中高年の手のしびれの何が悪いのか?
中高年の手のしびれの何が悪いのか?
こんにちは、漢方マッサージ健康管理です、今日も一日お疲れ様でした、今日のテーマは中高年の手のしびれについてです。今日は主に3つの側面からあなたと共有することです。
まず、中年や高齢者の手のしびれ、検討のほとんどは、手足の心のしびれによって引き起こされる血液の循環が悪いということですので、通常、より多くの歩き回ることができ、手足を行使する。高齢者の原因は、安全であるために、心血管や他の側面を除外することが最善である原因を引き起こし、さらに、血液を促進するために薬のいくつかを取るために医師の手配を聞くために不適切に行くことができます。

第二に、頚椎症は手のしびれの一般的な原因でもあり、脳の血液供給が不足すると反対側の手足のしびれも生じますので、病院に行って頚椎のフィルムを見て診断を確認することができます。同時に、心血管疾患や脳血管疾患を除外することもできます。

最後に、高齢者の指のしびれを緩和するために、上陽点の人差し指をマッサージする方法をお教えしましょう。商陽のツボは人差し指の先の橈側にあり、爪から0.1インチ離れている。このツボは手陽明大腸経の井穴で、生活の中で手足のしびれを和らげることができ、特に中高年には特別な治療効果があります。だから、1日3〜4回、毎回マッサージの10分を主張し、効果的に私たちを助けることができ、手足のしびれを和らげる。

以上、今日は私が皆さんにお伝えしたことをお伝えしました。もし、あなたが自分の人生についてもっとよく理解し、自覚を持ちたいのであれば、コメント欄に健康という言葉を添えて返信していただければ、私がマンツーマンでハンド診断と対面診断を行い、あなたが自分自身をよりよく知り、理解する手助けをさせていただきます。あなたの信頼に感謝します。またお会いしましょう。
こんにちは!中高年の手のしびれはどこが悪いのか】という質問にお答えします、@Dr.森翔子です。今回の質問

手のしびれといえば、多くの人がこのような経験をすると推測されるが、寝るときに腕を圧迫したり、長い間同じ姿勢をしていると、しびれの部分が圧迫されているように見える。実際には、これは局所的な血管、局所的な一過性虚血による神経圧迫のためである。
中高年の手足や四肢のしびれは、そのほとんどが血液供給不足や血液循環不良に関係している。厚い血液脂肪、高い血液粘度、動脈硬化、血圧上昇、低血圧などは、血流を悪くしたり遅くしたりして、体の組織や神経への血液供給が不十分になる。
もちろん、頸椎症や腰椎症などの物理的な圧迫要因もあり、血液の供給不足によって手足や四肢にしびれが生じることもある。
では、手のしびれを誘発する病気にはどのようなものがあるのでしょうか。次の筆者がひとつずつ紹介しよう。
I. 頸椎症
頚椎症は、頚椎椎間板変性疾患、頚椎椎間板ヘルニアまたは頚椎骨棘であり、頚椎椎間孔狭窄に影響を与え、椎間孔は、神経が移動するためのチャネルであり、神経は、椎間孔から手と足の神経の神経支配のうち、調整に到達するために、人体の手足の正常な動きを維持する。
椎間板ヘルニアや骨増殖が神経の通り道を占拠すると、神経、特に後根神経を圧迫し、伝導感覚障害や異常を起こし、手のしびれが生じます。このようなしびれは神経の分布に関係することが多いので、頚椎症の患者さんの中には手足のしびれや異常感覚を訴える人がいますが、これはほとんどが頚椎症性神経根症に関係するものです。
フォレスト湘子博士

