心電図検査後、どのくらい安静にしていなければなりませんか?
心電図検査後、どのくらい安静にしていなければなりませんか?
私たちの病院の循環器科では、ほぼ毎日このような処置があるので、この状況をお答えします。私は当院の腎臓内科の部長を務めていますので、循環器内科の部長とは特に仲が良く、このような問題を一緒に議論することもよくあります。
厳密に言えば,心臓血管造影は心房心室造影と冠動脈造影の両方を含むべきである。しかし,心房心室造影は,現在では基本的に臨床ではほとんど行われていない。臨床的意義がないからである。この質問は,おそらく冠動脈造影に焦点を当てるべきであろう。
冠動脈造影は、冠動脈アテローム性動脈硬化性心疾患を診断する最も一般的な方法の一つであり、しばしば "冠動脈性心疾患 "と呼ばれる。また、冠動脈性心疾患を確認・診断するための "ゴールドスタンダード "でもある。
しかし、近年では、冠動脈内超音波検査や光干渉断層撮影が行われている。また、臨床応用のエントリで徐々に。また、冠動脈造影検査において、ゴールドスタンダードの冠動脈造影検査結果に、正常血管セグメントの内膜中膜肥厚やプラークの存在を示すものがあることを発見し、いくつかの課題を提示した。しかし,冠動脈内超音波検査や光干渉断層撮影は,高価で操作が複雑なため,現在では臨床に普及していない。
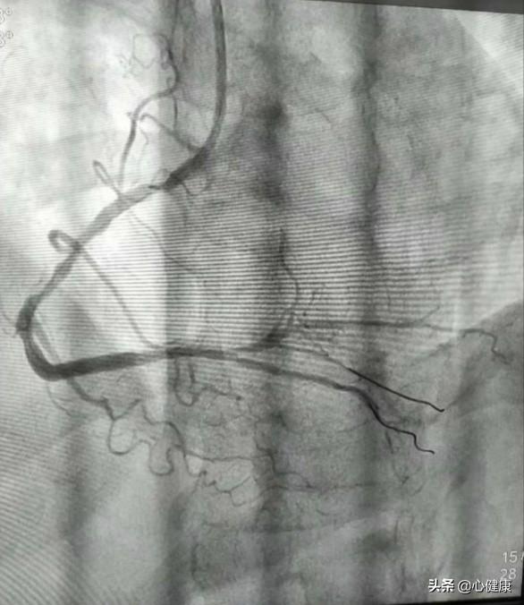
冠動脈造影とは、簡単に言えば、心臓カテーテルを用いて体の表在動脈を経皮的に穿刺することである。多くの場合、橈骨動脈または大腿動脈から穿刺し、動脈に沿って逆行性に上昇し、左冠動脈ポータルまたは右冠動脈ポータルに入り、そこで冠動脈を描出するために造影剤を注入する。
以上のようにして、左冠動脈または右冠動脈の主動脈とその分枝の内腔を明瞭に可視化し、冠動脈系の血管に狭窄病巣が存在するかどうか、また狭窄の程度を確認することができる。その後、治療計画を決定することができる。例えば、外科的バイパス術を行うか、保存的内科的治療を行うか。あるいは全く治療を行わないこともある。
冠動脈造影検査で75%以上の冠動脈狭窄が検出された場合、医師は患者の年齢プロフィール、臨床症状、狭窄の程度などを考慮する。ステントの留置と留置本数が決定される。
つまり、心臓冠動脈造影は診断とそれに伴う治療を包括しているのです。
冠動脈造影は一方では診断のために用いられる。原因不明の胸痛,原因不明の心不全,原因不明の不整脈,また,明らかな症状はないが冠動脈疾患が疑われる場合など,その適応は多い。さらに、パイロットやスポーツ選手のようなリスクの高い職業では、冠動脈疾患を発見する必要があるかもしれない。
一方、冠動脈造影検査は治療目的で行われる。多くの場合、臨床上、冠動脈疾患患者は冠動脈病変の範囲と程度をさらに明確にし、治療法を選択する必要がある。例えば、安定狭心症や古い心筋梗塞の場合、内服治療の効果がよくない。例えば、不安定狭心症の場合、内服積極的集中治療を受けた後、状態が安定したら、すぐに冠動脈造影を行うか、内服薬治療が無効な場合、緊急に画像診断を行う必要がある。例えば、急性心筋梗塞の場合、発作発生から6時間以内、または6時間以上経過しても胸痛が持続する。例えば、合併症のない心筋梗塞の場合、梗塞後1週間程度で、選択的冠動脈造影を考慮する必要がある。例えば、無症候性冠動脈疾患の場合、運動負荷試験が陽性で、明らかな危険因子がある場合、例えば、CTなどの画像検査で、中等度以上の冠動脈の狭窄や不安定プラークの存在が発見されるか、強く疑われる場合などである。このような場合には、適切なステントを留置するために冠動脈造影が必要となる。
一般に、冠動脈造影後、患者の心臓モニタリングやバイタルサインなどの監視は、通常であれば日常的に行われる。橈骨動脈からの穿刺アプローチの場合、シースを抜去し、穿刺点を4~6時間局所圧迫した後、圧迫包帯を外すことができる。冠動脈造影のための大腿動脈からのアクセス。血管造影後すぐにチューブを抜去し、穿刺点を20分間ルーチンに圧迫した後、穿刺点に活動性の出血がなければ、18~24時間制動と圧迫包帯をした後に包帯を外し、軽い活動を開始することができる。オクルーダーを使用する場合は、横になってブレーキをかけた6時間後からベッド上での活動が可能です。
もちろん、穿刺点からの血液の滲出、発赤、腫脹、雑音の有無、穿刺肢の動脈の拍動、皮膚の色、緊張、体温、運動などに異常がないかを注意します。異常がなければ3日後に退院が可能です。
こんにちは、ドクター・ノウルズ・ブルーです。
冠状動脈性心臓病、狭心症、心筋梗塞、冠動脈造影について、これらの用語は、多くの人々に不慣れではありませんが、冠動脈造影の役割があり、どのように行うには、危険性は何ですか、何に注意を払うべきか、多くの人々は、今日話を統一するために知っている、私はあなたを助けることを願っています。

