抜けた歯を保つには何を使えばいいのでしょうか?
抜けた歯を保つには何を使えばいいのでしょうか?
もしあなたも歯が抜けてしまい、どうすれば歯を保存できるかわからないのであれば、この記事を読めば必ず役に立つはずだ!
白くて丈夫な歯を持ち、おいしく食事をしたいが、加齢やその他の理由で歯が緩んでしまった。では、歯が抜けた時、どのような方法で抜けた歯を保存できますか?以下では、この問題についてお話します。

まず、この質問に答える前に、歯が緩んで見える理由をいくつか理解しましょう。
1.歯が抜ける生理的原因
加齢に伴い、多くの高齢者は歯が緩くなり始め、これは正常な生理現象であり、歯が緩くなることは、人が年を取ったことを示す。これは『黄帝内経・素問』に「五八、腎気衰え、髪落ち、歯窶れ......」とあり、人が40歳になると腎気が衰え、この頃から髪が落ち始め、歯が枯れ始め、緩みやすくなる。これは、腎気の不足が栄養の運搬に影響し、歯茎の老化と収縮が現れ、歯槽骨も収縮して短くなり、歯が緩んで見えるようになるためである。
2.歯周炎による歯のゆるみ
歯周炎によって引き起こされるいくつかの理由による場合は、歯周組織に影響を与えるだけでなく、長期的な歯周炎はまた、歯周膜繊維が直接歯周組織を攻撃し、細菌の様々な口腔が損傷を受け、歯周炎が順番に悪循環を形成し、歯茎の後退を悪化させるだけでなく、歯茎を破壊するだけでなく、歯のゆるみにつながった歯の硬さに影響を与えます。
さらに、歯周組織が退行性変化を起こすと、歯周線維の破壊や歯槽骨の吸収が起こりやすくなり、歯のゆるみにつながる。
3.歯の不適切な使用や事故による歯のゆるみ
歯は体の中で最も硬い骨だが、使い方を誤ると、例えば、ビールを歯で開けるのが好きな人がいたり(私も子供の頃よくやっていたが、幸い歯が折れたり緩んだりすることはなかった)、硬いものをかじるのが好きな人がいたりなど、いずれも歯が緩む原因になりやすい。
また、日常生活で誤って歯をぶつけたり、転んだり、叩いたりすると、こうした過度の外力は歯根膜を容易に傷つけ、歯と歯根膜の間の弾性繊維に影響を与えるため、歯がゆるみ、深刻な場合には歯が抜け落ちてしまうことさえある。

第二に、緩んだ歯を保つ最善の方法は何か?
1.歯を治す前に腎臓を養う
中国医学は、「腎臓は主骨であり、骨は骨髄を生成し、骨髄は腎臓の本質であり、残りの骨のための歯」と考えている。したがって、漢方医学の観点から、しっかりした歯かどうかは、腎臓の間の大きな関係の存在で、正常な人々の歯の歯は白く、しっとりとした強い、それは腎臓の気のためである強い、流体十分な理由は、腎臓の本質が十分でない場合、それは簡単に歯が緩んで表示されます。したがって、伝統的な漢方薬は、 "腎臓を上げるために、まず固体の歯 "と信じて、腎臓の気十分に白い歯と固体になることができ、簡単に落ちることはありません。
そのため、日常生活では、黒ゴマ、桑、ナマコ、クコ、黄精、墨蓮、チェストベリー、デンドロビウム、亀の甲羅、鹿の角、骨髄、クコ、ニラ、メアリ虫、杜仲などの食品や伝統的な漢方薬を多く食べたり、あるいは医師の指導の下、腎臓を補い、精を益する多くの中国の特許薬を服用することができます。さらに、多くの漢方薬の「固定歯式」があり、これも試すことができます。
2.毎日の適切なノック
漢方薬には歯を治すもう一つの方法があり、それは3度の食事の後、36回ノックすることである。具体的な方法は、歯が36回ノックすることができます各前後に、静かに口を閉じることです。歯をノックする過程で唾液の分泌を助長し、唾液は腎臓の本質であり、「玉漿」があり、腎臓の本質に栄養を与えることができるので、腎臓の固定歯の役割を達成することができます。
炎症治療
前述したように、歯周炎は歯の緩みの最も重要な原因でもあるので、歯周炎が治れば、歯周支持組織が再生・修復され、歯の緩みが改善され、歯が丈夫になります。
4.歯の固定
歯のゆるみが事故や不適切な歯の使用によって引き起こされた場合は、歯科固定治療を行う必要があります。 歯科固定装置は歯のゆるみを固定するために使用され、一定期間後、傷ついた歯根膜が徐々に回復すると、歯のゆるみが改善され、歯も丈夫になります。
5.口腔衛生に気を配り、歯を大切にする。
歯が緩んでいるのを発見した時、口腔衛生に注意しなければならず、朝晩の歯磨き、食後の口をすすぐこと、良好な口腔衛生習慣を維持することで、歯が緩んでいるのをさらに悪化させないようにすることができます。また、すでに緩んだ歯にさらなる損傷を避けるために、あまりにも硬い食べ物を食べないだけでなく、歯に十分なカルシウム材料を提供するために、より多くのカルシウムを摂取する必要があります。
要約
結論として、歯が抜けたからといって、必ずしも歯を保存できないわけではありませんし、必ずしも抜歯しなければならないわけでもありません。問題の具体的な原因に対処し、効果的な治療を行う限り、ほとんどの場合、抜けた歯を保存し、それ以上緩みが悪化するのを防ぎ、さらには歯が丈夫になるように治すことができます。