脳卒中の前兆または後遺症
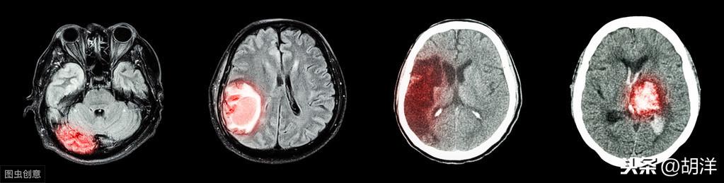
脳卒中とは、西洋医学でいう脳血管障害のことである。日常生活でも、脳卒中の後遺症で片側の手足が動かしにくくなっている患者をよく見かける。脳梗塞の原因は、高血圧、血中脂肪の濃さ、高コレステロールなどが関係することが多く、発症年齢は40歳以上が多い。
中医学の理論によれば、脳卒中の病因は、内臓の傷や蓄積されたダメージ、感情や情緒の傷、食の不純、過度の労働、気の不足や邪気と密接に関係している。
人体は有機的な全体である。脳卒中の基本的な病態は、陰陽のバランスの崩れ、気血の逆転、脳への上方攻勢であり、病巣は脳にあるが、心臓、肝臓、脾臓、腎臓と密接な関係がある。
脳卒中の病態は、そのほとんどが本来の標準の虚と上下の虚である。虚とは肝腎の陰虚であり、標準実とは痰唾の鬱結、風火扇、気血の叛逆である。
伝統医学によれば、風は万病の中で最も長く、その性質は旅を得意とし、急速にさまざまに変化するため、脳卒中患者の臨床症状は多様である。
脳卒中の発症前には、めまい、頭痛、片側の手足のしびれ(手のしびれを含む)などの前兆症状がある。脳卒中の前兆としての手足や四肢のしびれは、ほとんどが気血の不足で皮膚を滋養できないことに関係しています。
もちろん、脳卒中後遺症の患者には、しもやけ、ヘルニア、手足のしびれなどの症状も見られるが、その多くは風痰・気滞、気虚・血滞、気虚・瘀血、肝虚・腎虚、組織・皮膚の栄養不足が関係している。
実際、現代医学では、ハンセン病、足ハンセン病、脳卒中による手足のしびれなどは、高血圧、高脂血症、動脈硬化、脳梗塞、脳出血などによる血液循環障害や血液供給不足がほとんどを占めている。
フォレスト湘子博士

糖尿病
生活環境の改善に伴い、糖尿病に苦しむ人が増えていますが、糖尿病の原因は、ほとんどがインスリンの膵臓分泌障害や不足、遺伝的要因に関係しています。
型糖尿病は、脂肪、甘味、濃厚な味覚の摂り過ぎ、食事管理の欠如、過度の快適さ、不十分な活動によって引き起こされる肥満が主な原因であり、体内のグルコース代謝に障害が生じる。II型糖尿病は、遺伝的要因に加えて、膵島細胞が破壊された後のウイルス感染や自己免疫不全が関係している。
2型糖尿病は30歳未満の若年者に多く、通常、急速に発症し、急速に進行する。典型的な臨床症状は、"三多くて一少"、すなわち、食べる量が増え、飲む量が増え、排尿量が増え、衰弱する、すなわち、一少になる。".多くの患者は、糖尿病であることがわかる前にケトアシドーシスの治療を受ける。糖尿病とケトアシドーシスが合併すると、三増一減の症状が目立つようになる。これらの患者経口血糖降下剤は効果がありません、インスリン治療を注射する必要があります。
II型糖尿病は、主に中年と高齢者に見られ、一般的に、より高い発生率で肥満体、主に疲労と弱さとして現れ、もし時間内に治療されなければ、代謝障害と体重減少が起こるでしょう。このタイプの糖尿病は、陰湿か、または遅い発症を持っています、通常、初期の段階では症状がありません、主に喉の渇き、疲労の症状が発見されるために診療所に行きます。
II型糖尿病患者はしばしば高血圧、高脂血症、動脈硬化を伴う。
糖尿病患者は末梢神経障害や血管障害を起こしやすい。神経障害は主に手足や四肢の感覚障害やしびれ、末梢血管障害は主に末梢循環の血液供給不足が原因で、ハンセン病や足のしびれなど四肢末端のしびれとして現れる。
また、一過性脳虚血発作も手のしびれの原因となる。長期にわたる慢性的な下痢はビタミン欠乏症を引き起こし、手のしびれの原因となる。
最後に、私はあなたに言う、手のしびれは単なる病気の証拠であり、体の内部の病気であり、外部の反射であり、手のしびれの原因が何であれ、私たちは通常の病院に行って検査を行い、医師の合理的な診断と治療を通じて、病気の原因を見つけて、適切な治療措置を講じる必要があります。
ヒント:インターネットからの写真


