肺がんの身体的徴候にはどのようなものがありますか?
肺がんの身体的徴候にはどのようなものがありますか?
肺がんを早期に発見するためには、身体的な症状に頼るのは頼りないので、ある方法を紹介します。肺がんは現在中国で最も罹患率の高いがんの一種であり、肺がん患者の死亡率も非常に高い。なぜなら、肺がんは通常、早期には症状がないか、明らかな症状がなく、発見しても末期であることが多いため、死亡率が高いからです。
そう、身体的な症状で肺がんを早期発見しようとしてもうまくいかないのだ!実際、癌を早期発見するには、以下の方法を使えばいいと思う。肺がんのハイリスク群(つまり肺がんになりやすい人)かどうかを判断し、定期的にターゲットを絞った検診を受けましょう。以下にいくつかの情報を紹介しよう。
では、誰が肺がんのリスクが高く、警戒すべきなのだろうか?
1.家族に複数の肺がん患者がいる場合、特に近親者に肺がん患者がいる場合。
がんは遺伝子、つまり遺伝と関係があることがわかっている。 家族の中に肺がんにかかった人が複数いれば、その人も肺がんのハイリスクグループということになり、用心しなければならない。
2.長期喫煙者
タバコは、肺がんの引き金になることが確認されている。現在、長期喫煙者は肺がんにかかりやすいと考えられている。その典型的な指標のひとつが「タバコ400年」と呼ばれるものだ。この概念は何か?つまり、1日10本程度吸う人が40年間喫煙していた場合、1日10本×40年=400年の喫煙年数ということになる。400年間吸い続けると、肺がんのリスクは劇的に高まる。喫煙者は今までに何本吸ったかを数えることができる。
3.40歳以上の方
肺がんは現在、主に40歳以上で発症し、40歳以前の肺がん患者は減少している。
4.有害で有害な仕事に長期間従事している人。
例えば、アスベスト作業員、炭鉱労働者、衛生作業員、交通警察官、料理人、塗装工、印刷工などである。 これらの仕事に従事している人は、多くの有毒有害物質に接触することになり、肺がんになりやすい。油煙の毒性を無視してはならない。料理人の肺がん患者は多いし、以前にも油煙と肺がんについての記事を書いたことがあるので、料理をするときは台所の換気をしっかりしなければならない。
5.長期にわたる精神的抑うつ、高い精神的ストレス、高い労働強度の人は、がんになりやすい
6.大気汚染のひどい都市に住んでいる。例えば、河北省北部の重工業都市は大気汚染が非常に深刻で、肺がんの発生率が高い。
7.慢性閉塞性肺疾患や結核などの慢性肺疾患患者は肺がんになりやすい。
上記のグループは肺がんにかかりやすく、該当する人が多ければ多いほどリスクが高くなるため、定期的な肺がん検診の必要性が高まる。肺がん検診は、定期的な胸部低線量スパイラルCT検査と同じくらい簡単である。
私の恩師の一人、それこそ50歳の彼は、大の喫煙者で、よく働き、家族に肺がん患者がいるため、毎年肺がん検診を受けている。不幸にも一昨年の検診で肺がんが見つかったが、幸運にも早期発見で、手術も今のところうまくいっている。現在は順調に回復し、患者の手術を続けている。
最後に、肺がん患者の身体症状について簡単に説明する。
1.咳。これは肺癌の最も一般的な症状であるが、非常に非典型的な症状でもある。 多くの一般的な病気や、ちょっとした風邪でも咳が出ることがあるので、軽視されやすい。しかも、咳の症状が出るときは、肺がんの中期か末期であることが多い。
2.血を吐く肺がんは肺の中の細い血管を破壊するため、血を吐くようになり、太い血管を破壊すれば大量の血を吐くようになり、命にかかわることさえあります。
3.呼吸困難腫瘤が肺を圧迫すると、もちろん呼吸が苦しくなりますが、この症状を起こすには肺がんがある程度大きくなることも必要です。
4.浪費
5.転移症状肺がんは脳に転移しやすく、頭痛、嘔吐、意識障害などを引き起こし、骨にも転移し、骨痛を引き起こします。
こうした症状が現れる頃には、肺がんが非常に大きくなっていることが多い。そのため、肺がんのリスクが高い人は定期的に検診を受け、早期発見・早期治療がより効果的になることが望まれる。
こんにちは、私は内科医です。第一のがんである肺がんは、非情にも多くの命を奪ってきました。肺がんは、世界的にみても、がんに関連した死因の第一位です。肺がんは、肺の原発性悪性腫瘍の中で最も一般的なものです。 健康意識の高まりとともに、毎年多くの肺結節患者が検診を受けています。 肺がんに罹患すると、体にどのような徴候が現れるのでしょうか?以下に私の考えをお話しします。

