乾いた咳を治すには何を食べればよいですか?
乾いた咳を治すには何を食べればよいですか?
咳は非常に一般的で、多くの場合、咳痰と呼ばれる喀痰を伴う、咳は、気道の役割の保護気道と自己浄化を果たすことができる除去によって生成された人間の気道異物や気道分泌物を入力することができ、これは良い自己防衛と保護であり、人々にとって非常に有益ですが、すべてのものは、その長所と短所があり、再発性の咳や咳は、通常の生活や仕事に影響を与えるだけでなく、特に重度の咳はまた、出血に気道内の感染症の拡大につながる可能性があり、深刻なケースは、自然気胸を引き起こす可能性があり、害が大きくなります。激しい咳はまた、気道内の感染症、呼吸器出血の拡大につながる、深刻なケースは、自然気胸を引き起こす可能性があり、害はより大きい。

痰のない咳や痰の少ない咳は、乾性咳嗽または刺激性咳嗽と呼ばれる。
乾いた咳を改善するために何を食べていますか?
乾性咳嗽の原因は以下の通りである。
1、それは人々の最初の考えは気管支炎であると推定され、主に気管気管支粘膜の炎症で発生し、冷たい空気の吸入、煙や刺激性ガス、花粉の吸入、動物の毛皮の排泄物や他のほこりの吸入は、病気の発生につながることができ、咳は一般的にない痰、咳も比較的軽度である。
2、異物の気管支吸入や気管圧迫により、空咳が出現することもある。
3、急性咽頭炎と慢性咽頭炎は、主に咽頭の炎症を指し、頻繁に喫煙者や飲酒者、教師、司会者、アナウンサーや歌手などの声を多く使用する人、高齢者、子供や心血管疾患や糖尿病などの免疫系の免疫力が低い免疫系に加え、良好ではありませんが、この病気になりやすく、患者は乾いた咳として現れる。

4.喉頭の悪性腫瘍と肺癌、主に腫瘍の浸潤と圧迫による刺激性の乾性咳嗽で、喀痰がないか少ない。
5.特定の肺高血圧症や胸膜病変も乾性咳嗽の原因となる。
6、僧帽弁狭窄症やその他の心臓病変も空咳の原因となる。
7、乾性咳嗽の他の原因も胃食道逆流症が気管や肺の逆流吸入、気管や肺の刺激や損傷も乾性咳嗽、咳変型喘息、鼻炎や副鼻腔炎の分泌物が気管や肺に逆流も乾性咳嗽、エナラプリル系薬剤の服用も乾性咳嗽、その他の精神的・心理的な悪影響も乾性咳嗽につながる可能性があります。

