多発性肝嚢胞は深刻な病気なのでしょうか?
多発性肝嚢胞は深刻な病気なのでしょうか?
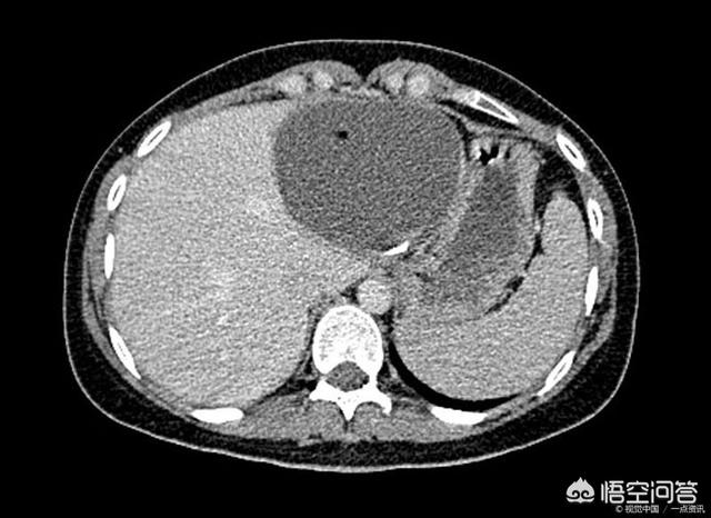
以前、ある患者に会った。他年前、超音波検査の結果、肝臓腫瘍が見つかり、入院中、妻を心配させないために、「肝臓腫瘍」であることを内緒にするよう何度もせがまれたという。
その時、私は顔を真っ赤にして、「肝臓に腫瘍があるのに、よく2年も生きられたものだ」と思わずつぶやいた。
その後、超音波検査が再び完璧になり、いわゆる「肝腫瘍」は肝嚢胞であることが判明した。 本人に説明し、2年以上悩んでいた不安から解放された・・・・・・。

