高血圧性心疾患とは?
高血圧性心疾患とは?
高血圧が怖いのではなく、怖いのは高血圧によって引き起こされる合併症である!
高血圧の人は自覚症状がないことが多く、そのため1億5千万人近い高血圧患者が自分の高血圧に気づかず、ましてや血圧をコントロールしようとせず、その結果、多くの心血管疾患や脳血管疾患を引き起こしている。高血圧性心疾患は、高血圧の合併症のひとつとして挙げなければならない!
簡単に言えば、長期にわたる高血圧は心臓を肥大させ、心不全を引き起こす。心不全の5年死亡率は肺がんと同じで、言い換えれば、心不全はがんと同じである。
高血圧を恐れる人はいないかもしれないが、癌を恐れる人はいるだろう? 癌を恐れるのだから、高血圧も恐れるべきである。高血圧をコントロールしないと、高血圧性心疾患に発展し、心不全につながる可能性があり、これは心臓病の癌である。
心不全の約70%は高血圧が原因であり、高血圧による高血圧性心疾患の危険性の高さを示している。
高血圧性心疾患とは?
初期の左室拡張期低形成、左室肥大(LVH)、心筋収縮性低形成が徐々に進行し、最終的には心不全となる。いくつかの研究では、心不全の70%は高血圧が原因であることが示されており、同時に冠動脈疾患、心房細動、その他の心臓合併症が関連している可能性がある。

高血圧性心疾患はどのようにして引き起こされるのか?
1、左室肥大、高血圧性左室肥大は、最初に心室中隔の肥厚に反映され、後者は、左右の心室収縮機能の一部が共有する心臓サイクルの大きさは非常に重要な役割である。
2.拡張期低形成、高血圧性疾患における早期の心臓構造および機能変化、拡張期低形成は約11%を占める。
3、収縮機能低下、過剰な後負荷による長期的な圧力上昇、血管壁の厚さと心臓の求心性肥大を引き起こし、拡張期弛緩が損なわれ、最終的に心筋収縮力の低下、心室拡大、心室拡張末期容積の増加、心室充満圧と心房圧の上昇、肺静脈還流の阻害、高血圧性心疾患急性または慢性左心不全の発生。
理解するのは簡単で、私たちの心臓は正常な状況で直面して血圧140/90mmHg以下ですが、血圧がこの値よりも高い場合、特にこの210/110mmHgのように、レベル3の高血圧。私たちの心臓は、毎分、毎秒、正常以上の圧力が負担し、高圧下で長い時間、心臓が徐々に変形し、左心室肥大、収縮機能と拡張機能、心臓肥大、心不全、高血圧性心疾患、心不全につながる。
心不全は怖いですが、高血圧による心不全だけは100%予防できます。 考えてみてください、心不全になる心臓の病気はたくさんありますが、早期発見できるのは高血圧だけで、早期発見してコントロールさえすれば、心不全に発展することはありません。
しかし、心筋症のような他の心臓病は早期発見が難しく、一度発見されるとすでに心不全になっている。例えば、心筋梗塞による心不全の場合、心筋梗塞は部位をコントロールできないし、診察時間も完全にコントロールできないので、心筋梗塞が心不全になるかどうかはコントロールできない。
また、たかが高血圧、されど高血圧で、高血圧かどうかを知るのは非常に簡単で、高血圧とわかれば、健康的な生活習慣+降圧剤で効果的にコントロールでき、心不全も予防できる。
降圧剤を服用し、健康的な生活を送ることです。
しかし、一度高血圧性心疾患の発症は、降圧剤を服用するだけでなく、心不全の薬を服用する必要があり、最も重要な心不全が発症し続け、悪化し続け、入院を繰り返し、心不全入院死亡率6%、もし高血圧性心疾患の心不全の発症は、次の薬が含まれます:ロラゼパム、プリリジー/パーシャルサルタン、スピロノラクトン、利尿剤など、水を飲みながら、あまりにも多くすることはできませんが、食べ物や飲み物、便通でいっぱいにすることはできません。無理ができない、運動ができない、風邪は心不全を悪化させる、食べて、飲んで、胸に息を止めて、何もできない、ほとんど障害者になる。
高血圧は単純なものだが、コントロールしないと高血圧性心疾患を発症し、ますます複雑になる!
[Copyright Dr. Cardiovascular Wang]
高血圧性心疾患とは、簡単に言えば、心臓にダメージを与える高血圧のことである。
慢性的な高血圧により、心臓は血液を血管に送り出すために大きな力を必要とする。血液を送り出すために心臓が収縮するたびに、収縮を強める必要がある。このような運動を長時間続けると、心筋の肥大が起こる可能性がある。