乾いた咳はどうですか?
以上からわかるように、乾性咳嗽の原因はいろいろありますが、乾性咳嗽の一部は自分では何も食べなくてもよく、例えば、冷たい空気、動物の毛皮、花粉、煙などの吸入を避けること、声の使いすぎを避けること、水をたくさん飲むこと、喫煙や飲酒をやめること、抵抗力を高めるために運動を強化することなどがよいでしょうし、咳が原因の病気に対して、あわてて咳止め薬を食べることは不適切で、まず、乾性咳嗽の原因となった病気をコントロールしなければなりませんが、原疾患の治療で改善が見られない場合は別です。原疾患の治療で改善が見られない場合を除き、咳の広がりや進行を防ぎ、患者の苦痛を軽減し、激しい咳による気胸や呼吸器出血を避けるために、咳止め薬の使用を考慮することができる。食事療法としては、ユリ、銀耳、ハスの実などが考慮される。
私はただの一般市民である!病院、薬局、安い薬、高い薬、ありとあらゆる薬を試してきた!結局、香港のビワクリームという薬に行き着いた!
他の薬から始めよう!
まず頭に浮かぶのは病院に行くことだ!行列に並び、受付を済ませ、医師と2分間話し、支払いを済ませ、薬をもらうために行列に並ぶ!結局、もらった薬はビタミンCだった!
皆さんのお友達で、このような経験をされた方はいらっしゃいますか?特に赤ちゃんが風邪をひいて咳をしているときに何度も試しています!
正直なところ、ビタミンCが効かないとは言い切れないが、ないがしろにされている気がする、それだけだ!
次に薬局に行く!可愛い女の子やおばちゃんたちが、何種類もの薬を勧めてくる!そういえば去年、風邪をひいて咳が止まらなかったとき、可愛い女の子の言うことを聞いて(妻に「耳が柔らかい」と言われた!)、強いビワ飴を買ったっけ!強烈なびわ飴を買った!結果、飲んだ時は良かったが、5分後には効かなくなっていた!
結局、1日でボトルを飲み干したが、咳は続いた!
ママ曰く、咳が出たらハーブティーよ!私はいつも家にいろいろな風邪薬や咳止めを持っている!子供茶の箱」のひとつは、具合が悪くなるたびに、母が沸騰したお湯をポットに入れて、30分ほど煮込んだ「お茶」を作ってくれる!これは風邪の前に効果的ですが、基本的に咳には効果がありません!
多くの「善意の」提案を試した後、私は40ドルのビワクリームを買った!一口目、咳がおさまった!30分後、2口目!
1日に5回飲んだら咳が消えた!乾いた咳の風邪の咳は大丈夫です!
毎年経験することなんだけど、結局は全部同じなんだ!怖いのは咳ではなく、ずっと咳をしていることなんだ!
痰が出ない、あるいはほとんど出ない咳を乾性咳嗽といいます。空咳を早く改善するためには、問題の根本を突き止め、その原因を知る必要があります。
タイプ1:外咳
急性の喉のかゆみと乾いた咳で、通常数日以内に現れる。通常、風邪、急性咽頭炎、気管支炎が原因。
対症的突然の乾いた咳、喉の乾燥とかゆみ、口と鼻の乾燥、咳き込む痰の少なさ、血液、薄い白または黄色の舌苔。
これは、最も単純な、薬を服用する診療所を押収し、基本的な3つのペアを治すことができ、漢方医は通常、次のように処方する。桑とアプリコットの咳止めスーププラスマイナスで、主なものは桑の葉、アーモンド、フォーシシア、甘草、ミント、アスター、ミカンの皮、モモルディカ・チャランチアである。独自の漢方薬を使用することもできる。桑の実とアプリコットのスープ。

タイプ2:内咳
内傷の咳は、長引く咳、長い時間、西洋医学の一般的な病気の慢性咽頭炎、咳によって引き起こされる咳の変種喘息は、よりこの種類に属しています。治療は比較的複雑になります。
症状见乾いた咳、短い咳、痰が出ない、やせ、5つの胸やけ、寝汗、頬骨が赤い、口と喉が乾く、舌が赤く水分が少ない。
漢方薬は、肺陰虚の期間として知られており、このタイプの患者は、しばしば1週間または2週間以上咳をする。独自の漢方薬があります百合根スープ。
補完的食事療法:銀キクラゲとユリのスープ、銀キクラゲとユリの5本指ピーチスープ。
咳が出る、痰が出ない、寒さが怖い、もっと上着を着たい、でも暑いと咳が出る、感情的に興奮すると悪化する。
このタイプの女性が多く、治療は非常にデリケートである。風寒を散らすだけでなく、熱を取り除き、痰を解消し、肝気が肺を冒している肺陰を保護するだけでなく、肝を浚い、気を調整することも必要である。このような場合は、症状を治療してくれる信頼できる漢方医を探すのが先決だ。
タイプ3:薬理学的咳嗽
薬によって引き起こされる乾性咳嗽で、乾性咳嗽の症状を引き起こしやすい薬がいくつかある。
降圧薬のカプトプリル、エナラプリル、利尿薬のヒドロクロロチアジド、抗結核薬のパラアミノサリチル酸、アスピリン、化学療法薬のブレオマイシンなど。これらは一般に、服用後2~5日以内に空咳症状を呈し、服用期間とともに悪化する。原因不明の乾性咳嗽が持続する場合は、薬剤が原因かどうかを検討する。
このタイプの咳は通常、薬の服用を中止するか量を減らすと改善し、特別な治療は必要ありません。
タイプ4:胃食道による咳嗽
咳は、呼吸器や肺の問題であると考えるだけでなく、「五臓六腑は、肺だけでなく、人々の咳である」と考えることができます。五臓六腑の機能障害は、肺に関与することができるため、咳につながる。胃食道疾患も咳の原因となる。このタイプの咳の特徴
1.咳の発現は、食後の咳、食事中の咳、夜間の酸逆流による咳など、明らかに食事と関連している。
2.胃酸の逆流、腹鳴、胸骨の後ろの灼熱感、口の苦味などの症状を伴うことが多い。
胃や食道の逆流などの原疾患が解決すれば、咳は治まる。
注:咳の種類にかかわらず、基本的な禁忌事項がある。過度の寒さ、熱さ、滋養強壮食品は避けるべきである。つまり、軽い食事で十分である。禁煙、冷房を避けるなど、生活習慣も重要である。
その他のご質問は、プライベートメッセージにてお問い合わせください!
秋は上気道疾患の季節であり、咳の発生率も高い。咳の乾いた咳を味わうことは本当に非常に困難で、咳が止まらない、全身が震えているような深刻な時間であり、薬を服用しても改善されません。だから、日常生活の中で、頻繁に咳が出る場合は、何かを食べると、咳や咳の不快感を和らげることができますか?
こんにちは、私は医学博士シャオ興、私に従って、毎日興味深い健康のヒントを共有するために歓迎です。

