医者は一目でどこが悪いかわかるのに、なぜ患者に検査を受けさせるのか?
医者は一目でどこが悪いかわかるのに、なぜ患者に検査を受けさせるのか?
私はまた非常に混乱している、一度、私の中指の赤い腫れの痛み、非常に深刻な感じ、三次医療病院へ、外科を知っている唯一の副主任医師が座って、状況を説明し、彼は超音波検査、X線検査を行うために私に請求した、私は蜂巣炎の切開は、膿を排出するために言った、そんなに複雑にしないでください、彼はそれが癤感染症であると述べた!私は600元しか持っていないから、少し節約してくれないかと言った。手術後、3日間水を飲まなければならず、1回180元、手術には麻酔代、手術代、包帯代などがかかり、抜糸代もかかるという。代わりに薬を飲んでもいいですか?と聞くと、「ダメだ!私は400元を借りに戻ると言わざるを得なかった!地域医療サービスセンターを変更し、外科医は、我々は800元限り、ここで三次病院よりも安いと述べた後、1つを変更し、外科医はクラスではなく、唯一の開業医であり、彼女は外科医に相談するために外科医を呼び、私にセフラジンの箱、7.5元を与えた。彼女は「ここにはイクチオールがないから、目の前の薬局に行って買ってきて、中指の頭に塗って、よくなかったら数日後にまた来て」と言った。家に帰ってから、それを飲んで塗ったら大丈夫だった!残念なことに、外科医にはやらせなかったので、今度外科医に会ったら恥ずかしくて挨拶できない。
医師は神ではないし、病気は一目で解決できるような単純な算数の問題ではない。

今日お会いした前立腺肥大で排尿困難の患者さんで、手術に備えてのことです。手術前のルーチンは、何か大きな病気を除外するための精密検査が必要で、その結果、左側の肺に腺がんが見つかりましたが、まだ肺の症状は出ていません。
この時点では、まず前立腺の手術は無理で、肺がんを緊急に取り除かなければならない!
初期症状が非常に軽い悪性疾患は数多くあり、一見しただけで可能性は無限にある。
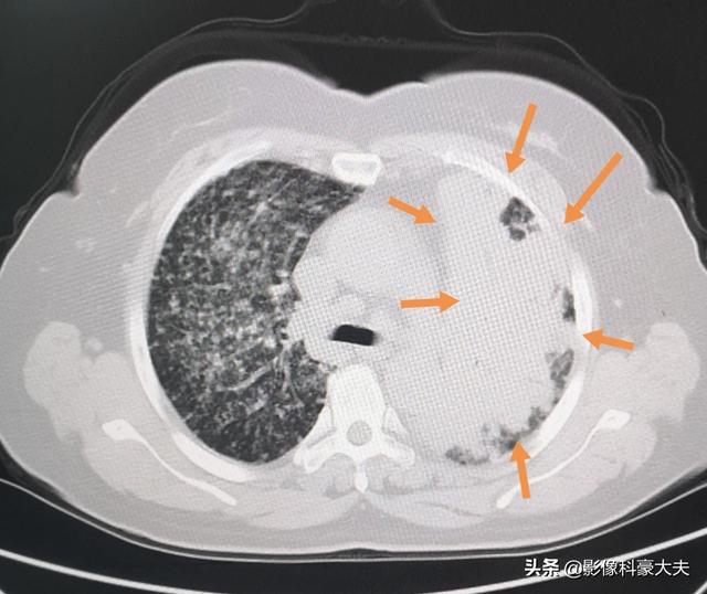
今日も女性の患者さんで、食わず嫌いのためバリウム食で胃の状態をチェックし、その結果、透視検査で肺に影が伸びているのが見つかり、続いて胸部CTで広範囲に転移がある進行肺癌と診断された.
また、肩の痛み、歯の痛み、手のしびれなどとして現れる初期の心筋梗塞もあり、検査をしなければ早期の蘇生の機会を逃す可能性が高い。
医師は高度な機器に頼るべきか?
多くの人々は、おかしな医師は、患者を参照してくださいしないだけで、テストのすべての種類を行うには、これは21世紀であり、5gの時代はすぐに来ている、科学技術の翼を差し込むために、高度な機器のすべての種類の良い使用は、大幅に精度率の診断を改善し、医療技術を高める!
