進行したHIVの症状は?
進行したHIVの症状は?
進行したHIVの症状は?
HIVがヒトの免疫系にダメージを与えた後、ヒトの免疫不全、肺炎、敗血症、結核などの様々な日和見感染症や腫瘍性疾患の発生につながる可能性がある。具体的な症状は?
日和見感染病原性の弱い病原体のことで、人体の免疫機能が正常なときには病気を引き起こさないが、人体の免疫機能が低下すると、その状況に乗じて人体に侵入し、さまざまな病気を引き起こす。
一般的な日和見感染症は以下の通りである:
1.結核
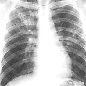
2015年現在、約39万人のHIV感染者が結核で死亡している。結核はアフリカでHIVとともに生きる人々の死因の第1位であり、世界的にもHIVとともに生きる人々の死因の第1位である。症状には発熱、寝汗、咳、痰などがある。

2.細菌性肺炎
異なる細菌による肺炎の臨床症状は、病原体や宿主の免疫状態(例えばグラム陰性菌)によってかなり異なる。一般的な症状としては、発熱、咳、痰、膿性または血性の痰、胸痛の有無があり、重症の場合は呼吸困難、呼吸数増加、鼻汁がみられる。
3.ニューモシスチス・カリニ肺炎
症状には、息切れ、発熱、空咳があり、このうち息切れと空咳は特異的なものである。 AIDS患者の経過は緩徐で、体格の減少、寝汗、リンパ節腫大、全身倦怠感から始まり、上記の呼吸器症状が数週間から数ヵ月続く。未治療での死亡の100%は呼吸不全によるものである。本疾患は重篤な症状を示すが、肺徴候はまれで、ほとんどの患者は肺の聴診で異常を認めない。

4.クリプトコッカス症
HIV感染者がこの疾患を併発した場合、急性に発症し、主に頭痛と髄膜刺激徴候が現れ、患者の病状はより深刻で、予後は非常に不良である。死亡率は90%以上である。これは、この病気がいかに危険であるかを示している。
結論:エイズ末期はますます深刻になるため、早期の診断と治療が勧められる。
エイズ関連の知識については、李平博士、私と一緒に健康道路を心配することができます!
AIDSが進行すると、HIVは体のCD4+Tリンパ球を破壊し続け、免疫力が徐々に低下し、多くの日和見感染症や腫瘍にかかりやすくなる。

日和見感染とはどういう意味ですか?
日和見感染症とは、身体の免疫力が正常なときにはなかなか感染しない感染症のことである。例えば、真菌は通常ヒトの口腔内に存在するが、免疫力が低下しているときに限って、これらの真菌が病気を引き起こす病原微生物に変化し、真菌性口腔粘膜炎や食道炎を引き起こすことがある。

病原体が待ち構えているのは、人の免疫力が低下した時である!
より一般的な日和見感染症
- カリニ肺炎
主な症状は、発熱、乾いた咳、胸のつかえ、徐々に悪化する呼吸困難である。

- TB
結核はAIDSと同時に発症することもあれば、AIDSの前に発症することもある。AIDSの後期になると免疫が破壊され、潜伏していた結核菌が活性化し、結核を引き起こす。主な臨床症状は、発熱、咳、痰、喀血、寝汗、体重減少、食欲不振である。大まかな統計によると、HIV感染者の15%が結核を発症する可能性がある。

- 非結核性抗酸菌症
この感染症の症状は結核とやや似ている。しかし、進行したAIDS患者では、しばしば全身性の菌の広がりとして現れる。結核の症状に加えて、貧血、肝脾腫、全身のリンパ節腫大がみられることもある。

- サイトメガロウイルス感染症(CMV)
サイトメガロウイルス感染症は、AIDS患者に最も多くみられるヘルペスウイルス感染症である。HIV感染者のサイトメガロウイルスは、免疫力が正常な人に発現するサイトメガロウイルス感染症とは異なり、眼、消化器系、中枢神経系など全身の複数の臓器に侵入する。サイトメガロウイルス網膜炎脈絡膜炎が最も一般的で、飛蚊症や急激な視力低下がみられる。