腕などの筋肉は骨格筋であり、鍛えれば鍛えるほど強くなる。初期には心肥大と左房拡大が起こり、それが続くと心筋が疲弊し、輪ゴムが弾力性を失って効果的に収縮できなくなるのと同じように、ある限度を超えて心肥大と心室拡大が起こる。
これらの変化は高血圧性心疾患であり、心電図と心臓超音波の両方で検出される。
加えて心筋に病変を起こすだけでなく、高血圧は心臓の表面に張り巡らされた血管にも影響を及ぼす。血管壁が滑らかでなくなり、最終的にはアテローム性動脈硬化斑が出現し、血管内腔の狭窄と心筋虚血を引き起こす。

ない限り高血圧の正常なコントロールそうすれば、高血圧による心筋へのダメージは避けられる。高血圧性心疾患の発症を減らす。
健康に焦点を当て、心臓血管に焦点を当てる!
最も端的な説明は、患者の血圧が慢性的に高く、効果的なコントロールができず、最終的に心臓のような状態を引き起こしたというものだ。
高血圧は数ある疾患の中でも特殊な存在で、それ自体は患者に異常な症状を引き起こさないが、逆に関連臓器の血管に損傷や影響を与え、関連疾患を誘発したり悪化させたりする。

慢性的な高血圧は血管を傷つけます!
血管は心臓と関係ないと思ってはいけない。 数ある心臓病の中でも、冠動脈硬化性心疾患の形成の鍵を握っているのは血管である。
患者の血圧がコントロールできない場合、血管には常に衝撃が加わることになり、この衝撃によって血管の内膜が傷つき、瘢痕状の過形成がプラーク血栓の形成を促進し、血管壁が厚く硬くなり、内部空間が狭くなり、正常な血液の流れが妨げられ、心筋虚血の原因となる。

慢性的な高血圧は心臓にダメージを与える!
何が可能かをより直接的に演繹しているようなものだ。
血圧がコントロールされないと、血管に影響を及ぼし、心筋虚血の一因となる。 この心筋虚血が長期間持続すると、同時に心筋細胞も傷害され、壊死が続き、最終的に心臓の正常な機能に影響を及ぼす。
さらに、患者の血圧が効果的にコントロールできない場合、高血圧は末梢動脈圧を上昇させ、心臓への負荷を増加させ、この負荷は適応するために心臓を徐々に肥厚させ、心臓構造のリモデリングにおけるこの変化は元に戻りにくく、臨床的には拡張型肥大型心筋症と呼ばれる。
心臓の機能の変化であれ、心臓の構造の変化であれ、それが長く続いたり、悪化したりすると、心臓は次第に「末期」に至り、臨床的には「心不全」と呼ばれ、治療が困難で死亡リスクが高い心臓の最終段階となる。心不全は心臓の最終段階であり、治療が困難で死亡リスクが高く、5年以内の死亡率は平均50%に達する。

私の答えがあなたのお役に立てれば幸いです!
わからないことがあれば、コメントやプライベートメッセージをください!
ポンプが水を送り出すために重力に打ち勝つ必要があるように、心臓は大小の血管の抵抗に打ち勝つために血液を送り出す。
血圧が高ければ高いほど抵抗は大きくなり、心臓にかかる負担も大きくなる。体への血液供給を維持しようと思えば、心臓はより強く働かなければならない。 長い目で見れば、心臓の形や構造は大きく変化し、心臓病が発生したり、あるいは無理をして心不全を起こしたりすることもある。
高血圧性心疾患とは何ですか? 簡単に言えば、高血圧によって引き起こされる心臓の病気です。

1.高血圧患者の血圧コントロールが悪い状態が長期間続くと、心臓は長期間にわたって大きな負荷を受けて働くことになる。 時間の経過(通常は数年)に伴い、過負荷に対処するために、心臓は構造的・機能的な変化を起こし、特に全身への血液輸送を担う左心室が変化する。
2.初期には左室拡張期低形成(心臓が長時間緊張し、弛緩できない)、左室肥大(過負荷に対処するため、心筋が肥大し、正常筋より厚くなる)が多く、次第に心筋収縮期低形成(心臓が全身に血液を供給する能力が低下する)を発症し、最終的には心不全(心臓が全身の血液需要を維持できなくなり、全身機能障害を起こす)に至る。
3、ある研究によると、心不全の70%は高血圧が原因である。したがって、高血圧性心疾患は患者に大きな害をもたらし、生活の質と寿命に深刻な影響を及ぼす。
心悸亢進の主な病理学的変化は心室壁の肥厚である:
1.左室腔の拡大を伴わない心室間中隔および左室壁の一様な求心性肥厚;このタイプが最も一般的である;
2、左心腔が拡大し、心室壁の肥厚は目立たず、偏心性肥大を示し、このタイプはほとんどが左心不全を伴う;
3.左心室後壁の不均一な肥厚を伴う心室間隔の著明な肥厚は、肥大型心筋症と区別すべきである。


