脳梗塞を引き起こす可能性のある血管の詰まりを示す頭部の症状とは?
脳梗塞を引き起こす可能性のある血管の詰まりを示す頭部の症状とは?
皆さんこんにちは、私は長年開業している内科医です。ご案内の通り、近年中国の病院事情は大きく変わりました。病院の救急外来の入り口には、「脳卒中センター、胸痛センター、外傷センター」と書かれた看板がよく目を引きますが、このうち脳卒中センターには、実は「脳塞栓症、脳血栓症」も含まれており、緊急度、重症度、重篤度など、これらの疾患の臨床的特徴を示すのに十分です。脳梗塞の発症につながる血管の閉塞を示す頭部の症状とは何か。以下に私の考えを述べる。

ストローク」とは何か?
国民は脳卒中と呼びたがるが、臨床では病気の特徴に応じて「脳塞栓症、脳血栓症、一過性脳虚血発作」と診断することが多い。この3つは一見似ているようですが、実はそれぞれに特徴があり、脳塞栓症などはより急速に発症することが多いです。多くの場合、心房細動、心内膜炎などの基礎疾患の塞栓源が存在します。脳血栓症などは、静かな、または睡眠中に発症することが多いので、現実には、多くの人が朝起きて、脳卒中であることを発見し、口が曲がっている、話すことができない、手と足が動かない、一般的な症状である、これらの人々は、多くの場合、動脈硬化、糖尿病、高血圧、高脂血症、および他の基礎疾患の組み合わせです。脳虚血発作、これは3つの中で最も軽く、発作の症状は脳血栓症にやや似ていますが、その持続時間は長くなく、10~15分程度で、1時間以上回復することができ、これは「一過性脳虚血発作」の理由としても知られています。

脳梗塞を引き起こす可能性のある血管の詰まりを示す頭部の症状とは?
いつも思うのだが、この文章はちょっとわかりにくい。注意しないと脳梗塞になりかねない脳の血管が詰まったときの症状とは」とでもしたらどうだろう。冒頭で述べたように、脳梗塞の概念は非常に大きく、脳梗塞の主な症状である脳塞栓症、脳血栓症、ラクナ梗塞など多くの疾患が含まれる。脳梗塞は、脳への血液供給の異常によって発症し、発症時に現れる症状の複雑さは、主に脳内の虚血によるもので、他の疾患の影響による病変の結果も加わっている。
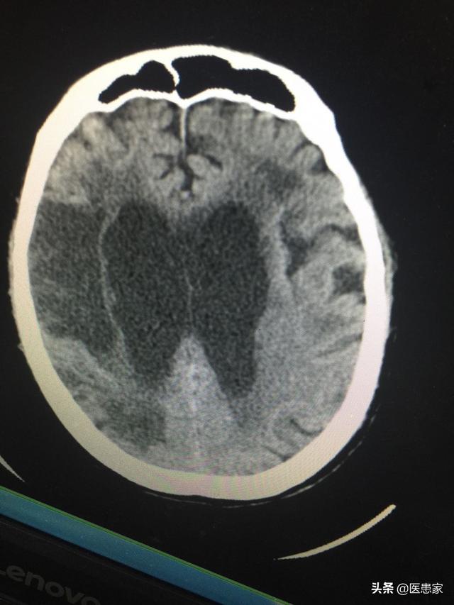
脳梗塞は、脳の一部の動脈血流の異常により低酸素状態となり、血液供給が不十分な部分に欠損が生じ、脳組織の軟化や壊死、失語症や片麻痺などの症状を引き起こす。関連研究によると、発症後24~48時間後に、脳CTによって患部に低密度の病巣が観察される。また、脳梗塞は脳MRIで時間差で発見できる。脳梗塞の臨床症状は、めまい、昏睡、失語症、吐き気などであり、消化管出血、脳血管障害後うつ病、肺感染症、不安症などの合併症を伴う。

