喫煙者と非喫煙者、どちらが感染性ウイルスに感染しやすいか?
喫煙者と非喫煙者、どちらが感染性ウイルスに感染しやすいか?
喫煙者と非喫煙者、どちらが新型コロナウイルスに感染しやすいか、感受性が高いかについて、本日2回目のQ&Aです。 前回の回答では、どちらが感染しやすいかを証明するデータが出せないという意見が多かったので、内容はすべて私個人の意見です。
それでは、南山中学者が最近発表した論文のデータを見てみよう。 Nanshan Zhongの論文のデータの一つは、人口における喫煙の有病率についてである。
1,099人の感染患者のうち、喫煙経験のない患者は927人で、85.4%を占め、喫煙経験のある患者は21人で、1.9%を占め、現在も喫煙している患者は137人で、12.6%を占めた。 百度のデータによると、中国の現在の喫煙者は3億100万人で、15歳以上の喫煙率は28.1%、そのうち男性は52.9%、女性は2.4%である。 上記のデータから、喫煙者は新型コロナウイルス肺炎にかかりにくいようだ。
この数字を見て、多くの喫煙者は正当化され、「ほら、喫煙はウイルス感染の予防にいいでしょ、それでも喫煙は体に害があるって言うんですか」と勢いよく言った。
このデータが代表的なものかどうか、ゆっくり分析してみよう。まず、このデータは1,000件程度しかなく、データが比較的小さいため、確率も大きくなる。確率を最小化するためには、ビッグデータを待つ必要がある。何万件ものデータを組み合わせて分析すれば、それなりの説得力を持つだろう。 次に、この1099人のデータには、女性が459人、男性が540人いる。男女の喫煙率によれば、男性の52.9%、女性の2.4%が喫煙者であり、女性の喫煙者数はごくわずかである。従って、真の数字は137/540となり、確率は25.3%となる。
繰り返しになるが、新型コロナウイルス肺炎を発症した長期喫煙者が重症化、あるいは重篤化する確率が高いことは、以前に発表されたLancet誌のデータからも明らかである。また、この論文のデータを南山中学士が分析したところ、これらの患者の25.2%が少なくとも1つの基礎疾患(高血圧、慢性閉塞性肺疾患など)を併発していた。
そして喫煙は、高血圧、慢性閉塞性肺疾患、がん(肺がんや膀胱がんを含む)などの病気の危険因子である。 最後に、新型コロナウイルスの肺炎診断・治療プログラムの最新版における一般的な感受性と相まって、喫煙者がかかりにくいとか、非喫煙者がかかりやすいということはない。
最後に、結論:喫煙は百害あって一利なし、喫煙は百害あって一利なし、我々は運がない、喫煙はウイルス感染を防ぐのに役立つということですが、もしそうなら、何のための薬の研究も、何のためのワクチンの研究も、タバコは物事を解決することができ、なぜ今までまだそれを特別な薬を見つけるのは難しい探しています。 結局のところ、マスクをするときはする、手を洗うときは洗う、というのがウイルス感染を予防する科学的な方法である、ということに変わりはない。
純粋に手入力で、それは簡単ではありません、あなたは文章が賞賛を報いることができると感じた場合は、懸念を指摘し、ご質問がある場合は、以下のメッセージを残すことができます......
喫煙者と非喫煙者、どちらが感染性ウイルスに感染しやすいか?
これに違いはない。ネオコロナウイルス感染症肺炎治療プログラム(試行第5版)によれば、ネオコロナウイルスは国民に普遍的に感染しやすい。つまり、タバコを吸おうが吸うまいが、何歳だろうが、男だろうが女だろうが、新型コロナウイルスに感染する可能性がある。ウイルスがヒトに感染するのは、ヒトの臓器や組織(口や鼻の粘膜、鼻咽頭、肺組織、消化管など)に多く存在するACE2タンパク質と結合するため、一定の濃度でウイルスに接触すれば感染するという研究結果がある。

しかし、新型ウイルスに感染した喫煙者は、重篤な病気を発症する可能性が高いことに注意することが重要である
CDCによれば、一般集団と比較して、慢性疾患患者は新型コロナウイルス感染後、疾患の進行が比較的速く、重症度が高く、死亡リスクが高い。一方では、このような集団は抵抗力自体が比較的低く、他方では、このような人々自身が慢性的な低レベルの炎症反応を起こしている。而喫煙は肺組織にダメージを与えるだけでなく、慢性閉塞性肺疾患、高血圧、糖尿病、冠動脈性心疾患、脳梗塞など、多くの慢性疾患や心血管疾患の高リスク因子でもあります。従って、私たちは、特にこれらの慢性疾患を持つ高齢者の方々に、喫煙しないことを訴えたい。

楊浩医師は、一般的な疾患、複数の疾患の診断と治療、慢性疾患の管理、健康科学に焦点を当てています。医療知識についてもっと知りたいなら、この見出しに注目することを歓迎します!