空咳のある生活は本当に大変で、咳が止まらない。私自身もこれに共感し、夜に咳き込むと眠れなくなることがあり、特に支障をきたしている。
今日はシャオシンが、乾いた咳を和らげる食べ物と、注意すべき食事のタブーを紹介する。
まず、おすすめの食べ物:
1、氷砂糖梨:梨は肺を潤し、咳、痰の効果があり、特に長い咳には、良い効果があります。
2、新鮮な果物:新鮮な果物の摂取を通じて、十分なビタミンCを確保し、体の抵抗力を高める。
3、動物のレバーを少し食べるのが適切:動物の内臓はビタミンAが豊富で、ビタミンAは粘膜層の完全性を助長し、呼吸器粘膜を保護する役割を果たす。
さらに、卵や牛乳などのタンパク質を補う必要がある。タンパク質を補給することで、免疫機能が向上し、身体の回復がより促進される。

関連する食事の禁忌:
1、脂っこいもの、甘いものは避ける.脂っこすぎたり甘すぎたりすると、呼吸器に不快感を与え、咳を悪化させる。普通の人でも甘いものを食べ過ぎると、喉がむずむずして不快になる。
2、辛いものや刺激の強いものを避ける.辛くて刺激的な食べ物は、上気道の粘膜を直接刺激し、気管支平滑筋のうっ血を引き起こし、咳を誘発する。普段の生活で激辛料理を口にすると、呼吸器系の不快感や咳、くしゃみを引き起こす。
3、限酒..アルコールはまた、呼吸器官を刺激する効果もある。

食事だけでなく、生活習慣のヒントもある。
1、呼吸器をネブライザーで吸入することができます、例えば、お湯のカップで、水蒸気を吸入し、のどを湿らせ、快適な、乾燥したかゆみの喉の不快感を軽減することができます。
2、より多くの水を飲む、最初の理由はまた、湿った気道であり、第二は、代謝を促進するために、私たちはすぐに回復するのに役立ちます。
3.適切な休養をとり、身体を回復させる時間を与える。
4、通常、より多くの運動は、そのような体を行使するために実行して、抵抗力を向上させるために非常に効果的かつ健康的な方法であるそれを遵守する。
乾いた咳は、特に一般的な症状であり、それは病気ではありませんが、毎年冬と春の季節のように、多くの人が乾いた咳のトラブル、特に夜の咳に遭遇するでしょう、真剣に個々の生活の質に影響を与えるので、どのように迅速に回復するには?確かに、それは議論する価値がある問題である!
以下、私自身の臨床経験を交えて、空咳についてお話しします。
実は、空咳は質問者が言うほど単純なものではなく、何を食べれば問題が解決するのか、時には早く治すために特定のものを食べないようにする必要さえある!
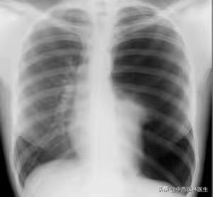
たとえば、私たち内科医が診療所で診る乾性咳嗽の患者さんで最も多いのは、高血圧の患者さんです。もちろん、高血圧の人が乾性咳嗽になるのではなく、カプトプリル、エナラプリルなど、名前に「プリリジー」の文字が含まれる降圧剤(ACE)を医師から処方された場合に、薬物有害反応として刺激性の乾性咳嗽になるのである。下図).この乾性咳嗽は、主に夕方就寝前または夜間に起こり、咽頭のくすぐったさや咽頭異物感を伴う発作性の持続性乾性咳嗽である。

