口臭の原因とは?口臭を消すには?
口臭の原因とは?口臭を消すには?
谢邀。
口臭は、細菌の代謝物が口から吐き出されることで発生するため、口腔内の細菌を除去・減少させ、口腔内を清潔に保つことが口臭をなくす重要な方法です。口臭がひどい人は、口腔内細菌が多いことが原因の場合がほとんどです。
呼気臭の発生源はいくつかある。
1.口臭の80~90%は口腔から発生する。
(1)舌:舌の裏は口腔内で最も細菌が密集している場所であり、唾液中の細菌の最も重要な供給源である。口腔内の臭いの最も重要な発生源となる。
(2)歯周炎:口臭の第二の原因であり、歯周病患者は一般的に口腔衛生状態が悪く、舌が厚い。
(3)その他の歯原性疾患:口腔内の未治療の虫歯、不良修復物、食物挟み込み、ドライソケット、歯の詰まり、口腔内潰瘍、腫瘍などは、細菌の蓄積や食物残渣により臭いを発生させることがある。
2.口腔以外の原因による口臭の一般的な原因を以下に挙げる:
(1) 呼吸器系:慢性扁桃炎や化膿性扁桃炎などの耳鼻咽喉疾患に多い。鼻炎、慢性咽頭炎などの分泌物、慢性気管支炎などは呼気臭の原因となる。
(2) 胃腸系:逆流性食道炎によって逆流した胃酸は粘膜を刺激し、不快な臭いを発生させる。
(3)代謝異常:コントロールされていない糖尿病のような、より明確な体の死骸の蓄積は、腐ったリンゴの臭いを吐き出すことができます。腎不全は生臭い臭いを発することがある。

口臭って恥ずかしくないですか?実は、口臭は恥ずかしいというほど単純なものではなく、やはり病気なのかもしれない!
正常な人間の口腔にも一定の臭いが存在し、例えば朝起きると口腔が悪臭を放ちますが、これは一晩休んだ後、唾液分泌の口腔が減少しているためで、食べ物の残骸や口腔が腐敗の粘膜組織から離れ、この臭いは通常「口臭」と呼ばれ、歯磨きやうがいによって、生理的口臭とも呼ばれています!歯磨きやうがいで除去できる。本当に人を悩ませるのは、口臭が消えないことである。口臭の原因は、同時に以下の1つ以上である可能性がある:
1.口腔衛生:歯磨きが不完全であったり、間違っていたりすると、舌苔、歯垢、歯石、石灰、食べかすなどが大量に蓄積します。 口臭を発生させる細菌と、大量に蓄積したこれらの「危険物質」の腐敗作用が口臭を引き起こす。このような口臭は、病気などの病的要因によるものではなく、口腔衛生によって解消できるものです。
2.口腔疾患歯肉炎、歯周病、う蝕、その他の炎症性エピソードは臭いを発生させます。口腔内の乾燥も、唾液分泌の減少や細菌の腐敗の増加により口臭の原因となります。
3.呼吸器疾患慢性上顎洞炎、気管支炎、肺炎、上咽頭がんなどの上・下気道疾患が原因。
4.食中毒による口臭ニンニク、タマネギ、ドリアン、スパイシーな調味料を食べた後、口の中にある程度の臭いが残ることがある。
5.扁桃結石:扁桃腺上部の陰窩の長期閉塞、分泌物の排出不良、カゼ状物質の蓄積、結石に沈着したカルシウム、マグネシウムなどの無機塩の溶解が容易でない。扁桃結石はそれ自体が腐敗しているため、強い臭いがする。
6.腸の病気:便秘、消化不良、胃酸過多などの胃腸障害は、食べ物の腐敗臭を呼気によって体外に排出させることがある。
著者
趙東梅/国家公衆栄養士2級/国家登録薬剤師/中国栄養学会会員/横店学院講師2級
世界中の事例を教えてください。
私の友人はセールスマンで、しばしば店のトップセールスを務めているが、直近の四半期は業績が右肩下がりになっている。住宅ローンや車のローンは減らないのに賃金が激減し、生活上のストレスが一気に前面に出てきたというのだ。

しかし、彼はその理由を見つけることができなかった。明らかに、彼は以前よりも懸命に働いている。新規の客は2、3回話しただけで離れていき、古くからの客は彼を顧みなくなった。
そんなとき、ある友人が話しかけてきて、私は気づいた。彼は深刻な口臭症で、しゃべらなければいいのだが、しゃべると臭いが鼻につくのだ。そして、営業は話をする必要性を避けることはできませんが、それらの顧客は、不快感を見つけるためにお金を費やすことを望んでいない、自然に去った。