喫煙者と非喫煙者、どちらがウイルスに感染しやすいか?
喫煙は健康に有害である、これは全く真実ではない、喫煙の最大の健康被害は、人々の呼吸器系に損傷を与えることである、主にタール、ニコチン、ベンゾピレンなどのタバコに含まれる有害物質は、気道に害を与えることができ、その結果、呼吸器の自己浄化能力が低下し、有害物質は、気道が増加し、気管支平滑筋の収縮につながる副交感神経系を刺激する粘液を生成するように刺激することができ、最終的な結果は、呼吸器の呼吸を引き起こすことである抵抗力の増加、タールやニコチンなどの物質は、酸素フリーラジカルの増加を引き起こす可能性があり、あまりにも多くの酸素フリーラジカルは、呼吸器系の弾性繊維への損傷を引き起こし、弾力性の低下を引き起こす可能性があり、最終的な結果は、人々の抵抗力と低下程度の差に病気を防ぐ能力だけでなく、慢性気管支炎、慢性閉塞性肺疾患、肺気腫、肺性心疾患を引き起こす可能性があります。さらに、ニコチンとベンゾ(a)ピレンは肺がんを引き起こす可能性があり、最終的には生活の質の低下と寿命の短縮につながる。

もちろん、喫煙が新型コロナウイルスに対抗できるという噂はたくさんあるが、喫煙が呼吸器系に与えるダメージは大きいので、そのような噂を否定することはできない。
喫煙は新型コロナウイルスに対する抵抗力を低下させるだけでなく、呼吸器系などの障害や抵抗力の低下を招くため、喫煙による新型コロナウイルス感染症の発症確率は非喫煙者に比べて高く、長期喫煙者が新型コロナウイルスに感染すると、程度の差こそあれ、重症の新型コロナ肺炎や重篤な新型コロナ肺炎を引き起こす危険性が高まる。

喫煙は健康に有害であり、タバコを吸わない人は、喫煙しないのが一番ですが、すでに喫煙し、喫煙中毒になっている場合は、禁煙するのが一番ですが、本当に禁煙することはできませんが、また、可能な限りタバコの本数を制限または削減することができます。
事実上、喫煙者の肺に含まれるニコチンという化学物質が、この伝染病対策にプラスなのか、それとも逆効果なのかを問うているのである。
今のところ誰もこれに関する検査を行っていないので、誰も納得のいく結論を出すことができない。もし関係当局が、確認された患者数と死亡者数について何らかの統計をとり、喫煙者と非喫煙者の比率を調べれば、この問題を解明できるかもしれない。
喫煙は肺を傷つけ、その結果肺の機能が弱くなり、弱くなるということは必然的に抵抗力が弱くなることを意味するので、非喫煙者に比べてウイルスに感染する可能性が高くなる、という推論もある。このような推論は、やや当然視されている。
何事にも二面性があり、良い面には悪い面があり、悪い面には良い面がある。ヒ素は毒だが、病気を治し命を救うために医療に使われることもある。アヘンは毒だが、痛みや病気を和らげる薬として使われることもある。コウモリはおいしいが、人を殺すこともある。
ニコチンもまた毒であり、おそらく人の肺にダメージを与えるだろう。
最近、「ウイルス感染を防ぎたければタバコを吸えばいい」「昔からの喫煙者は新型ウイルスに感染しないし、肺にタールがたっぷり入っているから、ウイルスが入ると毒殺される」という論調をよく目にする。 流行の緊迫感の下での自嘲なのか、それとも本心からそう思っているのか、現在の調査統計データからは、喫煙者と非喫煙者がウイルスに感染する確率の大小に明確な差はない。
最近、学者中南山は新コロナウイルス臨床統計研究の対応著者として、多くの友人が非常に心配している、まず、「記録」の24.0日という最長の潜伏期間、多くの友人やより心配しているが、実際には、1099例の割合で、この24.0日の潜伏期間はわずかであることも確認されている。しかし実際には、1099例のうち潜伏期間が24.0日というのはわずか1例で、平均潜伏期間の中央値は3.0日であることも確認されており、このような特殊なケースについては、あまり深く考えすぎず、心配しすぎない方がよい。