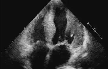
超音波診断のポイント
1.高血圧の既往歴が長い;
2.心室間隔および左室壁の均一な肥厚;
3.左心拡大;
4.左室壁運動の振幅の減少;
5.相対的僧帽弁閉鎖不全症。
識別:
高血圧性疾患による心室間隔の非対称性肥大は、主に病歴によって肥大型心筋症と区別されるが、この場合、心室間隔の心筋エコーは不均一で肉眼的にガラス状であるが、ほとんどが非典型的である。
高血圧による左心肥大と左心低形成は、超音波検査では冠動脈疾患によるものと区別が難しく、冠動脈造影、病歴、その他の臨床情報と組み合わせる必要があり、臨床治療の原則は基本的に同じであるため、左心肥大と左心低形成の超音波診断で十分である。
高血圧はしばしば大動脈拡張を引き起こし、大動脈瘤や動脈瘤などの重篤な合併症を引き起こす可能性があるため、40mmを超える大動脈拡張は定期的な臨床検査を促す必要がある。
高血圧と心臓病は聞いたことがあると思いますが、では高血圧性心疾患とは何でしょうか?高血圧性心疾患とは、高血圧と心臓病の合併症なのでしょうか?高血圧性心疾患は高血圧と心臓病の合併症なのでしょうか?高血圧性心疾患の治療法は?高血圧性心疾患の治療法は?
高血圧性心疾患とは?
高血圧性心疾患の原因は、高血圧によって心臓の左心室に過負荷がかかり、その代償によって左心室が徐々に肥大・拡大し、器質的な心疾患を生じることにある。高血圧性心疾患は通常、高血圧発症後数年から10年以上経過してから発症し、心機能の変化により心機能代償期と心機能代償期に分けられる。心機能代償期には明らかな症状がないこともありますが、心機能不全期になると、左心不全の症状が徐々に現れます。 初めのうちは、疲れたとき、満腹のとき、しゃべりすぎたときなどに、動悸、息切れ、咳などを感じる程度ですが、その後、症状は徐々に悪化し、発作性のエピソードとなり、その多くは夜間の発作性呼吸困難を示し、痰に血が混じるようになり、重症になると急性肺水腫を起こすこともあります。
高血圧性心疾患のための食事
1、霊芝ドリンク:霊芝を切り刻んで鍋に入れ、水を加え、適度な火加減で2時間煮込み、蜂蜜を入れたスープを朝晩一回ずつ飲むと、血圧を下げることができる。
2、ゆで卵、卵白を剥いて食べ、卵黄をボールに入れて砕き、適量の酢を加えてかき混ぜ、食べる。長期間服用すると、高血圧が改善される。
3、ニンジン粥:新鮮なニンジン120グラムのみじん切りに、丸粒のお粥100グラム。
4、セロリ粥:根セロリ90gを刻み、丸粒米100gの粥で食べる。
5、ニンニク粥:ニンニクを釣った後、沸騰したお湯にニンニクを入れて約1分、丸粒米100gをニンニク湯に入れて薄い粥にし、ニンニクを再び入れてしばらく煮て食べる。
6、蓮の葉粥:新鮮な蓮の葉で、水の代わりにスープを煎じ、丸粒米100gの粥をよく食べる。
7、プエラリア・ロバタ粥:プエラリア・ロバタ粉末30g、丸粒米100gを粥で炊いて朝食として食べる。
高血圧性心疾患の治療法
1.血圧の早期管理
高血圧性心疾患の治療では、早期に血圧を下げて目標値に到達させることが第一であり、SBP140mmHg未満を目標とすることを考慮すべきである。
2.LVHを逆転させることの重要性
フラミンガン心臓研究(Framinghan Heart Study)では、長期追跡調査によりLVHの減少と心血管死亡率の減少が証明されている。LVHの回復には非薬理学的治療が含まれる:ライフスタイルの最適化、減塩食、体重コントロール、アルコール制限、カテコールアミンの上昇、レニン・アンジオテンシン系(RAS)の活性化ストレスなどの特定の交感神経ホルモンの減少。降圧薬に含まれるアンジオテンシン変換酵素阻害薬(ACEI)とアンジオテンシン変換酵素受容体拮抗薬(ARB)はLVHと心筋線維症の発生を予防する可能性がある。カルシウム拮抗薬(CCB)がLVHを逆転させることも動物実験やヒトの研究で確認されている。