肺がんの簡単な紹介
まず、組織から肺がんを小細胞がんと非小細胞がんに分けてみよう。男性が女性より多いのが特徴で、その比率は約2.1:1である。.臨床的には、その症状は実際には非常に陰湿であり、多くの人は、咳、痰、喀血、やせ、その他の症状が病気の中期や後期になって初めて医者に行く。関連する疫学的データによると患者の75%は、診断されるまでに進行した肺がんを患っており、5年生存率は合わせても20%以下であるため、早期診断と標準化された治療が極めて重要である。

なぜ肺がんになるのか?
この問題は熟慮に値するが、喫煙から逃れることは難しい。なぜなら(a)肺癌を発症する患者の約85%に喫煙歴がある。特に、喫煙開始年齢が若く、喫煙期間が長く、1日のタバコ消費量が多い場合に当てはまる。..非喫煙者に比べ、喫煙者の肺がんリスクは平均10倍、重症例では10~25倍高い。
この時点で、「あの人はタバコを吸わない女性なのに、なぜあの人も肺がんになったのだろう」とおっしゃる方がいるかもしれません。実は、人が非常に見落としがちなことが一つあり、それは副流煙/受動喫煙である。関連データによると、非喫煙者と喫煙者が結婚して長年一緒に暮らすと、肺がんのリスクは20~30%増加し、配偶者の喫煙量が多いほど肺がんのリスクも増加する。国際保健機関(International Health Organisation)は、タバコをクラスAの発がん性物質に分類しているし、近年、国が公共の場での喫煙を規制する努力を強めていることもわかったと思う。

ここで、「タバコも吸わないし、副流煙の害もないのに、どうして肺がんになるのか」と言う人がいるかもしれない。実はこれには2つ目の理由、すなわち職業的発がん因子が関係している。例えば、アスベスト、ヒ素、ジクロロメチルエーテル、クロム、マスタードガス、多環芳香族炭化水素などである。ラジウムやウランなどの放射性物質が崩壊する際に発生するラドンやラドンガスだけでなく、電離放射線やマイクロ波なども肺がんのリスクを3~30倍高める。
: : 第二に、屋外の環境汚染(都市部の工業排気ガス、自動車の排気ガスなど)、屋内の環境汚染(屋内での受動喫煙、燃料の燃焼、調理過程で発がん物質が生成されることがあり、女性の腺がんに大きな影響を与える)、電離放射線、遺伝、遺伝子の変化などが関係している。まとめると、肺がんの病因と病態はあまりはっきりしていないが、上で話したような危険因子には有意な相関関係があるということである。

肺がんの兆候は?
まず冷や水を浴びせなければならないのは、先に述べたように、肺がんが実は無症状であることに気づく人がかなりいるということだ。したがって、肺がんであるかどうかを特定の徴候で判断するのは客観的ではなく、心に留めておく必要がある。実際、解決策は非常に簡単で、定期的な健康診断、肺の悪性腫瘍の血液検査、肺のCT検査などを行うことだ。肺の影や悪性結節などを見つけることは、非常に良いスクリーニングツールである。
徴候1:咳。咳の性質は、痰のない、あるいは痰の少ない刺激性の乾性咳嗽が主で、腫瘍が気管支狭窄を引き起こしている場合は咳嗽も悪化し、粘液性腺癌の場合は粘液性の痰が多量に出ることがあり、二次感染(風邪をひく、風邪を引くなど)を伴うと痰の量が多くなり、粘液性や膿性の痰が出ます。
徴候2:痰に血が混じる喀血が起こる場合は、そのほとんどが管腔の表面がひどく侵食され、太い血管に浸潤しているためである。 息切れや喘鳴が起こる場合は、そのほとんどが腫瘍が気管や気管支に浸潤し、気道の閉塞を引き起こしているためである。腫瘍が広範囲に転移している場合は、呼吸困難や息切れなどの徴候もみられる。
その他の兆候腫瘍が胸膜や胸壁に転移・浸潤している場合は、不規則な鈍痛、漠然とした痛み、鋭い痛みがあり、呼吸や咳によって増悪する。反回喉頭神経が圧迫されると声帯が麻痺する。嗄声の原因となる。腫瘍が食道に浸潤すると、嚥下困難や食事不能などの徴候が現れる。

総括
肺がんの場合、臨床的には同じ病気でも症状が違ったり、違う病気でも同じような症状が出たりするため、専門家でない医療従事者としては、どのような症状、いわゆる徴候があるのか、実はあまり詳しく知る必要はない。個人的には、肺がんの高危険因子(禁煙、副流煙の拒否、職業性発がん物質など)の予防に重点を置くべきであり、定期的な健康診断が正しい解決策だと思う。
著者のメッセージこの回答は、治療上のアドバイスや医療指導を行うものではありません。健康科学目的のみ..個人的な経験から要約したもので、コラムに追加したものではない無料で、誰でも読むことができる。.お役に立てたなら幸いです。学んだとしても、意地悪はしないでね。そして、応援ありがとう。
肺がんを示す体の症状とは?
肺がんは通常、肺の原発性悪性腫瘍を指し、市内で最も多く、罹患率の高いがんである。肺がんは通常、静かに始まり、肺がんになる前や肺がんの初期にはほのめかす症状がないことが多く、肺がんが進行して症状が現れても、放置されやすく、注意が払われないため、病状が遅れてしまうこともある。そのため、肺がん患者の半数以上は病院に行って診察を受ける。そのため、肺がん患者の半数以上は、病院で診察を受ける時点ですでに進行期に入っている。