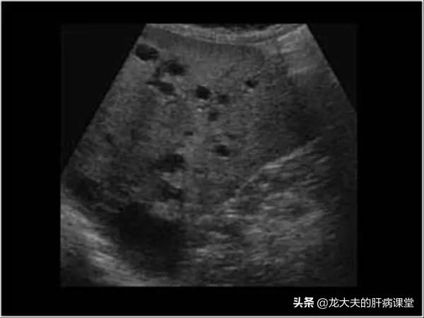
肝嚢胞は臨床的に単純性胆嚢嚢胞(多嚢胞性)と多嚢胞性肝の2種類に分類される。
この2つの病気にはそれぞれ異なる注意が必要である。
I. 単純性肝嚢胞(ポリープ状)
単純性肝嚢胞は40歳以前にはまれで、それ以降に急増し、発生率では男性より女性に多い。
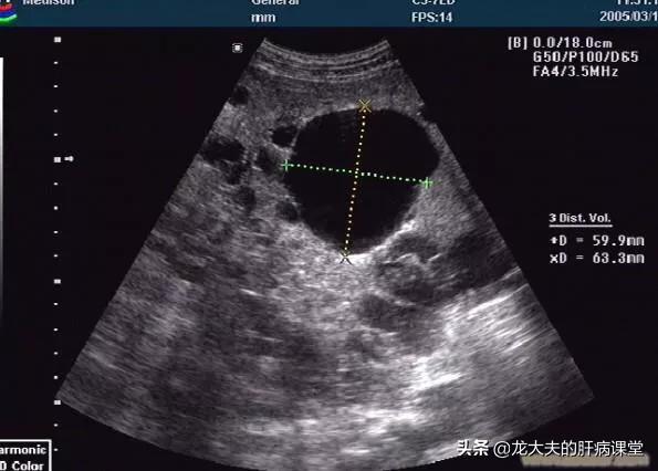
このタイプの肝嚢胞は良性病変であり、通常は明らかな臨床症状がなく、超音波検査やCT検査で偶然発見されるだけである。また、患者に腹痛や腹部不快感を引き起こす一部の大きな嚢胞だけが、通常女性に多い。
症状のない単純な肝嚢胞は治療の必要はありません。
其腹部症状がある場合は、まず他の病気を除外し、最後の手段として肝嚢胞を考慮すべきである。というのも、肝嚢胞に症状が現れることはほとんどないからだ!
治療としては、肝嚢胞の断頭・減圧術を行うか、エタノールによる嚢胞内灌流を行う。
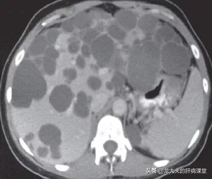
II.多嚢胞性肝臓
先天性遺伝性疾患としての多嚢胞性肝臓。子供の頃からずっとね。,ノンリカレント複合多発性嚢胞腎。
この病気は優性遺伝である。つまり、両親のどちらかが持っていれば、子供も持っているはずであり、どの子供にも存在する。このことから、この病気を除外することができる。
ほとんどの患者さんでは、肝嚢胞は小さく、数も多く、無症状であり、治療の必要はありません。しかし、年1回の検診の必要性を認識しておくことは重要である!なぜなら、単純な肝嚢胞に比べて、多嚢胞性肝は大きくなりやすく、腹部臓器を圧迫する症状が現れやすいからです。例えば、巨大な肝嚢胞が胃壁を圧迫し、食後の膨満感や息切れなどの症状を引き起こす患者さんも少なからずいます。
肝嚢胞の大きさに注意を払うだけでなく、同時に出現する多発性嚢胞腎の問題にも特に注意を払う必要があるが、多発性嚢胞腎は病気の進行とともに腎不全を引き起こす可能性があり、より注目される!
概要
原因不明の肝嚢胞については、病院で肝臓の強化CTスキャンを受け、肝胆膵外科医に相談し、状況をよく理解することをお勧めする。前回の記事で会った患者のように、真実を知るまで毎日落ち込むようなことがあってはならない。
答えが役に立ったら、「いいね!」と応援をお願いします!
こんにちは、多発性肝嚢胞は良性の肝臓病変で、肝臓に複数の嚢胞があり、通常3つ以上を多発性と呼びます。内容物はほとんど無色透明の液体です。悪性の可能性はほとんどありません。
一般に、嚢胞が小さく、患者に症状がない場合は、治療を行うことはできず、定期的な検査で十分である。明確な診断がなされた場合は、嚢胞の変化を観察するために、半年に1回程度超音波検査を行う必要があります。
嚢胞が10cm以上の場合は手術が勧められるが、通常は腹腔鏡下で嚢胞を切開する。近年では、カラー超音波ガイド下で経皮経肝的穿刺を行い、嚢胞液を採取した後に無水アルコールを注入して肝嚢胞を治療するインターベンション治療も行われるようになりましたが、大きな肝嚢胞の場合、一度では完全に治療できないことが多く、数回に分けて注入する必要があります。
嚢胞が大きくなり続けると、腹腔内臓器が圧迫され、圧迫症状が現れます。しかし、多嚢胞性肝の場合、嚢胞が肝臓のほぼ全体を占めると肝機能異常が起こり、最終的には肝移植が必要になることもあります。しかし、一般的に多嚢胞性肝嚢胞が肝機能に影響を及ぼすことはほとんどありません。



嚢胞は初期には無症状だが、喫煙や飲酒、食生活、生活習慣、気分など、さまざまな要因がいつでも嚢胞性病変に影響を与える可能性があるため、軽い食事に注意し、喫煙やアルコールをコントロールする必要がある。将来の問題を避けるために、定期的な検診を受けてください。
多発性肝嚢胞は、文字通り肝臓に複数の嚢胞があることを意味しますが、単純性肝嚢胞に分類されることもあります。大きくなく、症状も合併症もない嚢胞は治療の必要はありません。

多発性肝嚢胞は多発性嚢胞性肝とも呼ばれ、多発性嚢胞性腎を有する患者に多くみられる。 多発性嚢胞性腎を有する患者では、肝嚢胞の発生率は加齢とともに増加するが、これは肝臓の内部構造の発達に関係している。
多嚢胞性肝臓のほとんどは先天性疾患である。癌化することはほとんどなく、通常は良性の病変である。
これらの多発性嚢胞腎患者のうち、30歳未満の患者では、多発性嚢胞肝臓を発症する確率は10〜20%である;一方、60歳以上の患者では、50~70%の確率で多嚢胞性肝臓を発症する。