もし脳梗塞になったら、どう対応しますか?
方法①は静脈内血栓溶解療法である。この方法は重篤な脳梗塞の発生を避けるため、発症後4~6時間の治療に適用される。75歳未満で言語や思考が正常で、関連検査の結果脳出血が否定された患者には、発症後6時間以内に血栓溶解療法を静脈内投与することができる。方法2:動脈血栓溶解療法。この方法は主に中大脳動脈または大動脈の閉塞による重症脳梗塞患者に適用されるが、この治療は発症後6時間以内に行わなければならない。方法③抗血小板凝集療法、このような脳梗塞患者の血栓溶解療法には、アスピリンを使用して治療を行うことができ、薬剤は48時間以内に使用する必要があり、用量は100-325mg/日であるが、大規模な出血の発生を防ぐために、アスピリンは1日後に服用を継続してはならない。また、クロピドグレルの抗血小板凝集作用はアスピリンと比較してより顕著であり、患者は75mg/日の経口投与量に従うことができるが、治療のためにクロピドグレルとアスピリンを同時に使用することは禁止されている。

総括
人口の高齢化に伴い、中国の高血圧、糖尿病、高血中コレステロールなどの慢性疾患グループが拡大しており、これらの慢性疾患の脳梗塞などの心血管疾患、心臓発作の発生率も上昇しており、若い傾向がある。従って、やはり根本的なところから、慢性疾患の積極的な治療、定期的な健康診断、健康的な食生活や生活習慣の維持が必要であり、これが正しい解決策となります。この回答は治療のアドバイスではなく、医学的な指導があるわけでもなく、あくまで健康科学を利用するためのものである。この記事の平易な言語包括的な要約に時間の時間を費やすことは、誰もが読むために無料、無償、列の料金に参加していません。噂に惑わされ、医学的知識がなく、ヘルスケアコンセプトグループを助けるためにそれらの人々があります!.ヘッドラインはオープンプラットフォームであり、誰もが互いに学ぶことができ、互いに議論し、異なる視点がある場合は、独自の見解について話をするコメントエリアにすることができます。あなたが助けることを学んだと感じたら、ケチケチしないで、愛を提供し、賞賛を指し、より多くの人々を助けるために前進し、サポートに感謝します。

脳梗塞は最も一般的な脳血管疾患の一つで、わが国では毎年200万人近くの人が脳梗塞で死亡し、たとえ一命を取り留めたとしても、さまざまな程度の障害が残る。もっと心配なのは、脳梗塞にかかる人の数がますます増え、ますます若々しくなっていることで、これは現代人の食生活や生活習慣が大きく関係している。通常、脳梗塞が発生する前に、体に何らかの異常が現れるが、この時、これらの信号を「読む」ことができれば、脳梗塞の発生率を下げることができる可能性が高い。
1.頭痛
脳梗塞患者の約70%は、発症前から頭痛が悪化している。ある時、突然激しい頭痛が現れたり、頭痛の性質、場所、分布などが変化したりします。この時、注意する必要があり、診察の時間内に医師に相談するのが一番で、特に三高や心血管の家族歴がある人は、特に注意する必要がある。
2.あくび、よだれ
臨床的には、約80%の患者が発症の1週間前にあくびを経験し、これは主に脳への血液供給と酸素供給が不十分なためである。この時、通常、睡眠も伴い、片側のよだれが出ますが、一度このような状況になると、細心の注意を払う必要があります。

3.目の前が一過性に黒くなる
生活の中で、一度現れた、目の前に一過性の暗黒、物事を見ることができない、数秒または数分を回復する。この時点で、我々は脳梗塞に注意しなければならない、このような状況が発生し、それは血栓の脳幹、小脳や脳橋で発生する可能性が高い。
4.舌根のこわばり
脳の血管が詰まると、脳への血液供給が不足し、大脳皮質の言語中枢が阻害され、言語障害が起こる。たとえば、舌が硬い、いつも舌を噛んでいる、言葉を吐き出せない、一段落した話ができない、あるいはまったく話せない、などの症状です。このような場合、すぐに医師の診察を受けましょう。

