肝血管腫には治療が必要ですか?
肝血管腫には治療が必要ですか?
崔先生は、肝血管腫の治療が必要かどうかは、患者さんの血管腫の成長部位、大きさ、成長速度などに左右され、一概に大きい血管腫は治療が必要、小さい血管腫は治療が必要ないとは言えないとおっしゃいました。以下では、肝血管腫について、1.治療が必要な肝血管腫とその治療法、2.治療が不要な肝血管腫、3.肝血管腫のどのような症状が現れるかを理解する、4.肝血管腫のスクリーニングと再検査をどのように行うか、という4つのステップに分けてご紹介します。私の回答がお役に立てれば幸いです。
臨床では、同級生や友人から「肝血管腫が見つかったらどうしたらいいか」と聞かれることが多く、そのほとんどが健康診断で見つかるものです。 報告書を読み、病態に応じた適切な治療方針をお伝えしています。
では、どの肝血管腫を治療する必要があるのか。
肝臓の血管腫が大きい場合直径が10cmを超え、肥大した血管腫が周囲の肝組織や腹腔内の他の臓器を圧迫し、さまざまな圧迫症状を引き起こす。また、短期間で急速に大きくなる血管腫に対しては、早期の治療が推奨される。そのため、定期的に肝臓の超音波検査を行って血管腫の変化を観察します。さらに、肝臓の端近くにできる血管腫に対しても治療が推奨される。肝臓の端に近い血管腫は、自分の血圧の変動や外傷などの刺激で破裂・出血しやすく、重大な結果を招く可能性が高いからです。

- 加えて過去に小さい肝血管腫が存在し、審査中に血管腫の成長速度が速すぎて、数ヵ月後に3~5cmの急激な成長が認められた場合、この成長速度は異常である。そうでなければ、このまま成長し続けると、肝血管腫の破裂や出血が起こりやすくなります。
肝血管腫の治療法は?
- 肝血管腫には多くの治療法があり、一般的に用いられる方法は肝血管腫切除術である。この手術はその名の通り、血管腫を含む肝臓の一部を切除するもので、肝血管腫の治療法として最も効果的で一般的に行われている方法でもあります。肝血管腫は良性疾患であり、悪性に変化することはありませんが、治療の過程で肝臓の一部を切除すると、肝出血などの重篤な合併症を引き起こす可能性が非常に高く、重症の場合はその場で死亡することもあることをお断りしておきます。

- この時、患者さんだけでなく家族も、肝血管腫の治療のために肝部分切除術を行うかどうかという重大な選択を迫られるのですが、院長の言葉を借りれば、この血管腫を切らなければ、人生に何も残らないかもしれないということです。しかし、手術をすれば出血で死亡する危険性があります。しかし、この肝血管腫は外科的治療が必要で、治療しなければ破裂や出血の危険性があります。
- 昨年、巨大な血管腫の患者さんが2人、1ヶ月に1回来院されましたが、2人とも多発性で、一番大きなものは直径15cm以上あり、2人とも腹部膨満感や食欲不振などがありました。血管腫のリスクと手術のリスクを説明した上で、最終的に手術治療を行うことにしましたが、手術は非常に成功し、術後の回復も良好でした。幸い、手術は成功し、術後の回復も良好でした。

- 肝血管腫を治療するための肝部分切除は、依然として困難でリスクの高い手術である。これは、肝臓にできた血管腫が周囲の肝臓を常に圧迫しているためで、血管腫の中は血液で満たされているため、血管腫が破れると出血が止まらなくなることがあるからです。したがって、血管腫が大きく、肝臓の側縁にできた単一の血管腫であれば、この側縁の肝臓を切除することができます。この手術は比較的簡単で、リスクも合併症も少ない。
- また、肝血管腫のサイズが大きく、肝臓の半分以上を占めている場合は、良い肝臓の機能に応じて外科的治療を行うかどうかを決める必要があります。残された肝臓の機能が低下していたり、代謝作用に耐えられない場合には、手術は慎重に行う必要があります。肝切除を受ける患者さんの中には、肝機能が不十分で肝不全の徴候を示す人もいるため、手術前に適切な評価を受けることが重要です。