この論文では、1,099症例に占める喫煙者の割合も集計されている。 発症患者に占める喫煙者の割合では、1,099症例中喫煙者は137例しかなく、全体の約12.6%を占めている。このような数字から、喫煙者は新型コロナウイルス肺炎に感染しにくいということなのだろうか?ご心配なく、ゆっくり分析しますから-。

1099例のうち女性は459例で、女性は喫煙者が少なく、ほとんど無視できる。 残りの男性640例のうち15歳未満は9例で、15歳以上の男性631例のうち、かつて喫煙歴があり、現在は喫煙していない人が21例、現在も喫煙している人が137例で、喫煙歴のある男性の罹患率は25%と高く、実際には低くはなく、このような統計のサンプル数にはある程度のランダム性もある。喫煙歴のある男性の罹患率は25%と高く、実際には低くはない。 また、このような統計のサンプルサイズにもある程度のランダム性があり、サンプルサイズも包括的に把握できるほど大きくないのが現状であり、疫学統計の継続的な改善により、その割合はさらに増加すると考えられる。
したがって、この数字は喫煙者が新型ウイルスに感染しにくいことを示すものではない。別の角度から見てみると、1,099例のうち喫煙歴のない人は927例で、重症例は134例で、134/927=14.45%であるのに対し、喫煙歴のある人では38/159=23.89%であり、重症例の割合が高い状況は一目瞭然であると思う。
以前は、新しいコロナウイルス感染関連の問題の導入では、WHOの専門家はまた、高齢者、既存の肺疾患、または長期喫煙の人々は、リスク状況の重篤な状態を開発する傾向があるので、それは喫煙が新しいコロナウイルスの感染の可能性を減らすのに効果的ではないと思われるが、喫煙者は一度新しいコロナウイルスに感染し、肺の重篤な症状を発症するリスクは、逆に、リスクの割合が高くなります。
喫煙は健康に有害である、我々は、肺、消化管、心血管の健康や健康被害の他の側面のための喫煙、一般的な科学の多くの年を持っている、また、多くのことを言った、まだ多くの友人(特に禁煙できない人の友人の一部)があり、常に喫煙の "利点 "を証明するためにさまざまな例を見つけるのが好き、喫煙は健康に有害であるという長年の科学的概念に挑戦する状況の一例を取るために、本当にばかげて悲しいです。状況は、喫煙が健康に有害であるという長年の科学的概念に挑戦するために、本当にばかげていると哀れである、喫煙や禁煙は、人の個人的な選択であり、どのように選択するか、主に自分自身に依存し、喫煙がウイルスの拡散を減らすために、体の健康を助けることができることを証明する必要が本当にない、あなたはそれがないと言うのですか?
疫学調査によると、一般的に集団は新型コロナウイルスに感染しやすいため、喫煙者と非喫煙者の両方が新型コロナウイルスに感染する可能性がある。しかし、喫煙者と非喫煙者では、疾患の退縮に違いがある可能性がある。
喫煙は人体に様々な面で有害である。 呼吸器系に関して言えば、喫煙は呼吸器の免疫機能を低下させ、ウイルスに対する抵抗力を低下させる。有効な薬がない場合、新型コロナウイルスの排除は主に人体自身の免疫系に頼ることになるため、理論的に言えば、新型コロナウイルス肺炎の予防には、長期にわたる多量の喫煙は不利である。第二に、喫煙は肺組織を損傷し、肺機能を低下させ、慢性閉塞性肺疾患、喘息、結核などの呼吸器疾患の発症を増加させる。新型冠状動脈性肺炎患者のうち、呼吸器疾患を有する患者は重症・重篤に進行する可能性が高く、死亡例も呼吸器疾患を有する患者で多いため、特にすでに呼吸器疾患を発症している患者において、長期間の多量喫煙は新型冠状動脈性肺炎の退縮に寄与しない。また、喫煙は糖尿病、冠動脈性心疾患、脳卒中、末梢動脈硬化症などの慢性疾患のリスクを高め、いったん新型コロナウイルスに感染すると、慢性疾患を併存する患者の予後は一般集団よりも悪くなるため、非喫煙者の方が疾患の退縮という点では予後が良いと考えられる。