では、そのような症状が現れたら、肺がんが進行している可能性があるということですか?
肺がんと診断される100人のうち5~15人くらいは、何の違和感もない、つまり何の徴候や症状もなく、たいていは健康診断や胸部レントゲン写真、胸部CT検査などを別の理由で受けた後に診断されます。 特に末梢性の肺がんは、通常、早期には何の徴候も現れませんが、腫瘍が継続的に大きくなるのに伴って、特に気管支を占拠して侵害すると、次のような徴候や症状が現れることがあります。腫瘍が継続的に成長し、特に気管支を占拠・侵入・圧迫すると、症状が現れることがある。
発作性の刺激性の乾いた咳、あるいは発作性の刺激性の詰まった咳、痰が出ない、あるいは痰が少ない、少し泡のような痰が出ると、風邪やインフルエンザだと鵜呑みにして風邪として治療してしまいがちですが、これは治療効果がないだけでなく、病状を遅らせることにもなります。 腫瘍が大きくなって気道を塞いで痰の排出に影響を及ぼすと、二次的に肺感染症を起こすことがあり、これは閉塞性肺炎と呼ばれ、患者の痰の量は増加します。喀痰量の増加や膿性痰に加え、胸部圧迫感、息切れや息苦しさ、さらには喘鳴やクループ、発熱、胸部の鈍痛や漠然とした痛み、あるいは表現しにくい胸部の痛み、痛みが肩の後ろまで放散することもあり、呼吸や痰を吐くことで痛みが悪化することもあります。

もう一つの一般的な症状は血痰または喀血で、通常、痰の中に血斑、痰の中に血糸、あるいは断続的に少量の喀血がみられる。喀血はまれだが、それでも時折みられることがある。
隣接する臓器や組織への浸潤や圧迫の症状。
食道への腫瘍の浸潤と圧迫は食物の嚥下困難を引き起こし、左反回喉頭神経の浸潤と圧迫は声帯の麻痺と嗄声を引き起こし、上大静脈の浸潤と圧迫は血液の還流障害を引き起こし、患者は頚部、顔面、上肢の浮腫、胸壁の静脈の露出は静脈瘤を引き起こし、深刻な浸潤と圧迫がある患者はめまい、立ちくらみ、頭痛、目のかすみ、目の結膜の充血を引き起こし、肺尖に肺癌がある患者は発汗がほとんどなく、瞳孔が縮小することがある。肺癌が頸部の交感神経に浸潤して圧迫すると、同側の額や胸壁にほとんど汗をかかなくなり、病側のまぶたが垂れ下がって見えたり、眼球が内側に入り込んで見えたり、瞳孔が狭くなって見えたり、胸膜に浸潤して血性胸水が出たりする。
肝臓、骨、脳、皮下などに発現。
例えば、肝臓への転移では、肝臓部位の痛み、肝腫大、皮膚や粘膜・強膜の黄色染色、腹水、食欲不振や食欲不振、骨への転移では、局所的な骨痛、圧迫痛、あるいは自然発生的な病的骨折、脳への転移では、めまい、頭痛、吐き気や嘔吐、頭の回転、複視、あるいは片方の手足が脱力する片麻痺などが起こります。さらに、けいれん、精神的・心理的な変化、性格・行動・言動の異常な変化がみられることもある。
男性の友人の肺外症状は、乳房の過形成と発育、皮膚筋炎、光のない黒い皮膚に現れるだけでなく、長く続く原因不明の非さまような関節痛、ドラムスティック指などが現れることもある。