プリロセック」カプトプリルなどの降圧剤(ACE)使用患者における空咳の原因は、主に2つある:
まず、この種の降圧剤は、体内のプロスタグランジンの分泌を増加させるために咳を引き起こす;
第二に、「プリロセック」降圧剤を服用すると、ブラジキニンの分解が阻害されるため、ブラジキニンが患者の気道に蓄積し、刺激性の空咳を引き起こす;
もちろん、クロロサルタン、バルサルタン、イルベサルタンなどの降圧剤、アミオダロン、ヒドロクロロチアジド、p-アミノサリチル酸ナトリウム、リウジスルホンピリジン、抗腫瘍剤であるブレオマイシン、シクロホスファミド、メトトレキサートなどの "Puli "クラスの降圧剤のほかにも、薬による乾性咳嗽を引き起こすことがある!
だから、このような薬物誘発性の空咳に直面したとき、人々がしなければならないことは、それを緩和するために薬や何かを飲むことではなく、その状況を我慢することであることは間違いない。このような乾いた咳は、どんな咳止めを飲んでも効かないので、最初の機会に医師に薬を変えてもらうか、あるいは中止してもらう!
例えば、最も一般的な乾性咳嗽がある場合、最初に考えるべきことは、それが呼吸器疾患によって引き起こされているということである。下図)、咳の症状だけでなく、しばしば他の症状も現れる時期である。

- 上気道感染症。これは主に、ウイルスが鼻やのどから体内に侵入し、上気道の粘膜に炎症を起こすことによって起こる;
- 気管支炎。これは上気道感染症が長期に治らなかったり、咳が広がったりすることが多く、乾いた咳が出始め、分泌物の奥から痰やその他の不快感を咳き込むことがあり、ひどい場合は呼吸困難を感じることもあります;
- 肺炎乾いた咳も出るが、息切れなどを伴って長引く傾向がある(下図)。

このような乾いた咳に直面した場合、咳止めや抗アレルギー剤とともに抗炎症剤の投与が必要になることが多い!
最後に、乾性咳嗽に関しては、呼吸器疾患以外の要因も考慮しなければならないが、乾性咳嗽を完治させるためには、何を食べるかではなく、乾性咳嗽の原因を見つけ、その原因を取り除くことが必要である!
例えば、呼吸器腫瘍、肺癌、その他呼吸器神経を侵し圧迫する腫瘍による刺激性の空咳などである。
例えば、肺高血圧症や結核性胸膜病変でも空咳が出ることがある。
胃食道逆流、大動脈瘤、僧帽弁狭窄症、肺膿瘍、副鼻腔炎などの心臓病変もある。
したがって、乾いた咳は症状であり、病気ではなく、多くの原因が引き起こされる可能性があり、いくつかの治療、薬を服用するために、いくつかの停止、薬を変更するには、病気の原因を見つけるために、元の病気を治すために緩和するために、間違いなく、単に限り、乾いた咳があるように、食べることは解決することができ、さらにいくつかはまた、これらの要因を避けることができる限り、この時間によって引き起こされる寒冷刺激や喫煙だけです!
昔は「癌の話をすると嫌われる」という言葉があったが、ここしばらくは「咳の話をすると嫌われる」ことが多いように思う。新型クラウン流行の影響で、人々は咳や乾いた咳にとても敏感になり、自分や他の人が新型クラウンかもしれないと恐れている。
風邪、気管支炎、喘息、肺炎、結核、気管支拡張症、気胸、肺気腫、肺がんなどが咳、空咳を引き起こすことがあります。咳、空咳の治療では、まず病気の原因を特定し、症状と病気の根本的な原因の両方を明らかにすることで、病気を早く、効率よく、完全に治すことができます。
例えば、新冠の患者が咳や空咳を発症した場合、早期の隔離や早期の入院をせずに咳止めの薬を飲むだけでは、他の人に感染させるだけでなく、自分の病気も急激に悪化し、命に関わることさえある。