- 加えて肝臓に血液を供給している動脈を結紮または塞栓する方法である。この手術は肝臓を摘出しないので患者さんへの外傷が少なく、局所麻酔で行うことができる。ただし、このタイプの手術は一般的に多発性肝血管腫の患者さんに限られます。肝臓の血管の一部を遮断することで、川の上流を断つのと同じように、下にある貯水池は水の流れがなくなり、縮小するというのがこの手術法の原理です。

- もちろん、肝血管腫を供給している血管を遮断した後は肝血管腫は縮小して小さくなるように見えるが、血管はまだ存在しているため、この病態に伴う合併症の可能性はまだある。したがって、肝臓の血管を閉塞させた後、放射線治療で血管腫をさらに硬化させることで、血管腫の再発と出血のリスクを低下させるという二重の効果が期待できる。
- 肝血管腫は妊婦にとって悪い知らせであることは間違いない。特に大きな血管腫のある妊婦の場合、血管腫の摘出が間に合わないと、妊娠中に血管腫の破裂や出血が起こりやすくなりますので、早期に血管腫を摘出することをお勧めします。 また、すでに妊娠後期に達している血管腫の場合、最も危険なのは分娩時の破裂や出血ですので、この時は状況に応じて外科的治療が必要になります。

治療の必要がない血管腫はどれですか?
まず第一に。10cm以下のような比較的小さな血管腫では手術の必要はなく、それ以外でも手術の必要はない。また、血管腫が肝臓の端ではなく、肝臓の内側にできている場合、明らかな違和感がなければ、まず臨床的な観察と治療を行い、半年に1回、あるいは1年に1回、肝臓の超音波検査を行うことで、血管腫の変化を継続的かつ動態的に観察することができる。その結果、血管腫に異常が現れているかどうかがわかり、次の治療の指針を得ることができる。

肝血管腫の症状は?
実はね。肝血管腫を有する人の大多数は臨床症状を呈さず、多くの人は肝血管腫の発見後、生活に大きな変化を経験しないかもしれない。肝血管腫の患者さんの大部分は、健康診断や他の病気の検査で見つかります。肝血管腫は直径が小さいので、定期的な検診で問題ありません。
- でもね。血管腫が大きかったり、肝臓の端で成長したりすると、いくつかの臨床症状が現れることがある。一般的な症状としては、まず腹部の腫れを触診する。さらに興味深いのは、聴診器を当てたり、耳を腹部に近づけると、内部の血流の音まで聞こえることです。

- 肝臓は体の消化機能に関与しているため、肝臓の血管腫が肥大して肝臓の機能にさらに影響を及ぼすと、体の消化管にも異常が現れます。まず、ほとんどの肝血管腫患者の最初の症状は腹部膨満感と痛みですが、この感覚はあまり強くないのが普通です。その代わりに、食欲不振、食べたくない、あるいは少量の食事でも満腹感があるなどの消化器症状が目立ち、さらに、吐き気、嘔吐などの症状が現れる患者もいます。
- 肝血管腫がさらに肥大すると、食道を圧迫して食後の嚥下が困難になったり、肝血管腫が周囲の胆管を圧迫すると、胆汁の流れが悪くなり、停滞が生じたりする。さらに深刻なのは、肥大した肝血管腫が肝臓の門脈を圧迫して肝硬変のようになり、腹水などの症状が現れることです。したがって、肝血管腫の症状が見つかったら、できるだけ早く外科的治療を受ける必要があります。

- 最後に最も深刻なのは、血管腫が破裂して出血する場合で、この場合は腹部に激しい痛みが生じます。これは非常に危険で、早期に発見できなければ、おそらく患者の死につながる。
さらに、肝血管腫のスクリーニングとレビューの方法
肝臓の超音波検査は、たとえ直径が小さくても肝血管腫の大部分を発見することができます。さらに、血管腫の診断においては、肝超音波検査の方がまだ正確である。 肝超音波検査は安価で、費用対効果も高く、ほとんどの人の健康診断だけでなく、見直しの必要性を満たすことができ、誰もが利用する価値がある。