1.冠動脈造影の役割とは?
(1) 冠状動脈性心臓病とは何か:よく、胸に違和感があるとか、心電図でst-segmentの変化を指摘され、冠動脈疾患ではないかと質問する患者がいる。冠動脈疾患は冠動脈のアテローム性動脈硬化によるもので、アテローム性動脈硬化プラークが徐々に大きくなり、内腔が徐々に小さくなり、内腔が50%以上狭くなると、活動において心臓の血液供給が不足し、狭心症の症状が現れることがあり、心電図はstセグメントの変化として現れることがある。冠動脈疾患の予備診断は、患者の典型的な臨床症状、性別、年齢、および高血圧、高コレステロール、喫煙、糖尿病、肥満などの危険因子を分析することによって行うことができる。しかし、どの冠動脈がどの程度の割合で閉塞しているのか、つまり50%閉塞しているのか90%閉塞しているのかを医師が伝える方法はありません。閉塞の程度をさらに調べたり、重度の狭窄を解消する必要がある場合は、冠動脈造影が必要になります。

(2) 冠動脈性心疾患の診断:経験豊富な心臓血管系の医師にとって、上記の方法による冠動脈疾患の診断は10回中9回は正確である。冠動脈造影検査は冠動脈の閉塞をはっきり見ることができるので、冠動脈疾患を診断するためのゴールドスタンダードである。もちろん、一部の患者には冠動脈CTAを代替手段として用いることもできる。

(3) 冠状動脈性心臓病の治療:75%以上の前下行狭窄や突発性心筋梗塞のような重症の冠動脈疾患では、冠動脈造影と同時に拡張術やステント植え込み術などの必要な治療を行って、梗塞の治療や予防を行うことができる。

2.冠動脈造影はどのように行われますか?
(1)パーツを行う:ほとんどの場合、冠動脈造影に選択される血管は橈骨動脈(手首)か、手首の血管の状態が悪く手術ができない場合は大腿動脈(太ももの付け根)である。

(2)具体的な手順:患者は心臓カテーテル検査室の手術用ベッドに横たわり、手術部位を消毒し(手または大腿部)、この部位に局所麻酔薬を投与し、動脈血管に針で穴を開け、細いガイドワイヤーとカテーテルを送り、X線の監視下で血管をたどって冠動脈までガイドワイヤーカテーテルを到達させ、細いカテーテルの頭部に一種の薬(造影剤)を注入することで、X線の下に血管が映し出され、血管の大きさ、進み方、閉塞の有無、左冠動脈、右冠動脈、各枝などが一目でわかる。X線の下に血管が映し出され、血管の大きさ、進み方、詰まりの有無、左右の冠動脈、各枝などが一目でわかる。問題が深刻でなければこれで終わりで、カテーテルを抜き、出血を防ぐために手首の穿刺部をコンプレッサーで圧迫する。熟練していれば、全行程で10~30分かかる。問題が深刻な場合は、治療(バルーン拡張術、ステント留置術など)が続き、時間がかかることがあります。
3.冠動脈造影の危険性とは?
もちろん、冠動脈造影検査で冠動脈疾患が診断できることは知っているはずである。しかし、冠動脈造影検査は侵襲的な検査であり、リスクを伴うものであることを忘れないでいただきたい。 上に書いたような検査方法は簡単で簡単に行えるが、どこにリスクがあるのか、ということに目を向けないでいただきたい。私たちが遭遇したこと、あるいは他の医師が報告したことをお話ししましょう:
(1) 血管損傷:先ほどの血管穿刺、血管内に入るガイドワイヤーカテーテル、冠動脈内の撮影は、いずれも出血、感染、動脈閉塞、動静脈瘻など血管を傷つける可能性がある。