多発性嚢胞腎は常染色体優性遺伝の疾患であり、多発性嚢胞肝と多発性嚢胞腎が共存する場合、その病態の程度にはあまり強い相関はない。つまり、この2つの疾患は通常共存しているがしかし、病気が発生するメカニズムが異なる可能性もあり、遺伝的な影響がこの違いに関与しているのかもしれない。
多発性肝嚢胞の患者は通常無症状で、一般に肝機能は正常である。しかし、まれに右上腹部の持続的な痛み、右上腹部膨満感、嚢胞感染を起こすことがある。ごく一部の患者では、嚢胞の感染や出血による急性疼痛が起こることもあり、嚢胞の破裂や捻転が急性激痛を引き起こすこともある。
症状が強い場合や大きな肝嚢胞がある場合は、肝部分切除術で症状の軽減を図ることもある。一部の患者では、肝移植または肝移植併用療法が必要となる。手術に適さず、難治性の疼痛を伴う多発性肝嚢胞患者に対しては、経皮的カテーテル肝動脈塞栓術が考慮される。

免疫抑制剤シロリムスによる臨床治療も現在、多嚢胞性肝嚢胞に使用可能であり、少数の臨床試験で多嚢胞性肝の大きさを縮小できることが示唆されている。オクトレオチドや成長阻害薬は、患者の肝臓に蓄積した嚢胞液を減少させることができる。
治療を必要としない多発性肝嚢胞の患者のほとんどは、通常6~12ヵ月間隔で定期的に検査を受け、肝嚢胞の動的変化、出血や感染の有無を観察すべきである。
嚢胞が大きい患者さんには、激しい運動や連続的な疲労を伴う労働を避け、夜遅くまで起きていないことをお勧めします。喫煙や飲酒を避け、良い精神状態を保つように注意してください。

コメント、プライベート・メッセージ、「いいね!」、リツイートは大歓迎です!
肝臓病や感染症に関する楽しく心温まる医学的事実については、@DrLong's Liver Disease Classをフォローしてください!
多発性肝嚢胞は遺伝病であり、簡単に言えば肝臓に水疱ができる病気である。この病気の家族歴のある患者は、予防措置をとり、適時に医師の診察を受ける必要がある。
多発性肝嚢胞は深刻な病気ですか?
多発性肝嚢胞の初期段階では、通常、明らかな症状はなく、経過も比較的緩やかである。ほとんどの患者さんでは、肝嚢胞が大きくなり続けなければ、深刻な事態には至らないので、定期的な検査に注意を払う必要があります。しかし、重篤な症例や他の合併症を伴う症例に対しては、用心深く、適時に適切な治療を行う必要がある。

1、多発性肝嚢胞の危険性:臨床の現場では、単純な多発性肝嚢胞は一般に予後が良いが、嚢胞がある程度まで大きくなると、重篤な合併症を引き起こし、患者の生命を脅かすことになる。
(i)合併症の危険性:嚢胞の持続的な増大は肝臓の機能に影響を及ぼし、腹部膨満感、右上腹部の不快感や漠然とした痛み、呼吸困難などの症状を誘発し、重症の場合は肝不全や肝不全に至ることもある。また、嚢胞が胃腸臓器を圧迫すると食欲不振、嘔吐、腹部膨満感などの症状が現れ、胆管を圧迫すると閉塞性黄疸の原因となり、門脈や小肝静脈を圧迫したり、肝内静脈血栓症を起こすと門脈圧亢進症の原因となります。
嚢胞の破裂や出血は、ショックや急性腹症につながる可能性がある。小嚢胞の捻転は、突然の激しい心窩部痛につながる可能性があり、嚢胞内感染は悪寒や発熱につながる可能性がある。
合併症の危険性:多発性肝嚢胞患者は多発性嚢胞腎を伴うことが多く、統計によると、患者の約1/3~1/2が多発性嚢胞腎を伴っており、多発性嚢胞腎は腎不全につながる可能性があり、致命的な危険性がある。

