脳梗塞と海綿状脳梗塞は同じか?
脳梗塞と海綿状脳梗塞は同じか?
神経内科医に限らず、医師であれば日々の臨床の中で、よく聞かれる質問があると思います。"空洞性脳梗塞と脳梗塞、同じものですか?何が違うのですか?その理由は、現在ではあらゆるレベルの病院でCTが多用されるようになり、発見されるラクナ脳梗塞の数が以前に比べて増えたからです。では、ラクナ脳梗塞と脳梗塞にはどのような違いがあるのでしょうか?
客観的に言えば、海綿状脳梗塞は通常の脳梗塞と類似点が多いが、それでも多くの相違点がある。病態の違い、大きさの違い、害の違いである。
1.病理学的根拠
一般的な脳梗塞の病的基盤は動脈硬化であり、もちろん心房細動による脳梗塞もある。ラクナ型脳梗塞の病的基盤は、長期にわたる高血圧が効果的にコントロールされず、最終的に閉塞を起こすまでに至った小動脈壁の変性、腫脹、硬化である。
2.サイズ
平たく言えば、一般的な脳梗塞は梗塞面積が大きく、スイカに例えられる。一方、ラクナ脳梗塞の梗塞面積は小さく、ゴマのように表現できる。もちろん、これは厳密なものではなく、理解しやすいものである。
3.ハザード
通常の脳梗塞では、手足の動きが悪くなる、言葉がうまくしゃべれなくなるなどの重篤な症状が出ることが多く、生活の中心で梗塞を起こすと命にかかわることもある。しかし、ラクナ型脳梗塞の患者さんの多くは、発症後自覚症状がなく、明らかな症状を呈する患者さんはごく少数です。そのため、ラクナ脳梗塞患者の多くは、身体診察や頭部CT検査で病変を発見しても、自覚症状がないことが多い。
結論として、海綿状脳梗塞と脳梗塞は似ているが同一ではない。

