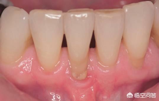
歯茎が後退して歯の根元が露出している場合、どうすればよいですか?
歯茎が後退して歯の根元が露出している場合、どうすればよいですか?
歯茎は不可逆的であるため、あなたは、歯周膜幹細胞の増殖を促す膜組織再生することができますので、歯周組織の再生は、歯茎がゆっくりと歯の根をカバーし、歯槽骨が成長するために、以前の高さに戻ることは困難であるため、歯茎は歯周膜の位置を占有されていない、正常な歯茎は、歯周膜がない場合は、再び成長し、歯科インプラントが異なっていない場合、根元の骨を移動することはできません。

どのような状況で歯は歯肉退縮を起こすのでしょうか?
1.不適切なブラッシング、特に水平方向のブラッシングは、3番の歯の位置がくさび形の欠損となり、局所的な歯肉の高さが減少する。
2、歯茎側の歯垢の蓄積は、病原性細菌を多数抱え、歯周組織の発赤や腫脹を刺激し、石灰化すれば歯茎の下、さらには歯周ポケット、歯槽骨の吸収は深刻である。
3、古い、歯茎も退化し、収縮は明らかであるが、生理的な誰もが、これは正常である。

歯肉退縮の合併症とは?
1.歯の知覚過敏
象牙細管が露出しており、温度や擦過などに非常に敏感である。熱いものや冷たいものを食べると痛むので、まずは抗アレルギー歯磨き粉を使用することで緩和され、後に自然回復する。
2、歯の隙間が大きくなる
スケーリング前に歯石を刺激すると、歯と歯の間の歯肉がなくなり、スケーリング後は炎症が治まり歯石がなくなり、自然に歯石が漏れ、しばしば詰まるので、デンタルフロスで清掃することをお勧めします。

歯ぐきが後退していても、歯周外科手術でまず炎症を治療すれば、高さは回復します。
バーニングブラザーズ歯科協会】へようこそ!バーニングブラザーズ医師があなたの歯肉退縮に関するご質問にお答えします!
歯茎が退縮してしまったら、膜を使った歯茎の手術を試すしかない。
膜性歯肉手術とは、自己の健康な角化歯肉組織を患部に移植し、付着歯肉を広げ、前庭溝を深くする手術です。下の前歯の複数の歯の唇側に使用されることが一般的です。大げさに言えば、西側の壁を修復するために東側の壁を壊すということです。
歯医者でこのようなケースを目にすることは今でも珍しいことではない。
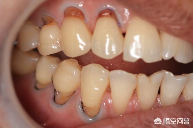
重度の歯石の蓄積、歯肉の炎症、歯周病、歯肉の後退、歯槽骨の後退は、歯を失う直接的な原因である。
長年にわたる歯の借金は、お金ですぐに解決できるとは限らない。

歯周組織は歯を根付かせる土壌のようなもので、土壌が失われると、後々インプラントをしたくてもできないのです。
歯肉退縮がすでに進行している場合、外科的治療を除けば、できることは現状を維持し、歯周病の悪化を防ぐことだけです。
歯周病治療は、歯槽骨の破壊と歯肉の炎症を抑え、歯と歯肉を健康に戻すために、歯垢と歯石の除去に重点を置く。
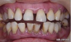
歯茎の後退は、比較的一般的な口腔内の問題であり、我々は常にこれが中高年の人々が状況になりやすいと思いますが、実際には、若い人が歯茎の後退が発生する可能性も非常に高いですし、歯茎の後退はどの程度まで最も深刻な後退になるのでしょうか?

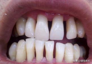
歯肉と歯の関係は、土と植物の関係に似ている。歯茎は一般的に歯肉床と呼ばれ、正常な歯茎は赤く、歯と歯茎の間に隙間がなく、充実していて丈夫で、歯根を完全に包み込み、歯を固定しています。
歯茎の後退について耳にしたことがあるかもしれない。では、歯肉退縮は最終的にどのくらい縮むのでしょうか?実は、歯茎が広範囲に後退することで、歯がゆるみ、やがて歯を失うようになるのです。

歯茎の後退が高齢者に特に目立つことは、私たちも経験しているかもしれません。人は年齢を重ねるにつれて、筋肉や大きさなど様々な部分が「縮んで」いくように見えます。しかし逆に、歯は長くなり、特に切歯が目立つように見えます。実はこれが歯肉退縮の現れなのです。

歯茎の後退は中高年にも若者にも起こるので、口腔衛生に気を配り、適切なブラッシングをすることが大切です。歯磨きは最低でも朝晩の2回、遅い場合はマウスウォッシュやお茶で口の中を清潔にすることも必要です。
また、歯の詰め物のような状況は、適時真剣に対処すべきであり、軽視してはならない。歯の隙間に残った食べ物は、時間内に摘み取らずに食べ続けると、歯茎を傷つけ、歯茎の退縮、膿瘍、口臭を引き起こし、最終的には歯が緩んだり、抜けたりする原因になります。詰め物をした後は、必ず時間内に摘み取るようにしましょう。