著者注:私は皆のために健康関連の知識を普及させるために非常に満足している、私は専門的な医療知識を普及させるためにあなたのための簡単な言葉で毎日、医療を言うために左利きだ、コードワードは簡単ではありません、あなたは私の記事のような場合は、賞賛を指すように私を助ける!あなたはまだ質問がある場合は、コメント欄にメッセージを残すことができ、前方に注意を払うことを歓迎し、あなたのサポートに感謝します!
歯が抜ける原因はさまざまです。小さなクリニックの医師では歯を抜くことに抵抗があると感じたら、できるだけ早く信頼できる病院に行き、診断結果を確認し、タイムリーに治療することができます。
歯が抜けた場合の一般的な治療法をいくつかご紹介します。
1、歯周炎は緩い歯の主な原因であり、歯周基本状態を改善することが重要であり、定期的なクリーニング、正しいブラッシング方法を維持し、適切な口腔静菌薬は、治療の根源から、歯周炎の原因の調査を支援する。
2、外傷による歯の緩み、適時の診察と固定が必要で、あまり詳しく説明する必要はない。
3、緩い歯によって引き起こされる身体機能の低下のいくつかのために、目標とする薬物治療の後に包括的な検査することができます。
4、既存の緩い歯のために、健康管理のための歯周マッサージをノックすることができます。
2020年9月 "人民日報 "は、すべての人がこの問題に注意するよう呼びかける記事を発行している緩い歯の友人は、あなたがそれに注意を払う?あなたはまだに注意を払う理由がわからない場合は、真剣にこの記事を読む必要がありますああ~~~。

歯が緩む原因は様々ですが、最も重要なのは歯の外傷と歯周炎です。その他の病因には、歯根端領域の顎骨内腫瘍、全身性全身疾患、局所的咬合外傷、歯根膜炎などがあり、いずれも注意が必要である。
特に、中高年のほとんどは歯が緩いという問題を抱えており、食べることが強さを作ることができない、冷酷な摘み取りとリスクを取る勇気がない、ジレンマのジレンマに陥っている。
"10年以上前から歯が緩み始めたのですが、原因も分からず、食べる時も痛いし、物を噛む力も出せないし、時々痛くて頭が腫れます!以前は知らなかったし、医者にも行かなかった。今は抜きたくない、とても痛いんだ!"79歳のモンクレールアウトレットオンラインは、非常に苦しそうに言った。

では、抜けた歯を抜かずに普通の食事に戻る方法はあるのだろうか?
あるんだ!