脳梗塞は一度発症すると、死亡率や障害率が非常に高いが、その原因は脳梗塞の予防に関連する人々の食生活や生活習慣の乱れにあり、普段の血管のメンテナンスが非常に重要で、生活の中でこれらの点を行うことをお勧めする:
1.水をよく飲む
水は天然の血液 "浄化剤 "であり、しばしば水を飲むと効果的に解毒し、血管をきれいにすることができ、特に中高年の人々は、血液の循環が遅く、朝と夕方に水を補給し、突然の病気の発生率を減らすことができます。
2.適切な運動
運動は運動をつかさどる大脳皮質の神経に適度な刺激を与え、脳梗塞の予防と脳梗塞患者の回復に役立つ。したがって、脳梗塞を予防するためには、ジョギング、階段昇降などの適切な有酸素運動をよく行い、血液循環を促進し、脳に十分な血流を供給して酸素を補給することができる。
3、血管のゴミを掃除する食べ物をもっと食べる。
血管のゴミは、人々の不健康な食事と関係があり、通常、悪玉コレステロール、トリグリセリドであり、もし時間内に代謝されないか、異常に代謝されると、血管壁に沈着し、時間の経過とともに、アテローム性動脈硬化症の出現につながり、血管を詰まらせる。そのため、食事療法では、血管のゴミを掃除し、血管の負担を減らし、血管が開き、弾力性を強化することができる食品をよく食べることができます。ここでは、そのような効果のある食品として、大豆とアスパラガスの2種類をお勧めする。大豆にはイソフラボン、アミノ酸、ビタミン、レシチンなどが豊富に含まれており、血中コレステロールを減らし、血管硬化を改善し、血管を維持する効果があります。アスパラガスは非常に高い健康効果があり、アスパラギンとルチンを含み、人間の代謝の一定の調節、血圧の低下、末梢血管の拡張と機能の血管強靭性を高め、その最大の効力の役割を果たすために、アスパラガスはしばしば血管の保護に使用され、特にアスパラガスの微生物発酵とアガリクス茸アスパラガス発酵液を取得し、広く心筋梗塞、脳梗塞などの血管疾患の予防と管理に使用されます。
脳梗塞は、脳組織の虚血と低酸素壊死をもたらし、局所脳組織地域の血液供給の障害の様々な原因を指し、病気のクラスの対応する神経機能障害の出現は、光は頭の症状ではありません。 脳血栓症、脳塞栓症、海綿状脳梗塞に分け、蕭克はそれぞれ次のように説明した。
1.脳血栓症とは、脳動脈に血栓が形成され、脳血管の血液循環が遮断され、脳細胞に虚血、低酸素、壊死などの一連の変化を引き起こす急性の脳血管障害である。脳動脈硬化症、高血圧症、糖尿病、冠動脈性心疾患などの中高年に発症しやすく、めまいや頭痛などの前駆症状が先行する。通常、静穏時または安静時に発症する。対側の片麻痺、片麻痺、半盲、めまい、複視、眼振、嚥下障害、構音障害、運動失調、交差性麻痺が起こる。症状は1~3日以内にピークに達する。患者の意識は通常あるが、程度の差こそあれ意識障害を伴う場合もあるが、血圧、心拍数、呼吸などのバイタルサインに大きな変化はない。
2.脳塞栓症とは、様々な血液塞栓が血液循環を介して脳動脈に流入し、血管閉塞を起こすことにより、血管供給部位の脳組織が虚血、低酸素、壊死、脳機能障害を起こす疾患である。 一般的な心原性塞栓症としては、心房細動に壁血栓脱落を伴うリウマチ性心臓弁膜症、非心原性塞栓症としては、大動脈アテローム性動脈硬化症のプラーク脱落、羊水塞栓症、癌性塞栓症などがある。発症は急速で、症状は数分から短時間でピークに達する傾向がある。症状発現の重症度は、塞栓の大きさ、数部位および心機能状態に関連する。症状および徴候は脳血栓症と類似しているが、症状はより重篤で、意識障害を来す人もいる。 より大きな塞栓症や多発性の塞栓症では、昏睡や頭蓋内圧亢進を来すことがある。局所神経障害は塞栓した動脈に依存し、その多くは片麻痺または単麻痺、半盲、半感覚障害であり、片側または両側の後大脳動脈が侵されると同名半盲や皮質盲を来すことがあり、椎骨動脈~脳底動脈の主幹が閉塞すると、突然の昏睡、四肢麻痺、片麻痺を来すことがある。突然の昏睡、四肢麻痺、発汗、呼吸不全などの重篤な症状。
3.脳梁性脳梗塞は、長期の高血圧や動脈硬化が原因で、大脳半球や脳幹深部の細い貫通動脈に病変が生じ、内腔が閉塞する虚血性微小梗塞であり、高血圧や一過性脳虚血の既往があることが多い中高年に多く、一過性の神経症状や局所神経症状が突然出現したり、無症状の場合もあるが、比較的完全に回復し、予後も良好である。
脳梗塞の診断は、病歴と症状に基づいて、CT、MRI、デジタルサブトラクションで確定または鑑別される。
脳梗塞の一般的な治療法としては、まず安静をとり、皮膚と口腔気道のケアを強化する。水分と電解質のバランスに注意し、発症後24~48時間経っても自力で食事ができない場合は、経鼻栄養補給を行う。血圧の安定に注意し、血圧が高すぎたり低すぎたりして局所の脳血流に影響を与えないようにする。薬物治療は、主に脳浮腫のコントロール、脳血液循環の改善、栄養、脳神経の保護などの条件に基づいて、統合的な治療薬の。
脳塞栓症や海綿状脳梗塞は脳血栓症と似ているが、再梗塞を予防するためには長期間の病因治療が必要である。また、脳塞栓症の患者さんには心疾患があることもあり、心機能に注意することが重要である。
Kirkさんをフォロー
読んでくれてありがとう!
脳梗塞が発症すると、四肢の運動障害、言語障害などでQOLが低下し、重症の場合は生命の危険さえある。したがって、脳梗塞が発症した後、一刻も早くグリーンチャンネルを通じて脳卒中センターに搬送し、最善かつ効果的な治療を受けられるかどうかが、予後を左右する重要なポイントとなる。では、脳梗塞の可能性を示す頭部の症状にはどのようなものがあるのだろうか。

