歯茎からの出血の原因は何ですか?
歯茎からの出血の原因は何ですか?

1、歯肉炎
歯ぐきからの出血には様々な理由がありますが、歯肉炎は歯ぐきからの出血の最も一般的な原因の一つです。もし歯をだらだらと磨く、または歯を磨かないことが多い。そのため、細菌や食べかすが歯の表面に付着し、時間が経つにつれてそれが歯の表面を形成することになります。歯垢、歯石これらは歯肉に蓄積し、歯肉炎の原因となる。
この時点で必要なのは、次のことだけだ。歯磨きの仕方を正す,口腔衛生に気をつける歯肉炎は薬なしで治り、歯茎からの出血も緩和される。
2.内分泌系の変化
思春期や妊娠中などの特別な時期には、体内の性ホルモンやプロゲステロンホルモンの分泌が高まり、歯周組織が血液で充血します。この時、歯周組織へのわずかな刺激が非特異的な炎症を引き起こし、歯ぐきから出血することがあります。
このような歯茎からの出血は、あまり深刻に考える必要はありません。医師の指示に従い、特別期間が終わるまで待つだけです。出血の症状は自然に消えていく。
3.全身疾患
歯ぐきからの出血は、ある種の全身疾患の徴候でもあります。歯ぐきからの出血が長期間続き、出血量も多い場合。を警戒することが重要である。血液疾患、心血管疾患、腎機能障害などの病気がある。
これらの病気は身体の免疫力の低下を引き起こし、その結果、身体の局所抵抗力が低下し、歯肉炎、凝固系の障害、血管の器質的変化、血流動態の変化などを誘発し、これらの身体の変化すべてが歯肉の出血の一因となる。
歯ぐきからの出血がひどく、不快感がある場合は他の病気がないか、医師の診察を受ける必要がある。その上で、特定の症状に特化した治療を行う。
4.う蝕刺激
虫歯は肉体的な痛みを引き起こすだけでなく、歯にも痛みを残す。ダークブラウン・キャリーが歯ぐきを傷つけます。虫歯のエッジは非常に鋭く、一度歯茎に密着すると、歯茎を刺激して潰瘍を作り、出血することがあります。
虫歯による歯茎からの出血には、次のような方法があります。詰め物による治療そして同時に、次のことも重要だ。科学的な食習慣を身につける。
歯茎は一般的に非常に「デリケート」で、ちょっとした刺激で出血するので、正しい方法で出血を止める必要がある。
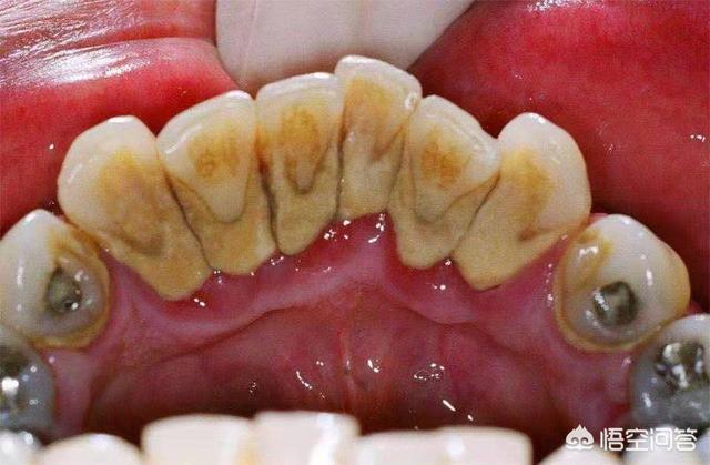
歯ぐきの出血は、歯周病という局所的な原因と、全身的な原因の両方から考える必要がある。健康な歯肉はピンク色で、ほとんどの歯と骨の表面は接着しており、咀嚼の摩擦に耐えることができ、一般的に出血しにくい。歯肉の端と歯の間には歯肉溝があり、口の中が清潔でないと、腐敗や劣化が進み、粘着性のある食べかすが歯肉溝にたまり、柔らかい歯石を形成する。時間が経つにつれて、唾液が歯石沈着中のミネラルから分離されることと相まって、柔らかい歯石は硬い結石となり、常に歯茎を刺激し、細菌の侵食と相まって、歯茎の炎症を引き起こし、歯茎の発赤や腫れとして現れ、患者の潰瘍の歯肉縁は、多くの場合、ブラッシング、会話や咀嚼食物の出血で、重度の自然出血を持つ個々の患者、つまり、何の刺激もなく、自動的に出血し、さらには夜寝ている!夜寝ているときにも出血することがあります。