2、多発性肝嚢胞患者に対する注意事項:多嚢胞性肝臓は健康診断で発見されることが多く、心配の種となる。患者にとって、多嚢胞性肝臓が初めて発見されたからといって心配する必要はないが、用心することは重要である。
まず、患者は肝嚢胞の経過を適時観察するために定期的な検査に注意を払う必要があり、もし肝嚢胞が大きくなり続けていたり、大きさが肝機能に影響を及ぼしていることが判明した場合は、適時に治療を行う必要がある。同時に、多発性嚢胞腎など他の合併症の有無も確認する必要がある。第二に、嚢胞の破裂を防ぐために、患者は生活の中で右肋間や右上腹部の衝突を避けるように注意する必要があります。食生活では、肝臓の負担を増やさないために、動物性脂肪、揚げ物などの高脂肪、高カロリーの食品を控え、野菜、果物などを多く摂るように注意し、禁煙、禁酒を心がけ、特に投薬期間中は禁酒に注意し、同時に脂っこいもの、辛い刺激物の摂取を避けるようにし、抑うつ、ストレス、緊張、不安などの悪い感情を避け、十分な睡眠を確保し、夜更かし、過労などを避けるようにする。
臨床では、多発性肝嚢胞を多発性嚢胞性肝と呼ぶことが多く、患者の約50%以上が腎嚢胞、肝嚢胞を有し、少数の肝嚢胞患者は病変が肝臓の1葉または半肝部に限局していると推定される。肝嚢胞は通常、非寄生性肝嚢胞と呼ばれる。その病態の真の原因は未だ不明であり、臨床の現場では病態が著しく増加する傾向にあるが、これは最近の患者が健康診断を重要視するようになったことや、超音波、CTなどの画像診断法の普及が関係しているのではないかと考える専門家も多い。

多くの患者は健康診断で肝嚢胞が見つかるが、肝臓の多発性嚢胞のほとんどは深刻な状態ではない。
一般に肝臓に存在する多発性嚢胞には、通常2つの病態がある:
最初の病態:肝臓の孤立性単純性多嚢胞性嚢胞で、通常は比較的小さい嚢胞であり、その正確な原因は不明である。通常、腎の多発性嚢胞や多嚢胞性腎と合併することはない。多発性肝嚢胞単独では、綿密な観察と定期的な経過観察により、通常、患者の大部分は生涯無症状または無増悪であり、外科的治療の必要はない。末梢の肝嚢胞が大きくなり、肝性心膜陥没の症状を引き起こした場合にのみ、開窓してドレナージを行う肝嚢胞の外科的治療が考慮され、通常は症状の緩和を得ることができる。

二つ目の場合:肝臓の多発性嚢胞、あるいは多発性嚢胞性肝臓と多発性嚢胞性腎臓の合併は、遺伝性疾患であることに注意する必要がある。
多発性肝嚢胞の治療
現在のところ、肝嚢胞の薬剤による臨床治療はなく、一般に肝嚢胞の治療に嚢胞の開排を用いることは推奨されていない。多発性肝嚢胞が静的で径が小さく、間隔を空けても径に大きな変化がない場合、これらの症例の多くはあまり大きな介入を必要とせず、定期的な経過観察で済む。多発性肝嚢胞が時間の経過とともに大きくなり、肝臓をかなり圧迫し、肝臓自体に損傷を与える場合は、通常手術が勧められ、具体的な手術療法は肝嚢胞開窓ドレナージです。

現実には、多発性肝嚢胞の場合、一般的に外科的治療後の効果はあまり理想的ではなく、小さい肝嚢胞は手術後も成長しやすいため、現在の理想的な治療手段は実際に患者の肝移植ですが、手術自体もより困難です。
多発性肝嚢胞はいつまで生きられますか?
多発性肝嚢胞は比較的よくみられる臨床的な肝疾患であり、ほとんどの場合、患者の生命予後に影響を与えない一般的な良性肝病変である。
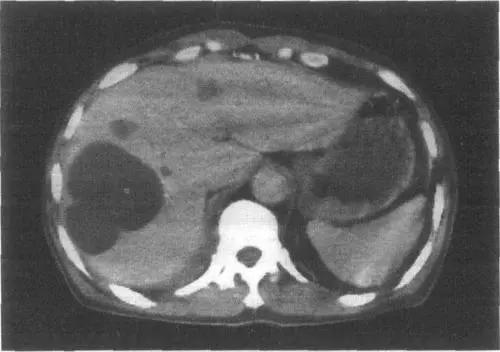
肝嚢胞は臨床でよくみられる肝疾患の一つであり、通常、患者には特異的な臨床症状はなく、ほとんどの患者は超音波検査やその他の検査によって身体診察時に発見されるだけであり、画像に症状が現れる。多発性肝嚢胞は画像検査によって、有害でない場合もあれば有害な場合もある。