1.口角が曲がっている。口の片側が曲がっている、口の片側が漏れている、唾液が漏れている、舌が片側に伸びている、などの症状が突然現れるのは、顔面神経麻痺が起きていることを示唆しており、脳血管の閉塞があるかもしれない。
2.言葉が不明瞭。突然言葉が不明瞭になる、舌が大きくなる、突然言葉を正しく表現できなくなる(身近な物の名前が言えないなど)などは、脳血管閉塞の可能性がある。
3.顔面感覚の異常。顔の片側の感覚が突然失われるのは、脳血管の閉塞が原因かもしれない。
4.めまいと頭痛。特に、高血圧、高脂血症、高血糖などの心血管危険因子を持つ人は、原因不明の突然のめまいや頭痛が脳血管閉塞を引き起こしている可能性がある。
5.意識障害が起こる。突然の意識障害や昏睡は、脳血管の閉塞が原因かもしれない。
6.飲料水をのどに詰まらせる。飲料水をのどに詰まらせたり、咳き込んだりするような症状が頻繁に現れるのは、脳梗塞による舌咽迷走神経の麻痺が原因かもしれない。
7.その他四肢の運動障害、麻痺、失禁、その他の症状の組み合わせは、脳血管閉塞を示唆する。
上記の臨床症状が発生した場合、最初の時間は120を呼び出すために、さらに評価と診断のために病院の脳卒中センターへの緑色のチャネルを介して、血栓溶解療法、動脈内血栓溶解療法やその他の治療を通じて、かなりの数の患者、さらにはほとんど後遺症がないことができます。
脳梗塞は脳卒中とも呼ばれ、脳の虚血性病変である。加齢とともに血管の状態が悪くなり、高血圧、高コレステロール血症、糖尿病などの慢性疾患により血管の動脈硬化が促進され、脳動脈の狭窄や閉塞性病変が生じ、一連の脳梗塞や脳虚血症状を引き起こします。