もし何か質問があれば、メッセージを残すか、@ForestDoctorCheungZiをフォローしてください。ありがとうございました!
手のしびれは日常生活で現れやすい症状で、夜寝相が悪かったり、昼に眠くなったり、しばらく机に突っ伏していたり、何かの衝撃で肘をついたりすると、しばしば手のしびれが現れることがある。しかし、このような場合は、一般的に短時間で消えます。はっきりした原因がなく、手のしびれを繰り返す場合や、手のしびれが長く続く場合は、病院に行く必要があります。中高年の手のしびれは珍しいことではなく、手のしびれは単なる感覚や症状であり、手のしびれによって引き起こされる理由は様々ですが、以下のような種類が一般的です。

1.頸椎症 手のしびれの最も一般的なタイプは神経根頸椎症で、主に頸椎の突出椎間板過形成骨または石灰化靭帯と椎体圧力の湾曲変化により神経根の上肢に、神経伝導が弱まることになり、明らかな手のしびれの症状が発生します。また、神経根の圧迫が深刻になると、上肢の片側または両側の筋力低下、あるいは筋萎縮を引き起こしやすくなり、患者の生活の質に深刻な影響を与えます。一般的に、頚椎症による手のしびれは片側性に多く見られます。

2.糖尿病 糖尿病のコントロールがよくない様々な合併症になりやすい、糖尿病はひどくない、合併症はもっと頭痛、そのうちの一つは糖尿病性神経障害、糖尿病の既往歴がある50歳以上の人にとって、手袋、靴下と手袋で手のしびれがある場合、同じ感じ、同時に足も同じ感じを持っている、これは糖尿病性末梢神経障害の典型的なパフォーマンスである。

3.脳卒中 突然の片側の手足のしびれは、一過性脳虚血発作(TIA)、脳梗塞、脳出血などの急性脳血管障害に注意すべきである。脳卒中患者の多くは、脳卒中になる前に頭痛、めまい、手足のしびれ、舌の腫れなどがあることが多い。手指のしびれ」はよく見られる症状の一つです。特に高齢で、過去に高血圧や高コレステロール血症があった患者さんには注意が必要です。

4.手根管症候群はまた、一般的に "マウスハンド "と呼ばれ、通常、家事を行う中年女性は、より労力とハードであり、手首はしばしば曲げ動作を行うか、仕事でマウスの長期使用は、マウスハンドがしびれる保持するように表示されますが、これは正中神経の横手根靭帯過形成圧縮によって引き起こされる長期的な姿勢に起因するものであるしびれの3.5指を引き起こす。しびれ、これが手根管症候群の症状です。また、肘部管症候群で尺骨神経が圧迫されると、薬指小指のしびれが生じ、進行すると薬指小指のしびれや痛覚過敏が生じ、肘から近位端、遠位端へと放散していきます。

5.末梢神経炎 長期間の栄養不良により、体内のビタミンが不足し、特にビタミンBが不足すると、神経の栄養や代謝が障害され、伝導速度が遅くなり、末梢神経炎や神経根病変を引き起こし、手足のしびれを引き起こすことがある。手足のしびれは通常起こる。