肝嚢胞が患者の肝臓に特に有害でなければ、通常の状況下では、患者は生存でき、余命にも影響はない。肝嚢胞が肝臓を圧迫するほど大きく、肝不全を引き起こす場合、この場合は一定の治療が必要で、特に肝嚢胞による肝不全は肝移植が必要となり、患者の生命さえも危険にさらされる可能性がある。

多発性肝嚢胞の見分け方
多発性肝嚢胞が発見されたら、患者は食事に注意を払い、できれば高コレステロール食品を控えるべきである。多発性肝嚢胞は隣接する胆管系に圧迫症状をもたらし、胆管の拡張を伴うこともあるからである。一般に、脂っこい食べ物や高コレステロールの食べ物は、胆嚢炎を引き起こしやすく、胆汁酸や胆汁色素の代謝やバランスに影響を与える胆汁うっ滞を引き起こしやすく、感染症を引き起こしやすい。

肝嚢胞の場合、二次感染すると発熱や右上腹部痛がみられ、重症になると感染性ショックのような副反応を起こすこともある。二次感染を伴う巨大な肝嚢胞の場合、感染因子を除去するために、適時に外科的切除や切開排膿を行う必要があるため、多嚢胞性肝臓の患者は、食事構成にも厳重な注意を払い、水をたくさん飲み、運動を行い、定期的な検査を受ける必要がある。
アルコールを飲まないように注意し、ハーブで治療することだ。
今、それほど深刻でなければ、できるだけ早い段階で治療する!
多発性肝嚢胞は良性の病変で、通常1つまたは複数の状態にある。嚢胞の境界は明瞭であるが、貯液嚢内では検出できず、身体所見ではこの状態は肝臓と胆嚢のみであるが、すべての葉節に分布することがある。多発性肝嚢胞の嚢胞液は清澄で、嚢胞内に出現する場合、液は赤みを帯びている。では、多発性肝嚢胞はどうなっているのか?

多発性肝嚢胞は通常、40~50歳代に多くみられ、嚢胞の大きさとは通常関係がない。多発性肝嚢胞は、消化不良、食欲不振、吐き気、右上腹部を呈することがある。二次感染の場合は、発熱や悪寒が起こることもあります。もちろん、巨大な嚢胞もあり、総胆管などを圧迫して黄疸が出たり、腹部腫瘤を認める患者さんもいます。
多発性肝嚢胞の肝機能の検査は一般的に正常であり、肝臓領域の超音波検査では、1つ以上の液体の安全性を見ることができます。 CTまたは核スキャンはまた、多発性肝嚢胞があるかどうかをチェックすることができ、さらに多発性肝嚢胞は実質的な病変がないことを決定することができます。

多発性肝嚢胞は一般的に良性であり、重篤な症状がなければ特別な治療や処置は必要ありません。肝嚢胞が非常に大きい場合は、超音波ガイド下で嚢胞を穿刺して液体を取り出す必要があるが、無水アルコールを注入する必要があり、その方が安全な対処法である。もちろん、多発性肝嚢胞が大きく、圧迫症状や感染症を伴う場合は、外科的治療が必要となります。現在、多発性肝嚢胞の治療法としては、一般的に低侵襲手術、すなわち腹腔鏡下多発性肝嚢胞開窓術によるドレナージ術を選択することが多いと思います。この方法は、低侵襲の機械を使用し、その機械を電子カメラシステムで操作します。その結果、侵襲は最小限に抑えられ、回復も早く、後遺症も最小限に抑えられます。

実際、多発性肝嚢胞は良性の病変であるため、不快な症状がなければ治療の必要はありませんが、多発性肝嚢胞の肥大や病変の有無を確認するために定期的な検診が必要です。多発性肝嚢胞はある程度の大きさになって初めて治療が必要になりますが、完治することはありません。
多発性肝嚢胞を持つ患者は、物理的な重労働をすべきではなく、特に腹部を押すことはできません。
もし私の話が役に立ち、私の科学が気に入ったら、「いいね!」やリツイートをしてください。もし質問があれば、下にメッセージを残してください。また、私をフォローしてください。
あなたのライフスタイルがどのようなものかわからないので、結論を急ぐのはどうかと思いますが、普段からガスに悩まされていますか?また、一年を通して下半身を温めていますか?夜遅くまで起きていることなどは多いですか?
この質問と回答はサイト利用者のものであり、サイトの立場を代表するものではありません、侵害など、削除するには管理者に連絡してください。