歯周炎には、歯ぐきからの出血のほかに、歯が抜けたり、歯周膿があふれたりする症状もある。
歯肉炎に加えて、歯肉過形成、虫歯による炎症、不適切なフロッシング、入れ歯が合わない場合などでも歯肉から出血することがあります。また、体内のビタミンCが慢性的に不足しているために、歯周組織の毛細血管がもろくなり、出血しやすくなるケースもあります。
また、全身に原因がある場合もある。血友病、出血性紫斑病や血小板減少症、肝疾患、後期腎炎、播種性エリテマトーデスなどの血液疾患の中には、歯茎の出血や出血を呈するものもある。歯茎の出血は壊血病の顕著な症状でもあり、壊血病患者の口腔内の歯茎はしばしば暗赤色に腫れ、時には歯冠を覆うこともある。
歯ぐきの出血は、歯科でよく見られる症状のひとつです。歯肉からの出血は、歯肉炎や歯肉炎の初期段階である歯周炎の典型的な症状です。歯ぐきからの出血は、それ自体は多くの病気の症状であり、病気ではありません。白血病、血友病、悪性貧血のような全身性の病気でも歯茎から出血することがあります、エイズだ、肝硬変、出血性紫斑病、血小板減少症、脾機能亢進症など歯肉からの出血やあざが自然にできる以上の合併症。
歯ぐきからの出血にはさまざまな原因があります。 歯ぐきからの出血は、全身的または局所的な疾患の外見的な現れであり、その中でも口腔疾患が最も一般的です。 歯ぐきからの出血は、歯肉炎や歯周炎、歯ぐきの炎症(または歯周炎)の典型的な現れであり、歯ぐきが赤く腫れ、歯肉縁に潰瘍ができ、少し触れただけで出血します。一般的な原因因子としては、歯石、歯肉過形成、食べ物の詰め込み、不適切な修復物(合わない入れ歯など)、誤ったブラッシング、思春期や妊娠中のホルモン変化、免疫機能の変化、細菌、遺伝などが挙げられる。また、全身疾患によって引き起こされるこの種の歯肉出血は、しばしば全身疾患の徴候の一つです。歯ぐきからの出血の症状は、肝硬変、脾機能低下症、腎炎末期、播種性エリテマトーデスなど、血液凝固能低下や重度の貧血を引き起こす病気の後期にも見られることがあります。
そして漢方医学によれば、胃火と陰虚は歯茎が赤く腫れ、歯肉縁に潰瘍ができ、出血を引き起こす。胃腸が悪い人は、歯磨き中に出血しやすい体質でもある。人体の胃腸が悪いと、消化吸収がうまくいかず、血管が非常にもろくなり、ちょっとした刺激で微小血管が破裂してしまうからである。胃火は、蓮の心、菊花、蓮根など、火を消す漢方薬をお茶代わりに使う。 陰虚火旺の人は、手のひらや足の裏が熱く、胃が火照りやすいので、養肝湯や西源散などを服用します。
歯茎の出血が繰り返されたり、皮膚に時々緑紫色の斑点ができたり、同時に顔が黄色くなったり、全身が弱くなったりするなどの症状がある場合は、血液検査、肝機能検査、白血病検査、放射性物質や自己免疫疾患の検査などを行う必要があります。肝疾患の患者さんは、プロトロンビンやフィブリノゲンが減少し、血液凝固がうまくいかず、口腔が傷つくと出血が続くことがあります。歯茎の出血は口腔だけの病気ではなく、他の部分の病気もあるかもしれないので、適時に歯茎の出血の原因を把握し、治療することが非常に重要です。