また、更年期女性の内分泌障害では、原因因子がなくても手のしびれを起こすことがある。低カリウムなどの電解質障害でも手のしびれを起こすことがある。酸塩基平衡のアンバランスでも手のしびれを起こすことがある。また、感情的に興奮して過換気となり、呼吸性アルカローシスを起こす人もおり、手のしびれや口周囲のしびれ、さらにはけいれんを起こすこともある。長期のアルコール中毒になると、慢性アルコール中毒となり、手足の末端のしびれを引き起こす。サフラニンや赤痢などのある種の薬物も手のしびれを引き起こすことがある。したがって、中高年者は、手のしびれの症状がある場合、自己回復することができず、消滅し続けるが、タイムリーに、しかし、原因を明確にするために適切な検査のための病院。
手のしびれ手のしびれは、自分でしか感じられない自己感覚的な症状で、医師や器械では発見できません。手のしびれは、表面的にはあまり影響がありませんが、実は、ある病気の兆候である可能性があり、多くの病気は手のしびれの症状が現れます。
(2) 頸椎症.頚椎症は手のしびれ疾患の最も一般的な原因であり、頚椎症は上肢の神経が圧迫されると、上肢、腕にしびれや痛みが生じ、頚椎の痛み、ねじれなどの頚椎症の典型的な症状を伴う。
血流が悪くなる原因は圧迫などである。中年や高齢者自体が血液循環が悪い可能性があり、睡眠中に上肢に圧力がかかると、手のしびれがありますが、これは長い間しびれトイレでしゃがんだ後に私たちの足に似ていますが、病的な状態に属していない、圧縮を解除するには、腕の活動はすぐに復元することができます。
(2) 脳卒中の前兆。脳卒中患者の多くは、脳卒中発症前に手のしびれ、腕の脱力感、一過性のめまいなどの症状があり、脳卒中発症後は口や目が不自由になり、片側の手足が不自由になるなど、様々な症状が現れます。
(3) 糖尿病患者。血糖コントロール不良の糖尿病患者は、後期に末梢神経障害の合併症を起こすことがあり、上肢のしびれや様々な感覚に対する感受性の低下によって現れることがある。
(4)血液中の脂肪が多い。長期の高脂血症患者では、血液の粘度が高く、血流が悪くなるため、手足の末端への血液供給や酸素供給が不足し、手のしびれの症状が出る。
上肢のしびれには、一時的なものから病気によるものまで、さまざまな原因がある!病気が原因の場合は、できるだけ早く治療し、病気による他の不快な症状を防ぐ。
でも、この件に関しては、それが原因かどうか正確にはわからないし、私の専門外のこともある。

頸椎についてお話ししましょう。

神経原性頚椎症は、軽度であればマッサージなどで痛みを和らげることができますが、普段から水泳など頚椎を動かすことができるスポーツを多く行い、睡眠を適度に取りながら生活し、食事は栄養価の高いものを摂ることをお勧めします。 状況がより深刻であれば、時間内に病院へ行き、病気の原因を突き止め、治療を行うことをお勧めします。
平和と健康を祈る(画像出典:インターネット、著作権侵害がある場合は削除のご連絡をお願いします)
私は医学博士、研修医、人間の健康の利益のために医学知識の普及を専門としています、あなたが詳細をお知りになりたい場合は、私に注意を払ってください、質問がメッセージを残すことができる、応答します!
高齢者の手のしびれの何がいけないのか?

