脳梗塞をどう理解する?その症状とは?
脳梗塞をどう理解する?その症状とは?
脳梗塞は、頭の血管が詰まることで発症する!
世界としての人間の体であれば、体全体の血管は、大小の交通道路であり、血液は貨物自動車であり、エネルギー酸素は、通常の仕事の彼らの消費を容易にするために、様々な場所に輸送され、消費される作業負荷が大きいほど、また、より多くのですが、血液中の酸素エネルギーを輸送するために普通の人は、多くの場合、基本的な消費を満たすためだけでなく、十分すぎるほどですが、埋蔵量の一定量があります。
脳梗塞の患者は違う、脳梗塞の患者の血管は閉塞している、道路工事や交通事故のように、血液が以前のように迅速かつ十分に通過できないことを想像できる、つまり血液、酸素、エネルギーの供給が減少する、エネルギーはすべての行動活動の基本的な保証である、一度供給が減少すると、脳の各部位の組織への血液と酸素の灌流はますます少なくなり、この供給より消費のパターンが長く続く。この供給過剰の消耗パターンが長期間続くと、細胞や組織が徐々に壊死し、脳梗塞の病態となる。

脳梗塞の症状は?
1、不明瞭な言語:不明瞭な言語表現、吃音、大きな舌、一部の患者はよだれも垂らす。
2、視力低下:突然、視界がはっきりしなくなったり、視野が狭くなったりする。
3、眠気と疲労:頻繁にあくびをし、常に物理的な疲れを感じる、たとえ長い時間休んでもまだそう、眠りたい。
4、めまいと頭痛:何の因果関係もない場合、突然空が回ったように感じたり、あるいは直接倒れたりすると、頭痛の症状を合併する患者もいる。
5、身体的障害:上肢や下肢の活動に異常があり、物を普通に持てない、普通に歩けないなど、常に反応が鈍かったり、コントロール不能感があったりする。