もちろん、昨年新型コロナウイルスが発見されてからまだ数カ月しか経っておらず、ウイルスに関する知識はほとんどなく、あらゆる側面から深く研究する必要がある。 研究のデータの一部は参考にできるとしても、研究のサンプルは比較的少なく、個人差も発病リスクや発病の後戻りに影響するため、「喫煙者と非喫煙者のどちらが感染リスクが高いか」という問題は、まだ明確に決めることができない。したがって、「喫煙者と非喫煙者のどちらが感染リスクが高いか」という問いに対する答えは、確定的に決めることはできない。現在の疫学調査では、すべての集団が新型コロナウイルスに感染しやすいことが示されており、おそらく感染リスクは個人によって異なるのだろう。 たとえ感染リスクが小さくても、いったん個人に感染が起これば、その感染率は100%であるため、喫煙者であれ非喫煙者であれ、すべての人が新型コロナウイルス肺炎に対する防御策を講じる必要がある。さらに重要なことは、新型コロナウイルスは主に呼吸器を介して感染することです。 流行が多発している今、喫煙はウイルスに接触する機会を増やすことは間違いありません。新型コロナウイルスに感染した場合、喫煙は家族にもウイルスを感染させることになり、新型コロナウイルスの予防には不利になりますので、感染のリスクを最小限にするためにも、禁煙し、マスクをしっかり着用し、ウイルスから身を守ることをしっかり行うことをお勧めします。
まとめると、長時間の多量喫煙は呼吸器の免疫機能を低下させ、肺組織を損傷し、肺機能を低下させる。これはネオコロナウイルス肺炎の予防に有害であるだけでなく、感染者の退縮にも影響する可能性があり、したがって非喫煙者の方がネオコロナウイルスに抵抗できる。
読んでくれてありがとう!
間違っていたら訂正してください!遠慮なくコメント欄で質問し、共有してください!
注:本記事の内容は、健康科学としてのみ意図されたものであり、医学的なアドバイスや意見として意図されたものではなく、医学的指導として適格なものではありません。
また始まった。タバコにポジティブなエネルギーを見出そうとする、禁煙できない人たちがいつもいる。タバコの箱に書かれた「喫煙は健康に悪い」という言葉は、血のにじむような多くの教訓の結果である。
コロナウイルスは家に侵入してくるようなもので、喫煙者の方が被害が大きい。
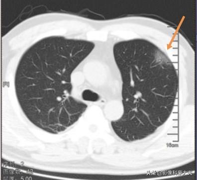
ヒトの肺胞の壁には、I型肺胞上皮とII型肺胞上皮の2種類の細胞がある。 今回の新型コロナウイルスは、表面に小さな突起がたくさんある王冠のような形をしており、エキノカンジンタンパク質を介してII型肺胞上皮に付着し、泥棒が鍵をこじ開けるように細胞の中に潜り込んで複製し、局所的な炎症とCT上のすりガラス状の影を引き起こす細胞死を引き起こす:
場合によっては、体が治療に対して抵抗性や感受性を持ち、病変がすぐに吸収されて良くなり、場合によっては跡形もなくなることもある。
少数の重症患者は進行し続け、病変はより大きくなり、白い肺が形成されることさえある。この重篤な疾患は高齢者、特に高血圧、糖尿病、慢性閉塞性肺疾患(COPD)の患者に多くみられる。
そしてこのII型肺胞上皮は、喫煙の有無にかかわらず、コロナウイルスに同じように感染しやすい。
喫煙は肺の免疫力を低下させる。
タバコの害は全身に及び、慢性気管支炎や肺気腫を引き起こし悪化させるだけでなく、動脈硬化や高血圧にも関係している。
喫煙者は肺機能予備能が低く、肺胞隔壁の弾力性が低く、合併症が多い。
そして今回、コロナウイルスは老若男女を区別することなく、また公的な肩書きにも左右されず、国民は普遍的に感染しやすいのだ!喫煙者の老人は幻想を捨てなければならない!
青少年を保護し、タバコ予備軍を減らす
多くの人が禁煙できないほど中毒になっているのだから、せめて家の中では吸わないこと、家族に副流煙を吸わせないこと、子供にタバコを覚えさせないことだ!
私たちは中学生の言うことを聞いて、あと数日は家にいるべきだ。
画像診断のドクター・ハウです!
もちろん喫煙だ。
喫煙者と非喫煙者、どちらがウイルスに感染しやすいか?