- 一方、肝CTは肝血管腫の数と大きさをより明瞭に示すことができ、肝超音波検査よりも優れた結果を示す。肝超音波検査で肝血管腫が発見された患者に対しては、さらに肝CT検査を行い、血管腫の数、大きさ、位置などを明らかにすることができる。
概要
肝血管腫は非常によくみられる肝臓の良性腫瘍であり、関連した症状を示すことはほとんどないため、健康診断で発見されることがほとんどである。しかし、肝血管腫に罹患した場合、血管腫の大きさや部位を総合的に判断して外科的治療を行うかどうかを決定しなければならない。また、肝部分切除術は肝血管腫の治療の中心であるが、手術リスクが高く、患者にとっては難しい選択である。もちろん肝動脈塞栓術も選択肢の一つであるが、肝切除術ほどの効果は期待できない。肝血管腫は腹部の膨満感や痛み、消化機能の低下などの症状を示すことがあり、上記のような症状が現れた場合は早期に治療を受けることが推奨されます。 また、肝血管腫の治療を必要としない患者さんでも、定期的に腫瘍の状態を確認し、腫瘍の成長が早い場合は早期に治療を受けることをお勧めします。
肝血管腫は肝臓の良性腫瘍の中で最も一般的である。肝血管腫は単発性の腫瘍として最も一般的であるが、約10%は多発性で、左右の肝臓での発生率はほぼ等しい。 血管腫の形成原因は不明であり、肝内血管構造の異常発達によるものと考えられており、エストロゲンのレベルとも関連していると考えられている。
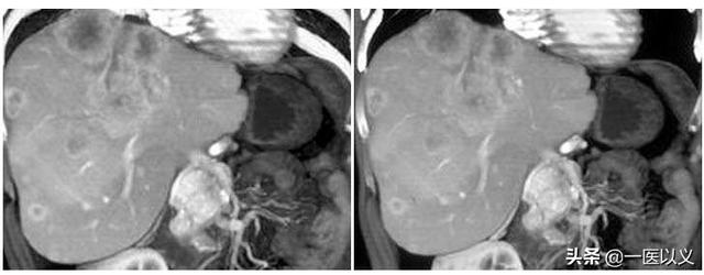
上の画像は肝血管腫のCT画像で、右葉に低密度の陰影があり、境界が明瞭で、増強後に端から中心に向かって漸増する。
肝血管腫の臨床症状にはどのようなものがありますか?どのような検査で発見できますか?
肝血管腫はゆっくりと成長し、経過は数年以上続くこともある。 腫瘍は小さいうちはほとんどが円形だが、大きくなると楕円形や不規則な形になり、肝臓の表面に向かって突出することもある。肝血管腫は小さいうちは臨床症状がなく、大きくなると主に肝臓が大きくなったり、胃や十二指腸などの近隣臓器が圧迫されたりして現れる。上腹部不快感、腹部膨満感、腹鳴、腹痛などの症状を引き起こす。
身体診察:大きな肝血管腫は、肝臓に付着した腹部腫瘤として現れることがあり、平滑、軟らかく、嚢胞状で、圧迫の程度は様々で、時に小葉状であることもある。
臨床症状に応じて、超音波検査、C T、MRI、肝動脈造影検査が行われる。超音波検査では、血流を観察 する必要があり、やや低エコーになる傾向がある。
肝血管腫は治療が必要ですか?
小さくて無症状の血管腫は治療の必要はなく、血管腫の変化を動的に観察するために3~6ヵ月ごとに超音波検査を行うことができる。
一般的には、腫瘍の直径が10cmを超えるもの、あるいは直径が5~10cmでも肝臓の端に位置し、外傷性破裂の危険性があるもの、明らかな症状があるものについては、病変の程度に応じて肝臓や胆嚢の手術で治療することはもちろん、個々の状況に応じてインターベンション治療やアブレーション治療で治療することもあります。
結論として、肝血管腫は良性の病変であり、検査で発見されても心理的負担になることはない。小さな血管腫は定期的な経過観察が可能であり、特に大きいか臨床的に症状がある場合にのみ治療が必要である。
肝血管腫は一般的な良性肝腫瘍で、肝空洞性血管腫とも呼ばれ、その原因はまだ明らかではなく、先天性の発育異常、血管の刺激、血管の感染や変形などが考えられます。肝血管腫の増殖は性ホルモンと密接な関係があるため、女性に多く、関連統計によると男女の発生率は1:6である。 多発性と単発性があり、多発性が最も多い。

小さな肝血管腫(5cm未満):自覚症状がないことがあり、健康診断の超音波検査やCTで意図せずに見つかることが多い。大きな肝血管腫(5cm以上):肝臓の表面から突出しているか、周囲の隣接臓器を圧迫しているため、上腹部の膨満感や不快感を伴うことがある。例外的に大きい血管腫(10cm以上):腫瘤が肝臓領域に触知可能で、腹部膨満感や肝機能異常などの肝臓圧迫症状を伴うことがある。過度に大きな血管腫は、外傷や圧迫により破裂して出血することがある。