私は漢方の学生で、普段は健康科学をしているので、胃茶を一箱送っただけで、彼の大きな悩みが解決するとは思っていなかった。今では暇さえあれば外出を誘われ、食事にも誘われる。
なぜいつも胃が痛むのか?
昔は食べる余裕もないほど生活が苦しかったが、今は食べる時間に間に合わないほど生活が目まぐるしい。
生活のペースの速さ、仕事のプレッシャー、不規則な3食、空腹、満腹などの悪習慣。何でもないように見えるが、長期的に見ると、胃は本当に傷ついている。
特に元旦は、家族や友人たちが大勢で食事をしなければ会うことができない。鶏、アヒル、魚、肉が順番に、脂肪、甘い、厚い、脂っこい拒否することは、口の最高の時間であり、苦しむ胃の時間です。

私たちは現在1億人以上胃の調子が悪く、食事がうまくとれず、よく眠れず、口臭と体臭があり、胃はますます悪くなっている。
十胃九病」、悪い食習慣、胃に負担をかけすぎる。
胃の病気といえば、一般的には胃炎(胃粘膜の炎症の総称)を指す。多くの人は胃炎に注意を払わないが胃炎から胃がんまで、4つのステップで!

モンキーヘッドマッシュルームとクローブティーを飲んで胃に栄養を与える。
胃に栄養を与えるには、時間通りに食べるだけでなく、胃を温めるものを食べるべきだ!
中国医学によれば、"腎臓は先天性の基礎であり、脾臓は後天性の基礎である。"
体に栄養を与える前に、胃に栄養を与えなければならない。サルノコシカケは胃に栄養を与えるのに最高だ胃の調子が悪く、消化不良を起こしやすい人は、サルノコシカケを多めに食べると良い!胃もたれや膨満感を感じることが多く、消化不良を起こしやすい人は、サルノコシカケを多めに食べると良い!
サルノコシカケは北京テレビの『健康館』でも紹介された。

早くも薬膳大全』には、"サルノコシカケは性質が平たく、味が甘く、五臓六腑に効く "と書かれている。
そして、私がシャオリーに送ったのは、クローブ・モンキー・マッシュルーム・ティーだった。1ヶ月以上飲み続けた結果、口臭は消え、食欲もずっと良くなった。

クローヴ・モンキー・マッシュルーム・ティー千年前のレシピを改良養子縁組7つの食材を使ったレシピを目的に作られた。食欲増進、消化促進、脾臓の強化、胃の滋養強壮、殺菌、胃の毒素排出。..これを飲んだ友人の多くはこう言った。本当に体に違いが出るんだ。."
クローヴ・モンキー・マッシュルーム・ティーは千の黄金の翼の公式に定められている。胃を温め、栄養を与える科学的に改良されたレシピ。
改良型製剤消化不良、胃痛、膨満感、神経過敏の緩和..漢方薬の体を癒す良い効果も毎日の栄養補給に、副作用のない優しい成分。

胃のケア-クローブ・モンキー・マッシュルーム・ティー。長年胃に沈着していた毒素や細菌は、体内で代謝されながら体外に排出される!
毎日の滋養強壮に最適。1日1包、お湯で割って飲む!

さらに、クローブ・モンキー・マッシュルーム・ティーが選ばれる。7種類の天然ハーブ能力細菌の住環境を破壊し、ヘリコバクター・ピロリ菌に感染する可能性をゼロにし、脾臓を強化し、胃を養い、体を整える。
毎日、クローブ猿のキノコ茶のカップを作り、1ヶ月を飲むことを主張し、膨満感や腹部の息苦しさは、もはや持っていない、さわやかな、体が軽くなり、より快適になります。

必要であれば、ご覧になってください~↓↓。

一般に「口臭」として知られる口臭症は、様々な要因の作用により人間の口から発せられる不快な臭いであり、対人関係に大きな恥ずかしさと困難をもたらす。口臭がひどくなると、患者は内向的になり、自尊心が低下し、他人との付き合いを嫌がるようになる。
一般的に口臭の原因はいくつかある:
1.口腔衛生の問題:口腔衛生の清掃が不十分なため、口腔内に食物残渣が残り、口腔内細菌叢の作用で腐敗し、分解され、悪臭物質が発生する。
2、歯の問題:齲蝕、歯周炎、親知らずなどいくつかの歯の問題、特に齲蝕と親知らず、齲蝕は歯の内部構造の破壊によるもので、親知らずは歯の成長が正しくないためで、食べ物の象眼細工を引き起こしやすく、掃除が簡単ではなく、食べ物の残留物、腐敗、腐敗も起こりやすい。