食事は薄味にし、辛くて刺激的な食べ物、冷たくて硬い食べ物、脂っこい食べ物、揚げ物は禁物である。口腔衛生に注意し、正しい歯ブラシを選び、朝晩の正しい歯磨き方法を身につけ、ビタミンCが豊富な野菜や果物を多く摂り、歯周組織の栄養状態を整え、歯周病の回復を促す。夜更かしをせず、積極的に運動をして体の免疫力を高めましょう。もしご参考になりましたら、ぜひご投稿、ご投稿ください!
歯磨きや食事の時に歯ぐきから出血する人は多く、ほとんどの人は深刻に考えていませんが、実は頻繁に起こる場合は要注意で、歯肉退縮、歯肉炎、歯の病気である可能性が高いのです。
出血がもっとひどい場合は、歯科医で検査と治療を受けるのが一番です。出血が出血だけでなく、体の他の部分からも出血している場合は、骨髄検査と血液検査をして、血液の病気などの原因を排出する必要があります。
漢方薬は、歯茎の出血のほとんどは、陰と火の不足、または胃の熱が原因であると信じて、そのような陰と火の不足が原因であるような、しばしば動揺と過敏性、口や舌の乾燥、歯茎の隠れた痛み、腰痛、手や足、心臓の熱や他の熱のような、コンディショニングは、主に陰と下痢を養い、血液を冷やしている、あなたは、コンディショニングのために志白地黄丸、二志丸薬などを選択することができますが、また、仙和曹操、Dijie、バオ毛玄、アカシアなどと一緒に、またはいくつかの木炭を追加することができます。あるいは普黄炭、血余炭などの炭を加える。
胃熱による場合は、火照り、便秘、口臭、歯茎の腫れや痛み、口の渇き、尿が短くて赤っぽいなどが多く、強壮剤としては、石膏、leucaena leucocephala、志母、Radix et Rhizoma Dioscoreae、forsythiaなどが多い。
上記の2つの原因に加えて、陽気不足のためにあるかもしれない、気は血を取らないことも歯茎の出血につながることができる、気の不足のために陽気不足のために、人々のほとんどは、冷たい手足、息切れ、青白い、冷たい手足を持っている、風を恐れて、寒さを恐れているなど、クリニックでは、より多くの治療のための止血の方法で、陽を温め、気を補うために、より多くの脾臓の薬を使用し、イ気スープや他の処方薬の真ん中を補うだけでなく、血液の効力を高め、出血を止めるために、いくつかの止血薬を伴うことになります。止血の効果を高める!
上記の回答があなたのお役に立てれば幸いです。より多くの中医学記事の内容については、鄭博士に注目し、質問があればコメントを残してください。
歯ぐきからの出血は珍しいことではなく、少量であればあまり気にせず、食べたものが熱すぎるのだろうと考える患者がほとんどである。夜中にパニックになって救急外来に駆け込むのは、もっと先の時期まで待ってください。早期発見、早期治療が肝心である!

