心臓超音波検査を受けるのは危険ですか?
心臓超音波検査を受けるのは危険ですか?
こんにちは、ドクター・ノウルズ・ブルーです。
最も大きな割合を占める心臓画像検査は、冠動脈疾患の診断に用いられるゴールドスタンダード、冠動脈造影検査です。近年、わが国の冠状動脈性心臓病の罹患率はますます高くなり、ますます若くなり、当然のことながら冠状動脈造影はますます行われ、省および市の循環器内科病院では冠状動脈造影は一般的な食事であり、いくつかの郡病院でも冠状動脈造影だけでなく、冠状動脈インターベンション治療が数多く行われています。医師と患者は冠動脈造影に慣れているが、結局、体にどんな害があるのだろうか?我々は、冠動脈造影を行う方法を理解するために一緒に来る?何が危険なのか?解決策は?

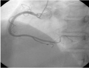
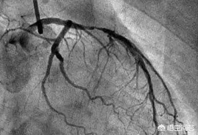
冠動脈造影とは、冠動脈の写真やビデオを撮ることである。
- 素晴らしい循環系:人体の動脈血管は、心臓とさまざまな組織や臓器をつなぐ橋であり、ちょうど都市の水道管システムのように、水の流れに逆らってどのような管でも、最終的には水源の頭に達することができる。手の動脈(脈をとる橈骨動脈)または太ももの付け根の動脈から、心臓への血液の流れに逆らって小さなカテーテルを心臓の冠動脈に送り込む。

- 造影剤は冠動脈を "照らす":人体の冠動脈は比較的小さく、冠動脈の主幹はわずか5、6ミリ、太い枝の一部は2、3ミリ程度、残りはさらに細い枝で、これらの血管は周囲の組織とつながっており、その手前は骨や筋肉などで覆われている。そこで、冠動脈造影を行う際には、先ほどのカテーテルの中から造影剤を注入し、冠動脈を造影剤で満たします。造影剤はX線不透過性の薬剤で、冠動脈造影の際に冠動脈を "明るく "照らし、冠動脈の分布、大きさ、狭窄や閉塞の有無をはっきり見ることができる。

- DSA(Digital Subtraction Angiography)とは血管を撮影するカメラである:先に述べた冠動脈の写真を撮るための装置がDSAであるが、実はこれもX線検査の一種であり、造影剤を注入しながら様々な冠動脈を多角的に、まさに360度の死角とも言える角度から写真や動画を撮影・記録することができ、これらの写真や動画はCD-ROMに預けることができるので保存や解析が容易である。冠動脈造影が冠動脈疾患を診断するためのゴールドスタンダードであるのは、冠動脈造影がこれほど鮮明な写真やビデオを撮ることができるからである。

冠動脈造影検査は冠動脈疾患診断のゴールドスタンダードであり、強力な検査である。どのような危険があるのでしょうか?
冠動脈造影検査は通常、臨床的に冠動脈疾患が強く疑われる患者に対してのみ行われ、すべての患者に推奨されるわけではない。これは、胸部圧迫感や胸痛の原因となる疾患が多いことや、冠動脈造影検査が侵襲的な検査であり、それなりのリスクを伴うことも理由のひとつである。
- 穿刺血管損傷:先に述べた手指の動脈と大腿の付け根の動脈は冠動脈造影のための入口血管であり、すべてのガイドワイヤー、カテーテル、動脈シースが入るポータルに相当する。この部位は出血、血腫、動静脈瘻、感染症を引き起こす可能性がある。

- 冠動脈の損傷:冠動脈造影検査では、冠動脈にカテーテルを入れて造影剤を注入する。造影剤は冠動脈の滑らかな内壁に比べて硬くざらざらしている。そのため、冠動脈の内膜が損傷したり、動脈閉塞を起こしたりする危険性があり、生命を脅かす。

- X線照射:冠動脈造影は、複数の角度や方向から写真を撮ったりビデオを記録したりするため、放射線を浴びることになり、胸部X線検査やCTスキャンを1回受けるよりもはるかに多くの放射線を受けることになります。電離放射線は、悪性腫瘍や胎児の奇形などに関係していることは明らかである。

- 造影剤アレルギー:現在臨床で使用されている造影剤のほとんどは、アレルギーを引き起こす可能性のあるヨウ素を含んでいる。軽度のアレルギーは皮膚のかゆみや発疹として現れるが、重度のアレルギーはアナフィラキシーショックや呼吸困難を引き起こすことがある。