3.心不全治療
また、心不全の症状が強くなるたびに死亡確率は劇的に増加するため、早期の無症候性心不全(収縮期または拡張期心機能不全)の予防と治療を強化することが重要である。収縮期心不全に対しては、死亡率と入院率を低下させるためにACEI、β遮断薬、利尿薬、ARBおよび/またはアルドステロン阻害薬が推奨される。拡張期心不全(駆出率が維持された心不全)の高血圧患者に対しては、降圧療法やいかなる降圧薬も有益であるというエビデンスは今のところない。しかし、これらの患者や収縮機能が低下した高血圧患者では、SBPを140mmHg未満に下げることを考慮すべきである。
4.複合冠動脈性心疾患の治療
冠動脈性心疾患を引き起こす危険因子はいろいろあるが、血圧値は重要な因子の一つである。血圧値は広い範囲で冠動脈性心疾患のリスクと関連しており、SBPが140mmHgを超えると冠動脈性心疾患のリスクは急激に増加する。冠動脈疾患を合併している高血圧患者に対しては、血圧降下の目標は140mmHg未満であり、最近心臓発作を起こした患者にはβ遮断薬が推奨される。それ以外の冠動脈疾患患者に対しては、すべての降圧薬が使用可能であり、狭心症の症状緩和を優先してβ遮断薬とカルシウム拮抗薬が推奨される。
5.心房細動の治療
高血圧は心房細動の最も一般的な合併症であり、 心房細動の可逆的な原因因子である可能性がある。高血圧と心房細動を合併している患者における血栓塞栓症のリスクは十分に評価されるべきであり、禁忌でない限り、ほとんどの患者は脳卒中やその他の塞栓事象を予防するために経口抗凝固療法を受けるべきである。高血圧性心室肥大や心不全のある患者の心房細動予防には、AECIやARBが推奨される。また、アルドステロン拮抗薬を併用したβ遮断薬も心房細動を予防するというエビデンスがある。
要旨:上記の論説の紹介を通じて、高血圧性心疾患とは何か、高血圧性心疾患は血圧が高く、左心室の負荷の心臓につながる、左心室は徐々に肥大し、膨張し、器質的な心臓病の形成のための補償のために一定の理解があると思います。以上、あなたに関連する治療方法を紹介するために、私は社説の紹介があなたを助けることができることを願っています。
高血圧性心疾患は、長期にわたる高血圧によって心臓の形態と機能が侵される疾患であり、一般的な心臓病の1つである。(診断のポイント)1、既往歴と主な症状;長期または重症の高血圧の既往歴がある(原発性か続発性かを問わない)。高血圧の症状に加えて、しばしば左室肥大がみられる。肥大の徴候と労作時呼吸困難。心悸亢進、胸部圧迫感、不快感などがあり、後に肺機能低下や心不全が現れ、冠動脈疾患と合併しやすい。2、レントゲンと超音波検査:左心室肥大、肥大を示し、左心房も重く増加し、レントゲンは肺と血液の徴候を見つけることができます。 3、他の疾患による左心室病変を除外:大動脈弁閉鎖不全、冠状動脈性心疾患、原発性心筋症、梅毒性心疾患など。
簡単に言えば、慢性的なコントロール不能の高血圧によって引き起こされる心臓発作である。
高血圧が全身に有害であり、最も深刻で恐ろしいのは心血管疾患や脳血管疾患を引き起こすことであることは周知の通りである。高血圧性心疾患の患者は、高血圧を基盤として心肥大、心拡大、心不全を発症する可能性があり、これは超音波検査で発見することができる。

