞では中央値で8分であり、通常1時間以上24時間以内であるのに対し、脳梗塞の症状は24時間以上持続することがあるという違いがある。

一過性脳虚血発作患者の症状は脳組織に大きな損傷を与えることなく自然に消失するが、その後の脳梗塞のリスクはかなり高い。一過性脳虚血発作後、脳梗塞のリスクは2日目で3.5%、7日目で5.2%、30日目で約8.0%、さらに90日目で9.2%に上昇する。このように,一過性脳虚血患者の脳梗塞リスクは時間とともに減少するのではなく,適切な治療がなされない場合には,脳梗塞の原因が取り除かれないために,むしろ増加する。したがって、一過性脳虚血発作はオーラ脳梗塞と呼ばれ、脳梗塞に進行する危険性が高いため、ある程度、脳梗塞とは異なる虚血性脳障害の段階にある、このように理解することもできます。一過性脳虚血発作後の脳梗塞発症リスクはどのように評価するのですか?
一過性虚血後の症状持続時間が長いほど、また臨床症状が重いほど、脳梗塞のリスクは高くなる:症状が60分以上持続する患者は、10〜59分持続する患者よりも脳梗塞のリスクが高い;片側性四肢脱力患者は、そうでない患者よりも脳梗塞のリスクが高い;年齢も脳梗塞の危険因子であり、60歳以上の脳梗塞リスクは60歳未満の脳梗塞リスクよりも高い;高血圧や糖尿病などの心血管危険因子も脳梗塞リスクを高める。脳梗塞のリスクは60歳未満よりも高齢者で高く、心血管危険因子である高血圧や糖尿病も脳梗塞のリスクを高める。

一過性脳虚血発作患者の症状の持続期間は長くないので,受診時には正常と思われる患者がほとんどであるが,頭部CTや磁気共鳴画像などの検査も改善する必要がある。 画像検査で脳梗塞病変が見つからなければ一過性脳虚血発作と診断し,同時に同様の症状を呈する脳出血も除外することができる。この時点では、症状は軽快しているが、それ以上の診断や治療が必要ないわけではなく、頭頸部の血管病変の重症度を明らかにするために、頭部CT血管造影、磁気共鳴血管造影、血管造影などを改善し、妥当な治療計画を立てる必要がある。重要なのは脳梗塞の初期にはCTやMRIでは脳梗塞巣は検出できず、一過性脳虚血発作の持続時間は最大でも24時間であり、この24時間の間に一過性脳虚血発作と脳梗塞をどのように鑑別するか?初期の脳梗塞巣を検出できる拡散強調MRIで鑑別できる。
一過性脳虚血発作発症後は,適切な治療により脳梗塞のリスクを軽減することが最も重要である。一過性脳虚血発作は、動脈硬化性病変によるもの、心臓からの血栓塞栓症によるもの、低血圧や血液量減少などの血行動態異常によるものがある。動脈硬化性病変では、動脈硬化を遅らせること、動脈プラークを安定化させること、血栓症を予防するための抗血小板凝集薬に重点を置き、心臓由来の塞栓症では抗凝固薬の使用に重点を置き、血行動態異常のある患者には低灌流を改善するために血液量を補う必要がある。検査で70%以上の狭窄など頭頸部動脈の重度の狭窄が認められた場合は、頸動脈内膜剥離術やステント留置術などの外科的治療の必要性も評価すべきである。脳梗塞のリスクを減らすために、高血圧、糖尿病、脂質異常症などの脳梗塞のリスクの高い原因に対する合理的な治療も行うべきである。