歯ぐきからの出血の一般的な原因は何ですか?どのように治療するのですか?
1、慢性歯肉炎、慢性歯周炎
歯肉の健康は口腔衛生と密接な関係があります。口腔衛生状態が悪い、歯石の集合体が多い、歯肉への刺激が繰り返される、歯肉が長期的な炎症状態にある、ブラッシングや硬いものを噛むと出血する。歯肉縁下歯石は歯槽骨の吸収を引き起こし、歯の周囲の骨組織を減少させ、慢性歯周炎に発展し、歯は程度の差こそあれ緩んできます。慢性歯周炎の患者さんは、歯肉が歯肉縁下結石によって刺激されると出血することもあります。慢性歯肉炎は、定期的なお口の中のクリーニングで歯石を除去し、炎症を抑えることで治療することができます。慢性歯周炎の場合、歯周炎の進行を抑えるために、定期的なお口の中のクリーニングに加えて、歯肉縁下の歯石を完全に除去する歯肉縁下スクレイピングが必要です。

2.妊娠性歯肉炎、妊娠性歯肉腫
妊娠中はホルモンレベルの変化により、歯肉はプロゲステロンの標的器官として働き、出血や過形成を起こしやすくなります。妊娠中の歯肉炎や歯肉腫の患者は、食事や吸啜時に歯肉から出血することが多い。妊娠中の患者さんは、自分自身の口腔ケアを強化するだけでなく、一般的には特別な治療は必要ありません。

3.特定の全身疾患
血液疾患の患者は通常、出血量が多く、凝固異常のために出血を容易に止めることができない。一般的なものとしては、急性白血病、血小板減少性紫斑病、血友病などがある。効果的な管理のためには、血液専門医との合同診察が必要である。血圧コントロール不良の高血圧患者では、歯肉の炎症時の出血を止めることはより困難です。

4.歯肉の良性および悪性腫瘍
歯肉領域の良性および悪性腫瘍は、機械的刺激を受けたり、腫瘍が潰瘍化したりすると出血することがある。歯肉の腫脹を発見して治療を受けるには、腫瘍を早期に発見して治療する必要があり、外科的治療は早ければ早いほど予後が良好になります。
この回答は歯科医師によって書かれました!
伝統的な言い方では、理由のほとんどは火ですが、私自身の経験によると、経絡が十分に滑らかでないためです。私はよく歯茎から出血していた、簡単に火を通す食品の揚げ焼肉の種類を食べることを恐れていたが、その後、治療法を押すの原点を学び、4年以上されている、揚げ料理や揚げ物、私はいくつかの禁忌を持っていない、食べたい食べるが、出血歯茎、歯痛現象は非常に少なかったが、たとえそれが現れても、私は薬や注射を取らなかった、ちょうどプッシュプッシュ耳根の巣の背面を押すことを主張し、その後、暖かいの飲み物とサービングで生姜スープで解決することができます。
歯磨きの際に歯ぐきから出血することがあるのは正常なことです。しかし、食事の時の出血が多い、歯磨きの時の出血が多い、歯ぐきが腫れて痛い時に出血するなどの場合は、歯ぐきから異常な出血をしているので注意が必要です。
歯ぐきから出血する一般的な病気:両方の可能性がある歯肉炎、歯周炎、歯石などの局所的な原因だけでなく、以下のような全身性の血液疾患もある。血友病、白血病、血小板減少症出血は、血液凝固能の低下などによって起こることがあります。歯ぐきからの出血をささいな問題として片付けず、原因にかかわらず適時に対処することが大切です。特に、血液疾患の可能性を排除することが重要である。

歯ぐきからの出血を予防したり、軽減したりするために試せる方法をいくつかご紹介しましょう:
1、ビタミンC歯茎からの出血と闘う上で重要な役割を果たす。より効果的な使い方は配合ビタミンC1000mgを1日3回服用する。また、以下のようなビタミンCを豊富に含む食品も摂取すべきである。白菜、ネギ、ホウレンソウなどの野菜、柑橘類、サンザシ、グレープフルーツなどの果物。
2、ビタミンP歯茎からの出血を防ぎ、ビタミンCの活性を高める働きがある。以下から入手できる。茄子、槐花米、养麦、杏、樱桃、番茄ビタミンPは次のような食品から摂取する。ビタミンPとビタミンcは一緒に摂るとより効果的だ。
歯茎からの出血に効く料理がある。青椒茄子(ビタミンCとビタミンPが豊富)。