- 造影剤腎症:冠動脈に注入された造影剤は最終的に腎臓で排泄される必要があり、造影剤が腎不全として現れる腎障害を引き起こす可能性がある。重症の場合は急性腎不全を起こす。

冠動脈造影の危険性を最小化するために、敵を知り、予防に集中せよ
冠動脈造影がかなり多くの合併症を引き起こす可能性があることは前述したが、窒息することを恐れてタオルを投げ出して食事をあきらめるべきでないし、いざというときにはやはり必要であり、重要なのはいかに害を最小限に抑えて行くかである。
- 主な適応症冠動脈造影が身体に及ぼす有害な影響を避ける最も直接的な方法は、この検査を行わないことである。そのため、循環器専門医は適応を厳密に監視し、患者から提供された病歴や他の検査に基づいて分析する必要がある。画像診断は臨床的に疑いが強い場合にのみ行うべきであり、性急に決定すべきではない。

- 巧みで優しいハンドリング冠動脈造影は技術的な作業であり、練習が完璧を生む。より多くの回数をこなし、思索を繰り返し、要約することに長けて初めて、楽に扱えるようになる。可能な限り優しい "女性の手 "を持ち、X線被爆時間、造影剤の使用量、患者がX線を受ける時間を最小限に抑える。これにより、血管障害が軽減され、造影剤腎症の発生率が低下する。

- 薬物乱用防止:高齢者、高血圧、糖尿病、基礎腎疾患、一側性腎臓など、腎機能に異常をきたしやすい患者。造影剤腎症は、手技の前後に塩化ナトリウム水溶液を静脈内投与し、患者に十分な水分摂取を求めることで予防できる。もちろん、心不全の人には、水分や水に関する他のルールがある。アレルギー体質の人は、予防的に抗アレルギー薬を使用し、レスキュー薬を常備しておく必要がある。

結論として,冠動脈造影は冠動脈性心疾患の診断に重要な価値があり,ゴールドスタンダードである。どのレベルの病院の循環器内科医も,ある程度の訓練を受ければ,冠動脈造影を十分に行うことができる。しかし、穿刺血管損傷、冠動脈損傷、造影剤アレルギー、造影剤腎症、X線関連合併症などの合併症の可能性はまだある。合併症の発生を効果的に減少させるためには、適応の適切な選択、熟練した手技、優しい取り扱い、必要な薬物療法が必要である。
ドクター・ノウ・ユア・ハート・ブルーをフォローし、心臓についてさらに学びましょう。
一般に冠動脈造影と呼ばれる心臓造影検査は、一定の合併症を伴う侵襲的な検査であり、冠動脈(冠状動脈)の状態を調べるための日常的な検査ではない。
前胸部が時々痛むが、心電図、超音波検査、24時間外来心電図などで異常が見つからないが、冠動脈に異常があるのではないかと心配している人がいるが、この時点で冠動脈造影検査を受けるべきか?答えはノーです。CTA(CTアンギオグラフィ)と呼ばれる、より簡単で簡便な冠動脈CT検査があります。

祖父は胸の張り、胸の痛み、胃の出血で入院し、心臓超音波検査で心臓のいくつかの弁にもっと深刻な問題があることも判明した。医師は、祖父の冠動脈に問題があるかどうかを確かめたいと考え、冠動脈造影検査と冠動脈CT検査の2つの方法があった。
冠動脈造影は、冠動脈をチェックするためのゴールド・スタンダードである。医師が検査と治療を一緒に考えている場合は、通常、冠動脈造影のための大腿動脈穿刺が選択される。検査のみを目的とする場合は、通常、血管造影のための橈骨動脈穿刺が選択される。
大腿動脈穿刺血管造影には24時間の安静が必要ピアスをあけた足を曲げたり動かしたりできない期間が長いと、不快感が増し、家族の協力が得られず介護が困難になる。
橈骨動脈穿刺血管造影は、ケアははるかに簡単で、家族にとっては基本的に困難はなく、患者にとってはより快適である。