手のしびれは非常に一般的な症状で、さまざまな病気の手のしびれによって引き起こされるが、以下にそのいくつかを要約する:
- 1.高血圧:血圧とは血管の側壁にかかる血液の圧力のことで、高血圧症では循環する動脈の圧力が高くなり、心臓が末梢に血液を送り出すために大きな抵抗に打ち勝つ必要があるが、それでも高血圧症患者の循環は健常者より悪く、手足の末梢循環障害を引き起こし、時間の経過とともに手のしびれを感じるようになる;
- 2.糖尿病この病気は内分泌疾患の一種で、全身の臓器に影響を及ぼし、体の代謝障害、長期的な炭水化物、脂肪、タンパク質の代謝障害を引き起こし、神経の慢性進行性病変を引き起こす可能性があり、やがて末梢神経炎を引き起こし、手のしびれを引き起こす;
- 3.頚椎症:不適切な姿勢、座りっぱなしなどの悪い習慣が頸椎症を引き起こし、関連する神経が頸椎で圧迫されると、手のしびれが起こる;
- 4.脳梗塞:脳は人体の司令塔であり、人間の運動や感覚などをコントロールする役割を担っているため、脳梗塞の場合、関連する神経を破壊して手のしびれを引き起こす可能性がある;
- 5.末梢神経炎:末梢神経の細菌やウイルス感染も手のしびれの原因となる;
- 6.手根管症候群また、正中神経の圧迫をもたらすさまざまな要因によって引き起こされるさまざまな症状のために、患者が手のしびれを経験することもある;
- 7.貧血:血球の働きは主に酸素を運ぶことであり、貧血で血球が減少すると遠位四肢が低酸素状態になり、機能障害を起こし、手のしびれにつながる;
- 8.アルコールによる慢性的なダメージ:長期の飲酒は末梢神経を損傷し、時間の経過とともに手のしびれが生じることがある;
- 9.その他手のしびれは、更年期症候群、慢性喫煙、妊娠などの要因によっても起こる。
最終結論:手のしびれの症状がある場合は、できるだけ早く病院を受診し、診断をはっきりさせること。

上記は質問に対する私の答えです。もし、この文章が問題ないと思ったら、「いいね!」を押してください。
手のしびれの原因となるものはたくさんある。
1.さまざまな理由で手が圧迫された状態になり、手への正常な血液の流れに影響を及ぼし、手のしびれが生じる。

2.手の神経の損傷や、神経線維の伝導性に影響を及ぼすような炎症も、手のしびれの原因となる。
3.頚椎や脊椎の問題、末梢神経の圧迫や刺激、糖尿病などが原因となることもあるので、自分の状況に合わせて判断することをお勧めする。
私は整形外科医のシュー・シユエです。
中高年の手のしびれは、主に以下の3つの要因と関連している:
第一に、脳血管障害である。
脳血管疾患は中高年に多く、主に血管の硬化や狭窄が原因で、脳への血液供給が不十分となり、脳機能に影響を及ぼし、脳の神経支配部分にさまざまな機能障害をもたらす。

手のしびれは、脳への血液供給不足によって神経ジストロフィーが起こり、それが手足のしびれを引き起こす。
第二に、頚椎症
頚椎症は頚椎過形成を引き起こし、首の血管や神経を圧迫し、手足の機能に影響を与え、程度の差こそあれ手足のしびれを引き起こす。

第三に、末梢血管病変である。
加齢に伴い、末梢血管の弾力性が低下したり、動脈硬化性病変が生じたりすると、手足への血液供給に影響を及ぼし、末梢組織への血液供給が不十分となるため、時間の経過とともに手足がしびれるようになる。
推薦する:
01 基礎疾患の積極的治療
脳血管障害や頸椎症などの基礎疾患がある場合は、まず基礎疾患を積極的に治療することで、手のしびれの症状をほぼ緩和することができる;