3.毎日3回の食事の後、すぐに毛先の柔らかい歯ブラシで歯を磨く。雲南白耀歯磨き粉一度に3分間ブラッシングし、縦磨きをお願いする。食後、軽く塩を加えた温かい熱湯で口をすすぐ。。
4、歯ぐきからの出血の応急処置:清潔な綿球に雲南白姚の粉末を浸して出血部分を埋める。雲南白姚がない場合は、清潔な綿球に軽く塩を加えた熱湯を浸し、直接出血部分を埋めてもよい。
追記:雲南白夜疑惑を宣伝する意図は全くない。
最後にもうひとつ。歯ぐきからの出血の治療法:食後30分後に緑茶やハーブティーを適量噛む。歯茎からの出血の治療に使用でき、長期的には効果的である。(試すことができます、著者は確認されていない)
薬物カウンセラー軍団」の見出しをたどると、より多くの健康に関する質問と回答が簡単に読めます!
その他、ご質問やご意見がございましたら、コメント欄にてお気軽にお寄せください。

果物を食べたり歯を磨いたりすると、歯茎から出血する人が多い。

歯ぐきからの出血は、誘発性出血と自然出血に分けられます。より一般的な原因は歯肉炎である。口の中にプラーク(歯垢)がたまると、微生物が寄生して増殖し、体の免疫反応を引き起こします。歯垢が4~7日以上蓄積すると、通常ブラッシング時に歯茎から出血します。この歯ぐきからの出血の原因は、少なくとも1日1回、効果的な清掃が維持されていれば避けられるかもしれません。日常的に効果的な清掃が行われないと、時間の経過とともに自然出血に変わることがあります。これは通常、歯ぐきの発赤や腫れ、歯ぐきのゆるい感触を伴います。
歯ぐきから出血しやすいのは10代と妊婦です。歯垢の蓄積に加え、ティーンエイジャーでは性ホルモンの分泌が多いため、歯肉の炎症を増強させる作用があります。妊娠中の妊婦のエストロゲンレベルの上昇は、歯肉の炎症を悪化させ、歯肉の腫れをさらに大きくします。また、疣状病変を引き起こすこともありますが、通常は出産後に自然に消えます。歯肉炎を日常的に予防するために必要な対策は、口腔内でプラーク(歯垢)が生成・繁殖しないように注意することです。
歯ぐきからの出血の他の一般的な原因は、高血圧、白血病、血友病です。高血圧の中高年患者の場合、高血圧は歯ぐきからの出血を引き起こしやすく、その多くは夜間に起こります。白血病は通常、歯ぐきの腫れ、暗赤色または青白い色、壊死性潰瘍などで現れ、いったん出血するとなかなか止まりませんが、激しい歯痛も伴います。血友病では歯ぐきの出血のほかに、体に点状出血がみられることもあります。免疫抑制剤、降圧剤、抗てんかん薬をよく服用する人は、口の中全体に歯肉過形成がみられることが多く、上下の前歯が最も深刻です。
"ハッピー・リトル・ドクター "があなたの質問に答えます。
中抜き
歯ぐきからの出血は歯科でよく見られる症状の一つで、歯ぐきから自然に、あるいはちょっとした刺激で少量の出血が起こることを指します。軽症の場合は、吸ったり、磨いたり、硬いものを噛んだりしたときに唾液の中に血が混じる程度ですが、重症の場合は、歯茎を少し刺激しただけで出血が多くなったり、自然に出血したりすることもあります。一般的に、歯ぐきの慢性炎症が歯ぐきからの出血の一般的な原因であるため、歯ぐきからの出血は歯周炎や歯肉炎の患者に多く見られます。
罹患の原因
これらは局所的要因と全身的要因(または疾患)に分けられる。
1.地域要因
歯垢や歯石の局所的な刺激。歯垢や歯石の凝集は、食物の挟み込み、修復不良、口腔衛生習慣の不良などが引き金となり、歯垢性歯肉炎や歯周炎などの歯周組織の炎症を引き起こす。