(2) アレルギー:造影剤の注射は人によってはアレルギーを起こし、軽い発疹や皮膚のかゆみ、まれに重篤なアナフィラキシーショックを起こすことがあることは前述した。

(3)腎臓の損傷:造影剤は腎臓から排泄されるため、腎臓を傷つけたり、特に腎臓病がある場合は腎不全になる可能性もあります。もちろんまれなケースですが、医師としては正直に説明しなければなりません。

(4) 放射線:撮影はX線撮影であり、電離放射線を伴うため、妊婦や未婚の男女はより慎重になる必要がある。

4.何を見るべきか?
(1)医師の場合:適応を厳密に選択し、造影が必要な患者にのみ造影を行い、無差別に造影剤を使用しない。熟練した手術手技とあらゆる段階での配慮が、時間とリスクの軽減につながる。リスクの予測、起こりうる合併症の予防と積極的な治療。

(2) 患者の場合:
冠動脈造影だけでも外科手術ほど大がかりで侵襲的なものではなく、手術時間も短いので、患者への外傷は実際にはほとんどない。

通常の状況下では、それを行った後、ベッドから降りて歩くことができます(太ももの穿刺で歩くことはできません)。手のコンプレッサーは6時間圧縮する必要があり、太ももの圧縮時間は、画像圧縮機が少し緩むことができる2時間後に、12時間長くする必要があり、あまりにもタイトな圧力手が非常に痛いですが、腫れ、手の紫色になり、穿刺ポートを観察するために、血がにじみ出ることはありません。特別な状況はありませんが、翌日退院することができ、仕事に行くために仕事に行く必要があります。問題が深刻な場合は、別の話です。

排尿量を増やし、造影剤を早く排出させるためには水分を多く摂る必要があるが、もちろん心不全や腎不全、あるいは水分を多く摂れない場合は排出されず、心臓を悪化させることになる。
圧迫バンドを解除した後は、腕をあまり動かしたり、強く動かしたりしないでください。また、短期間(2週間)は、ピアスを開けた手で重いものを持ち上げないでください。

結論として,冠動脈造影検査は冠動脈性心疾患の診断と治療において,非常に大きな,そしてかけがえのない役割を担っている。 現在では技術は非常に成熟し,上記のようなリスクの発生率は非常に低くなっているが,結局のところ侵襲的な検査であり,リスクは存在する。原則は、病状がそれを必要とする患者は、何も心配することはありません、それを行う、メリットがデメリットを上回る、特に心臓発作が発生したときに、救助の時間を逃すことを躊躇する;病状がそれを必要としない患者は、気軽にそれをしないでください、お金の無駄、リスクを取るだけでなく、苦しむ、デメリットがメリットを上回る。
知識豊富な青医者が心配生まれだ。心臓病についてもっと知る
心電図、心エコー、心臓造影の3つの検査は、普段の生活でよく遭遇するもので、どれを行うかは、もちろん患者の状態に応じて医師が指導・選択すべきものである。しかし、どれを行うにしても、3つのテストに代わるものはない。つまり、心電図があるからといって、心エコー、心電図が必要ないとは限らないということです。なぜなら、3つのテストにはそれぞれ利点があり、それぞれのテストの特徴があるからだ。。
例えば心電図主な目的は、心臓の電気生理学的活動をチェックし、洞性不整脈、頻脈、徐脈、早発、停止などの有無を確認することである。心臓に関する最も基本的な検査と言えるが、心臓の基礎疾患のいくつかを発見できることもある;

而心エコー心臓の構造、内部の血液、血行動態を調べ、血流の速度、差圧、方向などの点で異常なシャントがないかどうかを確認することに重点を置いている。

結論として、我々は次のように言う。心臓超音波検査何をするのですか?心臓超音波検査は心臓の冠動脈造影検査です。この検査では心臓の軟部組織を見ることはできないが、異常造影信号という特殊な画像によって、心臓疾患の診断や、心臓の部屋と動脈の間の圧力の変化を評価することができる。この検査は冠動脈性心疾患の診断に最もよく用いられ、冠動脈性心疾患の診断のゴールドスタンダードと考えられる!

というわけで完全な心臓検査を行おうとしても、何か1つの検査を行えばそれで問題が解決するというものではないことは確かですそれぞれの検査には利点と特徴があり、検査の主な方向性は、患者がどのような状態にあるか、どのような症状があるか、どのような病気を除外する必要があるかによって異なり、医師の助言と指導に基づいて選択するのが最善である。
今日は主に心エコー検査についてお話しします。 この画像検査が好きな人も嫌いな人も多いと思いますが、なぜでしょうか?
まず、前にお話しした心電図や心エコーが非侵襲的な検査であるのに対して、心エコーは侵襲的な検査であり、侵襲的というのは心臓の血管を侵襲的に検査するという意味です!
どうすればいい?
というのも、確かに画像診断では心臓の冠動脈に一定量の造影剤を注入し、X線照射下で心臓の部屋や血管などを観察する。そこで、心臓の冠動脈に造影剤を送り込むための冠動脈の開口部を見つけなければならないのだが、この開口部を見つける作業は侵襲的な手術となる!
現在。95%以上の患者が手首の橈骨動脈から行っている。医師は、橈骨動脈から冠動脈の開口部にホースを挿入して心臓の冠動脈の開口部に送り、造影剤を開いてX線を照射することで、心臓の血管が鮮明に見えるようにし、医師はその画像の展開を観察することで、心臓の動脈が狭窄しているかどうか、詰まっているかどうか、詰まっている場合はどの程度詰まっているのかを判断することができる。そこから冠動脈疾患なのか、他の心臓病なのかを判断することができる!