しかし、最初のステップは、歯が抜けた原因を見つけることです!
抜歯の痛みに耐えなくても、適時に治療しさえすれば、緩んだ歯を固定し、修復することができる。例えば、初期の智歯周囲歯周炎など、根管手術、深刻な患者は先端手術を実施する必要があり、病巣の先端領域を除去することができますなど。
歯が抜けているのを見つけたら、できるだけ早く治し、そのままにしておくことです!急いで歯を抜いたり、放置したりしてはいけません。その代償として、歯肉の後退がひどくなり、後の段階でベニアやインプラントを入れることが難しくなります!治療が早ければ早いほど、抜けた歯を残せる可能性が高くなり、より良い修復物が得られます!治療が早ければ早いほど、治療費も節約できます!
歯を緩めておけば、肋骨を噛んだり、ピーナッツを噛んだり、餅を食べたりするのに問題はない!

適時の治療により、抜歯することなく、抜けた歯を固定し、残存歯根を修復することができる!抜けた歯はどのように治すのでしょうか?治療期間はどのくらいかかりますか?
限られたスペースのために、一つずつ説明されることはありませんが、友人を理解する必要があり、私をフォローする歓迎+プライベートメッセージ私にああ〜〜〜〜。
お誘いありがとうございます。まず、歯が抜けた原因を見つける必要があります。
1.歯周炎。
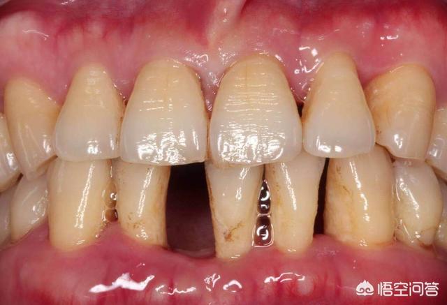
原因:1) 細菌の蓄積。細菌の代謝産物が歯の表面に付着し、通常のブラッシングでは除去できない。 2) .歯石 歯石とは歯の表面に沈着したミネラル化したプラークを指し、その沈着部位や性質によって歯肉縁上歯石と歯肉縁下歯石の2種類に分けられる。 (1)歯肉縁上歯石は歯肉縁上の歯面にあり、肉眼で直接確認できる。 (2)歯肉縁下歯石は、歯肉縁下の歯根面、歯肉ポケットや歯周ポケットに存在し、肉眼では直接見ることができず、歯周炎になりやすい3)。外傷性咬合 咬合時に、咬合力が大きすぎたり、異常な方向にかかったりして、歯周組織が耐えられる合力を超え、歯周組織に損傷を与える咬合を外傷性咬合という。外傷性咬合には、咬合時の早期接触、歯列との干渉、夜間の歯ぎしりなどがある。 4).また、食物の挟み込みも歯周組織の炎症の一因となる。歯周炎になると、しばしば1本以上の歯が抜けてしまう。
臨床症状:歯のゆるみに加えて、歯肉のうっ血、発赤、腫脹、歯周ポケットの形成、ひどい場合には膿瘍の形成を伴うことがある。
治療:ゆるみが2mm以下であれば、歯肉縁上清掃や歯肉縁下掻把、咬合調整、食物挟み込みの除去、抗生物質の使用、膿瘍の切開排膿などを行うが、ゆるみが2mm以上であれば抜歯をお勧めする。