脳梗塞を示す症状にはどのようなものがありますか?
脳梗塞の発症は急激で、安静時や睡眠中に発症する人が多い。 前駆症状は特になく、めまい、目のかすみ、手足のしびれや脱力などの症状がみられる人が多い。脳梗塞後の症状は、閉塞血管によって異なります。一般的な症状としては、言語障害、片麻痺、口が曲がる、意識障害などがあります。

脳梗塞を予防するには?
減塩、低脂肪、低糖の食事、血圧のコントロール、高脂血症の予防と治療、高血圧、高脂血症、その他の心血管疾患の患者は、降圧薬と脂質調整薬を定期的かつ標準的に服用する必要がある。脂質調整薬にはスタチンを使用することが推奨される。必要であれば、アスピリンやクロピドグレルなどの抗血小板療法を行うべきである。

脳梗塞患者の多くは、言葉が不明瞭になる、歩行が不安定になるなどの後遺症を残す。脳梗塞患者のリハビリ訓練をできるだけ早く開始し、家族ができるだけ脳梗塞患者を気遣い、精神的な支えと安らぎを与えることが、脳梗塞患者のQOLの向上と精神的負担の軽減につながる。
私の答えがあなたのお役に立てれば幸いです!もし気に入っていただけたら、「いいね!」をお願いします!