サイクリングは燃料を消費せず、環境に優しいからと言って、高速鉄道や飛行機を否定することはできない。私たちは新しいもの、世の中の進歩や変化を受け入れることに長けていなければならないし、頑固な保守主義者であってはならない。
画像診断のドクター・ハウです!
救急で来院した中年女性は、右下腹部に耐え難い激痛があり、食後痛の既往を尋ねると、増悪が進行し、吐き気と嘔吐があり、右下腹部の圧迫痛を診察すると、筋緊張の反動痛がある。このような場合、急性虫垂炎のように感じられます。偶然にも医師の知り合いで、家族の意向で緊急に手術をすることになり、医師は深く考えず、手術の手配をし、虫垂に問題がないことを確認してから開腹し、骨盤を探り、卵巣が傾いていることを確認し、急いで婦人科の診察を見つけ、家族に病状と手術のプログラムを説明し、家族が理にかなっていることを良しとしなければ、訴訟になることは必至である。
私たちは似たようなケースを聞いたことがあるかもしれません、2人が救急治療室に来た、交通事故を言った、2人は非常に怒っていると主張していない、電気自動車とバイクの衝突のプロセスについて尋ねた、腕の一つは落下があり、X線検査を行ったが、骨折していない。他の人に尋ねたが、何も答えなかった、医師はああどこを傷つけていないのか尋ねた、患者は答えた:胃の上に、これは少し突いて、これは痛くありません。医師がチェックし、打撲や腫れはありませんが、まだ自信がない、腹部CTチェック、または独自の結果をやってみましょう。患者はまた、これは問題で見つけることができ、脾臓が挫傷を持って、深刻ではないが、また、ベッドに滞在する必要があり、迅速に入院のために行った。
この話は長くなってしまったが、画像診断であっても視覚的な判断には常に一定の誤差があり、医師は患者に何かが起こることを恐れ、さらに何かが発見されないことを恐れている、ということだけは申し上げておきたい。
実際、現実の世界では、このようなことが起こりうる状況が多々ある。 では、どうすればこの状況に正しく対処できるのだろうか?今日は張本がこの問題について説明する。

まず、多くの医師は患者を一目見てどのような病気かわかるが、これも確率的な出来事であり、100%確実とは言えない。ほとんどの場合、現代医学における病気の診断には何らかのエビデンスが必要であり、つまり病気の確定診断の裏付けとなる検査が必要になることが多い。例えば、感染症の場合、細菌感染であることもあれば、ウイルス感染であることもある。このとき、医師は患者が感染していることを確信できても、その感染原因が細菌感染なのかウイルス感染なのか、血液検査が必要であり、そのために医師はさらに検査をする必要がある。実は、これは他の多くの病気でも同様で、これも検査の重要な意義である。

第二に、たとえ医師が患者をある病気であると推察し、高い確率で事象が発生したとしても、この時はまだいくつかの検査をする必要があり、明確な診断に加えて、さらに必要性を検討する必要があるケースもある。例えば、私たちは非常に多くの場合、病院に行って医者に診てもらうが、医師が多くの検査を処方する理由は、非常に多くの場合、患者の状態の変化を確認するために見直す必要性であり、今回は患者が改善の表面に見える場合でも、また、これは病気の退行を監視する必要性のためであることを明確にするためにチェックする必要があります。例えば、高脂血症という病気は、初診時の診断が明確であることに加えて、その後の診察のほとんどは血中脂質の変化をモニターし、治療を行った後の治療効果が良好であるか、あるいは有意な改善が見られないかを確認し、さらに的を絞った治療を行うためである。
また、多くの患者にとって、医師は既存の治療レジメンに対する副作用を検出するためにもチェックする。例えば、スタチン系脂質低下薬を服用している患者の多くは、スタチン服用による副作用が起こっていないかどうかを確認する方法として、肝機能とクレアチンキナーゼを定期的にチェックする必要がある。このような場合、副作用を監視するために検査が行われるのであり、検査には目的がある。
要するに、この問題の検査は、医療過程では確かに何度も必要であり、大多数の医師も検査項目を処方するのは妥当であり、全国的に認められている正規の病院であれば、実はまだ安心できるのである。今日の張先生の記事が、皆さんのお役に立てれば幸いです。
より多くの健康知識を得るために、次のコラムをクリックしてください:張博士の血中脂質コース

実話:この話は今月初めに起こった。ある時、私は夜勤中で、上腹部痛の患者が私のところに来て言った:先生、早く薬を処方してください!私は患者を見て、私は痛みが本当にかなり強いと感じ、顔が少し青白いだけでなく、汗をかいて、患者は「胃の病気」の既往歴があることを強調されているので、私は当初、胃十二指腸潰瘍発作かもしれないと判断したが、私はまだ安心できない、患者は心臓発作、動脈閉塞、および他の重大な病気を除外することはできません。私はまだ不安だった。そこで私はまず、心臓発作を除外するために心電図を取るように患者に頼んだ。私は自分の状態を知っている、私は今とても痛いのだ、まず痛み止めをくれ、それから検査をして私を引き剥がしたいのだろう、私が痛くないときに、自分の判断で検査すればいいのだ!それを聞いたとき、私は心の中で怒りがこみ上げてきた。 患者のことを思ってのことだったが、患者にはわかってもらえなかった!怒りは収まらなかったが、それでも根気よく患者さんに説明した。最終的な結果はどうなったと思いますか?--急性広範前部心筋梗塞です!