もちろん、すでに脳梗塞が発症している場合は、脳梗塞の初期段階で一刻も早く適切な治療を行うことが予後の改善につながる。脳梗塞の早期とは、脳梗塞発症後3~6時間のことで、この時間であれば、脳動脈の病変部位の脳細胞はまだ救える可能性があり、脳動脈の閉塞を最短時間で解除できる静脈内血栓溶解療法やインターベンション治療によって、瀕死の脳細胞を救える可能性がある。脳梗塞発症後3時間以内に治療を受けた患者は完治の可能性が高く、脳梗塞発症後4時間半以内に治療を受けた患者は神経機能の改善が持続し、脳梗塞発症後6時間以内に治療を受けた患者は好ましい転帰が増加し、脳梗塞発症後6時間以降に治療を受けた患者はすでに最適な治療法が失われている。したがって、脳梗塞発症後、障害率や死亡率を低下させるためには、最短時間で病院に到着し、一刻も早く閉塞した脳動脈を解除することが第一の課題である。
結論として、脳梗塞は急性かつ重篤な疾患であり、軽症の脳梗塞は存在しない。 脳梗塞前兆の認識に注意すべきであり、一過性虚血発作、すなわち、片側の手足の脱力、感覚異常、視野障害、顔面のしびれ、口角の曲がり、舌の麻痺、およびめまい、平衡障害、複視などが出現するが、持続時間は数分、通常は1時間であり、24時間を超えず、関連する画像検査で脳梗塞病巣が見つからなかった場合は、脳梗塞前兆であり、脳梗塞に進行する危険性が高い。画像検査で脳梗塞病巣が見つからない場合は、脳梗塞前兆であり、脳梗塞に進展する危険性が高いので、さらに関連する検査を改善し、脳梗塞の危険性を減らすために妥当な治療を行う必要がある。脳梗塞発症後、脳血管の閉塞を解除し、脳組織の損傷を軽減するために、血栓溶解療法やインターベンション治療をできるだけ早く、3~6時間以内に行う必要がある。
読んでくれてありがとう!
間違っていたら訂正してください! 遠慮なくコメント欄で質問し、共有してください!
注:本記事の内容は、健康科学としてのみ意図されたものであり、医学的なアドバイスや意見として意図されたものではなく、医学的指導として適格なものではありません。
ウォン先生、頭痛がひどいのですが、脳梗塞の可能性はありますか?
王医師の質問:他に症状はありますか?例えば、偏った歩き方をしていませんか?水をのどに詰まらせたりしませんか?物を落としたりしませんか?
もう風邪はひいていない。
晕๑_๑!感冒也会头痛呀,你这是捣乱呢?
友人は、私に会いたくて確認の電話をくれたのか、それとも本当に脳梗塞を心配してくれたのか、よくわからなかった。
実際、脳梗塞の多くは前兆がなく、そのまま重篤な症状に至る。昨日は、心筋梗塞になる前に体調が悪くなる人が多く、心筋梗塞であることを知らずに我慢しているため、必ずしも医師に相談しないという話をした。しかし、脳梗塞の場合は、手足がうまく動かない、しゃべれない、言葉を吐けない、安定して歩けない、などの理由で医師に相談する人がほとんどで、心臓発作が隠れていることがあるのとは違って、これらの症状はすべてはっきりしている。
脳梗塞になった人のほとんどは、初めて脳梗塞を発症したときは自分で発見し、医師の診察を受けるだろうし、遅れる人はほとんどいないだろう。
だから、脳梗塞の早期予防のためには、高リスク因子による評価しかできない。
例えば、高脂血症、高血圧、糖尿病、喫煙、肥満、運動不足、不規則な食生活、不規則な生活習慣、家族歴、高齢などが高危険因子となり、リスクが高くなる!
もちろん、信号といえば初期症状であり、脳梗塞の一部にはいわゆる前兆があるかもしれない。
1.頻繁なあくび脳梗塞発作の5〜7日前に、血圧上昇とともにあくびが頻発する患者がいる。多くの人はあくびをしがちなので、必ずしもそうとは限らない。
2.突然のめまいや頭痛、ふらつき、手足のしびれや脱力感、歩行中に片側に寄って歩くなど、物が持てない、転びやすいが、しばらくすると自分で回復できる。このような場合は、脳梗塞がなくても、一過性脳虚血を除外するためにも、早急な診察が必要である。
3、突然目がかすむ、または突然目が黒くなるが、しばらくすると回復することができる;または突然話すことができない、舌が自分のコントロール下にないことを感じる、言葉を吐き出すなど、さらに高齢者の一部は口角に唾液が出る、口や目が曲がるなど、手足の片側が弱くなる、または活動できない、片麻痺など。これらは基本的にすでに脳梗塞です。
以上、脳梗塞になる前の兆候をいくつか挙げてみたが、身近な人にこのような症状が現れたら、事故防止のためにも、早めに医療機関を受診するようにしてほしい。
脳梗塞を甘く見てはいけない。脳梗塞は他人に危害を及ぼし、自分は半身不随になり、家族も一緒に苦しむことになる。 実際、いわゆるシグナルが出たら、それは血管が詰まりかけている、あるいは詰まっているということですから、早期シグナルに頼るのではなく、早期予防が大切です。
脳梗塞の予防や対策:健康的な食事、減塩、低脂肪、低糖、禁煙、アルコール制限、運動、定期的な休養、幸せ、早期発見早期治療の3つ!
軽症脳梗塞であろうとなかろうと、いわゆる軽症というのは、当面、明らかな症状がないということであって、危険性がないわけではなく、今後、悪化しないことは言うまでもない。!
お招きありがとうございます!まず、質問者が投げかけた質問にはいくつかのポイントが含まれている。ひとつは軽度の脳梗塞、もうひとつは身体症状で、これはシグナルとも呼ばれている。身体的な症状はたくさんありますが、軽い脳梗塞の症状とはどのようなものでしょうか?ここでは、質問が多くの人々が問題を懸念していることを見ることができ、質問のコレクションから、ビューの量も1つまたは2つを知ることができます読んで、誰もがまた、人々の健康を懸念している、すべては健康になるために、芽の状態で病気の発症を抑制したい。
まず、「軽症脳梗塞」という言葉を見てみよう。軽症とは、病気の程度を表す言葉で、一般に病気の程度を分類すると、軽症、中等症、重症といった表現があり、脳梗塞と合わせて、脳梗塞の程度が比較的軽いことを意味します。脳梗塞は「脳梗塞」または「脳梗塞」という病気の略称で、脳梗塞と脳梗塞は同じ病気の違う名前で、大小の名前だけです。脳梗塞は脳細胞の梗塞で、脳細胞死の意味で、脳細胞は脳組織の基本単位で、脳組織は脳、間脳、小脳、脳幹に分けられる。