初期段階では、めまい、頭痛、胸部圧迫感などの高血圧の症状があるが、それ以外に目立った不快感はない。発育段階では、高血圧は動脈血管圧が高いために心臓が血液を送り出すのを妨げます。 心臓が慢性的に過負荷になると心筋肥大と硬化が増大し、最終的に心臓に流入する肺静脈血が閉塞し、肺うっ血が形成されます。心肥大における酸素需要の増大と相対的に不十分な血液供給はしばしば心不全エピソードにつながる。
そのため、高血圧が発見されたら、積極的に治療と調節を行う必要があります。
高血圧性心疾患とは?
この病気の意味をよりよく理解するためには、高血圧(病因)と心臓病(臨床症状)という2つのキーワードを把握しなければならない。
高血圧性心疾患の原因
高血圧性心疾患とは、冠状動脈性心疾患でも糖尿病でも心筋症でもなく、高血圧が原因で起こる心疾患という意味である。病気の原因ははっきりしている。第二に、この病名は、高血圧が心臓病と合併して発症することを物語っている。心臓病は高血圧の結果である。
高血圧性心疾患の症状
高血圧性心疾患とはどのようなものか、他の心臓病と同じなのか?読者の皆さんにお伝えしたいのは、「同じではない」ということです。高血圧性心疾患の発症は大きく3段階に分けられる:
第一段階は、心臓への負担が大きくなってから起こる心電図変化の段階であり、心電図をとると、左室過電圧、左室肥大、左室肥大性緊張という記述が現れる以外は、基本的に無症状の人が多い時期である。
第二段階は、心臓超音波検査の上に問題があり、それが報告書に現れる場合である:左室拡張低下、心室間隔の肥厚、または左室自由壁の肥厚、左心房の拡大、左心室の拡大。この病期は症状を伴うことが多く、パニック発作や息切れを伴うこともある。
第3段階は明らかな症状を伴う段階であり、心不全が発症する。活動後に息苦しさを感じたり、息が続かなくなったり、階段を上る能力が以前より著しく低下したりします。初めのうちは力仕事にも支障をきたし、進行すると日常生活での身の回りのことが難しくなり、夜間は横になれず高い枕をするようになり、寝ている間に息苦しくて目が覚め、体を起こして排泄しなければならないケースもある。
これが高血圧性心疾患の一般的な経過である。
高血圧性心疾患ではない心臓病
高血圧は動脈硬化に関係する病気であるが、動脈硬化が冠動脈に影響し、心筋虚血を起こせば冠動脈性心疾患である。 高血圧は冠動脈性心疾患の発症に大きく寄与するが、冠動脈性心疾患はまだ高血圧性心疾患ではない。
不整脈は複雑な原因を持つ現象であり、心房細動は心臓肥大をもたらす高血圧性疾患の患者にも起こりうる。言い換えれば、心房細動は高血圧と関連しているが、この状態も早拍のように高血圧性心疾患とは呼べない。
注意長期にわたる血圧の上昇により心臓の構造と機能が変化する心臓病を高血圧性心臓病という。
1.高血圧性心疾患の主な診断根拠(2点とも満たす必要がある):
明らかな高血圧の既往歴
(ii)中隔肥厚や心室拡張などの変化を含む、心臓の構造型に関連した変化がある。
2.一般的な臨床問題と薬物療法
臨床の場では、臨床症状として単なる高血圧を示す患者もいれば、心臓の構造と機能の変化により、胸部圧迫感と息切れの両方を示し、心機能が低下している患者もいる。しかし、治療の面では、今日の診療所では一般に高血圧性心疾患は臨床診断として用いられないが、この診断は高血圧が対応する標的臓器に与えるダメージを反映している。
心臓の構造に変化があった場合、薬物療法ではアンジオテンシン変換酵素阻害薬、プリロセック、β遮断薬ではメトプロロールとビソプロロールを優先する。
高血圧性心疾患は、その名が示すように、基本的に高血圧によって引き起こされる。高血圧は心臓の圧力負荷と静電容量負荷を増加させるだけでなく、神経性、体液性、サイトカイン調節の一連の異常を通して心筋のリモデリングを引き起こし、最終的に左心室肥大と拡張を特徴とする高血圧性心疾患に至る。

心機能への影響によって、高血圧性心疾患は左心不全と右心不全として現れる。
症状は活動後の呼吸困難と倦怠感が主である。

心筋の変化に応じて、高血圧性心疾患の左室心筋は求心性肥大(心筋肥厚)と遠心性肥大(左室容積増大)を示す。
疾患の急性増悪は、感染症、労作、感情の変化、電解質異常、心不整脈、妊娠・出産などの出来事が引き金となることが多い。

この質問と回答はサイト利用者のものであり、サイトの立場を代表するものではありません、侵害など、削除するには管理者に連絡してください。