肝血管腫は治療すべきでしょうか?
直径が5cm未満の場合、症状がなければ治療の必要はない。3~6ヵ月ごとに腹部超音波検査を見直し、血管腫の変化を動的に観察する。直径10cm以上の肝血管腫については、症状の有無にかかわらず外科的治療を考慮する。しかし、患者の年齢、全身状態、血管腫自体の成長速度も考慮する必要がある。患者が高齢で、全身的な基礎疾患が多く、血管腫の成長が非常に遅い場合は、血管腫自体は患者のこの部分に大きな害をもたらさない可能性があるため、外科的治療の緊急性はなく、かえって外科的リスクが高くなる。患者が比較的若く、血管腫の成長が速く、または腫瘤が重要なパイプラインに近く、血管腫の成長を放置して将来の外科的切除に明らかな悪影響をもたらす場合は、外科的切除を外科的切除を考慮する。5~10cmの血管腫の場合、腹部膨満感の症状があったり、肝臓の端にある肝血管腫のように外傷で破裂・出血しやすい悪い場所にできていたり、心理的負担が大きい場合は、外科的治療も受けたほうがよいでしょう。また、妊娠を計画している出産適齢期の女性は、妊娠後期に胎児が肝血管腫を圧迫するのを防ぐため、妊娠前に5~10cmの血管腫の外科的治療を受けることができる。

肝血管腫は良性疾患であり、癌化することはなく、治癒する可能性がある。治療法には、1.腫瘍を直接摘出する切除手術、2.腫瘍に血液を供給している動脈血管を結紮して血管腫から血液供給を奪う肝動脈結紮術、3.腫瘍に血液を供給している動脈血管を塞いで腫瘍を餓死させる肝動脈インターベンショナル塞栓術、4.腫瘍を高温で焼き殺すラジオ波焼灼術などがある。これらの方法のうち、外科的治療の効果はより完全であり、一般に第一選択として好まれ、現在では外傷の少ない乳腺摘出術がほとんどである。

肝血管腫は、肝臓表面の拡張した血管が蛇行し、腫瘤を形成したものである。このタイプの"腫瘍「通常は良性で、何の症状も起こしません。実際、多くの人は肝血管腫があることさえ知りません。健康診断で肝血管腫のことを知ったり、他の病気で検査を受けたりしたときに、偶然に肝血管腫のことを知ることがよくあります。また、肝血管腫と診断されても、ほとんどの患者さんは治療を必要としません。
肝血管腫の原因はわかっておらず、一般的に男性よりも女性に多いといわれている。一定の遺伝的要素がある。ステロイド療法、エストロゲン療法、妊娠などいくつかの薬剤の使用は、既存の肝血管腫を大きくする可能性があります。
前述したように、肝血管腫は基本的に良性で症状を起こさないため、一般的にはほとんどの肝血管腫は治療の必要はありません。しかし、肝血管腫の腫瘍が比較的大きくなると、破裂や出血を起こしたり、あるいは出血の危険性もあるため、治療が必要な患者さんも少なからずいます。治療が必要な患者さんは、腫瘍の大きさが5cm以上の方、腫瘍が大きく肝臓の端にあり破裂しやすい方、腫瘍は大きくないが、その位置のために肝臓周辺に痛みを感じたり、消化管や胆管を圧迫したりする方、肝血管腫かどうか完全にはわからないが他の腫瘍の可能性が疑われる方などです。
肝血管腫の治療には、手術とその他の低侵襲治療があります。手術は伝統的な治療法ですが、もちろん現在の技術の進歩により、より侵襲の少ない腹腔鏡下で切除することも可能です。その他の低侵襲治療法としては、インターベンショナル塞栓術やラジオ波焼灼術がある。また、放射線治療が可能な肝血管腫の報告もある。
したがって、健康診断で肝血管腫が見つかってもそれほど心配する必要はなく、一般に腫瘍が大きくなければ、定期的な検査を受ければよい。
肝血管腫は通常、肝臓の海綿状血管腫を指し、肝臓で最もよくみられる良性腫瘍です。通常、治療の必要はなく、治療を必要とするのはごく一部です。
海綿状血管腫の大部分は、肝臓内の先天性血管発生異常から生じ、腫瘍様増殖に至ると考えられている。実際には、異常に増殖した血管の不規則な塊である。腫瘍は軟らかく、切断面には蜂の巣のような多数の小孔があり、血液が充満し、圧縮可能でスポンジ状であるため、海綿状血管腫と呼ばれる。