脳の組織や機能領域はそれぞれ異なり、それが司る役割も異なる。

例えば、脳の左半球は身体の右側の動きを司り、右半球は身体の左側の動きを司る。脳の前頭葉-思考や計画を司り、個人のニーズや感情に関連する。 脳の頭頂葉-痛み、触覚、味覚、温度、圧力などの感覚に反応する。 脳の側頭葉:聴覚情報を処理する。 脳の後頭葉 - 視覚情報の処理を担当。大脳辺縁系 - 記憶に関与し、行動面や感情にも関わる。 感覚、運動、感情、記憶など人体のあらゆる側面に関わる。

例えば、小脳の機能は身体のバランス機能と密接な関係がある。脳幹の機能は、主に心臓の鼓動、呼吸、消化、その他の重要な生理機能など、個人の生命を維持することである。

つまり、脳組織の各部分は、それぞれ異なる脳細胞の機能を持っているのだ。その部分で脳細胞が死滅すれば、その部分の機能は低下するか失われる。衰えるというのは、細胞死の面積が小さくなるということであり、失われるというのは、細胞死の面積が大きくなるということである。
軽度の脳梗塞の場合、死んでいる脳細胞の数が少ないので、手足の感覚のしびれ、嗅覚の低下、思考の断片化、言語障害、舌のこわばり、よだれ、感情の起伏......などの症状が比較的軽く、手足の平衡感覚が不安定、片側歩き、水を飲むとのどが詰まるなどの嚥下機能の低下も軽度の脳梗塞の症状です。軽度の脳梗塞の症状としては、手足のバランス感覚の低下、片側歩き、水を飲むとのどに詰まるなどの嚥下機能の低下などがある。

以上の理解を通じて、私たちはまた、軽度の脳梗塞の性能を明確にし、必要に応じて、MRIを行うことができますチェックし、現時点ではまた、脳神経系のより高度な検査です。もし検査で異常があれば、私たちはそれに注意する必要があり、病院に行って入院治療や外来治療を受け、経過観察することができます。もし検査がだめなら、私たちは油断してはいけない、少なくともこれらの信号は私たちの注意を引き付ける必要がある、信号の背後にある意味は、私たちの習慣の中に不合理な要素があることを伝えることである、私たちは体の滑り台を停止するために変更を加える必要があるように、小さなものから大きなものまで、軽いものから重いものまでの症状を避けるために、私たちは健康を回復するために、物理的なコンディショニングに注意を払う必要があります。
この質問と回答はサイト利用者のものであり、サイトの立場を代表するものではありません、侵害など、削除するには管理者に連絡してください。