その他の局所的刺激(歯垢以外の歯石)や悪習癖。過形成性歯肉炎や歯周炎などの局所炎症は、機械的、化学的、悪い修復物、悪い詰め物、悪い矯正装置、開口呼吸などの刺激によって引き起こされます。
(iii)局所組織アレルギー。アレルゲンと局所的に接触し、アレルギー反応を引き起こし、歯肉に広がり、歯肉が赤く腫れ、出血しやすくなる。プラズマ細胞性歯肉炎など。
歯肉外傷と歯周外科手術。
2.全身的要因
内分泌の変化。性ホルモンやプロゲステロンホルモンの増加の影響により、歯肉組織がわずかに刺激され、非特異的な炎症が誘発され、歯肉出血、滲出液の増加、歯肉過形成が起こる。思春期歯肉炎、妊娠性歯肉炎、歯肉腫瘍などがその例です。
全身疾患。血液疾患、糖尿病、心血管疾患、肝・腎機能異常、腫瘍など。通常、全身的な免疫力の低下が原因であり、それが局所的な刺激に対する抵抗力の低下を招き、歯肉の炎症を誘発する。凝固系の障害、血管の器質的な変化、血流動態の変化などが原因である。
(iii)全身に作用するその他の外的要因。例えば、喫煙、抗凝固薬の服用など。
では、歯茎から出血したらどうすればいいのでしょうか?
1.柔らかい毛先の歯ブラシを使い、歯ぐきと舌を磨く。
2、歯茎の端を磨く、歯石がたまりやすい歯茎の端を無視して磨かない、歯ブラシを45度の角度で傾ける、歯茎の炎症を防ぐように、ブラシの内側から外側へ。
3、よくマウスウォッシュを使用し、マウスウォッシュは歯石を除去することができ、歯の健康に非常に役立つ、それはあなたが何かを食べるたびにあなたの口をすすがなければならないことをお勧めします。
4.喫煙と飲酒をやめる
5、喫煙とアルコールは、口腔の健康を維持するために必要なビタミンやミネラルを失う、健康な歯を持つためには、喫煙とアルコールをやめなければならない。
6、生野菜を多く食べる。生野菜には繊維質が多く含まれ、歯と歯茎をきれいにし、歯肉炎を防ぐのに役立つ。
7.歯石を除去する、歯石を除去し、歯肉炎を予防するために、定期的に歯科医に行って歯のクリーニングをする必要があります。
"ハッピー・リトル・ドクター "をフォローして、健康についての知識を深めよう!
早起きして歯を磨くと歯ぐきから出血する、リンゴをかじると歯ぐきから出血する......。歯茎の出血は歯科の一般的な症状の一つになっており、人々の生活に大きな迷惑をかけていると言えます。では、歯ぐきの出血はいったい何によって起こるのでしょうか?

1、歯周病:リンゴを食べたときに血が出たり、歯ブラシに血がついたりする場合は、歯肉炎や歯周炎に長い間かかっている可能性があり、さらに歯肉過形成も歯茎からの出血を無視できない理由です。

2、歯ブラシが硬すぎる:歯ブラシは通常、硬い毛の歯ブラシと柔らかい毛の歯ブラシに分かれており、一部の人々は硬い毛の歯ブラシを使用することを好む、柔らかい毛の歯ブラシに比べて硬い毛の歯ブラシは、よりきれいに歯を磨くと思う、あまりにも多くの強さのブラッシングと相まって、非常に簡単に歯茎を損傷し、その結果、歯茎から出血する。

3、入れ歯が合わない:入れ歯が合わない場合、入れ歯と歯茎の間の摩擦が、おいしいものを食べる気分に影響するだけでなく、歯茎から出血する可能性もある。

4、ストレス:社会のスピードが加速するにつれ、人々の生活ペースも加速し、プレッシャーはますます大きくなっている。人が急にストレスを感じると、歯茎から出血したり、口臭を伴うこともある。
この質問と回答はサイト利用者のものであり、サイトの立場を代表するものではありません、侵害など、削除するには管理者に連絡してください。