[専門医がお答えします]
両者には類似点と相違点がある。 類似点は、どちらも脳血管梗塞が原因である点にあり、原因は同じである。相違点は、両者の病変血管の位置が異なる点にあり、単純に結果が異なることを意味するが、どう理解すればよいのだろうか?
脳は人間の生命の中心であり、多数の脳神経細胞とさまざまな機能領域を持ち、脳血管はこれらの脳神経細胞に酸素と栄養を運ぶという重責を担っている。脳血管は、大血管から枝分かれした中小血管と、脳の神経細胞の周囲に点在する最終的な細血管とが十字に交差している。
これらの血管は、高血圧、高血糖やその他の損傷によってなどの病気になると、血管の肥厚、内腔の狭窄、あるいは血管のプラーク形成の閉塞の直径は、血流がブロックされるか、または周囲の脳神経細胞や他の酸素供給のための血液の供給が中断されるように、アテローム性動脈硬化症が発生し、脳神経細胞の正常な生理的活動を行うことができない、あるいは損傷し、死んで、活動に影響を受ける人体の正常な生活。このような状態は、脳の異なる機能領域で発生する可能性があり、その結果は異なります。
脳血管の閉塞が微小な血管で起こった場合、ごく狭い範囲で血液の供給が不足したり、血液が供給されなくなったりするだけで、その部分は脳神経細胞と脳神経細胞の間の間質に損傷を与えるだけで、脳神経細胞はまだ損傷を受けていないか、損傷を受けてもごく軽度で、明らかな症状が出ないことが多く、そのような状況で脳梗塞が起こるということである。脳内の太い血管が閉塞し、虚血・低酸素の面積が大きくなり、損傷・死滅した脳神経細胞が多くなると、それに支配されている生理活動に影響が及び、例えば、血管の運動中枢が閉塞し、手足の運動が失われると片麻痺になり、言語中枢では失語症、ろれつが回らなくなるなどの症状が現れ、一般に脳梗塞と呼ばれます。
どのような脳梗塞であっても、血管病変の発生を示すものであり、通常、ラクナ型脳梗塞の方が早期に発症し、何も介入しなければ、脳梗塞はさらに悪化し、生命を脅かす本物の脳梗塞に至る。したがって、ラクナ梗塞は脳梗塞の早期警告と考えることができ、介入による治療が必要である。 主な対策は、血圧、血糖、血中脂質の厳格な管理、無理のない食事、運動の遵守、禁煙、禁酒、規則正しい生活など、動脈硬化やプラークの形成・進展を引き起こす要因を取り除くことである。
ラクナ梗塞はほとんどの場合、明らかな症状を引き起こさないが、ラクナ梗塞の発生から5年後、特にアルツハイマー病の発生において、記憶力や理解力など患者の認知機能に影響を及ぼす可能性があることを示した研究もあり、十分な注意が必要であることを再認識すべきである。
この答えがあなたのお役に立てれば幸いです。注目をクリックし、メッセージを残すことを歓迎します。
以前は「脳梗塞」と呼んでいたものが、今では「脳梗塞」と呼ばれている。
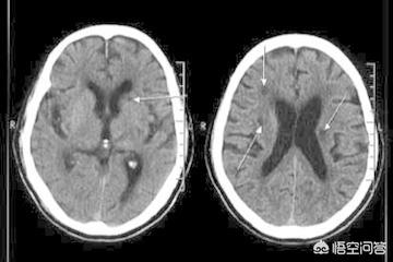
脳梁性脳梗塞とは、脳内の細い動脈の壁が病変し、その内腔が閉塞することにより、その支配下にある脳組織の小領域が壊死し、通常直径5mm以下の小さな梗塞巣が形成されるものをいう。患者の症状は、梗塞の部位や大きさに関係し、一般的な症状としては、めまいや頭痛、手足のしびれ、めまいなどがあり、中には症状がなくても、頭蓋大脳CTやMRIなどの身体検査で発見されるものもある。症状がなくても、頭蓋や脳のCTや核磁気共鳴画像などの身体検査で発見されるものもある。梗塞の原因は、高血圧や高脂血症などの基礎疾患や喫煙、飲酒などの生活習慣病と密接に関係しており、高齢者に多い。
海綿状脳梗塞は小さな動脈の閉塞であるため、ほとんどの場合致命的ではないが、大きな血管の閉塞の前兆であることが多い。海綿状脳梗塞は、脳の動脈で内皮障害が起こっていることを示しており、適時に介入しなければ重大な結果を招く可能性があるからである。
脳梗塞(虚血性脳卒中ともいう)とは、脳動脈がすべて狭窄・閉塞し、脳虚血・低酸素状態となり、脳組織が限定的に虚血壊死・軟化することをいう。 大血管の閉塞は大きな脳梗塞を引き起こし、片麻痺、脳ヘルニアの形成、昏睡に至ることもあり、重症例では死に直結することもある。
急性脳梗塞は、臨床的に非常によく見られる脳血管疾患で、死亡率や障害率が高い。ラクナ脳梗塞との違いは、主に閉塞した血管の大きさによるもので、通常脳梗塞と呼ばれるものは、頭蓋骨や脳の太い動脈の閉塞による脳組織の軟化や壊死も指す。