しかし、他の心臓検査や臨床症状から、患者さんの状態がより複雑であると医師が判断した場合は、患者さんの大腿動脈からの挿入を検討しなければなりません。

この心臓超音波検査は、特に太ももの動脈血管を通して行われるため、検査前に患者がベッドに横になってトイレに行く練習をする必要がある。術後数日間はベッドに横になっている必要があり、特に術後数日間は地面を歩くことはできません。動脈性出血は通常の静脈性出血とは異なるからだ。大腿動脈のような太い動脈が出血してしまえば、なおさら問題で、動脈出血はストレスの多いジェット噴射のようなものだ!

だから、もう一度言う。動脈造影は手の橈骨動脈の血管を通して行われ、大腿動脈で行うときのようにベッドで安静にする必要はありませんが、入院して行う必要があります。もちろん、この時期に他のことをするのを止めるわけではない。
では、心電図検査を受ける前にどれくらいの時間安静にしておく必要があるとしましょうか?
しかし、これは通常の手術のように、しばらく療養しなければならないほど大げさなものではない。心臓は心臓動脈ではありません。しかしそれでも、状態、症状の現れ方、どの動脈を選択するかという具体的な選択、そして行う心電図検査の選択によって、どの術後の注意事項はまだある心電図検査を受けたいかどうかはわかりません!今言ったように、心電図検査は一種の侵襲的な検査ですから、あなたが心電図検査を受けたいと言わなければ、冠状動脈性心臓病の症状があって、このような状況でなければ、主治医が勧めて、現在のところ2種類の方法があります、1つは橈骨動脈からで、外傷は比較的小さく、基本的にベッド上安静の必要は特にありません。大動脈からの出血を防ぐために、2日間は仰向けに寝ている必要があります。
そのため、私たち医師が心電図検査のプロセスについて話すと、患者さんによっては、血管に直接管を入れるなんてちょっと怖い、とても痛いのではないかと思われるかもしれませんし、ステント留置術のようなものだと思われ、冠動脈造影検査を受けるのを怖がるかもしれません。
実際には、心臓冠動脈造影検査の詳細についてあまりよく知らないことがすべてである。
まず検査時間だが、一般的にチューブが挿入されてから検査が終わるまで通常は30分以内、早ければ10分か20分で終わる。一般の人が思っているのとは全然違う;
第二に、冠動脈造影に使われるホースは非常に細い。 自分の手術用の血管を見て、そこに入るためにチューブがどれだけ細くなければならないか考えてみるといい;

第三に、手術後の出血を恐れて、上肢全体を動かしたり、地面に降りたりすることができず、手足のこわばりや痛みを感じる患者もいる。これは絶対に不必要なことだ。それどころか、血栓症のリスクを高める可能性もある。。
心臓画像検査は非常に成熟した検査であり、冠動脈疾患の有無を確認するだけでなく、冠動脈疾患が疑われる部分を明らかにしながら、偽の冠動脈疾患から除外することもできるため、適応を満たすために必要な検査であり、過度に心配する必要はありません!
では、どのような人にこの心電図検査をお勧めするのでしょうか?
- 非侵襲的検査では診断できない原因不明の胸痛、不整脈、心不全が頻繁に起こる;
- 心臓ステントやバイパス手術を受けた後でも、原因不明の胸痛がある;
- 特定の先天性心疾患、心臓弁膜症などの手術を受ける前;
- パイロット、特殊車両運転手などの特殊な職業で、現在無症状だが冠動脈性心疾患の疑いがある者
に対して心臓超音波検査あなたはまだ何か質問がある場合は、以下のメッセージを残すことができ、私はあなたに最高の、最も包括的な、最も実用的な健康科学技術をもたらすために、最も原始的な方法を理解できるテキストを遵守しています。あなたはそれが良いと思う場合は、 "医療探偵 "に注意を払うことができますし、転送ヨーヨー、周りのより多くの人々が恩恵を受けるように!
こんにちは、私は医療従事者張は、開業医であり、みんなの健康知識のために普及させることができる、あなたがより多くを知っていれば、私に注意を払う!
現代社会では、心臓や血管に問題を抱える人が多く、ニュースでも特定の人の突然死や心臓発作が頻繁に報道されている。 心臓病は生活習慣と密接な関係があり、なぜ心臓病がこれほどまでに流行するのかは、私たちの生活の変化と切っても切り離せない。しかし、心臓の検査は、心電図、心筋酵素、心臓超音波などの非侵襲的な検査から、心臓血管造影などの侵襲的な検査まで観察することができる。現在、多くの人が冠動脈造影検査を必要としているが、医師の説明を聞くと、一般の人は怖いと感じる。危険なのだろうか?