私の答えがあなたのお役に立てれば幸いです!
わからないことがあれば、コメントやプライベートメッセージをください!
平たく言えば、水道管の詰まりだ。
脳梗塞の病態は、脳組織に血液を供給する血管の一本が完全に閉塞し、脳組織が壊死する虚血性疾患の一種である。脳梗塞は世界的に5つの病因に分類されている:
第一に、アテローム性動脈硬化症由来で、大動脈のアテローム性動脈硬化症によって引き起こされる脳梗塞である;
第二に、重度の不整脈、心臓弁膜症、その他の心臓疾患などの心臓に起因するものである;
第三に、血管炎などの小動脈の病変である;
第四に、全身疾患による虚血性脳血管障害である;
第五に、原因不明の脳梗塞は、おそらく脳梗塞の患者の総数のかなりの部分を占め、現在知られている検査と病因の手段を使用することはできません脳梗塞の病気を分類するためにどのように原因であり、現在、この分野では非常に研究すべき内容に関与している。
結論として、脳梗塞の患者が来院したら、まず血管を評価し、危険因子を調べ、必要であれば心臓の検査も行う。
脳梗塞患者の発熱は脳梗塞の症状を悪化させ、治療期間を延長させ、回復に影響を及ぼす可能性がある。脳梗塞の臨床症状はより複雑で、脳損傷の部位、脳虚血血管の大きさ、虚血の重症度、他の重要な臓器疾患の有無などに関係する。軽症の場合、全く症状がない、すなわち無症候性脳梗塞や、頭痛、めまい、吐き気、嘔吐、失語症、手足の麻痺などがあり、重症の場合、手足の麻痺だけでなく、急性昏睡や死に至ることもあり、病変が大脳皮質に及んでいる場合は、急性期にてんかん発作を併発することもある。
脳梗塞の初期症状
1.視界がぼやける
脳梗塞の初期症状は一過性の視力障害や視野欠損で、通常1時間以内に回復する。一過性の視覚障害に関する専門家の見解
網膜障害患者10例で眼底鏡検査と脳血流測定が行われ、網膜中心動脈の閉塞が1例で認められ、網膜分裂であった。
分枝動脈閉塞症。
2.部分麻痺
一過性脳虚血発作(TIA)は、厳密に言えば、脳卒中の最も軽い型である。経過観察によると、一過性脳虚血発作から1年後には、脳卒中が発症している。
虚血性脳卒中は人口の約半数にみられ、脳梗塞の初期症状である。
3.あくびに次ぐあくび
脳梗塞の初期症状として、脳動脈硬化が徐々に悪化し、内腔が狭くなり、脳虚血と低酸素症、特に呼吸中枢の低酸素症が悪化する。
あくび反射は脳卒中発症時に誘発されることがある。頻回のあくびは、虚血性脳卒中発症の5~10日前に最大80%の症例でみられ、重要な警告信号となります。
4.吃音
症状は、脳梗塞の初期症状である口下手やよだれで、突然発症することもある。
5.一時的な停電
吐き気、嘔吐、頭痛、意識障害を伴う。
脳梗塞の初期症状。
上記の症状は脳梗塞の初期症状であり、患者や友人は、生活の中で上記の症状が現れたら、注意しなければならない。
油断せず、専門病院の脳神経外科で診断と治療を受け、効果的に症状を緩和してください。
脳梗塞は一般的な脳血管疾患である。
脳梗塞は年齢に関係なく発症するが、多くは40歳以上で発症し、50歳から70歳がピークである。
脳梗塞は、脳への血液供給が障害され、脳虚血や低酸素状態となり、脳組織が局所的に壊死して脳機能障害を引き起こし、その結果、対応する神経機能に異常をきたす臨床症候群である。
脳梗塞の典型的な症状:片麻痺、失語症、片麻痺、両眼の片側への注視、かすみ目、複視、半盲症、めまい、嘔吐、頭痛、意識障害、けいれん。
脳梗塞は、脳浮腫、頭蓋内圧亢進、梗塞後出血、てんかんを引き起こし、しばしば褥瘡、肺感染、上部消化管出血、下肢静脈血栓症、肺塞栓症、嚥下障害、心筋梗塞などの合併症を引き起こす。症状が悪化すると、生命を脅かすこともある。
脳梗塞の主な治療法には、一般的治療、特異的治療、急性合併症の治療、リハビリテーション、主原因子の治療などがある。
脳梗塞の予後は、年齢、基礎疾患の有無、併存疾患の有無など多くの因子に関係する。ほとんどの人は予後良好であるが、この病気は再発率が高く、再発回数が多いほど死亡率や障害率が高くなる。
脳卒中は脳血管障害とも呼ばれ、急性脳血管障害の一つで、病気ではなく、脳の血管が突然破裂したり、血管が閉塞して血液が脳に流れ込まなくなり、脳組織が損傷する疾患群である。
脳卒中は虚血性脳卒中と出血性脳卒中に分けられる。虚血性脳卒中は脳梗塞や脳塞栓症としても知られ、罹患率の80%を占める。
私たちの体の細胞が生きて機能するためには、エネルギーと栄養を供給する血液が必要である。脳細胞も同様に、エネルギーと栄養を供給するために血液を必要とする。
脳のこの部分に供給している血管が切れたり詰まったりすると、この部分の脳細胞が死んでしまう。脳細胞が死滅すると機能が失われ、しゃべれない、口が曲がる、よだれが出る、麻痺などの症状が現れる。
脳は神経系の最も高度な部分として、コンピューターのCPUのように私たちの身体の司令塔である。脳の局所的な脳組織は、受傷後に対応する手足や意識の障害につながることもある。脳の異なる部位は異なる機能を担っている。異なる機能部位が損傷を受けると、対応する身体機能が失われる。
脳梗塞が大きい人と小さい人、脳出血が多い人と少ない人などである。
症状はすべて、麻痺や手足を動かせないことがある。
出血性脳卒中は脳出血、脳溢血とも呼ばれる。出血の量と部位によって脳卒中の重症度が決まり、頭蓋内出血、くも膜下出血に分類される。脳梗塞の発生確率は20%ですが、死亡率は虚血性脳梗塞よりはるかに高いです。
脳梗塞:脳に血液を供給する動脈に問題が生じると、血管の内腔が狭くなったり、閉塞したりすることがあり、その結果、脳に血液が供給されなくなり、最終的には死に至る。これは血管自体に原因がある。
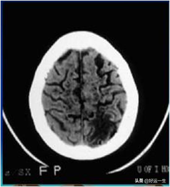
脳梗塞は、医学的には「低濃度陰影」と呼ばれる黒い斑点として見られる。これらの場所が病変部位である。図2
脳塞栓症というタイプもある。血管に異物が入り、血液循環とともに脳動脈に移動する。脳内では血管がどんどん細くなり、異常物質の流れが滞って動かなくなり、血流が滞り、急激に血流が減少することで、神経支配領域の脳組織が壊死することがある。

インターネットを見れば一目瞭然。怠けてはいけない。
私たちの体の細胞が生きて機能するためには、エネルギーと栄養を供給する血液が必要である。脳細胞も同様に、エネルギーと栄養を供給するために血液を必要とする。
この質問と回答はサイト利用者のものであり、サイトの立場を代表するものではありません、侵害など、削除するには管理者に連絡してください。