海綿状血管腫はゆっくりと発症し、何十年も続くこともあれば、長い間成長しないものもあり、ある程度で成長が止まるものもある。女性の発生率が高いのは、体内のエストロゲンとプロゲステロンの濃度が高いこと、特に30~50歳の女性に多いことが関係していると考えられます。
海綿状血管腫の大部分には症状がない。まれに、腫瘍自体が比較的大きかったり、突然大きくなったりして、周囲の組織や臓器を直接的または間接的に圧迫した場合に現れる症状があります。例えば、肝臓周辺の不快感、右上腹部の痛み、食欲不振、吐き気などです。
一部の海綿状血管腫は、特に小児や妊婦のように肝臓の縁に近い部位に発生すると、破裂や出血の危険性がある。前者は活動的だが自己防衛意識が低く、後者は妊娠による腹腔内圧の上昇により破裂や出血の可能性が高くなる。C.ハオ医師は過去10年間、さまざまな大きさの海綿状血管腫を数多く診てきたが、破裂や出血を起こした症例は1例もなく、文献にもほとんど報告されていない。
ほとんどの海綿状血管腫は、健康診断の超音波検査で偶然発見される。典型的な病変は超音波、CT、MRでより特徴的な画像を示し、定性的診断は難しくない。超音波検査およびCTの強調像では、典型的に'early out and late in'であり、MRスキャンのT2では'電球徴候'(下図)を示す。

海綿状血管腫の治療の必要性は、主に明らかな臨床症状の有無、腫瘍の位置と大きさ、および増殖速度によって決まる。腫瘍が5cm未満で無症状の場合は、治療の必要はなく、経過観察で十分である。腫瘍が5~10cmで無症状の場合は、経過観察も選択肢となる。症状が著しく、腫瘍が急速に増大し(1~2cm/年)、腫瘍が10cmを超える患者は、さらなる治療を考慮することがある。
治療には主に2つの方法がある。最も一般的で効果的なのは外科的切除術で、根治という目標を達成できるが、外傷が大きいという欠点がある。もう1つはインターベンション治療で、経血管的または経皮的に薬剤を注入して腫瘍を硬化壊死させる方法であるが、再発の可能性や重篤な合併症のリスクがあるという欠点がある。
肝臓の海綿状血管腫が見つかっても心配しないでください。非常によく見られる良性の病変で、発育は非常に遅く、治療の大部分は必要ありません。
私は@ShadowMedicineChoで、関連する医療についてもっと知るためにフォローすることができます。
ドクター・リトル・シャドウです。肝血管腫の治療は必要ですか?多くの友人がこのような質問をします。肝臓の血管腫は非常によく見られるもので、肝臓の良性腫瘍です。そのほとんどは健康診断で見つかり、治療の必要はありません。肝血管腫に治療が必要かどうかは、臨床症状や血管腫の大きさによって異なります。
肝血管腫とは何ですか?
肝血管腫は肝嚢胞とは違う。肝嚢胞は水の入った袋であり、血管腫はその名の通り、水ではなく血液で満たされた血だまりである。肝血管腫はCTの強調画像で典型的な特徴を示し、病変の95%はCTまたは磁気共鳴の強調画像で診断できるが、血管腫はああ診断を確認するために強調画像を行う必要がある。
CTスキャンだけでは肝血管腫を診断する方法はない。なぜなら、スキャン上では肝血管腫と肝細胞がんは同じ形態であり、両者の違いを示すことができるのは増強があってこそだからである。
下は私が今まで見た中で最大の肝血管腫で、16cmの大きさ、54歳の女性、心窩部痛のために受診した。
肝血管腫には治療が必要ですか?
肝血管腫は非常によくみられる肝臓の良性腫瘍である。 小さな血管腫は無症状であり、多くの人が偶然健康診断で見つけるため、治療せずに放置することができる。実際、臨床的に発見された肝血管腫のほとんどは治療の必要はなく、半年から1年に1回の超音波検査による定期的な経過観察が可能である。見直しの過程で血管腫が大きくなることはあるが、悪性化の徴候ではないので、あまり神経質になる必要はない。
肝血管腫の最も重篤な合併症は破裂と出血である。大きな血管腫を治療しなかった場合の最も重篤な合併症は血管腫の破裂で、肝臓の中に血液が溜まっているような状態になり、破裂しやすく、救命が間に合わなければいつ生命が危険にさらされてもおかしくない状態です。
大きな血管腫とは、大きさが5cmを超えるもので、肝臓領域の痛み、肝機能異常、肝臓の端に位置する血管腫など、著しい圧迫を伴う症状を呈するものである。上記のような症状があり、大きさが16cmの女性患者は積極的な治療が必要である。
肝臓に血管腫がたくさんあるにもかかわらず、心配しすぎたり、過剰に治療したりする必要はなく、リラックスし、禁煙と飲酒を控え、早寝早起きを心がけ、良い生活習慣を身につけることが大切です。
私はそうだ。ドクター・シャドウ医療についてもっと知りたい方は、ぜひフォローしてください。
肝血管腫は肝臓の血管に発生する良性腫瘍であり、肝臓の良性腫瘍の中で最も一般的なタイプである。いくつかの研究では、この疾患の有病率は集団の約0.4~20.0%であると報告されている。本疾患は中年女性に多く、ほとんどが孤立性である。良性腫瘍であり、緩徐に増殖し、時には大きさに大きな変化がなく数年間経過することもある。一般的に腫瘍の大きさは小さく、明らかな不快感を与えることはないが、腫瘍が大きくなると近隣の組織や臓器を圧迫し、症状を引き起こすことがある。