心電図とは何かを見てみよう。
心電図検査とは、大動脈に非常に細いカテーテルを挿入し、カテーテルの前にある小さな開口部から大動脈の血流に造影剤を注入することで、X線が血管や血管に沿って流れる心臓の形をディスプレイに映し出す検査です。
心臓画像診断の役割
冠動脈造影と心臓(心房と心室)造影がある。 冠動脈造影検査は、橈骨動脈(手首のところ)または大腿動脈(太もものところ)に沿って毛細血管の細いカテーテルを使い、心臓の冠動脈の開口部に人工的な入り口を拡張し、冠動脈内に造影剤(X線内)を注入することで、冠動脈の内部形態を示すことができ、例えば、冠動脈の狭窄がないか、プラークがないかなどを見ることができますが、基本的には心臓の形態を検査することによって理解することはできませんが、冠動脈の内部形態と冠動脈内の血流速度、心臓を理解することが主眼となります。冠動脈の内部形態と冠動脈内の血流速度を理解することが主な目的である。
心臓造影の適応
冠動脈疾患の明確な臨床診断があれば、冠動脈造影検査によって冠動脈疾患の範囲と程度をさらに明確にし、治療計画を選択することができる。
1.安定した狭心症または古い心筋梗塞で、内科的治療が無効なもの。
2、不安定狭心症は、まず内科的積極的集中治療を行い、病状が安定したら、積極的に冠動脈造影を行う。内科的薬物治療が無効な場合は、一般的に緊急画像診断が必要である。主に自然発症で、心電図に明らかなSTセグメントの変化があり、梗塞後の狭心症など、リスクの高い不安定狭心症患者には、冠動脈造影を直接行うこともできる。
心原性ショックや中隔穿孔などのAMI合併症のある患者は、できるだけ早く補助循環を用いた血行再建術を行うべきである。心筋梗塞の疑いが強い患者には、できるだけ早期に補助循環を用いた血行再建術を行う。AMIの疑いが強いが診断が確定できない患者、特に左脚ブロック、肺塞栓症、大動脈梗塞、心膜炎のある患者に対しては、直接冠動脈造影を行い、診断をはっきりさせることができる。
4.無症候性冠動脈疾患:明らかな危険因子を伴う運動負荷試験陽性の患者には冠動脈造影を行う。
5.CTなどの画像検査で、中等度以上の冠動脈狭窄または不安定プラークの存在が明らかになった、または強く疑われた。
6.一次心停止からの蘇生に成功し、左主幹病変または近位前下行枝病変の可能性が高い者は、高リスクであり、冠動脈の評価を必要とする血管病変に対する早期の介入が必要である。
7.冠動脈バイパス術やPCI後に狭心症が再発した場合、冠動脈疾患の再評価が必要となることが多い。

心臓超音波検査は危険か?
三次病院では通常問題はない。冠動脈造影は現在では比較的成熟した技術であり、中国では年間約100万件の症例がある。単純撮影のリスクは非常に低く、ステントを入れる必要がある場合、冠動脈病変の程度によりますが、病変が複雑な場合、手術時間が長くなり、それに対応するリスクも高くなります。最も深刻なリスクは手術中の急性血栓症や穿孔で、急性梗塞、心不全、突然死などを引き起こす可能性がありますが、全体的な発生率は高くありません。より一般的な(実際にはあまり一般的ではない)合併症は、穿刺部位の局所血腫ですが、これは一定期間で吸収されます。画像診断自体は危険ではないが、大腿動脈から心臓にチューブを挿入する手技は危険であり、心房細動を悪化させる可能性や、手技後に傷口から出血する可能性がある。
脈管造影は局所麻酔で行われ、血管や心臓には知覚神経がないため、患者は局所麻酔の際にわずかな痛みを感じるだけで、あとは明らかな不快感はありません。術後は18~24時間横になっている必要があり、腰の痛みや不快感を感じる人もいますが、起き上がったり動き回ったりするとなくなります。合併症はどのような手技にも起こりうるので、患者は手技の前に署名を求められる。冠動脈造影の合併症の発生率は0.2%~0.9%で、主なものは(1)不整脈。(2) 局所出血、血腫、偽動脈瘤、動静脈インポテンス。(3)急性心筋梗塞。(4)造影剤に対するアレルギー。上記のほとんどは重篤な結果とはならず、熟練した術者の合併症発生率は極めて低い。
心電図検査後、どのくらい安静にしていなければなりませんか?
循環器内科の患者さんは、心電図を行う入院から退院まで、一般的に約5日間で、入院初日に様々な指標をチェックし、手術の配置に沿って指標を約2〜3日で配置することができ、その後、半日〜1日行うためにキューに並んで、心電図が深刻なものでない場合は、24時間の観察が退院することができ、心電図が午前中に行われた場合は、翌日の午後に退院することができます。ただ、帰宅後1週間は力仕事はしないでください。