私は外科医で、ラクナ脳梗塞の高齢患者を日常的に診ている。手術のために術前検査を精緻化する必要がある高齢者には、頻繁に以下のような記述がある。めまい、頭痛、めまい私たちは高齢者の脳を検査する手配をしますが、その結果、このようなケースでは海綿状脳梗塞が見つかることがよくあります。
ラクナ脳梗塞の患者は、あまりはっきりした症状がないことが多く、高齢者の多くは「自分は高齢で安静にしていないから、めまいが起きても仕方がない」と考え、あまり気にしない。
海綿状脳梗塞は実際には脳梗塞の一種であり、脳梗塞には他にも一般的なタイプがある:血栓症、脳塞栓症。
脳梁性脳梗塞が他の脳梗塞と異なるのは、以下の点である。詰まった脳動脈は違う②脳の虚血部位の大きさは様々である。③症状はさまざま④病気の原因はさまざまだ。。
海綿状脳梗塞
脳梁性脳梗塞は、脳深部の細動脈の病変による血管の閉塞によって起こる。 細動脈が供給する脳の領域は比較的小さいので、脳梗塞の領域も小さい。通常、脳梗塞は2mm-5mm間、最大指の爪の半分の大きさ。。
海綿状脳梗塞の病変は、細くて深い動脈の閉塞であるため、メロンの種がメロンの真ん中に集中しているように、脳の中心部に点在している。
空洞性脳梗塞の病変は小さく、専門医でなければ容易に認識できない。
ラクナ脳梗塞の一般的な症状は以下の通りである:めまい、頭痛、手足のしびれ、めまい、記憶喪失、動作緩慢、精神衰弱などなど。ですから、高齢者が少し痴呆気味になり、物忘れが多くなってきたと思ったら、ラクナ脳梗塞に注意してください。
ラクナ脳梗塞の多くは高血圧の不安定なコントロールと関連している。高齢の高血圧患者の血管は血圧の変動によって傷つき硬化しており、閉塞を起こしやすい。
脳血栓症、脳塞栓症
脳血栓症は、脳に血液を供給する動脈に血栓ができる病気である。原位置形成動脈硬化性プラーク。脳塞栓症は、心房細動など他の場所からの "塞栓 "である。心臓血栓症脳の中に空気が入り、脳血管を形成する。エアロック、ドローンボルトだ、怪物ボルトなど。
これらの塞栓の多くは、より太い動脈を閉塞して脳梗塞を引き起こし、梗塞は脳の片側に集中し、梗塞の範囲もやや広い。
一般的な症状は以下の通りである。突然の崩壊、片麻痺、言語性知的障害この病気の主な原因はこの病気の主な原因はアテローム性動脈硬化症、不整脈基礎疾患は多くの場合高血圧性、循環器科、糖尿病。
👆 脳梗塞はしばしば片麻痺を呈する:口が曲がる、片麻痺......。
両者には待遇の違いもある
脳梁性脳梗塞の対症療法としては、リハビリテーションや食事療法が一般的である。低脂肪、ローカロリー、減塩食主に。
脳梗塞では、手足の機能をできるだけ維持するために、詰まった血管をできるだけ早く開く必要がある。溶栓、抗凝固療法などの治療法がある。
DrLuoHealthSpeakをフォローして、より権威ある健康科学と感動的なストーリーを読みましょう。リツイート、コメント、いいね、ご家族やお友達への推薦を歓迎します。また、より多くの健康トピックを一緒に交換するために私にプライベートメッセージを送ることができます。
小内博士
回答は情報提供のみを目的としています;
フォローやコメントはお気軽にどうぞ!
本質的には「同じこと」なのだ!
- 空洞性脳梗塞は脳梗塞に含まれる!
- つまり、海綿状脳梗塞は脳梗塞の一部または一分類である!
何が違うのか?
脳梗塞:
脳梗塞とは、脳組織の虚血性・低酸素性壊死を指し、脳組織の虚血性・低酸素性壊死のすべての種類と原因を「脳梗塞」と呼ぶことができる!
空洞性脳梗塞:
いわゆる "空洞性 "は、実際には脳梗塞病変の大きさの制限であり、ほとんどは病変が1.5~2.0cm未満の梗塞を指し、多くは血管貫通性病変によるものである!臨床症状は比較的軽度で、原因の多くは高血圧に関連している!
全体的に
- ラクナ脳梗塞を含む脳梗塞!
- 空洞性脳梗塞は脳梗塞の一部または一種である!
私の答えがお役に立てたなら幸いです!
脳梗塞とは?
脳梗塞とは虚血性脳卒中の総称であり、脳組織の局所的な血液供給動脈の血流が急激に減少または停止することにより、脳組織の血液供給領域が虚血・低酸素状態に陥り、脳組織が壊死・軟化した状態であり、片麻痺、失語症、その他の神経障害など、対応する部位の臨床症状・徴候を伴う。