以上から、肺がんの症状はたくさんあるが、多かれ少なかれまだ痕跡があることがわかる。 もし、痰が出ないか少ない刺激性の乾いた咳や刺激性の詰まった咳が続く場合、痰に血が混じるか少量の喀血がある場合、原因不明の息切れや喘鳴がある場合、原因不明の杵と臼の指が痛む場合、関節が彷徨うような痛みがない場合、特に、長期間喫煙していた人、アスベストなどの危険性の高い仕事に従事していた人、がんにかかったことがある人、または家族に肺がんの遺伝がある人は、警戒を強め、細心の注意を払う必要がある。また、がん経験者や肺がんの家系を持つ人は、2週間以上治療しても上記の症状が緩和されないか、改善が明らかでない場合、警戒を強め、細心の注意を払う必要がある。
肺がんの徴候や症状を知ることは、肺がんをより早く発見したり、肺がんをより早く予防したりすることであり、肺がんが危険ながんであり、死亡率も罹患率も他のがんに引けを取らず、誰もががんの恐怖を口にする病気であることを反映している。以下では、肺がんの徴候と症状は何か、肺がんの高危険因子は何か、肺がんの治療法についてお話します。
では、肺がんの兆候とは何か?
- 実際、私は物事に冷や水を浴びせるのが常だが、今回は肺がんは初期の段階ではほとんど症状がない。という悪い結果を招く。肺がん患者の3分の2は、発見された時点ですでに進行期に入っているこれは肺がんの死亡率が非常に高い理由の一つでもある。というのも、肺がん患者の多くは、肺がんそのものによる症状ではなく、他の臓器や器官への転移、あるいは以下のような全身症状や随伴症状で受診することがあるからだ。声のかすれ、指の粗さ、肺炎など。肺がんの早期発見が難しい。
- もちろん、肺がんそのものが症状を引き起こさないというわけではない。肺がん患者のうち、肺がんそのものに起因する症状を経験するのは約30%未満である。肺がんの部位にも関係し、中枢性肺がんの場合は刺激性の咳を呈することもある。刺激性の乾性咳嗽とは、明らかな理由のない咳が続くことである。刺激臭のあるもの(パプリカ、臭い靴下、アルコール度数の高いものなど)を嗅ぐような感じだ。さらに、患者は程度の差こそあれ、息苦しさを経験することもある。血を吐く。もちろん、多くの人が同じ肺葉の肺炎を長期にわたって繰り返し発症し、腫瘍が大きくなったり、神経や静脈に浸潤して声が出たりする。嗄声、しゃっくりの持続、浮腫、その他の症状.また、末梢型の肺癌では、胸痛や胸水貯留、息苦しさなどが起こりやすい。また、病巣が大きすぎると、腫瘍組織の壊死、液化、化膿が起こることがある。

肺がんの初期徴候はほとんどないが、肺がんの危険因子について学ぶことで、肺がんを予防することができる。
1.毎日の食事と肺がんの関係もより微妙であり、現在では、肺がんの発症に関与していることが確認されている。果物や野菜を定期的に食べることで、肺がんはある程度予防できる。というのも、この種の食品には抗酸化物質や微量栄養素が含まれており、体内のDNA損傷を減らすことで予防的な役割を果たすことができるからである。しかし、アルコールの摂取は肝臓に有害であるばかりでなく、肺がんのリスクを高めることも強調しておきたい。
2.職業の関連性も考慮しなければならない。職業暴露は肺がんのリスクを高めるものである。以下のことが確認された。アスベスト加工業、各種粉塵への長期暴露、各種クロム、ニッケル、すすなどの電離放射線、および各種採掘作業に従事する人々もう1つ、外せないグループがある。ペインター、それから木工用ペンキにはまだシミが残っています。とても悪いことだ。でも、結局のところ、生計を立てることが大事なんだ。

3.全国的な取り組み環境と大気汚染への対応は非常に重要だ。環境汚染や大気汚染は肺がんの危険因子であるため、市街地の空気は自動車の排気ガス、工場の排気ガス、暖房の排気ガスが主な原因となっている。個人による喫煙、家庭の台所からの煙など。また、屋内空気汚染が女性の肺がん発症により大きな影響を与えることも特筆に値する。これは、女性が生涯を通じて肺がんにかかりやすいことと関係があるかもしれない。厨房で長時間調理し、煙を吸い込みすぎる(様々な種類の食用油、野菜を炒めることで発生する煙は異なる)。
4、肺がんの発症には遺伝が関係している過去に肺癌に罹患した患者の家族が肺癌に罹患する可能性が高いことが早くから発見されているため、家族の罹患率が高く、また、同じような環境で生活している家族である可能性もあり、食生活など肺癌に関連する要因が悪性腫瘍による死亡原因の第1位となっている。一方、喫煙は、喫煙者に影響を与える主な環境要因である。喫煙の発がん性に対する反応は個人によって異なる。抵触する家族の遺伝子が関係しており、一生タバコを吸い続けても何も起こらない人がいるのはそのためだ。

5、喫煙が肺がんの発症に与える影響は無視できないまた、男性の肺がんの少なくとも80%、女性の肺がんの半数は喫煙と無関係ではなく、両者とも正の相関があることから、喫煙は最も重要な危険因子の一つである。喫煙本数が多ければ多いほど、喫煙時間が長ければ長いほど、喫煙時期が早ければ早いほど、その影響は大きくなる。これには副流煙吸入器も含まれるし、喫煙が減れば効果も上がるので、だから喫煙には一番賛成できない。
肺がんの治療法については、いくつかの選択肢がある。
1、望ましい治療法は手術また、根治手術は肺がんの可能性のある治療法であり、唯一の可能性のある治療法でもあります。しかし、すでに進行期で、転移や浸潤があり、手術ができないわけではなく、手術も可能ですが、手術の効果はあまりよくありませんが、手術は一種の外傷です。特に年寄りや病弱な人は、肺を切らなければならないので、それに耐えられない人が多い。また、多くの患者は手術後数年以内に再発を経験する。現在では低侵襲手術療法があり、患者の手術による外傷は比較的軽減されていますが、すべての人に適しているわけではありません。
2.肺がん患者の多くはもう遅い。そうなんだ。その後、化学療法が主な治療になる。もちろん、外科的に切除した患者も、ごく早期の患者を除いて化学療法を行います。しかし、化学療法は痛みも強く、治療費も決して安くはありません。しかし、多くの患者は何度も化学療法を受ける拷問に耐えられず、あきらめてしまう。しかし、化学療法のアドヒアランスは生存の質と期間を高めるものであり、肺癌患者に適用する価値がある。