歯茎の後退がすでに明らかな場合は、早めに検査を受け、対策を講じることが大切です。歯周炎、歯石、口内炎、歯肉炎、歯茎の膿瘍、食べ物の詰め込み、咬み傷、合わない入れ歯などは、すべて歯茎の後退を引き起こす刺激です。これらの問題に対処することで、歯肉退縮の発生率を大幅に減らすことができます。

歯茎の後退を防ぐには、気づかないうちに歯にダメージを与えないように予防することが重要であり、すでに歯茎の後退がある場合は、遅滞なく対処することがさらに重要です。
歯茎が後退して歯の根が露出した場合の対処法
歯根が露出するような歯肉退縮は、医師の診察を受けて原因を特定し、的を射た治療を行う必要がある。
歯肉退縮の原因には、歯周炎、歯の位置異常、咬合性外傷、ブラッシング習慣の不良などがあります。
(1)歯周炎:歯周炎に罹患した歯は歯周ポケットを形成し、歯槽骨が吸収し、歯肉上皮が付着した位置が歯根に向かって後退し、歯根が露出し歯肉が退縮する。歯周炎の進行を遅らせるために計画的な歯周病治療を行う必要があり、歯肉退縮を改善するために歯周外科手術を行うこともできる。
(2)歯並びの異常:歯が頬側や舌側に偏って生えている場合、形態不良、清掃不良、プラークの蓄積などにより歯肉が縮小することがある。歯ぐきの形態を改善し、プラークの貯留を減らすためには、歯並びの異常の問題を改善する矯正治療を行う必要がある。
(3)咬合性外傷:異常な力によって歯が刺激され、力を受けた側の歯槽骨が吸収され、その結果歯肉が退縮することがある。咬合を調整する必要がある。
(4)悪いブラッシング習慣:過度に硬い毛の歯ブラシを使用したり、大規模な水平ブラッシング法を行ったりすると、歯肉を刺激して歯肉退縮を引き起こす可能性がある。口腔衛生教育を実施し、柔らかい毛の歯ブラシを使用し、歯磨きにはパスツール・ブラッシング法を採用すべきである。
歯肉退縮が起こった場合は、医師の診察を受けて原因を特定し、適切な治療を受ける必要があります。
校閲:天津口腔病院歯内療法科副医師長、Ma Shen氏。
医師の回答の詳細はこちら
歯茎の後退は不可逆的であり、まず歯周病治療を行い、歯茎の縮小スピードを遅らせ、歯の健康な状態を保つようにしましょう。
歯科医の受診が優先され、糖尿病などの全身疾患が原因の歯肉退縮の場合は、内分泌専門医の受診が勧められる。
歯茎の後退は一般的な症状で、50%以上の人が程度の差こそあれ歯茎の後退があることが研究で分かっています。特に中高年に多くみられ、年齢を重ねるごとにその傾向が強くなります。

01 歯肉後退の原因
歯茎の後退の原因は2種類の病因に分けられ、1つは生理的なもので、一般的に年齢と関係し、古いほど歯茎の後退が深刻で、これは一般的に歯周組織の長期的な炎症性刺激、または機械的な損傷、例えばつまようじピッキング、しばしば歯を差し込む時間などである。
もうひとつの歯肉退縮は、歯周炎、歯並びの乱れ、誤ったブラッシング方法(水平に磨く、勢いよく磨く)、全身疾患、全身的な病気(貧血やビタミンC欠乏症、糖尿病、白血病患者など)、悪い補綴物(不適応な入れ歯の縁が歯肉を圧迫し、歯肉退縮を引き起こす)、過度の咬合力(結果的に咬み合わせによる外傷が歯肉退縮を引き起こす)など、病的に引き起こされるものです。

02 歯茎の後退の症状
歯茎が赤く腫れ→歯の隙間が大きくなる→歯冠が "長く "なる→歯根が露出する→歯の知覚過敏この順番または同じ期間に従って、歯茎後退の初期症状は明らかではありません、根の嵐の対象は、より深刻な状況されているので、それは歯周病専門医または一般的な医療相談を掛けるために大規模な公立歯科病院に行くことをお勧めします(これは、民間の歯科病院が動作しないか、何を言っているわけではありません、ちょうど患者の数が歯周病学に特化するより適切な条件の部門のより詳細な分割です)。民間の歯科病院はできないか、どのように、ちょうど大規模な三次病院部門の部門がより詳細である、患者の数が多く、歯周病学に特化した条件がより適切である)。
03 歯肉退縮の治療
歯肉退縮は不可逆的であり、治療は現状維持と悪化や合併症の予防が主な目的です。