脳梗塞とは、脳血栓症、脳塞栓症、海綿状脳梗塞、一過性脳虚血発作など、脳血液供給の障害によって起こる脳病変で、脳卒中の約70%を占める。
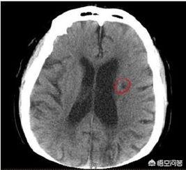
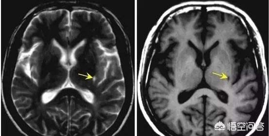
脳梗塞発症後24〜48時間後に脳のCT検査を行うと、対応する部位に境界のはっきりしない低密度の病巣が認められ、何らかの占拠作用がある可能性がある。脳磁気共鳴(MRI)検査では、病変部のT1低信号と加重画像のT2高信号によって示される脳梗塞を早期に発見することができ、MRIはより小さな梗塞病変を検出することができる。

ラクナ脳梗塞とは?
海綿状脳梗塞は、一般的な脳血管障害の一つであり、持続性高血圧と小動脈硬化に起因する特殊な脳血管障害で、直径100〜400μmの深部貫通枝の閉塞による微小梗塞である。末期には、軟化した微小病巣から壊死組織が除去され、小さな嚢胞状の空洞が残るため、海綿状脳梗塞と呼ばれる。
病理診断名にちなんで命名され、脳の新鮮または古い深在性小梗塞の総称である。好発部位は大脳基底核と大脳皮質基底部であり、発生頻度は側坐核、尾状核、視床、大脳皮質、内被殻、白質であり、大脳皮質と小脳皮質は発生しない。

ラクナ脳梗塞の一般的な原因は?
病因は完全には解明されていない。病因に関連する因子は以下の通りである:
内腔病変の最も一般的な原因は高血圧による小動脈や細動脈壁の脂肪ヒアリン沈着と内腔の閉塞である。単一の内腔病変と高血圧との間には有意な相関はなく,拡張期血圧の上昇が多発性内腔梗梗塞の主な原因であることが示唆されている。
中大脳動脈や脳底動脈に動脈硬化が起こり、深部貫通動脈を閉塞する小さな血栓が形成されると、ラクナ梗塞を引き起こす。

(iii) 血圧の急激な低下により、すでに高度に狭窄している動脈の遠位で血流が著しく減少し、微小心筋梗塞が形成されるような血行動態異常。
赤血球、フィブリン、コレステロール、空気、アテローム性動脈硬化プラークなど、さまざまな種類の微小塞栓が小動脈を閉塞し、網膜動脈や小脳動脈で塞栓が見つかることが報告されている。頸動脈系の頭蓋外セグメントから外れたアテローム性動脈硬化プラークが微小塞栓の最も一般的な発生源であり、心疾患や真菌性動脈瘤も塞栓の発生源として考えられる。
赤血球増加症、血小板増加症、凝固亢進症などの血液学的異常も発症に関与している可能性がある。

ラクナ脳梗塞の臨床症状は?
海綿状脳梗塞の臨床症状は、海綿状腔の位置によって異なり、以下の4つのタイプが臨床症状においてより特異的である:
(1) 純粋な運動障害:このタイプが最も多い(症例の約2/3)。失語、感覚障害または視野欠損を伴う軽度の片麻痺を生じ、下肢よりも上肢に多く、または顔面筋および上肢の病変が主で、時に対側の核上性顔面神経麻痺を伴う。病巣の多くは対側の内被殻または大脳皮質に存在する。さらに、この病型は臨床的に異なった症状を示すことがある。
(2)構音障害-手指不器用症候群:症例の約20%。中心性顔面神経麻痺と舌神経麻痺を呈し、不明瞭な発語、嚥下逆流、手の微細運動能力の欠如、指鼻テストでの安定性の欠如、場合によっては円錐束徴候を伴う。病変は、脳橋基底部の接合部の中央から上3分の1、または内被膜の最上部、または膝に位置する。