3、放射線治療も比較的有効な治療法である。まず、手術を受けたくない患者の生活の質を向上させることである。患者さんの症状や発病をある程度遅らせることが可能で、生活の質を改善し、生存率を向上させることができ、手術を受けたくない患者さんや手術ができない患者さんに適しています。しかし、その結果は手術ほど良いものではないことは間違いない。
4、標的療法は近年非常に人気があり、競争も激しくなっている。小細胞がんにはあまり効果がない。主にゲフィチニブ、エルロチニブなどの非小細胞肺がんを対象とする。進行した肺癌の患者には、ある程度生存期間を改善することができるが、それは数ヶ月程度であり、長期にわたるものではない。

最後に、肺がんの誘因に対して効果的な予防策を講じ、軽視しないでほしい。
咳のほかに、回答者があまり言及しなかったものを2つ挙げてください。
以上が深刻な肺疾患の3つの兆候である。
1.肌
漢方では「肺は皮膚と髪をつかさどる」とされています。毛穴の開閉を含む私たちの皮膚や髪は、肺の顕著な機能によって支配されており、皮膚の新陳代謝や汗の分泌も含まれている。
したがって、肌に潤いがなく、乾燥してくすんでいる場合は、肺に毒素が過剰に蓄積し、それが滞っていることの反映である;
肺は痰の器」であり、「痰」はまさに腫瘍の基本であり、腫瘍の形成は伝統的な漢方医学では「痰と痰の停滞」と解釈されることがほとんどである。
2.便秘
肺と皮膚の関係について最初に話すとき、誰かの顔に疑問符が浮かぶかもしれないが、今回、8割の人がさらに疑問符を付け加えた。臓器の位置からすると、さらに遠く離れているように見えるからだ。
しかし漢方では、肺と大腸は互いに排他的なものであり、下痢であれ、乾燥で排便できないのであれ、すべて肺が関係している。
肺の気が伝播しない、水のチャンネルを調整することはできません、水が膀胱に停止すると、排尿のために良いではありません、大腸に水より下痢になります;
肺の熱が除去されないと乾燥が起こり、肺炎患者の多くが便秘を経験するのはそのためだ。
だから、慢性的な下痢や乾燥がある人は、肺も考慮する必要がある。
3.咳
咳の原因は複雑で多岐にわたるので、ここでは肺がんの咳と一般的な咳を比較する2つのポイントを簡単に説明したい:
比較(1):通常の咳は長く続かず、薬物療法と生活管理で3週間程度で元に戻ることが多い。一方、肺がんによる咳は長引き、改善しても繰り返し、延々と引きずる。
肺がんによる咳のほとんどは3週間以上、あるいはそれ以上続くので、さまざまな対策を行っても咳が改善しない場合は、特に注意が必要です。
比較(2):一般的な咳は、炎症が起きている場合など重症化しても痰は出るが、薬を使うことで徐々に減っていく。
肺癌による咳は通常、刺激性の乾いた咳で、喉に異物感があり、どうしても咳き込むことができず、喉がすっきりしない。また、痰が出る患者さんも少なからずいて、その多くは白い泡状の痰や黄色い濃い痰で、中には痰に血が混じっている人もいます。
肺がんを咳き込む鍵は、"例外「という言葉だ。サイレント肝臓とは異なり、肺の問題は、 "銅鑼と太鼓 "になります、そして、この種の異常は、自分自身だけでなく、あなたの周りの人々も簡単に検出されるので、自分自身や傍観者の咳の強さ "間違った "と感じて、何を待つべきかチェックするために医師に相談しないでください!それは何ですか?
肺がんは中国でも比較的罹患率、死亡率の高いがんであり、毎年多くの患者が肺がんと診断され、肺がんで死亡しているが、新たに肺がんと診断された患者のほとんどが中期、後期であるというデータもある。では、なぜこれほど多くの肺がん患者が中後期で発見されるのでしょうか?肺がんは静かに発生するのでしょうか?肺癌の初期には症状はないのでしょうか?肺がんを示す症状にはどのようなものがあるのでしょうか。以下、肺がんに関するこれらの疑問についてお話しします。