- 帯状疱疹
これは言うまでもない。HIV感染者の多くは、帯状疱疹の出現によってHIVに感染していることを知る。

- その他の日和見感染症
トキソプラズマ脳炎は、中枢神経障害の徴候を伴う発熱を主症状とする。真菌感染症は、緑膿菌感染症、クリプトコッカス・ネオフォルマンス感染症、マルニフィルディア・バスケラ感染症が最も多い。

エイズ関連腫瘍
非ホジキンリンパ腫やカポジ肉腫は、免疫不全により、腫瘍細胞を「監視」し「闘う」免疫系の能力が著しく低下したエイズの末期に発症することがある。肺、肝臓、神経周囲腫瘍など他の腫瘍とAIDSの関係も注目されている。

HIVの発症や進行段階を疑う兆候は何ですか?
人体のCD4+ T-リンパ球が200未満であれば、常に症状が出る可能性があり、このような症状で一杯になる:
- 原因不明の38度以上の不規則な発熱が1ヵ月以上続く
- 1ヵ月以上続く下痢
- 再発性の口腔真菌症
- 単純疱疹および帯状疱疹ウイルス感染症の再発
- 再発性肺炎
- 中高年の認知症
- 敗血症の再発
- 再発性の真菌性皮膚感染症
上記のような症状については、HIVと診断されたことのない人は、適切な場所に行かないでください。疑わしい場合は病院でHIV抗体検査を受けてください。

私は感染科の肺博士です、私は医学が好きで、国民に病気の予防と治療の正しい概念を伝えるために、私の生涯の絶え間ない追求であり、注意を追加することを歓迎します!
エイズは、正式名称を「後天性免疫不全症候群」といいますが、実際、エイズの正式名称を本当に理解しようとすれば、HIVの最初の感染が最も恐ろしいのではなく、HIVウイルスの段階的な浸食によって、私たちの体の免疫システムが完全に崩壊し、風邪さえも止めることができない最も恐ろしい状態をもたらすこと、言うまでもなく、後期には死ぬまで病気の様々な深刻な症状が現れることがわかるでしょう。最も恐ろしいのは、普通の風邪でさえ止められない状態をもたらす免疫システムの完全な崩壊であり、言うまでもなく、この病気の後期に起こる様々な深刻な症候が死に至るまで続くことである。
多くのエイズ患者は基本的に急性期、無症候期、エイズ期の3つの段階を経て、いわゆる後期エイズ期はエイズ期の最終段階である。エイズ患者の初期に、一度風邪を引いただけでなく、何とか肺炎に発展し、どのように治療すれば良い治療効果を得ることができない;またはいくつかのエイズ患者は、原因不明の下痢が表示され、それを停止することは容易ではありません;水疱の様々な大きさの皮膚に表示され、帯状疱疹のように少し感じるなど、実際には、これはエイズの段階の初めに入るためにエイズ患者である可能性があり、それが最後まで発展し続けると、エイズ患者は本当に高度な段階に入るでしょう、通常は次のような症状。病気が最終段階まで進行すると、エイズ患者にとっては本当に進行期に入り、通常は次のような症状が現れます。
重度の細胞性免疫不全、つまり細菌やウイルスに平気で攻撃され、HIVによって体の主要な免疫細胞を戦闘に向かわせるCD4細胞が完全にノックアウトされたために無防備になり、気密性の高い密閉された無菌環境で生活しなければならない;