医師は神様ではないので、補助的な検査の認証なしに100%正しい判断ができる保証はない!多くの場合、医師は問診やボディーチェックによって病気の予備的な判断をしているが、その判断が正しいかどうかを証明するためには、機器による検査の補助が必要である。結局のところ、西洋医学は伝統的な漢方医学とは異なり、理論体系も異なり、漢方医学は脈を取り、舌を見て診断することができるかもしれませんが、西洋医学は確かな根拠を持つ必要があり、実際の検査の結論は、漢方医学のように「ダッシュ」しないでください。
医師は一目で病名がわかることもあるが、より良い治療方針を立てるためには、肉眼では判断できない体の状態、病変の重症度、病変の範囲、周囲への侵襲の有無など、治療方針に影響する要素を判断する必要があることが多く、検査機器を使う必要がある。
私は総合診療医として、わかりやすい言葉で健康知識をみんなに広めています。もし役に立つと思ったら、必要としている友人に転送してください!
1.病院が収益を上げるため
2.医師にとっての責任回避
3.人々がお金を使うため
要するに、三者三様で誰も信用できないのだ。
どのような病気であるかを知るためにそれを見ることは、最も基本的な経験的判断、つまり最も一般的な問題に過ぎないが、ここには大きなリスクがある。経験的独断論を犯すことになり、結果として判断を誤ることになる。この時、人が死ぬ可能性もあるのだから、責任ある医師は決して経験的判断だけに頼ってはならない。
最も簡単な例を挙げれば、今回の新型の冠状動脈性肺炎の場合、最初のうちは経験に頼って、患者が発熱し、咳が出ていることなどを見ていれば、医師はインフルエンザだと思うかもしれない。そのままにしておくと、どんどん重症化してしまいます。
現代医学が検査を行うのは、医師による誤った判断を減らし、症状を治療しようとするためである。人間の身体は複雑で、まだ完全に把握できていない臓器があるにもかかわらず、何世代にもわたる探求に基づいて、そのほとんどを理解し、詳細な検査によって病気の原因がどこにあるかを知ることができる。
もちろん、"神医 "を一目見るために何人かの民間人がいる、これは慈悲深く、問題の知恵である、とにかく、彼らは運命と病気の治療について話す、事故は患者が幸運ではないことを表すことができるだけである。このような "奇跡の医者 "は、我々は比較する勇気がない、結局のところ、人間の生命は天の問題である。
この疑問に答えるには、関連する分析を詳しく説明するケーススタディから始めた方がいいかもしれない。
最近、専門クリニックで50歳の女性患者を診察した。主な症状は、不眠、発汗過多、落ち着きのなさ、気分の落ち込みであった。他のクリニックでは、うつ病と診断された。また、「植物性神経障害」と診断された病院もある。彼女は薬を適切に調整することを望んで、ここに治療を受けに来た。
詳細な病歴と症状を尋ねられ、彼女が過去に受けた検査もチェックされ(費用を節約するため)、頭部CTを除いては、行うべき検査はほぼすべて行われた。経験から、この患者は本当の心身症ではないことが直感された。なぜなら、彼女の症状には、通常のうつ症状からは容易に発見できない、きわめて微妙な側面があったからだ。
私は彼女に頭のCTスキャンを撮るよう勧めたが、彼女の本来の目的は私が彼女の薬を適切に調整することだったので、彼女は躊躇した。
私は家族に、そして患者の不安を取り除くために、"頭部CTを撮ることにはメリットがある。
しばらくして、頭部CTスキャンの結果が返ってきた。もっと露骨に表現すれば、「進行性の脳腫瘍」である。
最初の精神科受診時に頭部CTを受けていれば、助かる可能性があったかもしれない。
私の診療の原則は、「安全で、効果的で、経済的で、副作用を最小限に抑える」ことである。
病院や同僚の医師たちがこの原則に従うことを願っている。
医師にとっても、患者にとっても、そして地域社会にとっても、真に「親の心を持った医師」であることは幸せなことである。
恵まれた社会で暮らせたらどんなにいいだろう!