A. 肺がんはすべて静かに発生するのですか?初期症状はありますか?
実際、肺がんは肺のどの部分にできるのか、また肺がんの初期か末期かによって、必ずしも静かに発生するとは限らない。
早期肺癌が中枢型肺癌に属する場合、この悪性腫瘍は比較的大きな気管支の上で成長しているため、この成長した悪性腫瘍が肺の気管支を常に刺激している限り、咳が続くことになる。これらの大きな気管支は、肺に属さない異物に対してより敏感であるため、ちょうど気管支が米粒に詰まるように、気管支を刺激し続け、しつこい乾いた咳を引き起こし、これらの米粒を咳き込まなければならない。気管支の上にある悪性腫瘍も肺の中の異物で、気管支を絶えず刺激して咳を引き起こし、乾いた咳が半月、一ヶ月、あるいは数ヶ月と長く続く。

もし乾いた咳が長く続くようであれば、気管支炎や咳が原因の風邪とは考えず、早期の肺がんの可能性もあるので、真剣に対処する必要がある。
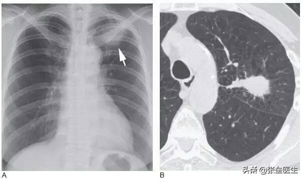
肺がんが末梢肺がんに属する場合、その発生が沈黙していることがありますが、これは中枢肺がんとは異なり、末端の小さな気管支や肺組織の一部に発生する悪性腫瘍であるためで、これらの組織は太い気管支に比べ、持続的な空咳を引き起こさないため、異常を発見するのが難しいのです。そのため、末梢性肺がんは早期発見できないことが非常に多く、すでに中期や末期まで進行してから発見されることが多いのです。

したがって、初期の肺がんは、静かに存在することもあれば、私たちが注意を払うかどうかによって、苦痛のシグナルを発することもあります。 体が発する苦痛のシグナルを無視すれば、肺がんは中期、後期へと進行し、明らかな不快な症状が出るまで、病院で検査を受けたときに初めて、中期、後期の肺がんであることがわかるのです。
一般に、肺がんが中・末期肺がんに進行すると、通常、以下のようなより明らかな症状が現れます:

つまり、悪性腫瘍が常に拡大し、気管支を常に刺激しているため、咳が続くのである。
喀血:肺の悪性腫瘍が成長し続けると、その過程で正常な肺組織を傷つけ、炎症と出血を引き起こし、痰に血が混じる現象が起こる。悪性腫瘍が肺の血管の一部を損傷すると、さらに出血が起こり、喀血となります。
胸痛:胸痛は主に、悪性腫瘍が大きくなって胸膜を圧迫したり、胸膜に浸潤したりして起こる。
原因不明の発熱:肺のがん細胞が増殖・分化を続けると、エネルギーを大量に消費するだけでなく、熱を大量に産生するため、体が熱っぽくなり、このような発熱が繰り返し起こる傾向がある。
第二に、指の症状から肺がんが見つかることがあるのだろうか?

臼と杵のような指」という症状は肺癌を示すのでしょうか?ほとんどの肺がん患者によると、特に進行した肺がん患者では、「臼と杵のような指」になる人が多い。これは主に、進行した肺がん患者の肺機能が深刻な影響を受け、正常なガス交換ができなくなり、長期的な酸素不足・血液不足の状態に陥っているためです。手指は四肢の末端にあるため、血液の供給が不足しやすく、長期にわたって酸素と血液が不足した場合、末端でない組織が増殖・肥大し、その結果、手指の関節が異常に肥大・膨隆して、ちょうどドラム缶の棒のようになります。
進行した肺癌患者には "杵状指 "の変化が見られることがあるが、この "杵状指 "は進行した肺癌に特有のものではないので、肺の正常な機能に影響を与える可能性があり、身体が長期間の虚血や低酸素状態に陥ると現れやすい。気管支拡張症、肺膿瘍、肺気腫、亜急性感染性心内膜炎、先天性心疾患、特発性肺線維症、クローン病など、長期間の虚血・低酸素状態に陥った正常な身体は、「杵状指」の変化を起こしやすい。
従って、「臼と杵の指」という症状があっても、それが肺癌であるとは限らない。上記の症状だけで肺がんを判断することはできず、画像診断と肺組織の病理組織学的生検によって初めて肺がんと最終的に診断することができるのであり、これらの症状は、これらの不快な症状が現れたときに私たちの注意を引き、関連する検査のために時間内に病院へ行くように指示するだけなのである!