冠動脈造影は現在では比較的簡単な手技ですが、それでもいくつかの合併症があります。
造影剤に対するアレルギーは、通常アレルギー検査を行うが、比較的まれである。
穿刺は動脈破裂につながるが、これは術者のレベル、患者の血管の状態、患者の手術協力に関係する。例えば、血管腫、動静脈瘻、頸部血腫、後腹膜血腫などの形成である。私は、頸部に巨大な血腫が形成された後、呼吸閉塞を起こした患者を救出したことがある。珍しい。
迷走神経反射、重度の迷走神経発生は心停止につながる可能性がある。これを防ぐには、外科医が注意深く監視する必要がある。
心タンポナーデが発生した場合は、直ちに心嚢穿刺によるドレナージ、あるいは手術が必要である。
他臓器梗塞。まれ。
血管炎:感染症などが原因で血管が炎症を起こす。
冠動脈造影検査は侵襲的な検査であり、危険を伴う可能性があるため、冠動脈スクリーニングに日常的に用いられることはない。一般の人が冠動脈の検査を必要とする場合は、冠動脈CT検査を考慮することがある。
祖父が冠動脈造影検査を受けなかったのは、祖父自身に胃出血の症状があり、冠動脈造影検査に適していなかったからです。そうしないと胃出血の可能性が高くなるからです。私の祖父は冠動脈CTを受けたが、これが大問題となり、大動脈瘤、そして重度の大動脈弁狭窄症であることが判明した。

冠動脈CTは冠動脈硬化、大動脈炎、大動脈瘤、大動脈梗塞の診断に適している。すべての人が冠動脈CTを受けるべきというわけではなく、他のルーチン検査を行った上で、冠動脈CTが必要かどうかを専門医が判断します。
健康上の問題を心配している人もいるが、検査の害を心配している人もいる。
私はドクター・リトル・シャドウです。心臓冠動脈造影は冠動脈をチェックするためのゴールドスタンダードです。 重度の冠動脈アテローム性動脈硬化症の場合、狭窄の程度を評価するために心臓冠動脈造影が必要で、診断と治療の目的で常にステントを入れることができます。心臓血管造影は有害ですか?これは侵襲的な検査であり、少数のケースでは合併症がありますが、現在では技術は非常に成熟しており、画像診断の合併症はかなり減少しています。
冠動脈造影とは?
冠動脈疾患の検出には、現在、冠動脈CTAと冠動脈造影がある。冠動脈CTAは広く使用されているが、評価としてしか使用できず、治療目的はない。
冠動脈造影検査は、大腿動脈の位置から針を刺し、冠動脈の位置までチューブを通し、ヨード造影剤を打ち込んで冠動脈を映し出し、冠動脈の先天性疾患、アテローム性動脈硬化症、動脈瘤、動脈奇形などを診断するもので、その多くは内腔の狭窄をもたらすアテローム性動脈硬化症である。狭窄の程度を評価することができ、心筋梗塞を伴う重度の狭窄の場合は、治療目的で狭窄した内腔を広げて血流を回復させるためにステントを直接挿入することができる。
この検査は冠動脈をチェックするためのゴールドスタンダードであり、大腿動脈にカテーテルを通す必要があるため、冠動脈CTAに比べて侵襲的である。さらに、この検査では医師と患者の両方が同時に放射線を浴びる必要がある。インターベンショニストは、どのインターベンショナル手技でも患者と同じ放射線被曝を必要とするので、素晴らしい。一人の医師が一日に何本ものインターベンショナル手技を行うことは可能であり、それは多くの放射線を浴びることになる。
冠動脈造影の危険性とは?
現在のところ、この検査は非常に洗練されており、合併症は比較的少ないが、どのような検査や処置にもこのような合併症の可能性はある。発生する確率は低いとはいえ、それらに言及することは重要である。
1.大腿動脈の局所血腫
カテーテルは大腿動脈から通すため、すべての手術はこの小さな開口部から行われる。検査後、この開口部がうまく閉じていないと、血液がにじみやすく、血液が多くなると局所血腫が形成される。
2.カテーテル・ガイドワイヤーによる動脈の損傷
カテーテルは体の動脈から離れた形にする必要があるので、動脈を傷つける可能性はあるが、その確率はすでに非常に低い。
3.造影剤アレルギー、造影剤腎症
冠動脈CTAや血管造影ではヨード造影剤を注入する必要があるが、ごく少数の人がヨード造影剤に対するアレルギーを発症し、腎臓の機能が低下している場合には造影剤による腎臓への障害も生じる。現在では、非イオン性造影剤が使用されており、造影剤アレルギーや腎障害も大幅に軽減されている。
この検査の後は、造影剤の排泄を促し、腎臓へのダメージを軽減するために、水をたくさん飲んでください。
上記のような画像診断の合併症は、現在ではまれなことです。過度に心配する必要はありません。医師が画像診断の必要性を判断すれば、やはり行うべきです。重度の冠動脈硬化や急性心筋梗塞に対しては、血管造影によるステント留置術が即座に有効です。
私はそうだ。ドクター・シャドウ.医療についてもっと知りたい方は、私をフォローしてください。
心血管造影は冠動脈造影を指し、一般的なプロセスは、最初の検査者の橈骨動脈または大腿動脈で小さな開口部をカットし、細いカテーテルは、切開から挿入される動脈の方向に沿って冠動脈に深くされており、その後、冠動脈画像は、冠動脈疾患とその枝の冠動脈疾患の部位と程度の狭窄について明確にすることができるように、造影剤に注入され、冠動脈疾患の診断です。「ゴールドスタンダード」である。以下、3つの問題を合わせて理解する:
- 心臓超音波検査は有害か?
- 心電図のリスクを減らすには?
- 誰が心電図を必要とするのか?