A:彼は二度見してもわからない!言い間違えたらどうするんだ!責任は重大です!医師は、あなたのお金を節約するためではなく、自分の評判と病院を事故から守るために、その手順を踏まなければならないのです!初期には生化学的検査はなかった!あったとしても、ごくわずかだった!検査できないものもあった。現在では、科学は進歩しており、医師は確実でなければならない。それはまた、すべての側面に責任がある!
医者に行くのは節約のためではない!お金を節約するために、自分で対処できないほどの問題があると感じなければ、最近では自分の家に小さな薬箱があることがほとんどだ!自分で対処できないと感じたら、適時に医師の診察を受けるべきです。遅れて重症化しないように。病院に行く以上、医者のやり方に従わなければならないし、医者のやり方は医療関係者にも認められている!
医者が患者を診るには資格が必要だ!資格証明書は、彼の能力のレベルを国家医学的に認めるものである!それは来る試験です!もう一つの国家衛生部、省、市、医療制度は厳しく管理されているので、医師はいくつかの不明確なことをする勇気がない!どちらも患者を危険にさらす!彼らはまた、職務怠慢である!
シャープ 2021年12月3日

医師は自分の病気が一目でわかるのに、なぜ患者に検査を受けさせるのか?医者は不死身ではないし、そんな強力な占い機能も持っていない。
今日の医学のあり方では、どのような病気を診断するにしても、エビデンスに基づき、エビデンスに裏付けされたものでなければ診断できない。これはエビデンスに基づく医療と呼ばれる。医師が病気を見て、やみくもに推測して診断を下すことはない。もちろん、医師が初めて患者を見たとき、ある程度の病歴とともに、自分なりの考えを持ち、予備的な診断を下すかもしれない。しかし、それは予備診断に過ぎず、何の証拠もない。何ができるのか?診断を裏付ける証拠を見つけるか、他の診断を除外するための検査をするしかない。医学の発達に伴い、医療関係者が認識する病気も増えてきている。 以前は同じ症状だから診断できると思っていた人も、理解が進み、実は病気ではないことが分かってきた。2つの病気を分けるには、他の検査が必要である。
医師はすべての病気について検査をする必要はないし、検査をするかどうか、どの検査をして診断を裏付けるかを判断するためには、患者を診る上での多くの経験と優れた診断思考が必要だ。
同じ症状を示す病気はたくさんある。例えば、誰もが咳で医者に行き、2人とも単なる風邪で咳をしている。一方は肺炎かもしれないし、もう一方は肺がんかもしれない。検査をせず、ただ咳止めの薬を出すだけなら、それは遅きに失したことになる。一目でわかる咳をなぜ検査する必要があるのか、とあなたは言う。その理由は自明である。
昔は検査がなかったのに、なぜ医者も患者を診ることができたのか」とまた言う友人もいるだろう。過去に検査がなかったとき、医師は患者を診ることができたが、誤診率も非常に高かった。診断の多くは、最終的に明確ではなく、治療の最後まで遅れ、最終的にどのように行くべきかわからない。
現在、医学の絶え間ない発展、先端機器の応用により、医師の診断レベルも常に向上している。正確な診断のみがより正確な治療につながり、誤診や治療の遅れは誰も望んでいない。したがって、より多くの理解は、より多くの信頼でもあります。
この質問と回答はサイト利用者のものであり、サイトの立場を代表するものではありません、侵害など、削除するには管理者に連絡してください。