著者注:私は皆のために健康関連の知識を普及させるために非常に満足している、私は専門的な医療知識を普及させるためにあなたのための簡単な言葉で毎日、医療を言うために左利きだ、コードワードは簡単ではありません、あなたは私の記事のような場合は、賞賛を指すように私を助ける!あなたはまだ質問がある場合は、コメント欄にメッセージを残すことができ、前方に注意を払うことを歓迎し、あなたのサポートに感謝します!
肺がんに罹ったとき、体が示す徴候とは何でしょうか?実際、肺がんの初期症状にはどのようなものがあるのでしょうか?
肺がんの初期症状で最も多いのは、痰に血が混じった痰を吐くことで、これは肺がんのごく初期症状と言えるが、急性気管支炎や肺炎と誤診されることが多い。
これはまだクリニックでは比較的よくあることで、旅行で広州に来た患者さんが突然咳や痰が再発し、当院を受診したところ、左下肺に結節性病変があり、いくつかの影が確認できたということがありました。その時、北方から来たこの患者さんは1ヶ月前に地元のある病院を受診し、急性気管支炎で抗生物質と痰を取る薬で一定期間治療を受けており、旅行で広州に来る予定だったのですが、思いがけず到着後数日で症状が再発し、最終的に非小細胞がんと診断されました。その結果、到着後わずか数日で咳と痰の症状が再び現れるとは思ってもみなかったようで、最終的に非小細胞がんと診断された。実際、この患者を診断するのは容易ではなく、CT、喀痰培養などいくつかの検査を経て初めてがん細胞が見つかり、初期症状も明らかではなかった。従って、咳や痰は肺癌の初期症状とも言えるが、実際には咳や痰の原因があまりにも多く、しかも頻度が高いために軽視されやすいことは誰もが認めるところである!
したがって、特に慢性気管支炎や結核などの慢性基礎疾患を持つ人は、肺がんの初期症状が基礎疾患の以前の症状によってマスクされるリスクをより意識することが推奨される!
もちろん、痰を吐くだけでなく、以下のような症状を経験する肺病患者もいる。
- 例えば、胸痛を経験する患者もいる。
- また、胸水が患者の肺組織を圧迫し、有効呼吸面積が減少するため、呼吸困難を起こす患者もいる。
- また、肺がん患者のなかには、無気力や微熱など、非常に症状が現れにくい人もいる。