2.外傷。歯槽骨や歯を破折させ、一過性に歯がゆるむことがある。 治療:歯周スプリントで患歯や歯槽骨を固定し、流動食や軟らかいものを食べ、なるべく歯を休ませる。重度の骨折の場合は外科的切開による内固定が必要です。
3.歯自体の病気。一般的な歯根端の炎症、性能、咬合痛、患歯の浮遊感、歯のゆるみ 治療:まずオキサリプラチン・メトロニダゾールなどの抗生物質を服用して治療し、病院で根管治療を受けることができます。
4、乳歯の生え変わり、妊娠などの生理的なゆるみ。歯が生え替わる時の乳歯のゆるみの外傷に対して、歯が生え替わる時の乳歯の根の生理的吸収による乳歯のゆるみは自然な現象であり、口腔衛生に注意する必要があり、抜歯する必要がなく、乳歯が自然に抜け落ちる。妊娠中の乳歯のゆるみも、口腔衛生を維持し、歯を刺激する食べ物の使用を避けるだけでよい。
以前、85歳の患者さんがいたのですが、腸がんの手術後の回復の指標はすべて非常に良かったのですが、退院後に歯が抜けて歯が抜け、何も食べられなくなり、最終的に重度の栄養失調に陥ってしまったので、人々は悲しみを感じずにはいられませんでした。結局、家族はミキサーを購入し、体を調整することができるように、すべての食品を分解し、溶解した。
歯が抜けてしまう原因は様々ですが、良い歯を手に入れるため、または根本的な原因から対策を見つけるためには、やみくもに薬を服用するのではなく、ほとんどの場合、薬は症状を治療するものであり、根本的な原因を治療するものではありません。
歯が抜ける原因は何ですか?
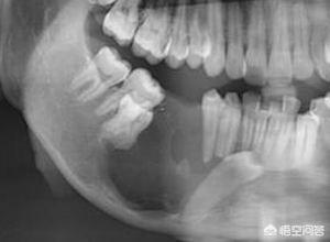
1.智歯周囲炎
歯が虫歯になったり外傷を受けたりすると、細菌が歯髄組織に侵入し、感染が歯根周囲組織に広がり、歯根周囲炎に発展すると、歯がゆるくなり、浮遊感や咀嚼時の痛みを伴うようになります。
2.歯周炎
歯周炎患者は、歯周支持組織の喪失と歯根を包む歯槽骨の吸収により、さまざまな程度の歯のゆるみを経験し、歯槽骨の吸収が重度の場合は歯を失う可能性がある。
3.歯の外傷
歯に突然外力が加わると、歯の動揺や歯根・歯冠の破折が起こり、歯が抜けてしまうことがあります。
歯が抜けたらどうすればいいのですか?
1.智歯周囲炎の治療
根尖周囲炎の最良の治療法は根管治療です。医師は特殊な器具を使って根管内の感染を除去し、生体適合性のある材料で根管内を密閉することで、感染の再侵入を防ぎます。根尖周囲炎が治まった後、歯がゆるくなったり、浮いたような感じになったりすることはありません。
2、歯周炎を積極的に治療し、歯周病の進行を遅らせる。
定期的なフルマウスクリーニング、必要に応じて歯肉縁下のスクレイピングとルートプレーニング、重度の歯周炎には歯周フラップ手術を行います。積極的な治療によってのみ、歯周病の進行を効果的に遅らせることができるのです。