通常、脳梗塞の前駆症状は非常に明白である。結局のところ、血管の閉塞は一日や二日で引き起こされることはできず、何年も蓄積する必要があり、脳血管が閉塞した後、血液の流れがスムーズでないため、頭部にさまざまな症状が現れる。
右上隅にあるHelpful Tapをフォローすると、面白くて知識豊富な記事を毎日プッシュしてくれる!
脳血管が閉塞し、頭がしばしばフラフラする。
脳血管が少し閉塞すると、頭がしばしばめまいを起こし、特に朝起きたばかりの時、頭が余計にめまいを起こす。 脳血管の閉塞がひどくなると、めまいの症状も悪化し、めまいのような感覚を持つこともあるので、この時は適時検査をして、早期に状態を確認し、早期に治療することができます。
脳血管の閉塞により、頭皮がヒリヒリする。
脳血管の閉塞は、血流がスムーズでない場合は深刻ではなく、血液不足のために頭皮がしびれる。しびれは、頭皮の左側や右側など、脳の片側の頭皮のしびれとして現れますが、しびれは圧迫することで緩和されます。
脳の血管が詰まると、口や目がゆがむことがある。
脳血管の閉塞、特に深刻な血管の閉塞は、通常、口や目の曲がった症状が現れ、何人かの人はよだれを流す。私の同僚は、家族の集まりが飲んでいる、乾杯している、突然よだれを垂らし、家族は、これはああ、脳梗塞である見て、病院に運ばれたが、幸いなことに、時間...
脳の血管が詰まる。 めまい、嘔吐。
脳の血管が詰まると、脳システムは酸素と血液の不足を経験することになり、めまいや嘔吐を引き起こす可能性がある。血管の詰まりがひどい場合は、視界がぼやけ、目の前が真っ暗になることもあり、いずれも注意が必要です。
脳血管が少し詰まっている、水で何を飲むべきか
多くの人がお茶を使って病気を予防するのが好きで、血管が詰まった友人のために、お茶を使って治療を補助し、効果は非常に良いです。 個人的には、サンザシ入りの水を飲むことをお勧めします、血管が少し詰まっている人に適用され、サンザシは安いですが、また、血管内のコレステロールや血中脂質を減らすことができ、多目的。
気に入ったら、フォローをクリックしてください。面白くて知識豊富な記事が毎日あなたにプッシュされます!
古い梗塞の主な症状は頭痛である。めまい、吐き気、だるさ。これが最初の症状で、後に舌が曲がって口が曲がってくる。言葉がはっきりしない。しびれると言う。足のしびれ。不安定な歩行。気質の症状がある場合は、速やかに病院に行って治療を受けてください。
家庭での緊急廃棄方法
1.足の裏の永泉のツボに3分間カッピングする。その後、血液下剤ペンを使う。素早く20回針を刺す。その後、真空カッピングを10分間行う。
2.抜いた血液の滞りを取り除く。拭き取る。その後滅菌する。
これが最も迅速で効果的な解決策だ。
この方法は、脳梗塞の発生を事前に防ぐこともできる。
この方法は脳梗塞の後遺症の治療にも使える。
私の答えがあなたのお役に立てれば幸いです。あなたの健康を祈っています。
脳梗塞の症状は、脳のどの部位で起こるか、どこで起こるかによって同じではありません。頭の血管とかではない。でないと話がずれてしまう。ご容赦ください。脳梗塞の話だよ。
君たちの質問は難しく、深いものだ。
2人とも、答えて理解するようにしよう、いいね?
1、脳、脊髄、末梢神経を含む神経系。
2、中枢神経系、脳、大脳皮質。脊髄。
3、末梢神経系、脳脊髄、その一端は脳の中枢神経系に接続され、脊髄、枝の他端は、組織や器官に分布している。これは、読者が迷惑な理由を読むことを恐れて、少し書かれています。
大脳皮質が高度に発達していることが、ヒトと哺乳類の最も重要な違いである。大脳皮質の異なる領域が、人体の異なる領域の機能を管理している。
神経学的損傷では、感覚、運動、反射、高次神経活動、植物神経機能が程度の差こそあれ障害される。上記はあくまでも読み物であり、参考である。深入りする必要はない。
脳梗塞はこの記事の主題である。
脳梗塞に焦点を当てよう。
血栓が脳の血管を塞ぐと、その血管から供給されている脳組織、大脳皮質が損傷を受ける。
小川が畑に水をやるのと同じように、苗は乾くか枯れる。この例えは脳梗塞の理解に役立つだろうか?
塞栓された脳の領域は損傷または壊死している。
次の弊害は、脳のこの部分の機能障害や喪失である。
塞栓された脳が本来果たすべき機能。例えば、1)中大脳動脈の閉塞、対側四肢の運動機能障害、片麻痺、感覚障害、2)前大脳動脈の塞栓、対側上肢の麻痺、顔面神経麻痺。
高次の神経活動が障害されると、覚醒したままであったり、眠気、嗜眠、昏睡などが起こったりする。
約束
記憶、思考、感情的知性の異常。
言語障害、話すことができない。
人の言っていることが理解できない。
単語が発音できない。
書けないなど。
脳梗塞の治療に関しては、時間は脳である!
このような場合は、できるだけ早く脳卒中センターに行くこと。
救命、今のところ手段はまだある。
脳を救えるかどうかは、医者に行くまでの時間にかかっている。
塞栓の外科的除去と血栓溶解療法は、現在ではかなり確立された方法である。