生理的歯肉退縮は、一般的に治療を目標とする必要はありませんが、プラークを制御することができ、プラークを制御するための最良の方法は、科学的なブラッシング、定期的な歯のクリーニングと口腔検査です。
病的な歯肉退縮はより複雑であり、病気の進行が抑えられるまで、系統的な治療を繰り返す必要がある。そして、糖尿病による血糖値のコントロール、貧血やビタミン欠乏による栄養不足など、原因となる因子を取り除く必要があります。
一方、歯肉退縮が原因で歯が敏感になっている患者は、歯科的減感作治療を選択することができる。
04 歯肉退縮のケア
デイリーケア
-食後に口をすすぎ、食後30分後に歯を磨く。
-歯ブラシを定期的に交換し、毛先の柔らかい歯ブラシを使用し、歯ぐきを傷つけ続けないように間違ったブラッシングパターンを直しましょう。
-歯磨き粉は、知覚過敏の不快感を軽減する知覚過敏防止歯磨き粉として選ぶことができる。
-食事の際は、反対側の歯茎が後退し続けないように、両側から噛むように注意する。

食事療法
-辛い食べ物は避けましょう。辛い食べ物は歯茎を刺激し、歯茎の発赤、腫れ、痛み、出血を引き起こします。
-タバコとアルコールは避けましょう。タバコに含まれるニコチンは、歯茎を刺激する有害物質です!
-魚、エビ、カニなどの魚介類は、知覚過敏を引き起こしやすく、歯茎を刺激するので避ける。
-噛むと歯茎を傷つける可能性のある硬い食べ物は避ける。
-オレンジ、イチゴ、牛乳、赤身の肉など、ビタミンC/Dやカルシウムを多く含む食品を多く摂り、新鮮な果物や野菜を多く食べる。
注
あなたの生活の中で、歯周炎を避けるために、口腔衛生、定期的な歯周基礎治療、歯石や歯垢の除去に特別な注意を払う必要があります歯肉後退を引き起こし続ける。
05 歯肉退縮の予防
歯茎の後退は様々な要因によって引き起こされる不可逆的な病気であり、早期の予防がより重要になります:

-好きなものだけを食べるのではなく、バランスよく栄養素を摂取するように心がけること。
-科学的なブラッシングは専門の歯科病院に相談し、柔らかい毛の歯ブラシに変え、口腔衛生の習慣を身につけ、少なくとも1日2回は歯を磨く。
-早期発見・早期治療のための定期的な口腔検査。
脾胃を補う漢方薬で大丈夫です。
歯根露出は、歯肉縁が歯根先端に向かって後退することによって起こる。この現象は臨床的に一般的であり、歯根露出は個々の歯に起こるものもあれば、ほとんどの歯に起こるものもある。歯肉退縮と歯根露出の臨床的原因には、いくつかの共通点がある:
- 不適切な歯磨き。毛先が硬すぎる歯ブラシ、粒子が粗すぎる歯磨き粉、のこぎりを使うようなクロスブラシの使用は、機械的刺激や摩擦によって歯肉組織の退縮を引き起こし、特に犬歯や小臼歯の領域で歯根露出を起こす可能性がある。
- 歯の位置の異常。解剖学的な要因により、唇側にずれた歯の唇側骨板は薄すぎたり、骨窓や骨剥離があっても、その歯が咬合性外傷を受けると、骨板はすぐに吸収され、歯肉退縮や歯根露出が起こります。
- 咬合力と矯正力の影響。歯に過度の咬合力が加わったり、歯科矯正で歯が唇側に移動したりすると、唇側の歯槽骨や歯周組織が薄いため、歯肉退縮や歯根露出が起こることが多い。
- 不十分な修復デザイン。リテーニングリングの位置が低いこと、アバットメントの縁が押されること、クラウンマージンが歯肉の下に位置することなどの好ましくない刺激も、歯肉退縮や歯根露出の原因となる。
- 歯周炎。歯周炎の病的変化のひとつに歯槽骨の吸収がある。歯槽骨が吸収して歯根膜の付着レベルが低下すると、歯周組織の高さも低下します。さらに、歯周炎は炎症を除去する治療や、歯周外科手術によって歯周ポケットの一部を除去しますが、この場合も同様に歯肉が退縮し、歯の根が露出します。
根の露出に対する治療法:
歯肉退縮の範囲や程度は様々で、治療法や結果も異なります。少量の均一な歯肉退縮や歯根露出の場合、症状がなければ治療の必要はなく、アレルギー症状のある方には減感作療法が可能です。
歯肉退縮を引き起こす可能性のある望ましくない刺激 をすべて取り除くように注意する必要がある。審美性に影響する歯肉退縮や歯根露出がある個々の歯や数本の前歯には、露出した歯の歯根面を覆うために、遊離歯肉フラップ移植術や側方転位フラップ術、結合組織フラップ移植術などのメンブレン歯肉手術が適用できます。また、誘導的骨再生も治療に使用できます。外科的に解決できない歯根が露出したほとんどの前歯には、審美性を改善するために人工歯肉を作製することができます。
各症例はそれぞれ異なるので、歯科専門家のアドバイスを受けることをお勧めします。
口腔清掃を重視することは日常的に最も重要なことであり、毎食後3分間の歯磨きは、最初は違和感があるかもしれないし、いつしか慣れてくると歯を磨かないことに違和感を感じるかもしれない。
この質問と回答はサイト利用者のものであり、サイトの立場を代表するものではありません、侵害など、削除するには管理者に連絡してください。