A. 心臓超音波検査は体に害がありますか?
(i)穿刺による損傷:心臓造影は侵襲的な検査であり、穿刺によって血腫、血栓などの副作用が生じる可能性があり、重症の場合は偽動脈瘤が生じることもある。現在では画像技術は非常に成熟しており、このような症例は少なくなっている。
(ii)造影剤の影響:一般的に使用される造影剤はヨードであり、ヨードにアレルギーを持つ人もいるため、造影剤注入後にアレルギー反応を起こす可能性がある。また、造影剤は血管内に注入された後、腎臓から排泄される必要があるため、排泄の過程で腎臓に負担がかかり、腎障害を引き起こす可能性があり、特に腎機能が低下している人や高血圧、糖尿病などの慢性疾患を持つ人は造影剤の影響を受けやすい。
(c)放射線:造影剤を注入した後、CT検査で結果を描出する必要があり、CT検査には一定の放射線量がある。 冠動脈造影検査は、冠動脈の状況を動的に観察する必要があるため、滞在時間が長く、一般的なCT検査に比べて放射線量が多く、放射線が体内の細胞に影響を与える可能性がある。
(d)不整脈:心臓撮影の主なリスクは不整脈である。 心臓撮影は人の血管の動脈にカテーテルを挿入するものであり、手技が適切に行われないと不整脈が起こる可能性がある。

第二に、心電図の身体へのリスクをいかに減らすか。
これらはすべて理論的に起こりうるリスクである。 実際には、心臓超音波検査はまだ比較的無害であり、心臓超音波検査によるダメージを最小限に抑える方法もある。
(a) 穿刺部位をよく観察する:術後は穿刺部位をよく観察し、発赤、腫脹、疼痛などの異常を認めたら、重大な事態を避けるため、速やかに医師に相談する必要がある。
(ii)多量の飲水:多量の飲水は造影剤の代謝と排泄を促進する。
(iii)撮影回数の管理:特別な事情がない限り、頻繁な心臓撮影は行わない。
(d)通常の病院の選択:経験豊富な三次病院を選んで受診するようにする。
(e)安静:画像処置後はできるだけ安静にすることで、不快感を和らげ、早期回復が期待でき、歩き回ることによる穿刺処置からの出血の可能性も低くなる。