3.歯の外傷の治療
歯冠が破折しておらず、歯が緩んでいる場合、医師は特定の材料で緩んだ歯を固定し、定期的に歯髄の活力をチェックし、歯髄が正常かどうかを確認し、壊死している場合、根管治療を行い、壊死組織を除去し、感染の拡大を防ぐ必要があります。歯冠破折が重篤でなければ、根管治療後に歯冠修復を考慮すべきである。歯根が破折している場合は、患歯を抜歯し、後日インプラントまたは固定式ブリッジによる修復を検討する。
この回答は歯科医師によって提供されたものです。もし参考になったなら、「いいね!」を押して応援してください!
歯が緩んだ場合、まずその原因を特定する必要があります。一般的に、生理的なゆるみと病的なゆるみに分けられます。
生理的ゆるみ
生理的なゆるみは一般的である。歯が生える時期小児では、乳歯の歯根が吸収されたときや、歯根の発育が不十分で永久歯が萌出したばかりのときに、乳歯と永久歯の抜け替わりが現れることがある。
在矯正治療この間、歯は骨の成長と吸収によって動き、その過程で軽度のゆるみが生じることもある。
解決策:この種の生理的ゆるみは、放置して経過観察と経過観察でよい。

病的なゆるみは、原因によって解決法が異なる。
1.歯の外傷。外力によって歯に衝撃が加わると、歯が動いたり、緩んだり、脱臼したりすることがあります。脱臼した歯は、再植した後も緩んでいることがあります。
治療プログラム1.外傷で緩んだ非脱臼歯は、活動度が小さい場合、短期的に患部の歯で食べ物を噛まないで、患部の歯を完全に休ませる。2.活動の程度が大きい場合、歯が固定されるように、緩んだ歯の固定結紮の隣の歯のサポートを使用する必要があります。固定装置の除去後2-4週間。3.結紮後の固定装置の除去後、まだ緩みがある場合は、定期的な観察とフォローアップ、抜歯の可能性を通知する。4.また、緩みのカテゴリーは、緩んだクラウンの光ですが、歯の根が緩んでいない、緩んだ歯のクラウンの一般的な除去があります。一般的に、緩い歯冠は抜歯し、歯根は根管治療で保持する。
2.歯周病 歯周病は一般的に歯の緩みと関連している。。
治療プログラム歯周病変や緩みの程度によって、歯周病治療法は異なり、一般的には歯周スケーリング、歯周外科、緩んだ歯の結紮、罹患歯の抜歯などが選択される!
3.智歯周囲炎.罹患歯の智歯周囲に炎症がある場合、特に急性炎症では、罹患歯は浮遊感を示し、歯が緩む。
治療プログラムドレナージ+抗炎症剤で急性炎症症状を緩和し、急性炎症が治まった後、歯の状態に応じて、歯根膜病変を根管治療して患歯を残すか、抜歯するかを決める。
4. 顎の嚢胞性腫瘍などの病変。歯を包む顎骨に嚢胞や腫瘍などの病変があり、顎骨の骨質が著しく変化している場合、病変部位の歯は緩みます。
治療法:顎病変の外科的治療、病巣部の抜歯、歯根端手術。
つまり、歯が抜けた原因を特定することが、解決策を決定するために必要なのです。早期発見、早期治療が望まれます。
私のやり方は歯を折ることだ。
以前のQ&Aで詳しく取り上げました。過去に歯を守るために休憩を取らなかった結果、5本の歯が抜け落ち、2本の切歯が事故で抜け落ち、そのままくっついてしまいました。
歯科医院で歯列矯正をしてもらい、そのときに自分の歯を守ることに気をつけた。この頃には、残っていた歯の何本かが抜けていた。私は毎日、朝の散歩中に歯をへし折るプログラムを始めた。2年前から1日300回続けていますが、抜けた歯はまだ抜けていませんし、歯も丈夫になってきています。
歯をへし折る練習をする前は、歯はゆるく、半月も経たないうちに抜け落ちていた。これが歯をへし折ることの利点であり、私は歯科医ではない。
また、私は排尿時に上下の歯を食いしばる癖がある。これは歯並びを治すのにとても有効で、誰かから教わって習慣になりました。
今は食事をするたびに口をすすがなければならない。夜、歯列を外し、塩水ですすいで浸し、歯を磨いて寝る。他にすることがないときは、歯も折る。
私は55歳ですが、歯並びは基本的に普通で、食事にまったく支障がないので、それで満足しています。私の言うとおりにすれば、抜けた歯を維持できるはずです。
偉人たちに脱帽!朝晩の歯磨き。
歯をノックし、歯を固定する最初の方法は、冷やした冷たい飲み物イー少ない飲み物。
舌で口を洗い、玉液を飲み込み、食後はお茶で口を洗う。
歯のゆるみがそれほど深刻でない場合は、抜歯治療をせずに元の歯を残すようにすることをお勧めしますが、これは専門医の臨床診断に基づいてのみ結論付けられます。外傷によるゆるみであれば、治療は早ければ早いほどよいでしょう。軽度のゆるみであれば、治療で治すことができ、通常は健康な歯に戻すことができます。
歯周炎で歯が抜けた場合、歯石がたくさん付着していたり、歯肉の退縮で黒い三角形が現れたり、歯肉から出血したりすることで現れます。歯周病治療を行うには、最も基本的な方法は、超音波洗浄、歯肉縁下スクレイピングで歯の周りの歯石や歯垢など炎症の原因となるものを取り除くことです。また、歯のセルフクリーニングを入念に行う(歯磨きのたびに必ずフロスを使用する)ほか、定期的な検診を受け、病変の後退が遅れている場合は、状況に応じて歯周外科治療を受けることになりますが、この治療の主な目的は、歯の周囲の炎症を完全に除去し、治癒を促進することです。
歯の緩みがひどい場合は、過度に緩んだ歯を抜歯し、その時点でベニアを入れることができます(親知らずの抜歯にはベニアは必要ありません)。
この質問と回答はサイト利用者のものであり、サイトの立場を代表するものではありません、侵害など、削除するには管理者に連絡してください。