たとえば、自然気胸の患者は、初期には軽度の空咳を伴うこともあり、そのようなときには咳止めは効果がないばかりか、症状を隠してしまうこともある。

そしてまた、過敏な空咳は肺がん患者の初期症状であることもあり、チェックが間に合わなければ早期発見の機会も逃すことになる。
だから、咳、空咳の治療薬には多くの種類がありますが、専門の医師に診察、鑑別診断をしてもらい、病気の原因を突き止め、その原因に応じて治療をすれば、2倍の効果があり、咳も早く良くなると思います!
通常、乾性咳嗽を発症した患者には、その原因に基づいて、より早く改善させることができる薬や食品の選択を明確にする必要がある。
より一般的な咳変種喘息などの呼吸器疾患は、気管支喘息の特殊なタイプであり、主に冷たい空気、花粉、煙の侵入のために、いくつかの高タンパク質の食事や他のそのような可能性のあるアレルゲンを食べるので、体が気道の過反応状態であることが表示されます。この時、気道の内腔が比較的狭くなり、うっ血や水腫が目立つので、抗アレルギー剤を選択し、パラセタモール、セチリジン、クロルテトラサイクリン、ジクロルテタミド、シプロヘプタジン、ケトチフェンなどのh1受容体阻害剤を服用し、気道の炎症を抑制する必要があります。

モンテルカストなどのロイコトリエン阻害薬も使用可能である。必要であれば、デキサメタゾン、メチルプレドニゾロン、プレドニゾンなどのグルココルチコイドも適切である。
また、アルブテロールとテルブタリンから選択できるβ2アゴニストなど、気道を拡張する薬剤を併用することもある。アミノフィリンも選択できる。
これらの薬によって気道が拡張して開き、炎症反応が抑えられ、咳の症状が緩和される。
単純な慢性気管支炎の急性増悪、慢性咽頭炎の急性増悪、急性咽頭炎、急性気管支炎には、デキストロメトルファン錠、複合甘草錠、フェヌグリーク咳止めシロップ、複合フォルコジン内服液、複合プロカテロール内服液、咳止めバイカルブなどの咳止め薬を組み合わせて使用することができる。

病因治療には、一般的な細菌感染に対してペニシリン系、セファロスポリン系、マクロライド系、キノロン系などの抗病原菌薬が用いられる。
ウイルス感染に対しては、リバビリン、オセルタミビル、シタラビン、インターフェロン、トランスファーファクター、その他の薬剤など、早期の選択肢がある。

食事療法も非常に重要な基本療法で、ニンジン、大根、セロリ、モヤシ、ケール、ピーマン、ハックルベリー、ジャガイモ、カボチャ、昆布など、色鮮やかな新鮮野菜を選ぶとよい。

ブドウ、スイカ、ライチ、リュウガン、パイナップル、パッションフルーツ、マロニエ、ハスの実、ナシ、オレンジ、ザボン、バナナ、リンゴなどの果物。


これらの野菜や果物は、軽くて消化吸収のよい野菜粥やフルーツスープにして食べることができる。

また、鶏の胸肉、鴨の胸肉、豚の赤身肉、羊肉の赤身粥などの赤身肉も摂取できる。
これらの成分は、十分な栄養供給を確保し、体の免疫力を向上させ、病原体と戦う体の能力も高めることができ、胃腸の消化負担を増やさないので、咳の症状を緩和するのに非常に好都合である。
この質問を見て、昨年、私の昔の同級生が、ある期間、いつも乾いた咳をしていて、痰はほとんど出ないか、ほとんど出なかった。
その後、医師は初期の肺塞栓症と診断し、抗凝固薬の投与を開始した。彼は肺塞栓症が原因で、乾いた咳の症状を伴い、本当に恐ろしい想像をして、ほとんど病気が遅れ、全体像から外れていた。
従って、痰のない乾いた咳の場合は、騒がず、症状を遅らせず、正しい対処法は以下のステップを参照し、注意深く対処することである。

咳は必ずしも呼吸器疾患ではない
咳は私たちの体の自己防衛行動である。咳の主な目的は、気道の異物や粘液、痰などを取り除くことである。
私たちが咳をすることができる主な理由は、気道にたくさんの咳受容体が分布しているからである。これらの受容体が刺激されると、その信号が脳に送られ、脳が呼吸機能を持つ筋肉に咳をするように命令する。
しかし、問題がある:呼吸器系以外でも、耳、鼻、のどの病気、循環器系の病気、消化器系の病気、中枢神経系の病気、さらには精神的な病気など、体内の他の器官の病気も気道の受容体を刺激し、同様に咳き込む動作を引き起こすことがある。
特に乾いた咳、痰が出ない、あるいは痰が非常に少ない、例えば1日10ml以下という場合は要注意である。この時、特に注意しなければならないのは、呼吸器疾患以外の原因、たとえば今述べたような耳鼻咽喉科疾患、心血管系疾患、中枢神経系要因、消化器系疾患、薬剤要因、さらには心理的要因などがあることです。