肝血管腫に対して何ができるか?
肝血管腫は特異的な臨床症状を示さないため、ほとんどが腹部超音波検査(エコー)、上腹部CT、MRI、肝動脈造影検査で発見される。この病気に対する現在の治療法には、以下のようなものがある。一般に、小さな腫瘍(最大径5cm未満)、明らかな圧迫症状がなく、他の肝悪性腫瘍と混在していない血管腫については、放置しておいてもよく、3~6ヶ月の間隔で再検査して大きさの変化を観察し、成長が速くなっていることが判明した場合には、積極的に治療に介入する必要がある。(b)最大径が10cmを超える腫瘍、最大径が5~10cmだが肝臓の端に位置する腫瘍、明らかな症状を伴う最大径3~5cmの腫瘍、破裂の危険性がある腫瘍については、積極的な介入が必要である。現在、開腹または低侵襲の肝部分切除術、ラジオ波焼灼術、インターベンショナル塞栓術などが行われている。

したがって、肝血管腫の管理は一般的に腫瘍の大きさと部位に依存し、そのリスクを評価した上で治療介入を決定する。具体的な治療法については、3次医療病院の一般外科または肝胆膵外科、インターベンション科に相談することが推奨される。
肝血管腫の原因は何ですか?
肝血管腫の原因はいまだ不明で、(1)肝血管の発達における先天異常、(2)女性に多いのは、体内のエストロゲンが多いことが関係している可能性がある、(3)肝臓の局所感染、出血により血管が異常に増殖する、などが考えられる。
私の答えがあなたのお役に立てれば幸いです!もし気に入っていただけたら、「いいね!」をお願いします!

肝血管腫には治療が必要ですか?
肝血管腫は肝臓の最も一般的な良性空間占拠性病変であり、年齢に関係なく発生する可能性がある。 通常、肝血管腫は胎生期の血管発達異常による先天性血管奇形であり、悪性化の傾向はないと考えられており、その機序はまだ不明である。
組織学的には、海綿状血管腫、毛細血管性血管腫、硬化性血管腫、血管内皮細胞腫に分類されるが、このうち海綿状血管腫が最も多い。
肝血管腫は乳幼児期の肝臓の良性固形腫瘍の中で最も多く、平均発症年齢は47日で、肝血管腫の約80%は生後3ヵ月以内に診断される。身体所見や腹部画像診断などで発見されることが多く、腹部膨満、腹痛、発熱、黄疸、やせなどの症状を伴う腹部腫瘤として現れる。腫瘍が大きい場合は、肝腫大や巨大な腹部腫瘤として現れ、呼吸器症状や消化器症状を呈することもある。また、動脈瘤内動静脈瘻を併発し、高容量心不全を来したり、腫瘍体内で血小板が凝集して凝固因子が枯渇したりすることもある。