結論:冠動脈造影は非常にリスクが低く,比較的安全で,ほとんど痛みを伴わない手技である。現在では,多くの病院で橈骨動脈経由の冠動脈造影が可能であり,橈骨動脈経由の冠動脈インターベンションを受ける患者は,術後すぐに動脈シースを抜去し,4〜10分間橈骨動脈を圧迫し,3〜6時間圧迫固定することができる。外国ではこのような患者にステントを入れなければ入院はできないが、中国では入院して経過を観察する必要がある。
心電図検査後の安静期間は、検査が体に与える害の大きさとリスクの有無によって決まり、一方では害が大きければ長い期間の療養が必要であり、リスクがあればリスク期間が過ぎるまで待つ必要があります。では、心電図検査は身体にどのような害があり、どのようなリスクがあるのでしょうか。今日はそれについてお話ししましょう。

心電図とは何ですか?
冠動脈は心臓に血液を供給する重要な動脈です。冠動脈は心臓に血液を供給する重要な動脈です。 心筋梗塞や心筋虚血という言葉を聞いたことがあるかもしれませんが、これは冠動脈に問題があることが主な原因です。冠動脈造影検査では冠動脈を見ることができ、動脈が狭窄しているか詰まっているかを知ることができます。これは冠動脈をチェックするゴールドスタンダードとしても知られています。この検査は冠動脈検査のゴールドスタンダードとしても知られています。 特に重度の冠動脈硬化の場合、この検査は狭窄の程度を評価し、ステントを入れる必要があるかどうかを判断するために必要です。
心臓画像検査では、非常に細いカテーテルを大動脈に挿入し、カテーテル前部の小さな穴から大動脈血流に造影剤を注入します。

その危険性とリスクを理解していただくために、私たちは検査プロセスを具体的にしています!
手の橈骨動脈や太ももの付け根の大腿動脈から穿刺し、カテーテルを動脈血管に沿って送り、冠動脈まで拡張し、造影剤を注入し、造影剤は血液の冠動脈と混合され、冠動脈で満たされ、X線の血管は見えませんが、造影剤の注入後、X線の下で見ることができ、我々は、閉塞、狭窄、プラークの状況を見るために血管の状況を観察することができるようになります!そして、血管を観察し、閉塞、狭窄、プラークの有無を確認することができます!
検査の正確なプロセスを知った上で、リスクについて話そう!
心電図の危険性
ポイント1:造影剤に対するアレルギー
造影剤に対するアレルギーは、まだ時折みられるもので、薬剤注入後にアレルギーを発症し、かゆみや発疹などの一般的なアレルギー症状を示す患者もおり、重症の場合はアナフィラキシーショックを起こすこともある。しかし、一般的にはこのような症例はまれではなく、また、検査中は常に医師が患者さんに付き添っているため、たとえ発症しても医師がいち早く察知し、適切な対処をすることができます。

ポイント2:血管の損傷
これは本質的に侵襲的な処置であり、カテーテルは血管の中を長く移動しなければならないので、ぶつかったり打撲したりすることは避けられないが、危険な怪我をすることはまれなので、あまり心配する必要はない。
ポイント3:穿刺部位の血腫
穿刺部位が動脈であるため、動脈穿刺後の開口部が治癒するまでに比較的長い期間を要します。 この間、動脈に穿刺した部分から血液が滲出すると、皮下に血腫ができたり、あざができたりするため、穿刺後のケアが重視されます。

ポイント4:造影剤の腎臓への危険性
血液に入った造影剤を吸い出すことはできないので、体内で代謝する必要があり、その代謝の過程で腎臓が関与する必要があるからです。しかし、あまり心配する必要はありません。
ポイント5:放射線
X線によって現像されるため、検査中の放射線は避けられない。放射線の危険性を心配する人は多い。ただ、あまり心配しなくても、放射線は有害です。しかし、医師の手術の検査が存在し、医師の仕事は毎日これらの放射線を受けるために、あなたはこれらの放射線を受信する日をチェックし、どのくらいの害を言うために、また、医師が最も悲劇的である。あなたは、放射線を受信するためにチェックすることは命を救うために、医師は単なる仕事であり、あなたはそれを量る!

心電図検査にはどのくらい安静が必要ですか?
上記でおわかりのように、この検査はそれほど侵襲的な検査ではないので、ベッドでの安静は必須です。チューブを抜いた後も、穿刺部位を圧迫するようにしてください。通常、終わったらベッドから起き上がって歩くことができます(太もものピアスでは歩けません)。ハンドコンプレッサーは6時間圧迫する必要があり、太ももの圧迫時間は12時間と長くする必要があります。血液の滲出状況によって、出血が減ったり、痛みや腫れがある場合は、圧迫を緩めるのが適切です。
上記のような様々な危険やリスクは、この検査を受けようとしている、あるいは受ける必要がある皆さんに苦痛を与えるかもしれませんが、過度に心配しないでください。現在の検査技術は非常に熟練しており、医師と積極的に協力して検査を実施する限り、まだ比較的安全です。