3.消化器系の問題:漢方では「胃は熱く、脾は弱い」と言われ、食物がたまりやすく、胃に食物が長時間滞留すると消化不良を起こしやすく、逆流や噯気などを起こしやすくなる。胃の中の食物の腐敗や発酵と相まって、噯気は食物の腐敗臭や酸臭を発するようになる。また、胃の機能低下により、腸の機能にも影響を及ぼし、腸内細菌叢の乱れ、腸内排泄機能不全、便秘などの症状が現れ、さらに体内に毒素が蓄積され、消化管の症状を悪化させる。
口腔衛生に気をつければ解決することですが、長い間口臭があるにもかかわらず原因がわからない場合は、早めに医師に相談する必要があります。

答え:イェ・ジー医学博士。
ライフ・コーリングへようこそ。
口臭とは、口から発せられる不快な息の臭いのことです。口臭を甘く見てはいけません。口臭の多くは口腔内の病気が原因であり、体からの警告であることもあるのです。

なぜ口臭がするのか?
寝起きや空腹時に口臭が発生するのは正常な生理現象です。しかし、歯磨きをしても不快な臭いが残っている場合は、口腔内の細菌感染や舌の肥厚などが原因である可能性が高く、口臭の大半は口腔内の不潔が原因であるため注意が必要です。口臭のある人の多くは、毎日丁寧に歯磨きをしているのに、なぜ口臭がするのか、と同じ質問をします。実は、口臭の原因は多面的であり、多くの人は間違った方法で歯を磨いているために口臭があるのです。

口臭を消す正しい歯磨きの方法
1.歯を磨く前に、適切な歯磨き粉と歯ブラシを選びましょう。歯ブラシは、口の中でブラシヘッドが回転しやすい、小さめのブラシヘッドを選ぶのがベストです。歯ブラシの毛は柔らかくて細いナイロンフィラメントが良い。フッ素入りの歯磨き粉を選びましょう。これは効果的に歯を保護することができる。
2.ぬるま湯で、朝と晩に1回ずつ、3分ほど歯を磨くとよい。
3.多くの人は、ブラシで水を流したり、水ですすいだりする前に歯を磨くことを好むが、実はそうするのは間違っている。
4.多くの人は水平に磨くことに慣れているが、水平ブラシは汚れを落としにくいだけでなく、歯にダメージを与える。
5.長期間使用した歯ブラシは、毛先がある程度磨耗するほか、細菌が繁殖しやすいので、月に一度は交換したほうがよい。

新鮮で良い息を維持するための素晴らしいヒント:
1.定期的にフロスで歯と歯の間をきれいにする。
2.舌をきれいにするには、歯を磨くたびに歯ブラシで舌を2~3回やさしく磨く。
3.朝食をしっかりとり、口の中を清潔にし、唾液の分泌を促進する。
4.ニンニク、タマネギ、カレー、コーヒーなど、味の濃いものを食べた後は、忘れずに歯を磨く。
1.口腔衛生が保たれていない
お口の健康を維持することは、口臭を軽減するために不可欠です。ブラッシングとフロスを定期的に行わないと、有害な細菌が歯のエナメル質を蝕み、虫歯になる可能性があります。歯ブラシには多くの微生物が付着している可能性があり、それが口腔内に感染して口臭の原因となるため、歯ブラシは数ヶ月ごとに交換するようにしましょう。
2.朝の目覚め
朝起きると、口の中が乾いて汚く感じることがある。寝ている間は唾液の分泌が低下し、臭いの原因となる細菌が繁殖し始めるため、起床時に口臭がすることがあります。寝る前に歯磨きとフロスをすることで、夜も口の中を清潔に保つことができます。唾液は天然のマウスウォッシュの役割を果たすので、乾燥を防ぐために鼻呼吸を心がけましょう。朝の口臭を消す最善の方法は、起きて歯を磨くことです。
3.食べたもの
特にタマネギやニンニクのような風味の強い食べ物はそうだ。食べ物を噛み始めると、唾液に含まれる酵素が消化を始めますが、食べ物が血流に吸収されると、肺に移動して吐き出されます。歯を磨いたり、マウスウォッシュですすいだり、ミントを吸ったりしても、これらの悪臭をごまかすことしかできません。肉類、砂糖、高脂肪、辛い食べ物、乳製品など、特定の種類の食べ物を避けることは、口臭をなくすのに役立ちます。
4.スモーキング
喫煙は灰皿の臭いを残すだけでなく、実際に煙が口の中の唾液の流れを妨げ、ドライマウスの原因になります。タバコに含まれる有害な化学物質も口臭の原因になるが、カナダ歯科医師会によると、喫煙は心臓病や口腔がんを含むさまざまながんの原因にもなるという。
5.不潔な舌
舌は口臭の最も一般的な原因のひとつです。舌の "毛 "は粗いカーペットのようなもので、食べかすや細菌、鼻汁がたまりやすく、細菌が繁殖するための理想的な条件を作り出しています。歯ブラシは、歯のクリーニングのように舌のクリーニングに最適な道具ではありません。舌クリーナーやタングスクレーパーは、舌の表面に溜まった汚泥を掃除するための口腔衛生器具です。定期的に舌をきれいにすることで、呼吸の質が大きく変わります。
田舎から義理の姉が来てくれて、とても嬉しかった。料理や掃除を手伝ってくれるだけでなく、忙しいときには店の手伝いもしてくれる。忙しいときは店の手伝いもしてくれる。

