ブラケットをつけたままでも大丈夫ですか?
ブラケットをつけたままでも大丈夫ですか?
王Jr.医師が、ステントなしでも大丈夫なのかについて議論している。
一般に、冠動脈造影後、狭窄の程度が大きい病変、例えば75%以上の病変に対しては、血行再建術が推奨される。これは病変の特異性に応じてステント留置術かバイパス移植術のどちらかを意味する。

ステントを入れる必要がある病変は一般的に2種類あり、完全に閉塞した病変か、まもなく閉塞する病変です。このタイプの病変は絶対にステントを入れる必要があります。このような重症の病変では、多くの場合、人々はより困惑することになる。
例えば、狭窄は約80%で、この狭窄のほとんどは、インターベンショニストの臨床医が、自分の経験に基づいて、複数の血管造影による冠動脈造影と組み合わせて決定します。理論的には、特にクリティカルな病変では、私が70%だと言っても、あなたが80%だと言っても、多少の誤差は生じます。また、入れることも入れないこともあります。
これは患者を混乱させることになります。患者さんの臨床症状を考慮する必要がありますが、薬物療法でコントロールしても狭心症発作が起こるようであれば、ステント留置をお勧めします。そうしなければ狭心症の発作が起こるでしょうし、それ以上の解決策はないからです。薬物コントロールがよくなり、狭心症発作がなければ、当面はそのままにしておいて、経過観察のために薬物療法を続ければいいのです。
しかし、これはすべて主観的な判断であり、定性的な分析ができる客観的な検査はあるのでしょうか?FFR(Flow Reserve Fraction)はより客観的な検査です。FFRが80%以上であれば心筋虚血はなく、ステント留置の必要はありません。FFRが75%未満であれば心筋虚血があり、ステント留置が必要です。
そのため、ステントを入れるか入れないかは、臨床症状と冠動脈造影を組み合わせる必要があり、それでも病変が虚血しているかどうかわからない場合は、より客観的な証拠を得るためにFFR検査をお勧めします。
私は王医師です!全軍心臓インターベンションセンターの副主任医師。循環器疾患の長年の人気者。
ご清聴ありがとうございました!ようこそ @DrKingSpeaksHealth !
患者がステントを留置するかどうかは、冠動脈造影の結果次第である。
冠動脈造影の結果は一般に4つのカテゴリーに分類される。
1、冠動脈狭窄<50%:このような病変はステントを入れる必要は全くない。例えば、高血圧患者は血圧を、糖尿病患者は血糖を、高脂血症患者は血中脂肪を、喫煙者は禁煙を、などである。
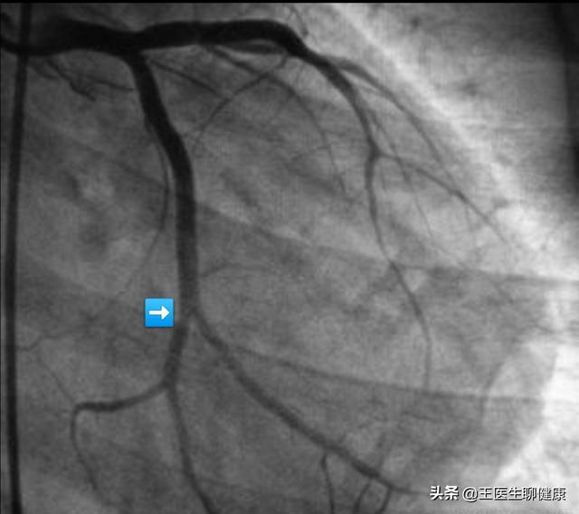
図に示すように、クリッピングされたヘッドマーク部分は約40%狭くなっている。

2、画像診断の結果、冠動脈病変の狭窄の程度が50%から70%である:このような場合、ステントは入れるか入れないかのクリティカル病変に属し、ケースバイケースで分析すべきである。活動時の胸痛がそれぞれ5分程度続くなど明らかな狭心症状があり、安静にしていれば軽快し、ニトログリセリンが有効であれば、このような患者にもステント留置が勧められる。明らかな狭心症状がない場合は、アスピリン、メトプロロール、スタチンなどの内服薬による保存的治療が可能である。より確実な方法は、血管内画像診断である冠動脈超音波(IVUS)検査や冠動脈内光断層撮影(OCT)検査を再度行い、狭窄の程度を正確に分析することである。 これら2つの検査の結果、狭窄が70%に達していれば、やはりステント留置が推奨される。
下の画像は、冠動脈の光断層撮影(OCT)スキャンである。

3、冠動脈造影の結果、血管の狭窄度が70%以上であれば、ステント治療を行う必要がある。冠動脈の狭窄の程度が70%以上になると、心筋梗塞の可能性が大きくなるため、ステント留置治療を行うことで、基本的に心筋梗塞のリスクをなくすだけでなく、狭心症の症状を効果的に緩和することができます。
下図は90%以上の冠動脈狭窄で、ステント植え込みで治療しなければ、いつ急性心筋梗塞や突然死が起きてもおかしくない状態である。