心電図検査後は、水分を十分にとり、激しい運動や夜更かしをせず、食事は軽めにし、刺激的な食べ物や感情的な興奮を避ける。違和感があれば、すぐに病院で経過観察を受けてください。
読んでくださってありがとうございます。私の答えが少しでも皆さんのお役に立てれば幸いです。もし悪くないと思われたら、「いいね!」を押して、そしてシェアしてください。もし心配してくださるなら、それは私にとって最大の支えになるに違いありません!
心臓超音波検査は低侵襲の手技であり、ほとんどの患者は手技の翌日には退院できる。
1.穿刺部位の状態
現在、患者の大部分は橈骨動脈から冠動脈造影を行っている。つまり、手首に穿刺してシースを留置し、術後に必要なのは、手首が曲がらないこと、傷口から目立った出血がない2日目に手首が普通に動くことである。
太ももの付け根に穿刺してシースを留置する大腿動脈からの撮影では、回復が比較的遅く、翌日まで下を向くことができず、徐々に活動量が増えていきます。傷口に出血や血腫がある場合は、回復にもう少し時間がかかる。
注意しなければならないのは、橈骨動脈からであれ大腿動脈からであれ、かなりの割合の患者に穿刺点付近の皮下打撲が生じるということである。 打撲が広範囲でなく、進行性に拡大していなければ心配する必要はなく、打撲は約1~2週間で完全に吸収される。
2.腎機能
高齢者、腎臓に基礎疾患のある患者、糖尿病や高血圧の既往歴の長い患者では、撮影時に造影剤を使用することで腎臓に何らかの影響を及ぼす可能性があり、術後は尿量や腎機能の指標を注意深く観察する必要がある。
3.冠動脈病変
画像診断の結果、冠動脈に問題がない、あるいは問題が非常に軽い場合は、基本的に2~3日安静にしていれば、通常の仕事や生活状態に戻ることができます。急性梗塞や冠動脈疾患が非常に深刻な場合、あるいはステントを入れたりバイパス移植ができない場合でも、少なくとも2~4週間は安静にしてから慎重に活動レベルを上げる必要があります。
結論として、撮影後の安静期間は個人差があり、担当医のアドバイスに従う必要がある。
冠動脈造影は、正確には冠動脈造影と呼ぶべきもので、冠動脈疾患の診断と治療の重要な手段である。 末梢の橈骨動脈または大腿動脈から、ガイドワイヤーを使って冠動脈の最も狭いところにステントを留置し、血管を拡張して虚血、低酸素、壊死を緩和する。

心臓ステント留置術は動脈に行う手術であるため、術後は術後の出血を防ぐために穿刺部位に圧迫包帯を巻く必要がある。橈骨動脈穿刺の場合は、出血を避けるため、術後少なくとも6時間は穿刺した手を動かさないように注意する。大腿動脈穿刺の場合、大腿動脈は血管内圧の高い太い動脈であるため、術後12~24時間はベッド上で安静にし、運動による離床は避ける必要がある。
勿論、コンプレッサーを取り外した後でも適切な活動は可能ですが、術後1ヶ月間は、やはり実質的な運動は避け、回復を促進するために安静を主とする必要があります。手術中に冠動脈の狭窄の程度が50%以下であれば、冠動脈アテローム性動脈硬化症と見なされ、50%以上であれば冠動脈性心臓病と診断され、狭窄の程度が75%以上であれば、心臓ステント留置の適応の一つとなります。
ステント留置の適応は75%以上の冠動脈狭窄、頻回の狭心症発作、急性心筋梗塞などで、専門医の指導のもと、病態を総合的に判断して留置の可否を決定する必要がある。 ステント留置後は、生活習慣の改善と定期的な服薬に努め、病態の変化や定期的な経過観察に注意し、必要に応じてステントの再留置や冠動脈バイパス術を行い、病態の安定とコントロール、合併症の軽減を図る必要がある。必要であれば、ステントの再移植や冠動脈バイパス手術を行い、病状の安定とコントロール、合併症の軽減を図る。
この記事はGPスイープスによって書かれました。本記事はあくまで参考であり、医学的なアドバイスを目的としたものではありません。
冠動脈造影は、現在一般的に行われている低侵襲手術で、非常に安全です。低侵襲手術であるため、外科手術のように回復のために数日間安静にする必要はなく、終了とほぼ同時に歩けるようになります。
I. 画像診断へのアクセスについて
現在、画像診断のためのアクセスには、主に橈骨動脈(手)と大腿動脈(太ももの付け根)の2種類がある。現在主に使用されているのは手からのアクセスである。手の血管に問題がない限り、もともと細い血管もあれば、画像診断を受けすぎて動脈が非常に細くなってしまった血管もある。
橈骨動脈アクセスの利点は、術後の圧迫による止血が容易であることであり、通常は約6時間後に手に装着したコンプレッサーを外して止血する。
大腿動脈のアクセスは、太ももの付け根の血管が太く、簡単に圧迫して止血することができないため、通常はベッド上で約12時間行う。
私の病院では、簡単な画像診断の後、通常は翌日に退院となります。
冠動脈造影のタイミング
簡単な画像診断だけなら、手術室に入ってから出てくるまで30分くらいですぐに終わります。ステントが必要な場合は、その時間は判断できません。
造影剤の排泄について
冠動脈造影には造影剤が必要だが、これも排泄されやすい。腎機能に問題がなく、術後に水分を多めに摂取していれば、すぐに排泄されます。
心電図検査後、どのくらい安静にすべきでしょうか?心臓超音波検査の後、どのくらい安静にすべきかについては、医師によって推奨する時間が異なります。検査後は正常なので安静にする必要はないと言う人もいれば、長時間安静にしたほうがいいと言う人もいます。では、具体的にどのようにこの問題を認識すべきなのでしょうか?個人的な意見をいくつか挙げてみよう。