脳梗塞は中国の成人の死亡と障害の重要な原因であり、罹患率、障害、死亡率、再発率が高い。データによれば、脳梗塞はわが国における生命年数の損失における主要な原因である。
脳梗塞を引き起こす可能性のある血管の詰まりを示す頭部の症状とは?
めまい、頭痛
めまいは脳梗塞の症状のひとつで、脳梗塞の前にめまいや頭痛、あるいは突然の失神が起こることがあるが、すぐに目が覚める。
睡眠不足、夜更かし、運動不足、風邪などもめまいや頭痛につながるので、原因を探ることが大切だ。
めまいや頭痛に加え、目の前が真っ暗になることもある。脳梗塞患者の典型的な症状として、目の前が真っ暗になる、視野が不完全になるといった一過性の視覚障害があるが、これは1時間ほど続き、自然に回復する。
脳梗塞とは?
脳梗塞は、急性虚血性脳血管障害であり、虚血と低酸素により局所の脳組織が壊死して軟化し、片麻痺、失語症、感覚障害が主な臨床症状として現れる。
中国の高血圧患者教育ガイドラインによると、高血圧は脳梗塞の最も重要な危険因子である。中国の脳梗塞患者の70%は高血圧である。脳梗塞患者の約40%が2回以上再発し、1年再発率は約18%、5年再発率は25%と高い。

有名な雑誌『ランセット』は、中国には世界の脳梗塞患者の40%がおり、50歳以上に集中していると指摘している。脳梗塞は一度発症すると、死に至ることもあれば、一生麻痺が残ることもある。脳梗塞にならないためには、次のようなことに気をつけましょう。
1.適度な運動
適度な運動は血液循環を促進し、血管壁の弾力性を向上させ、脳梗塞の発生を抑えることができる。中国慢性疾患サーベイランスプログラムによると、1回10分の運動を週3日以上、毎回中等度以上の強度で行うことが望ましいとされています。人生は運動であり、適度に活動し、体力を高めましょう。
2.合理的な食事
動物のレバー、塩漬け野菜、生肉、ハム、揚げ生地などの食品は控えめにするか、まったく食べないようにすべきである。中国住民の栄養と慢性疾患の現状に関する報告』によると、18歳以上の中国住民の平均食塩摂取量は10.5gで、『中国住民のための食事摂取基準』の推奨量(一人当たり6g/日)をはるかに超えている。
3.喫煙と飲酒をやめる
タバコとアルコールの脳血管に対する害は明らかである。タバコとアルコールは高血圧と高脂血症のリスクを高め、突然の脳梗塞の可能性を高めるので、禁煙と禁酒が必要である。
複雑で難しい病気の知識を平易な言葉で説明し、皆様の身体管理のお役に立てるよう日々精進している王薬剤師です。皆様からのお褒めの言葉が私の最大のモチベーションです!また、もしあなたのご家族も関連する悩みをお持ちでしたら、ぜひこの記事を伝えてあげてください!
脳梗塞の症状は?
1.視界がぼやける
脳梗塞を起こすと、一過性の目のかすみを経験する人がいる。また、一過性の視野欠損を起こし、物が全体的に見えにくくなる人もいる。しかし、この現象のほとんどは1時間もすれば元に戻るので、多くの人は疲労が原因だと思って無視してしまう。
2.めまい
突然のめまいや原因不明の虚脱は、椎骨の基部にある動脈への血液供給が不十分なために起こることがある。これが小脳や脳幹のバランス組織に影響を及ぼし、突然のめまいや立てなくなったり、ひどい場合には失神して倒れたりする。普通に歩いていて突然原因不明の転倒が起こるのは、脳梗塞が起こる前の典型的な兆候の一つである。

3.手足の脱力感としびれ
体の感覚も何らかの影響を受けて変化し、一般的には片側のしびれや手足の脱力がみられる。このような感覚が24時間以内に続く場合は、脳梗塞の可能性が高い。
4.不明瞭な発話
また、脳梗塞が発症する前に、脳の動脈のいずれかに血液が供給されなくなるため、脳梗塞の前に言葉が不明瞭になる患者も多い。これが大脳皮質の言語中枢に影響を及ぼし、突然不明瞭な言葉を発するようになる。
この質問と回答はサイト利用者のものであり、サイトの立場を代表するものではありません、侵害など、削除するには管理者に連絡してください。