というのも、義姉の口臭が特にひどかったからだ。
口臭は、実は彼女自身がすべて知っていることで、自分では嗅げないだけなのだ。あまりにひどいので、一緒に食事をしていても臭いがわかるし、店に手伝いに行くのはもちろんのこと、お客さんにも間違いなく影響がある。
義理の兄として、義理の妹を追い出すことはできない。まだこの口臭を治す方法を見つける必要がある。
古代の医学書に目を通すと、口臭の原因は胃の中の火が強すぎることだと書いてあった。だから、最初に彼の妻に言った、料理はそれらのスパイシーな、より軽い食べるために義姉に依存しないでください。

これも偶然なのだが、梨豆芳の歯磨き粉に出会って、成分を読んでみると、胃の火を消す成分が入っていて、さらに重要なのは伝統的な漢方処方の歯磨き粉で、これは市場では珍しい。私はためらうことなく、義姉のためにそれを買い戻した。

長い間、義姉を悩ませていた口臭がやっと消えた。ここで、このハーブ歯ブラシパウダーをお勧めするのは、口臭効果が良いだけでなく、歯茎の出血効果も特に顕著である。なぜなら、漢方医学によると、 "ネットワークの胃の歯茎"。下に表示があり、友人の必要性は↓↓↓に注意を払うことができます。
口の中に悪臭があることを、私たちはよく口臭と呼ぶが、少し注意すれば自分でも臭うし、周りの人も同じように臭う。これは、私たちの実際的な交流の中で恥ずかしいことです。口臭の発生に年齢制限はなく、短期間で治まることもあれば、ずっと続くこともあるため、長期的、短期的という特徴はありません。では、口臭の原因は何でしょうか?原因を理解し、症状を治療しましょう。

口臭の原因
1.食べること私たちのレシピでは、ニンニク、タマネギ、ドリアン、ネギなど、味の濃い食べ物が多い。これらを怖がる人の方が多いが、カブや青菜は人それぞれであり、これらが好きなだけの人がいるのも事実である。しかし、これらの食べ物による口臭は一時的なもので、短期間で除去することができる。

2、虫歯。齲蝕は齲蝕窩洞にある食べ物の残渣を適時に清掃しないため、細菌が繁殖し、腐敗臭の口腔内の食べ物の残渣の腐敗機能の細菌分解を引き起こす。したがって、適時にう蝕を修復することは口臭を解決する手段の一つである。
3.歯周炎患者。歯周炎の症状には化膿性炎症があり、唾液に膿が混じり口臭の原因となる。

4.入れ歯普段からわかるように、入れ歯を使用している高齢者の多くは、定期的な洗浄が必要である。歯と歯の隙間、さらには本物の歯と入れ歯の隙間には食べ物がたまりやすく、その部分は歯ブラシではなかなか落とせないため、食べ物の腐ったような臭いが長期的に蓄積してしまう。
5.隣接部位の病変口腔に起因しない口臭もありますが、呼吸器は口腔とつながっており、その病変は多かれ少なかれ口腔に影響を及ぼします。慢性副鼻腔炎、鼻炎、扁桃炎、壊死性肉芽腫などの病変の関連部位が口臭の原因として考えられます。
今回紹介した口臭の原因は何かという問題については、その原因を出発点として、その治療や解決に適切な手段を講じさえすれば、口臭が私たちにとって厄介なものになることはなく、問題が解決することもないと思います。一日も早い回復を願う。
こんにちは、ご質問ありがとうございます。以前は口臭がなかったのに、現在口臭があるとのことですが、その理由は以下の通りです:
消化器疾患:消化性潰瘍、慢性胃炎、機能性ディスペプシアなど、口臭を伴うことがある。
便秘:長期的な便秘は、体内の有害物質を適時に排出することができず、口臭、食欲不振、イライラなどの症状を引き起こす。
肺炎と鼻の病気:この2つの病気でも口臭が発生する可能性がある。肺に炎症が起こり、肺を通過する息から発生するガスが汚染されるからで、鼻の病気による原因も同様である。
肝不全などの全身性疾患:例えばケトアシドーシスは、甘いまたは腐ったリンゴの風味を呈することがある。