冠動脈疾患のあるすべての患者にとって,また冠動脈疾患が疑われる患者にとっても,冠動脈造影後どれくらいの時間安静にしていればよいのかわからないと言うべきである。実際,この状況も特定の状況によって異なる。例えば、この患者が急性心筋梗塞の患者であれば、冠動脈造影だけでなくインターベンションの後、長期間の安静が必要かもしれませんし、手技後すぐに動き回れるとは限りませんが、1-2週間は安静が必要かもしれません。また、冠動脈造影検査で冠動脈の狭窄がひどくない、あるいは冠動脈疾患がないことが示唆された患者さんの中には、手技後にそれ以上の安静を必要としない場合もあります。例えば、最近では橈骨動脈穿刺による冠動脈造影が多くなっていますが、一度この場所で冠動脈造影を行えば、誰であれ、術後はこの場所での活動を控え、特にこの場所の過度のストレッチは好ましくありません。動かす前に1-2週間この場所を回復させることが重要である。

私自身、常に胸が締め付けられるような痛みがあり、冠動脈造影検査で冠動脈にわずかな軽度の病変が見つかっただけで、大事には至らなかった患者を担当したことがある。その患者さんは術後3日目に退院し、橈骨動脈穿刺も退院後はかなり回復したのですが、退院後5日目に冠動脈造影の穿刺腕で重いものを運んだため、穿刺した橈骨動脈が断裂し、橈骨動脈から大出血したため、再度入院して治療を行いました。その後回復したものの、やはりこういうことはあと数日安静にしていれば避けられることで、なぜそんなに焦って冠動脈造影の穿刺の腕を勢いよく動かす必要があるのかと思う。
実際、心臓冠動脈造影後の安静時間については、決まった答えはありませんし、この質問も個人差があり、患者さんの具体的な状態に関わることなので、一概には言えません。冠動脈造影の穿刺部位に関しては、術後早期のストレッチ活動はなるべく避け、もう少ししっかり活動させて回復させるようにする、ということですね。
冠状動脈性心臓病の罹患率が増加し、循環器専門医による冠動脈造影の熟練度が高まるにつれ、心臓血管造影を受ける人が増えている。それでも、人々はまだ冠動脈造影について全く知らないし、全く知識がない人さえたくさんいる。だからこそ、質問者はこのような疑問を口にしたのだろう。今日は、その不思議な冠動脈造影について、質問者の質問に答えてみよう。
I. 心電図検査とは?
正確には、心臓に供給している血管を冠動脈と呼ぶことから、心臓超音波検査は冠動脈造影検査と呼ばれています。冠動脈造影検査は侵襲的な検査で、冠動脈の開口部に造影カテーテルを送るために、ある方法を通して、私たちの末梢動脈に沿ってカテーテルを使用することです。これがいわゆる冠動脈造影です。
第二に、心電図検査は複雑ですか?
技術の進歩に伴い、冠動脈造影は非常にポピュラーな検査となった。熟練した技師であれば10分もかからずに冠動脈造影を終えることができ、心臓の冠動脈造影がそれほど複雑でないことを示している。しかし、冠動脈造影がより複雑で、より時間がかかり、より多くの労力を必要とする例外もまだいくつかあります。しかし、冠動脈造影の大部分は比較的単純で、害を及ぼす危険性はほとんどありません。
C. 心電図検査後、どのくらい安静にしていなければなりませんか?
冠動脈造影検査は、多くの場所で比較的一般的に行われている簡単な検査で、日帰り手術の一環として行われている病院もあります。私たちの病院では、入院することなく日帰り手術を受ける患者さんがたくさんいて、問題がなければ検査後すぐに退院します。ですから、すべてが正常で、合併症もなく、冠動脈造影検査後の合併症もなければ、大半の患者さんは2日目には普段と同じように過ごせます。しかし、画像診断に問題があり、さらなる治療が必要な場合は、相応の安静が必要になるほか、薬物療法やその症状に対する継続的な治療が必要になることもあります。
冠動脈造影は見かけほど怖いものではないし、誰にでも必要なわけではない!お分かりいただけただろうか?科学の最新情報を毎日お届けします。
この質問と回答はサイト利用者のものであり、サイトの立場を代表するものではありません、侵害など、削除するには管理者に連絡してください。