4、石灰化を伴う多枝病変:冠動脈造影の結果、左主幹+3枝病変を含む冠動脈の多枝病変が認められ、ステント治療が可能であるが、多くのステントを留置する可能性があり、石灰化病変は手術が難しく、手術時間が長く、大量の放射線が必要である。外科的バイパス手術も考えられるが、バイパス手術は回復が遅く、治療期間も長い。状況に応じて、医師が理想的なプランを提示します。
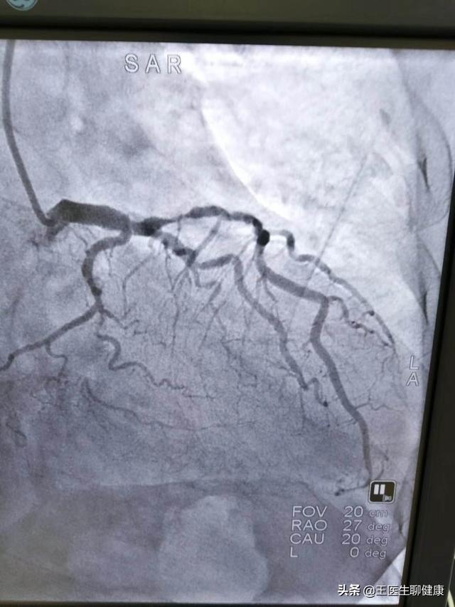
下図は左主幹部の多枝病変である。

結論として、ステント留置の必要性はケースバイケースで分析する必要があり、一般化することはできません。患者さんの状態に応じて、画像診断の結果や関連する検査をもとに、医師が適切な治療計画を立ててくれます。主治医を信頼することです。主治医と患者がうまく協力し合ってこそ、病気を克服しやすくなります。私の回答がお役に立てれば幸いです!
ステントを入れるかどうかについては、あなたの状態がわからないので、私たちが意見を言うことはできません!
ステント留置術はそれ自体が救命措置であり、世界で最も効果的な応急処置です。ステント留置自体は救命措置であり、急性心筋梗塞の場合は世界で最も有効な応急処置であり、早ければ早いほど安全である。

医師はステントを入れる前に利益を得たいのか?
心が狭いのかもしれないが、そう感じる。
ステントは誕生以来、数え切れないほどの命を救ってきた。米国でさえ、毎年100万例以上のステント留置が行われている。米国の人口がわずか3億人であることを念頭に置くと、わが国でステントを留置している人の数はさらに少ない(14億人、年間40~70万例程度にすぎない)。ステントの乱用は存在するが、結局のところ、それはわずかな確率の出来事であり、大多数の医師は依然としてステント留置の基準に従い、ステント留置を勧めている。
1、冠動脈が完全に閉塞した急性心筋梗塞患者は、一刻も早くステント手術を受けなければならない。
2、狭心症で薬物療法が効かない患者の中には、症状の重さや日常生活への影響から、血液循環を回復させるためにステントが必要な場合がある。
3,過度の冠動脈狭窄(80%以上)、重度の心筋虚血、重大な症状を有する患者もステント留置を考慮すべきである。

ステント留置すべきなのに、ステント留置しなかった場合はどうなるのですか?
医師ができるのはアドバイスだけで、決断は依然として患者の手に委ねられており、もし患者が自分の意思を貫いてステント留置術を受けないと決めたとしても、医師はそれを強制することはできない。
冠状動脈性心臓病は慢性疾患ではあるが、その結果は他のどの病気よりも軽いものではない。
もしステント留置をしないと判断された場合、将来のある時点で突然胸の痛みを感じ、胸に手を当ててゆっくりと地面に滑り落ち、次第に息苦しさを感じ、目がどんどん重くなり、救急搬送されていることが周囲にバレても助かる可能性が残っているか、さもなければ永遠に目を閉じてしまう可能性がある。
私は盲目的ステント留置術を提唱したことはないが、色眼鏡で見たこともない。 ステント留置術にはメリットだけでなくデメリットもあり、すべての患者にステント留置術が必要なわけではないが、すでに主治医がステント留置術を勧めているのであれば、自分の状態を慎重に判断し、手術の適応を満たしているのであれば一刻も早く手術を行うべきであり、そうでなければ命にかかわる。今こそ主治医を変え、治療計画を立て直す時なのである。
(私はルオミン、グレード3Aの病院の勤務医長、30年以上の臨床経験を持つ "古い "医師、私の努力は、あなたの承認の利点を享受するためにのみである、私の答えがあなたを助けることができる場合は、私はあなたが好きで、注意を払うことができ、あなたが何か質問がある場合は、コメントや個人的に私に書き込むことができます願っています、私はあなたを助けるために全力を尽くします!)
ステントやバイパスを入れられない、あるいは入れたくないという希望を持っている患者さんがいるわけですが、そのような患者さんに対して他の治療法はないのでしょうか?
冠状動脈性心臓病の治療は多面的であるため、第一に生活習慣への介入であり、第二に薬物の使用である;第三に、ステント留置術やバイパス術ができない場合は、体外循環カウンターパルセーションという環境に優しい治療法を試すことになる。
体外式カウンターパルセーションは、私たちの血行動態を改善し、側副血行を促進し、血管と内皮を保護し、体力に関する環境を最適化する、環境に優しく安全で非侵襲的な治療法である。臨床の現場では、かなりの数の難治性狭心症患者が体外循環療法を受け、体外循環療法に基づく総合的な治療を受けており、患者の狭心症はより良いコントロール下に置かれている。
私はジストニア患者です、私は脳のペースメーカーを設置し、2010年の初めに加えて、私はまた、肋骨骨折のために6つ壊れ、手術後、まだ見当違いであり、2017年7月上旬に、心臓病のために2つのステントを設置し、私は今、薬を食べるために必要なステントをインストールするために毎日食べなければならない、これらの薬は、役割を支払われ、私は本当に我慢できない、この感覚は本当に他の人が理解することはできません、小さな王医師は、私は何を持っていると言います。私は他に何ができますか?私はそもそもステントをインストールすることはできませんし、私は薬でそれを制御することはできますか?
この質問と回答はサイト利用者のものであり、サイトの立場を代表するものではありません、侵害など、削除するには管理者に連絡してください。