注意:肺がん患者の症状は、そのすべてが肺の位置や呼吸機能の周辺で起こるわけではない。むしろ、肺がんの肺外症状がいくつか見られるだろうこれは特に警戒が必要な点である。
以前、頸部が少し太く見えるだけで来院された患者さんにお会いしたことがありますが、後に肺がんとも診断されました;
また、他科から紹介されて肺がんと診断される患者さんもいます。例えば、坐骨神経痛で来る人もいれば、頸椎症で来る人もいて、その結果、定期的に胸部CTを撮るために入院したら、肺がんの骨転移が見つかったということもあります。では、なぜ入院してからフィルムを撮らなければならないのか、その意義の一端はここにあり、他の病気を除外するためです;
その他にも、歩行時の筋力低下や尿路結石症などが見られるようになる肺がん患者もいますし、非小細胞肺がんの患者の1.7%には、初期段階で膝の痛みまで見られるようになる人もいます。したがって、肺癌の肺外症状は多く、しばしば誤診や過小診断の原因の一つとなっている。この点は、医師やすべての人が理解すべきであり、一方では、私たち臨床医は、診断と治療のレベルを向上させなければならないが、他方では、必ずしも腫瘍科を掛ける必要がない症状もあることも知っておく必要があり、早期に適切な部屋を掛けるように注意することも肺がんの早期治療の鍵であり、一度誤解を招いた病態は、その後の治療に大きな問題をもたらすことになる。
しかし、どのような形で症状が現れたとしても、初期の肺がんを発見する最善の方法は、肺がん検診を受けるには低線量スパイラルCT検査を受けることだと、私たち医師は今でも強調しています。臨床症状は肺がんの発病に遅れることが多い症状から肺がんを早期発見するためには、末期になる確率が高く、特に肺がんのリスクが高い人は、健康診断に注意することが大切です!
肺がんは最も一般的な悪性腫瘍であり、人々の健康と生命に大きな脅威を与えている。中国における悪性腫瘍の発生率は、男性で第1位、女性で第2位である。
肺癌は喫煙、職業的要因、大気汚染、慢性肺感染症などと関連している。
肺がんの主な症状には、空咳、喀血、血痰、胸痛、胸部圧迫感、嗄声、発熱、やせ、貧血、悪液質などがある。
肺がんの初期症状は目立たず、発見されたとしても80%以上が進行期であり、最善の治療を受ける機会を失うことが多い。
肺がんの疑わしい症状には、空咳、喀血、胸背部痛などがあります。乾性咳嗽は肺がんの初期症状で、特に風邪や咽頭炎などを伴わない乾性咳嗽が2週間以上続く場合や、喀血や胸背部痛がある場合は、病院で検査を受ける必要があります。痰に血が混じっている場合も注意が必要です。病院を受診する際は、胸部外科、肺腫瘍科、呼吸器外科を受診するようにしましょう。
年1回の健康診断の順守。 最近の健康診断の多くには、分子生物学的見地から早期病変を発見できる腫瘍マーカーの検査が含まれている。
低線量胸部CTは早期肺癌を発見する最も有効な方法であり、早期末梢肺癌を早期に発見することができる。
肺がんのリスクが高い人は、50歳以上の高齢者、喫煙歴や受動喫煙歴が長い人、家族に肺がんの既往歴がある人、過去の検査で肺結節が発見された人、職場や生活環境に発がん因子がある人、感染症や結核を繰り返すなど肺に慢性的な傷がある人など、年に1回は胸部CTを受けることをお勧めします。喫煙歴が20年以上あり、1日1箱以上吸っている人は、50歳でなくても、年に1回は低線量胸部CTを受け、健康診断でより多くの早期病変を発見し、早期に治療することをお勧めします。
肺がんは、人の健康を著しく脅かす公衆衛生上の大きな問題の一つである。近年、その罹患率は年々上昇傾向にあり、世界の悪性腫瘍の罹患率では第1位となっている。肺癌の発生、発病、浸潤、転移は極めて複雑な多段階、多段階の過程である。肺がんの自然経過は、細胞の悪性化、前がん病変、その場がん、浸潤がん、転移から死に至るまで20〜30年であり、例えば喫煙による肺がんの場合、がん細胞が直径1cmに成長するまで8〜10年かかり、直径1cmの非小細胞肺がん(NSCLC)は無治療で2〜3年以内に死亡する。
I. 早期肺癌の臨床症状
患者はしばしば、咳、痰、疲労やだるさ、微熱や寝汗、持続する胸痛、その他多くの結核の典型的な臨床症状を伴う。
結核と肺癌の合併は、特に肺癌の初期においては、臨床症状が類似しているため、鑑別は容易ではない。しかし、肺癌を合併していても、持続的で刺激性の咳、長引く喀血や断続的な喀血、呼吸とは無関係な一定部位の持続的な胸痛、嗄声、原因不明の骨関節痛、結核が安定しているときの持続的な体重減少や貧血、一定部位のしわがれ声など、単独の結核患者とは異なる症状を示すことがある。
肺がんの危険因子
1.喫煙、環境、職業
タバコの使用は世界的な健康問題であり、肺がん有病率の主要な危険因子である。固形廃棄物、バイオ燃料(石炭や薪など)の消費から放出される粒子状物質、一酸化炭素は肺がんのリスクを高める可能性がある。現在、国際がん研究機関(IARC)は、アルミニウム、ヒ素、アスベスト、コークス、ガスなど12の職業暴露をヒトの肺に対する発がん性があるとしている。
2.気道疾患
慢性閉塞性肺疾患(COPD)は、世界で最も死亡率の高い喫煙による健康問題でもある。COPDは、高い罹患率と死亡率、共通の危険因子、基礎にある共炎症プロセスなど、肺がんの基礎となる素因を共有している。COPDの気流制限、肺気腫、急性増悪の重症度は、肺がんを予測する独立した危険因子である。増悪の重症度は肺癌を予測する独立した危険因子である。
3.気道微生物学的状態
この研究は、唾液中の微生物叢と肺癌との関連を確認するもので、肺癌患者ではCO2ophilus属とCoccidioides属の唾液レベルが有意に上昇しており、扁平上皮癌と腺癌を区別し、肺癌検出のバイオマーカーとなりうる生物の組み合わせであることを指摘している。
4.遺伝的感受性
肺癌の家族歴や他の癌の家族歴は肺癌発症のリスクを増加させる。女性親族の癌の家族歴は肺癌発症の強い予測因子である。
第一に、肺がんの初期症状は明らかではなく、一般的な呼吸器疾患と混同されやすい。肺がんの初期症状は、一般的な呼吸器疾患とほとんど同じようなものがあり、症状が悪化して呼吸機能に深刻な影響を及ぼして初めて、検査後に発見されるため、肺がんは中期か後期に発見される。
肺がんは人体にどのような症状をもたらすのか、という質問に対するマー医師の回答は以下の通りである。
1.肺がんの一般的な症状である咳は、主に金属性の咳が続くものですが、肺がん腫瘍が肺分節より下に大きくなると咳が目立たなくなり、これは主に腫瘍が臓器や気管支を刺激することが原因で、咳止めを服用しても効果がなく、肺感染症を併発した人は濃い痰を吐く症状が出ます。
2、杵指の出現は、主に呼吸器系の機能の結果、肺機能の低下によるものなので、酸素供給が不十分である周辺部につながることは容易である、それは指の関節の出現につながることは容易である大きくなり、爪床が厚くなり、爪が不均一なエッジとコーナーに表示され、また、ときに痛みも表示されます。
胸痛と微熱:胸痛を心臓の病気や胃の病気と考える人がいるが、肺癌にも明らかな胸痛があり、これは主に腫瘍の浸潤と縦隔への浸潤が原因である。また、肺癌患者は不規則な微熱を繰り返し起こすが、これは主に腫瘍表面の壊死組織が剥がれ落ちることによる感染が原因である。
4.吐血、この症状は肺がんの最も典型的な症状で、肺がんの中期と末期の症状でもあり、主に腫瘍が大きくなりすぎて破裂や出血を起こしやすく、激しい咳で肺の毛細血管が破裂しやすいため、吐血の症状が現れ、重症の場合は喀血も起こります。
Dr.マーをフォローし、より多くの健康への答えを得てください!
この質問と回答はサイト利用者のものであり、サイトの立場を代表するものではありません、侵害など、削除するには管理者に連絡してください。