- 悪性腫瘍、特にカポジ肉腫やリンパ腫の出現と、生体の無秩序な細胞増殖により、悪性腫瘍の発生は避けられない;
- ニューモシスチス・カリニ肺炎(PCP)、深在性真菌感染症、活動性サイトメガロウイルス感染症など、多種多様な感染症が存在する;
- 脳幹神経や末梢神経が侵され、認知症になり、身の回りのことができなくなり、明らかに衰弱し、片麻痺になる。
このように、エイズ患者の末期症状は実に拷問のようなプロセスであり、死の時期を告げるものではないが、時間切れを示唆するものである!
最近、感染症の章を学んだところですが、エイズに関する知識は、皆さんの関心が高いようです。そこで今日は、医療警察署から、エイズがどのような病気なのか、一般向けに説明します。
エイズとは何か?
エイズは、医学的には後天性免疫不全症候群として知られ、HIVウイルスによって引き起こされる病気である。慢性感染症エイズが伝染病であると初めて聞いたとき、多くの人が恐れを抱くと思います。エイズが伝染する病気だと聞くと、多くの人が恐れ、エイズ患者と接触するのをためらうと思う。実際には、エイズの感染経路はむしろ特殊であるため、人々がそれほど恐れる必要はない。
HIVの感染様式は?
1:血液感染、つまりエイズ患者と血液の接触があれば感染する。つまり、エイズ患者の血液を輸血された場合、エイズ患者と注射針を共有した場合、体の傷口からエイズ患者と接触した場合など、エイズ患者と血液の接触があれば感染します。
2:母子感染(MTCT)とは、エイズに感染している女性から生まれた赤ちゃんは、必ずHIV陽性になることを意味する。
3:性的感染、これは性交をすれば感染するという前提で見ている人が多いが、実際には安全対策がある限り、基本的には感染しない。
エイズの兆候とは?
エイズは潜伏期間が長く、中には一生続くものもあるため、エイズ患者は通常、後期になるまで症状が現れない。HIVは身体の免疫系を攻撃するため、患者にはそのような特異的な症状は現れない。免疫細胞CD4平均的な人よりはるかに低くなり、免疫細胞CD4 (基本的にないといってもいい。)、例えば普通の人は風邪をひいても点滴で治るが、エイズ患者は再発を繰り返し、他の感染症にもかかりやすい(生活環境に存在する細菌によって異なる)。このとき、エイズ患者の皮膚にはあざができることが多く、いつ出血してもおかしくない。ヘルペス、梅毒、肺がん、腫瘍など、エイズ患者にはあらゆる種類のものが現れる可能性がある。
だから、エイズは治療よりも予防が大事なんだ。
医療警察署が気に入ったら、フォローをクリックしてください!
エイズの後期は、主に免疫機能の低下により、あらゆる種類の感染症にかかりやすくなり、普通の人には感染しない病原体も、エイズの後期には致命的な病気になります。例えば、ニューモシスチス・カリニ肺炎は、主な症状は発熱、乾いた咳で、治療しなければ、すぐに低酸素症になり、活動後に息切れしたり、あるいは完全に動けなくなり、治療が適時に行われなければ、呼吸不全で死亡します。
サイトメガロウイルス感染による網膜炎もあり、これはかすみ目や最終的には失明につながる。トキソプラズマ脳症は片麻痺や失語症を引き起こすことがある。クリプトコッカス脳炎は激しい頭痛を引き起こすことがあり、これらの病原体は通常、免疫不全の人に到達すると、病気にはならずに免疫系によって制御される。
日和見感染症に加えて、カポジ腫瘍やリンパ腫などの日和見腫瘍もある。


患者さんには少し距離を置いてあげてください。 話さない方がいいんです。
百度(バイドゥ)で検索すると、このような質問の見出しは何度も何度も繰り返されている。
本物の末期エイズ患者を見たことはないが、写真は見たことがある。
AIDSは後天性免疫症候群(acquired immunity syndrome)の頭文字AIDSの中国語訳である。HIVウイルスの作用により、細胞性免疫のT細胞が枯渇し、細胞性免疫の喪失に伴って体液性免疫が機能しなくなることを意味する。つまり、人は病原体や自分自身の突然変異を阻止する能力を失うのである。例えば、結核
腫瘍、肺炎など。
したがって、エイズの治療では、漢方医学は体を強くすることに重点を置く。西洋医学では、ウイルスの量を減らすだけでなく、T細胞の存在をいかに刺激するかに重点を置く。
この質問と回答はサイト利用者のものであり、サイトの立場を代表するものではありません、侵害など、削除するには管理者に連絡してください。