腐った卵の臭いは口腔内の病気を示唆
ある人は口の中がよく卵の腐ったような臭いがする、ある人は口の中が酸っぱい、ある人は口の中が腐敗したような臭いがする......口臭の原因はそれぞれ違うが、臭いもまた違う。一般的に言えば、口を開けると卵の腐ったような臭いがする場合は、口腔疾患の兆候のほとんどである。なぜ腐った卵のような臭いがするかというと、主に舌、歯のフック、残留歯根や歯冠に嫌気性菌や食べかすが多く隠れているためで、これらの嫌気性菌が食べかすを分解すると同時に硫化物が発生するため、口腔内は腐った卵のような臭いが充満する。
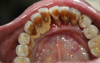
口臭の原因は歯垢と歯石
歯垢や歯石には嫌気性細菌と "栄養素 "がたくさん含まれており、これらの汚れが唾液によって簡単に洗い流されないようにする保護膜となっている。嫌気性菌は食べ物の残渣を分解し、口臭を発生させ、歯肉をさらに傷つける。これに加えて、厚く脂ぎった舌は嫌気性細菌を大量に宿しやすく、これも口臭の大きな原因となる。以上のような歯、歯茎、歯石へのダメージと感染が歯周炎を作り出し、一般的な口臭の原因のほとんどは歯周炎が関係していると考えてよい。

酸っぱい、腐敗臭は胃腸の病気を示唆する。
一部の慢性疾患では、口臭は通常の口臭よりもはるかに深刻であり、その「刺激性の腐敗臭」のみに基づいて、それは確かに口腔の問題ではないことを知っている。慢性胃疾患、胃食道逆流症などの患者は、口臭が酸っぱい臭いになることが多い。糖尿病患者は腐ったリンゴの臭いを吐くことがある。

そのため、上記の症状から、どのような原因があるのかを判断し、医療機関を受診するかどうかを選択する。判断がはっきりしない場合は、医療機関を受診した方がよい。
参謀長〜高双(国家公栄養士2級、中医薬学士、栄養学会会員、栄養科学創始者)
口臭は非常に迷惑なもので、他人であろうと、自分自身であろうと、他人の口臭は自分の口臭を吸うことになり、多くの人が攻撃されているが、自分の口臭はさらに話すことが困難であり、同じ兵士の間、恋人の間、人に話すことは、非常に恥ずかしい状況にある。結局その口臭は、どのような要因に起因している?

口臭の原因。
まず、歯周炎、歯肉炎、その他の口腔疾患など、口腔内の問題が原因で、口腔衛生が不潔になる。
第二に、ブラッシングをしないと、食べ物が口の中に残り、空気と接触し、酸化・発酵しやすくなり、腐食性物質や硫化物の形成が引き起こされる。
第三に、胃の熱、消化器系の問題は、この人は主に体脂肪、油性の輝きに満ちた人々を参照してください。つまり、漢方薬は湿度が高く、体が熱い人である。

第四に、多くの喫煙や飲酒、長期的な夜更かし、その結果、生理的状態の障害、内分泌障害、唾液分泌不足につながる、唾液分泌不足が原因で口腔内の酸濃度が高すぎる。唾液の分泌が不十分で、夜更かし、喫煙に加えて、有機唾液腺低形成のため、高齢者があり、唾液の分泌が不十分で、消化器系の問題につながる薬の様々な食べると相まって、また引き起こされる可能性があります。
第五に、ヘリコバクター・ピロリ感染、ヘリコバクター・ピロリ菌が体内に入ると、ウレアーゼ尿素によって加水分解され、悪臭を放つアンモニアが生成される。

口臭を防ぐには?
食生活を改善し、野菜や果物を多く摂り、3食を規則正しく摂り、高カロリーで消化の悪いものは控え、禁煙と禁酒を心がけ、十分な量の水を飲み、口腔衛生を守り、朝晩のブラッシングを欠かさず、毎回2分以上磨き、普段から身体活動を強化し、外部からの病気の侵入に対する抵抗力を高める。
この質問と回答はサイト利用者のものであり、サイトの立場を代表するものではありません、侵害など、削除するには管理者に連絡してください。