C. 心電図検査が必要なのは誰か?
- 冠攣縮性狭心症と心筋梗塞の既往歴;
- 胸部圧迫感や胸痛の症状があり、冠動脈疾患の疑いが強い;
- 冠動脈ステント留置術または外科的バイパス移植術後に狭心症が再発した;
- 大手術が必要な50歳以上の方;
- 冠動脈疾患患者では、原因不明の心電図異常を除外する必要がある;
- 冠動脈CTで血管に重度の狭窄が認められた。
これらの症状があり、禁忌事項がない場合、医師から画像検査を勧められることがあります。 体に害があるのではないかと心配だからといって検査を拒否することなく、患者さんの体の状態に合わせて、患者さんにとって最も有益な治療法を提案してくれる専門の医師を信頼するようにしましょう。
私は黄志燕医師です。複雑な病気の知識を平易な言葉で説明し、皆様の身体管理のお役に立てるよう努力しています。皆様からのお褒めの言葉が私の最大のモチベーションです!また、ご家族に心臓画像に関する悩みをお持ちの方がいらっしゃいましたら、ぜひこの記事をお伝えください!
心臓造影の基本的な手順は、橈骨動脈(手首)または大腿動脈(太ももの付け根)に穿刺してカテーテルを留置し、ガイドワイヤーを使ってカテーテルを心臓や心臓周辺の重要な血管(大動脈、冠動脈)に逆行性に誘導し、そこに造影剤を注入して、X線の効果で心室や心臓周辺の重要な血管の構造を見えるようにする。
以上のような経過から、心電図検査による身体への危険やリスクには次のようなものが考えられる:
1.橈骨動脈または大腿動脈穿刺部位の血腫形成;
2.ガイドワイヤーやカテーテルが動脈血管系や心臓の構造内で機械的に動くことによって生じる血管や心室の内壁を損傷するリスクや、心臓や心臓内の構造内でカテーテルが機械的に刺激されることによって生じる心臓の電気伝導系に異常が生じるリスク(不整脈や心室細動を誘発することもある);
3.造影剤は通常ヨウ素含有造影剤であり、患者によってはアレルギー反応を起こすことがあり、重篤な場合には生命を脅かす喉頭浮腫を引き起こすことがある。同時に、ヨウ素含有造影剤は一過性の腎機能異常を引き起こすことがあり、血清クレアチニン値の変動に現れることが多く、重篤な場合には患者の糸球体濾過率の低下を招くことがある;
4.患者は撮影の全行程でX線に被ばくするため、X線による放射線被ばくもある。
もちろん、穿刺部位の血腫形成、カテーテルガイドワイヤーの機械的な動きによる傷害や不整脈、上記の造影剤に関連する副作用の発生率は臨床的には低く、心疾患の臨床的疑いが強い患者では、心臓画像検査を積極的に行うべきである!
冠動脈造影検査といえば、今や多くの人が知っているというべきだろう。周りの親戚や友人もこの検査を受けたことがある人が多いので、基本的には見たことがある検査だと思います。では、冠動脈造影検査にはどのような危険性や副作用があるのでしょうか?今日、張医師はこの疑問について、電話の前の友人の助けになればと思い、話してくれる。

冠動脈造影で起こりうる副作用といえば、次の4点にまとめられるだろう:
1.トラウマ
冠動脈造影は侵襲的な検査であり、冠動脈CTAのような非侵襲的な検査とは定義されていない。この外傷は、指のガイドワイヤーと造影カテーテルによる体内への動脈穿刺が中心であり、厳密に言えば侵襲性は低く、低侵襲と言えるが、非侵襲とは言えない。また、穿刺部が破れて再出血しないように、過剰な力が加わらないように、術後1週間は穿刺血管を保護する必要がある人もまだ多い。

2.放射線がある
まず最初に、冠動脈造影の放射線レベルは人体に耐えられるレベルであることをお伝えしておきます。もし、冠動脈造影の放射線レベルが非常に高いのであれば、長年冠動脈造影を受けた人の多くが問題を起こすことはなかったはずです。しかし、実際には、冠動脈造影を受けた結果、問題が生じた人はほとんどいません。また、インターベンショナル・カーディオロジスト(循環器内科医)は、ほとんど毎日、多くの冠動脈造影を行っているので、もし冠動脈造影に高レベルの放射線があるのなら、これらの医師もすぐに問題を起こすのではないだろうか。しかし、現実の世界では、このような状況はめったに起こらない。このことは、冠動脈造影の放射線レベルが人体にとって許容範囲であることを示している。これは私たちが心配すべきことではないのである。