(3) 単純な感覚障害:症例の約10%。主な症状は、片麻痺性失語症や視野欠損を伴わない、顔面片側と半身の感覚障害である。あるいは、感覚障害は、まず身体の一部分に出現し、その後、短期間に顔面全体、四肢全体、半身全体に進展する。感覚の性質は、しびれ、熱感、ピン・アンド・ニードル、灼熱感、重苦しさ、引っ張られるような感覚などであり、その自覚的感覚は客観的検査よりも大きいことが多い。一過性の脳虚血発作症状を伴うこともあり、病巣は対側の視床後外側核に存在する。
(4) 運動失調性片麻痺:上肢よりも下肢の運動失調と脱力、錐体性徴候を伴い、脱力では説明しきれない運動失調がある。病変の多くは、対側の橈骨冠から内嚢、または橋橋基部の皮質脳幹束経路にみられる。

脳梗塞は虚血性脳卒中とも呼ばれ、ラクナ脳梗塞、脳血栓症、脳塞栓症など多くの脳虚血性疾患が含まれる;
一般に、ラクナ脳梗塞は他の虚血性脳卒中と比較して以下のような特徴がある:
1、症状が軽い:ラクナ脳梗塞のほとんどは、発症時に関連する症状がなく、時折、少数の患者が比較的軽い症状として現れることがあり、めまい、頭痛、手足のしびれ、反応が鈍いなど、予後が良好である;
2、梗塞面積が小さい:ラクナ脳梗塞の面積は比較的小さく、その直径は一般に2~15mmで、最大でも20mmに過ぎない;
3、高血圧の素因:高血圧の症状がかなり長い間、良好にコントロールされていない、それは大脳半球や脳幹深部の小さな貫通動脈硬化につながる、時間が経つにつれて、これらの小さな動脈はゆっくりと閉塞し、小さな梗塞巣の形成、つまりラクナ脳梗塞。
脳梁性脳梗塞と脳梗塞は、程度の違いだけで、本質的には同じである。海綿状脳梗塞は脳梗塞全体の20-30%を占める。
海綿状脳梗塞は、長期高血圧、高脂血症、糖尿病などの危険因子の役割で、脳組織の小さな貫通動脈を指し、血管壁の病変、最終的には内腔の閉塞、その結果、遠位脳組織の虚血と無酸素性壊死、貪食による壊死脳細胞、除去、小さな空洞の形成、したがって、我々は海綿状脳梗塞と呼ぶ、梗塞の大きさの梗塞巣は、一般的に1.5〜2センチメートル以下です。2cm以下である。
梗塞は小さく、患者の多くは脳組織の比較的静かな(機能していない)領域に梗塞があるため、ラクナ脳梗塞患者は通常、神経障害の症状がなく、いわゆる一般人の「健康な状態」である。したがって、ラクナ脳梗塞の患者は通常、神経学的欠損の症状がなく、いわゆる「健康な状態」である。
しかし、海綿状脳梗塞は決して無害な病気ではない。なぜラクナ型脳梗塞が起こるかというと、高脂血症、高血圧、糖尿病、多量喫煙、アルコール依存症など、脳梗塞の危険因子を一つ以上持っていることが条件となる。CTでラクナ型脳梗塞と診断されたら、上記の危険因子を自己チェックし、できるだけ早期に介入しなければ、次に起こるのは巨大脳梗塞である!
ドクター・チャン・オンライン - ご清聴ありがとうございます!
招待してくれてありがとう!
よく患者さんが錠剤を持って受診し、「先生、錠剤にはラクナ脳梗塞と書いてありますが、不快な症状も感じませんし、脳梗塞には頭痛や嘔吐などの症状はないのですか?これは誤診ではないのですか?"
実際、これらは二つの異なる病気であり、症状は確かに同じではありません!多くの人は、脳梗塞を海綿状脳梗塞と見て、自動的に脳梗塞に持ち込むが、これは海綿状脳梗塞の誤解であり、両者の違いについて説明しよう。