乾いた咳、まず重篤な病気の除外を
まず、乾いた咳が出たら、まず重大な病気の可能性を排除し、自分でそれができない場合は、遅滞なく医師の診察を受ける必要がある。
要約すると、乾いた咳を引き起こす可能性のある重大な病気のいくつかを以下に挙げる。
1.耳、鼻、のどの病気による乾性咳嗽:鼻炎、副鼻腔炎による咳、特に風邪の既往がある成人の空咳は、鼻内視鏡検査で診断が確定できる。
2.心血管疾患による乾性咳嗽:咳は循環器疾患の典型的な症状ではないが、冒頭で紹介した肺塞栓症の同級生のように、呼吸困難や胸痛、あるいは喀血を伴って空咳の症状を呈する疾患もしばしばあり、診断のためには画像診断だけでなく、臨床検査も必要となる。
3.中枢神経障害による乾性咳嗽:特に、脳炎や髄膜炎などの病気は、咳中枢を直接興奮させ、空咳を引き起こすことがある。
4.消化器系の病気による咳:胃食道逆流による乾性咳嗽で、少量の白色粘液性痰と日中の咳嗽が主である場合は、食道pHモニタリングが診断の助けとなる。
5.副作用による乾性咳嗽:たとえば、カプトプリルやベナドリルなどの降圧剤を服用すると、刺激性の空咳という副作用を経験する患者がいる。
6.心理的要因による乾性咳嗽:通常、子どもは日中乾いた咳をし、遊びの時間や夜寝た後に咳がなくなる。
さらに、不安、焦燥、ストレス状態にあるときに空咳を発症する大人もいる。
これらの重大な病気のいずれかがある場合、薬を買って飲めば済むという小さな問題ではなく、医師の診察を受ける必要がある。

乾性咳嗽は、呼吸器疾患が除外されて初めて呼吸器疾患として治療できる
重篤な病気以外の後の乾いた咳については、病気の重症度や期間にもよるが、まず自宅療養を行うか、直接医療機関を受診する。
1.家族の自助治療:単純な上気道感染による乾性咳嗽は、咳がひどい場合、咳止めやトローチを適切に使用することができます。
家庭での自助治療が無効または非効率的で、乾性咳嗽の症状が改善されない場合は、速やかに医師の診察が必要であり、通常は呼吸器内科で専門的な治療を受ける。
2.専門家の治療を受ける:
(1) ひどい空咳の治療:主な焦点は重度の咳であり、臨床医は専門的な咳止めとして中枢性または末梢性の咳止めを選択して治療する。
(2) 感染性の乾性咳嗽の治療:主にウイルス感染に伴う咳は、通常、抗ヒスタミン剤、鬱血除去剤、その他の薬剤で対症療法的に治療される。細菌感染が確認された場合にのみ、抗生物質が必要となる。
(3) その他の慢性空咳の治療法:咳の変形喘息、アレルギー性の咳などは、ホルモン療法、抗アレルギー療法で治療できる。
結論:乾性咳嗽は、まず重篤な疾患の可能性を除外する必要がある。第二に、呼吸器系の日常的な診断と治療に従ってのみ、軽症であれば、まず家庭で自助治療を行ってから、医師に相談して適切な治療を受けることができる。
私の意見に賛成ですか?
毎日更新される健康ホットスポット、医療ペインポイント。もし私が言うことが、まさにあなたが考えることであれば、朱小軍が言った健康にいいね、リツイート、フォローしてください!
特記事項:コメント欄で推奨されている薬はすべて、電話で購入するのではなく、慎重に試してほしい!
燕の巣の氷砂糖煮込みはいかが?
空咳の最も一般的な原因は咽頭炎であり、プジシン消炎内服液、清苓内服液などの中等度の消炎鎮痛薬や荊芥甘麦湯錠などを服用することで緩和される。空咳がひどいときは、フィナガンシロップや複合甘草シロップなどの咳止めを服用します。アレルギー性の咳や接触アレルギーの既往がある場合もある。まず、アレルゲンから患者を離し、デスロラタジンや塩酸セチリジンなどの抗アレルギー薬を服用します。

この質問と回答はサイト利用者のものであり、サイトの立場を代表するものではありません、侵害など、削除するには管理者に連絡してください。