3.腎機能の悪化
冠動脈造影では造影剤を使用しますが、造影剤は腎臓から体外に排泄されるため、腎臓の負担が大きくなります。現実には、多くの人が冠動脈造影の手術を受けた後、一過性の腎機能の低下も見られる。そのため、通常、患者さんは、造影剤をできるだけ早く排出して腎機能を改善できるように、水分を多めに摂るか、水分補給療法を行う必要がある。腎機能が非常に低下している多くの患者さんでは、冠動脈造影後、適時に腎透析を行い、体内の造影剤をできるだけ早く排出することも必要です。
4.アレルギー
冠動脈造影では造影剤を使用するが、その造影剤にはヨードが含まれていることが多い。この場合、ヨードに対してアレルギーを持つ人がアレルギー反応を起こすことがある。一般的には、冠動脈造影の検査中にアレルギーが発見されれば、前向きの治療が行われますし、正直なところ、この種のアレルギーを起こす確率は比較的高くないので、あまり心配する必要はありません。どうしても不安な場合は、術前にヨードアレルギーの検査を行うことができます。
これらは冠動脈造影で遭遇する可能性のある副反応のほんの一部であり、実際には、これらの副反応を見て、冠動脈造影を絶対に拒否すべきではありません。今日の張先生の紹介が、皆さんのお役に立ち、冠動脈造影検査に正しく向き合えるようになることを願っています。
冠状動脈性心臓病に関するより多くの知識は、あなたが取得するには、次のリンクをクリックすることができます、これは張博士は個人的に冠状動脈性心臓病コースを行うです:張博士は冠状動脈性心臓病コースを行う