02 食生活の健康への配慮
脂っこいものを控え、新鮮な野菜や果物を多く摂ることで、血管の硬化を遅らせ、手のしびれの症状を緩和することができる;
03 適度な運動
運動は脳血管障害の治療や頚椎症の症状緩和に役立つだけでなく、末梢血管の血液循環を促進し、手足のしびれを軽減する。
睡眠中の一般的な人々は、姿勢が正しくない場合は、首の傾き腕の圧力も指のしびれの原因となり、休息、休息、腕をこすることは良いでしょう。しかし、しばしば手のしびれがある場合は、次のような病気を考慮する必要があります:
まず痛風:臨床によると、手のしびれを訴える患者の約1パーセントは痛風が原因なので、足関節、膝関節、赤く腫れて熱い痛み、頭痛、発熱などの全身症状と組み合わせる必要がある。
第二に、一過性脳虚血:これは高齢者の手のしびれの一般的な原因である。高齢者は高血圧、高脂血症であることが多く、高齢者の血液の粘度が高くなり、睡眠、血液の流れが悪くなり、一過性脳虚血の発生につながり、手のしびれを引き起こす。そのため、高齢者は定期的に血圧や血中脂肪をチェックし、検査を行い、高血圧や高血中脂肪があれば、病院での治療に協力する必要がある。普段から水分を多く摂り、血液の粘度を下げる薬を服用し、血栓症を予防し、脳への血液供給を改善すれば、手のしびれ現象は解消される。
第三に、頚椎症:頚椎症は中高年によく見られる病気で、手のしびれもその症状の一つである。頚椎症は、理学療法、浮き針、絆創膏、漢方薬の崩れたシミ、血液循環を活性化する薬などで治療することができます。通常、あなたはしばしばいくつかの遅い活動の首の健康体操を行うことができますし、適切な睡眠枕の高さに注意を払う、一般的に7〜9センチメートルの高さ、高すぎず、低すぎず、柔らかく、適度な硬さ、睡眠姿勢を正しくする必要があります、あなたはまた、頸椎症を改善するために大豆枕を行うことができます。
第四に、糖尿病:糖尿病性末梢神経障害は、手足のしびれや感覚異常などの症状が出た後に発症する。糖尿病がある場合は、血糖値の安定に注意を払うが、病院では医師と協力して治療を行う。
第五に、末梢神経炎:長期的な消化吸収機能が低下し、栄養失調のために、末梢神経炎にビタミンB1欠乏症を引き起こす可能性があり、手のしびれの症状があるでしょう、これは栄養素の一部を増加させるために注意を払う必要があり、行にビタミンB1を補う。
第六に、過剰摂取:ゲンタマイシンなど特定の薬剤を過剰摂取した場合、唇や手足のしびれの副作用が起こるので、過剰摂取に注意し、症状が重い場合は早めに医師に相談してください。
七、慢性アルコール中毒は手のしびれを引き起こす可能性がある:頻繁に飲酒する人にとって、手のひらのしびれは慢性アルコール中毒を示すかもしれない。慢性アルコール中毒は、適時に介入しないと、慢性消化性炎症や潰瘍、アルコール性心筋炎、脂肪肝や肝硬変、中枢神経系の変性や脳萎縮など、体のシステムの機能障害、さらには不可逆的な病理学的損傷を引き起こす可能性があります。
8、手根管症候群:コンピュータの長時間使用、主婦や繰り返し人員に関連する手の活動に従事し、この伝統的な漢方薬の浮動針を通じて一般的な状況によって引き起こされる腕の筋肉群の緊張である手のしびれをトリガする可能性が高くなり、すぐに治すことができます。しかし、私たちの日常生活の中で、我々はまだ過労にならないように注意を払う必要がある、または良いが再び手のしびれの問題が表示されます。
伝統的な漢方医学の観点から、手のしびれには多くの理由があり、そのような副葬品に風邪、生命エネルギーの不足、血液不足、痰湿の閉塞、瘀血の閉塞など、より複雑な発症の原因は、伝統的な漢方診療所は、最良の治療の証拠を識別する。
したがって、手のしびれが頻繁にある場合は、遅滞せずにできるだけ早く医師の診察を受けることをお勧めする!
まず、手のどの部分がしびれるのか、手全体なのか局所なのかをはっきりさせる必要がある。手全体がしびれる場合は、一般的に頚椎症、脳血管障害が原因である。
この質問と回答はサイト利用者のものであり、サイトの立場を代表するものではありません、侵害など、削除するには管理者に連絡してください。