新型コロナウイルスはβ属の新型コロナウイルスで、主に新型コロナウイルス感染症による肺炎患者が感染源として見られる。主な感染経路は呼吸器飛沫感染ですが、接触感染することもあります。
新しく出現したウイルスであるため、どの集団も免疫を持っておらず、普遍的に感染しやすい。
しかし、高齢者や糖尿病、高血圧、肥満、脂肪肝などの基礎疾患を持つ患者、小児や乳幼児は、普通の人に比べて免疫力が弱いため、病気にかかりやすく、新型コロナウイルスに感染すると、高齢者や基礎疾患の多い患者ほど症状が重くなり、死亡するケースも多い。

従って、喫煙者も非喫煙者もウイルスに感染しやすいが、免疫力が同じでなければ、同じ感染リスクでも、免疫力の弱い方が強い方より確実に抵抗力が弱く、喫煙者は長期間の喫煙により肺機能が低下している可能性があり、新型コロナウイルス肺炎にかかりやすく、一度かかると比較的重症化しやすい。これは注意すべきことである。
新型コロナウイルスに感染しやすい人への注意事項
高齢者や基礎疾患を持っている人は、保護を強化し、病気と戦う体の能力を向上させ、感染症のリスクを減らすことに注意を払う必要があることをお勧めします。近い将来、できるだけ外出しない、外出は十分に保護する必要があり、高齢者が食料品を買いに行く、通りに出かけるには、マスクを着用する必要があり、エレベーターの部屋でもマスクを着用する必要があり、エレベーターのボタンを押す場合は、手袋を着用するか、トイレットペーパーを取るのが最善です。
水をたくさん飲むこと、少なくとも1日1500ml以上、つまりミネラルウォーター3本分の水を飲むこと、家で手を洗うこと、運動すること、部屋をこまめに換気すること、アルコールや塩素を含む消毒液で消毒すること。
また、エネルギー補給と免疫力向上のために、野菜や果物、卵や肉などビタミンやタンパク質を多く含む食品を多く摂ることが推奨されるが、卵や肉は加熱調理する必要があるので注意が必要だ。
一般に、喫煙者も非喫煙者も新型肺炎ウイルスに感染しやすく、免疫力の高い人は免疫力の弱い人よりも「抵抗力」があるが、いったんウイルスに感染すると、喫煙者は非喫煙者よりも症状が重くなる可能性がある。
この記事をお読みいただき、ありがとうございました。記事中の見解にご賛同いただけましたら、「いいね!」と{糖質制限マン}のフォローをお願いいたします!
# 新型肺炎に注目し、認識を広める
喫煙者と非喫煙者における新型肺炎の有病率に関する統計はなく、現在のところ以下のように考えられている。すべての人が新型コロナウイルスに感染する可能性がある。男女、老若男女、体調、併存疾患などの差はなく、もちろん喫煙感染者と非喫煙感染者の差もない。
肺には "毒性 "のバリアがあるため、感染しにくいのは当然だと考える人もいるが、これは正当化されるものではないし、これに関する研究もない。

タバコを吸うときは口を使うでしょ?そして唇の粘膜は、新型コロナウイルスが攻撃する主な侵入口である。エレベーターのボタン、ドアの取っ手、ドアカーテンなど、ウイルスに汚染された物に接触する可能性のある手。ウイルスに汚染された後、ウイルスはすぐには死滅しないが、ほとんどの場合2~5日は生存する可能性があり、喫煙時に手と唇がぶつかることで、そのようなものが作られる。接触感染!喫煙者は接触感染しやすいという見解!マスクも外しましょう.
喫煙は、心血管疾患、呼吸器疾患、そしてもちろん腫瘍など、多くの病気と関連しており、良いことよりも害の方が大きい!喫煙者はまた、毎日起きて、カチッ、カチッ、カチッ、と唾を吐くときに、喫煙による不快感を味わうことができる。

不幸にして新型コロナウイルスに感染した場合、ウイルスに対する特効薬はなく、治療は主に支持療法と対症療法となる。 喫煙者の肺はウイルスの攻撃に耐えられるのか?喫煙者の肺はウイルスの攻撃に耐えられるのか? 患者は助かるのか?数日間禁煙すると痰が出にくくなるので試してみてください。
生理学的には、喫煙者も非喫煙者もウイルスに感染する可能性は同じで、私たちは皆、ウイルスを認識しない免疫システムを持っている!そうでしょう?私は@DrYoungYiLiuです!
この質問と回答はサイト利用者のものであり、サイトの立場を代表するものではありません、侵害など、削除するには管理者に連絡してください。