心臓超音波検査は、冠動脈疾患の診断と治療のための一般的な心血管検査である。
冠動脈造影は侵襲的な検査であり、侵襲的な検査には危険が伴います。しかし、心臓造影は非常に成熟した技術であり、危険なことはほとんどありません。
心電図が体にどんな影響を与えるか、理論的に考えてみよう。
1.出血または血腫/血腫
侵襲的な検査、つまり体内に入るために、心臓造影は穿刺部位からチューブを入れなければならず、そのチューブを介して職員は外界と血管をつなぐ。そのため、局所出血、全身出血、穿刺部位の血腫、血管攣縮、血管内壁の損傷、偽動脈瘤や動静脈瘻など、動脈閉塞などを引き起こす可能性がある。
2.造影剤腎症。
心臓撮影であるため、腎臓で代謝される必要のある造影剤を使用する必要があり、特に糖尿病、腎不全、高齢者は造影剤腎症になりやすい。
3.リスクはほとんどない。
ガイドワイヤー破損、カテーテル破損、カテーテルガイドワイヤーキンクなどの合併症、狭心症発作、急性心筋梗塞、急性血管攣縮、冠動脈巻き込み、冠動脈穿孔、各種不整脈、各種塞栓症など。
これを聞いたら、おそらく心電図検査を受ける勇気がなくなると思いますが、実はそんなに怖いことではなく、単なる仮説に過ぎず、実際の発生率は非常に非常に低いのです。
患者を画像診断医として扱い、機械とは違う患者に出くわしたときに画像診断を受けさせるのではなく、心臓画像診断の適応を把握し、行うべきときに改めて行わなければならない。心臓画像診断を受けるべきではない人には、リスクと弊害を増やすだけであり、心臓画像診断を受けなければならない人には、心臓画像診断が問題解決に役立つのだから、リスクがあっても心臓画像診断を受ける価値がある。
(王心血管博士は正式にオリジナルの保護を承認し、盗難などの法的責任を負わなければならない)。
まず、カーディオグラフィーとは何なのか?
心臓造影検査は冠動脈造影検査としても知られ、心臓専門医が行う最も一般的な検査の一つであり、冠動脈疾患の診断を確定するためのゴールドスタンダードです!心エコー図検査とは何ですか?心電図検査は橈骨動脈、大腿動脈、動脈などの動脈アプローチを使って行われます。動脈アプローチでは、冠動脈の開口部にカテーテルを送り、そこから造影剤を注入して冠動脈をX線で可視化します。
第二に、心エコー検査は身体に有害なのでしょうか?
侵襲的な検査である心臓撮影には確かに危険や副作用があるが、すべての心臓撮影に合併症や身体への害があるわけではない。一般的な心臓撮影の危険性は主に以下のようなものである。第一に、穿刺や動脈アクセスに関連した合併症。第二に、冠動脈関連の合併症。第三に、心機能およびその他の関連合併症。第四に、造影剤腎症およびその他の疾患の合併症である。心臓撮影には非常に多くの合併症があるが、その発生確率は極めて低く、心臓撮影技術が徐々に普及するにつれて、その発生率はさらに低くなっている。したがって、十分な検討の下で、その合併症や身体への害を心配する必要はない。
第三に、誰がカーディオグラフィーを必要とするのか?
心電図検査は非常にポピュラーであるが、誰が必要としているのだろうか?第一に、冠動脈疾患の有無を確認する必要のある患者、第二に、冠動脈疾患の重症度を明らかにし、次の治療の指針とする必要のある患者、第三に、他の治療を行うために冠動脈の状態を評価し、その治療が心臓に影響を与えるか、あるいは同時に治療を行う必要があるかを判断する必要のある患者、第四に、特定の職業、例えばパイロットなどのために健康診断を受ける必要のある患者などである。心臓画像診断の適応を厳密に把握することは、心臓画像診断に関連する合併症を避けるための重要なステップであり、必要のない人には行わず、必要な人には行うことが合併症を減らす唯一の方法である。
最新情報を見るフォローすると、科学に関する最新情報が毎日ツイートされます。
皆さん、こんにちは!開業医の福パパです。私の回答が皆さんのお役に立てれば幸いです。
心臓血管造影は冠動脈造影を指す。冠動脈造影は冠動脈疾患を診断する最も客観的で正確な方法であり,20年以上の臨床応用の歴史がある。技術の進歩に伴い,冠動脈造影は非常に安全な検査となった。
冠動脈造影検査は有害な結果をもたらす可能性は低いものの、リスクを伴う。そのため、検査前に検査に関する特別な同意書に署名し、検査担当医にリスクを説明する。これらのリスクは2つある。
血管インターベンションに内在するリスク
冠動脈造影は、末梢動脈を穿刺し、カテーテルを留置し、大動脈を通って冠動脈の開口部に到達する必要がある。したがって、冠動脈造影は侵襲的な検査であり、穿刺部での出血、動静脈瘻、動脈粘膜損傷、冠動脈けいれん、アテローム性プラークの脱落、急性梗塞、冠動脈の巻き込みなどの合併症を引き起こす可能性がある。
造影剤に関するリスク
造影剤はアレルギーを引き起こす可能性があり、より深刻なのは急性アナフィラキシーである。造影剤は腎臓から排泄されるため、腎機能に一定の影響を及ぼし、特に腎不全患者では造影剤腎症の可能性がある。
全体として、冠動脈造影は非常に安全です。私の病院では毎年何千件もの冠動脈造影を行っていますが、合併症は数件程度で、過去2年間は重篤な合併症はありませんでした。ですから、術前のサインに怯える必要はありません。
私はFooDad、開業医です。もし私が理にかなっていると思ったら、「いいね!」を押してください😜実用的で楽しい栄養と健康に関する情報を得るために私をフォローしてください。
こんにちは、この質問に喜んでお答えします。
心電図の危険性を理解するには、まず心電図とは何かを知ることから始まる。心電図検査とは、橈骨動脈または大腿動脈にカテーテルを挿入し、造影剤を注入し、冠動脈までカテーテルを伸ばして、冠動脈が閉塞していないか、または閉塞の程度を調べる検査である。
これは侵襲的な処置であり、一定のリスクがあることを明確にしておかなければならない。
私の祖母の経験を例にとると、祖母は十数年来冠状動脈性心臓病を患っており、最近、狭心症が頻発し、緊急に市人民病院に送られ、医師は祖母に心臓血管造影検査を受けるよう勧めたが、祖母は心臓が悪い一方で、非常に臆病で、手術を受けることを非常に恐れており、手術は受けないと言った。その結果、医師に勧められた翌日の午後、手術を受けることを恐れていたため、祖母の血圧は180まで上昇し、私の母親、叔母叔母も叔父も怖くなって、慌てて心電図検査を受けない約束をした。このような場合、手術は百害あって一利なしである。 手術を受けること自体は、おばあさんの病気はまだ薬で効果的にコントロールできるが、ひとたび手術を受けると、恐怖と恐怖と機嫌の悪さのために、人体へのダメージは非常に大きい。祖母は退院後、たった1週間の入院で体重が7kgも減り、手術が怖かったと言っていた。

しかし、画像診断手術にはさまざまなケースがある。 急性心筋梗塞などの場合、心臓バイパス手術が必要かどうかを確認するために、心臓の画像診断を行わなければならない。結局のところ、人生は一度きりであり、命を前にして、生命を維持するための手術が最も重要なのである。
そして一日も早い回復を祈っている。
この質問と回答はサイト利用者のものであり、サイトの立場を代表するものではありません、侵害など、削除するには管理者に連絡してください。