まず、定義が異なる。
脳梗塞は、頭蓋内および頭蓋外の大動脈の閉塞によって引き起こされる脳組織の局所的な虚血・低酸素梗塞である;
ラクナ脳梗塞は、脳または脳幹の深部にある小動脈の閉塞によって引き起こされる脳組織の点状梗塞である。
前者は太い動脈と広範囲の梗塞、後者は細い動脈と小さな梗塞である。

第二に、病気の原因が異なる
脳梗塞は多くの場合、動脈硬化によって引き起こされる;
海綿状脳梗塞は慢性高血圧症で最も多く発生する。
第三に、症状の違いである。
脳梗塞は、頭痛、嘔吐、片麻痺、半身麻痺などの重い症状を伴うことがある;
ラクナ脳梗塞の症状は軽度、あるいは無症状で、めまいや物忘れなどがしばしばみられる。病変は深くて小さいため、「ダムゾーン」と呼ばれる重要でない、あるいは影響を受けていない領域に位置することがある。

第四に、発症様式が異なる
脳梗塞は急性に発症することが多く、多くの症状が一度に現れ、事態は緊急を要する;
脳梁性脳梗塞はその逆で、慢性疾患と同じようにゆっくりと悪化する傾向があるが、放置すると血管性認知症、パーキンソン様症候群、尿失禁などの後遺症を残すこともあるので、甘く見てはいけない。
第五に、予後は大きく異なる
脳梗塞は、その急激な発症と大きな梗塞のため、通常予後が悪く、障害や死亡につながりやすい;
ラクナ脳梗塞は予後が非常によく、基本的に後遺症を残さない。

公衆衛生意識の向上と検診技術の発展に伴い、以前はそう簡単には見つからなかった多くの病気が見つかるようになり、多くの患者が自分の海綿状脳梗塞の健康診断で発見され、脳梗塞の海綿状脳梗塞をすべて見て、誰もがパニックに陥った!
崔医師は、パニックにならないように、この病気は怖い病気ではない。
ありがとうございます!脳梗塞と海綿状脳梗塞は分解すると同じではないが、大まかに分けると同じになる。
実際、脳梗塞は海綿状脳梗塞を含む広い名称である。
ラクナ脳梗塞とは、ラクナ(lacunar)とは非常に小さいという意味で、実際には非常に小さい脳梗塞のことで、臨床症状が非常に軽く、深刻な脳梗塞ではない場合、基本的にラクナ脳梗塞と呼ぶことができる。
一方、脳梗塞は、海綿状脳梗塞だけでなく、多発性脳梗塞、大脳梗塞など、さまざまな病名がある。
したがってこの場合、頭部CTや頭部MRIなど、最終的な同定を行うための関連検査を充実させる必要がある。
また、脳血管造影検査を行い、自分の血管に問題があるかどうかを明らかにする必要があります。血管に問題がある場合は、治療に関連したフォローアップを積極的に行う必要があります。
皆さんの健康を祈っています!
もし質問があれば、個人的にチャットで相談する方法を得ることができます。いいね!、コメント、リツイート、注目、脳神経外科(脳外科)の本当の世界を理解するためにあなたを取る歓迎します。 (合理的かつ合法的な病気の治療のために、通常のチャネルを選択してください)
この質問と回答はサイト利用者のものであり、サイトの立場を代表するものではありません、侵害など、削除するには管理者に連絡してください。
空洞性脳梗塞の病変は小さく、専門医でなければ容易に認識できない。
👆 脳梗塞はしばしば片麻痺を呈する:口が曲がる、片麻痺......。