一般に肝血管腫と呼ばれるものは、海綿状血管腫を指す。肝血管腫の臨床診断は主に臨床症状、画像検査に依存する。新生児期の肝血管腫の臨床症状はさまざまであり、患者の状態に応じて個別の治療方針を選択し、手術の時期と適応を合理的に選択すべきである。 新生児期の手術の時期は、まず疾患そのものの性質と生体に及ぼす害の程度を考慮し、小児の安全を第一義とすべきである。肝血管腫は成長が遅く、一般に生命を脅かすような結果は生じない。
肝腫瘍は、CTによる鑑別診断の結果、肝動脈の灌流率が低いことが示され、肝血管腫の患者と比較して、肝腫瘍側の病変を取り囲む実質の毛細血管表面の透過性が高かったが、これはおそらく患者の病変の周囲に不完全で異常な微小血管が存在するためであろう。
肝血管腫の外科的切除では、正常な肝組織を残して血管腫のみを切除する。肝血管腫の切除には迅速さと繊細さが要求される。肝血管腫には豊富な血液が供給されており、手術中の出血をいかに少なくするかが手術の成功に重要な要素の一つである。肝門脈遮断を行い、血管腫をやさしくマッサージしてしぼり、腫瘍を小さくした後、血管腫と正常肝組織の境界を明確にし、その境界に沿って正しく分離すれば術中の出血は少ない。
私は、病気の知識をわかりやすい言葉で広め、健康な中国のために微力ながら貢献することにこだわっている薬剤師の王です。私の回答がお役に立つと思われましたら、「いいね!」をお願いします!また、もしまだ関連する質問があれば、メッセージを残してください!
肝血管腫は一般的な良性肝腫瘍の一種であり、その多くは成長が遅く、悪性化の傾向はなく、自然破裂を起こすことはまれである。臨床的には、海綿状血管腫が最も多く、ほとんどの患者は無症状か軽度の症状で、超音波検査や腹部手術のための身体検査で偶然発見されることがほとんどである。
肝血管腫には治療が必要ですか?
肝血管腫の治療が必要かどうかは、血管腫の大きさ、増殖部位、圧迫症状の有無、悪性腫瘍のリスクなどによって異なり、それぞれの病態に応じて分析される。

一般に、肝血管腫は経過が長く、がんの可能性は非常に小さい。 腫瘍が大きくなく(直径5cm以下)、明らかな臨床症状がなければ、通常、治療の必要はなく、定期的な経過観察で十分である。
肝血管腫が以下のような場合は早期の治療が必要である。
1.肝血管腫は5cmを超える;
2、悪性腫瘍の可能性があり、肝がんなどと区別できない肝血管腫、または肝がんと合併した肝血管腫;
3.成長が速すぎる肝血管腫;
4、肝血管腫の増殖部位は肝門部である;
5、管状血管腫は胃腸症状(右上腹部の不快感、食欲不振、吐き気、嘔吐、腹鳴、消化不良など)などの明らかな圧迫症状を示し、巨大な血管腫は胃、十二指腸、その他の隣接臓器に押し出され、圧迫される;
6.破裂して出血した肝血管腫は緊急の治療が必要であり、できるだけ早期に手術すべきである。
肝血管腫には、手術、介入療法、硬化療法、腹腔鏡下血管切除術など、多くの治療選択肢がある。
現在のところ、肝血管腫に特に有効な薬剤はなく、クリニックでは主に手術が中心であり、患者が高齢で全身合併症のために手術が禁忌の場合は、インターベンション治療が行われる。
1、まず第一に、血管腫は腫瘍ではなく、がん化することはありません。血管腫は血管壁の膨らみです。

2、肝血管腫は癌ではないが、リスクがないわけではなく、治療の必要性について、リスクの大きさを見る必要がある。
血管腫が発見された場合、医師は部位や大きさに基づいて評価を行い、アドバイスを行います:
経過観察後、血管腫の大きさが変わらない場合は治療を行わず、経過観察後、血管腫が非常に急速に大きくなった場合は、破裂を防ぐための治療を勧める。
血管腫の変化を追跡して、治療すべきかどうかの判断を下すのです。
この質問と回答はサイト利用者のものであり、サイトの立場を代表するものではありません、侵害など、削除するには管理者に連絡してください。